Zweymuller revision operations
- Authors: Perner K.1
-
Affiliations:
- Steyr Hospital
- Issue: Vol 5, No 3 (1998)
- Pages: 33-36
- Section: Articles
- Submitted: 10.03.2022
- Accepted: 10.03.2022
- Published: 15.09.1998
- URL: https://journals.eco-vector.com/0869-8678/article/view/104671
- DOI: https://doi.org/10.17816/vto104671
- ID: 104671
Cite item
Full Text
Abstract
Clinical and radiologic study of the results of revision total hip arthroplasty with Zweymuller prosthe- ses was performed in 67 patients (mean follow up period 52 months). The causes for revision arthroplasty were the following: acetabular loosening (19 patients), femur loosening (1 patient), loosening of both components (47 patients). Surgical technique and choice of the implant depended on the severity of bone destruction (by Engelbrecht and Heinert). Clinical results were evaluated by Merle d’Aubigne score, mean value was 15.3. In 60 out of 67 cases bone formation around the implant components was detected radiologically. In two cases relative recovery was achieved. In 4 patients the signs of initial loosening of the acetabular cup were defined and those patients had marked acetabular bone destruction prior to revision operation. In 1 out of 48 cases bone integration and stem stabilization could not be achieved. The results obtained testified the advantage of cementless implant in revision arthroplasty over the classic cemented technique.
Full Text
Цель повторных операций состоит в устранении болей и восстановлении способности пациентов к передвижению. Условием ее достижения является первичная стабильная фиксация имплантата.
В отличие от классической цементной техники, при которой в течение длительного времени происходит рассасывание костного цемента, заполняющего полость дефекта в ложе имплантата, бесцементная техника позволяет восстановить разрушенные костные структуры. Для этого необходимы владение специальными оперативными методиками и наличие достаточного количества спонгиозы для заполнения дефектов. Спонгиозу мы обычно получаем из резецированных у пациентов с коксартрозом головок бедренных костей, которые хранятся в нашем собственном банке при температуре -70°С. Чтобы надежно исключить заражение СПИДом или другими инфекционными заболеваниями, осуществляется строгий контроль материала и доноров.
Предоперационное планирование
Планирование является основой успешной операции. В него входят:
— исключение инфекций;
— анализ рентгенограмм;
— идентификация подлежащего замене имплантата;
— оценка костного дефекта;
— выбор оперативной техники и необходимого имплантата;
— выяснение, потребуются ли специальные инструменты для удаления имеющегося имплантата или изготовление индивидуального эндопротеза для перекрытия костного дефекта.
Оперативная техника
Повторные операции сложнее первичных и поэтому должны выполняться наиболее опытными хирургами. Техника операции зависит от степени деструкции ложа имплантата и от типа эндопротеза.
Для определения степени деструкции используется хорошо зарекомендовавшая себя классификация Engelbrecht и Heinert, основанная на данных рентгенографии и интраоперационной картине (см. таблицу).
Таблица. Степени деструкции по Engelbrecht и Heinert
Степень деструкции | Характеристика |
0 | Потери костной субстанции нет, признаки смещения компонентов эндопротеза отсутствуют |
1 | Небольшая потеря костной субстанции Суставная впадина: заметна зона резорбции, клинически — боли при движении, но без миграции имплантата. Бедро: зона резорбции в проксимальном отделе бедра, клинически — боли при ходьбе без изменения взаиморасположения компонентов эндопротеза. Не редкость — перелом ножки эндопротеза при еще прочно фиксированной части ее |
2 | Умеренная потеря костной субстанции Суставная впадина: увеличивающаяся зона резорбции, отчетливое смещение чашки в сторону расширяющейся зоны лизиса. Бедро: зона лизиса кости распространяется вдоль всей ножки, резорбция кости достигает проксимального отдела костномозгового канала, возможно взаимное смещение компонентов эндопротеза |
3 | Выраженная потеря костной субстанции Суставная впадина: отчетливая нестабильность с заметным смещением в трех направлениях. Бедро: расширение костномозгового канала с увеличением наружного поперечника кости, костными дефектами в проксимальном отделе, возможными перфорациями |
4 | Высокая (до полной утраты) степень потери костной субстанции Суставная впадина: грубое смещение с распространенными дефектами, возможно разрушение края впадины. Бедро: распространенное или полное разрушение проксимальной и средней трети, выраженное поражение дистальной (остеопороз, истончение кортикальной кости), потеря опорности |
Ревизионные операции, безусловно, должны проводиться в ранней стадии (1-2 по Engelbrecht), пока еще нет большой потери костного вещества. Это облегчает выполнение вмешательства и наименее травматично для больного. В большинстве случаев в этой стадии пациенты еще не испытывают боли и показания к операции ставятся на основании данных рентгенологического обследования. Это диктует необходимость проведения регулярных обследований, так как боли возникают, как правило, лишь в стадии 3-4 по Engelbrecht.
