Treatment of comminuted fractures of the bones of the lower leg with rod and pincer apparatus
- Authors: Gorodnichenko A.I.1, Uskov O.N.1
-
Affiliations:
- Educational and Scientific Center of the Medical Center of the Administration of the President of the Russian Federation
- Issue: Vol 7, No 4 (2000)
- Pages: 8-12
- Section: Original study articles
- Submitted: 03.03.2022
- Accepted: 03.03.2022
- Published: 17.03.2022
- URL: https://journals.eco-vector.com/0869-8678/article/view/104409
- DOI: https://doi.org/10.17816/vto104409
- ID: 104409
Cite item
Full Text
Abstract
From 1997 to 1999 thirty eight patients with splintered and polyfocal crus fractures (9 patients had open fractures) were treated by transosseous osteosynthesis using rod or pin-rod devices. Splintered diaphyseal fractures were of В and C groups according to AO/ASIF classification but peri- and intraarticular fractures were of A2,3 and C groups. In fractures with large intermediate fragments an universal reposition device with «floating» fixators of rods was applied. In cases of peri- and intraarticular fractures as well as in fractures with small intermediate fragments Gorodnichenko’s pin-rod device was used. The device provided stable fixation and patients with diaphyseal crus fractures were allowed full weight bearing from 3-5 postoperative day. The operative intervention is a low traumatic one that promotes early postoperative mobilization of patients, decreases the term of hospital treatment (mean 8.9 days). Fracture healing was achieved in all patients, no complications such as the imfiammation of soft tissues surrounding pins or rods were observed. The fixation was 12-18 weeks.
Keywords
Full Text
Оскольчатые и полифокальные переломы голени составляют значительную часть повреждений конечностей — до 20,1% среди закрытых и до 53,5% среди открытых переломов [9]. По данным других авторов, на долю оскольчатых и полифрагментарных переломов приходится 57,7% закрытых переломов голени и 16,5% переломов всех сегментов конечностей [8]. В подавляющем большинстве случаев эти повреждения требуют оперативного лечения. Проблема выбора наиболее адекватного и эффективного способа их лечения остается весьма актуальной.
Хорошо известные и широко применяемые методики внутренней фиксации имеют существенные недостатки, которые особенно явно проявляются при лечении тяжелых повреждений конечностей. Так, накостный остеосинтез требует использования массивного фиксатора, а также осуществления значительного по протяженности хирургического доступа для адекватной репозиции костных отломков. Это сопряжено с дополнительной травматизацией окружающих перелом мягких тканей, что ведет к ухудшению кровоснабжения зоны перелома и нарушению венозного и лимфатического оттока. Кроме того, подобные операции увеличивают кровопотерю и повышают риск развития жировой и тромбоэмболии, а также послеоперационного нагноения ран с вытекающими отсюда последствиями (замедленная консолидация, несращение переломов, образование ложных суставов, развитие остита и остеомиелита).
В ряде случаев, когда перелом носит многооскольчатый характер, внутренняя фиксация не гарантирует стабильного остеосинтеза, поэтому нагрузка на оперированную конечность разрешается лишь спустя 1-2 мес после операции. Это способствует формированию контрактур, развитию атрофии мышц, остеопороза, обусловливает вынужденную гиподинамию пациента, что неоправданно удлиняет сроки реабилитации, а иногда и приводит к инвалидизации больного.
Остеосинтез интрамедуллярными фиксаторами с блокированием (излишнее увлечение которым наблюдается в последние годы) также имеет серьезные недостатки. При оскольчатых переломах применение интрамедуллярного штифта с блокированием его в проксимальном и дистальном отломках значительно нарушает внутрикостное кровоснабжение, которое составляет более половины кровоснабжения кости и не может быть адекватно компенсировано экстрамедуллярным ростком при обширных повреждениях окружающих мягких тканей.
