Morphologic characteristics of early stages of reparative process in substitution of skull defects by dosed distraction (report 1)
- Authors: Shevtsov V.I.1, Chirkova A.M.1, Dyachkov A.N.1
-
Affiliations:
- Russian Research Center "Restorative Traumatology and Orthopedics" named after G.A. Ilizarov
- Issue: Vol 6, No 4 (1999)
- Pages: 56-61
- Section: Original study articles
- Submitted: 19.03.2022
- Accepted: 19.03.2022
- Published: 15.11.1999
- URL: https://journals.eco-vector.com/0869-8678/article/view/105133
- DOI: https://doi.org/10.17816/vto105133
- ID: 105133
Cite item
Full Text
Abstract
Experimental study was performed to detect the peculiarities of reparative process in bone defects. In 131 adult mongrel dogs skull defects were performed with their following substitution using dosed distraction by Ilizarov. In the 1st series of experiments the defect was substituted by dosed transfer of full-thickness bone graft on the nutritive pedicle. In the 2nd series free bone graft was used for the defect substitution. In this report the results of morphologic examination of dog’s skull in predistraction period is done. In both series the development of the reparative processes analogous to those in the long bones at transosseous osteosynthesis is detected.
Full Text
Известно, что у лиц, перенесших оперативное вмешательство на черепе или головном мозге с удалением костного лоскута, наряду с другими причинами, а иногда и единственной причиной инвалидности бывают дефекты костей черепа. Нередко обширные, во многих случаях закрытые акриловой пластинкой, аллотрансплантатом [4] или не замещенные, они достигают, например, у оперированных по поводу черепно-мозговой травмы (ЧМТ) 13,3- 14,7% [12, 22, 33].
Число больных с такой патологией постоянно растет, и наибольший рост дает ургентная хирургия при повреждениях головы, что связано с увеличением количества ЧМТ [5, 11, 18, 23, 26] и, как это ни парадоксально, с успехами нейрохирургии и реаниматологии, позволяющими сохранять жизнь больным, которые еще совсем недавно считались безнадежными.
Хирурги всегда стремились и стремятся закончить операцию на костях черепа и головном мозге закрытием дефекта, возникшего в результате травмы или операции, так как первичная краниопластика позволяет предупредить осложнения, создать оптимальные условия для течения посттравматической или посттрепанационной болезни, восстановления функции мозга, а также снизить выход больных на инвалидность, сократить сроки реабилитации [24, 27]. Однако большинство пострадавших с ЧМТ лечатся не в специализированных нейрохирургических учреждениях [3], а поступают в травматологические отделения городских или районных больниц, где после оперативных вмешательств на головном мозге или костях черепа пластику дефектов не производят — закрытие их осуществляют в дальнейшем в специализированных отделениях или НИИ [14]. К тому же первичное аутопластическое закрытие дефектов черепа в ряде случаев просто невозможно в силу имеющихся противопоказаний [18].
Следует отметить, что решению вопроса замещения дефектов костей свода черепа отчасти препятствует и широко распространенное представление о неспособности их к регенерации.
Таким образом, проблема краниопластики сохраняет свою актуальность и служит предметом дальнейших разработок и непрекращающихся дискуссий.
Планируя проведение экспериментов по замещению дефектов костей свода черепа методом дозированной дистракции, мы опирались на работы Л.В. Полежаева [22], доказавшего возможность замещения таких дефектов у животных (крысы, собаки) путем сдвигания костного отломка от одного края к другому, а также на многочисленные экспериментальные и клинические исследования, выполненные в РНЦ «ВТО» [1, 2, 6-9, 15, 17, 20, 27], в других учреждениях [13, 16, 21, 32], по удлинению конечностей и замещению дефектов длинных костей. Результаты этих исследований позволили предположить, что в ответ на дозированное растяжение остеогенной ткани, образующейся между костными отломками или отломком и краем дефекта, в костях свода черепа активизируется процесс регенерации.
Материал и методы. Опыты проведены на взрослых беспородных собаках (131), у которых моделировали дефект костей черепа, а затем замещали его методом дозированной дистракции по Илизарову.
