The role of the clinician in the diagnosis of tumors of the musculoskeletal system
- 作者: Makhson N.E.1, Makhson A.N.1
-
隶属关系:
- Moscow City Clinical Oncology Hospital No. 62
- 期: 卷 7, 编号 4 (2000)
- 页面: 3-7
- 栏目: Original study articles
- ##submission.dateSubmitted##: 03.03.2022
- ##submission.dateAccepted##: 03.03.2022
- ##submission.datePublished##: 17.03.2022
- URL: https://journals.eco-vector.com/0869-8678/article/view/104407
- DOI: https://doi.org/10.17816/vto104407
- ID: 104407
如何引用文章
全文:
详细
Diagnosis of musculoskeletal tumors is quite often difficult and for the accurate diagnosis close collaboration of specialist in orthopaedic oncology, morphologist as well as roentgenologist is required. The more precise diagnosis of bone tumors can be made at specialized Centers (but not centers for general oncology) where roentgenologists and morphologists are trained for musculoskeletal tumors. Leading role in the collaboration of orthopaedic surgeon, roentgenologist and morphologist belongs to the clinician. These theses are confirmed by adduced clinical observations. The causes of diagnostic mistakes are analysed.
全文:
Диагностика опухолей опорно-двигательного аппарата во многих случаях представляет трудную и значительно более сложную проблему, чем диагностика опухолей других локализаций. Обязательными участниками диагностического процесса являются рентгенолог и патологоанатом, которые должны иметь специальную подготовку и опыт в обследовании данной категории больных. Обследование пациентов с онкологическими заболеваниями опорно-двигательного аппарата наиболее успешно может осуществляться в специализированных отделениях, где работают также подготовленные в этой области рентгенолог и патолог. Наибольшее число диагностических ошибок, нередко решающих судьбу больного, возникает при проведении обследования в хирургических или даже общеонкологических отделениях.
Первое специализированное отделение костной патологии у нас в стране было открыто в ЦИТО в 1957 г. Возглавил его проф. Василий Яковлевич Шлапоберский — талантливый, широко известный в нашей стране и за рубежом ученый и клиницист-хирург, вышедший из клиники проф. В.С. Левита. После окончания I Московского медицинского института В.Я. Шлапоберский в течение 3 лет работал прозектором на кафедре, руководимой одним из ведущих отечественных патологов акад. А.И. Абрикосовым. В этот ранний период своего формирования как врача В.Я. Шлапоберский получил глубокие знания в области патологической анатомии и сумел оценить ее роль и возможности в клинической диагностике сложных патологических процессов. Это способствовало развитию его врачебного мышления в направлении критической оценки получаемых заключений патолога или рентгенолога.
Без преувеличения можно сказать, что костная патология в нашей стране развивалась под влиянием идей проф. В.Я. Шлапоберского. Одной из важных его идей было не идти на поводу у рентгенолога или патолога, не принимать их заключения как абсолютные. Центральной и самой ответственной фигурой в диагностике он считал клинициста. Обязанность клинициста, по
В.Я. Шлапоберскому, — анализировать полученные рентгенологические заключения и данные патолога и сопоставлять их с клинической симптоматикой. Если описание рентгенограмм или гистограмм не укладывается в клиническую картину, следует опротестовать его и заново обсудить имеющиеся данные с рентгенологом или патологом. Успех приносит содружественная работа этих трех специалистов, но в конечном итоге ответственность, в первую очередь моральную, за установление правильного диагноза и, соответственно, за определение тактики лечения несет врач- клиницист. Ссылки на неточное или неправильное заключение рентгенолога или патолога являются несостоятельными.
Нераспознанный в поликлинических условиях опухолевый характер заболевания и длительное проведение противопоказанной при этом терапии могут служить предметом особого исследования. В настоящей работе эта проблема не затрагивается.
Попытаемся классифицировать причины ошибочных или неточных рентгенологических заключений:
- Оценка давалась по рентгенограммам низкого качества.
- Заключение сделано рентгенологом, не специализировавшимся в области костной онкологии. (Ошибка, по меткому замечанию одного из профессоров-рентгенологов, может возникать как от невидения, так и от неведения.)
- Рентгенологическое заключение сделано без учета динамики процесса, в том числе рентгенологической.
- Рентгенологом не выставлены показания и не проведены дополнительные, кроме стандартных, рентгенологические исследования (ангиография, компьютерная томография и др.).
- Рентгенологическое заключение дано без учета возможностей метода.
