Extraosseous compression-dynamic osteosynthesis for the treatment of forearm bone fractures
- Authors: Zorya V.I.1, Lirtsman V.M.1, Ulyanov A.V.1
-
Affiliations:
- Moscow Medical Dental Institute
- Issue: Vol 6, No 4 (1999)
- Pages: 18-21
- Section: Original study articles
- Submitted: 19.03.2022
- Accepted: 19.03.2022
- Published: 15.11.1999
- URL: https://journals.eco-vector.com/0869-8678/article/view/105120
- DOI: https://doi.org/10.17816/vto105120
- ID: 105120
Cite item
Full Text
Abstract
Special plate is suggested to provide extraosseous compression-dynamic osteosynthesis. The plate consists of two parts: base and rack. Longitudinal shift of the rack relative to the base is made by the rotation of the key which has a gear tenon on its end. The tenon and base are connected by gear transmission. Shift of the rack enables to put two bones fragments nearer and achieve their tightness and compression. Conditions for fracture healing are obtained.
Full Text
Накостный остеосинтез металлическими пластинами различных конструкций и систем остается доминирующим в ряду современных способов оперативного лечения диафизарных переломов костей конечностей. Его преимуществами являются:
- создание абсолютной неподвижности отломков относительно друг друга и устранение диастаза между ними;
- незначительное травмирование мягких тканей во время операции с минимальным нарушением кровообращения костных отломков в области перелома;
- точность имплантации и ее интраоперационный контроль.
В зависимости от характера перелома (оскольчатый, косой, винтообразный) и степени смещения отломков используются нейтрализационные (защитные), опорные, компрессионные, стягивающие накостные пластины. По форме они могут быть плоскими и вогнутыми, прямыми и изогнутыми, угловыми и специальными.
С целью создания прочного надежного остеосинтеза и предотвращения торсионных смещений отломков А.В. Капланом и А.И. Антоновым [3] в 1965 г. была предложена компрессионно-деторсионная пластина. Наличие вблизи ее концов двух боковых выступов (ушек) придает отломкам дополнительную устойчивость к торсионным смещениям. Для обеспечения более плотного контакта с синтезируемой костью пластины имеют изогнутую поверхность с радиусом, близким к радиусу изгиба поверхности кости (бедренной, плечевой, лучевой) или плоскую поверхность (для адаптации к большеберцовой кости).
Для достижения многоплоскостного остеосинтеза У.А. Абдуразаковым и соавт. [1] разработана двухреберная пластина-фиксатор, одно ребро которой забивается в паз, пропиленный в кортикальной кости до костномозгового канала, а другое фиксируется к поверхности кости 4-6 винтами.
С целью улучшения периостального кровоснабжения Л.Н. Анкин и Н.Л. Анкин [2] предложили пластину с минимальным контактом с поверхностью кости; в отличие от системы АО, это обеспечивается не за счет выемок, а за счет опорных площадок.
П.Ф. Музыченко [5] разработана накостная пластина в виде швелера с эксцентриковым механизмом компрессии. По мнению автора, наличие трех точек опоры сводит к минимуму площадь приложения силы на участках контакта металла с костью. Он считает, что с помощью таких фиксаторов (система «Метост») достигается первичное сращение по прямому типу.
И.М. Рубленик и В.Л. Васюк [7] получают необходимую жесткость и устойчивость к переменным нагрузкам, комбинируя в одной конструкции металл с полимером.
Поскольку основной функцией опорной пластины является поддерживающая, то пластина должна быть прочно прикреплена к основным костным фрагментам. Компрессионная пластина как стягивающее устройство не должна вызывать давления по направлению к длинной оси кости. В системе накостного остеосинтеза АО это достигается либо использованием специально ориентированных отверстий, либо применением стягивающих устройств [6].
При имплантации пластин АО и «Метост» требуется интактный опорный кортикальный слой на противоположной стороне кости. Если он не выдерживает нагрузку, пластина подвергается постоянному сгибанию (деформации) с тенденцией к возникновению ее усталостного перелома. Устранить этот технический недостаток путем увеличения толщины пластины нельзя, так как это вызовет чрезмерное повышение ее жесткости: с увеличением толщины имплантата его жесткость возрастает в большей степени, чем прочность.
Известно, что длинная кость прочнее, чем пластина, удерживающая ее отломки. Сама по себе пластина не способна противостоять функциональной нагрузке на конечность. Лучше всего функциональную нагрузку можно охарактеризовать как динамическую, являющуюся результатом двигательной и опорной функций, включая функцию мышц и нагрузку массой тела [4].
Поскольку монолитные пластины, перекрывающие перелом с адаптированными отломками, могут подвергаться усталостному разрушению, их необходимо предохранять путем адаптивного прикрепления к кости или тщательного управления нагрузкой массой тела.
В.П. Тищенко [9] при оценке доминирующих тенденций в развитии остеосинтеза установил, что важным показателем качества металлоконструкций является понижение их жесткости, использование элементов соединения, близких по механическим свойствам к костной ткани.