Для доступа к суставу мы используем трансглютеальный разрез по Бауэру.
Техника имплантации чашки
Engelbrecht 1-2. Ревизионные операции в этой стадии технически просты, правила их выполнения в основном соответствуют правилам первичной имплантации. После иссечения капсулы становится возможным удаление смещенного имплантата. Извлечение бесцементной чашки с резьбой значительно сложнее, так как не всегда есть необходимый инструмент именно для этой модели. После извлечения чашки удаляют остатки цемента (в случаях цементной фиксации) и грануляционную ткань из ложа имплантата, чтобы подготовить ложе для чашки Bicon. Оставшиеся костные дефекты заполняют мелко измельченной спонгиозой. Для достижения максимального эффекта «press-fit» не следует прибегать к вращательным движениям чашки. Путем поворотов ее вправо—влево достигают полного контакта металла с костью. Перед установкой полиэтиленового вкладыша следует тщательно очистить чашку, чтобы обеспечить правильное защелкивание вкладыша. Как правило, мы используем стандартный и антилюксационный вкладыши.
Engelbrecht 3. При этой степени деструкции есть определенные ограничения в применении чашки типа Bicon. Чашка должна быть стабильно закреплена в еще сохранившейся костной структуре. При удалении подвижного имплантата и подготовке ложа для чашки следует иметь в виду, что сохранившиеся костные структуры могут быть тонкими, как бумага, в центральной, вентральной и дорсальной областях, и они не должны быть разрушены, так как абсолютно необходимы в качестве основы для фиксации чашки Bicon. Наиболее обширные костные дефекты в краниолатеральной, медиокаудальной и центральной областях заполняются спонгиозой. При деструкции степени 3 однозначно применяется «порозная» чашка Bicon, так как у этой модели наружная поверхность резьбы на 46% больше, чем у стандартной чашки. Чтобы избежать поломки ложа имплантата, следует использовать технику вкручивания «вперед—назад». Если после окончания ввертывания имплантата между ним и костным дном остается промежуток, его заполняют мелко измельченной спонгиозой через перфорационные отверстия в дне чашки. Выстоящие краевые экзофиты удаляют с помощью остеотома.
Engelbrecht 4. При столь высокой степени потери костной субстанции дефекты не могут быть устранены путем использования ввертывающихся чашек Bicon, так как отсутствует соответствующая костная основа. Обычно в таких случаях мы прибегаем к реконструкции ацетабулярной впадины с помощью специальной разрезной опорной чашки из чистого титана в сочетании с расширенной спонгиопластикой (рис. 1). После тщательного удаления грануляционной ткани из ложа имплантата чашка моделируется на сохранившейся кости и закрепляется в седалищной кости. Закрепление чашки винтами производится исключительно в краниолатеральном направлении в подвздошной кости. Дефект позади чашки заполняется через имеющиеся перфорационные отверстия мелко измельченной спонгиозой, которая уплотняется настолько, чтобы костный цемент при имплантации полиэтиленового вкладыша не слишком выступал наружу и не проникал в спонгиозу. Цементирование полиэтиленового вкладыша в разрезной опорной чашке позволяет осуществлять фиксацию в различных позициях для обеспечения оптимального положения. В особых случаях, когда даже разрезная опорная чашка не может быть стабильно закреплена, мы применяем sattelprothese — седловидный протез фирмы «Link». В большинстве случаев предпочитаем все-таки реконструкцию по системе Girdlestone—Hüfte.
