Orthopaedic Treatment of Pathological fractures in Extremity Bones Metastases
- Authors: Lomtatidze E.S.1, Ermolaev E.K.1, Lomtatidze V.K.1
-
Affiliations:
- Volgograd Medical Academy
- Issue: Vol 5, No 1 (1998)
- Pages: 28-31
- Section: Articles
- Submitted: 02.03.2022
- Accepted: 02.03.2022
- Published: 15.03.1998
- URL: https://journals.eco-vector.com/0869-8678/article/view/104377
- DOI: https://doi.org/10.17816/vto104377
- ID: 104377
Cite item
Full Text
Abstract
The results of surgical treatment of 8 patients with pathological fractures of the bones of lower and upper extremities in cancer metastases zones is presented. After metastasis removal fixation of fragments was performed by AO technique using metallic devices and filling of bone defect with bone cement. Total joint replacement (hip joint and shoulder) was performed in 2 patients. In all operated patients the pain syndrome was arrested, complete or partial restoration of extremity function was achieved. Of the 8 patients 5 patients died, 3 patients are alive. Mean survival time was 20 months (from 2 to 39 months). No recurrence of metastasis in the region of fixed fractures, failure of osteosynthesis, endoprosthesis instability was noted.
Full Text
Метастазирование раковых опухолей чаще всего происходит в кости скелета. При раке молочной железы метастатические поражения скелета встречаются в разные сроки от начала заболевания в 50—80% случаев [4]. Частота метастатических поражений костей скелета после радикального лечения рака молочной железы, по данным разных авторов, колеблется от 5,2 до 23,7% [2].
Метастатические очаги, независимо от того, имеют ли они литический или бластический характер, более чем в 38,3% случаев являются причиной возникновения патологических переломов [1]. Это сопровождается развитием выраженного болевого синдрома, нарушением функции конечности, опороспособности, а при вовлечении в процесс позвоночника и костей таза — обездвижением больного. Болевой синдром и длительная гиподинамия пагубно влияют как на общее, так и на психоэмоциональное состояние пациента. Возрастает риск возникновения различных соматических заболеваний, приводящих к ухудшению качества жизни и сокращению ее продолжительности.
Лечение патологических переломов у данной категории больных представляет трудную задачу. В последнее десятилетие наметились определенные сдвиги в разработке методов хирургического лечения как метастазов, так и метастатических переломов костей [1, 5]. В клинике травматологии и ортопедии Волгоградской медицинской академии в период 1993-1997 гг. по поводу патологических переломов на почве метастатического поражения костей конечностей оперировано 8 пациентов — 6 женщин и 2 мужчин в возрасте от 38 до 65 лет. У всех женщин патологические переломы явились следствием изолированных метастазов рака молочной железы в длинные кости. У трех из них был перелом шейки бедра, у одной — подвертельный перелом бедра, у одной больной с метастатическим поражением проксимального отдела плеча — перелом головки и шейки плечевой кости и у одной — перелом диафиза плеча. У одного мужчины после энуклеации глазного яблока по поводу меланомы произошел патологический перелом на почве метастаза диафиза бедренной кости, у другого после удаления рака нижней губы — патологический перелом лучевой кости. Переломы произошли в сроки от 11 до 64 мес (в среднем 29,6 мес) после удаления первичного очага (см. таблицу).
Таблица. Локализация первичной опухоли,срок появления метастазов в костях после ее удаления и выживаемость больных
Первичная опухоль | Срок появления метастазов в костях, мес | Наличие метастазов в других органах | Выживаемость, мес | Исход |
1. РМЖ Т2N0М0 | 64 | Нет | 39 | Жива |
2. РМЖ Т3N1М0 | 33 | Нет | 32 | Жива |
3. РМЖ Т2N1М0 | 16 | Нет | 18 | Умерла |
4. РМЖ Т2N0М0 | 13 | Нет | 2 | Умерла |
5. РМЖ Т2N1М0 | 19 | Нет | 23 | Жива |
6. РМЖ Т2N1М0 | 11 | Нет | 19 | Умерла |
7. Рак нижней губы | 46 | Легкое | 24 | Умер |
8. Меланома глаза | 35 | Легкие, волосистая область головы | 3 | Умер |
Все больные были направлены в клинику из Волгоградского областного онкологического диспансера после радикального удаления первичной опухоли. Кроме того, им проводилось лучевое, химиотерапевтическое и/или гормональное лечение, а также осуществлялся контроль за процессом метастазирования.
Предоперационная подготовка проводилась в химиотерапевтическом отделении онкологического диспансера до достижения относительной нормализации общего состояния больных и стабилизации лабораторных показателей на удовлетворительном уровне.