Наиболее предпочтителен для лечения многоскольчатых переломов с обширным повреждением мягких тканей чрескостный метод остеосинтеза. Преимуществами его являются простота хирургической техники, минимальная травматизация мягких тканей, проведение фиксаторов вне области перелома и повреждения мягких тканей, что предотвращает дополнительное нарушение кровообращения и снижает риск развития инфекционных осложнений. Доказано, что ранний закрытый чрескостный остеосинтез переломов позволяет значительно сократить сроки лечения и реабилитации больных, а также служит мерой профилактики жировой эмболии.
Стержневые аппараты внешней фиксации обладают несомненными преимуществами перед спицевыми [2]. При проведении стержней исключается опасность повреждения крупных сосудисто-нервных стволов, существующая при транссегментарном проведении спиц. Стержневые аппараты обладают большей жесткостью фиксации костных отломков [11], более компактны и гораздо проще в плане установки и монтажа, что позволяет значительно сократить продолжительность операции. В нашей стране чаще всего используются стержневые аппараты AO/ASIF, МКЦ-01, Фурдюка [3, 10, 12]. Однако при всех своих достоинствах эти аппараты не лишены недостатков, к которым относятся недостаточная стабильность фиксации, приводящая к вторичным смещениям костных отломков в послеоперационном периоде, ограниченные репозиционные возможности и необходимость проведения стержней по одной линии — в противном случае требуется применение выносных приспособлений, снижающих прочность фиксации [1]. В аппарате Фурдюка используются резьбовые соединения стержней, которые, как известно, не обеспечивают достаточной стабильности остеосинтеза.
Наиболее популярными и перспективными среди стержневых конструкций являются односторонние аппараты с возможностью многоплоскостного введения стержней [4].
С учетом вышеизложенного в нашей клинике для остеосинтеза оскольчатых и полифокальных переломов были созданы и применены стержневой и спицестержневой аппараты оригинальной конструкции [5, 7].
Материал и методы
За период с 1997 по 1999 г. чрескостный остеосинтез разработанными в клинике стержневым и спицестержневым аппаратами произведен 38 пациентам с оскольчатыми и полифокальными переломами костей голени, в том числе 9 (23,7%) больным с открытыми переломами. Оскольчатые диафизарные переломы относились к группам В и С по классификации AO/ASIF, а около- и внутрисуставные — к группам А2,3 и С. При диафизарных, а также внутри- и околосуставных переломах с крупными промежуточными фрагментами применялся универсальный репозиционный аппарат с «плавающими» фиксаторами стержней, при около- и внутрисуставных переломах с мелкими промежуточными фрагментами — спицестержневой аппарат Городниченко.
Держатели стержней в аппаратах свободно перемещаются и самоустанавливаются в процессе репозиции, не препятствуя устранению всех видов смещений костных отломков, поэтому они названы «плавающими». Аппараты обеспечивают управляемое репонирование костных фрагментов по всем шести степеням свободы, а также стабильную и прочную безлюфтовую фиксацию до полной консолидации перелома. Они относятся к односторонним многоплоскостным аппаратам, поскольку конструкция «плавающих» фиксаторов стержней позволяет вводить стержни под любым углом в пределах ширины корпуса аппарата.
Стержневой аппарат состоит из двух пластин с продольными прорезями, в которых установлены стяжные болты и ползуны со стержнями (рис. 1). Пластины и ползуны изготовлены из высокопрочного рентгенопрозрачного углепластика, применяемого в оборонной и аэрокосмической промышленности, который позволяет контролировать точность репозиции во всех проекциях как в процессе оперативного вмешательства, так и в послеоперационном периоде. Кроме того, наличие углепластиковых элементов значительно снижает массу конструкции.
Рис. 1. Остеосинтез перелома большеберцовой кости стержневым аппаратом с «плавающими» фиксаторами стержней на пластиковой модели.