В.В. Руцкий и соавт. [8] в эксперименте доказали, что дозированная микродеформация оптимизирует условия для остеорепарации, активизирует репаративные процессы и дифференцирование костной ткани, ускоряя завершение перестройки костной мозоли. Это опровергает положение о необходимости полного обездвижения отломков костей до их сращения. Микродеформация — естественное, физиологическое свойство костной ткани.
L.E. Lanyon и C.T. Rubin [10] в эксперименте на животных выявили, что в участке локтевой кости, специально изолированном от нагрузки или подвергаемом воздействию постоянной нагрузки, со временем происходит уменьшение площади поперечного сечения. В то же время циклическое воздействие нагрузки вызывает увеличение этой площади за счет отложения нового костного вещества. Из этого следует, что путем регулирования степени жесткости пластины (металлоконструкции) можно управлять процессом консолидации, обеспечивая условия для прямого костного сращения отломков.
Контролируемые циклические компрессионные усилия, передаваемые на костные отломки, на ранних стадиях сращения могут способствовать формированию полноценной костной мозоли. Продолжающийся процесс ремоделирования костной ткани постоянно изменяет структуру кости и в то же время как бы поглощает зоны микроповреждений, возникающие в результате повседневной активности человека. Поэтому кость в процессе регенерации очень чувствительна к влиянию механических сил, и в частности к жесткому накостному остеосинтезу [10].
Для оптимизации процессов консолидации путем применения адекватных нагрузок в зоне перелома и их дозирования в соответствии с возможностями регенерата противостоять механическим нагрузкам нами (В.И. Зоря) предложен новый вид накостного остеосинтеза — компрессионно-динамический (пат. РФ 2121816). Для его осуществления разработана накостная компрессионно-динамическая пластина (рис. 1), состоящая из двух частей — основания 1 и рейки 2.
Основание представляет собой прямоугольную плоскую пластину, один конец которой скруглен. Возле этого конца имеется соосное продольной оси цилиндрическое отверстие с фаской 3. С другого конца выполнен Т-образный паз. В основании имеется несколько цилиндрических отверстий, сделанных с определенным шагом соосно продольной оси, и одно цилиндрическое отверстие со смещением от оси для поворотного ключа.
Рейка представляет собой плоскую пластину со скругленными концами. В поперечном сечении она имеет Т-образную форму, что позволяет ей входить в соответствующий паз основания. С одного конца по длинной стороне детали сделана выборка, а в ней нарезаны эвольвентные зубья 4. В центральной части рейки соосно продольной оси выполнено с определенным шагом несколько цилиндрических отверстий 5. Шаг между отверстиями в рейке и в основании неодинаков. На другом конце рейки имеется одно цилиндрическое отверстие 6.
Пластина накладывается в собранном виде. Устанавливаются кортикальные винты в отверстие 6 рейки и в отверстие с фаской 3 основания, т.е по обе стороны от места перелома. Продольное перемещение рейки относительно основания реализуется поворотом ключа, при этом незначительные перемещения рейки обязательно сопровождаются совмещением отверстий рейки и основания.
Рис. 1. Схема накостной компрессионно-динамической пластины (пояснения в тексте).
Ключ на одном конце снабжен воротком, а на другом — шестеренчатым шипом, зубцы 7 которого соответствуют эвольвентным зубьям рейки. Вставляя ключ шестеренчатым концом в отверстие основания, вводят зубчатку шестеренчатого шипа в зацепление с рейкой. При этом рейка вдвигается в желобе основания, сближая (стягивая) и компрессируя отломки в области перелома. После достижения полного соприкосновения отломков через совпавшие отверстия основания и рейки ввертывают в кость кортикальные шурупы, прочно соединяя отломки в состоянии полной неподвижности. Фрагменты вдавлены один в другой, и линия перелома может практически отсутствовать. Создаются условия для первичного заживления перелома.
Рассматриваемая диафизарная компрессионно-динамическая пластина напоминает собой рессору — упругий элемент, смягчающий удары и выдерживающий оптимальную нагрузку без остаточной деформации. Этот накостный фиксатор выдерживает и усилия растяжения, которое может быть достигнуто предварительным напряжением. Оно приводит к одновременному увеличению и равномерному распределению компрессионных сил по поверхности отломков. Динамический компонент компрессии увеличивается, если кость подвергается нагрузке и сгибанию.
Рессорная конструкция компрессионно-динамической пластины делает возможным использование ее в качестве дистрактора при многооскольчатых переломах длинных костей или в качестве шунта. При этом расположенная над областью осколков пластина благодаря своему листовому профилю позволяет сохранить достигнутое положение отломков относительно друг друга.
Наличие элементов листовой рессоры конструктивно защищает пластину от усталостного перелома.
Имплантация компрессионно-динамической пластины и ее монтаж не требуют дополнительных устройств для стягивания и компрессии костных отломков. Компрессия по направляющей является приемом, который вызывает силу, равную по величине, но противоположную по направлению силе сгибания.
