To the question of operability in oncological surgery of the musculoskeletal system
- Authors: Mahson A.N.1, Khoteev A.Z.1, Shupak M.Y.1
-
Affiliations:
- Moscow City Clinical Oncology Hospital No. 62
- Issue: Vol 7, No 2 (2000)
- Pages: 32-36
- Section: Original study articles
- Submitted: 24.02.2022
- Accepted: 24.02.2022
- Published: 30.05.2000
- URL: https://journals.eco-vector.com/0869-8678/article/view/101607
- DOI: https://doi.org/10.17816/vto101607
- ID: 101607
Cite item
Full Text
Abstract
Non-operability is defined as patient's condition in which total disturbances or peculiarities of local pathologic process exclude the possibility of surgical intervention. Authors give attention to some subjective factors which the stipulate the refuse from indicated operation. They include the level of clinical mentality and skills of a surgeon who considers the patient as non-operable one, surgeon’s «radicalism» and his ability to run a risk taking into account the rule: danger of surgical intervention must not exceed the danger for patient’s life, as well as the peculiarities of the type and spirit of the hospital where the patient was considered to be the non-operable one. Six cases were given as example. All patients had been considered as non-operable patients before their admission to Clinical Hospital # 62. According to pathologic process radical surgical intervention was compulsory in all cases. The patients were successfully operated on.
Keywords
Full Text
В Энциклопедическом словаре медицинских терминов (1982) иноперабельность определяется как состояние больного, при котором общие расстройства или особенности местного патологического процесса исключают возможность оперативного вмешательства. Представлена и классификация иноперабельности: 1) абсолютная — когда полностью исключена возможность какой- либо операции; 2) временная — обусловленная общими расстройствами состояния больного или особенностями патологического процесса, которые могут быть устранены консервативными мероприятиями в процессе предоперационной подготовки; 3) относительная — операция радикальная невозможна, но не исключается паллиативная операция.
Вместе с тем, понятие иноперабельности, с одной стороны, весьма относительно, так как оно изменяется по мере развития диагностики и хирургии, а также внедрения новейших методик анестезиологии и интенсивной терапии, с другой стороны — весьма субъективно, поскольку в каждом конкретном случае операбельность определяется конкретным хирургом.
Важную роль в решении вопроса об операбельности играет ряд объективных и субъективных факторов, как-то: оснащенность клиники, профиль учреждения, профессиональный уровень персонала.
Объем и тактика оперативных вмешательств у онкологических больных в специализированном онкологическом учреждении во многом отличаются от таковых в общехирургических стационарах. Лечение пациентов со злокачественными опухолями всегда или почти всегда носит комплексный характер. Кроме оперативного вмешательства, используются лучевая терапия, химиотерапия, гормонотерапия, методы иммунокоррекции. Тактика лечения и очередность применения различных методов воздействия, в том числе и оперативного лечения, как правило, определяются на консилиумах с участием не только хирургов, но и специалистов по лекарственной и лучевой терапии. Большое значение имеют уровень профессиональной подготовки хирурга- онколога, степень его активности, его «радикализм», способность к оправданному риску или, наоборот, чрезмерная осторожность, что может зависеть от его личностных качеств.
Особая, нередко первостепенная роль в решении вопроса о возможности проведения хирургического вмешательства и его объеме принадлежит анестезиологам-реаниматологам. В последнее время новые методики в анестезиологии, а также новые подходы к предоперационной подготовке и послеоперационной терапии у онкологических пациентов значительно расширили объем оперативных вмешательств и контингент оперируемых больных. Применение современных средств для анестезии, в частности малотоксичных ингаляционных анестетиков, использование возможностей инвазивного и неинвазивного периоперационного мониторинга позволяют поднять на качественно новый уровень обеспечение обширных хирургических вмешательств у «осложненного» контингента больных и улучшить результаты их лечения.
Опыт работы Московской городской онкологической больницы № 62 в различных областях хирургии показывает, что нередко отказ от хирургического лечения был обусловлен или недостаточной онкологической квалификацией хирурга, у которого наблюдался больной до поступления в нашу клинику, или чрезмерной осторожностью.
Приведем примеры из области ортопедической онкологии.