Спицестержневой аппарат Городниченко состоит из основы в виде стержневого аппарата, три кортикальных стержня которого вводятся в дистальный отломок большеберцовой кости, и двух соединенных между собой выносных кронштейнов, фиксирующихся к корпусу аппарата в области мыщелков большеберцовой кости и образующих полукольцо. Через мыщелки во фронтальной плоскости проводятся в противоположных направлениях две спицы с упорными площадками, которые фиксируются к корпусу аппарата, а с противоположной стороны — к выносному кронштейну в специальных устройствах, позволяющих регулировать степень их натяжения. В ряде случаев, когда это позволяют размеры проксимальных отломков, в целях обеспечения максимально возможной стабильности фиксации через мыщелки большеберцовой кости проводится дополнительно стержень, фиксирующийся в аппарате. Были созданы также средства инструментальной репозиции: съемные замковые гайки для вертикальной репозиции и репонатор для перемещения костных отломков в горизонтальной плоскости и ротации [6]. С их помощью в послеоперационном периоде можно устранять незначительные смещения отломков, оставшиеся после ручной репозиции.
Для усиления жесткости фиксации и повышения стабильности остеосинтеза мы использовали введение стержней под углом 30° к перпендикуляру, опущенному на плоскость кости (что обеспечивало увеличение жесткости фиксации в аппарате при осевой нагрузке в 1,7 раза), а также максимальное приближение корпуса аппарата к кости с целью уменьшения консоли. В совокупности это позволяло увеличить прочность фиксации в стержневом аппарате с «плавающими» фиксаторами стержней почти в 3 раза — со 145 Н/м при консоли 60 мм до 417 Н/м при консоли 35 мм и проведении стержней под углом.
Испытания проводились по единой методике в испытательной лаборатории ЦИТО [1]. Методика испытаний была апробирована за рубежом при тестировании прочностных свойств наиболее известных в мировой травматологии и ортопедии аппаратов для чрескостного остеосинтеза [11]. Установлено, что аппарат обеспечивает стабильность фиксации, позволяющую пациентам начинать движения в оперированном суставе с 1-го дня после операции; при диафизарных переломах частичная нагрузка весом тела возможна с 3-5-го дня.
Операции производились в первые часы после поступления пострадавших в стационар при открытых переломах и в первые дни — при закрытых. Сроки с момента травмы до поступления пациентов в клинику составляли от нескольких часов до 15 дней. Репозиция в подавляющем большинстве случаев выполнялась закрытым методом с использованием специальных съемных рукояток под контролем электронно-оптического преобразователя. Стержни вводились через проколы длиной до 1 см по передневнутренней поверхности голени вне области перелома и зоны повреждения кожи и мягких тканей, что сводило к минимуму операционную кровопотерю и травматизацию окружающих тканей. В области диафиза стержни вводили под открытым кпереди углом 60-80° к площадке большеберцовой кости. При остеосинтезе стержневым аппаратом в метафизарную часть большеберцовой кости вводили параллельно два спонгиозных стержня на расстоянии 1-3 см друг от друга, которые фиксировали в одной распорной рамке. В проксимальный отломок также вводили кортикальный стержень. Незначительное смещение суставной поверхности мыщелков большеберцовой кости довольно успешно устранялось закрыто в ходе введения стержней. В дистальный отломок вводили три стержня с кортикальной резьбой. При многофрагментарных переломах в каждый из костных отломков вводили по возможности два стержня. При внутрисуставных переломах использовали стержни с упорными буртиками для создания компрессии костных отломков.
В случае многооскольчатых внутрисуставных переломов типа С3 применяли спицестержневой аппарат. Производили открытую репозицию с восстановлением конгруэнтности суставной поверхности проксимального отдела большеберцовой кости. После репозиции через отломки вводили в противоположных направлениях спицы с упорными площадками, концы которых фиксировали в спицедержателях на выносных кронштейнах аппарата, и осуществляли встречно-боковую компрессию. В дистальный отломок большеберцовой кости вводили три кортикальных стержня.
Всем больным в раннем послеоперационном периоде назначали лечебную гимнастику, направленную на разработку движений в поврежденном суставе.