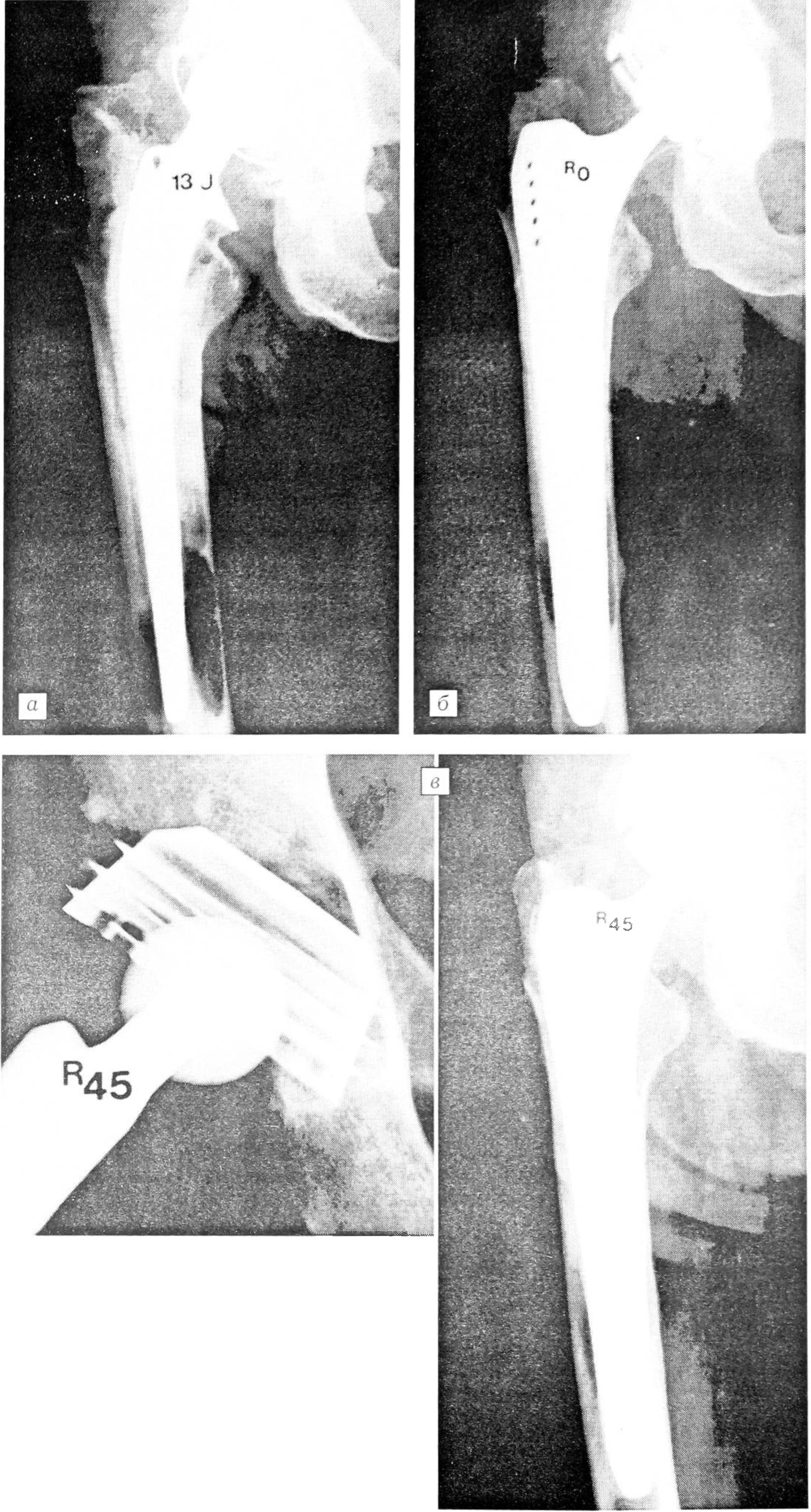
Рис. 1.
а — через 10 лет после первичного тотального эндопротезирования тазобедренного сустава цементируемой конструкцией: высокая степень деструкции костной ткани с вывихом головки (Engelbrecht 4);
б — непосредственно после реконструкции с использованием ацетабулярной опорной чашки Schneider и пластики спонгиозой;
в — через 52 мес после тотальной реконструкции.