- Рентгенологически исследовался непораженный отдел скелета. Например, при поражении проксимального отдела бедренной кости боли, как правило, иррадиируют в область коленного сустава, рентгенография которого и производится; при ошибочном диагнозе «остеохондроз» и «радикулит» выполняется рентгенография позвоночника и не исследуется пораженная бедренная кость и т.п. Эти ошибки скорее следует адресовать клиницисту, чем рентгенологу, но все же они связаны с рентгенологическим методом исследования.
При решении вопроса о показаниях к оперативному вмешательству врачу нередко приходится сталкиваться с трудностями в случаях, когда заключение рентгенолога не носит определенного характера, а представляется в виде дифференциально-диагностического ряда из двух или даже более патологических процессов, при этом дополнительные методы исследования не всегда являются доказательными. Такая же ситуация возникает и по морфологическим заключениям.
Больной С-в,45 лет, госпитализирован в больницу № 62 21.02.00 с диагнозом: опухоль дистального отдела правой большеберцовой кости. За 10 мес до поступления по внутренней поверхности правого голеностопного сустава появилась припухлость, которая постепенно увеличивалась. Через 3,5 мес присоединились боли. Амбулаторно проводилась физиотерапия.
Клинически в указанной области выявляется мягкотканное образование эластической консистенции 8x8 см, неподвижное по отношению к кости. Функция голеностопного сустава умеренно ограничена. Регионарные лимфатические узлы не увеличены.
На рентгенограммах (рис. 1) в дистальном метаэпифизе большеберцовой кости определяется очаг остеолитической деструкции 9x5,5 см, переходящий на эпифиз и нижнюю треть диафиза, с мягкотканным компонентом, разрушением коркового слоя по передней и медиальной поверхности и небольшим периостозом типа слоистого. Структура таранной кости и смежных отделов разрежена. Заключение: рентгенологическая картина более соответствует саркоме мягких тканей голеностопного сустава (синовиальная саркома). Нельзя исключить первичную костную опухоль или метастаз.
Рис. 1. Рентгенограммы больного С-ва.
Основной вопрос состоял в том, первична ли костная или мягкотканная опухоль. Принимая во внимание анамнез (вначале появилась опухоль мягких тканей, которая увеличивалась под воздействием физиотерапии), а также выявленные рентгенологические изменения (кость как бы «съедена» этой мягкотканной опухолью), были все основания считать опухоль синовиальной саркомой. При обследовании по органам патологических изменений не обнаружено.
Для морфологической верификации опухоли произведена трепанобиопсия. Заключение цитолога: дифференциальный диагноз между саркомой и метастазом. Заключение морфолога: в присланном материале кусочки опухоли из клеток округлой формы. Опухоль трудно дифференцировать между лимфосаркомой и плазмоцитомой. Проведено дополнительное обследование больного на миеломную болезнь, давшее отрицательный результат. По настоянию клиницистов препараты пересмотрены, и синовиальная саркома морфологом исключена. Решено провести ex juvantibus лучевую терапию, которая оказалась высокоэффективной, что свидетельствовало в пользу диагноза лимфомы (ретикулоклеточной саркомы кости).
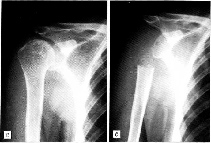
Больная П .,52 лет, поступила с жалобами на боли в правом плечевом суставе, появившиеся полгода назад. За 2,5 года до этого оперирована по поводу рака молочной железы. Лучевая терапия ни до, ни после операции не проводилась.
На рентгенограммах правого плечевого сустава (рис. 2) в эпифизарном отделе плечевой кости выявляется очаг деструкции ячеистого характера с единичными включениями кальция. Заключение: хондробластома. Для такого заключения были основания, так как очаг деструкции локализовался в эпифизе, что является характерным для хондробластомы и отличает ее от других опухолей. Сомнения в диагнозе могли быть вызваны возрастом больной: хотя хондробластома не исключена у людей среднего возраста, все же она более характерна и чаще всего встречается в молодом или даже подростковом возрасте. Кроме того, в анамнезе у больной — рак молочной железы, что настораживало в отношении возможного метастазирования в кость. Других патологических очагов в костях не выявлено. Трепанобиопсия больной не проводилась: надеяться на ее положительный ответ было трудно (очаг поражения мал для того, чтобы получить точно из него достаточное количество материала для исследования), а отрицательный результат не был бы доказательным.
Рис. 2. Рентгенограммы больной П. до (а) и после (б) операции.