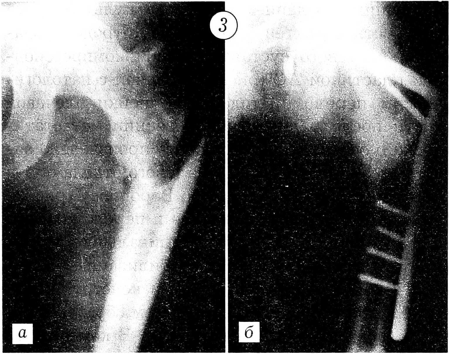
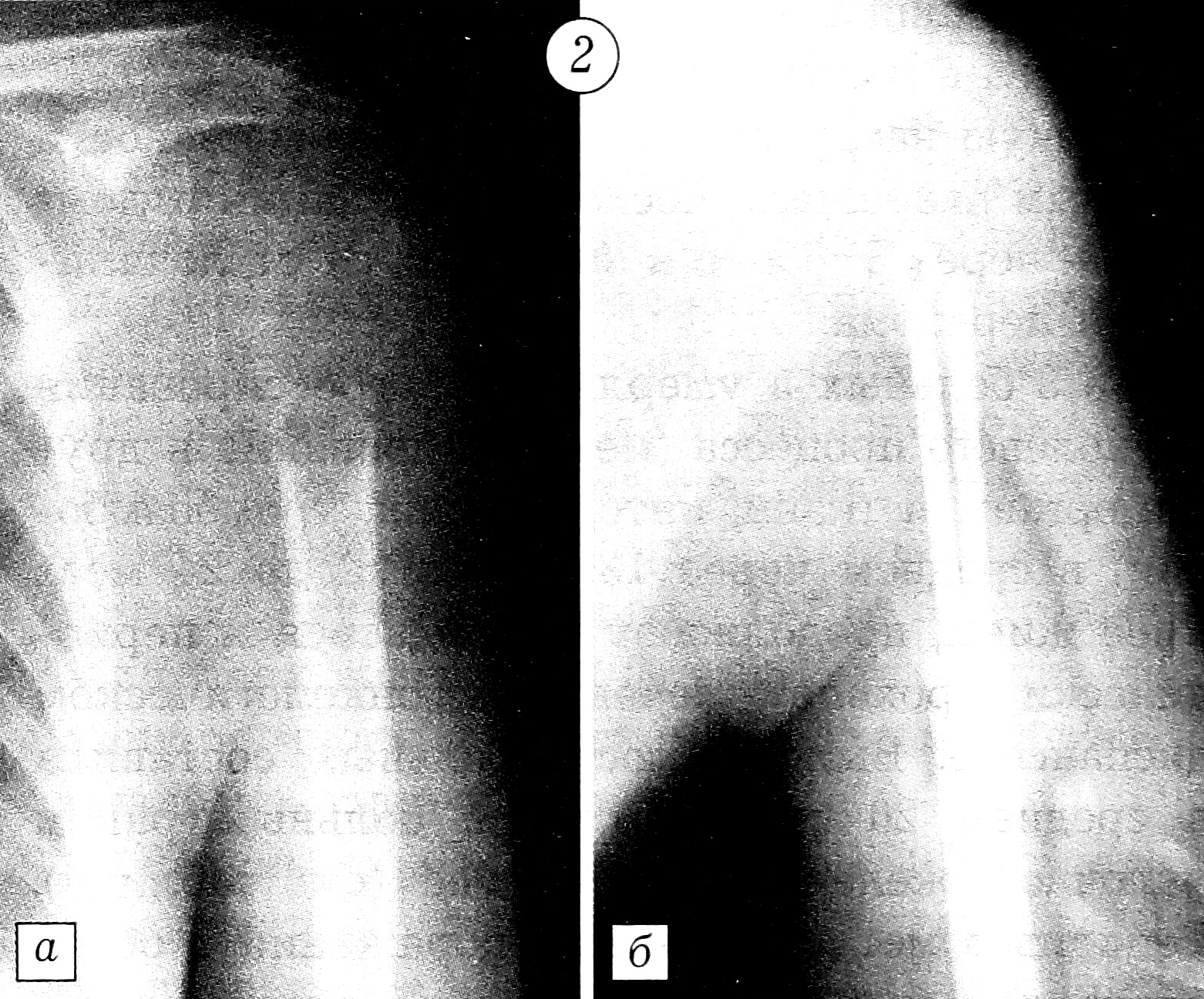
Фиксация отломков выполнялась по методике АО с применением металлоконструкций в комбинации с заполнением костного дефекта цементом [3, 5, 6]. Больной с обширным остеолитическим поражением проксимального отдела бедра произведено эндопротезирование. Поскольку ацетабулярный компонент тазобедренного сустава не был вовлечен в опухолевый процесс, выбран метод тотального эндопротезирования по Вирабову. Такая тактика снижает риск развития нестабильности сустава и необходимость повторных реконструктивных операций. При переломе диафиза плечевой кости отломки были фиксированы аппаратом Илизарова. У больного с патологическим переломом лучевой кости на фоне деструктивного остеолитического поражения, захватывающего ее дистальные 2/3, выполнена резекция патологического очага с последующим созданием синостоза культей лучевой кости с локтевой костью и артродезированием кистевого сустава длинной компрессионной пластиной АО (рис. 1). Больной с патологическим переломом головки и шейки плечевой кости после радикальной резекции метастатического остеолитического очага произведено эндопротезирование проксимального отдела плеча протезом из акрилоксида по Воронцову (рис. 2). При подвертельном переломе и переломах диафиза и шейки бедра после радикального удаления метастаза выполняли стабилизацию отломков Г-образными пластинами и конструкциями DHS с последующим заполнением образовавшегося дефекта костным цементом. В комбинации с компонентами стабилизирующих конструкций костный цемент повышает прочность фиксации (рис. 3 и 4).
