Comparative study of the apparatus of the cruciate ligaments of the knee joint. I. Tetrapods with lateral limbs
- Authors: Nikitin V.B.1, Mironov S.P.2, Lisitsyn M.P.3, Makarov A.N.1, Gulimova V.I.1, Saveliev S.V.1
-
Affiliations:
- Institute of Human Morphology
- Medical Center of the Administration of the President of the Russian Federation
- Central Institute of Traumatology and Orthopedics. N.N. Priorova
- Issue: Vol 8, No 3 (2001)
- Pages: 53-59
- Section: Articles
- Submitted: 06.02.2022
- Accepted: 06.02.2022
- Published: 04.03.2022
- URL: https://journals.eco-vector.com/0869-8678/article/view/100251
- DOI: https://doi.org/10.17816/vto100251
- ID: 100251
Cite item
Full Text
Abstract
The principal function of the menisci is probably connected with the sliding movements during the rotation of the tibia along the long axis. In tetrapods the central position of the cruciate ligament apparatus should be probably primitive while the medial position of this apparatus is derived. In the line of frog-turtle-lizard-human the histological structure of the cruciate ligament shows a tendency to increase the mechanical durability based on the organization of fibers. Tetrapods with lateral limbs have no neural tissue within the cruciate ligaments unlike the human ones.
Keywords
Full Text
Восстановление нормального функционирования коленного сустава у больных с повреждениями крестообразных связок наталкивается на значительные трудности [2]. Эти трудности обусловлены нерешенностью трех основных проблем.
Во-первых, нет ясного представления о необходимой механической прочности связки, что приводит к обсуждению вопроса об аллотрансплантатах, в 2-4 раза более крупных, чем интактная связка. Рассуждения об «эффективности» трансплантатов различных типов и «оптимальности» строения нормальных связок крестообразного комплекса человека носят голословный характер. До настоящего времени нет ни одного внятного исследования по оценке внутренней структуры связки с учетом типа биомеханического движения конечности. Не проведен анализ дифференциальной нагрузки на крестообразный комплекс при различных типах движений. Нет сведений о количестве сегментов связки, участвующих в конкретных движениях. Поэтому заявления о преимуществе тех или иных трансплантатов для человека являются исключительно умозрительными. Традиционная оценка механической прочности трансплантируемой связки «на разрыв» вообще лишена смысла. Для такого вывода есть несколько очевидных оснований. Прежде всего, человеческие связки при разрыве в естественных условиях никогда не подвергаются воздействию сил с однонаправленным вектором приложения, как в тестирующих приборах. Кроме того, однонаправленная сила при испытании «на разрыв» одномоментно действует на все пучки связки, тогда как в реальном колене воздействие оказывается только на небольшую группу волокон. Упрощение биомеханики коленного сустава при испытании связок на прочность является сомнительной имитацией нагрузок, не обеспечивающей сколько-нибудь объективной оценки.
Во-вторых, крайне скудны сведения об эволюции крестообразного комплекса. В животном мире есть виды, намного превосходящие человека как по массе тела, так и по величине нагрузок на крестообразный комплекс. У животных существует множество плохо исследованных вариантов строения связок, в которых различными способами решается проблема механической прочности. Даже об основных принципах организации крестообразного комплекса и его морфофункциональном строении реальная информация отсутствует. При этом нельзя исключить, что в животном мире существуют уже готовые решения, которые в конструкционном и механическом плане намного более эффективны, чем современные схемы протезирования.
В-третьих, совершенно не понятен биологический смысл массивной и разнообразной иннервации крестообразного комплекса человека. Более того, неизвестно, существует ли иннервация аналогичных связок у животных и сопряжено ли ее наличие или отсутствие с механической организацией всего комплекса. Если существует обратная связь в схеме «крестообразный комплекс—механорецепторы—спинной мозг—ретикулярная формация— соматосенсорая кора—моторная кора— мотонейроны», то прочность связок определяется далеко не механическими характеристиками коллагена. В этом случае очевидна регуляция нагрузки на крестообразный комплекс за счет обратных связей. Это объясняет и необычно малый размер связки человека. Без регуляции величины механической нагрузки комплекс должен был бы быть размером с кулак, как у амфибий. Разработка этой проблемы даст ответ на вопрос о необходимости реиннервации крестообразного комплекса при протезировании.
