Эндопротезирование тазобедренного сустава эндопротезами нового поколения
- Авторы: Загородный Н.В.1,2
-
Учреждения:
- Российский университет дружбы народов
- Городская клиническая больница № 13
- Выпуск: Том 6, № 4 (1999)
- Страницы: 28-34
- Раздел: Оригинальные исследования
- Статья получена: 19.03.2022
- Статья одобрена: 19.03.2022
- Статья опубликована: 15.11.1999
- URL: https://journals.eco-vector.com/0869-8678/article/view/105123
- DOI: https://doi.org/10.17816/vto105123
- ID: 105123
Цитировать
Полный текст
Аннотация
С 1992 г. эндопротезирование тазобедренного сустава имплантатами нового поколения отечественного и зарубежного производства выполнено 522 больным (624 операции). Первичное эндопротезирование произведено в 570 случаях, ревизионное — в 54. Преобладали больные коксартрозом, ревматоидным артритом, диспластическим коксартрозом. Средний возраст пациентов составлял 52,1±11,2 года (от 18 до 84 лет). В 565 случаях эндопротез фиксировали с помощью костного цемента, в 35 — по методу press-fit, в 24 случаях применена гибридная фиксация. Отдаленные результаты прослежены у 238 больных в сроки от 12 до 72 мес. Обследование больных проводилось с использованием клинического, рентгенологического, биомеханического, денситометрического и морфологического методов. Клиническая оценка пораженного сустава по шкале Харриса до операции составляла в среднем 30,4 балла, после операции — 85,9 балла. В целом положительные результаты получены в 96,6% случаев, при этом существенных различий при использовании отечественных и зарубежных эндопротезов не отмечено.
Полный текст
Хирургическому лечению заболеваний и повреждений тазобедренного сустава в последние 5—10 лет в нашей стране уделяется большое внимание [1, 2, 4-6, 8, 10, 11]. Это объясняется целым рядом причин: стажировкой многих отечественных ортопедов за рубежом, участием большого числа хирургов в международных ортопедических форумах, появлением на рынках России продукции ведущих ортопедических фирм мира, а также стремлением многих ортопедов использовать новые технологии в повседневной практике.
Отдавая дань эндопротезам тазобедренного сустава первого поколения конструкций К.М. Сиваша, Я.И. Шершера, И.А. Мовшовича, в последние годы ведущие ортопедические клиники страны используют эндопротезы нового поколения, для которых характерны разборность компонентов, высокое качество и оптимальный подбор материалов для узла трения [3, 4, 7, 9]. Как свидетельствуют данные многих зарубежных исследователей, эндопротезирование тазобедренного сустава в настоящее время является самым эффективным способом оперативного лечения его заболеваний [16-20].
Потребность в этой операции в России составляет не менее 250 тыс. в год — в среднем одна операция на 1000 населения.
В настоящей работе представлен опыт использования отечественных и зарубежных эндопротезов тазобедренного сустава нового поколения при лечении заболеваний и повреждений данного сустава.
Материал и методы. С 1992 г. у 522 больных выполнено 624 операции эндопротезирования тазобедренного сустава. Использовались эндопротезы как зарубежных («Sulzer», «Biomet», «Zimmer», «Keramed», «Aesculap», «Howmedica», «Beznoska»), так и отечественных фирм («Медитем», «Синко», ИСКО, ЭСИ). В 565 случаях эндопротез фиксировали с помощью костного цемента (sulfix-60, palacos, cemex simplex, bioosteo, osteobond, CMW), в 35 — методом press-fit, в 24 случаях использовали гибридную фиксацию имплантата. Первичное эндопротезирование выполнено в 570 случаях, ревизионное — в 54.
Первичное эндопротезирование тазобедренного сустава производилось больным коксартрозом (219), ревматоидным артритом (102), асептическим некрозом головки бедренной кости (25), диспластическим коксартрозом (43), анкилозирующим спондилоартритом (13), псориатической и охронотической артропатией (12), системной красной волчанкой (6), больным с ложным суставом шейки бедренной кости (43), после травмы вертлужной впадины (5).