Результаты и обсуждение
Консолидация перелома достигнута во всех случаях. Несращений, ложных суставов, а также осложнений в виде воспаления мягких тканей вокруг спиц или стержней не отмечено. Продолжительность фиксации составила от 12 до 18 нед, при переломах диафиза костей голени — в среднем 122 дня. Малая травматичность оперативного вмешательства способствовала быстрой мобилизации пациентов в послеоперационном периоде и сокращению срока стационарного лечения, который равнялся в среднем 8,9 сут. Нередко повторной госпитализации больных для удаления аппарата не требовалось: демонтаж его осуществлялся в амбулаторных условиях. Вторичных смещений в послеоперационном периоде не выявлено.
В качестве иллюстрации приводим клинические наблюдения.
Больной С.,43 лет, доставлен в стационар через 3 ч после получения травмы (сбит автомашиной при переходе улицы). На основании клинического и рентгенологического обследования поставлен диагноз: полифокальный перелом диафиза костей левой голени со смещением отломков — тип С2 по классификации AO/ASIF (рис. 2, а). В день поступления произведен остеосинтез перелома стержневым аппаратом с «плавающими» фиксаторами стержней: введено по два стержня в каждый фрагмент (рис. 2, б). Пациент выписан на амбулаторное лечение через 9 дней после операции, передвигался без дополнительных средств опоры.
Рис. 2. Рентгенограммы больного С.: а — при поступлении, б — после остеосинтеза.
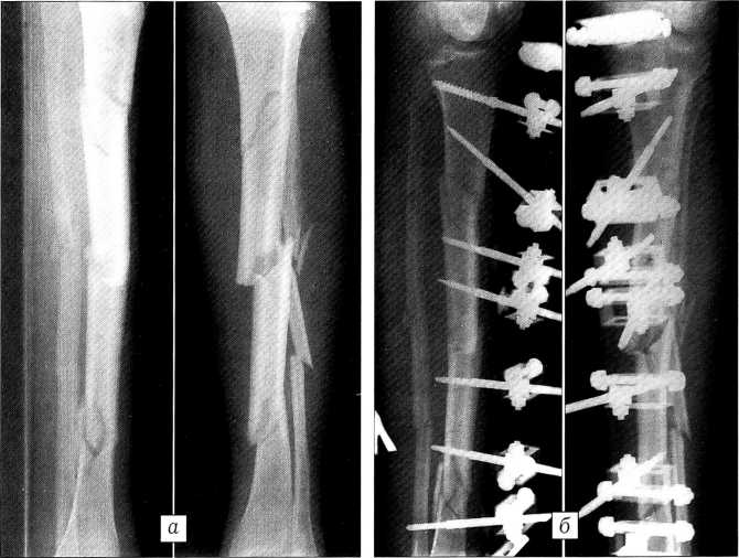
Больной Д . ,39 лет, доставлен в стационар через 5 ч после получения травмы (сбит автомашиной при переходе улицы). По результатам клинического и рентгенологического обследования диагностированы открытые оскольчатые переломы диафиза костей обеих голеней со смещением отломков типа С1 (рис. 3, а, в); травматический шок II степени. В день поступления произведен остеосинтез переломов обеих голеней стержневыми аппаратами с «плавающими» фиксаторами стержней (рис. 3, б, г). Через проколы кожи и мягких тканей длиной до 1 см по внутренней поверхности голеней введено по три стержня в проксимальный и дистальный отломки. После стабилизации проксимальных стержней в аппаратах выполнены закрытая репозиция с помощью съемных рукояток и фиксация дистальных стержней.
Рис. 3. Рентгенограммы больного Д.: а — правая голень при поступлении, б — после операции; в — левая голень при поступлении, г — после операции.
Пациент выписан на амбулаторное лечение через 15 дней. К этому времени ходил без дополнительных средств опоры, объем движений при сгибании в левом коленном суставе составлял 0-100°, в правом — 0-120° (рис. 4, а). После сращения перелома и демонтажа аппаратов объем движений в обоих коленных суставах восстановлен полностью (рис. 4, б).
Рис. 4. Больной Д. после операции (а) и после демонтажа аппарата (б).
