New in the surgical treatment of trochanteric fractures in elderly and senile patients
- Authors: Kotelnikov G.P.1,2, Bezrukov A.E.1,2, Nudity A.G.1,2
-
Affiliations:
- Samara State Medical University
- Research Institute "International Center for the Problems of the Elderly"
- Issue: Vol 7, No 4 (2000)
- Pages: 13-17
- Section: Original study articles
- Submitted: 03.03.2022
- Accepted: 03.03.2022
- Published: 17.03.2022
- URL: https://journals.eco-vector.com/0869-8678/article/view/104412
- DOI: https://doi.org/10.17816/vto104412
- ID: 104412
Cite item
Full Text
Abstract
Compression device for osteosynthesis in trochanteric fractures is elaborated. Sufficient strength and stability of the femur fragments osteosynthesis in various types of trochanteric fractures was verified in the experiment on biodummies. Such level of strength and stability provides the possibility of early functional loading on the operated extremity. Surgical treatment using this device is indicated to elderly and senile patients without concomitant pathology as well as to patients with compensated changes in inner organs and systems after adequate preoperative management. The elaborated technique was applied in 37 patients. Results for the period up to 1 year were evaluated in 30 patients. Surgical treatment using new compression device is shown to allow decrease the rate of insufficient results to 3.3% as compared to 31% in conservative treatment.
Keywords
Full Text
Переломы вертельной области у лиц пожилого и старческого возраста представляют серьезную медицинскую и социальную проблему. Число таких больных имеет стойкую тенденцию к увеличению. Большой процент неудовлетворительных результатов лечения и осложнений, а также высокая летальность при вертельных переломах дают основание рассматривать эту патологию как одну из наиболее сложных проблем современной гериатрической травматологии.
До сих пор бытует мнение, что вертельные переломы в целом хорошо срастаются. Такую точку зрения обосновывают якобы хорошим кровоснабжением костных фрагментов и широкой плоскостью излома. По-видимому, с этим связано и распространенное мнение о вполне удовлетворительных результатах консервативного лечения [11].
Однако, как показывает практика, для большинства больных пожилого и старческого возраста, отягощенных сопутствующими заболеваниями, такой метод лечения малоэффективен. Из-за большой частоты неудовлетворительных результатов консервативного лечения и высокой летальности этим больным вынужденно проводят так называемое функциональное лечение в гипсовом деротационном сапожке и выписывают их на амбулаторное долечивание, фактически оставляя без квалифицированной травматолого-ортопедической помощи, а реабилитация сводится к уходу и симптоматическому лечению сопутствующих заболеваний. Сращение перелома у выживших к 6 мес после травмы больных происходит с грубыми нарушениями функции конечности.
По данным B.Z. White и соавт. [23], при консервативном лечении больных с вертельными переломами летальность составляет 33,7% (при оперативном — 12%). Аналогичные данные получены и нами при анализе результатов консервативного лечения 200 пострадавших с переломами вертельной области. Как видно из табл. 1, летальность в первые месяцы после травмы составила 34,5%, неудовлетворительные результаты лечения — 31%. Если же взять только больных от 66 лет и старше, то летальность составит 38,8%, а положительные результаты консервативного лечения — всего 26,4%.
Все сказанное выше побуждает исследователей, несмотря на достигнутые успехи в разработке остеосинтеза при вертельных переломах, продолжать совершенствование методов хирургического лечения данной патологии [1, 3-5, 7, 10, 14, 16, 18, 22].
У подавляющего большинства пострадавших с вертельными переломами, помимо стрессовых реакций на травму, имеются тяжелые сопутствующие возрастные заболевания, что приводит к снижению защитных реакций и адаптационных возможностей организма [1, 2, 9, 11, 17, 19, 21]. Переломы вертельной области превращаются у таких больных в тяжелое общее заболевание, требующее, кроме соответствующей ортопедотравматологической помощи, проведения комплекса терапевтических мероприятий [4, 6, 8, 15].
