The effect of low-intensity laser radiation on the healing of microbial-contaminated soft tissue and bone wounds in an open fracture (experimental study)
- Authors: Azizov M.J.1, Khanaiiyaev W.H.2, Baibekov I.M.2
-
Affiliations:
- Institute of Traumatology and Orthopedics
- Scientific Center of Surgery. V. Vakhidova
- Issue: Vol 8, No 3 (2001)
- Pages: 36-39
- Section: Articles
- Submitted: 06.02.2022
- Published: 04.03.2022
- URL: https://journals.eco-vector.com/0869-8678/article/view/100242
- DOI: https://doi.org/10.17816/vto100242
- ID: 100242
Cite item
Full Text
Abstract
Influence of low intensive laser irradiation (LILI) on the healing of the infected osseous and soft tissue wound in experimental open fracture was studied using transmission and electron microscopy. LILI provided antimicrobic affect on the infected wounds increasing phagocytosis by neutrophiles and accelerating the formation of callus.
Full Text
Открытые переломы костей, как правило, сопровождаются микробным загрязнением костной и мягкотканной раны. В условиях нарушения трофики, повреждения структур происходит бурное размножение микроорганизмов. Инфекция, являясь одним из наиболее тяжелых осложнений, оказывает отрицательное влияние на репарацию кости и мягких тканей.
Известно, что низкоинтенсивное лазерное излучение (НИЛИ), особенно инфракрасного диапазона, стимулирует восстановительные процессы, в том числе и репарацию кости, активизирует фагоцитоз микроорганизмов нейтрофильными полиморфно-ядерными лейкоцитами — микрофагами [1-5, 7]. Однако морфологические проявления действия инфракрасных магнитолазеров на процесс репарации кости после открытого перелома в плане влияния лазерного излучения на фагоцитоз и взаимодействие микроорганизмов с клетками мягких тканей и кости не исследовались.
Материал и методы
Исследования проведены на 42 крысах Вистар массой 180-220 г, у которых под эфирным наркозом без соблюдения правил асептики после хирургического разреза кожи в области голени воспроизводили перелом костей. Отломки фиксировали металлической пластиной с помощью шовного материала. Животные 1-й (основной) группы подвергались воздействию НИЛИ (аппарат «Милта») ежедневно, начиная со 2-х суток после воспроизведения перелома. Частота излучения составляла 1000 Гц, интенсивность магнитного поля — 35 Тл, время облучения — 2 мин. Животные 2-й (контрольной) группы не подвергались воздействию НИЛИ. Забор материала после мгновенной декапитации животных производили на 3, 5, 7 и 14-е сутки после перелома. Соответственно животные 1-й группы получали 2, 4, 6 и 13 сеансов лазеротерапии.
Для светооптического исследования образцы фиксировали в 10% растворе формалина по Лилли. Декальцинировали в растворе трилона Б [6]. Парафиновые срезы окрашивали гематоксилином и эозином. Для трансмиссионной электронной микроскопии (ТЭМ) декальцинированные после фиксации глютаровым альдегидом на фосфатном буфере образцы дополнительно фиксировали 1% раствором четырехокиси осмия на аналогичном буфере. После обезвоживания в спирте-ацетоне образцы заливали в эпон-аралдит. Ультратонкие срезы, полученные на ультратоме Ultracut Reichert-lung, контрастировали в Ultrastainer LKB. Препараты просматривали и фотографировали в трансмиссионном электронном микроскопе «Hitachi»-H600.
Результаты
Из 42 использованных в эксперименте крыс инфицирование ран констатировано у 40.
Во 2-й (контрольной) группе животных на 3-и сутки после перелома у поверхности отломков кости определялась выраженная полиморфно-клеточная инфильтрация с доминированием нейтрофильных лейкоцитов и лимфоцитов (рис. 1). Отмечалось появление крупных остеобластов. В мягких тканях, окружающих отломки кости, имелись признаки кровоизлияния. При ТЭМ среди клеток крови, где доминировали эритроциты, на 3-и сутки определялось большое количество микроорганизмов, которые располагались между эритроцитами, не пе-нетрировали их и сами не претерпевали видимых изменений (рис. 2). Максимальное количество микроорганизмов в зоне перелома и окружающих отломки кости мягких тканях определялось на 3-и сутки после перелома. В местах наибольшего скопления микроорганизмов, среди которых различались как палочки, так и кокки, выявлялись многочисленные фрагменты деструктивно-измененных клеток. В этих участках фагоциты (как макро-, так и микрофаги) не обнаруживались (рис. 3).
