Primary Sacrum Tumors in Adults: Diagnostic Problems
- Authors: Burdigin V.N.1, Morozov A.K.1, Belayeva A.A.1
-
Affiliations:
- Priorov Central Institute of Traumatology and Orthopedics
- Issue: Vol 5, No 1 (1998)
- Pages: 3-12
- Section: Articles
- Submitted: 01.03.2022
- Accepted: 01.03.2022
- Published: 15.03.1998
- URL: https://journals.eco-vector.com/0869-8678/article/view/104020
- DOI: https://doi.org/10.17816/vto104020
- ID: 104020
Cite item
Full Text
Abstract
One hundred fifty patients, age 16-77, were examined. Forty five out of them had malignant tumors or metastatic lesions of sacrum; 105 patients had benign tumors, tumor-like diseases and inflammatory processes (3). All patients were operated on. Diagnosis was verified morphologically. Analysis of clinical-radiological symptomatology and of the results of special radiation diagnostic methods (CT, MRT) were performed. Clinical manifestations of sacrum tumors have no specific features, careful examination of a patient and anamnesis study give the possibility to detect the process pattern, but not the nosologic form. In 75,8% of patients radiologic and especially CT and MRT data allowed to determine nosologic form preoperatively. Authors emphasized that CT and MRT was the method of choice for examination of patients with sacrum tumors. The attention was directed to the necessity of the increase oncologic alertness among neurologists and orthopaedic surgeons. If sacrum tumor is suspected the patient must be referred to special medical institute which are equipped with modern radiation diagnosis systems.
Full Text
Опухоли крестца у взрослых, по нашим данным [3], составляют 40,1% от всех первичных опухолей позвоночника. Диагностика их сложна. Начальные клинические проявления сходны с проявлениями дискогенного радикулита, что приводит к диагностическим ошибкам, длительному физиотерапевтическому лечению, противопоказанному при опухолях, и позднему рентгенологическому обследованию больных. Следствием запоздалой диагностики опухолей крестца является несвоевременное проведение оперативного лечения и развитие необратимых нарушений.
С 1976 по 1997 г. в отделении костной патологии взрослых ЦИТО наблюдались 150 больных с поражением крестца в возрасте от 16 до 77 лет (77 мужчин и 73 женщины). Комплексная диагностика включала, помимо тщательного клинического обследования больных, полипозиционную рентгенографию, томографию, миелографию, цистографию, экскреторную урографию, пневмопельвиографию, радионуклидное сканирование, ангиографию, компьютерную и магнитно-резонансную томографию.
Как видно из табл. 1, в области крестца встречались практически все первичные опухоли костей, опухолеподобные процессы, вторичные опухоли и воспалительные заболевания. Среди неврогенных опухолей были менингиома, неврилеммома, эпендимома, нейрофиброма. Из 9 случаев хондросаркомы в 3 имела место первичная и в 6 — вторичная саркома. В группу прочих заболеваний вошли дермоидные кисты, липомы, атеромы, фибромы — мягкотканные образования области крестца, симулировавшие костные опухоли.
Таблица 1. Распределение больных по характеру процесса и нозологическим формам заболеваний крестца
Нозологическая форма | Всего больных | Характер процесса | |
злокачественный | доброкачественный | ||
Хордома | 54 | 9 | 45 |
Неврогенные опухоли | 20 | 6 | 14 |
Остеобластокластома | 19 | 2 | 17 |
Хондросаркома | 9 | 9 | — |
Остеогенная саркома | 5 | 5 | — |
Плазмоцитома | 3 | 3 | — |
Гемангиоэндотелиома | 1 | 1 | — |
Лимфосаркома | 1 | 1 | — |
Метастазы | 8 | 8 | — |
Остеобластома | 2 | 1 | 1 |
Остеоид-остеома | 2 | — | 2 |
Аневризмальная киста | 2 | — | 2 |
Тератома | 3 | — | 3 |
Костно-хрящевые экзостозы | 2 | — | 2 |
Воспалительные процессы | 3 | — | 3 |
Прочие заболевания | 16 | — | 16 |
Итого ... | 150 | 45 | 105 |
Злокачественные опухоли и метастазы были у 45 больных, доброкачественные опухоли, опухолеподобные заболевания и воспалительные процессы — у 105 пациентов. По данным некоторых авторов [2, 7], метастазы составляют 2/3 опухолей позвоночника. Однако на нашем материале, представленном больными отделения костной патологии взрослых ЦИТО, где проводится оперативное лечение первичных опухолей и опухолеподобных процессов, метастатические поражения, как и воспалительные и некоторые другие заболевания, оказались малочисленными (они были выявлены в процессе дифференциальной диагностики).