Полученные результаты свидетельствуют о высокой эффективности предлагаемого метода лечения при оскольчатых переломах костей голени. Применение стержневого и спицестержневого аппаратов оригинальной конструкции позволяет максимально рано начинать реабилитацию пациентов, сохранять активную двигательную функцию конечности на протяжении всего периода лечения, полностью восстанавливать трудоспособность. При использовании этих аппаратов улучшаются результаты хирургического лечения и повышается качество жизни пациентов как в ближайшем, так и в отдаленном послеоперационном периоде. Минимальная травматизация мягких тканей и практическое отсутствие кровопотери в ходе операции являются ощутимыми преимуществами рассматриваемого способа лечения перед методиками внутреннего остеосинтеза.
Простота и безопасность применения аппаратов, а также их одностороннее расположение, обеспечивающее свободный доступ к поврежденному сегменту, выгодно отличают их от широко распространенных спицевых аппаратов. Закрытая ручная репозиция в аппарате чрезвычайно проста и нетрудоемка благодаря оригинальной конструкции «плавающих» держателей стержней, которые свободно перемещаются и самоустанавливаются в процессе репозиции, не препятствуя устранению всех видов смещений костных отломков. Конструкция фиксаторов создает условия для многоплоскостного введения стержней, что позволяет дополнительно увеличить стабильность остеосинтеза. Значительная жесткость стержневого аппарата с «плавающими» фиксаторами стержней, превосходящая жесткость всех испытанных аналогов, рентгенопрозрачность его наиболее крупных элементов, а также возможность проведения и фиксации спиц с упорной площадкой дают основание считать этот аппарат одним из наиболее перспективных стержневых конструкций для внешней фиксации. Остеосинтез предлагаемыми аппаратами является, по нашему мнению, методом выбора при лечении оскольчатых переломов костей голени, внутри- и околосуставных переломов проксимального отдела большеберцовой кости.
About the authors
A. I. Gorodnichenko
Educational and Scientific Center of the Medical Center of the Administration of the President of the Russian Federation
Author for correspondence.
Email: info@eco-vector.com
Russian Federation, Moscow
O. N. Uskov
Educational and Scientific Center of the Medical Center of the Administration of the President of the Russian Federation
Email: info@eco-vector.com
Russian Federation, Moscow
References
- Городниченко А.И., Гаврюшенко Н.С., Казаков М.Е., Керничанский В.М. //Вестн. травматол. ортопед. — 1999.— N 4.— С. 49-52.
- Городниченко А.И., Миронов С.П. //Современные технологии в травматологии и ортопедии: Материалы науч. конф., посвященной 75-летию со дня рождения К.М. Сиваша. — М.,1999. — С. 63-64.
- Малахов О.А., Кожевников О.В., Леванова И.В. //Там же. — С. 86-87.
- Миронов С.П., Городниченко А.И. //Новые имплантаты и технологии в травматологии и ортопедии: Материалы конгресса травматологов ортопедов России с международным участием. — Ярославль,1999. — С. 265-266.
- Пат. 2125417 РФ. Устройство для чрескостного остеосинтеза /Городниченко А.И., Казаков М.Е., Керничанский В.М., Лахтиков С.М.
- Пат. 2139006 РФ. Аппарат для чрескостного остеосинтеза /Городниченко А.И., Казаков М.Е., Керничанский В.М.
- Пат. 2155010 РФ. Спицестержневой аппарат для лечения внутри- и околосуставных переломов длинных костей /Городниченко А.И.
- Попсуйшапка А.К. //Ортопед. травматол. — 1991. — N7. —С. 52-53.
- Фаддеев Д.И. Ранний металлоостеосинтез закрытых и открытых множественных и сочетанных переломов длинных трубчатых костей. — Смоленск,1997.
- Фурдюк В.В. Остеосинтез переломов длинных трубчатых костей стержневыми аппаратами при политравме: Дис.... канд. мед. наук. — М.,1992.
- Chevalley F., Amsutz Ch., Bally A. //J. Orthop. Surg. — 1993.— N 1. —P. 1-7.
- Hierholzer G., Ruedi T., Allgower M., Schatzker J. Manual on the АО/ASIF tubular external fixator. — Berlin,1985.
Supplementary files