Чрезвычайно важное значение имеет ранняя активизация больного. Единственная возможность обеспечить ее — раннее оперативное лечение [9, 10, 12, 13, 18, 20]. При этом необходимы четкие критерии выбора того или иного способа операции.
Целью нашей работы было улучшить результаты лечения больных пожилого и старческого возраста с вертельными переломами путем повышения эффективности хирургического вмешательства и разработки комплекса мероприятий медицинской реабилитации.
Для реализации поставленной цели нами разработано компрессирующее устройство для остеосинтеза переломов вертельной области бедренной кости (свидетельство на полезную модель 11996 РФ), не имеющее аналогов среди отечественных фиксаторов.
Конструктивные особенности устройства (рис. 1) позволяют:
- создавать первичную межфрагментарную компрессию;
- за счет возможности скольжения основного винта кнаружи через цилиндрическое отверстие в толще пластины направлять опорную нагрузку на оперированную конечность при ходьбе по оси основного винта, превращая ее в силу динамической компрессии;
- сохранять заданный шеечно-диафизарный угол.
Для обоснования эффективности способа хирургического лечения с применением нового устройства были проведены эксперименты на биоманекенах — свежезаготовленных бедренных костях.
Табл. 1. Отдаленные результаты консервативного лечения 200 больных с переломами вертельной области
Возрастная группа (лет) | Всего больных | Результат лечения | |||||||
хороший | удовлетворительный | неудовлетворительный | умерли | ||||||
абс. | % | абс. | % | абс. | % | абс. | % | ||
61-65 | 22 | 17 | 77,3 | 5 | 22,7 | 0 | 0 | 0 | 0 |
66-70 | 22 | 12 | 54,5 | 8 | 36,4 | 2 | 9,1 | 0 | 0 |
71-75 | 66 | 3 | 4,6 | 22 | 33,3 | 22 | 33,3 | 19 | 28,8 |
76-80 | 52 | 0 | 0 | 2 | 3,9 | 27 | 51,9 | 23 | 44,2 |
81-90 | 38 | 0 | 0 | 0 | 0 | 11 | 28,9 | 27 | 71,1 |
Итого | 200 | 32 | 16 | 37 | 18,5 | 62 | 31,0 | 69 | 34,5 |
При моделировании переломов вертельной области использовали по 10 образцов, на которых выполняли остеотомии типа переломов А1 и А2 по классификации AO/ASIF. Виды остеотомий представлены на рис. 2. Две целые бедренные кости использовали в качестве контрольных.
Под нагрузкой сжатия от 0 до 1000 Н на стандартной разрывной машине Р-0,5 ступенями через 100 Н производили измерение смещений костных фрагментов в месте остеотомий по направлениям перемещений элементов образцов (рис. 3). Полученные данные подвергали математической обработке.
Рис. 1. Компрессирующее устройство для остеосинтеза вертельных переломов. 1 — основной шеечный винт с головкой 2; 4 — опорная пластина с дополнительным отверстием 5 для антиротационного винта 3 и отверстиями 6 для фиксирующих винтов 7.
Рис. 2. Схема остеотомий бедренной кости: типы переломов по классификации AO/ASIF 31 Al (а) и 31 А2 (б) с полным повреждением медиального кортикального слоя.
Рис. 3. Схема направлений перемещения элементов испытуемых бедренных костей. Р — вектор приложения силы сжатия; М, N, S — измеряемые параметры смещений фрагментов.
Было выявлено, что на образце бедренной кости с остеотомией А1 по достижении нагрузки в 1000 Н происходит деформация до 3 мм, а с остеотомией типа А2 — до 4 мм. При последующих испытаниях образцов отмечена тенденция к стабилизации картины смещений с уменьшением величин деформаций после снижения нагрузки до уровней, приближающихся к таковым в целой бедренной кости.
Результаты экспериментальных исследований показали высокую механическую прочность остеосинтеза, осуществляемого с помощью разработанного устройства, и его адекватность при различных типах вертельных переломов. Это позволило нам применить данное устройство в клинике.
