Use of Collapan for Plasty of Osteomyelitis Bone Defects
- 作者: Urazgildeev Z.I.1, Bushuev O.M.1, Berchenko G.N.1
 - 
							隶属关系: 
							
- Priorov Central Institute of Traumatology and Orthopedics
 
 - 期: 卷 5, 编号 2 (1998)
 - 页面: 31-35
 - 栏目: Articles
 - ##submission.dateSubmitted##: 06.03.2022
 - ##submission.dateAccepted##: 06.03.2022
 - ##submission.datePublished##: 15.06.1998
 - URL: https://journals.eco-vector.com/0869-8678/article/view/104487
 - DOI: https://doi.org/10.17816/vto104487
 - ID: 104487
 
如何引用文章
全文:
详细
Use of biocomposed material Collapan (Company «Intermedapatit», Russia) for the filling of bone defects after sequestrectomy was evaluated in 92 patients with chronic osteomyelitis of different localization. In 76 patients surgical wounds healed by first intention, in 16 patients — by second intention. Four patients had recurrence of purulent process in the term from 4 to 18 months after operation. Morphologic and histologic study of tissue specimens obtained during reoperation showed that inserted collapan induced antibacterial background, served as the matrix of newly forming bone tissue and activated the osteogenesis.
全文:
Проблема хирургического лечения больных остеомиелитом, в том числе вопрос выбора пластического материала для замещения костных дефектов, образующихся после радикального удаления очага поражения, остаются актуальными и дискутабельными. Предложено множество различных биологических трансплантатов, органических, неорганических и синтетических материалов для замещения остаточных костных дефектов. Однако одни из них малоэффективны или неприменимы при инфицированных дефектах, другие малодоступны, третьи технически сложны в заготовке и использовании или требуют повторного оперативного вмешательства для их извлечения [6, 8]. Поиск высокоэффективного трансплантационного материала продолжается. В последние годы ряд фирм, как зарубежных, так и российских, интенсивно занимаются разработкой нового класса препаратов, представляющих собой композиционные материалы, действующие как временная основа для образования костной ткани. В этом направлении достигнуты определенные успехи [9].
Проведенные ранее экспериментальные и клинико-морфологические исследования по замещению дефектов костной ткани показали, что гидроксиапатитсодержащие материалы (ГАП-керамика, коллапан), выпускаемые фирмой «Интермедапатит», обладают значительной биосовместимостью, остеокондуктивностью и активизируют процессы остеогенеза [1, 2, 14, 15]. В настоящее время эти материалы используются для заполнения дефектов костной ткани при онкологических операциях [3, 5], при лечении огнестрельных переломов [10, 11], для заполнения кист и костных карманов при пародонтозах [7], а также для стимуляции остеогенеза при несросшихся переломах, для дентальной имплантации и при лечении хронического остеомиелита в стоматологии [4, 16].
Материал и методы. В клинике гнойных осложнений и последствий травм ЦИТО в течение последних 3 лет проводится клиническое изучение возможности использования коллапана для заполнения дефектов кости после фистулосеквестрнекрэктомии при комплексном лечении остеомиелита и инфицированных переломов [12].
Коллапан — биокомпозиционный материал на основе гидроксиапатита с добавлением коллагена и различных лекарственных средств, в частности антибиотиков, позволяющих поддерживать в послеоперационной ране антибактериальный фон. Препарат разработан и выпускается фирмой «Интермедапатит» (Россия). Входящий в его состав гидроксиапатит синтезирован оригинальным криохимическим методом [13].
Микробиологические исследования показали, что высокая антимикробная активность коллапана сохраняется 16-20 сут, в течение которых происходит равномерное выделение лекарственных средств в окружающие ткани.
Для пластики костных дефектов при хирургическом лечении хронического остеомиелита коллапан использован у 92 больных (15 женщин и 77 мужчин). По локализации поражения больные распределялись следующим образом: бедренная кость — 36 (39,1%) пациентов, кости голени — 28 (30,4%), плечевая кость — 10 (10,9%), голеностопный сустав — 7 (7,6%), кости предплечья — 4 (4,3%), пяточная кость и коленный сустав — по 2 (2,2%), ребро, надколенник, плюсневая кость — по 1 (1,1%) больному. Посттравматический остеомиелит диагностирован у 49 (53,2%) пациентов, послеоперационный — у 26 (28,3%), гематогенный — у 9 (9,8%), огнестрельный — у 8 (8,7%) больных.