Если будет получен ответ на перечисленные вопросы, станут понятны основные стратегии протезирования крестообразного комплекса человека. Это актуально и потому, что в последние 5~7 лет достигнут технологический предел эффективности хирургического лечения разрывов крестообразных связок традиционными методами.
Преодоление упомянутых выше трудностей требует новой информации о различных принципах организации связок крестообразного комплекса у животных. На первом этапе необходимо расширить самые общие представления о причинах возникновения, типах и путях эволюции крестообразных связок. Надо понять, как сложилась биомеханическая система коленного сустава при появлении первых позвоночных с конечностями. Этим аспектам посвящены наши первые сообщения, опубликованные ранее [1, 5]. На втором этапе появится возможность установить пути развития крестообразного комплекса человека и эволюции биомеханической стабилизации коленного сустава.
В литературе имеются описания крестообразных связок у некоторых видов животных [4], но они носят предварительный, инвентаризационный характер и позволяют составить лишь общее представление о разнообразии обсуждаемых структур. Тем не менее, из анализа этих материалов следует, что аппарат крестообразных связок присутствовал у четвероногих на протяжении всех этапов исторического развития группы. За этот период морфология конечностей и их функции неоднократно претерпевали принципиальные изменения. Крестообразные связки возникли в совершенно ином, чем у человека, структурном окружении и исходно предназначались для других функций. Для реконструкции структурных и функциональных изменений в эволюции крестообразных связок объектами сравнительного исследования должны стать все основные формы наземных позвоночных, имеющих задние конечности. В этой первой публикации сравнительно-анатомических исследований представлена оценка строения крестообразного комплекса у низших позвоночных.
Материал и методы
В предлагаемой работе мы рассматриваем представителей примитивных четвероногих, выбранных таким образом, чтобы выявить большее разнообразие строения крестообразных связок и ко
ленного сустава в целом. В качестве материала использовали фиксированных амфибий и рептилий: земноводное — лягушку Rana catesbeiana и пресмыкающихся —-геккона Gekko gecko и черепаху Chrysemys scripta. Для описания структуры и топографии связок применяли метод препаровки, гистологическую структуру изучали на микроскопических срезах толщиной 10 мкм, окрашенных гематоксилином Эрлиха и по Маллори. При анализе нервного аппарата связок использовали окрашивание Суданом черным В нативых связок и импрегнацию нервных окончаний по Петерсу. У исследованных амфибий и рептилий миелини-зировнных волокон или нервных окончаний в аппарате связок выявить не удалось. Для изучения трехмерной организации применяли графические реконструкции участков связок.
Результаты
Рис. 1. Строение коленного сустава у четвероногих с латеральными конечностями.a-e — Gekko gecko: а — крестообразные связки (кости бедра и голени в нормальном положении), вид сзади; б — крестообразные связки (бедренная кость развернута по часовой стрелке для лучшей демонстрации области прикрепления связок), вид с латеральной стороны и спереди; в — мениски, вид с латеральной стороны и спереди;г, д — Chrysemys scripta: г — крестообразная связка коленного сустава, вид с медиальной стороны; д —мениск, вид спереди;е — Rana catesbeiana: крестообразная связка и мениски, вид сзади.acl — передняя крестообразная связка; alci — крыло, прикрывающее интеркондилярную полость; cavm — медиальная полость; cic — интеркондилярная полость; cl — латеральный мыщелок; с - крестообразная связка; сП — латеральная коллатеральная связка; elm — медиальная коллатеральная связка; ст — медиальный мыщелок; сотт — хрящевая перемычка; d — диск; dfil — дискофибулярная связка; dfl — дискофеморальная связка; f — бедренная кость; fi — малоберцовая кость; 1а — передняя лунула латерального мениска; mf — феморофибиальный мениск; mfl — менискофеморальная связка; ml — латеральный мениск; тт — медиальный мениск; mtl — мениско- тибиальная связка; pci — задняя крестообразная связка; td — бугорок для сочленения с диском; ti — большеберцоая кость; ti+fi — сложная берцовая кость.