В I серии опытов (101 собака) дефект замещали путем дозированного перемещения в нем полнослойного костного фрагмента на питающей ножке (несвободный фрагмент). Размеры искусственно созданного прямоугольного дефекта костей черепа составляли в среднем 2,6×1,5 см, а размеры фрагмента — 1,4×1,2 см. Последний формировали от каудального края дефекта и с помощью тракционных спиц перемещали в краниальном направлении.
Во II серии экспериментов (30 животных) дефект костей черепа замещали аналогичным образом с помощью свободного (лишенного связей с окружающими мягкими тканями) костного фрагмента.
Оперативные вмешательства выполняли под наркозом (дробное введение 2,5% или 5% раствора тиопентал-натрия из расчета 0,25 мг на 1 кг массы собаки).
Эвтаназию животных осуществляли внутривенным введением гипердозы тиопентал-натрия или 10% раствора новокаина под наркозом до дистракции (через 3, 5, 7 и 10 дней после операции), в разные сроки периодов дистракции и фиксации, а также после снятия аппарата.
После эвтаназии животных отделяли крышу черепа и макроскопически изучали состояние тканей в области дефекта, определяли наличие или отсутствие спаек между тканями.
Кости свода черепа фиксировали в 10% растворе нейтрального формалина, вырезали блоки, включающие область дефекта. После декальцинации и обезвоживания материал заливали в целлоидин. Сагиттальные гистотопографические срезы окрашивали гематоксилином и эозином, пикрофуксином по методу Ван-Гизона, выборочно импрегнировали серебром по Футу. В части случаев после эвтаназии сосуды головы инъецировали тушь-желатиновой смесью и готовили просветленные препараты.
В настоящей работе представлены результаты морфологических исследований костей черепа собак, выведенных из опыта в преддистракционный период.
Результаты. При макроскопическом изучении препаратов I серии в сроки 3-10 дней после операции в дефекте костей свода черепа и в окружающих тканях найдены организующиеся гематомы. Твердая мозговая оболочка соединялась нежными спайками с краями дефекта и мягкими оболочками. Сосуды оболочек в области дефекта были расширены по сравнению с сосудами оболочек противоположной половины головного мозга, а количество их несколько увеличено.
Микроскопически через 3 дня после операции в диастазе между фрагментом и краями дефекта определялась свернувшаяся кровь. В участках кости, прилежащих к дефекту, отмечались небольшие очажки скелетогенной ткани, а в костном фрагменте — выраженные некробиотические изменения.
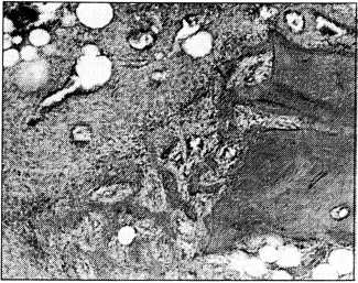
На 5-й день после операции диастаз между каудальным краем дефекта и фрагментом (протяженностью до 1,5 мм), а также пространство между твердой мозговой оболочкой и фрагментом заполняла свернувшаяся кровь. Со стороны твердой мозговой оболочки в периферические участки гематомы врастала молодая, богатая капиллярами соединительная ткань (рис. 1, а). На дорсальной поверхности материнской кости и фрагмента надкостница была утолщена за счет камбиального слоя (рис. 1, б). В костномозговых полостях теменной кости, вблизи от линии опила, отмечалась эндостальная реакция в виде пролиферации клеток скелетогенной ткани и формирования одиночных трабекул (рис. 1, в). На импрегнированных препаратах в зоне остеогенеза выявлялась сеть аргирофильных волокон (рис. 1, г). Во фрагменте были выражены некробиотические изменения, заключавшиеся в частичной гибели остеоцитов и содержимого костномозговых полостей.
