Our experience in the treatment of congenital hip dislocation in children of different ages
- Authors: Malakhov O.A.1, Kozhevnikov O.V.1, Gribov I.V.1, Kralina S.E.2
-
Affiliations:
- Central Institute of Traumatology and Orthopedics. N.N. Priorov
- Central Institute of Traumatology and Orthopedics. N.N. Priorova
- Issue: Vol 7, No 4 (2000)
- Pages: 26-31
- Section: Original study articles
- Submitted: 03.03.2022
- Accepted: 03.03.2022
- Published: 17.03.2022
- URL: https://journals.eco-vector.com/0869-8678/article/view/104419
- DOI: https://doi.org/10.17816/vto104419
- ID: 104419
Cite item
Full Text
Abstract
The experience in treatment of children with neglected congenital hip dislocation is presented. The main principles of management are defined. The successive complex of curative measures including conservative treatment using Ter-Egiazarov-Sheptun functional plaster bandage in children over 6 months is described in detail. In failed conservative treatment the reduction of dislocation is performed using over head technique. In children over 3 years descent of femoral head and reduction of dislocation are carried out on distraction system followed by surgical correction of all dysplastic elements of the hip joint. Technique of detorsion-varus osteotomy with application of distraction system and closed reduction is described. Long-term results were evaluated using CITO score system in 255 patients. Good and satisfactory results were in 91.7% of cases.
Keywords
Full Text
Успех лечения врожденного вывиха бедра у детей напрямую зависит от срока выявления заболевания и правильности выбора тактики ведения больного. К сожалению, до настоящего времени при этой патологии отмечается высокая частота различных остаточных дефектов развития тазобедренных суставов в отдаленном периоде. По данным литературы, в 10-60% случаев они становятся причиной диспластического коксартроза, следствием которого у 23-38% больных является инвалидность в наиболее трудоспособном возрасте [3, 5]. Совершенствование методов диагностики и лечения врожденного вывиха бедра, способов предупреждения коксартроза следует рассматривать как одну из актуальных задач клинической ортопедии.
Основной целью лечения детей с врожденным вывихом бедра является максимально раннее восстановление формы и функции тазобедренных суставов. Ранняя диагностика и своевременное (с первых дней жизни ребенка) применение простых атравматичных методов функционального лечения позволяют добиться правильного анатомического и функционального развития тазобедренных суставов у 80-97% детей [1, 8]. Лечение поздно диагностированных врожденных вывихов бедра, частота которых все еще остается весьма значительной, представляет гораздо более трудную задачу. У таких больных на фоне дисплазии отмечается деформация всех элементов сустава и особенно выражена приводящая контрактура бедра.
На наш взгляд, единым принципом лечения рассматриваемой патологии, независимо от возраста ребенка, должны быть постепенность устранения вывиха, а также восстановление правильных соотношений впадины и головки с максимально бережным отношением к составляющим сустава и параартикулярным тканям. Одна из основных причин неудовлетворительных исходов оперативного лечения заключается в применении неадекватных и травматичных методов хирургической коррекции [4].
В клинике детской ортопедии ЦИТО на протяжении более чем 10 лет применяется система комплексного последовательного лечения детей с врожденным вывихом бедра.
При поздно выявленных и не устраненных к 6 мес жизни ребенка вывихах проводится лечение функциональной гипсовой повязкой по Тер- Егиазарову—Шептуну. Повязка накладывается от пальцев стоп до верхней трети бедер в виде туторов при сгибании конечностей в коленных суставах до 90°. Конечности разводятся до максимально возможной величины и соединяются распоркой в области коленных суставов. К распорке прикрепляются фланелевые помочи, с помощью которых регулируется угол сгибания в тазобедренных суставах во фронтальной плоскости. По мере расслабления приводящих мышц бедер отведение в тазобедренных суставах увеличивается, что позволяет менять распорку на большую. Таким образом достигается отведение в тазобедренных суставах до угла 90°, чему способствует также проведение тепловых процедур. По нашим наблюдениям, аддукторная контрактура, как правило, устраняется в течение первых 2 нед, затем наступает полное отведение по Лоренцу и в последующие 1-4 нед при активных движениях происходит спонтанная репозиция головки бедра. Срок лечения в гипсовой повязке составляет от 3 до 6 мес. После снятия ее продолжается фиксация нижних конечностей в шине Виленского от 4 до 8 мес. Ортопедическое лечение проводится в сочетании с восстановительной терапией (ЛФК, физиолечение, массаж). Нагрузка на конечности разрешается не ранее чем через 9 мес.