Наиболее часто в области крестца встречалась хордома, на долю которой приходилась 1/3 всех заболеваний и 1/2 первичных опухолей. Среди хордом, неврогенных, а также гигантоклеточных опухолей (остеобластокластом) были и злокачественные, и доброкачественные варианты. Невзирая на такое важное различие, при дальнейшем анализе мы объединили их, так как клинически и рентгенологически и те и другие проявляли себя агрессивно: поражали все элементы позвонка, распространялись на соседние позвонки и крестцово-подвздошные сочленения, рецидивировали.
Все больные были оперированы, диагноз верифицирован морфологически. Мы попытались проанализировать накопленный материал с клинических и рентгенологических позиций, выявив при этом опорные диагностические моменты, что, по нашему мнению, могло бы способствовать улучшению предоперационной диагностики поражений крестца.
В табл. 2 представлено распределение больных по возрасту и полу. Анализ этих данных позволяет отметить определенные закономерности. Так, первичные опухоли кости и неврогенные опухоли наблюдались преимущественно у лиц первой половины зрелого возраста (до 40 лет). Хордомы чаще встречались у больных 40_60 лет, что соответствует данным литературы [5, 6, 9]. Хордомой и остеогенной саркомой чаще страдали мужчины, а неврогенными опухолями и остеобластокластомой — женщины. Плазмоцитома, гемангиоэндотелиома, лимфосаркома, метастатические опухоли встречались преимущественно у лиц 40 лет и старше. Доброкачественные опухоли — остеобластома и остеоид-остеома, а также аневризмальная киста наблюдались в молодом возрасте, преимущественно во 2—3-м десятилетии жизни, причем остеобластома чаще у мужчин. Тератомы и костно-хрящевые экзостозы выявлялись во второй половине зрелого возраста (после 40 лет), первые чаще у женщин, вторые — у мужчин. Воспалительные процессы и прочие заболевания встречались одинаково часто в любом возрасте.
Таблица 2. Распределение больных по возрасту и полу
Нозологическая форма | Всего больных | Пол | Возраст, годы | |||||||
М | Ж | 16-20 | 21-30 | 31-40 | 41-50 | 51-60 | 61-70 | 71-80 | ||
Хордома | 54 | 35 | 19 | 1 | 4 | 7 | 15 | 19 | 6 | 2 |
Неврогенные опухоли | 20 | 6 | 14 | 3 | 9 | 2 | 2 | 3 | — | — |
Остеобластокластома | 19 | 8 | 11 | 4 | 8 | 5 | 1 | 1 | — | — |
Хондросаркома | 9 | 5 | 4 | 2 | 4 | 1 | 1 | 1 | — | — |
Остеогенная саркома | 5 | 4 | 1 | 2 | 2 | 1 | — | — | — | — |
Плазмоцитома | 3 | 2 | 1 | — | — | 1 | 2 | — | — | — |
Гемангиоэндотелиома | 1 | — | 1 | — | — | 1 | — | — | — | — |
Лимфосаркома | 1 | — | 1 | — | — | — | — | 1 | — | — |
Метастазы | 8 | 5 | 3 | — | — | — | 3 | 4 | 1 | — |
Остеобластома | 2 | 2 | — | 1 | 1 | — | — | — | — | — |
Остеоид-остеома | 2 | 1 | 1 | — | 1 | 1 | — | — | — | — |
Аневризмальная киста | 2 | 1 | 1 | 1 | 1 | — | — | — | — | — |
Тератома | 3 | — | 3 | — | — | — | 1 | 1 | 1 | — |
Костно-хрящевые экзостозы | 2 | 2 | — | — | — | — | 2 | — | — | — |
Воспалительные процессы | 3 | 2 | 1 | — | — | 2 | — | 1 | — | — |
Прочие заболевания | 16 | 4 | 12 | 1 | 4 | 5 | 3 | 2 | 1 | — |
Итого ... | 150 | 77 | 73 | 15 | 34 | 27 | 30 | 33 | 9 | 2 |
Клинические проявления опухолей крестца у наблюдавшихся больных отражены в табл. 3. Основным и самым главным симптомом были постоянные боли в крестце, часто с иррадиацией в промежность или тазобедренный сустав, ногу. Они отмечались у всех больных и в подавляющем большинстве случаев являлись причиной обращения к врачу. Лишь неврогенные опухоли и костно-хрящевые экзостозы длительное время существовали без боли, пациенты обращались к врачу, обнаружив опухолевидное образование. Наличие пальпируемой больным опухоли — нечастое явление при поражениях крестца. Мы встретились с ним в 10,6% случаев (26 больных).