Ревизионное эндопротезирование выполнялось в связи с развитием асептической нестабильности вертлужного компонента эндопротеза (13 пациентов), бедренного компонента (6), обоих компонентов (12), из-за перелома ножки эндопротеза (3) и в связи с инфицированием области сустава (9). У 11 больных ревизионное эндопротезирование произведено после ранее выполненной операции Girdlestone.
Возраст пациентов составлял от 18 до 84 лет (в среднем 52,1±11,2 года). Мужчин было 89, женщин — 433. У 102 больных эндопротезирование тазобедренного сустава выполнено с обеих сторон. Более половины пациентов (379) имели группу инвалидности.
При обследовании больных и изучении отдаленных результатов лечения использовались клинический, рентгенологический, денситометрический, биомеханический и морфологический методы. Клиническое обследование больных до и после операции проводилось в соответствии с оценочной шкалой Харриса [14]. До операции все больные, кроме пациентов, отобранных для ревизионной артропластики, были распределены на три группы по J. Charnley [12]: группа А — больные с односторонним поражением тазобедренного сустава (233 человека), группа В — с двусторонним поражением тазобедренных суставов (92), группа С — больные с сопутствующими заболеваниями, с изменениями в других органах, оказывающими влияние на функцию тазобедренных суставов (143).
Техника операции
Операция эндопротезирования тазобедренного сустава выполнялась в положении больного на боку, под эндотрахеальной или перидуральной анестезией. Первоначально мы использовали переднебоковой доступ к суставу по Мовшовичу с пересечением средней и малой ягодичных мышц у места их прикрепления к большому вертелу (119 операций). У больных, перенесших травму вертлужной впадины, пациентов с ложным суставом шейки бедренной кости, а также с первичным коксартрозом применяли задний доступ по Кохеру с отсечением сухожилий мышц-ротаторов бедра и частично квадратной мышцы (86 операций). Чаще же всего нами использовался боковой доступ по Хардингу, который заключается в субпериостальном отсепаровывании от передней поверхности большого вертела боковой широкой мышцы бедра и средней ягодичной мышцы единым блоком (419 операций).
Капсулу сустава, связочный аппарат и синовиальную оболочку иссекали полностью. Исключение составляли больные, перенесшие травму, и пациенты с первичным коксартрозом, у которых капсулу сохраняли и после установки имплантата ушивали с целью профилактики образования гематомы и вывиха головки эндопротеза.
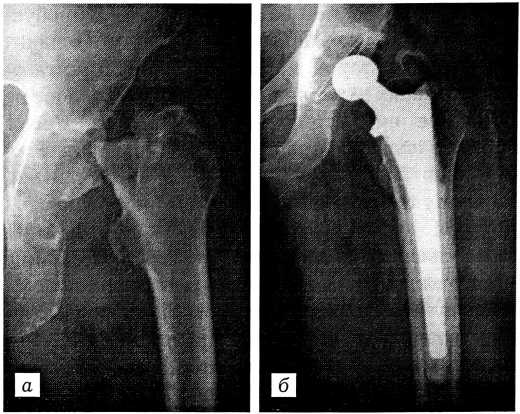
Головку бедренной кости вывихивали в рану и резецировали осцилляторной пилой под углом 45° к оси бедра проксимальнее межвертельной линии. Иногда при протрузии головки или наличии выраженных остеофитов по краям вертлужной впадины вывихнуть головку не удается. В таких случаях мы производили двойную резекцию шейки с удалением участка в 15-20 мм. После отведения бедра головку извлекали из впадины полностью или частями. Фрезами с постепенно увеличивающимся диаметром удаляли остатки хрящевой ткани до субхондральной костной пластинки. После иссечения остатков мягких тканей по периметру вертлужной впадины тестовой чашкой измеряли глубину впадины и определяли ориентиры для установки вертлужного компонента эндопротеза. При использовании цементной фиксации в стенках вертлужной впадины делали 6-10 анкерных отверстий глубиной 10-15 мм, диаметром 6-8 мм. В тех случаях, когда имелись костные дефекты вертлужной впадины (дисплазия, протрузия, кисты, дефекты передней, верхней или задней стенки), производили их пластику аутокостью либо аллокостью из костного банка (135 операций). Кость использовали в виде стружки, пластинок в форме черепицы или отдельных фрагментов. В 78 случаях для укрепления дна и стенок вертлужной впадины были применены металлические кольца Muller и «Beznoska» (рис. 1).