Больной С., 59 лет. За 4 года до поступления в больницу № 62 оперирован в одном из ортопедических учреждений Харькова по поводу ошибочно диагностированного остеохондроза, грыжи Шморля поясничного отдела позвоночника. Был выполнен спондилодез металлическими пластинами. Боли сохранялись, и через несколько лет была выявлена хондросаркома с поражением костей левой половины таза. Опухоль распространялась от крыла подвздошной кости до уровня пупка, а кверху — до половины расстояния от подвздошной кости до реберной дуги (рис. 1, а). Отмечались нарушение (затруднение) мочеиспускания и задержка стула. Больной консультирован повторно в различных учреждениях Харькова, Киева и Москвы, где признан неоперабельным по распространенности процесса: считалось, что опухоль прорастает мочевой пузырь и прямую кишку. При этом не учитывались особенности течения хондросарком, которые обычно не склонны к инфильтрации окружающих тканей и органов. В процессе роста эти опухоли, как правило, отодвигают прилежащие органы и ткани, не прорастая их. Общеизвестно также, что хондросаркомы нечувствительны к лучевому воздействию и химиотерапии и для больных этой категории единственным адекватным лечением является радикальное хирургическое вмешательство.
С учетом этих обстоятельств больному 22.07.70 была произведена операция — межподвздошнобрюшная ампутация (рис. 1. б). Мочевой пузырь и прямая кишка сдавливались опухолью, которая заполняла полость малого таза, но не прорастала их. Морфологическое заключение: хондросаркома средней степени зрелости. В послеоперационном периоде у больного развился мочевой свищ в связи с тем, что по ходу операции была перевязана пузырная артерия и на небольшом участке произошел некроз стенки мочевого пузыря. В последующем свищ был ликвидирован хирургическим путем, функция мочевого пузыря и прямой кишки восстановилась. В течение 19 лет пациент находился под наблюдением, отмечал хорошее самочувствие и полную адаптацию к жизни.
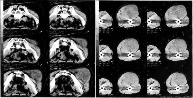
Больная М.,83 лет. В 1971 г. оперирована по поводу хордомы копчика, в 1993 г. выполнена повторная операция по поводу рецидива опухоли с проведением в послеоперационном периоде лучевой терапии. В 1997 г. госпитализирована в больницу № 62 с рецидивом опухоли. Опухоль достигала больших размеров (17x16 см), распространялась в левую ягодичную область и непосредственно предлежала к анальному отверстию. На рентгенограмме: крестец без явных костных деструктивных изменений до уровня S1-S3 (рис. 2, а). На компьютерной томограмме: по задней поверхности крестца определяется плотно прилежащее к нему мягкотканное образование протяженностью 9 см с четкими контурами (рис. 2, б). В ряде хирургических и онкологических учреждений больная была признана неоперабельной.
23.10.97 выполнена операция: опухоль иссечена в пределах здоровых тканей после предварительного формирования anus praeternaturalis. По ходу операции была повреждена прямая кишка, произведено ее ушивание. Гистологическое исследование опухоли: хордома. Послеоперационный период осложнился расхождением краев раны, которая зажила вторичным натяжением. Больная хорошо перенесла оперативное вмешательство, ходит, обслуживает себя. Физиологические отправления через противоестественный задний проход. Спустя 2,5 года признаков рецидива или отдаленных метастазов нет.
Рис. 1. Рентгенограммы больного С. Хондросаркома тела подвздошной кости. а — до операции; б — после операции.
Рис. 2. Рентгенограмма (а) и компьютерная томограмма (б) больной М. Рецидив хордомы копчика.
Больной А., 34 лет. Поступил в тяжелом состоянии, с выраженными явлениями интоксикации, расстройствами гемодинамики, нарушениями сознания и зрения. При обследовании определяется огромная опухоль бедра (окружность 104 см) с распадом. Длительное время больной был обездвижен в связи с огромными размерами опухоли. На рентгенограммах правого бедра и голени — опухоль около 50 см в диаметре, неоднородной, ячеистой структуры, с очагами внекостного остеообразования, полостью распада 14x10 см в центре (рис. 3).
Рис. 3. Рентгенограмма больного А. Хондросаркома бедра.
Опухоль разрушает всю нижнюю половину бедренной кости и коленный сустав, ее внекостный компонент достигает верхней трети бедра и средней трети голени по задней поверхности. Диагноз: хондросаркома. Больному произведена компьютерная томография черепа, при которой органической патологии не выявлено. До поступления в нашу клинику больной консультирован в других учреждениях, где ему было отказано в лечении в связи с тяжестью состояния и высоким риском операции.