Решено, исходя из клинической картины и рентгенологических данных, произвести больной лечебно-диагностическое вмешательство — резекцию только головки плечевой кости. Операция выполнена 9.10.91. Дефект не замещался. Сформировался плечелопаточный неоартроз, функция руки вполне удовлетворительная.
Гистологическое исследование препарата: костная ткань с проявлениями остеопороза, элементов опухоли не обнаружено. Через 9 лет здорова.
Приведем некоторые другие наблюдения.
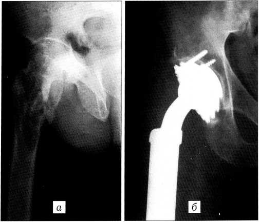
Больной С-н,42 лет, рабочий-нарезчик металла. Поступил в больницу № 62 после обследования в ЦИТО и Институте онкологии им. П.А. Герцена с диагнозом «хондросаркома проксимального отдела правой бедренной кости». Клинически в области большого вертела и несколько кзади от него определяется плотное неподвижное по отношению к кости опухолевидное образование 6x4 см. На рентгенограммах: верхний метаэпифиз бедренной кости занят очагом деструкции, на фоне которой видны плотные включения кальция; выраженная периостальная реакция, мягкотканный компонент в области большого вертела (рис. 3). Заключение: хондросаркома.
Рис. 3. Рентгенограммы больного С-на до (а) и после (б) операции.
Больному произведена операция — резекция проксимального суставного конца бедренной кости длиной 18 см. При обнажении области патологического очага выявлено костной плотности опухолевидное образование, и сомнений в том, что это опухоль, не было. В мягких тканях ягодицы имелись два небольших плотных опухолевидных узла, которые были иссечены со слоем окружающих мышц. На уровне пересечения бедренной кости подозрительным казалось содержимое костномозгового канала, в связи с чем кость дополнительно резецирована на протяжении 2 см. После удаления проксимального суставного конца бедренной кости обнаружено, что суставной хрящ вертлужной впадины частично разволокнен. Произведено удаление его овальным долотом. Пострезекционный дефект замещен эндопротезом Сиваша.
Данные гистологического исследования операционного препарата: очаг деструкции бедренной кости и отдельные узлы мягких тканей окружены плотной фиброзной капсулой, изнутри выстланной хитиновой оболочкой, с типичным для эхинококкоза содержимым и участками отложения кальция; в дополнительно удаленном участке кости — выраженный фиброз. Заключение: эхинококкоз кости.
Послеоперационный период протекал без осложнений. Больной был переведен в Институт паразитологии и для дальнейшего наблюдения потерян.
Таким образом, ошибка в диагностике была связана с тем, что в предоперационном периоде диагноз морфологически не верифицировался, а основывался только на клинических и рентгенологических данных, подтвержденных в трех клинических учреждениях. Подчеркнем лишь, что на тактике лечения эта ошибка не сказалась.
Достаточно характерна рентгенологическая картина синовиальной саркомы: обширная мягкотканная часть опухоли как бы «съедает» кость, лизирует ее в предлежащем отделе. Такая картина, однако, может привести к тяжелой диагностической ошибке, если не учесть, что аналогичные рентгенологические изменения могут наблюдаться и при других патологических процессах, в частности при метастатическом поражении кости. Для таких больных, как и других больных с костной патологией, необходимо тщательное обследование по органам и обязательно морфологическое исследование опухоли.
Приводим наблюдение, в котором первоначально рентгенологически исследовался непораженный отдел скелета, что повлекло за собой ошибку, имевшую тяжелые последствия. После просмотра рентгенограмм области уже выявленного поражения бедренной кости можно было думать в первую очередь о синовиальной саркоме.
Больной К.,70 лет, в течение 4 мес находился на лечении в одном из клинических учреждений Москвы с диагнозом «остеохондроз позвоночника с вторичным корешковым ишиорадикулоневритом». Повторно производилась рентгенография поясничного отдела позвоночника и таза и клинический диагноз остеохондроза подтверждался рентгенологом. Проводилась физиотерапия, интенсивность которой нарастала параллельно усилению болей в бедре. Только тогда, когда появилась выраженная припухлость на передней поверхности бедра, на которую врачам указал сам больной, заподозрена опухоль и пациент переведен в больницу № 62.