При цементной фиксации чашку устанавливали во впадине с наклоном под углом 45-40° и в положении антеверсии под углом 10-20°.
Рис. 1. Рентгенограммы тазобедренного сустава больного ревматоидным артритом с вторичным протрузионным кокситом. а — до операции; б — через 3 года после эндопротезирования эндопротезом Protema-90 («Sulzer») с пластикой дна вертлужной впадины и применением укрепляющего металлического кольца Muller.
В течение процесса полимеризации костного цемента чашку удерживали в заданном положении специальным инструментом, что исключало возможность нарушения ее пространственной ориентации вследствие расширения цемента. Излишки костного цемента удаляли пластмассовыми ложками до начала полимеризации. Установку бесцементных чашек производили с помощью специальных инструментов путем ввинчивания (чашки «Синко», «Aesculap») или плотной посадки (чашки ЭСИ, Wagner). При этом использовали специальные насадки на инструмент, указывающие на правильную пространственную ориентацию чашки.
Введение и фиксация полиэтиленового вкладыша в металлическую чашку не вызывали трудностей, за исключением чашек фирмы «Синко», где иногда встречался производственный брак с вытекающими из этого сложностями во время операции.
Чаще мы использовали полиэтиленовые чашки нашей конструкции — с антилюксационным козырьком и бортиком по периметру для уплотнения костного цемента (чашки ИСКО-РУДН) или имеющие в дополнение к этому четыре выступа на куполе и смещенное книзу гнездо для головки (выпускаются фирмой «Имплант МТ») (рис. 2).
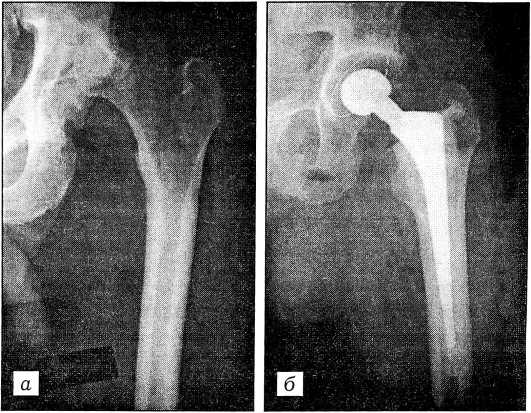
Рис. 2. Рентгенограммы тазобедренного сустава больного с посттравматическим коксартрозом. а — до операции; б — через 1 год после эндопротезирования эндопротезом СФЕН (фирма «Имплант МТ»).
Разработку бедренного канала начинали развертками малого диаметра, что позволяло быстро вскрыть его и эвакуировать содержимое. Затем использовали поочередно рашпили увеличивающегося размера, с помощью которых подбирали оптимальную величину ножки эндопротеза. В комплектах некоторых фирм рашпили служат тестовыми ножками. Если же их нет, используются тестовые ножки эндопротезов с посадкой на конус шейки тестовых головок. Последние имеют разную величину посадочного углубления для конуса шейки (стандартную, +4 или -4 мм и др.), за счет чего изменяется плечо ножки эндопротеза (offset) и длина конечности.
Головку вправляли в вертлужный компонент и проверяли объем движений, а также наличие люфта при осевой тракции. Иногда при наружной ротации бедра или отведении отдельные участки большого вертела упираются в крышу или заднюю стенку вертлужной впадины. В этих случаях производили частичную резекцию большого вертела и/или стенки вертлужной впадины.
