Fractures of the Condyle of the Tibia Complicated by Subluxation or Dislocation of the Crus
- Authors: Mikhailenko V.V.1, Lirtsman V.M.1, Antipin S.K.1
-
Affiliations:
- Semashko Moscow Medical Dentistry Institute.
- Issue: Vol 3, No 3 (1996)
- Pages: 47-50
- Section: Articles
- Submitted: 27.02.2022
- Accepted: 27.02.2022
- Published: 15.09.1996
- URL: https://journals.eco-vector.com/0869-8678/article/view/102604
- DOI: https://doi.org/10.17816/vto102604
- ID: 102604
Cite item
Full Text
Abstract
Twenty seven patients (9 men and 18 women, aged 16-87 years) with the fractures of the condyle of the tibia complicated by subluxation or dislocation of the crus were observed. The authors believe that the most effective treatment method for such injuries is the reposition with apparatuses on the orthopaedic table and simultaneous fixation of the fragments by specialscrew that allows to eliminate subluxation or dislocation of the crus and to perform compression osteosynthesis with firm fixation of the fragments. In severe displacement of the condyle with its angular rotation, disturbance of spongy bone and crus dislocation, open reposition of the fragments and elimination of crus dislocation with the plasty of spongy bone defect using the autografts from the upper flaring portion of te ilium or biocompatible porous ceramics with the fixation of fragments by a screw is indicated. Permanent skeletal traction is much less effective than the surgical methods of treatment.
Keywords
Full Text
Переломы мыщелков большеберцовой кости составляют в среднем 6,9% всех переломов костей конечностей. Изолированные переломы латерального и медиального мыщелков могут осложняться подвывихом или вывихом голени. При переломе мыщелка большеберцовой кости с подвывихом на определенном протяжении сохраняется его контакт с мыщелком бедра, при переломовывихе такого контакта нет.
Переломы мыщелков большеберцовой кости, осложненные подвывихом или вывихом голени, относятся к наиболее тяжелым повреждениям коленного сустава. Эти повреждения мало известны практическим врачам. Лечение их представляет трудную и не решенную до конца задачу. В отечественной и зарубежной литературе переломовывихам голени уделено недостаточно внимания.
Чаще встречается сочетание изолированного перелома медиального мыщелка большеберцовой кости с подвывихом или вывихом голени кнаружи, реже — сочетание изолированного перелома латерального мыщелка с вывихом голени кнутри.
Механогенез перелома мыщелка с подвывихом или вывихом голени представляется следующим. При падении с высоты на выпрямленные ноги или падении на дороге от наезда автотранспорта происходит отведение голени кнаружи и увеличение физиологического вальгусного угла в коленном суставе. Острый край латерального мыщелка бедра воздействует с травмирующей силой, направленной кнутри и вниз, и откалывает медиальный мыщелок большеберцовой кости вместе с межмыщелковым возвышением. Латеральный мыщелок бедра внедряется в губчатую ткань эпиметафиза большеберцовой кости и смещает кнаружи ее латеральный мыщелок с диафизом (рис. 1). При этом крестообразные связки коленного сустава не повреждаются, так как линия перелома проходит через латеральный мыщелок большеберцовой кости перед местом их прикрепления к переднему и заднему межмыщелковому полю.
Рис. 1. Схема механизма перелома медиального мыщелка большеберцовой кости с вывихом.
Немаловажное значение имеют степень отведения голени кнаружи и направление травмирующей силы в момент падения. При небольшом отведении голени происходит перелом мыщелка и подвывих голени кнаружи, при значительном воздействии травмирующей силы вальгусная деформация коленного сустава еще больше увеличивается и происходит перелом мыщелка с вывихом голени.
За последние 20 лет в клинике травматологии, ортопедии и военно-полевой хирургии ММСИ им. Н.А. Семашко на базе Московской городской клинической больницы № 59 находились 27 больных с переломами мыщелков большеберцовой кости в сочетании с подвывихом (14) или вывихом (13) голени. Мужчин среди них было 9, женщин — 18. Возраст больных — от 16 до 87 лет. Травму коленного сустава 15 человек получили при падении с высоты на выпрямленные ноги, 5 — при дорожно-транспортных происшествиях, 7 — при падении на улице или дома.
Клиника переломов мыщелков большеберцовой кости, осложненных подвывихом или вывихом голени, мало отличается от клиники внутрисуставных изолированных переломов мыщелков: определяется более выраженная деформация коленного сустава, отмечается боковая патологическая подвижность вследствие повреждения капсульно-связочного аппарата коленного сустава.
Сложность лечения больных с рассматриваемыми повреждениями обусловлена не только тяжелым разрушением суставной площадки, трудностью репозиции отломков и устранения подвывиха или вывиха, но и трудностью последующего их удержания в правильном положении в течение срока, необходимого для сращения капсульно-связочного аппарата и перелома.