Gekko gecko (Reptilia, Lacertidae). У геккона (рис. 1, a-е) имеются две крестообразные связки — передняя и задняя. Как и у человека, задняя значительно крупнее и сложнее организована. Передняя связка (acZ) начинается на внутренней поверхности медиального мыщелка (ст) бедренной кости, ближе к его заднему краю. Она канатообразно скручивается и прикрепляется к антеромедиальной области верхнего края большеберцовой кости. Эта связка имеет околоцилиндричес-кую форму и уплощенные концы. Задняя крестообразная связка (pcZ) начинается широким фронтом на антеромедиальной части латерального мыщелка бедренной кости. Затем, будучи широкой и плоской, она скручивается (в том же направлении, что и передняя) примерно на 180°, образуя форму бабочки, и прикрепляется также широким фронтом к постеромедиальной области верхнего края большеберцовой кости непосредственно позади места прикрепления передней крестообразной связки. Обе связки размещаются в очень резко очерченной интеркондилярной полости (czc), которая у геккона сильно сдвинута в медиальном направлении. Подобное медиальное смещение характерно не для всех ящериц. На сухом препарате скелета Varanus griseus мы наблюдали гораздо менее медиальное положение полости (близкое к середине сустава), сопоставимое с характерным для человека. Постеролате-рально полость частично прикрывается крыло-видной хрящевой пластинкой (aZcz)-У геккона в коленном сочленении принимают участие бедренная (/), большеберцовая (tz), малоберцовая (/г) кости и система менисков, отдельные части которых окостеневают в виде лунул. С большеберцовой костью связаны медиальный (mm) и латеральный (ml) феморотибиальные мениски, причем медиальный включает переднюю (la) и заднюю (на рисунке не видна) лунулы. С малоберцовой костью связан один феморофибулярный мениск, включающий единственную крупную луну-лу (d) спереди. Последняя именуется диском и, опираясь на специальный дистолатеральный бугорок бедренной кости (td), играет важную функциональную роль в образовании феморофибуляр-ного сочленения. Мениски фиксируются в суставе многочисленными крепежными связками (не все из которых доступны для досконального изучения при тотальной препаровке).
Chrysemys scripta (Reptilia, Testudinidae). У красноухой черепахи (рис. 1, г, д) имеется только одна крестообразная связка (с). Она довольно тонкая и узкая. Волокна не скручены. Положение этой связки вызывает особый интерес. Она отходит от медиального мыщелка бедренной кости (ст), но не от внутренней, а от наружной его поверхности. Связка прикрепляется к медиальной области проксимального конца большеберцовой кости (ti). В месте отхождения связки имеется небольшое, но хорошо выраженное углубление (cavm). Необходимо отметить, что оно существует наряду с интеркондилярной полостью, которая здесь никак не ассоциирована с крестообразным аппаратом. Малоберцовая кость (fi) у красноухой черепахи принимает значительное участие в образовании коленного сустава. Для нее на дистальном конце бедренной кости имеется поверхность сочленения. Наблюдается единственный (но сильно развитый) латеральный феморотибиальный мениск (ml). Лунулы отсутствуют. Интересно, что наряду с крепежными связками этот мениск антеролатерально имеет непосредственное соединение непрерывной хрящевой перемычкой (comm) с хрящевым проксимальным концом малоберцовой кости.
