Application of Irradiated Bone Replants in Surgical Treatment of Osteogenic Sarcoma in Children
- Authors: Bizer V.A.1, Kurilchik A.A.1, Sidorchenkov V.O.1
-
Affiliations:
- Medical Radiological Scientific Center
- Issue: Vol 5, No 1 (1998)
- Pages: 20-24
- Section: Articles
- Submitted: 01.03.2022
- Accepted: 01.03.2022
- Published: 15.03.1998
- URL: https://journals.eco-vector.com/0869-8678/article/view/104259
- DOI: https://doi.org/10.17816/vto104259
- ID: 104259
Cite item
Full Text
Abstract
Ten children, aged 8-16, with osteogenic sarcoma received complex treatment which included distant gammairradiation in total focal dose of 36 Gy with chemotherapy (Pt drugs) and subsequent surgical intervention. Operation was performed 3-6 months after chemotherapy in case of stabilization of local tumor process and absence of metastases. Peculiarity of surgical tactics consisted in the following: in the operating room the resected bone with tumor (often it was the distal articular end of the femur) was subjected to single electronic bunch irradiation in 60 Gy dose and after that it was replanted. X-ray control showed that the reconstruction of irradiated replants implanted into irradiated tissues developed slowly and did not complete by the 3rd observation year. However, it did not prevent the replant from functioning as a prosthesis. In 30% of patients postoperative complications, i.e. suppuration, were noted. Four patients died. Six patients are alive, 4 out of them have follow-up period over 2 years and 2 patients — over 3 years. Authors conclude that in appropriate indications and simulataneous irradiation autobone-replants can be used for the substitution of bone defects.
Full Text
Лечение больных со злокачественными опухолями опорно-двигательного аппарата, и в частности остеогенной саркомой, предусматривает комплексное использование ионизирующего излучения, химиотерапии и хирургического вмешательства. Ведущим звеном в этом комплексе является адекватная радикальная операция.
Появление новейшей радиологической аппаратуры и противоопухолевых препаратов создало условия для применения сберегательных операций, которые сопровождаются замещением дефектов костей. В качестве пластического материала широкое распространение получили ауто- и аллокость, эндопротезы, использование которых увеличило возможности костно-пластической хирургии [7, 9, 11, 18, 19, 20].
Благодаря аллопластике существенно изменился характер некоторых оперативных вмешательств, особенно в детской ортопедии. Применение консервированной кости не только значительно сокращает продолжительность и объем костно-пластических операций: проведение более радикальных вмешательств резко уменьшает опасность рецидивирования заболевания [5].
Онкологическая адекватность при удалении злокачественных опухолей костей, помимо радикальности и абластичности операции, предполагает и максимально возможное восстановление анатомических и функциональных свойств сегмента или органа в целом [2, 14]. Необходимость удаления суставных концов костей, где чаще всего локализуется остеогенная саркома, ставит перед хирургом ортопедические проблемы. Замещение дефектов суставных концов консервированными трансплантатами после успешной разработки в эксперименте [10] прочно заняло свое место в клинике у взрослых [3, 4, 12, 21].
Случаи пересадки суставов у детей включены в общую статистику разбираемых больных. Однако, как отмечают М.В. Волков и соавт. [5], А.П. Бережный и соавт. [1], они требуют отдельного рассмотрения, поскольку в силу анатомофизиологических особенностей растущего организма задача восстановления опорной и двигательной функции у детей во многом решается иначе, чем у взрослых. Малочисленность наблюдений по пересадке суставных концов костей после удаления опухолей у детей (в сообщении М.В. Волкова и В.А. Бизера [5] — 10 больных, Ю.В. Пашкова [15] — 10, А.П. Бережного и соавт. [1] — 16) объясняется не только трудностями подбора суставного аллотрансплантата от взрослого донора, но и иммунологическими проблемами, возникающими при пересадке аллогенных суставных концов.