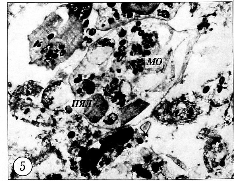
На 5~7-е сутки количество микробных тел уменьшалось за счет их усиленного фагоцитоза нейтрофильными полиморфно-ядерными лейкоцитами. Некоторая часть фагоцитированных микробов под
вергалась структурным изменениям, свидетельствовавшим об их лизисе. Однако при этом отмечалось разрушение многих нейтрофилов, в цитоплазме которых было сосредоточено значительное число микробных тел. Общее количество микроорганизмов, свободно располагавшихся на поверхности отломков кости и в межклеточных пространствах, значительно уменьшалось (рис. 4, 5).
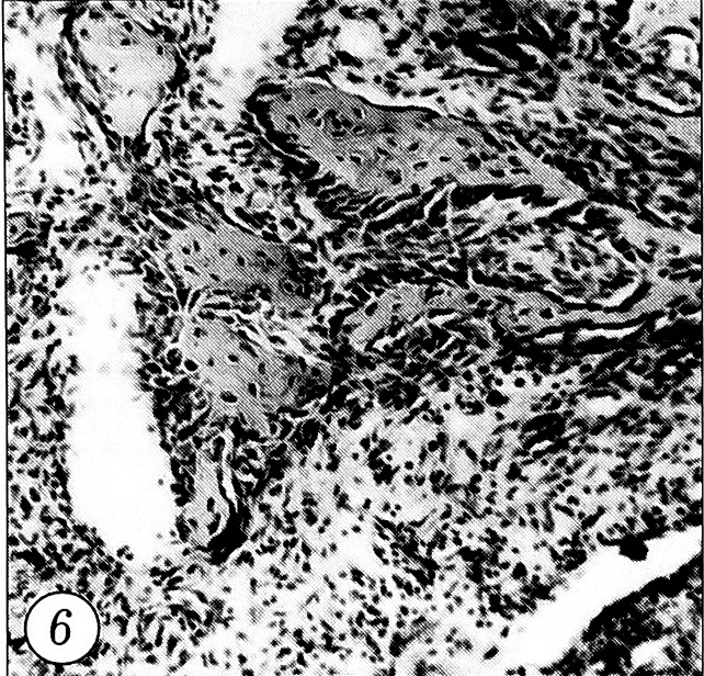
В 1-й (основной) группе воздействие на зону перелома НИЛИ приводило к существенному улучшению светооптической картины в области перелома уже на 3-и сутки. Плотность полиморфноклеточной инфильтрации была значительно меньше, чем в контроле. Увеличивалось число крупных остеобластов с гиперхромными ядрами и отмечалось образование новых костных трабекул (рис. 6), что свидетельствовало о стимуляции остеогенеза.
Это подтверждалось и результатами ТЭМ. Количество микроорганизмов на поверхности костных отломков было существенно меньше, чем в контроле. Наблюдалась и лучшая сохранность ультраструктуры костной ткани. В нейтрофильных лейкоцитах определялось множество фагоцитированных микроорганизмов (рис. 7). При этом сами нейтрофилы не подвергались деструкции, как это отмечалось в аналогичные сроки у животных контрольной группы.
Рис. 1. Выраженная полиморфно-клеточная инфильтрация на поверхности кости и в межтрабекулярных пространствах, нарушение архитектоники кости. 3-и сутки после перелома, контрольная группа (окраска гематоксилином и эозином, об. 10, ок. 10).
Рис. 2. Многочисленные микроорганизмы (МО) среди эритроцитов (Эр) из зоны кровоизлияния. 3-и сутки после перелома, контрольная группа (ТЭМ, ув. 12000).
Рис. 3. Скопления микроорганизмов у поверхности кости и фрагменты распавшихся клеток. 3-и сутки после перелома, контрольная группа (ТЭМ, ув. 7500).
Рис. 4. Уменьшение количества внеклеточно расположенных микроорганизмов, их фагоцитоз нейтрофильными полиморфно-ядерными лейкоцитами (ПЯЛ). 5-е сутки после перелома, контрольная группа (ТЭМ, ув. 7500).
Рис. 5. Фагоцитоз микроорганизмов нейтрофильными лейкоцитами, частичное разрушение их цитоплазмы. 7-е сутки после перелома, контрольная группа (ТЭМ, ув. 7500).
Рис. 6. Уменьшение полиморфно-клеточной инфильт-рации на поверхности кости, многочисленные остеобласты с гиперхромными ядрами вокруг новообразованных трабекул. 3-и сутки после перелома при лазеротерапии (окраска гематоксилином и эозином, об. 10, ок. 10).