После вывихивания тестовой головки из ацетабулярного компонента эндопротеза и удаления тестовой ножки готовили бедренный канал к введению костного цемента. На дно канала помещали костную или полиэтиленовую пробку, которая располагалась на 15-20 мм ниже конца ножки. Канал обильно промывали физиологическими раствором и очищали от остатков содержимого с помощью ершика. Для этого использовали низкооборотную дрель с обратным вращением фиксированного в ней ершика. Подготовленный канал плотно заполняли марлевой лентой, смоченной раствором перекиси водорода и адреналином, которую извлекали перед введением костного цемента.
На дно канала помещали жесткую дренажную трубку диаметром 2 мм, которую соединяли с вакуумным отсосом.
Рис. 3. Рентгенограммы тазобедренного сустава больной, перенесшей медиальный перелом шейки бедра с последующим лизисом головки. а — до операции; б — через 2 года после тотального эндопротезирования эндопротезом ИСКО-РУДН.
Приготовленный костный цемент вводили с помощью специального шприца и пистолета, при этом всегда использовали низковязкий цемент. Введенный в бедренный канал цемент уплотняли специальными инструментами или влажной салфеткой. Затем в канал вводили ножку эндопротеза. Введение должно осуществляться плавно и строго по оси бедра с некоторым отклонением к задней стенке (большому вертелу). Последние 10—15 мм ножки обычно погружали посредством легких ударов молотка по установочному инструменту. Шейку эндопротеза располагали в нейтральном положении или с незначительным отклонением кпереди (антеверсия). Ножки с воротниками плотно прилегали к костному опилу шейки без костного цемента между ними (ножки фирмы «Синко», ИСКО-РУДН, Мовшовича—Гаврюшенко) (рис. 3). После полного погружения ножку удерживали в таком положении до окончания полимеризации костного цемента. (В нашей практике были случаи, когда введенная в цемент и не удерживаемая ножка выталкивалась из канала расширяющимся цементом на 10-20 мм.) Остатки костного цемента вокруг ножки удаляли пластмассовыми ложками и скальпелем.
После застывания костного цемента на ножку помещали тестовую головку и вправляли ее в вертлужный компонент. Снова проверяли движения в суставе, которые должны быть в полном объеме. Тестовую головку вывихивали, заменяли постоянной, вправляли ее в ацетабулярный компонент эндопротеза, проверяли движения. Рану послойно ушивали наглухо с дренированием двумя дренажами.
При использовании бесцементных ножек с пористым покрытием («Синко», ЭСИ, «Aesculap») могут возникнуть трудности при погружении проксимальной части эндопротеза. В этих случаях легкими ударами молотка, производимыми с некоторым интервалом, ножка постепенно вводится в канал. В отечественных эндопротезах толщина пористого напыления иногда бывает более 1-1,5 мм, в результате чего объем ножки значительно превышает объем последнего рашпиля. В такой ситуации можно взять ножку на один размер меньше последнего рашпиля или укрепить проксимальную часть бедренной кости серкляжным швом.
Несколько проще вводятся ножки без пористого покрытия по типу плотной установки (Metabloc, CLS, Zweymuller, ИСКО).
Операцию выполняли, как правило, на фоне внутривенного введения антибиотиков (1 г антибиотика четвертого поколения). Кроме того, всегда добавляли 1 г порошкообразного антибиотика в костный цемент. После операции антибиотики вводили внутривенно на протяжении 3-5 сут. Профилактику тромбофлебитов осуществляли инъекциями фраксипарина в течение 5 сут, бинтованием конечностей эластическими бинтами. Изометрическое напряжение мышц оперированной конечности больные выполняли уже на 2-е сутки. Ходить с помощью костылей начинали на 3-й день.
Реабилитация пациентов после операции проводилась по отработанной в клинике схеме, включающей раннее начало пассивных и активных движений в оперированной конечности, обучение пользованию костылями, сидению в кресле, кровати, нагружению оперированной конечности, подъему и спуску по лестнице. Через 6-8 нед больные оставляли костыли, полностью нагружали оперированную ногу. Затем они ежегодно являлись на консультативный прием к ортопеду в клинику или по месту жительства с рентгеновскими снимками оперированного сустава.