Rana catesbeiana (Amphibia, Anura). У лягушки-быка (рис. 1, е) также только одна крестообразная связка (с). Она широко начинается на медиальном мыщелке бедренной кости (ст) и широко прикрепляется к средней части проксимального конца сложной берцовой кости — тибиофи-булы (ti+fi), характерной для лягушек. В целом связка имеет плоскую форму и ориентирована ме-диолатерально. Она не скручена, несмотря на то что волокна ее передней и задней порций пересекаются под небольшим углом. Между мыщелками здесь определяется слабо выраженная интер-кондилярная полость, но она не имеет очевидной ассоциации с крестообразной связкой. Система менисков, располагающаяся между бедренной костью и комплексной тибиофибулой, представляется значительно и равномерно редуцированной. Латеральный (ml) и медиальный (mm) мениски узкие и серповидные.
Гистологическое строение крестообразных связок
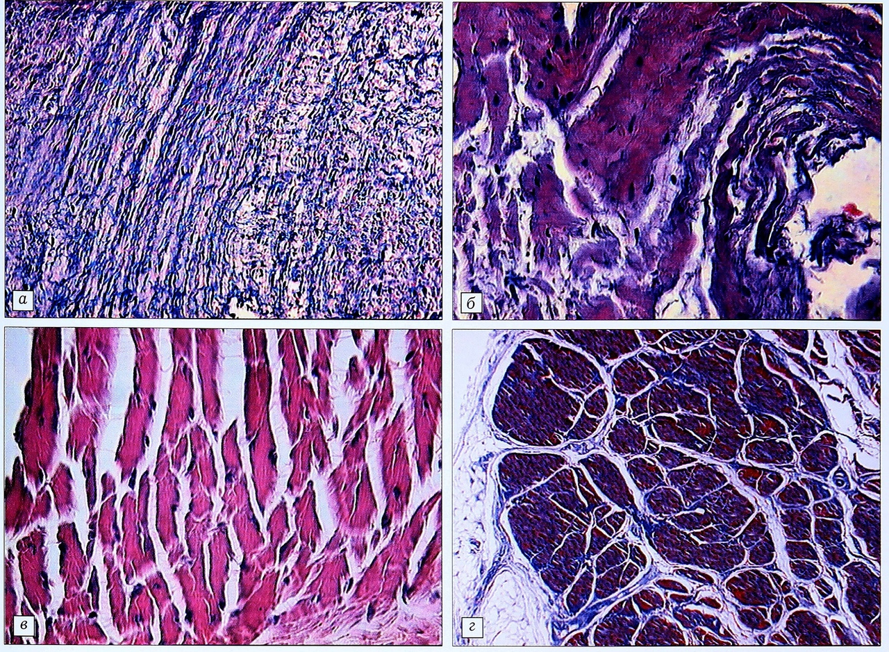
Строение крестообразной связки Rana catesbeiana характеризуется пространственной организацией коллагеновых волокон и фибрилл. Она состоит на 40% из коллагеновых фибрилл и на 60% из волокон. Пучки коллагеновых волокон обычно имеют диаметр 6-10 мкм, хотя некоторые достигают толщины 18—25 мкм. В связке можно выделить две основные группы пучков, которые ориентированы под углом 60—70° друг к другу. Обе группы состоят из параллельно ориентированных тонких волокон и единичных толстых (рис. 2, а). Тонкие волокна периодически перекрещиваются друг с другом, образуя слабо выраженную сетчатую структуру. В некоторых случаях коллагеновые пучки расположены поперек коллагеновых волокон, что, по-видимому, является первым признаком усложнения структуры связки. Коллагеновые волокна входят в вещество кости в виде коротких шарпеевых волокон, что свидетельствует о поздней по сравнению со скелетом закладке или о позднем прикреплении связки. Шарпеевы волокна редко превышают в длину 25 мкм. Синовиальная оболочка, хорошо выраженная у рептилий, млекопитающих и человека, здесь практически незаметна. Поверхность связки покрыта отдельными фибробластами и лишена сосудов и нервов, что не позволяет отнести ее ни к одному из известных типов организации синовиальной оболочки.