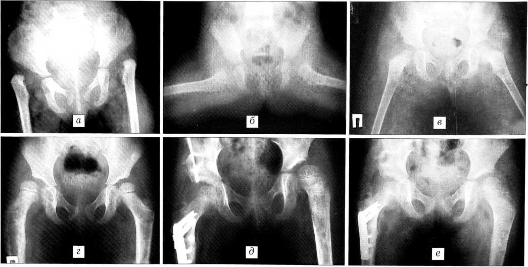
Больная М.,1 года. Диагноз: врожденный вывих бедра слева, подвывих справа. Вывихи выявлены в возрасте 5 мес, лечилась по месту жительства, без эффекта (рис. 1 ,а). В ЦИТО была наложена функциональная гипсовая повязка (рис. 1, б), производилась тракция. Через 2 нед вывихи устранены (рис. 1, в). В течение 6 мес осуществлялась иммобилизация гипсовыми повязками, а затем шинами Виленского. В этот период проводилось комплексное восстановительное лечение. Нагрузка на нижние конечности разрешена (в шинах) через 10 мес после вправления. Через 7 лет движения в тазобедренных суставах в полном объеме, суставы стабильны, длина нижних конечностей одинаковая. На контрольной рентгенограмме головки бедер центрированы во впадинах, покрытие головок полное (рис. 1, г).
Рис. 1. Больная М. 1 года. Диагноз: врожденный вывих левого бедра, подвывих правого бедра.
а — рентгенограмма при поступлении; б — лечение функциональной гипсовой повязкой по Тер- Егиазарову—Шептуну; в — рентгенограмма на этапе лечения; г — рентгенологический результат через 7 лет: ацетабулярный индекс 25°, угол Виберга 30°, коэффициент покрытия головки справа 1, слева — 0,9; д — функциональный результат через 7 лет: объем движений в тазобедренных суставах полный, симптом Тренделенбурга отрицательный с обеих сторон;
Консервативное лечение врожденного вывиха бедра, безусловно, заслуживает отдельного, более подробного рассмотрения. Однако в настоящей работе мы хотели представить в целом используемую в нашей клинике систему лечения данной патологии.
При неэффективности консервативной терапии мы переходим к вправлению вывиха при помощи скелетного вытяжения по методике «over head». Вытяжение осуществляется на продольно закрепленной балканской раме, снабженной блоками. Предварительно ребенку в условиях операционной проводят через мыщелки бедренных костей по две перекрещивающиеся спицы, которые закрепляют в полукольцах от аппарата Илизарова. Вытяжение осуществляют в вертикальной плоскости с постепенным разведением ног в течение 10-25 дней — в зависимости от степени вывиха и выраженности контрактуры приводящих мышц. Добиваются разведения ног до угла 90°. Далее в случае высокого стояния головки бедра для низведения ее накладывают при помощи пелотов дополнительные тяги в области верхней трети бедер и проводят вытяжение по оси тела грузом 1-1,5 кг.
В процессе вытяжения выполняют контрольную рентгенографию и при приближении головки бедра к вертлужной впадине производят закрытое вправление ее через задний край впадины. Эта манипуляция выполняется под наркозом. По завершении ее накладывают кокситную гипсовую повязку в положении Лоренц 1. Через каждые 2 мес гипсовую повязку меняют, постепенно переводя конечности сначала в положение Лоренц 2, затем в положение Ланге. Через 6 мес после вправления вырезают в гипсовой повязке переднюю, а спустя еще 2 нед — заднюю крышку и начинают разработку движений в тазобедренных суставах. Коленные суставы освобождают через 8 мес после вправления. Фиксация завершается в шине Виленского, которую накладывают на 2-4 мес. Нагрузка на нижние конечности в шине разрешается не ранее чем через 1 год после закрытого вправления. Реабилитационные мероприятия (ЛФК, физиотерапия, массаж и т.д.) проводятся на протяжении всего курса консервативного лечения.