Рис. 1. 5-й день эксперимента. Собака № 5141. а — пролиферация клеток наружного слоя твердой мозговой оболочки и врастание их в гематому между краем дефекта и костным фрагментом (окраска гематоксилином и эозином. Об. 16, ок. 10); б — пролиферация клеток внутреннего слоя надкостницы на дорсальной поверхности фрагмента (окраска гематоксилином и эозином. Об. 16, ок. 10); в — пролиферация скелетогенной ткани в теменной кости у края дефекта (окраска гематоксилином и эозином. Об. 6,3, ок. 10); г — сеть аргирофильных волокон в зоне эндостальной реакции вблизи от края перемещаемого фрагмента (импрегнированный препарат. Об. 6,3, ок. 10).
Через 7 дней после операции в теменной кости усиливался процесс эндостального остеогенеза и по краю ее опила образовывался тонкий слой новой костной ткани (рис. 2). Диастаз между фрагментом и каудальным краем дефекта был заполнен скелетогенной тканью, клетки которой проникали в поверхностно расположенные костномозговые полости каудального конца фрагмента. В области дна дефекта сохранялась гематома, подвергавшаяся организации за счет врастания молодой соединительной ткани со стороны твердой мозговой оболочки.
Рис. 2. 7-й день эксперимента. Собака № 5525. Формирование костного регенерата по краю дефекта (окраска пикрофуксином по Ван-Гизону. Об. 6,3, ок. 10).
В другом наблюдении в области дна дефекта располагалась грануляционная ткань. Источником ее роста являлись поверхностный слой твердой мозговой оболочки и вскрытые в результате остеотомии костномозговые пространства. По краю дефекта в костномозговых полостях выявлена скелетогенная ткань с формирующимися в ней мелкими костными трабекулами. Твердая мозговая оболочка в области дефекта была утолщена за счет пролиферации наружного слоя. Во фрагменте часть остеоцитов погибла, отмечался некроз костного мозга. В каудальный конец фрагмента врастала соединительная ткань. Промежуток между фрагментом и краем материнской кости заполнялся скелетогенной тканью с новообразованными трабекулами.
К 10-му дню наблюдения протяженность костного регенерата на поверхности теменной кости увеличивалась до 1 мм (рис. 3).
Рис. 3. 10-й день эксперимента. Собака № 0518. Грубоволокнистая костная ткань, растущая со стороны края дефекта (окраска гематоксилином и эозином. Об. 6,3, ок. 10).
Вершины формирующихся трабекул были связаны с пучками коллагеновых волокон соединительной ткани, заполнявшей остальную часть дефекта. Во фрагменте определялись очажки остеогенеза. В краниальном отделе дефекта располагалась соединительная ткань с атрофичными мышечными волокнами.
Во II серии экспериментов — со свободным костным фрагментом — при макроскопическом исследовании отмечено, что на 3-10-й день после операции происходит организация послеоперационной гематомы, образуются сначала нежные, затем более плотные спайки между тканями в области дефекта. Нежные спайки обнаруживаются также между твердой мозговой оболочкой и прилежащими к дефекту тканями.
Микроскопически на 3-й день после операции пространство между костным фрагментом и задним краем материнской кости частично заполнялось свернувшейся кровью. В материнской кости по краю дефекта костный мозг был отечен, с расширенными полнокровными синусоидами и диапедезными кровоизлияниями. В прилежащих к линии опила участках отмечались очажки скелетогенных клеток. Во фрагменте значительная часть остеоцитов была лишена ядер, костный мозг некротизирован. Участками, главным образом вблизи от края дефекта, наблюдались скопления лейкоцитов и эритроцитов, а также капилляры в состоянии дископлексации. В промежутке между передним краем дефекта и фрагментом располагались гематома и соединительная ткань.
Через 5 дней после операции морфологическая картина мало отличалась от таковой в предыдущий срок. Можно отметить врастание в гематому клеток соединительной ткани, образующейся за счет пролиферации наружного слоя твердой мозговой оболочки.
К 7-му дню диастаз между фрагментом и каудальным краем дефекта был частично заполнен молодой соединительной тканью, источником роста которой являлись малодифференцированные клеточные элементы наружного слоя твердой мозговой оболочки. К этому сроку на поверхности опила теменной кости образовывался слой костного вещества толщиной около 0,5 мм. Во фрагменте сохранялись некротические изменения.