Крестообразная связка Chrysemys scripta состоит из крупных пучков коллагеновых волокон. Одиночные тонкие коллагеновые пучки, характерные для Rana catesbeiana, практически отсутствуют. Волокна, входящие в пучки, имеют диаметр 8~ 10 мкм. В каждый пучок входит дополнительно от 10 до 28 более тонких волокон. Пучки, как правило, довольно однородны на всем протяжении связки и редко перекрещиваются с соседними пучками. Отдельные волокна могут переходить из пучка в пучок, что не меняет общей параллельной гистологической структуры связки (рис. 2, б). Связка прикрепляется к кости при помощи шарпеевых волокон. Шарпеевы волокна, в отличие от таковых Rana catasbeiana, имеют протяженность в 30-40 мкм, что говорит о ранней дифференцировке крестообразной связки. Надо отметить, что пучки волокон не отделены друг от друга фибробластами или сосудисто-нервными пучками, как это наблюдается у человека (рис. 2, г). Внутренняя часть связки не васкуляризирована и не имеет нервных окончаний. Большое количество сосудов находится в синовиальной оболочке, толщина которой достигает 30-45 мкм. В состав синовиальной оболочки входят фибробласты, сосуды и редкие нервные волокна, что позволяет отнести ее к фиброзному типу.
Рис. 2. Гистология крестообразных связок коленного сустава (окраска по Маллори).a — Rana catesbeiana (ув. 40); б — Chrysemys scripta (ув. 40); в — Gekko gecko (ув. 40); г — Homo sapiens (ув. 20).
Крестообразная связка Gekko gecko состоит из крупных коллагеновых волокон диаметром 10-15 мкм. Они собраны в плотные пучки по 15-30 волокон, часто переходящих из одного пучка в другой (рис. 2, в). Это приводит к образованию сетчатой структуры связки, напоминающей строение передней крестообразной связки человека. Однако фиброзных оболочек у отдельных пучков волокон мы не выявили. В толще связки сосудов и нервных волокон не обнаружено. Они сосредоточены в области синовиальной оболочки. Следует отметить, что шарпеевы волокна у геккона самые протяженные из исследованных нами животных — 70-80 мкм.
Передняя связка крестообразного комплекса человека приведена нами для сравнения. Она существенно отличается от связок у описанных видов амфибий и рептилий. Связка имеет сетчатое строение и обособленные пучки волокон, которые заключены в фиброзные оболочки (рис. 2, г). В толще связки и в фиброзных оболочках расположены сосуды и нервные волокна различных типов, которые отсутствуют у рассмотренных видов. Подробная характеристика структуры связки человека является самостоятельным предметом исследования и будет представлена в последующей публикации.
Обсуждение
Рассмотренные формы, несомненно, демонстрируют широчайшее разнообразие вариаций строения коленного сустава в целом и крестообразных связок в частности. Применительно к вопросу о происхождении крестообразной связки человека (представляющему главную цель наших исследований) приведенные материалы позволяют построить два сравнительно-анатомических ряда и выдвинуть предварительные гипотезы об изменении в эволюции числа крестообразных связок (1+2 или 2+1) и о смещении аппарата крестообразных связок (с медиальной поверхности внутрь сустава или наоборот). Что касается соседствующих с крестообразными связками структур, то несколько более конкретные предположения можно сделать в отношении источников происхождения менисков. С одной стороны, связь латерального мениска черепахи с малоберцовой костью может свидетельствовать о возникновении менисков из дистальных вершин элементов голени. С другой стороны, наличие крупного костного диска в коленном суставе ящериц может быть свидетельством исходного присутствия дополнительных скелетных элементов между длинными костями задней конечности, из которых затем путем хрящевого перерождения произошли мениски.