Больная X.,2,5 лет. Диагноз: врожденный вывих бедер. Диагноз впервые установлен в возрасте 2,5 лет. До обращения в ЦИТО лечения не получала. При поступлении: высокий двусторонний вывих бедер (рис. 2, а). Первым этапом наложена система скелетного вытяжения по методике «over head» (рис. 2, б). Далее произведено закрытое вправление вывихов с иммобилизацией в кокситной гипсовой повязке. По снятии гипса головки обоих бедер располагаются во впадинах (рис. 2, в). Проведен курс восстановительного лечения. Нагрузка на конечности разрешена через 1 год после устранения вывихов. Однако с ростом ребенка сформировались остаточные подвывихи бедер (рис. 2, г). В связи с этим была произведена укорачивающая деторсионно-варизирующая остеотомия правого бедра с остеотомией таза по Солтеру справа (рис. 2, д). В настоящее время головка правого бедра центрирована во впадине, покрытие полное (рис. 2, е). Аналогичное вмешательство планируется на левом тазобедренном суставе.
Рис. 2. Больная X. 2,5 лет. Диагноз: врожденный вывих бедер.
а - рентгенограмма при поступлении; б —в процессе лечения по методике «over head»; в — после закрытого вправления и гипсовой иммобилизации; г — остаточные подвывихи бедер: коэффициент покрытия головки справа 0,4, слева — 0,7, угол патологической антеторсии справа 65°, слева 60°, угол Виберга справа — 10°, слева 5°, угол вертикального соответствия справа 60°, слева 75°; д — произведены остеотомия таза по Солтеру и деторсионно-варизирующая остеотомия бедра справа; е — через 4 мес после операции: коэффициент покрытия головки справа 1, угол Виберга 35°, угол вертикального соответствия 90°.
У детей старше 3 лет усилий системы скелетного вытяжения недостаточно, поэтому для низведения бедра и растяжения мягких тканей у больных в возрасте от 3 до 13 лет применяется другой вид дистракционной системы. В надмыщелковой области бедра проводят две перекрещивающиеся спицы, на которых монтируют кольцо аппарата Илизарова. Последнее посредством 3-4 телескопических штанг, располагаемых по оси конечности в положении ее отведения и внутренней ротации, соединяют с кокситной гипсовой повязкой, наложенной на противоположную сторону с упором в пятку и седалищный бугор. На 3-и сутки начинают дозированную дистракцию, которую проводят в течение 14-18 дней. После низведения головки бедра до нижнего края вертлужной впадины выполняют закрытое вправление ее с одновременной хирургической коррекцией элементов диспластического сустава. Объем оперативного вмешательства зависит от степени дисплазии сустава и предполагает коррекцию бедренного и/или тазового компонента: применяются остеотомия таза по Солтеру либо по Хиари, ацетабулопластика по Пембертону, ацетабулопластика одновременно с остеотомией таза, деторсионно-варизирующая остеотомия бедра, медиализирующая остеотомия бедра и т.д. или их различные сочетания [7].
Больная О.,3 лет. Врожденный вывих правого бедра выявлен в возрасте 1 года. Проводилось консервативное лечение, оказавшееся безуспешным. В ЦИТО поступила в возрасте 3 лет (рис. 3, а). Первым этапом больной наложена дистракционная система на правое бедро. В процессе дистракции головка бедра низведена до уровня нижнего края вертлужной впадины (рис. 3, б). Вторым этапом выполнена деторсионно-варизирующая остеотомия правого бедра и остеотомия таза по Солтеру (рис. 3, в). Через 1 год после операции клинико-рентгенологический результат хороший (рис. 3, г).
Рис. 3. Больная О. 3 лет. Диагноз: врожденный вывих правого бедра.
а — при поступлении; б — низведение головки бедра в дистракционной системе; в — после остеотомии таза по Солтеру и деторси- онно-варизирующей остеотомии бедра справа; г — рентгенологический и функциональный результат через 1 год после операции: объем движений в тазобедренных суставах полный, ацетабулярный индекс справа 20°, угол Виберга 35°, коэффициент покрытия головки 1.