Имплантация препарата не вызывала технических трудностей и не усложняла оперативное вмешательство. После выполнения радикальной секвестрнекрэктомии и санации операционной раны, включающей промывание антисептиками, обработку ультразвуком и вакуумирование, костную полость заполняли гранулами коллапана. При проведении резекционной секвестрнекрэктомии, под которой мы подразумеваем сегментарную резекцию на всем протяжении патологического очага, гранулы коллапана с антибиотиком вводили между фрагментами кости, создавали компрессию в аппарате чрескостной фиксации — одномоментно или постепенно, до достижения контакта между отломками кости, затем обкладывали гранулами зону контакта. Дренирование осуществляли в течение 2-5 сут только в режиме отсасывания. При резекции суставов по поводу остеомиелита эпиметафизарных отделов костей коллапан с соответствующим антибиотиком вводили в образовавшийся дефект, затем создавали компрессию в аппарате чрескостной фиксации для достижения артродеза. Рану ушивали наглухо, оставляя систему для отсасывающего дренирования в послеоперационном периоде.
Результаты и обсуждение. У 76 больных операционная рана зажила первичным натяжением, у 16 — вторичным. Через 6—7 мес после операции рентгенологически отмечалось постепенное заполнение остеомиелитических полостей костной тканью (наибольший срок наблюдения — 3 года).
У 4 больных в сроки от 4 до 18 мес после операции возник рецидив остеомиелитического процесса. Причиной рецидива в 2 случаях было наличие обширных постостеомиелитических полостей, неполностью замещенных коллапаном после секвестрнекрэктомии, в 2 случаях — развитие некроза кожных покровов над патологическим очагом и обнажение области операции. Во всех этих случаях было проведено морфологическое исследование тканей, взятых при повторном хирургическом вмешательстве.
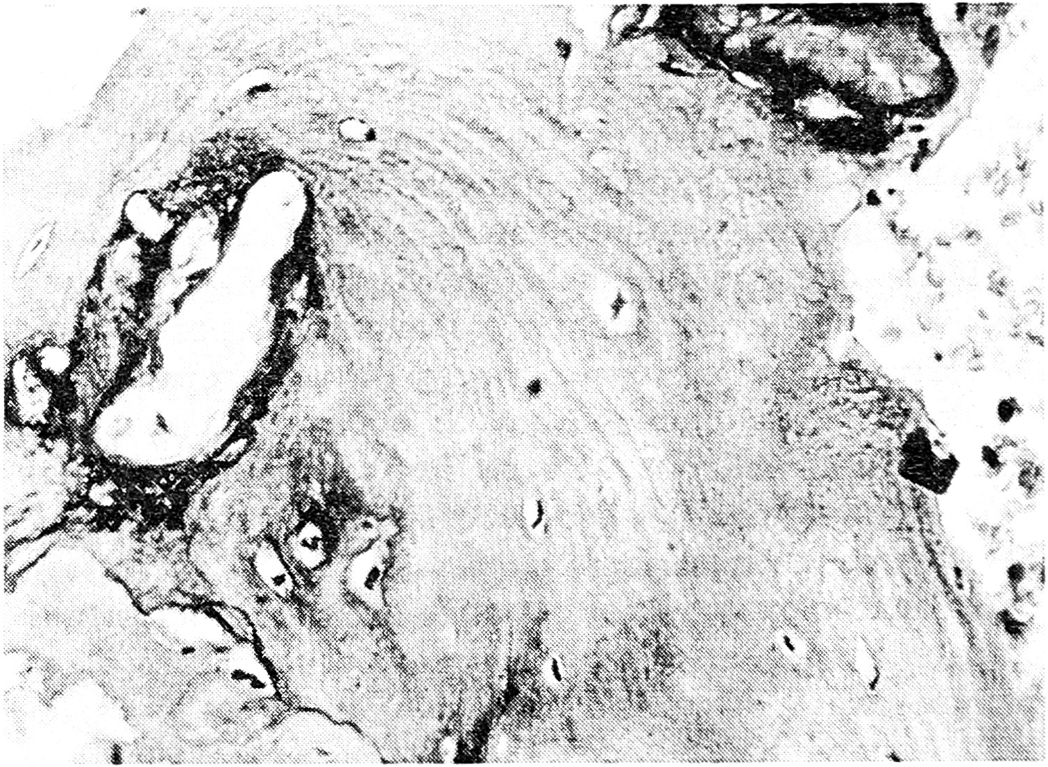
Гистологическое исследование операционного материала показало, что к 4-му месяцу после имплантации коллапана в костном дефекте, образовавшемся при секвестрнекрэктомии, происходят активные процессы остеогенеза. Определяются новообразованные костные балки, содержащие включения остатков гидроксиапатита (рис. 1), являющегося основой коллапана. В участках, расположенных ближе к центру дефекта, балки имеют в основном остеоидный характер, тогда как в краевых участках костные трабекулы более зрелые, постепенно приобретающие пластинчатое строение. Признаков воспалительного процесса в межбалочных пространствах не наблюдается. Частицы коллапана в виде гидроксиапатита в основном обнаруживаются внутрикостно, в межтрабекулярных пространствах они встречаются редко, при этом клеточной реакции вокруг них не определяется.
Рис. 1. Формирование костных трабекул, содержащих включения гидроксиапатита. Срок после операции 4 мес.
Окраска гематоксилином и эозином. Ув. 125.
В более поздние сроки исследования (8-14 мес) в постостеомиелитических дефектах отмечается увеличение объема новообразованной костной массы, что проявляется в формировании утолщенных костных трабекул. Обнаруживаются внутрикостные включения частиц постепенно лизируемого гидроксиапатита. Новообразованные костные трабекулы имеют преимущественно пластинчатое строение (рис. 2). В некоторых участках определяется формирование гаверсовых каналов, что характерно для кортикального слоя кости. Признаков воспаления в области расположения коллапана не выявляется.
Рис. 2. Костная трабекула, приобретающая пластинчатое строение; определяются остатки частиц гидроксиапатита. Срок после операции 8 мес.
Окраска гематоксилином и эозином. Ув. 125.
В качестве примера приводим одно из наблюдений.
Больной 3., 60 лет, поступил в клинику гнойных осложнений и последствий травм опорнодвигательного аппарата ЦИТО в апреле 1995 г. с диагнозом: хронический огнестрельный остеомиелит нижней трети правой бедренной кости, инфицированная рана нижней трети правого бедра, состояние после чрескостного остеосинтеза аппаратом Илизарова.