Важным фактором стабильности результатов того или иного хирургического метода лечения является выработка четких показаний к нему. На основании данных анализа консервативного лечения мы считаем, что разработанный нами оперативный метод показан: 1) больным пожилого и старческого возраста без тяжелых сопутствующих заболеваний, не нуждающимся в специальной предоперационной подготовке и особом ведении в послеоперационном периоде; 2) пациентам с компенсированными изменениями со стороны внутренних органов и систем — после соответствующей предоперационной подготовки и при особо тщательном послеоперационном ведении.
Большое значение имеет рациональная система лечебно-профилактических мероприятий, направленных на активное предоперационное выявление и консервативную терапию гемодинамических расстройств и сопутствующих заболеваний. Мы начинали предоперационную подготовку сразу при поступлении больного в стационар и проводили ее с обязательным участием терапевта, анестезиолога и, при необходимости, врачей других специальностей.
Из методов операционной анестезии наиболее адекватной для лиц пожилого и старческого возраста мы считаем перидуральную анестезию, которая позволяет поддерживать контакт с больным, обеспечивает высокую степень аналгезии и дает меньше осложнений в послеоперационном периоде. Этот метод и был использован при выполнении операций у рассматриваемой группы больных.
Табл. 2. Отдаленные результаты оперативного лечения 30 больных с переломами вертельной области
Возрастная группа (лет) | Результат лечения | ||||||||
Всего больных | хороший | удовлетворительный | неудовлетворительный | умерли | |||||
| абс. | % | абс. | % | абс. | % | абс. | % | |
61-65 | 9 | 6 | 66,7 | 2 | 22,2 | 1 | 11,1 | 0 | 0 |
66-70 | 11 | 6 | 54,6 | 4 | 36,4 | 0 | 0 | 1 | 9 |
71-75 | 6 | 3 | 50 | 3 | 50,0 | 0 | 0 | 0 | 0 |
76-80 | 3 | 1 | 33,3 | 2 | 66,7 | 0 | 0 | 0 | 0 |
81-90 | 1 | 0 | 0 | 1 | 0 | 0 | 0 | 0 | 0 |
Итого | 30 | 16 | 53,3 | 12 | 40 | 1 | 3,3 | 1 | 3,3 |
Этапы хирургического лечения с применением предложенного устройства. Выполняют закрытую ручную репозицию отломков. Линейным разрезом длиной 10-12 см по наружной поверхности бедра обнажают подвертельную область. Фрагменты бедра временно стабилизируют двумя спицами. В шейку и головку бедра вводят основной винт через опорную пластину, которая фиксируется к бедренной кости. Интраоперационный рентгенологический контроль выполняют с помощью переносных аппаратов в прямой и аксиальной проекциях (2-4 снимка). После удаления спиц создают межфрагментарную компрессию основным и антиротационным винтами. Малая травматичность операции обеспечивается щадящей хирургической техникой, исключающей широкое обнажение костных фрагментов. Операция заканчивается дренированием раны вакуумным трубчатым дренажем.
Хирургическое лечение с использованием разработанного нами устройства проведено 37 больным с вертельными переломами бедра. Продолжительность пребывания пациентов в стационаре составила в среднем 14,5 дня. Результаты лечения изучены в срок до 1 года у 30 больных (табл. 2).
Приведем клинические примеры.
Больная Л.,68 лет, поступила в травматологическое отделение Самарской городской больницы № 1 им. Н.И. Пирогова 01.03.99 через 4 ч после травмы (падение на улице). Диагноз: закрытый чрезвертельный перелом правой бедренной кости со смещением отломков 31 А1.2. Сопутствующий диагноз: ишемическая болезнь сердца; атеросклеротический кардиосклероз Н1; гипертоническая болезнь III стадии. При поступлении выполнены новокаиновая блокада места перелома и иммобилизация в гипсовом деротационном сапожке. Предоперационное обследование и подготовка проведены с участием терапевта и анестезиолога.