Результаты и обсуждение. Отдаленные результаты эндопротезирования тазобедренного сустава прослежены у 238 больных в сроки от 12 до 72 мес. Боль после операции отсутствовала у 135, была слабой у 86 больных (в общей сложности 92,8%). Хромота полностью отсутствовала у 86 (36,1%), была слабо выраженной у 128 (53,8%) больных. Хромота сохранялась
намного дольше, чем болевой синдром. Это обусловлено тем, что после операции у больных имеется некоторое напряжение мышц-антагонистов нижней конечности, направленное на придание ей устойчивого положения. Кроме того, из тазобедренного сустава выключается довольно большая афферентная зона (связки, капсула, синовиальная оболочка, хрящ, кость), которая играет важную роль в обеспечении устойчивости конечности. Это предположение подтверждается результатами биомеханического исследования. Средствами дополнительной опоры после операции не пользовались 164 (68,9%) больных, 14 (5,9%) пациентов передвигались при помощи костылей в связи с поражением контралатерального сустава или других суставов нижней конечности. Остальные больные пользовались при ходьбе одной или двумя тростями. 175 пациентов могли самостоятельно передвигаться на расстояние, 233 обслуживали себя, 216 могли подниматься по лестнице, 205 пользовались общественным транспортом. Движения в оперированном суставе восстановились у 225 больных, некоторые нарушения движений сохранились у 13 пациентов, при этом чаще всего страдала наружная и внутренняя ротация бедра.
Средняя оценка по шкале W. Harris [14] у обследованных больных составляла 85,9 балла (до операции — 30,4 балла).
В целом положительные результаты получены у 96,6% больных: отличные у 96 пациентов, хорошие у 89, удовлетворительные у 45. Неудовлетворительным результат оказался у 8 (3,4%) больных. Из них у 3 через 3-6 мес после операции развился инфекционный процесс в тазобедренном суставе, что потребовало удаления эндопротеза; у 4 больных произошло асептическое расшатывание вертлужного и бедренного компонентов, у 1 больного возник перелом ножки эндопротеза.
Неудовлетворительные результаты чаще отмечались при бесцементной фиксации имплантатов. Процент положительных результатов был ниже среди больных, имевших II и I группу инвалидности, а также у пациентов, входивших в группы С и В по Charnley.
Мы изучили также зависимость некоторых рентгенологических показателей от вида установленного эндопротеза. Все эндопротезы были разделены на три группы: Мовшовича— Гаврюшенко (М—Г), нашей конструкции, зарубежного производства.
Степень заполнения бедренного канала эндопротезом во всех группах превышала 50% (что считается показателем хорошего подбора имплантата): у эндопротезов М—Г она составляла 69,7%, нашей конструкции — 70,1%, эндопротезов зарубежного производства — 75%.
Полноту погружения полиэтиленовой чашки в вертлужную впадину мы оценивали как полное или неполное покрытие ее костной тканью. По этому критерию лучшими оказались чашки зарубежных эндопротезов и имплантатов нашей конструкции, у которых полное покрытие отмечалось в 48 (75%) и 53 (76%) случаях соответственно. При использовании эндопротеза М— Г полное покрытие полиэтиленовой чашки костной тканью наблюдалось в 68 (57%) случаях. Такое различие показателей связано с тем, что высота чашек эндопротеза М—Г несколько больше высоты полнопрофильных вертлужных компонентов и при их установке во впадину, где сохранялась субхондральная костная пластинка, часть чашки оставалась не покрытой костью. Однако у больных с протрузионным кокситом, у которых имелось углубление вертлужной впадины, чашка эндопротеза М—Г всегда была полностью покрытой костью.
Признаки остеолиза костной ткани вокруг ножки эндопротеза обнаружены только в группах больных, которым были установлены эндопротезы М—Г (13 пациентов — 5,4%) и нашей конструкции (4 больных — 1,6%), причем изменения наблюдались преимущественно в проксимальной части бедренной кости.
Появление зоны разрежения костной ткани вокруг вертлужного компонента при использовании эндопротеза М—Г отмечено у 30 (25,2%) больных, эндопротеза нашей конструкции — у 5 (7,8%), эндопротезов зарубежного производства — у 6 (8,6%). Таким образом, это явление характерно при использовании любых видов имплантатов.