Практически в коленном суставе в различной степени осуществимы все шесть степеней свободы движения. Перечислим принятые здесь термины: 1) сгибание—разгибание (вращение около основной оси подвижности колена); 2) ротация (вращение около длинной оси голени); 3) качание (латеромедиальные смещения дистального конца голени); 4) переднезаднее смещение; 5) латеро-медиальное смещение; 6) относительные перемещения вдоль длинной оси конечности (демпфирующие эффекты).
В связи с представленным материалом интересно разобрать случаи скольжения, сопровождающего вращение элементов сустава. Значительное скольжение подобного рода может наблюдаться, во-первых, при сгибании—разгибании (screw-home mechanism, возвратно-крутильный механизм [3]) и, во-вторых, при ротации конечности. Медиальное положение аппарата крестообразных связок, очевидно, коррелирует с развитием латерального и редукцией медиального мениска. Это проявляется в наличии окостенений именно в латеральном мениске у геккона и в полной редукции медиального мениска у черепахи. Смещение аппарата крестообразных связок в медиальном направлении уменьшает амплитуду относительного перемещения медиальных компонентов сустава и увеличивает амплитуду относительного перемещения его латеральных компонентов при ротации. Что же касается сгибания—разгибания, то здесь латеромедиальные перемещения крестообразных связок не приводят к изменению амплитуды относительной подвижности в разных частях сустава. Отсюда очевидна функциональная значимость менисков для скольжения поверхностей именно при ротации. Также ограничением общей ротации в коленном суставе лягушки, по-видимому, объясняется равномерная редукция обоих менисков.
При сопоставлении данных морфологического и функционального анализа можно с определенностью сделать выбор в пользу предположения о латеромедиальном перемещении аппарата крестообразных связок в результирующем сравнительном ряду лягушка—геккон—черепаха (в том случае, если признается исходное присутствие двух, а не одного, как у черепахи, феморотибиальных менисков). В то же время определить, является ли примитивным состояние с одной или с двумя крестообразными связками, на основании настоящего материала не удается, для этого требуются дополнительные исследования.
На основании приведенных фактов уже можно обрисовать общую картину эволюционных преобразований гистологической структуры крестообразной связки на этапе от примитивных четвероногих до млекопитающих. Можно представить, что первоначально бедренная и большеберцовая кости связывались тонкими коллагеновыми фибриллами. Вследствие возрастания механической нагрузки фибриллы сливались в коллагеновые волокна, которые, в свою очередь, интегрировались в пучки и связывались между собой за счет перекрестов отдельных волокон. Это позволяло связке противостоять многообразным механическим нагрузкам. Параллельно происходило усиление обмена крестообразной связки. Это достигалось развитием синовиальной оболочки, которая изначально была представлена только фибробластами (как у Rana catesbeiana). Затем фиброзная стенка васкуляризировалась и иннервировалась. У человека васкуляризация и иннервация были перенесены во внутреннюю часть связки, что привело к возникновению фиброзных оболочек и сосудисто-нервных пучков у отдельных порций крестообразной связки.
About the authors
V. B. Nikitin
Institute of Human Morphology
Author for correspondence.
Email: info@eco-vector.com
Russian Federation
S. P. Mironov
Medical Center of the Administration of the President of the Russian Federation
Email: info@eco-vector.com
Russian Federation
M. P. Lisitsyn
Central Institute of Traumatology and Orthopedics. N.N. Priorova
Email: info@eco-vector.com
Russian Federation, Moscow
A. N. Makarov
Institute of Human Morphology
Email: info@eco-vector.com
Russian Federation
V. I. Gulimova
Institute of Human Morphology
Email: info@eco-vector.com
Russian Federation
S. V. Saveliev
Institute of Human Morphology
Email: info@eco-vector.com
Russian Federation
References
Supplementary files