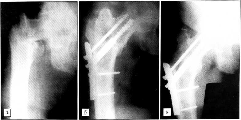
03.03.99 произведен остеосинтез вертельной области правого бедра новым устройством. Продолжительность операции — 38 мин, кровопотеря — 150 мл. Послеоперационный период протекал без осложнений. Больная выписана через 15 сут после травмы. Через 3 мес самостоятельно ходила по улице, пользуясь тростью. При осмотре через 4 мес после операции: полное восстановление функции оперированной конечности, пациентка обслуживает себя, выполняет работу по дому и на огороде (рис. 4).
Рис. 4. Рентгенограммы правого тазобедренного сустава больной Л. 68 лет. а — при поступлении: чрезвертельный перелом правой бедренной кости со смещением отломков, тип 31 А1.2; б — после остеосинтеза; в — через 3 мес: перелом сросся.
Больная Ц.,84 лет, поступила в отделение 28.03.99 через 3 ч после травмы (падение на улице). Диагноз: закрытый чрезвертельный перелом правой бедренной кости со смещением отломков 31 А2.2. Сопутствующий диагноз: ишемическая болезнь сердца; атеросклеротический кардиосклероз Н2; атеросклероз сосудов головного мозга; гипертоническая болезнь III стадии; хронический бронхит вне обострения; желчно-каменная болезнь, хронический калькулезный холецистит. 31.03.99 под перидуральной анестезией произведен остеосинтез бедра компрессирующим устройством. Больная выписана из отделения через 16 сут после травмы. Спустя 3 мес после операции оставила костыли и начала ходить с тростью. При осмотре через 4 мес: полное восстановление функции оперированной конечности; пациентка обслуживает себя, выходит из дома на улицу, посещает поликлинику и магазины (рис. 5).
Рис. 5. Рентгенограммы правого тазобедренного сустава больной Ц. 84 лет. а - при поступлении: чрезвертельный перелом левой бедренной кости со смещением отломков, тип 31 А 1.2; б — после остеосинтеза.
Больная М.,69 лет, поступила 03.12.99 через 2 ч после травмы (падение на улице). Диагноз: закрытый подвертельный перелом правой бедренной кости со смещением отломков 31 АЗ.2. Сопутствующий диагноз: ишемическая болезнь сердца; атеросклеротический кардиосклероз Н2; атеросклероз сосудов головного мозга; гипертоническая болезнь III стадии. 07.12.99 произведен остеосинтез правого бедра компрессирующим устройством. Больная выписана из отделения через 18 сут. Спустя 4 мес после операции: полное восстановление функции оперированной конечности, пациентка полностью обслуживает себя (рис. 6).
Рис. 6. Рентгенограммы правого тазобедренного сустава больной М. 69 лет. а - при поступлении: подвертельный перелом правой бедренной кости со смещением отломков, тип 31 АЗ.2; б — после остеосинтеза.
Летальный исход отмечен в одном случае: больная 67 лет умерла через 2 мес после операции от острой сердечной недостаточности в результате повторно развившегося инфаркта миокарда. Послеоперационное течение у нее осложнилось нагноением раны.
Таким образом, если при консервативном лечении переломов вертельной области неудовлетворительные результаты составляли 31%, то при остеосинтезе компрессирующим устройством этот показатель снизился до 3,3%, что убедительно свидетельствует о преимуществе предлагаемого метода.
Выводы
- Применение разработанного устройства для остеосинтеза переломов вертельной области позволяет бедренной кости выдерживать нагрузку до 1000 Н без разрушения. При нагрузке весом тела смещения фрагментов приближаются к деформациям неповрежденной бедренной кости.
- Остеосинтез всех типов переломов вертельной области предлагаемым устройством отличается малой травматичностью и простотой выполнения.
- Конструктивные особенности фиксатора, его динамический эффект позволяют сохранять компрессию между отломками в процессе сращения перелома, создавая возможность для ранней функции конечности и активизации больного.