При обследовании определяется опухолевидное образование по передненаружной поверхности нижней трети правого бедра 8x6 см. На рентгенограммах на границе нижней и средней трети бедра (рис. 4, а) выявляется обширное мягкотканное опухолевидное образование полуовальной формы с краевой остеолитической деструкцией диафиза бедренной кости, захватывающей практически весь ее поперечник, с разрушением коркового слоя на протяжении 10 см. По задней поверхности бедренной кости корковый слой неровный и несколько нечеткий. На уровне костного дефекта в мягких тканях определяется дополнительная тень повышенной плотности. Заключение: рентгенологическую картину следует дифференцировать между злокачественной опухолью мягких тканей, прорастающей в бедренную кость, и метастазом. Угроза патологического перелома.
При дальнейшем обследовании у больного выявлен рак почки. Биопсия опухоли бедра подтвердила метастаз рака почки. При сцинтиграфии скелета других очагов повышенного накопления радиофармпрепарата не обнаружено и метастаз признан солитарным. В связи с возникшим патологическим переломом бедренной кости и выраженным болевым синдромом на первом этапе лечения больному 18.06.99 произведена экзартикуляция бедра, а 15.07.99 — нефрэктомия. Послеоперационный период протекал без осложнений, и через полтора месяца больной вернулся к работе (профессор кафедры). Через 9 мес выявлен метастаз в проксимальном отделе другой бедренной кости, и 15.03.00 с целью улучшения качества жизни больному произведена еще одна операция — резекция проксимального суставного конца бедренной кости с эндопротезированием (рис. 4, б, в). Послеоперационный период протекал без осложнений. После выписки пациент продолжал работать.
Рис. 4. Рентгенограммы больного К. а — правое бедро до операции; б — левое бедро до, в — после операции.
О системе отношений врача-клинициста с морфологом уже говорилось выше. Лечащий врач должен ставить перед морфологом интересующие его вопросы, но не должен воспринимать заключение морфолога как бесспорное и непререкаемое. С другой стороны, игнорирование морфологического заключения или отказ от морфологической верификации процесса может привести к тяжелым ошибкам. Как справедливо указывали наши предшественники, врач должен мыслить патологоанатомическими образами.
Больной Ч.,65 лет, по поводу небольших болей в области тазобедренного сустава консультирован в поликлинике одного из клинических учреждений Москвы, которое занимается костной онкологией. На основании осмотра больного и просмотра рентгенограмм был поставлен диагноз «фиброзная дисплазия проксимального отдела бедренной кости», что зафиксировано в выданной больному справке. Известно, что фиброзная дисплазия — одна из наиболее доброкачественных форм костной патологии. Биопсия с целью морфологической верификации диагноза не проводилась. Врача-консультанта могло бы насторожить то, что больному 65 лет, а фиброзная дисплазия в этом возрасте выявляется весьма редко. Через несколько месяцев у больного произошел патологический перелом. Он был госпитализирован в травматологическое отделение и после наложения гипсовой повязки выписан домой. Вероятно, над травматологом довлело заключение специалистов по костной патологии. В течение 5 мес больной лечился на дому. После снятия гипсовой повязки обнаружилась значительных размеров припухлость, и больной был госпитализирован в больницу № 62.
Клинически выявляется больших размеров плотная неподвижная опухоль проксимального отдела бедренной кости, а на рентгенограммах — обширный очаг деструкции, весьма характерный для хондросаркомы. Диагноз подтвержден данными биопсии. Больному произведена экзартикуляция бедра. Если бы характер процесса был распознан вовремя, возможно, удалось бы ограничиться резекцией бедренной кости с эндопротезированием.
Касаясь заключений морфологов, следует отметить, что морфолог-гистолог располагает весьма ограниченным набором объективных данных. Большое значение имеет субъективное восприятие и оценка этих данных, что зависит прежде всего от уровня квалификации патолога, в частности в области костной онкологии. Одним из важнейших качеств морфолога является способность самому усомниться в правильности оценки просмотренных препаратов. Это качество в большей степени присуще специалистам высокой квалификации, и чем опытнее специалист, тем чаще он привлекает другого морфолога к просмотру препарата и совместному обсуждению. Чаще всего в процессе обсуждения достигается согласие, но нередки и случаи, когда придти к согласию не удается и каждый из высококлассных специалистов остается при своем мнении. В таких ситуациях арбитром становится время — клиническое наблюдение в динамике и дальнейшее течение заболевания.
Больной Г. госпитализирован по поводу ограниченного очага деструкции в одном ребре. При исследовании по органам другой патологии не обнаружено. Ультрасонографическое исследование почек, проводившееся в нескольких клинических учреждениях, не выявило опухоли почек (забегая вперед, скажем, что это свидетельствует о пределах возможностей метода). Ультрасонографическое исследование, проведенное в больнице № 62: почки обычных размеров. Контуры правой почки ровные, левой — волнистые, структура паренхимы не изменена с обеих сторон. Объем паренхимы сохранен. Чашечно-лоханочные системы не расширены. Справа в области среднего сегмента анэхогенное образование 14x19 мм — киста или расширенная чашка. С обеих сторон выявляются единичные конкременты до 5-6 мм.