Таблица 3. Клинические проявления опухолей крестца
Клинические проявления | Хордома (54) | Неврогенные опухоли (20) | Остеобластокластома (19) | Хондросаркома (9) | Остеосаркома (5) | Плазмоцитома (3) | Гемангиоэндотелиома (1) | Лимфосаркома (1) | Метастазы (8) | Остеобластома (2) | Остеоидостеома (2) | Аневризмальная киста (2) | Тератома (3) | Костно-хрящевые экзостозы (2) | Воспалительные процессы (3) | Прочие заболевания (16) | |
число больных | |||||||||||||||||
Боли в крестце | 54 | 20 | 19 | 6 | 5 | 3 | 1 | 1 | 8 | 2 | 2 | 2 | 3 | — | 3 | 16 | |
Наличие опухолевидного образования | 7 | — | 3 | 3 | 1 | — | — | 1 | — | — | — | — | — | 2 | — | 9 | |
Нарушение функции тазовых органов | 20 | 3 | 1 | — | 1 | — | — | — | — | — | — | — | — | — | — | — | |
Направление роста опухоли: антесакральное | 29 | 9 | 13 | 5 | 4 | 1 | — | — | 5 | 1 | — | 2 | — | — | — | 3 | |
центральное | 3 | 4 | — | — | — | — | — | — | — | — | 2 | — | — | — | 3 | 2 | |
смешанное | 15 | 4 | 3 | — | — | 2 | 1 | 1 | — | 1 | — | — | — | — | — | 2 | |
ретросакральное | 7 | 3 | 3 | 4 | 1 | — | — | — | 3 | — | — | — | 3 | 2 | — | 9 | |
Неврологической симптоматики не обнаружено | 13 | 5 | 10 | — | — | — | — | — | 1 | — | — | — | — | — | — | 4 | |
Синдром «крестцовой елочки» | 33 | 9 | 6 | 4 | 4 | 2 | — | 1 | 5 | — | — | 1 | — | — | — | — | |
Преимущественное поражение верхних крестцовых корешков | 4 | 4 | 3 | 5 | 1 | 1 | 1 | — | 2 | 2 | 2 | 1 | — | 2 | — | — | |
Вторичные крестцовые боли | 4 | 2 | — | — | — | — | — | — | — | — | — | — | 3 | — | 1 | 12 | |
Нижняя параплегия | 1 | 1 | — | — | — | — | — | — | — | — | — | — | — | — | — | — | |
Парезы | — | 2 | 1 | 3 | — | — | — | — | — | — | — | — | — | — | — | — | |
Средняя длительность заболевания, годы | 3,5 | 5 | 4,5 | 1,5 | <1 | 5 | 2 | 3 | >1 | 2 | 1,5 | 1 | 5 | 10 | 0,6 | 2 | |
Примечание. В скобках указано число наблюдавшихся больных с данной нозологической формой.
Примерно такой же была частота столь грозного симптома, как нарушение функции тазовых органов (25 больных). Степень его была различной — от легких дизурических расстройств и запоров до выраженной задержки мочи с выявлением парадоксальной ишурии, недержания газов и стула при синдроме «крестцовой елочки» или затруднения актов мочеиспускания и дефекации (при сохранении позывов на них) вследствие давления опухоли на органы малого таза. Больные часто не могут отчетливо объяснить эти симптомы, и от врача требуются дополнительные наводящие вопросы для уточнения характера нарушения функции тазовых органов [5].
Третий важнейший клинический симптом — неврологические расстройства, сопровождающие крестцовые боли. Сами боли часто имели вторичный характер и были связаны с давлением опухоли и вовлечением в процесс спинномозговых корешков, расположенных на поверхности крестца или в его отверстиях. Неврологическая симптоматика наблюдалась у 78,5% обследованных нами больных. Оценка ее проводилась в соответствии с рекомендациями С.Т. Зацепина [5]. Выделялся синдром «крестцовой елочки» при поражении второго и ниже расположенных крестцовых позвонков. Поражение верхних крестцовых корешков, иногда с вовлечением корешка L5, S1 и крестцового сплетения, сопровождалось иррадиацией болей в конечность, выпадением рефлексов, развитием параплегий (2 больных) и парезов (6). Неврологическая симптоматика зависела и от направления роста опухоли. Каждого больного с подозрением на опухоль крестца обследовали через прямую кишку, при этом определялось наличие мягкотканного образования. Чаще всего опухоль росла в полость малого таза — антесакрально (48% больных), реже она пальпировалась под кожей в области крестца — ретросакральный рост (23,3%), еще реже имелся смешанный (19%) и центральный (9,7%) тип роста.