Рис. 1. Рентгенограммы правого предплечья больного с переломом лучевой кости в области метастаза рака нижней губы. а — до операции; б — после операции.
Рис. 2. Рентгенограммы левой плечевой кости больной с переломом головки и шейки плеча в области метастаза рака молочной железы. a — до операции; б — после эндопротезирования по Воронцову.
Рис. 3. Рентгенограммы левой бедренной кости больного с переломом диафиза бедра в области метастаза меланомы глаза. a — до операции; б — после остеосинтеза Г-образной пластиной.
Рис. 4. Рентгенограммы левой бедренной кости больной с подвертельным переломом в области метастаза рака молочной железы. a — до операции; б — после остеосинтеза конструкцией DHS.
Послеоперационный период протекал без осложнений. Швы были сняты в обычные сроки. Раны зажили первичным натяжением. На 12-20-е сутки (в зависимости от общего состояния) больным разрешали передвигаться, используя дополнительные средства опоры.
Из 5 больных, оперированных по поводу патологических переломов нижних конечностей, у 2 (с поражением шейки бедра и подвертельной области) функция тазобедренного сустава восстановилась полностью. У 3 пациентов достигнуто частичное восстановление функции, они могли передвигаться с помощью трости.
У больной с диафизарным переломом плечевой кости, которой был произведен остеосинтез аппаратом Илизарова, функция плеча восстановилась полностью. У пациентки, подвергнутой эндопротезированию плечевого сустава, отмечалось ограничение отведения плеча до 30°, сгибания и разгибания до 60°. Реконструктивная операция по поводу патологического перелома лучевой кости позволила ликвидировать болевой синдром; функция локтевого сустава и пальцев была сохранена в полном объеме.
Полную нагрузку оперированной конечности больным разрешали после консолидации отломков — через 3-6 мес в зависимости от локализации перелома.
Из 8 больных 5 умерли от прогрессирования опухолевого процесса (метастазирование в другие органы и ткани, интоксикация, тромбоэмболия) в среднем через 13 мес (от 2 до 24 мес). Трое живы, продолжают наблюдаться и периодически проходят лечение в онкологическом диспансере. Выживаемость больных составила в среднем 20 мес, в группе больных раком молочной железы — 22,2 мес (см. таблицу). Рецидивов метастатических поражений в области фиксированного перелома, а также несостоятельности остеосинтеза и развития нестабильности эндопротезов не отмечено.
Заключение
Отсутствие осложнений в послеоперационном периоде, возможность ранней активизации больных, улучшение качества их жизни, показатели выживаемости свидетельствуют об оправданности хирургического лечения патологических переломов при метастатическом поражении костей. Предоперационная подготовка и послеоперационное ведение больных должны осуществляться совместно с онкологом. Выбор метода операции, вида конструкций и способа фиксации отломков зависит от общего состояния больного, локализации поражения и степени распространения процесса. Хирургическое вмешательство должно состоять из возможно полного удаления метастатического очага, фиксации костных отломков соответствующими конструкциями и последующего заполнения образовавшегося дефекта и костномозгового канала костным цементом.
About the authors
E. Sh. Lomtatidze
Volgograd Medical Academy
Author for correspondence.
Email: info@eco-vector.com
Russian Federation, Volgograd
E. K. Ermolaev
Volgograd Medical Academy
Email: info@eco-vector.com
Russian Federation, Volgograd
V. K. Lomtatidze
Volgograd Medical Academy
Email: info@eco-vector.com
Russian Federation, Volgograd
References
Supplementary files