Рис. 7. Незначительное количество свободных микроорганизмов, их фагоцитоз полиморфно-ядерными нейтрофильными лейкоцитами. 3-и сутки после перелома при лазеротерапии (ТЭМ, ув. 7500).
На 7-е сутки у животных, подвергнутых лазеротерапии, определялось формирование мозоли. При ТЭМ выявлялось наличие грубоволокнистой («плетеной») кости. На поверхности вновь сформированной грубоволокнистой кости встречались единичные микроорганизмы, которые не вызывали видимых изменений волокнистых структур в местах контакта. В нейтрофильных лейкоцитах определялось значительное количество микроорганизмов, что указывало на продолжающееся фагоцитирование их (рис. 8).
Рис. 8. Грубоволокнистая «плетеная» кость. Единичные микроорганизмы, их фагоцитоз полиморфно-ядерными нейтрофильными лейкоцитами. 7-е сутки после перелома при лазеротерапии (ТЭМ, ув. 7500).
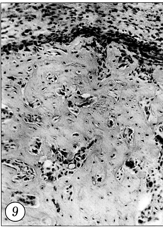
На 14-е сутки у животных основной группы формирование костной мозоли завершалось. Во вновь образованной кости отмечались морфологические признаки ремоделирования в виде появления многочисленных остеокластов (рис. 9). В мягких тканях, окружающих кость, доминирующими клетками становились молодые фибробласты.
Рис. 9. Многочисленные остеокласты вновь образованной кости, доминирование фибробластов в мягких тканях у ее поверхности. 14-е сутки после перелома при лазеротерапии (окраска гематоксилином и эозином, об. 10, ок. 10).
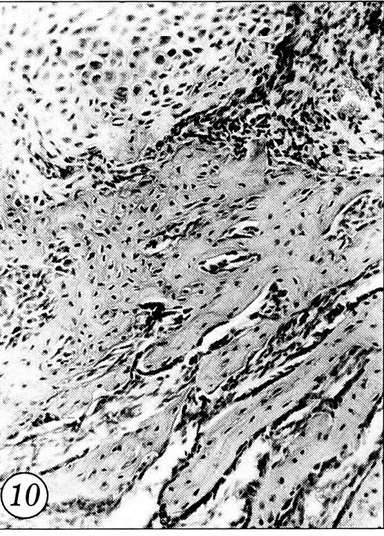
У животных контрольной группы в этот срок формировалась лишь небольшая первичная мозоль, отмечалось наличие хрящевой ткани, обнаруживались многочисленные остеобласты (рис. 10).
Рис. 10. Новообразованная костная и хрящевая ткань костной мозоли. 14-е сутки после перелома, контрольная группа (окраска гематоксилином и эозином, об. 10, ок. 10).
При ТЭМ микроорганизмы не выявлялись, практически не встречались и нейтрофильные лейкоциты.
В настоящее время способность НИЛИ оказывать противовоспалительное действие, стимулировать восстановительные процессы, активизировать микроциркуляцию общепризнана [1, 3~5, 7, 9, 11]. Эти свойства обусловили использование лазеротерапии и для стимуляции заживления переломов длинных костей. НИЛИ как средство, стимулирующее фагоцитоз и обладающее антимикробным действием, изучено в меньшей степени. Ранее было показано, что НИЛИ интенсифицирует фагоцитоз микробов нейтрофильными лейкоцитами [1]. Изучены также некоторые структурные аспекты стимуляции заживления переломов длинных костей лазерным излучением [1].
Результаты проведенного нами исследования свидетельствуют, что НИЛИ оказывает противо-микробное действие при инфицированных открытых переломах. Структурно-функциональной основой этого является элиминация микроорганизмов за счет усиления фагоцитоза нейтрофильными лейкоцитами в зоне повреждения. Не исключено, что антимикробное влияние НИЛИ — наряду с непосредственной стимуляцией пролиферативных процессов и микроциркуляции — является составной частью его воздействия, способствующего ускорению заживления переломов. Это дает основания рекомендовать применение НИЛИ в комплексном лечении открытых переломов длинных костей.
About the authors
M. J. Azizov
Institute of Traumatology and Orthopedics
Author for correspondence.
Email: info@eco-vector.com
Russian Federation, Tashkent
W. H. Khanaiiyaev
Scientific Center of Surgery. V. Vakhidova
Email: info@eco-vector.com
Russian Federation, Tashkent (Republic of Uzbekistan)
I. M. Baibekov
Scientific Center of Surgery. V. Vakhidova
Email: info@eco-vector.com
Russian Federation, Tashkent (Republic of Uzbekistan)
References
Supplementary files