17.06.99 по срочным показаниям после кратковременной инфузионной подготовки выполнена экзартикуляция бедра. Гистологическое заключение: хондросаркома средней степени зрелости. В послеоперационном периоде после проведенной интенсивной терапии состояние больного улучшилось, отмечено восстановление сознания, зрения, нормализация водно-электролитного баланса и метаболических показателей. Пациент выписан в удовлетворительном состоянии, передвигался с помощью костылей.
Больной П., 37 лет. За 1 год 2 мес до поступления появились боли в правой ягодичной области, которые связывал с незначительной травмой. Лечился у невропатологов физиотерапевтическими методами. Боли нарастали, и после дополнительного обследования диагностирована хондросаркома костей таза. Больной признан неоперабельным из-за распространения опухоли в область ягодицы и на крестец.
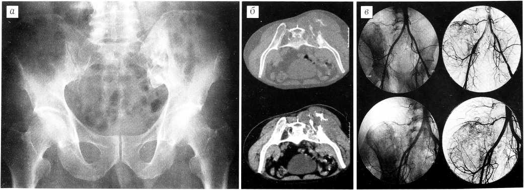
При обследовании в нашей клинике определяется больших размеров плотная опухоль, занимающая область крестцово-подвздошного сочленения и большую часть ягодицы. Размер пальпируемой части опухоли 20x20 см. Рентгенография, компьютерная томография и ангиография: в крыле правой подвздошной кости и правой боковой массе крестца очаг деструкции преимущественно остеолитического характера, неоднородной структуры за счет наличия более плотных участков, с мягкотканным компонентом в ягодичной области. Контуры очага и замыкательных пластинок крестцово-подвздошного сочленения нечеткие. Отмечаются мелкоочаговые разрежения структуры в видимых отделах правой бедренной кости, лонной и седалищной костях (рис. 4). В легких патологических изменений не выявлено.
Рис. 4. Рентгенограмма (а), компьютерная томограмма (б) и ангиограмма (в) больного П. Хондросаркома таза.
Несмотря на широкое распространение опухоли на область ягодицы и характер процесса, учитывая отсутствие альтернативных методов лечения, решено предпринять попытку межподвздошно-брюшной экзартикуляции с резекцией крестца.
11.01.00 больному произведена операция. Из разреза, начатого от уровня остистого отростка L2 позвонка, идущего вдоль всего гребня левой подвздошной кости до передней верхней ости и вдоль паховой связки, а затем продолженного на передневнутреннюю поверхность бедра до его средней трети, осуществлен широкий внутритазовый доступ. Выделены сосуды от общей подвздошной артерии до средней трети бедра. Внутренняя подвздошная артерия перевязана и пересечена. Пересечены и отделены поясничные мышцы, прикрепляющиеся к крестцу и гребню подвздошной кости, а внутритазово — пояснично-подвздошная мышца на уровне крестцово-подвздошного сочленения. Пересечены нервные корешки, формирующие левый седалищный нерв, а также бедренный нерв. Кожный разрез проведен по паховой складке до соединения с разрезом на бедре. Пилой Джильи, проведенной вокруг боковой массы крестца, пересечен крестец на границе его боковой массы и тела. В разрезе была видна твердая мозговая оболочка, которая оставалась неповрежденной. В зоне пересечения крестца опухоль не была вскрыта. Для закрытия раны, занимавшей всю тазовую и ягодичную область и левую половину брюшной полости, сформирован кожно-фасциально-мышечный лоскут с включением в него четырехглавой и части приводящих мышц бедра, васкуляризация которых осуществлялась наружными бедренными сосудами, пересеченными в средней трети бедра. Сформированный лоскут был подшит к крестцу и закрыл рану целиком. Гистологическое исследование опухоли: миксоидная хондросаркома с разрушением подвздошной кости и распространением на большую часть ягодичных мышц. В зоне пересечения препарата опухолевых клеток не обнаружено.
Послеоперационный период протекал без осложнений, рана зажила первичным натяжением. Некроза краев кожного лоскута не было, что свидетельствовало о его достаточном кровоснабжении. Исход у этого больного пока трудно прогнозировать. Существует опасность как рецидива, так и отдаленных метастазов.