Многолетний опыт лечения рассматриваемого контингента больных показал, что после наложения дистракционной системы и низведения головки бедренной кости развивается остеопороз, что создает проблемы при выполнении деторсионно-варизирующей остеотомии бедра: появляется опасность нестабильности, миграции пластины и перелома шейки бедра. Кроме того, при одномоментной коррекции тазового и бедренного компонентов сустава не исключено нарушение кровообращения в головке бедренной кости, которое может осложниться ее асептическим некрозом. С учетом этого в отделении разработана методика лечения, по которой вначале производятся деторсионно-варизирующая остеотомия бедра с фиксацией пластиной и одновременное наложение дистракционной системы. Далее головка бедра постепенно низводится до уровня вертлужной впадины. В последующем выполняются все необходимые элементы хирургического лечения: закрытое или открытое вправление головки, остеотомия таза по Солтеру и т.д.
Больной А., диагноз: врожденный вывих левого бедра. Впервые вывих выявлен в ЦИТО в возрасте 4 лет (рис. 4, а). Сначала больному произведена деторсионно- варизирующая остеотомия левой бедренной кости с фиксацией пластиной и одновременно наложена дистракционная система (рис. 4, б). В послеоперационном периоде головка бедра низведена до уровня нижнего края вертлужной впадины и выполнено закрытое вправление ее. Проводились курсы консервативного лечения. Через 1 год разрешена нагрузка на ногу. На контрольных рентгенограммах головка левого бедра центрирована во впадине (рис. 4, в). В процессе роста у больного сформировался дефицит покрытия головки левой бедренной кости (рис. 4, г), в связи с чем в возрасте 8 лет выполнена ацетабулопластика по Пембертону слева (рис. 4, д). Через 2 года после операции клинико-рентгенологический результат хороший (рис. 4, е).
Рис. 4. Больной А. 4 лет. Диагноз: врожденный вывих левого бедра.
а рентгенограмма при поступлении; б — произведена деторсионно-варизирующая остеотомия левого бедра, наложена дистракционная система; в — через 1 год после вправления: сустав стабилен, коэффициент покрытия головки 1; г — рентгенограммы в возрасте 8 лет: остаточный подвывих левого бедра, коэффициент покрытия головки 0,6, ацетабулярный индекс 35°, угол Виберга 5°; д — ацетабулопластика по Пембертону слева; е — функциональный и рентгенологический результат через 2 года после операции: объем движений в тазобедренных суставах полный, симптом Тренделенбурга отрицательный с обеих сторон, слева ацетабулярный индекс 10°, угол Виберга 35°, коэффициент покрытия головки 1.
Результаты лечения по описанным методикам изучены у 255 больных в сроки от 1 года до 10 лет. Из них в функциональной гипсовой повязке лечились 159 детей, по методике «over head» — 28, вправление вывиха на дистракционной системе проводилось 56 больным, деторсионно-варизирующая остеотомия с одновременным наложением дистракционной системы — 12. Результаты оценивались по балльной системе ЦИТО, предложенной Г.М. Тер-Егиазаровым и Г.П. Юкиной [2] (см. таблицу).
Результаты лечения врожденного вывиха бедра по системе ЦИТО
Группы по результатам лечения (число баллов) | Количество больных | |
абс. | % | |
I (5 баллов) | 8 | 3,1 |
II (4,9-4 балла) | 129 | 50,6 |
III (3,9-3 балла) | 97 | 38,0 |
IV (2,9-2 балла) | 15 | 5,9 |
V (1,9-1 балл) | 6 | 2,4 |
Итого | 255 | 100 |
Анализ результатов лечения позволяет говорить об их прямой зависимости от возраста ребенка, в котором проводилось вправление вывиха бедра. Так, в I группу (полное анатомо-рентгенологическое восстановление тазобедренных суставов) вошли дети, лечившиеся в наиболее раннем возрасте с применением функциональной гипсовой повязки. IV и V группу составили больные, у которых вывих бедра был выявлен после 3-4 лет — у них уже имелись выраженная деформация элементов тазобедренного сустава и высокие подвздошные вывихи. Низведение головки бедра осуществлялось на дистракционной системе. Дистракция была длительной и не всегда приводила к желаемому результату, в связи с чем приходилось прибегать к открытому вправлению головки бедра с одновременной коррекцией элементов диспластического сустава. Наименее благоприятные результаты наблюдались в тех случаях, когда у детей до поступления в нашу клинику предпринимались неоднократные безуспешные попытки закрытого вправления. К нам такие больные поступали с явлениями асептического некроза головки бедра, которые трудно поддавались лечению и приводили к артрозу тазобедренного сустава.