Перечисленные клинические симптомы — боли в крестце, наличие опухолевидного образования, направление его роста, неврологические проявления не имели каких-либо особенностей, более или менее характерных для той или иной из представленных нозологических форм, т.е. по этим симптомам можно было предположить характер процесса — опухоль крестца, но нельзя было судить о ее нозологической принадлежности.
Несколько более информативной можно считать среднюю продолжительность заболевания. Она явно меньше при метастатическом поражении, чем при первичных опухолях и опухолеподобных процессах. Среди злокачественных опухолей наиболее быстрым течением и коротким анамнезом отличались остеогенная саркома, хондросаркома, наиболее длительный анамнез отмечался при неврогенных опухолях.
Известное значение для определения доброкачественности или злокачественности процесса имеют данные динамического наблюдения за больным. Быстрое нарастание клинических и неврологических симптомов, увеличение опухоли свидетельствуют об инфильтративном характере роста. Подобное течение заболевания наблюдалось при остеобластокластоме, хордоме, злокачественных неврогенных опухолях и вторичных хондросаркомах. Склонность к рецидивированию после оперативного лечения имели хордома, хондросаркома, неврогенные опухоли, остеобластокластома и гемангиома.
Лабораторные данные в некоторых случаях помогают уточнить диагноз миеломной болезни и воспалительного процесса. Так, развитие анемии, повышение СОЭ, выявление парапротеинемического пика М-градиента на электрофореграмме крови и увеличения количества плазматических клеток при цитологическом исследовании материала стернальной пункции являются решающими в постановке диагноза миеломной болезни. Воспалительная реакция крови характерна для спондилита. Но, к сожалению, перечисленные симптомы непостоянны.
Таким образом, клиническая симптоматика при ее тщательном анализе давала основание поставить диагноз опухоли крестца, но не имела опорных точек для уточнения нозологической формы.
Без рентгенологического обследования диагностика опухолей крестца немыслима. Анализируя результаты традиционной рентгенографии, мы попытались выяснить, какие отделы крестца поражались чаще всего. Как видно из табл. 4, поражались все отделы крестца, но особенно часто его нижние сегменты. Обращает на себя внимание множественность поражения позвонков. Один крестцовый позвонок был поражен лишь у 2 (1,5%) больных с неврогенной опухолью; поражение двух позвонков отмечалось в 15%, трех — в 26,8%, четырех — в 38%, пяти — в 18,6% случаев. Наиболее частым было поражение четырех позвонков. Обширные разрушения (четырех—пяти позвонков) наблюдались при хордоме (63%), остеобластокластоме (63%), хондросаркоме (66%). Локализация и число пораженных позвонков также не имели решающего значения для установления нозологической формы опухоли — можно лишь отметить факт наиболее обширных разрушений при первичных злокачественных опухолях.
Таблица 4. Локализация процесса и число пораженных позвонков у обследованных больных
Нозологическая форма | Всего больных | L5—S3 | S1 S1—S2 | S1—S3 | S1—S4 | S1—S5 | S2 | S2—S3 | S2—S4 | S2—S5 | S2—S5 | S2—Cgl | S3—S4 | S3—S5 | S3—Cgl | S4—S5 | S4—Cgl |
Хордома | 54 | — | — 2 | 3 | 1 | 4 | — | 3 | 3 | 11 | 4 | 2 | 2 | 7 | 5 | — | 7 |
Неврогенные опухоли | 20 | 1 | 1 2 | 3 | 1 | 2 | 1 | 1 | 1 | 1 | 1 | 1 | 1 | 2 | 1 | — | — |
Гигантоклеточные опухоли | 19 | 1 | — 1 | 3 | 1 | 3 | — | — | — | 3 | 3 | 1 | — | 3 | — | — | — |
Хондросаркома | 9 | — | — 1 | 2 | 2 | — | — | — | — | 1 | 3 | — | — | — | — | — | — |
Остеогенная саркома | 5 | 1 | — — | — | 1 | 1 | — | — | 1 | — | — | — | — | 1 | — | — | — |
Плазмоцитома | 3 | — | — 1 | 1 | 1 | — | — | — | — | — | — | — | — | — | — | — | — |
Г емангиоэндотелио- ма | 1 | — | — | — | — | — | — | 1 | — | — | — | — | — | — | — | — | — |
Лимфосаркома | 1 | — | — 1 | — | — | — | — | — | — | — | — | — | — | — | — | — | — |
Остеобластома | 2 | — | — | 1 | — | — | — | — | — | — | 1 | — | — | — | — | — | — |
Остеоид-остеома | 2 | — | — | — | — | — | — | — | — | — | 2 | — | — | — | — | — | — |
Тератома | 3 | — | — | — | 1 | — | — | 2 | — | — | — | — | — | — | — | — | — |
Метастазы | 8 | — | — | 1 | — | 4 | — | — | 1 | 2 | — | — | — | — | — | — | — |
Аневризмальная киста | 2 | — | — | 1 | — | — | — | 1 | — | — | — | — | — | — | — | — | — |
Костно-хрящевые экзостозы | 2 | 1 | — | 1 | — | — | — | — | — | — | — | — | — | — | — | — | — |
Воспалительные процессы | 3 | 1 | — | 1 | — | — | — | — | — | — | — | — | — | — | — | 1 | — |
Прочие заболевания | 16 | Не имелось костных поражений | |||||||||||||||
Итого ... | 150 | 5 | 1 8 | 17 | 8 | 14 | 1 | 8 | 6 | 18 | 14 | 4 | 3 | 13 | 6 | 1 | 7 |
* Боковая масса крестца.