Положительные результаты при применении эндопротезов М—Г составили 95%, эндопротезов нашей конструкции — 98,5%, зарубежных имплантатов — 98,6%. Несколько меньший процент положительных результатов при использовании эндопротезов М—Г мы объясняем тем, что именно с них мы начинали свои операции эндопротезирования тазобедренного сустава, когда отрабатывалась операционная техника и техника применения костного цемента. Все осложнения при эндопротезировании имплантатами М—Г мы получили именно в первый год их использования. Инфекционные осложнения, имевшие место у 3 больных, развились после установки эндопротезов М—Г, фиксация которых проводилась костным цементом без антибиотиков. Эти осложнения мы объясняем плохой очисткой канала внутри ножки. Фирма, выпускающая данные эндопротезы, нарушила технологический процесс подготовки имплантатов к использованию. Если исключить из анализа 3 больных с инфекционными осложнениями, то положительные результаты в группе больных с эндопротезами М—Г составят 97,5%.
У 30 больных после эндопротезирования дважды с 6-месячным интервалом была выполнена денситометрия тазобедренного сустава. Исследование проводилось в отделении рентгенодиагностики Института ревматологии РАМН с помощью аппарата QDR 1000+ фирмы «Hologic» (США). Для более удобного считывания информации область тазовой кости вместе с вертлужной впадиной разбивалась на три зоны по De Lee и Charnley [13], а проксимальная часть бедренной кости вместе с эндопротезом — на 7 зон по Gruen и соавт. [15]. Получаемые на дисплее компьютера цветные денситограммы интенсивностью окраски довольно наглядно отражали плотность костной ткани в зонах интереса. Основными показателями, определяющими минерализацию костной ткани, были содержание минерального вещества в кости (масса костной ткани), выражаемое в граммах минерала на 1 см3 кости, и минеральная плотность кости, рассчитываемая на диаметр кости и выражаемая в граммах на 1 см2.
Степень изменения плотности костной ткани в бедре и в области вертлужной впадины была неодинаковой. Плотность бедренной кости в указанные сроки изменялась незначительно (до 10% от исходного состояния). Чаще всего увеличение ее отмечалось в зоне 7 по Gruen (область части шейки бедра и малого вертела), тогда как в зоне 1 (область большого вертела) она снижалась. Плотность костной ткани таза после эндопротезирования изменялась в большей мере, в 15 случаях отличие от показателя первого исследования превышало 11%. Значительное увеличение плотности костной ткани выявлено в зоне II по De Lee и Charnley — до 26,6% и несколько меньшее в зоне I — до 21,7%. Одновременно обнаружено уменьшение ее в зоне III, соответствующей менее нагружаемому нижнему полюсу чашки. У одной больной с нестабильностью ножки эндопротеза отмечено снижение плотности кости в области, соответствующей проксимальной части ножки, и увеличение ее в области дистальной части. Данные денситометрического исследования были подтверждены рентгенологически. У другого больного увеличение плотности костной ткани ниже ножки эндопротеза, также подтвержденное рентгенологическим исследованием, расценено как усиленное склерозирование костной ткани (костный пьедестал).
Разницы в показателях плотности костной ткани в области бедра и вертлужной впадины в зависимости от вида используемых эндопротезов нами не выявлено.
Таким образом, плотность костной ткани после эндопротезирования тазобедренного сустава претерпевает изменения, что свидетельствует о развитии адаптационных процессов в кости под воздействием имплантатов и новых условий распределения нагрузок. При этом уменьшение плотности кости в одном месте ведет к ее увеличению в другом.
Морфологическое исследование операционного материала, взятого у 53 больных во время эндопротезирования, проведено в лаборатории клинической морфологии Института ревматологии РАМН. При этом подтверждено, что чаще всего больные страдали ревматоидным артритом и коксартрозом. Следует отметить и такие редкие патологические состояния, как охроноз и псориатическая артропатия. Имели место склероз синовии, а также морфологические признаки выраженного местного воспаления (которые не всегда коррелировали с общей активностью патологического процесса) —экссудативно-некротические, выраженные пролиферативные изменения, наличие грануляционной ткани в синовиальной оболочке.