Техника имплантации ножки
Как правило, мы производим удаление ножки и цементной мантии со стороны проксимального отдела бедра без дополнительного вскрытия его диафиза. Прочно сидящие участки цемента просверливаем сверлом, с тем чтобы ослабить их фиксацию к кости. В заключение остатки цемента удаляем с помощью майселей и специальных крючков.
Только при переломе ножки эндопротеза с прочно фиксированным дистальным отломком или при очень длинной ножке имплантата приходится делать окна в кортикальном слое для удаления фрагмента ножки и цемента или уменьшения опасности перелома кости. Окна желательно делать с вентральной стороны, а их углы скруглять с помощью сверла или фрезы.
В случае возникновения спиральных переломов, трещин, а также распространенных расщеплений кости и необходимости формирования больших окон в кортикальном слое следует применять титановый бандаж-серкляж.
Engelbrecht 1-2. «Имплантатом выбора» в этих ситуациях является SL-Plus стандартная ножка, и только в исключительных случаях мы применяем SLR-Plus ножку. После тщательного удаления костного цемента и грануляционной ткани из костномозговой полости проводится подготовка ложа ножки с помощью рашпилей для обработки костномозгового канала. Обработку осуществляют таким образом, чтобы была обеспечена ротационная стабильность ножки в подготовленной костномозговой полости. Затем вставляют пробную ножку и, используя сменные головки, проводят пробную репозицию, добиваясь правильной длины конечности и предотвращения в дальнейшем вывиха головки. После этого пробный имплантат заменяют на оригинальный. Восполнять с помощью спонгиозы следует только значительные дефекты костномозгового канала.
Engelbrecht 3. Эта степень деструкции является классическим показанием к применению ножки типа SLR-Plus (рис. 2 и 3). Благодаря большой длине ножки может быть перекрыта разрушенная проксимальная зона бедренной кости и произведена стабильная фиксация диафиза в дистальном отделе. После подготовки ложа имплантата, обеспечивающего ротационную стабильность (SLR-рашпили), все дистальные костные дефекты заполняют мелко измельченной спонгиозой. В заключение ложе ножки еще раз обрабатывают рашпилем, чтобы удалить излишки спонгиозы. Производят пробную репозицию с помощью пробной ножки, после чего оригинальная ножка SLR может быть без проблем запрессована на свое место.
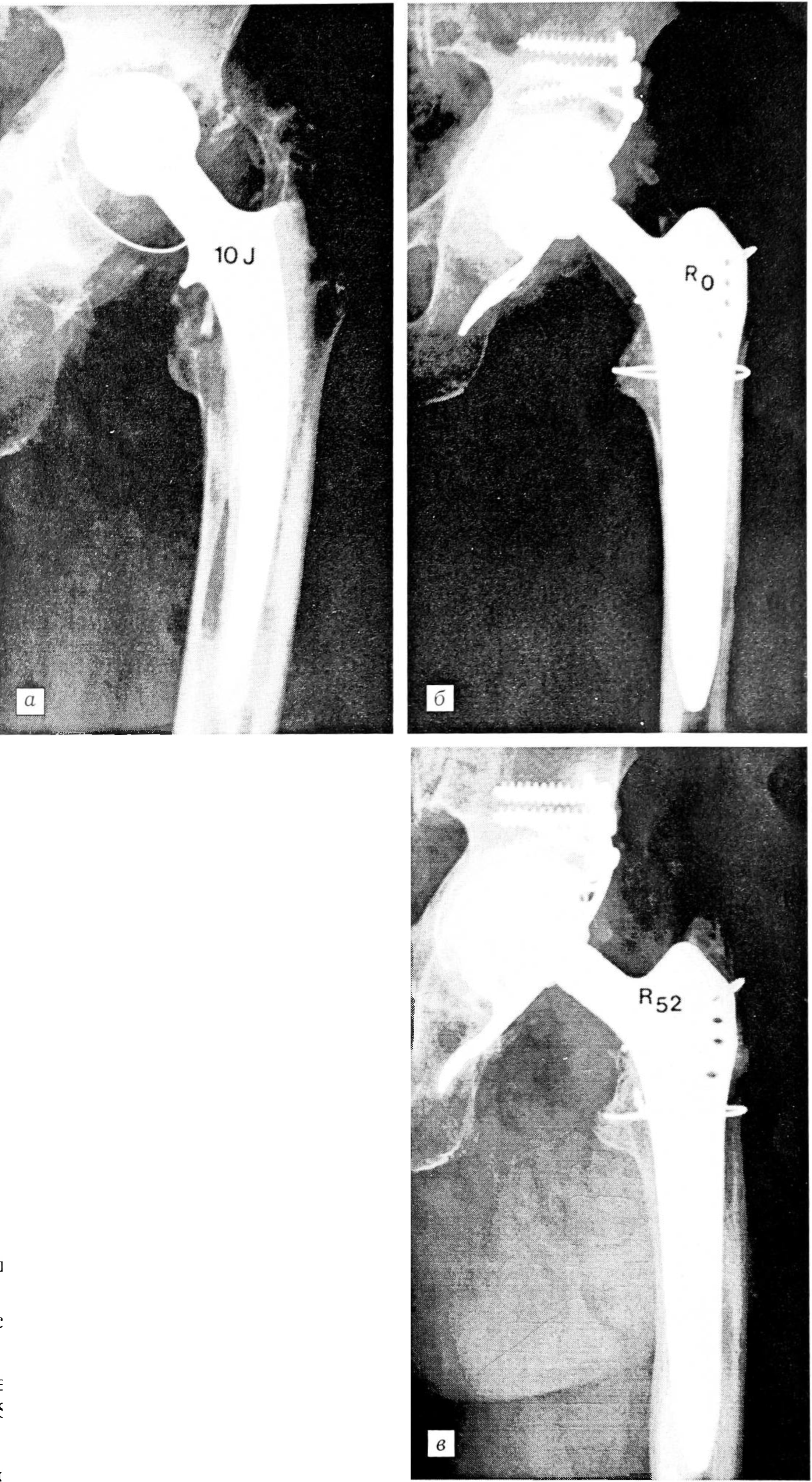
Рис. 2.