Рентгенологическая характеристика очагов поражения крестца представлена в табл. 5. Учитывались все возможные параметры рентгеновского отображения патологического очага, и многие из них для разных нозологических форм оказались различными (например, характер деструкции, состояние коркового слоя, локализация в позвонке и др.). Однако получить детальную рентгенологическую характеристику очага можно только при использовании в дополнение к традиционной рентгенографии специальных методов лучевой диагностики. Недостаточная информативность традиционной рентгенографии, связанная с суммационным отображением очага деструкции, в большом проценте случаев не позволяла сделать заключение, совпадающее с морфологическим.
Таблица 5. Рентгенологическая характеристика очага поражения у обследованных больных
Характеристика | Хордома | Неврогенные опухоли | Остеобластокластома | Хондросаркома | Остеосаркома | Плазмоцитома | Гемангиоэндотелиома | Лимфосаркома | Метастазы | Остеобластома | Остеоидостеома | Аневризмальная киста | Тератома | Костнохрящевые экзостозы | Воспалительные процессы |
число больных | |||||||||||||||
Очаг деструкции: солитарный | 54 | 20 | 19 | 9 | 5 | 3 | 1 | 1 | 6 | 2 | 2 | 2 | 3 | 2 | 3 |
множественный | — | — | — | — | — | — | — | — | 2 | — | — | — | — | — | — |
Характер деструкции: остеолитический | 53 | 18 | 15 | — | 3 | 3 | 1 | 1 | 8 | — | — | 2 | 2 | — | 3 |
смешанный | 1 | 2 | — | 9 | 2 | — | — | — | — | 2 | 2 | — | — | 2 | — |
ячеистый | — | — | 4 | — | — | — | — | — | — | — | — | — | 1 | — | — |
Обызвествление: выраженное | 1 | 2 | 3 | 7 | 1 | — | — | — | — | 2 | 2 | — | — | 2 | — |
отсутствует | 52 | 18 | 16 | 2 | 4 | 3 | 1 | 1 | 8 | — | — | 2 | 3 | — | 3 |
хлопьевидное | 1 | — | — | — | — | — | — | — | — | — | — | — | — | — | — |
Костная граница: отчетливая | — | — | — | — | — | — | — | — | — | 2 | 2 | — | — | — | — |
неотчетливая | — | — | — | — | — | — | — | — | — | — | — | — | — | — | — |
в виде «скорлупы» | — | — | — | — | — | — | — | — | — | — | — | 2 | — | — | — |
Расположение очага: центральное | 54 | 20 | — | — | — | 3 | 1 | 1 | 5 | — | — | — | — | — | 3 |
эксцентричное | — | — | 19 | 9 | 5 | — | — | — | 3 | 2 | 2 | 2 | 3 | 2 | — |
корни дуг | — | — | 4 | — | — | — | — | — | — | 2 | 2 | 2 | — | — | — |
отростки | — | — | 3 | — | — | — | — | — | — | — | — | — | — | — | — |
боковая масса | 17 | 9 | 12 | — | — | — | — | — | — | 2 | 2 | 2 | 2 | — | — |
крестца | — | — | — | — | — | — | — | — | — | — | — | — | — | — | — |
Кортикальный слой: вздутие | — | — | — | — | — | — | — | — | — | — | — | 2 | — | — | — |
разрушение | 54 | 20 | 19 | 9 | 5 | 3 | 1 | 1 | — | 2 | — | 2 | 3 | — | — |
Мягкотканный компонент: отсутствует | — | — | — | — | — | — | — | — | — | — | — | — | — | — | — |
антеградный | 42 | 12 | 16 | 5 | — | 1 | 1 | 1 | 4 | 1 | — | — | — | — | 1 |
ретроградный | 7 | 3 | 3 | 4 | — | 1 | — | — | — | — | — | — | — | 2 | — |
смешанный | 5 | 5 | — | — | — | 1 | — | — | 3 | 1 | — | — | — | — | — |
центральный | — | — | — | — | — | — | — | — | 1 | — | — | — | — | — | 2 |
с отчетливой границей | — | — | — | — | — | — | — | — | — | 2 | 2 | 2 | — | 2 | — |
с неотчетливой границей | 52 | 18 | 16 | 9 | 5 | 3 | 1 | 1 | 8 | — | — | — | 3 | — | 3 |
с участками склероза | 2 | 2 | 3 | — | — | — | — | — | — | 2 | 2 | 2 | — | 2 | — |
Огромное значение в распознавании опухолей крестца имеют КТ и МРТ, которые детализируют семиотику очага поражения и дают неоценимую дополнительную информацию, уточняющую практически все его характеристики [1, 8, 9].
