Hip Joint Arthrodesis by Rod Device
- Authors: Zhadyonov I.I.1, Zuev P.A.1, Muromtsev V.A.1
-
Affiliations:
- Republican Arthrology Center at Saratov Institute of Traumatology and Orthopedics
- Issue: Vol 5, No 2 (1998)
- Pages: 43-46
- Section: Articles
- Submitted: 06.03.2022
- Accepted: 06.03.2022
- Published: 15.06.1998
- URL: https://journals.eco-vector.com/0869-8678/article/view/104490
- DOI: https://doi.org/10.17816/vto104490
- ID: 104490
Cite item
Full Text
Abstract
Authors elaborated and introduced into clinical practice the method of controlled hip joint arthrodesis using the rod device for fixation. The proposed method not only allowed to activate patients earlier but also relieved their self-service and enabled the surgeon to influence the bone tissue reparative regeneration at all stages of postoperative management. 63 patients with different hip joint pathology were operated on. In 57 cases ankylosis was achieved in 5-12 months after operation.
Full Text
Заболевания и последствия травм тазобедренного сустава продолжают оставаться частой причиной потери трудоспособности и инвалидности [6, 8]. Лечение этой категории больных обычно длительно и далеко не всегда приводит к благоприятному исходу [4, 7]. В последние годы широкое распространение получили реконструктивные вмешательства на тазобедренном суставе (корригирующие остеотомии, моделирующие резекции, артропластика и др.) и тотальное эндопротезирование, которые наряду с достоинствами имеют целый ряд недостатков и требуют решения некоторых проблем [3].
Единственный ранее в арсенале ортопедов и травматологов метод — артродезирование тазобедренного сустава с целью создания костного анкилоза в правильном положении конечности постепенно отступил на второй план. Причина этого заключается в том, что использование гипсовых повязок, аппарата Илизарова, погружных фиксаторов создает неудобства для больного, затрудняет уход за ним, длительное время исключает передвижение на костылях, увеличивая срок послеоперационного лечения, требует повторной операции для удаления ранее установленной конструкции. Кроме того, достигнутое во время операции прочное крепление костей в случаях развития в последующем асептического некроза или рассасывания кости ведет к образованию костного дефекта, который невозможно устранить. В результате формируется фиброзный анкилоз. В связи с этим оперативные вмешательства, направленные на создание костного анкилоза в правильном положении конечности с использованием стержневых аппаратов внешней фиксации, не потеряли своего значения [1, 2, 5, 9].
Нами предложен способ управляемого артродеза тазобедренного сустава с применением стержневого аппарата, выпускаемого серийно опытно-экспериментальным предприятием ЦИТО. Показаниями к артродезированию тазобедренного сустава являлись: односторонний коксартроз III стадии, в том числе диспластический, односторонний дегенеративнодистрофический процесс II степени с кистовидной перестройкой, односторонний асептический некроз головки бедренной кости IV степени тяжести, ложный сустав шейки бедра, дефект головки и шейки бедренной кости (последствия травм, остеомиелита, ранее перенесенных вмешательств и др.), состояние после удаления тотального эндопротеза в связи с его расшатыванием или нагноением (при невозможности повторного эндопротезирования). У лиц молодого возраста, занятых тяжелым физическим трудом, при двустороннем поражении тазобедренных суставов выполняли артродез только одного сустава.
Методика операции
Положение больного на боку. Переднебоковым доступом обнажают большой вертел, отсепаровывают среднюю ягодичную мышцу, освобождая капсулу сустава. Производят артротомию. Головку бедра вывихивают в рану. Долотом удаляют остатки хряща, костные разрастания и моделируют головку соответственно вертлужной впадине. При отсутствии головки и шейки экономно обрабатывают проксимальный конец бедра, подготавливая торец для упора в верхний край вертлужной впадины. Далее грибовидной фрезой или долотом обрабатывают вертлужную впадину до кровоточащей спонгиозной кости. При этом необходимо максимально удалить участки склерозированной костной ткани. В тех случаях, когда отсутствуют головка и шейка, в верхнем отделе вертлужной впадины выбирают паз, по размерам соответствующий подготовленному торцу проксимального отдела бедра или верхушке большого вертела.