В начальном периоде нашей работы 6 больным проводилось лечение методом закрытой ручной репозиции костных отломков с устранением подвывиха голени и фиксацией конечности гипсовой повязкой. При этом у 4 пациентов не удалось устранить смещение костных фрагментов и вывих голени и только у 2 результат лечения оказался удовлетворительным.
У 5 больных было применено скелетное вытяжение за пяточную кость грузом от 5 до 10 кг, при этом нога была уложена на шину Белера. Полностью устранить смещение отломков и подвывих или вывих голени не удалось ни в одном случае. Тракция конечности по длине малорезультативна из-за повреждения связочного аппарата и капсулы сустава и отсутствия эффекта лигаментотаксиса.
В последнее десятилетие в клинике для лечения переломов мыщелков бедра и большеберцовой кости применяется функциональный метод, при котором скелетное вытяжение сочетается с ранними пассивными и активными движениями в коленном суставе на функциональной шине собственной конструкции. Функциональный метод лечения использован у 7 больных. На первом этапе вытяжения применяются большие грузы (7—9 кг) с целью выведения мыщелков бедра и большеберцовой кости из «зацепления» друг с другом. После устранения смещения по длине и восстановления конгруэнтности суставных поверхностей груз уменьшается до 5—7 кг. Пассивные движения в коленном суставе начинаются через 3—5 дней после устранения смещения отломков и подвывиха или вывиха голени. Ранние пассивные движения в коленном суставе способствуют формированию суставной поверхности большеберцовой кости. К активным движениям приступают через 3—4 нед после травмы.
С помощью функционального метода у 2 из 7 больных удалось полностью устранить смещение отломков и вывих голени, восстановить анатомическую целость суставного конца большеберцовой кости и конгруэнтность суставных поверхностей, получить хороший анатомический и функциональный результат. У 3 больных положение отломков улучшилось, но полностью устранить смещение и подвывих голени не удалось. У 2 пациентов функциональным методом устранить подвывих не удалось, осталось смещение медиального мыщелка книзу и кзади и значительное ограничение движений в коленном суставе.
Таким образом, результаты консервативного лечения переломов мыщелков большеберцовой кости, осложненных подвывихом или вывихом голени, у большинства из 18 больных оказались неудовлетворительными.
В тех случаях, когда с помощью скелетного вытяжения устранить смещение отломков и подвывих или вывих голени не удается, в клинике применяется закрытая репозиция отломков, устранение подвывиха или вывиха голени с фиксацией фрагментов болтом-стяжкой. Операция выполняется на ортопедическом столе под контролем рентгеновского аппарата с электронно-оптическим преобразователем. Винтовыми устройствами осуществляется тяга по длине с противоупором в промежность. В подколенную область помещают подставку-валик. После устранения смещения отломков и восстановления суставной щели делают два разреза кожи и мягких тканей в области латерального и медиального мыщелков большеберцовой кости длиной 1,5 см. На 1,5—2 см ниже суставной щели параллельно ей проводят болт. Накручивая гайку на болт и выбирая резьбу, приближают латеральный мыщелок к медиальному до их плотного соприкосновения. Гайку закручивают тарированным ключом с величиной компрессии 15—20 кг. Таким образом устраняется подвывих или вывих голени и создается компрессионный остеосинтез со стабильной фиксацией отломков (рис. 2). Со второго дня после операции больные приступают к разработке вначале пассивных, а затем активных движений в коленном суставе.
Рис. 2. Схема репозиции латерального мыщелка большеберцовой кости и устранения вывиха голени. a — перелом медиального мыщелка и вывих голени кнаружи; б — тракция по длине на ортопедическом столе, восстановление суставной щели, проведение болта-стяжки; в — устранение вывиха голени.
Описанным способом оперированы 5 больных. У 2 из них удалось полностью устранить смещение отломков и вывих голени, у 3 — значительно улучшить положение отломков и устранить вывих.
В качестве примера приводим одно из наблюдений.