Основная часть пациентов (88,6%) относились ко II и III группам по балльной системе оценок ЦИТО. У большинства из них после проведенного лечения отмечалось полное восстановление функции тазобедренных суставов, рентгенологически суставы были стабильны, однако оставались небольшие проявления дисплазии вертлужной впадины или бедра.
Итак, многолетний опыт лечения пациентов с поздно диагностированными вывихами в тазобедренном суставе различной степени тяжести позволил нам разработать комплекс последовательно выполняемых лечебных мероприятий, обеспечивающих благоприятные отдаленные результаты. В основу лечения положены применение функциональных методов вправления головки бедра в вертлужную впадину, отказ от грубых одномоментных манипуляций и как можно более раннее устранение остаточной нестабильности тазобедренного сустава. Оперативная коррекция элементов дисплазии сустава может выполняться как по отдельности, так и в различных сочетаниях — в зависимости от варианта нарушения соотношений компонентов сустава. Важное значение имеет диспансерное наблюдение больных, особенно в периоды «толчков» роста, когда процессы ревальгизации проксимального отдела бедра могут привести к развитию нестабильности сустава, несмотря на хорошие ближайшие клинические и рентгенологические результаты лечения [6].
Соблюдение описанных выше принципов этапного комплексного лечения, тщательное предоперационное планирование, использование всего арсенала современных методик восстановительного лечения и длительное диспансерное наблюдение приводят к достижению хороших результатов и обеспечивают социальную и профессиональную реабилитацию пациентов.
About the authors
O. A. Malakhov
Central Institute of Traumatology and Orthopedics. N.N. Priorov
Author for correspondence.
Email: info@eco-vector.com
Russian Federation, Moscow
O. V. Kozhevnikov
Central Institute of Traumatology and Orthopedics. N.N. Priorov
Email: info@eco-vector.com
Russian Federation, Moscow
I. V. Gribov
Central Institute of Traumatology and Orthopedics. N.N. Priorov
Email: info@eco-vector.com
Russian Federation, Moscow
S. E. Kralina
Central Institute of Traumatology and Orthopedics. N.N. Priorova
Email: info@eco-vector.com
Russian Federation, Moscow
References
- Абакаров А.А. Обоснование щадящих методов лечения в системе медицинской реабилитации детей с врожденным вывихом бедра: Дис.... д-ра мед. наук. — Куйбышев,1987.
- Волков М.В., Тер-Егиазаров Г.М., Юкина Г.П. Врожденный вывих бедра. — М.,1972.
- Кисиль И.Ю. Клинико-рентгенологические аспекты врачебно-трудовой экспертизы лиц, перенесших ре- конструктивно-восстановительные операции на тазобедренном суставе в детском возрасте: Дис.... канд. мед. наук. — М.,1991.
- Куценок Я.Б., Рулла Э.А., Мельник В.В. Врожденная дисплазия тазобедренного сустава. Врожденные подвывих и вывих бедра. — Киев,1992.
- Миралимов М.М. Комплексное клинико-рентгенофункциональное исследование, врачебно-трудовая экспертиза и реабилитация лиц с врожденным вывихом бедра после его консервативного лечения: Дис.... канд. мед. наук. — М.,1992.
- Поздникин Ю.И., Камоско М.М. //Заболевания и повреждения тазобедренного сустава: Тезисы докладов науч.-практ. конф. — Рязань,2000. — С. 54-55.
- Соколовский А.М., Крюк А.С. Хирургическое лечение заболеваний тазобедренного сустава. — Минск,1993.
- Guille J., Pizzutillo P.D., MacEwen G.D. //J. Am. Acad. Orthop. Surg. — 2000. — Vol. 8, N 4. — P. 232-242.
Supplementary files