Проксимальный конец бедра вправляют во впадину и адаптируют в ней. Среднюю ягодичную мышцу подшивают к месту ее прикрепления. Рану ушивают наглухо (дренажную трубку оставляют на 24 ч). Затем накладывают стержневой аппарат. Две стержневые опоры вводят в надацетабулярной области, располагая их в теле подвздошной кости, что обеспечивает максимальную надежность фиксации стержней. В диафиз бедра по наружной поверхности через оба кортикальных слоя вводят три стержневые опоры. Монтируют стержневой аппарат таким образом, чтобы шарнирное соединение находилось в проекции тазобедренного сустава. Накладывают спиртовые салфетки вокруг стержней аппарата и на рану. Больного переводят в положение на спине. Устанавливают конечность в правильном положении: сгибание в тазобедренном суставе от 10 до 20°, наружная ротация от 5 до 10°, отведение 5°. После этого фиксируют неподвижно шарнир аппарата, обеспечивая стабильность артродезируемого сустава.
Через 6—7 дней после операции больному разрешают ходить, дозированно нагружая оперированную ногу. После заживления раны, через 3—4 нед, пациент выписывается из стационара с рекомендациями продолжить дозированную нагрузку в течение 1 мес, а далее ходить, полностью нагружая оперированную конечность. Один раз в месяц выполняется контрольная рентгенография оперированного тазобедренного сустава. Если на рентгенограммах определяется диастаз между отломками, проводится дозированная компрессия в стержневом аппарате и осуществляется их сближение. При значительном укорочении конечности с помощью аппарата производится удлинение конечности на 2—4 см путем дозированного (0,5 мм в сутки) перемещения костного регенерата между вертлужной впадиной и проксимальным концом бедренной кости.
В клинике произведены 63 операции (35 у женщин, 28 у мужчин). Возраст больных составлял от 12 до 56 лет. Давность заболевания колебалась от 1 мес (в случаях травмы) до 18 лет. У 40 больных диагностирован асептический некроз головки бедренной кости (у 19 идиопатический, у 18 посттравматический, у 3 гормональный), у 16 больных был односторонний диспластический коксартроз, у 3 — закрытый переломовывих в тазобедренном суставе с переломом заднего края вертлужной впадины, у 2 — двусторонний коксартроз III стадии. Двое больных оперированы дважды на одном суставе. Всем больным произведено артродезирование тазобедренного сустава по описанной выше методике с использованием стержневого аппарата.
Костное сращение наступило у 57 пациентов в сроки от 5 до 12 мес после операции. У 4 больных с дефектом головки бедра произведено удлинение конечности — у двух на 2 см, у одного на 3 см и у одного на 4 см, при этом срок фиксации стержневым аппаратом удлинялся до 10—12 мес. После прекращения фиксации аппаратом больные в течение 1 мес дозированно нагружали конечность, пользуясь при ходьбе костылями, а далее ходили с опорой на трость в течение года.