Таким образом, каждому из способов пересадки при всех их положительных качествах присущи и свои недостатки. Массивные аллотрансплантаты отличаются медленной и несовершенной консолидацией с костью реципиента, а со временем могут подвергаться переломам, рассасыванию и фрагментации [1, 9]. Эндопротезы как инородный материал могут вызвать реакцию окружающих тканей в виде металлоза или поздних нагноений [16]. Применение же аутокости ограничивает возможности хирурга при необходимости замещения обширных дефектов, не говоря уже о том, что безусловные достоинства аутопластики несколько снижаются при использовании ее в детской практике [5].
Все сказанное выше заставляет постоянно искать новые способы замещения дефектов при реконструктивных операциях у онкологических больных. Одним из таких способов является пересадка облученной аутокости вместе с опухолью. Экспериментальные исследования Е.Н. Саутина [17] показали, что облучение лиофилизированной костной ткани дает возможность получить стерильный материал, сохраняющий свои пластические свойства. Основываясь на этих экспериментальных данных, М.В. Волков [6] впервые в нашей стране произвел в ЦИТО 11.05.82 пересадку одномоментно облученного в дозе 50 Гр резецированного метадиафиза большеберцовой кости у больного 14 лет со злокачественной остеобластокластомой. Идея пересадки облученного реплантата кости успешно разрабатывается в эксперименте коллективом исследователей Онкологического научного центра [13]. К настоящему времени произведена сегментарная резекция длинной кости у 31 собаки со спонтанной остеосаркомой; резецированные фрагменты после охлаждения облучали в дозе 100- 120 Гр и реплантировали в дефект. Осложнения были связаны в основном с раневой инфекцией.
В радиологическом отделении МРНЦ за период с 1994 г. реплантация облученной кости, пораженной опухолью, выполнена у 10 больных остеогенной саркомой в возрасте 8-16 лет. У 7 из них опухоль локализовалась в дистальном, у 1 — в проксимальном метаэпифизарном отделе бедра и у 2 — в метаэпифизарном отделе большеберцовой кости. В соответствии с принятой в отделении тактикой двухэтапного комплексного лечения больных остеогенной саркомой на первом этапе проводилось химиолучевое лечение, а на втором, через 3-6 мес, при условии стабилизации местного процесса и отсутствии метастазов, решался вопрос об операции.
Дистанционная лучевая терапия осуществлялась на гамма-установке «Агат Р2» с двух противолежащих полей в разовой очаговой дозе 6 Гр три раза в неделю до суммарной очаговой дозы (СОД) 36 Гр, что при пересчете на классическое фракционирование составляет 60 Гр. Одновременно с лучевой терапией проводились курсы химиотерапии производными платины из расчета 120 мг/м2 с интервалами в 3-4 нед.
Спустя 2-6 мес (в среднем через 3 мес) у всех больных была выполнена резекция суставного конца с мышечно-фасциальным футляром, отступя от края пораженной кости на 5-6 см. Удаление опухоли сопровождалось образованием значительного дефекта. Размер опухоли по длиннику, как правило, превышал 10 см, составляя в среднем 12 см. Длина дефекта варьировала от 13 до 19 см. Выделение кости производили со стороны диафиза к суставу. Одной из особенностей операции являлось то, что после извлечения кости с опухолью при помощи долота по возможности удалялся экстраоссальный компонент опухоли, а длинной кюреткой — опухолевые массы, расположенные по ходу костномозгового канала. После удаления видимых опухолевых масс пораженная кость экстракорпорально подвергалась облучению. Облученную кость реплантировали и фиксировали интрамедуллярно введенным металлическим стержнем.
Интраоперационное экстракорпоральное облучение резецированной кости проводилось электронным пучком на медицинском ускорителе «Микротрон-М». Предварительно с целью выбора оптимальных параметров интраоперационного облучения были проведены дозиметрические исследования на фантоме. В связи с неодинаковым поперечным сечением суставного конца на его протяжении метадиафиз резецированной кости для коррекции смещения изодозных кривых оборачивался стерильными салфетками, смоченными в физиологическом растворе, до выравнивания поперечного сечения реплантата по всей его длине. Облучение резецированной кости с опухолью проводили однократно с двух встречных полей до СОД 60 Гр по 80% изодозе. Конец резецированной кости на протяжении 2 см облучению не подвергали.