- Оперативное лечение переломов вертельной области предлагаемым способом позволяет получить положительный результат более чем у 93% больных, что имеет важное социально-экономическое значение.
About the authors
G. P. Kotelnikov
Samara State Medical University; Research Institute "International Center for the Problems of the Elderly"
Author for correspondence.
Email: info@eco-vector.com
Russian Federation, Samara; Moscow
A. E. Bezrukov
Samara State Medical University; Research Institute "International Center for the Problems of the Elderly"
Email: info@eco-vector.com
Russian Federation, Samara; Moscow
A. G. Nudity
Samara State Medical University; Research Institute "International Center for the Problems of the Elderly"
Email: info@eco-vector.com
Russian Federation, Samara; Moscow
References
- Анкин Л.Н., Левицкий В.Б., Голдис В.А. //Ортопед. травматол. — 1990. — N 2. — С. 53-54.
- Аржакова Н.И., Капырина М.В., Бровкина Е.Э. //Конгресс травматологов-ортопедов России с международным участием «Новые имплантаты и технологии в травматологии и ортопедии»: Материалы. — Ярославль,1999. — С. 42-43.
- Аськов Н.А. //Съезд травматологов-ортопедов СНГ,4-й: Материалы. — Ярославль,1993. — С. 41-42.
- Войтович А.В., Шубняков И.И., Гончаров М.Ю. и др. //Там же. — С. 462.
- Жаденов И.И., Зуев П.А. //Там же. — С. 137.
- Иванов В.М., Либерзон Р.Д., Рузанов В.И., Зуев П.А. //Там же.— С. 152-153.
- Калнберз В.К., Муйжулис А.К., Дрякс Р.В. //Вестн. хирургии. — 1989. — N 1. — С. 64-66.
- Кутушев Ф.Х., Мичурин Н.В., Татеосов Г.И. //Вестн. хирургии. — 1983. — N 5. — С. 90-94.
- Лазарев А.Ф., Николаев А.П., Солод Э.И. //Конгресс травматологов-ортопедов России с международным участием «Новые имплантаты и технологии в травматологии и ортопедии»: Материалы. — Ярославль,1999.— С. 466-467.
- Охотский В.П., Сергеев С.В., Малыгина М.А., Пирушкин В.П. //Вестy. травматол. ортопед. — 1995. — N 1-2.— С. 3-7
- Рабинович Н.С. //Там же. — 1994. — N 1. — С. 60-61.
- Травматология и ортопедия: Руководство для врачей /Под ред. Ю.Г. Шапошникова. — М.,1997. — Т. 2. — С. 296-305.
- Шмидт И.З. //Российский мед. журн. — М. — 1998. — С. 45-47.
- Bannister G.C., Gibson A.G., Ackroid С.Е. //Clin. Ortop. - 1990. — N 254. — P. 242-246.
- Baudoin C. //Osteop. Int. — 1993. — Vol. 3, N 1. — P. 43-49.
- Ender H.G. //Lagenbecks Arch. Chir. — 1973. — Bd 334. — S. 935-941.
- Mannius S., Mellstrom D., Oclen A. //Acta Orthop. Scand. — 1987. — Vol. 58. — P. 38-42.
- Muller M.E., Allgower N., Schneider R. Manual of internal fixation. Technques recommended by the AO/ASIF group. — Berlin,1996.
- Sjostedt A., Zetterberg C., Hansson T. et al. //Acta Orthop. Scand. — 1994. — Vol. 65, N 2. — P. 161-165.
- Valverde J.A. //Clin. Orthop. — 1998. — N 252. — P. 238-245.
- Velkes S. //Arch Orthop. Trauma Surg. — 1996. — Vol. 1,N 3. — P. 319-323.
- Weatherall M. //J. Bone Jt Surg. — 1999. — Vol. 81B. — P. 508-512.
- White B.Z., Fisher N.D., Laurin C.A. / /J. Bone Jt Surg. - 1987. — Vol. 69A, N 9. — P. 1335-1340.
Supplementary files