Благодаря рессорному эффекту диафизарной пластины у оперированных нами 28 больных с диафизарными переломами костей предплечья при удалении пластины после заживления перелома не наблюдалось истончения стенок подлежащей кости и не было продольно расположенных костных гребней, которые образуются при использовании других конструкций (АО, «Метост»), являясь компенсаторными, дополнительно повышающими прочность кости. Кроме того, после удаления пластины не отмечено остеопороза подлежащей кости, что также объясняется рессорным эффектом фиксатора в процессе заживления перелома.
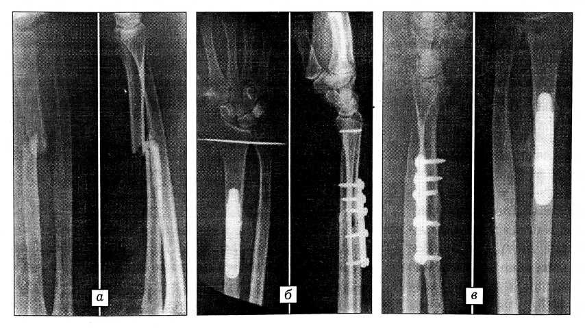
Данный вид остеосинтеза удобен тем, что позволяет осуществлять репозицию отломков при различных вариантах их смещения, в том числе с захождением друг за друга. Пластина дает возможность дистрагировать отломки, сопоставлять их и компрессировать с последующим динамическим обездвижением сегмента до полного заживления перелома (рис. 2).
Рис. 2. Рентгенограммы больного с косопоперечным переломом лучевой и вывихом головки локтевой кости. а — до операции; б — после накостного компрессионно-динамического остеосинтеза и вправления головки локтевой кости; в — через 8 мес после операции: первичное сращение перелома.
Эффективность компрессионно-динамического остеосинтеза достигается за счет успешной реализации следующих основных условий:
- применение биологически, химически, электролитически нейтрального материала (листовая сталь марки 12Х18Н10Т);
- минимальное разрушение системы внутрикостного кровоснабжения;
- запас прочности, который благодаря рессорному эффекту не меньше запаса прочности синтезируемой кости;
- достаточная упругость;
- создание динамической жесткости в системе фиксатор—кость, достаточной для функционирования конечности до сращения перелома без риска образования остаточной деформации.
Компрессионно-динамический накостный остеосинтез позволяет в ранние сроки нормализовать кровообращение, ликвидировать нервно-трофические нарушения в месте повреждения. Это в свою очередь способствует более быстрой консолидации фрагментов костей.
Травматичность имплантации компрессионно-динамического фиксатора ограничивается лишь отслоением надкостницы в области предполагаемого его расположения без выделения концов фрагментов. Захождение последних устраняется путем использования конструктивных особенностей самой пластины.
Анализ собственных наблюдений, начало которых относится к 1983 г., позволяет нам говорить, что накостный компрессионно-динамический остеосинтез является принципиально новым, весьма эффективным методом оперативной фиксации отломков при открытых и закрытых диафизарных переломах костей предплечья. У всех наших больных, лечившихся с помощью этого метода, получено первичное сращение перелома в оптимальные сроки и без каких-либо осложнений.
About the authors
V. I. Zorya
Moscow Medical Dental Institute
Author for correspondence.
Email: info@eco-vector.com
Russian Federation, Moscow
V. M. Lirtsman
Moscow Medical Dental Institute
Email: info@eco-vector.com
Russian Federation, Moscow
A. V. Ulyanov
Moscow Medical Dental Institute
Email: info@eco-vector.com
Russian Federation, Moscow
References
- Абдуразаков У.А., Комкин В.Р., Батырханов Т.Т. // Съезд травматологов-ортопедов СНГ, 6-й: Материалы. —Ярославль, 1993. — С. 38.
- Анкин Л.Н., Анкин Н.Л. // Там же. — С. 40.
- Каплан А.В. Повреждения костей и суставов. — М., 1979.
- Мелнис А.Э., Кнетпс И.В. // Современные проблемы биомеханики. — Рига, 1985. — Вып. 2. — С. 38-69.
- Музыченко П.Ф. // Съезд травматологов-ортопедов СНГ, 6-й: Материалы. — Ярославль, 1993. — С. 88 - 89.
- Мюллер М.Ф. и др. Руководство по внутреннему остеосинтезу. — М., 1996. — С. 218.
- Рубленик И.М., Васюк В.Л. // Съезд травматологов- ортопедов СНГ, 6-й: Материалы. — Ярославль, 1993. — С. 97-98.
- Руцкий В.В., Артемьев А.А. // Ортопед. травматол. — 1989. — N 3. — С. 1-5.
- Тищенко В.П. // Съезд травматологов-ортопедов СНГ, 6-й: Материалы. — Ярославль, 1993. — С. 103.
- Lanyon L.E., Rubin С.Т. // J. Biomechanics. — 1984.— Vol. 17, N 12. — Р. 897-905.
Supplementary files