а — через 13 лет после первичного тотального бесцементного эндопротезирования тазобедренного сустава: выраженная потеря костной ткани, нестабильность и смещение ножки эндопротеза (Engelbrecht 3);
б — непосредственно после повторного тотального эндопротезирования (чашка Zweymuller, ножка SLR-Plus);
в — через 50 мес после повторного эндопротезирования: хорошая костная интеграция вокруг компонентов эндопротеза.
Рис. 3.
а — через 13 лет после первичного тотального бесцементного эндопротезирования тазобедренного сустава: выраженный кортикальный дефект в зоне дистальной трети ножки;
б — непосредственно после повторного тотального бесцементного эндопротезирования (чашка Bicon Zweymuller, ножка SLR-Plus);
в — через 45 мес после повторного эндопротезирования: хорошая костная интеграция вокруг компонентов эндопротеза.
Engelbrecht 4. При таких больших разрушениях проксимального конца бедра, когда дефект достигает в длину более 15 см, ножка SLR не может быть надежно зафиксирована. Поэтому в подобных случаях приходится использовать другие ревизионные ножки. Мы применяем ножку Vagner, которая может иметь длину до 305 мм и обычно имплантируется в бесцементном варианте. В очень редких случаях требуется тотальное замещение бедренной кости.
Материал и методы. С июня 1987 г. по июль 1988 г. в ортопедическом отделении больницы Steyer ревизионное эндопротезирование тазобедренного сустава произведено 73 пациентам в возрасте от 21 года до 86 лет (средний возраст 66,1 года). Из них в апреле 1992 г. клиническому и рентгенологическому обследованию подверглись 67 человек — 49 женщин и 18 мужчин. (Пять пациентов по причинам, не имеющим отношения к операции повторного эндопротезирования, к сожалению, умерли, один пациент живет за пределами Германии.) Срок наблюдения составил в среднем 52 мес.
Причиной повторной операции у 19 из 67 больных была изолированная нестабильность чашки, у 1 — изолированная нестабильность ножки, у остальных 47 — нестабильность и бедренного, и ацетабулярного компонента эндопротеза.
При оценке результатов ревизионных операций принималась во внимание степень предшествовавшей деструкции костной ткани, поскольку мы не могли не учитывать качество подготовки ложа для ревизионного имплантата. Степень деструкции определяли по Engelbrecht и Heinert на основании рентгенологической картины и интраоперационных находок. Деструкция степени 1 отмечена у 5 больных, степени 2 — у И, степени 3 — у 22, степени 4 — у 29.