На КТ четко определялись локализация очага, его характер, выявлялись хлопьевидные обызвествления в мягкотканном компоненте (которые отчетливо не дифференцировались на традиционных рентгенограммах), границы с костной тканью, окружающими органами, структура очага, нарушения кортикального слоя, его реакция и др. (рис. 1).
Рис. 1. Больной О., 19 лет. Диагноз: остеогенная саркома крестца, рецидив. КТ.
Состояние после резекции правого крестцово-подвздошного сочленения с замещением дефекта трубчатым аллотрансплантатом. Рецидив остеогенной саркомы S1. Отчетливо прослеживается структура рецидивного узла. Справа — объемная реконструкция изображения.
Исследование показало, что для первичных опухолей и опухолеподобных заболеваний крестца характерна остеолитическая деструкция (рис. 2). Смешанная деструкция встречается реже и более присуща хондросаркоме. Остеобластическая деструкция — специфический симптом метастатического поражения. Кистозная структура очага соответствует остеолитической форме деструкции. Ячеистая, сетчатая структура характерна для гемангиомы, встречается также при остеобластокластоме (рис. 3) и неврогенных опухолях. Груботрабекулярная перестройка, соответствующая на КТ структуре ткани «в горошек», — специфический симптом гемангиомы. Мелкоочаговая деструкция характерна для миеломной болезни и метастатического поражения. Обызвествление очага, не связанное с лучевой терапией, присуще хондросаркоме и туберкулезному спондилиту. При хордоме имеется обызвествление по периферии опухоли, которое часто выявляется только на КТ. Наличие секвестра — характерный симптом спондилита. Четкие контуры очага деструкции присущи неврогенным опухолям и непостоянны при остеобластокластоме, хордоме и гемангиоме. Остеосклероз смежных с очагом деструкции отделов кости характерен для неспецифического спондилита и может наблюдаться при неврогенных опухолях. Симптом вздутия коркового слоя позвонка отличает неврогенные опухоли и гемангиому, другие опухоли чаще разрушают корковый слой. При нарушении его целости опухоль может расти как экстравертебрально, так и в эпидуральное пространство, что отчетливо выявляется при КТ и МРТ. Интраэкстрадуральная локализация неврилеммомы обусловливает специфический симптом «песочных часов» (рис. 4).
Рис. 2. Больной М., 40 лет. Диагноз: хордома S1-S5. КТ.
Остеолитическая деструкция крестца и его боковых масс. Огромный внутритазовый мягкотканный компонент опухоли, смещающий прямую кишку кпереди. По периферии опухоли отдельные обызвествления.
Рис. 3. Больной М., 43 лет. Диагноз: злокачественная остеобластокластома крестца.
a — обзорная рентгенограмма в прямой проекции; б — КТ: остеолитический очаг деструкции крестца и его боковых масс с внутритазовым компонентом, отдельные участки обызвествления и костеобразования в толще опухоли.