В 6 случаях костного сращения в месте операции не наступило. В этой группе 4 больных оперированы повторно: в 2 случаях выполнено тотальное эндопротезирование сустава, в 2 — повторное артродезирование с фиксацией сустава стержневым аппаратом; 2 больных от оперативного лечения отказались.
В качестве иллюстрации эффективности разработанного нами способа приводим одно из наблюдений.
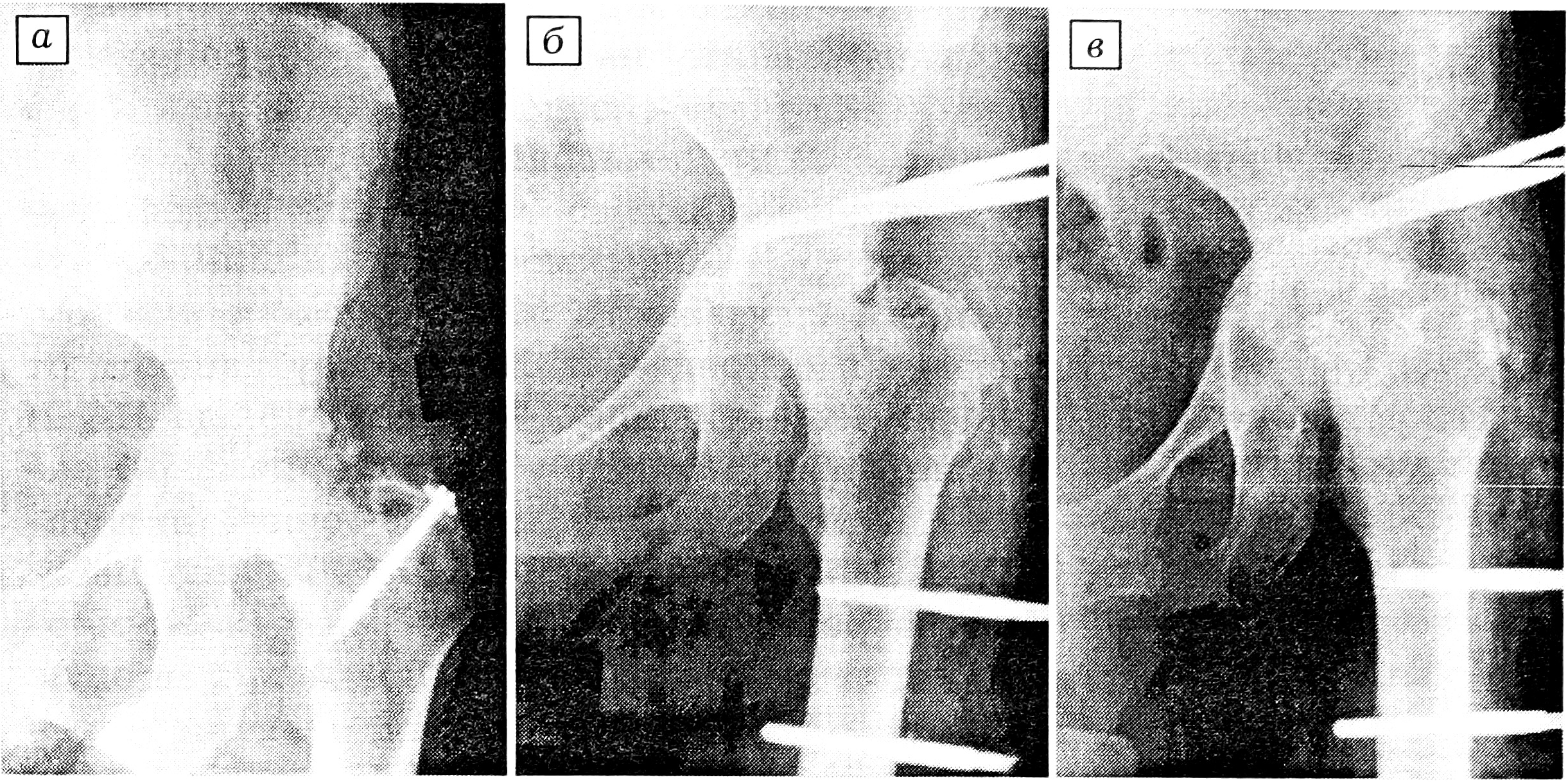
Больная Н., 43 лет, инвалид II группы, поступила в клинику артрологии Саратовского НИИТО 3.12.93 с диагнозом: посттравматический асептический некроз головки бедренной кости IV степени, состояние после открытого вправления вывиха бедра, произведенного в ноябре 1992 г. (рис. 1, а). 23.12.93 выполнена операция артродезирования тазобедренного сустава с использованием стержневого аппарата (рис. 1, б). Через 6 мес после операции отмечено образование костного анкилоза (рис. 1, в) и фиксация стержневым аппаратом прекращена. Через 8 мес после операции боли и подвижность в суставе отсутствуют, больная ходит с опорой на трость, особых затруднений в самообслуживании не отмечает. Инвалид III группы.
Рис. 1. Рентгенограммы тазобедренного сустава больной Н.
a — при поступлении;
б — непосредственно после операции артродезирования с использованием стержневого аппарата;
в — через 6 мес после операции.
Применение стержневого аппарата для фиксации костей дает ряд преимуществ по сравнению с другими способами артродезирования тазобедренного сустава. Больные раньше начинают ходить, передвигаясь без затруднений с помощью костылей. Это облегчает уход за ними. Расширяются возможности активного влияния на процессы репаративной регенерации костной ткани на всех этапах послеоперационного ведения больного — вплоть до осуществления удлинения конечности. Все это оказывает положительное морально-психологическое воздействие на пациента. Немаловажное значение имеет и экономический эффект, достигаемый за счет сокращения времени пребывания больных в стационаре и снижения сроков нетрудоспособности.
About the authors
I. I. Zhadyonov
Republican Arthrology Center at Saratov Institute of Traumatology and Orthopedics
Author for correspondence.
Email: info@eco-vector.com
Russian Federation, Saratov
P. A. Zuev
Republican Arthrology Center at Saratov Institute of Traumatology and Orthopedics
Email: info@eco-vector.com
Russian Federation, Saratov
V. A. Muromtsev
Republican Arthrology Center at Saratov Institute of Traumatology and Orthopedics
Email: info@eco-vector.com
Russian Federation, Saratov
References
Supplementary files