В феврале 1995 г. получил осколочное ранение правого бедра. Доставлен в одну из ЦРБ Чеченской республики с диагнозом: огнестрельный оскольчатый перелом нижней трети правого бедра. При поступлении выполнена первичная хирургическая обработка раны, наложено скелетное вытяжение. Затем произведен чрескостный остеосинтез бедра аппаратом Илизарова. Послеоперационный период осложнился нагноением с исходом в остеомиелит. Проводилась инфузионная, антибактериальная (пенициллин, гентамицин, клафоран, кефзол), витаминотерапия. Однако состояние больного ухудшилось, в связи с чем он был переправлен в Москву и госпитализирован в ЦИТО.
При поступлении в клинику: больной не ходит, правая нога неопорна, наложенный аппарат Илизарова из 4 колец нестабилен. Выраженный воспалительный процесс вокруг большинства спиц аппарата. По наружной поверхности правого бедра в нижней трети имеется рана со значительным гнойным отделяемым с неприятным запахом. Движения в правом коленном суставе резко ограничены из-за выраженного болевого синдрома. Нарушения чувствительности и кровообращения дистальнее перелома не выявлено.
На рентгенограммах и фистулограммах: обширный остеомиелитический процесс в нижней трети правого бедра в области огнестрельного повреждения (рис. 3, а); спица от аппарата Илизарова проходит через очаг поражения; контрастное вещество проникает в область огнестрельного перелома (рис. 3, б). Из отделяемого свища выделена ассоциация микроорганизмов — Proteus vulgaris, Clostridium и др., чувствительная к цефтазидиму, ципрофлоксацину, устойчивая к ампициллину, гентамицину, доксициклину, левомицетину, полимиксину, тобрамицину.
Рис. 3. Больной 3. 60 лет с хроническим огнестрельным остеомиелитом нижней трети правой бедренной кости.
а — рентгенограммы, б — фистулограммы правого бедра при поступлении; в — рентгенограммы после резекционной секвестрнекрэктомии и чрескостного остеосинтеза стержневым аппаратом; г — в процессе лечения; д — после снятия стержневого аппарата: остеомиелит ликвидирован, достигнуто сращение.
После предоперационной подготовки произведена операция: демонтаж аппарата Илизарова, резекционная секвестрнекрэктомия, остеосинтез стержневым аппаратом. Рана дренирована. В образовавшийся дефект протяженностью 11,5 см имплантирован коллапан с антибиотиком в соответствии с данными антибиотикограммы (рис. 3, в).
В послеоперационном периоде отломки постепенно сближены до достижения контакта (рис. 3, г). Рана дренировалась, частично зажила вторичным натяжением. Аппарат снят через 14 мес (рис. 3, д). Перелом сросся, остеомиелит был ликвидирован. Больной осмотрен через 18 мес: ходит без дополнительных средств опоры с полной нагрузкой на оперированную конечность, укорочение компенсировано ортопедической обувью.
Таким образом, применение коллапана с антибиотиками для заполнения костных полостей и сегментарных дефектов, образующихся в результате радикальной секвестрнекрэктомии, можно считать эффективным и перспективным. Биокомпозиционный материал коллапан с антибиотиками, введенный в дефект кости, создает антибактериальный фон в очаге воспаления, является «матрицей» для новообразующейся костной ткани и активизирует остеогенез, что способствует сокращению сроков лечения и предотвращению рецидивов хронического воспалительного процесса. Эти качества делают коллапан универсальным препаратом при лечении остеомиелита различной этиологии и локализации, а также открытых переломов и огнестрельных повреждений костей, осложненных гнойной инфекцией.
作者简介
Z. Urazgildeev
Priorov Central Institute of Traumatology and Orthopedics
							编辑信件的主要联系方式.
							Email: info@eco-vector.com
				                					                																			                												                	俄罗斯联邦, 							Moscow						
O. Bushuev
Priorov Central Institute of Traumatology and Orthopedics
														Email: info@eco-vector.com
				                					                																			                												                	俄罗斯联邦, 							Moscow						
G. Berchenko
Priorov Central Institute of Traumatology and Orthopedics
														Email: info@eco-vector.com
				                					                																			                												                	俄罗斯联邦, 							Moscow						
参考
补充文件
				
			
						
						
					