После 10 дней от начала эксперимента узкий промежуток между фрагментом и задним краем материнской кости заполнялся скелетогенной тканью, растущей из диплоэ материнской кости и со стороны твердой мозговой оболочки. Эта ткань проникала в каудальный конец фрагмента на глубину до 0,7 мм. На поверхности опила материнской кости и в костномозговых полостях отмечалась сеть новообразованных трабекул, участками подвергавшихся остеокластической резорбции. В краниальном конце фрагмента определялись микроскопических размеров очажки костеобразования. В диастазе между передним краем материнской кости и фрагментом содержалась соединительная ткань с атрофичными мышечными волокнами и участками кровоизлияний. Пространство между фрагментом и твердой мозговой оболочкой было заполнено богато капилляризированной соединительной тканью.
Обсуждение. Проведенные гистологические исследования показали, что после создания дефекта костей свода черепа в первые 5 дней диастаз между каудальным краем дефекта и фиксированным к нему с помощью аппарата Илизарова костным фрагментом (на питающей мышечной ножке или свободным) частично заполняется молодой соединительной (грануляционной) тканью. Источником ее роста является поверхностный слой твердой мозговой оболочки. Через 7-10 дней после операции в результате усиления эндостальной реакции в материнской кости по краю дефекта появляется костный регенерат, вершины трабекул которого связаны с коллагеновыми волокнами соединительной ткани. Последняя заполняет диастаз и проникает в каудальный конец фрагмента.
Полученные нами результаты свидетельствуют о том, что репаративный процесс в срок 3-10 дней после операции создания дефекта плоских костей свода черепа и формирования несвободного или свободного костного фрагмента аналогичен репаративному процессу, описанному другими авторами [10, 29-31, и др.] в длинных костях при чрескостном остеосинтезе в ранние сроки.
About the authors
V. I. Shevtsov
Russian Research Center "Restorative Traumatology and Orthopedics" named after G.A. Ilizarov
Author for correspondence.
Email: info@eco-vector.com
Russian Federation, Kurgan
A. M. Chirkova
Russian Research Center "Restorative Traumatology and Orthopedics" named after G.A. Ilizarov
Email: info@eco-vector.com
Russian Federation, Kurgan
A. N. Dyachkov
Russian Research Center "Restorative Traumatology and Orthopedics" named after G.A. Ilizarov
Email: info@eco-vector.com
Russian Federation, Kurgan
References
- Барабаш А.П. //Экспериментально-теоретические и клинические аспекты разрабатываемого в КНИИ ЭКОТ метода чрескостного остеосинтеза: Материалы Всесоюз. симпозиума с участием иностранных специалистов. — Курган, 1984. — С. 76-79.
- Барабаш А.П. Замещение дефектов длинных трубчатых костей по Илизарову (экспериментальное исследование): Автореф. дис.... д-ра мед. наук. — М., 1985.
- Будашевский Б.Г., Лесновская Н.Е. //Нейротравма. — Л., 1986. — С. 25-33.
- Зотов Ю.В., Щедренок В.В. //Невропатол. психиатр. — 1976. — Т. 76, вып. 9. — С. 1335-1337.
- Зотов Ю.В., Щедренок В.В. //Всесоюз. съезд нейрохирургов, 3-й. — М., 1982. — С. 43-44.
- Илизаров Г.А. //13-я Юбил. обл. хирургическая конф., посвященная 300-летию г. Кургана. — Курган, 1963. — С. 319-329.
- Илизаров Г.А., Ледяев В.И., Штин В.П. //Итоговая науч. сессия ин-тов травматологии и ортопедии РСФСР совместно с Пленумом правления Всерос. науч. об-ва травматологов-ортопедов: Тезисы. — Л., 1968. — С. 115-117.
- Илизаров Г.А., Хелимский А.М., Барабаш А.П. //Ортопед. травматол. — 1977. — N 2. — С. 23-27.
- Илизаров Г.А., Берко В.Г. //Ортопед. травматол. — 1980. — N 7. — С. 54-59.