С лечебно-диагностической целью больному произведена резекция ребра. При исследовании препарата в патологоанатомическом отделении больницы № 62 (М.С. Попов) диагностирован метастаз рака почки. Препараты были направлены для пересмотра в патологоанатомические отделения нескольких ведущих клинических учреждений Москвы. Мнения патологов разделились: одни считали, что есть основания диагностировать светлоклеточную хондросаркому ребра, другие стояли на позиции морфолога больницы № 62. При дальнейшем углубленном исследовании почек, проведенном через 3 мес, обнаружена небольшая опухоль в левой почке (киста почки выявлялась справа) и диагностирован рак. Выполнена нефрэктомия, диагноз подтвердился.
Ошибки морфологов (цитологов) могут быть связаны с тем, что заключение дается при просмотре препаратов низкого качества, а также с недостаточным количеством биопсийного материала, что чаще бывает при трепанобиопсии.
Цитологическое исследование препарата важно, но оно должно подтверждаться данными морфологического исследования. Решение клинициста-костного онколога, принятое только на основании заключения цитолога, иногда приводит к серьезным ошибкам.
Анализируя причины ошибочных заключений морфологов высокого класса, мы хотели бы отметить те из них, которые наблюдались нами в другом клиническом учреждении, где специально изучается костная патология.
Наблюдение 1. При поражении грудины у больного средних лет на основании исследования материала трепанобиопсии опухоль расценена как хондросаркома. Изучение же операционного препарата выявило плазмоцитому. Ошибка объясняется тем, что биоптат был получен из сочленения рукоятки и тела грудины. В полях зрения препарата обнаруживались элементы злокачественной опухоли и на их фоне — хрящевые клетки.
Наблюдение 2. Очаг поражения у молодого человека локализовался в медиальном отделе крыла подвздошной кости и рентгенологически оценивался как хондросаркома. Произведена трепанобиопсия, заключение морфологов: хондросаркома. При изучении операционного препарата диагностирована хондромиксоидная фиброма — доброкачественная опухоль. В биоптат попала только хрящевая часть опухоли.
Наблюдение 3. Больной средних лет госпитализирован с диагнозом «опухоль проксимального отдела бедренной кости». Выявлялся также значительных размеров мягкотканный компонент опухоли. На рентгенограммах определялась деструкция проксимального отдела бедренной кости. Обращало на себя внимание очень спокойное клиническое течение заболевания. В связи с этим операция была начата с открытой биопсии со срочным морфологическим исследованием. Первый ответ морфологов оказался неожиданным и неприемлемым: метастаз меланомы. Отослана еще одна часть иссеченного материала с просьбой провести исследование еще раз, так как полученное заключение расходится с клиническими данными. Повторный ответ: пигментный ворсинчатый синовит. Многолетнее наблюдение за больным исключило какие бы то ни было сомнения в характере заболевания.
В заключение еще раз подчеркнем, что для успешной диагностики опухолей опорно-двигательного аппарата необходимо тесное сотрудничество клинициста, рентгенолога и патолога, но при этом ведущая роль принадлежит клиницисту. Только он видит больного, иногда замечая микросимптомы, которые в историю болезни не заносятся. Это можно определить не очень четким термином «интуиция», которая приходит к врачу с опытом и долголетней клинической практикой. Кроме того, только лечащий врач имеет возможность наблюдать больного, повторно обследовать его. Это, конечно, не означает, что врач-клиницист гарантирован от ошибок. Но таких ошибок встречается тем меньше, чем теснее контакт клинициста с рентгенологом и морфологом и чем тщательнее проводится обследование больного с использованием современных достижений как рентгенологии (компьютерная, магнитно-резонансная томография, ангиография и др.), так и морфологии (в частности, применение в сомнительных случаях иммуногистохимических методов).
作者简介
N. Makhson
Moscow City Clinical Oncology Hospital No. 62
Email: info@eco-vector.com
俄罗斯联邦, Moscow
A. Makhson
Moscow City Clinical Oncology Hospital No. 62
编辑信件的主要联系方式.
Email: info@eco-vector.com
俄罗斯联邦, Moscow
参考
补充文件