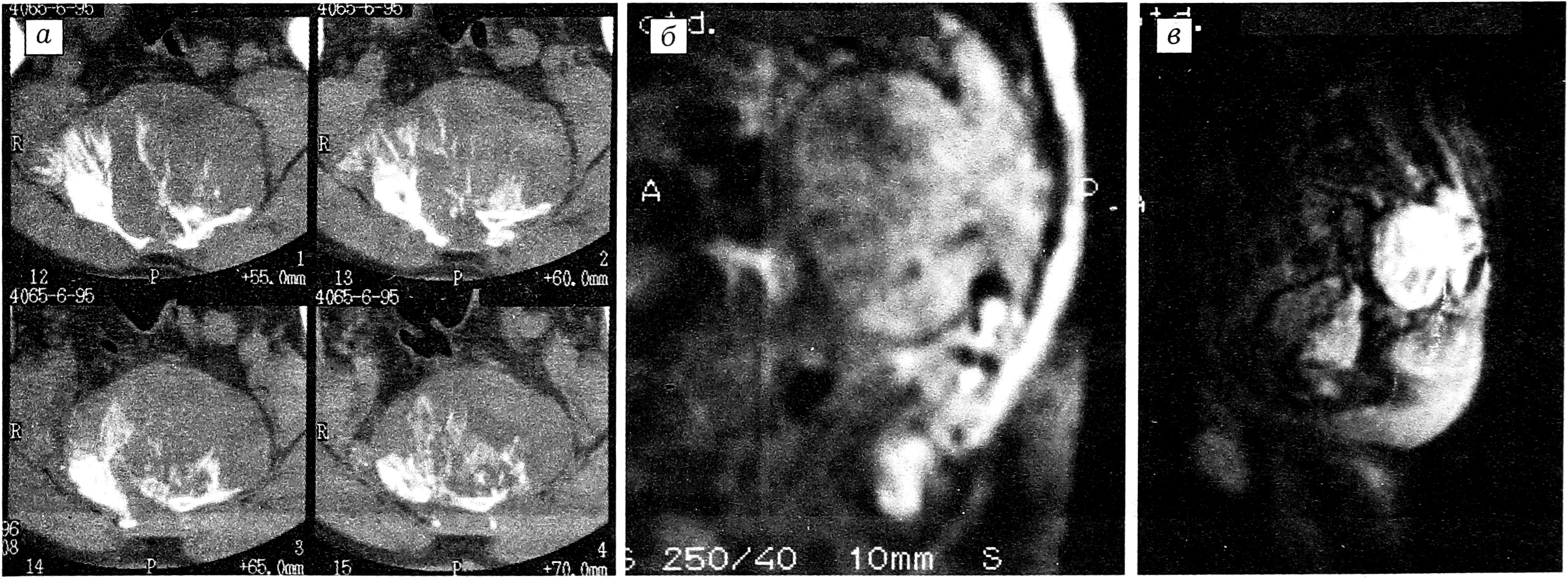
Рис. 4. Больной М., 34 лет. Диагноз: неврилеммома S3-S5, рецидив, озлокачествление.
a — аксиальная КТ: остеолитический очаг деструкции S3-S5, экстравертебральный компонент опухоли, грубые обызвествления и костеобразование; б — Т1 взвешенные МРТ в сагиттальной проекции: изоинтенсивный гетерогенный сигнал от опухоли в форме «песочных часов», гипоинтенсивный сигнал от капсулы; в — Т2 взвешенные МРТ в сагиттальной проекции: гиперинтенсивный сигнал от опухоли.
Нередко развитие опухоли и воспалительного процесса сопровождается формированием мягкотканного компонента, проявляющегося в виде односторонней или двусторонней муфтообразной тени. Натечный абсцесс при туберкулезном спондилите отличается именно муфтообразной тенью с признаками обызвествления казеозных масс. При неспецифическом спондилите разрастания грануляционной ткани, как правило, имеют одностороннюю локализацию. Псевдонатечник иногда наблюдается при миеломной болезни, гемангиоме, но в отличие от туберкулезного спондилита в этих случаях отсутствует обызвествление.
Распространение деструкции на дугу позвонка позволяет судить о характере процесса. Вздутие корня дуги может наблюдаться при гемангиоме, остеобластокластоме и чрезвычайно характерно для остеоид-остеомы и остеобластомы. Разрушение контура корня дуги отличает метастатическое поражение от миеломной болезни, при которой этот симптом возможен лишь на поздних стадиях развития. Снижение высоты межпозвонкового пространства, нечеткость замыкательных пластинок, контактная деструкция тел позвонков — ведущие симптомы спондилита. При этом для туберкулезного спондилита характерна более глубокая деструкция, что связано с особенностями локализации туберкулезного остита — в центральных отделах тела, тогда как при неспецифическом спондилите очаг располагается вблизи замыкательной пластинки.