У больных с осложнениями в виде нестабильности вертлужной впадины (асептической или связанной с инфекционным процессом), вывихом головки обнаруживалось развитие грануляционной ткани, которая явилась причиной нестабильности эндопротеза. У пациентов с вывихом головки имплантата полость вертлужного компонента была заполнена грануляционной тканью, препятствовавшей закрытому вправлению головки. Отсутствие грануляционной ткани и минимальные экссудативные и экссудативно-некротические изменения в биоптате можно рассматривать как оптимальный фон для оперативного вмешательства.
Проведенные исследования показали, что результаты эндопротезирования в сроки наблюдения от 12 до 72 мес при использовании эндопротезов нашей конструкции и других отечественных имплантатов не уступают таковым при применении их зарубежных аналогов. Эндопротезирование больных с повреждениями и заболеваниями тазобедренного сустава имплантатами отечественного и зарубежного производства является эффективным методом лечения, обеспечивающим положительный результат в 96,6% случаев.
Об авторах
Н. В. Загородный
Российский университет дружбы народов; Городская клиническая больница № 13
Автор, ответственный за переписку.
Email: info@eco-vector.com
Россия, Москва; Москва
Список литературы
- Буачидзе О.Ш. //Ортопед. травматол. — 1993. — N 3. — С. 77-78.
- Войтович А.В., Кустов В.М., Лопушан А.И. и др. //Травматол. ортопед. России. — 1996. — N 3. — С. 71-72.
- Воронцов С.А. //Травматол. ортопед. России. -— 1994. — N 5. — С. 106-110.
- Кикачеишвили Т.Т., Соболев И.П., Сулава Р.Т. //Ортопед. травматол. — 1990. — N 10. — С. 11—14.
- Корнилов Н.В. //Травматол. ортопед. России. — 1994. — N 5. — С. 7-11.
- Кузьменко В.В., Еремин Д.И., Чекашкин Е.И. и др. //Вестн. травматол. ортопед. — 1994. — N 4. — С. 5-10.
- Митрошин А.Н. Перспективы клинического применения нового тотального протеза тазобедренного сустава: Автореф. дис.... канд. мед. наук. — Самара, 1992.
- Мовшович И.А. //Актуальные проблемы травматологии и ортопедии: Материалы Респ. науч.-практ. конф. — М., 1995. — С. 141—142.
- Неверов В.А., Закари С.М., Кишко А.И. //Пленум Ассоциации травматологов-ортопедов России, 2-й: Материалы. — Ростов-на-Дону, 1996. — С. 380-385.
- Нуждин В.И., Попова Т.П., Хоранов Ю.Г., Горохов В.Ю. //Эндопротезирование в травматологии и ортопедии: Об. науч. трудов. — М., 1993. — С. 11-15.
- Шапошников Ю.Г. //Вестн. травматол. ортопед. — 1994. — N 4. — С. 3-5.
- Charnley J. Low friction arthroplasty of the hip. Theory and practice. — Springer-Verlag, 1979.
- De Lee J.G., Charnley J. //Clin. Orthop. — 1976. — N 121. — P. 20-33.
- Harris W.H. //J. Bone Jt Surg. — 1969. — Vol. 51A, N 4. — P. 737-755.
- Gruen T.A., McNeice G.M., Amstutz H.C. //Clin. Orthop. — 1979. — N 141. — P. 17-27.
- Jaffe W.L., Scott D.F. //J. Bone Jt Surg. — 1996. — Vol. 78A, N 12. — P. 1918-1934.
- Malchau H., Herberts P. //Abstracts of III Congress of EFORT. —Barcelona, 1997. — P. 4.
- Morscher E.W. Endoprothetics. — Springer, 1995.
- Wroblewski B.M., Siney P.P. //Clin. Orthop. — 1992.— N 285. — P. 45-47.
- Wroblewski B.M. et al. //Abstracts of III Congress of EFORT. — Barcelona, 1997. — P. 113.
Дополнительные файлы