После операции конечность укладывали в гипсовую лонгету, которую по снятии швов заменяли на глухую гипсовую повязку.
Наблюдение за перестройкой реплантата велось методом рентгенологического контроля, который осуществлялся в сроки от 30 дней до 3 лет. Перестройку облученного реплантата оценивали по изменениям в кортикальной кости, в структуре пересаженного реплантата, особое внимание обращали на изменения в структуре оставшейся опухоли и на состояние эпифизарной хрящевой пластинки и покровного суставного хряща.
Перестроечные процессы в реплантатах начинались через месяц после операции и выражались в образовании нежной эндостальной мозоли, проявлявшейся в виде гомогенной, бесструктурной тени, и периостальной мозоли в виде «мостика» между фрагментами материнской кости и реплантатом. Опилы кости через месяц теряли четкость контуров.
Пик перестройки приходился на период 6-8 мес после операции. У 50% больных к этому сроку в реплантатах начинали обнаруживаться изменения кортикального слоя, выражавшиеся в его разволокнении и появлении волнистых контуров. Мозоль становилась муфтообразной, циркулярной, восстанавливалась непрерывность кортикального слоя. Исчезала щель между фрагментами, опилы кости не прослеживались.
К 6-8-му месяцу более чем у половины больных появлялись изменения в структуре реплантата: на рентгенограммах отмечались смазанность трабекулярного рисунка и изменения в сохранившейся внутри- и внекостной части опухоли — уменьшение плотности и размеров остеопластических очагов деструкции и частичная резорбция внекостного компонента. Обнаруживались начальные признаки остеопороза. В эти же сроки определялись изменения со стороны суставного хряща: контуры его теряли четкость, появлялась волнообразная деформация, исчезала эпифизарная хрящевая пластинка, появлялась деформация эпифиза, уменьшалась его высота.
К году после операции у большинства больных усиливались разволокнение и истончение кортикального слоя. К этому же времени у всех пациентов четко прослеживалась мозоль в виде костной плотности муфтообразной тени с полным восстановлением непрерывности кортикального слоя между фрагментами. Нарастали изменения в суставном хряще реплантата — увеличивались его разрыхленность и истончение (вплоть до полного исчезновения), усиливалась деформация эпифиза в виде сминания и уменьшения высоты.
Через 2-2,5 года контуры кортикального слоя реплантата либо становились четкими — исчезала его волнистость и разволокненность, либо не прослеживались — кортикальный слой замещался губчатой костью, в связи с чем весь реплантат приобретал структуру губчатой кости без дифференцировки на слои.
В качестве иллюстрации приводим одно из наблюдений.
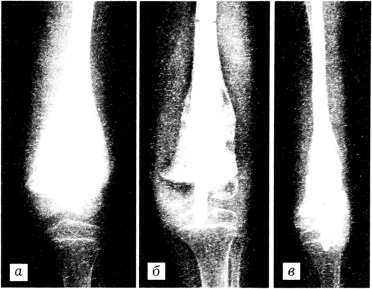
Больной В., 8 лет, поступил в радиологическое отделение МРНЦ 16.02.95. При поступлении диагностирована остеогенная саркома нижней трети левой бедренной кости (см. рисунок, а). Диагноз подтвержден данными морфологического исследования. Больному проведены облучение опухоли в СОД 36 Гр и химиотерапия цисплатином. 26.05.95, через 3 мес после лучевого и химиолечения произведена операция: резекция суставного конца бедренной кости на протяжении 17 см, однократное облучение его в дозе 60 Гр и реплантация с фиксацией металлическим штифтом (см. рисунок, б). Заживление первичным натяжением. После операции проведено 2 курса химиотерапии производными платины. Через 1,5 года после операции определяется сращение фрагментов кости, восстановление непрерывности ее кортикального слоя (см. рисунок, в). Больной остается под наблюдением.