Использовались следующие имплантаты:
Ацетабулярный компонент
чашки Zweymuller — 34
чашки Schneider—Burch — 21
кольцо Muller — 6
широкое кольцо (Weilring) — 3
бесцементная ревизионная чашка Muller — 1
чашка Endler — 1
Бедренный компонент
ножка Zweymuller — 45
ножка Landos — 2
ножка Stuhmer — 1
Из интра- и послеоперационных осложнений наблюдались отек ноги у 8 больных, вывих у 3 (5 случаев), смещение ножки эндопротеза у 3, перелом большого вертела у 2, нагноение у 1, легочный инфаркт у 1 больного.
Клиническая оценка результатов. Клинические результаты оценивали по методу Merle d'Aubigne, используя в качестве критериев наличие или отсутствие боли, продолжительность ходьбы и функцию эндопротеза. Данные обследования представлены на рис. 4-7.
Рис. 4. Наличие и степень выраженности болей: I — отсутствие боли, II — минимальная боль, III — легкая, IV — средняя, V — выраженная, VI — тяжелая.
Здесь и на рис. 5-7: светлые столбцы — до операции, темные — после операции.
Рис. 5. Возможности ходьбы (дистанция): I — не ограничены, II — до 3 км, III — до 500 м, IV — до 50 м, V — ходьба невозможна.
Рис. 6. Функция оперированной конечности (сгибание): I — < 30°, II — 31-60°, III — 61-100°, IV — 101-160°, V — 161-210°, VI — > 210°.
Рис. 7. Оценка по шкале Merle d'Aubigne в зависимости от степени предшествовавшей деструкции костной ткани по Engelbrecht и Heiner.
К нашему удивлению, при оценке результатов мы не выявили убедительных различий в зависимости от степени деструкции костной ткани. Суммарный показатель для всего контингента больных составил 15,37 пункта. Это соответствует и субъективным оценкам пациентов: очень хорошо — 50 человек, хорошо — 15, удовлетворительно — 1, неудовлетворительно — 1.
Рентгенологическая оценка. Из 66 случаев имплантации чашки в 60 при изучении рентгенограмм отмечена хорошая костная интеграция без образования какой-либо каймы вокруг имплантата. В 2 случаях обнаружена частичная кайма. У 4 пациентов выявлялась отчетливая полоса резорбции, что свидетельствовало о начинающейся дестабилизации чашки. В этих случаях определялась миграция чашки в краниомедиальном направлении и тенденция к ее опрокидыванию. У всех 4 больных деструкция костной ткани соответствовала степени 3-4 и показания к использованию чашки Zweymuller были относительными.
Из 48 имплантированных ножек 44 были прочно фиксированы, никаких рентгенологических признаков рассасывания кости не выявлялось. В 3 случаях отмечалась узкая полоска просветления в проксимальной трети. В одном случае вокруг ножки наблюдалась выраженная зона лизиса и отчетливо выявлялось смещение имплантата в костномозговом канале.
В 52 из 58 случаев пластики спонгиозой рентгенологически определялась реструктуризация кости. В 4 случаях отмечена резорбция кости.
Периартикулярные оссификаты обнаружены у 27 больных.
Заключение
Оперативная техника с использованием бесцементных имплантатов при ревизионном эндопротезировании получила широкое распространение. Результаты лечения свидетельствуют, что она имеет существенное преимущество перед классической цементной техникой, прежде всего в отношении регенерации кости в ложе имплантата. Проведенное нами изучение результатов операций с использованием системы Zweymuller подтвердило это. В 60 из 67 случаев отмечено образование костной ткани вокруг ацетабулярного и бедренного компонентов эндопротеза. У 2 больных констатирован удовлетворительный результат. Во всех 4 случаях нестабильности чашки до ее замены имелась выраженная деструкция костного ложа имплантата. Только в одном из 48 случаев не удалось добиться костной интеграции и стабилизации имплантированной ножки Zweymuller.
About the authors
K. Perner
Steyr Hospital
Author for correspondence.
Email: info@eco-vector.com
Austria, Vienna
References
Supplementary files