Патологический перелом — грозное осложнение опухолевого и воспалительного процессов. Однако при опухолях крестца оно встречается редко, что объясняется ранним исключением нагрузок на крестец из-за болевого синдрома и неврологических нарушений.
МРТ существенно расширяет возможности распознавания опухолей крестца, в ряде случаев увеличивая список дифференциально-диагностических критериев [1, 3, 4, 6]. Большинство костных опухолей и. воспалительных заболеваний позвоночника в режиме Т1 взвешенного изображения (ВИ) имеют гипоинтенсивный или изоинтенсивный сигнал, в то время как в режиме Т2 ВИ — гиперинтенсивный. Гипоинтенсивный сигнал в режиме Т2 ВИ имеют остеобластические метастазы. Специфический симптом гемангиомы — гетерогенный гиперинтенсивный сигнал в режимах Т1 и Т2 ВИ. Гетерогенный сигнал возможен при неврогенных опухолях, хондросаркоме, туберкулезном спондилите. На МРТ хорошо выявляются костные и фиброзные перегородки, фиброзная капсула: они дают гипоинтенсивный сигнал, тогда как сама опухоль — гиперинтенсивный (см. рис. 4 и 5).
Рис. 5. Больной К., 62 лет. Диагноз: опухоль левой почки, метастатическое поражение крестца и его боковой массы справа.
а — обзорная рентгенограмма в прямой проекции: костной патологии не обнаруживается; б — МРТ: опухоль S1-S3 с поражением боковой массы крестца справа. Гетерогенный гиперинтенсивный сигнал в режиме Т2. Подозрение на опухоль левой почки; в — КТ: остеолитический очаг в телах S1-S3 и боковой массе крестца справа, контуры очага четкие; г — КТ левой почки: опухоль, занимающая всю верхнюю часть лоханки.
Подводя итоги, необходимо сказать, что диагностика патологии крестца всегда представляет значительную трудность. Об этом свидетельствуют позднее поступление больных в специализированные лечебные учреждения, неадекватное лечение на ранних этапах, обширность поражения, развитие тяжелой неврологической симптоматики.
И в специализированном стационаре установление характера процесса и особенно дооперационное распознавание нозологической формы опухоли нередко весьма и весьма сложны. Основное и решающее значение в диагностике имеет характеристика очага деструкции крестца: его локализация (тело, дуга), вид деструкции, однородность, костеобразование, обызвествления, отношение к кортикальному слою, замыкательным пластинкам, дискам, распространение на соседние позвонки, выход в мягкие ткани малого таза или рост в ретросакральном направлении, взаимоотношение с окружающими тканями, их ответная реакция на процесс и т.д. Традиционная рентгенография, дающая суммационное изображение, не позволяет получить ответ на многие из этих вопросов. Сделать это помогают МРТ и КТ, а иногда и другие контрастные методы исследования. Получение полной, детализированной рентгенологической информации об очаге поражения возможно только при использовании КТ и МРТ. Применение этих методов при обследовании больных с патологией крестца абсолютно необходимо — тем более что биопсия патологического очага в крестце не всегда возможна и не всегда результативна. В наших наблюдениях она применялась не более чем у 50% больных. Однако использование всего комплекса клинико-рентгенологических приемов и методик позволило установить до операции диагноз, совпадающий с морфологическим, у 75,8% пациентов.
Из всего изложенного вытекают следующие выводы:
1) необходимо повысить онкологическую настороженность врачей-невропатологов и ортопедов, занимающихся лечением больных с вертеброгенной пояснично-крестцовой патологией. При пояснично-крестцовых болях всегда следует помнить не только о дискогенном радикулите, но и об опухолях крестца и спинально-корешковых структур;
2) при упорных прогрессирующих радикулярных болях в пояснично-крестцовой области больные до применения физиотерапии обязательно должны направляться на рентгенографию пояснично-крестцовой области, УЗИ и другие дополнительные исследования;
3) при подозрении на опухоль крестца больных необходимо направлять в специализированные лечебные учреждения, располагающие современными видами лучевой диагностики;
4) КТ и МРТ являются методами выбора в диагностике опухолей крестца.
About the authors
V. N. Burdigin
Priorov Central Institute of Traumatology and Orthopedics
Author for correspondence.
Email: info@eco-vector.com
Russian Federation, Moscow
A. K. Morozov
Priorov Central Institute of Traumatology and Orthopedics
Email: info@eco-vector.com
Russian Federation, Moscow
A. A. Belayeva
Priorov Central Institute of Traumatology and Orthopedics
Email: info@eco-vector.com
Russian Federation, Moscow
References
Supplementary files