Мы располагаем рядом наблюдений, когда больные, кроме опухолевого заболевания, страдали тяжелой органической патологией сердца, по поводу которой была показана операция на сердце. Онкологи опасаются оперировать таких больных из-за заболевания сердца, а кардиохирурги отказывают в необходимом оперативном вмешательстве в связи с наличием онкологической патологии.
Рис. 5. Компьютерная томограмма больного Д. Липосаркома бедра.
Больной Д., 53 лет, на протяжении 15 лет отмечал образование на бедре диаметром около 5 см. В течение 2 лет произошел быстрый рост опухоли. Обратился к онкологу в ноябре 1999 г. При поступлении по задней поверхности правого бедра от подколенной ямки определяется постепенно увеличивающееся вверх и переходящее на правую ягодичную область опухолевидное образование плотно-эластической консистенции, бугристое, безболезненное, размером 50x20 см (рис. 5). В правой подмышечной области имеется плотное образование размером 10x12 см, в левой подмышечной области — образование размером около 3,5 см.
Риск оперативного вмешательства был крайне высок в связи с наличием у больного тяжелой сопутствующей патологии: синдрома Марфана, недостаточности аортального клапана, ишемической болезни сердца, стенокардии напряжения ФК II, недостаточности кровообращения I стадии. Тем не менее больной был признан операбельным, и 09.12.99 произведено удаление опухоли мягких тканей правого бедра и опухоли мягких тканей правой подмышечной области. Морфологическое исследование: во всем материале ткань опухоли — миксоидная липосаркома в сочетании с круглоклеточной липосаркомой. В лимфатических узлах элементов опухоли не найдено. Послеоперационный период протекал без осложнений. Больной был выписан домой, вернулся к профессиональной трудовой деятельности. При выписке рекомендовано лечение в кардиохирургическом стационаре.
Больная Б., 56 лет, госпитализирована по поводу солитарного метастаза в проксимальном отделе левой бедренной кости с патологическим переломом (рис. 6, а). Из анамнеза известно, что в 1988 г. получала комбинированное лечение по поводу рака молочной железы, в 1990 и 1992 гг. проходила повторное лечение по поводу местных рецидивов в послеоперационном рубце. Страдает тяжелым ревматическим митрально-аортальным пороком сердца с выраженной недостаточностью кровообращения, легочной гипертензией и нарушениями ритма. Больной показано протезирование клапанов сердца, однако операция не проводилась из-за наличия онкологической патологии.
4.11.98 выполнена резекция проксимального суставного конца бедренной кости с эндопротезированием (рис. 6, б). Операция и послеоперационный период прошли без осложнений. Через 3 мес больная оперирована в кардиохирургическом стационаре, где произведено протезирование клапанов. Через 1,5 года после операции чувствует себя хорошо, работает по специальности. Таким образом, для этой больной были решены две задачи — продление жизни и улучшение ее качества.
Рис. 6. Рентгенограммы больной Б. Метастатическое поражение проксимального отдела бедра с патологическим переломом. а — до операции; б — после операции.
Приведенные наблюдения показывают, что ни возраст больного, ни его даже самые тяжелые сопутствующие заболевания не могут сами по себе считаться противопоказанием к оперативному вмешательству. Для определения операбельности больного в ситуациях, пограничных с иноперабельностью, имеет значение еще один фактор. Это нормальная этическая и психологическая обстановка в коллективе медицинского учреждения. Оперирующий хирург не должен опасаться неоправданных нападок в тех случаях, когда больной не перенес оперативное вмешательство. В нашей больнице каждый такой случай подробно и подчас нелицеприятно, но всегда только по существу разбирается на врачебных заседаниях с участием патологоанатомов. Но это уже относится к категории профессиональных вредностей в хирургии.
About the authors
A. N. Mahson
Moscow City Clinical Oncology Hospital No. 62
Author for correspondence.
Email: info@eco-vector.com
Russian Federation, Moscow
A. Z. Khoteev
Moscow City Clinical Oncology Hospital No. 62
Email: info@eco-vector.com
Russian Federation, Moscow
M. Y. Shupak
Moscow City Clinical Oncology Hospital No. 62
Email: info@eco-vector.com
Russian Federation, Moscow
References
Supplementary files