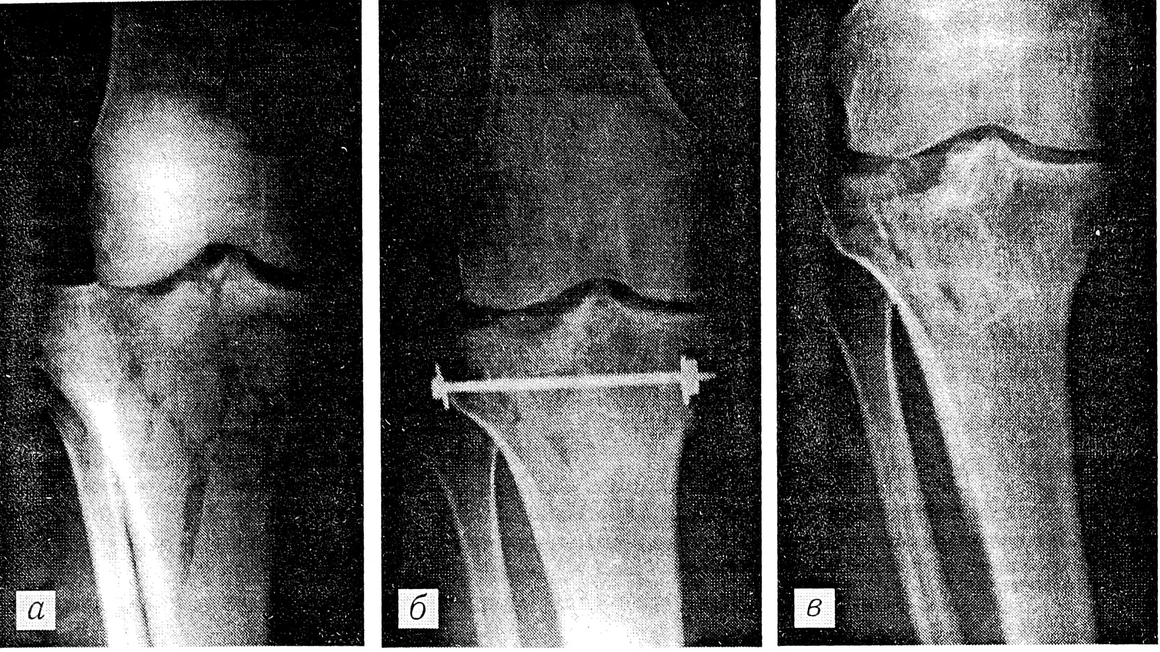
Больной В., 41 года, диагноз: перелом медиального мыщелка правой большеберцовой кости с подвывихом голени кнаружи (рис. 3, а). Травму получил на работе — упал с высоты около 1 м. В клинике сделана пункция коленного сустава, наложено скелетное вытяжение за пяточную кость грузом 9 кг, конечность помещена на шину Велера. Положение отломков не улучшилось. Через 12 дней после травмы произведена операция: закрытая аппаратная репозиция костных отломков и устранение подвывиха голени с помощью болта (рис. 3, б). Через 2 дня больной приступил к разработке пассивных движений на функциональной шине, начал ходить с помощью костылей без нагрузки оперированной конечности. Через 19 дней после операции выписан на амбулаторное лечение. Движения в коленном суставе при выписке в пределах 180—90°. Болт удален через 2,5 мес после операции. Осмотрен через 8 лет (рис. 3, в). Жалоб нет, движения в коленном суставе в полном объеме.
Рис. 3. Рентгенограммы коленного сустава больного В. a — положение отломков при поступлении; б — устранение смещения отломков и вправление подвывиха с помощью болта-стяжки; в — через 8 лет после операции.
При значительном смещении мыщелка с его угловым разворотом, разрушении губчатой кости на большом протяжении, полном вывихе голени кнаружи или кнутри показана открытая репозиция костных отломков с фиксацией их болтом и пластикой дефекта губчатой кости аутотрансплантатом из гребня крыла подвздошной кости или трансплантатом из биосовместимой пористой керамики.
Открытая реконструкция проксимального суставного конца большеберцовой кости и устранение вывиха голени произведены у 4 больных. Во всех случаях удалось полностью восстановить анатомическую целость суставного конца большеберцовой кости, но функциональные результаты оказались более скромными.
Заключение. Основным методом лечения больных с переломами мыщелков большеберцовой кости, осложненными подвывихом или вывихом голени, должна быть закрытая репозиция отломков на ортопедическом столе с последующим остеосинтезом болтом-стяжкой и одномоментным устранением подвывиха или вывиха голени. При выраженном смещении мыщелка с его угловым разворотом, разрушением губчатой кости и вывихом голени показана открытая репозиция с пластикой дефекта губчатой кости аутотрансплантатом из гребня крыла подвздошной кости или трансплантатом из биосовместимой пористой керамики с фиксацией отломков болтом-стяжкой. Постоянное скелетное вытяжение значительно уступает по эффективности оперативным методам.
About the authors
V. V. Mikhailenko
Semashko Moscow Medical Dentistry Institute.
Author for correspondence.
Email: info@eco-vector.com
Russian Federation, Moscow
V. M. Lirtsman
Semashko Moscow Medical Dentistry Institute.
Email: info@eco-vector.com
Russian Federation, Moscow
S. K. Antipin
Semashko Moscow Medical Dentistry Institute.
Email: info@eco-vector.com
Russian Federation, Moscow
References
Supplementary files