- Имерлишвили И.А., Бахлыков Ю.Н., Дьячкова Г.В. //Чрескостный компрессионный и дистракционный остеосинтез в ортопедии и травматологии: Сб. науч. трудов. — Курган, 1980. — Вып. 6. — С. 90-96.
- Комаров Б.Д., Лебедев В.В., Охотский В.П. //Вестн. АМН СССР. — 1984. — N 12. — С. 16-19.
- Коновалов А.Н., Васин Н.Я. //Всесоюз. съезд нейропатологов и психиатров, 7-й: Тезисы докладов. — М, 1981. — Т. 3. — С. 208—211.
- Краснов А.Ф., Бабкова М.И., Савин А.М., Котельников Г.П. //Лечение переломов и их последствий методом чрескостного остеосинтеза: Материалы Всерос. науч.-практ. конф. — Курган, 1979. — С. 123-126.
- Куница В.Д., Савелов С.А., Михеев Е.В. //Ортопед. травматол. — 1988. — N 9. — С. 63.
- Куфтырев Л.М. Лечение больных с дефектами бедренной кости методом чрескостного остеосинтеза по Илизарову: Дис.... д-ра мед. наук. — Курган, 1990.
- Лаврищева Г.И., Штин В.П. //Всесоюз. съезд травматологов-ортопедов, 3-й: Тезисы докладов. — М., 1975. — С. 203-205.
- Ларионов А.А. Дистракционный остеосинтез и эволюция костных трансплантатов (экспериментальное исследование): Дис.... д-ра мед. наук. — Пермь, 1995.
- Лебедев В.В. //Вопр. нейрохирургии. — 1973. — С. 49-51.
- Лебедев В.В., Быковников Л.Д. Руководство по неотложной хирургии. — М., 1987.
- Макушин В.Д. Лечение по Илизарову больных с дефектом костей голени: Дис.... д-ра мед. наук. — Курган, 1987.
- Никитенко Е.Т. К экспериментальному обоснованию дистракционного остеосинтеза костей голени: Автореф. дис.... канд. мед. наук. — Свердловск, 1975.
- Полежаев Л.В. //Труды I Съезда хирургов Российской Федерации. — Л., 1959. — С. 276-280.
- Рачков Б.М., Зотов Ю.В., Кондаков Е.Н. //Вестн. АМН СССР. — 1984. — N 12. — С. 30-33.
- Ромоданов А.П., Педаченко Г.А. //Вопр. нейрохирургии. — 1984. — N 3. — С. 9-13.
- Руководство по нейротравматологии /Под ред. А.И. Арутюнова. — М., 1978. — Ч. 1.
- Сладков И.И., Гондуренко В.П. //Вопросы нейрохирургии, невропатологии и психиатрии. — Саратов, 1975. — С. 129-130.
- Хелимский А.М. //Теоретические и практические аспекты чрескостного компрессионного и дистракционного остеосинтеза: Тезисы докладов Всесоюз. науч.-практ. конф. — Курган, 1976. — С. 55-57.
- Шаталина О.А., Тургаунов А.М. //Вопросы нейрохирургии, невропатологии, психиатрии: Тезисы докладов. — Саратов, 1972. — С. 136-137.
- Шрейнер А.А. //Значение открытых Г.А. Илизаровым общебиологических закономерностей в регенерации тканей: Сб. науч. трудов. — Курган, 1988. — Вып. 13.
- Штин В.П., Никотенко Е.Г. //Ортопед. травматол.1974. — N 5. — С. 48-51.
- Штин В.П., Никитенко Е.Г. //Ортопед. травматол.1975. — N 10. — С. 40-44.
- Штин В.П. Особенности костеобразования в зоне диастаза большеберцовой кости при удлинении голени аппаратом Г.А. Илизарова (экспериментальноморфологическое исследование): Автореф. дис.... д-ра мед. наук. — Новосибирск, 1978. — С. 89-102.
- Maksoud M., Nahser H.C. //Chir. Prax. — 1983. — Bd 31, Н. 1. — S. 31-36.
Supplementary files