Рис. 1. Рентгенограммы больного В. с остеогенной саркомой нижней трети левой бедренной кости.
a — при поступлении; б — после резекции суставного конца бедренной кости и пересадки предварительно облученного реплантата с фиксацией металлическим штифтом; в — через 1,5 года после операции: сращение фрагментов кости, восстановление непрерывности кортикального слоя.
Стабилизация костных фрагментов в послеоперационном периоде является одним из факторов, обеспечивающих успех костно-пластической операции. У наших больных иммобилизация оперированной конечности проводилась на протяжении 10—14 мес с заменой в последующем глухой гипсовой повязки на лечебный ортопедический аппарат. Нагрузка конечности во всех случаях разрешалась не ранее чем через год после операции. К этому времени пациентам проводился курс ЛФК с целью коррекции гипотрофии мышц.
Послеоперационные осложнения наблюдались у 3 (30%) больных и были связаны с нагноением в ране. Из-за обширности нагноительного процесса и безуспешности консервативных мероприятий одному больному через 3 мес после операции произведена ампутация.
Длительность жизни в сроки 3 года и более прослежена у всех 10 больных. Метастазы выявлены у 4 из них через 6~8 мес от начала лечения. Умерли 4 человека, продолжают наблюдаться 6 больных, из них 4 — более 2 лет, 2 — более 3 лет. В оценке эффективности лечения использован моментный метод построения таблиц дожития [8]: 2 года жили 75,0±15,0% больных, без метастазов и рецидивов в тот же срок наблюдаются 63,5±12,7% больных.
Проблема пересадки облученной кости реципиента в облученные ткани тесно связана с вопросами теории костной пластики, касающимися процессов костеобразования. При костно-пластической операции, завершающей комбинированное химиолучевое лечение, складываются качественно новые условия в воспринимающем ложе, обусловленные фиброзным изменением тканей после лучевого лечения и вторичными изменениями сосудов.
У наших больных предоперационная дистанционная гамма-терапия в СОД 36 Гр, недостаточная для полной эрадикации саркомы, была дополнена «вспомогательным» экстракорпоральным одноразовым облучением реплантата электронами в дозе 60 Гр. Реплантируемая облученная аутокость выполнила роль идеального трансплантата, заместившего дефект кости.
Перестройка и замещение облученного реплантата происходили в соответствии с общими закономерностями, присущими трансплантации кости. Однократное облучение не оказывало отрицательного влияния на консолидацию костных фрагментов и формирование кортикального слоя в реплантате. В процессе перестройки отмечена частичная резорбция очагов патологического костеобразования и ни в одном случае не выявлено рецидивного роста. Вместе с тем суставной хрящ и эпифизарная хрящевая пластинка претерпевали дегенеративные изменения, в связи с чем эпифиз деформировался, нарушая конгруэнтность суставных поверхностей.
Процессы перестройки в реплантированном суставном конце кости протекали медленнее, чем в трансплантатах из замороженной кортикальной аллокости, и к 3-му году наблюдения были далеки от завершения. Это обусловлено, по нашему мнению, величиной реплантируемой кости и в еще большей степени — послелучевыми изменениями в мягких тканях воспринимающего ложа.
Клинические наблюдения по реплантации однократно облученного в большой дозе суставного конца у детей и подростков позволяют считать, что этот способ пластики может при определенных показаниях и условиях использоваться для замещения дефектов костей после удаления остеогенной саркомы.
About the authors
V. A. Bizer
Medical Radiological Scientific Center
Author for correspondence.
Email: info@eco-vector.com
Russian Federation, Obninsk
A. A. Kurilchik
Medical Radiological Scientific Center
Email: info@eco-vector.com
Russian Federation, Obninsk
V. O. Sidorchenkov
Medical Radiological Scientific Center
Email: info@eco-vector.com
Russian Federation, Obninsk
References
Supplementary files



