Современные методы лечения злокачественных опухолей
- Авторы: Котц Р.1
-
Учреждения:
- Ортопедическая клиника Венского университета
- Выпуск: Том 1, № 4 (1994)
- Страницы: 62-68
- Раздел: Лекции
- Статья получена: 21.03.2022
- Статья одобрена: 21.03.2022
- Статья опубликована: 21.03.2022
- URL: https://journals.eco-vector.com/0869-8678/article/view/105207
- DOI: https://doi.org/10.17816/vto105207
- ID: 105207
Цитировать
Полный текст
Аннотация
Попытки избежать ампутации конечностей при обнаружении злокачественной опухоли кости или мягких тканей предпринимались хирургами уже в начале нашего столетия. Одна из них была связана с пластикой по F. Sauerbruch: после резекции бедренной кости голень перемещали вверх и укладывали в кожно-мышечное ложе, в результате чего образовывалась культя, пригодная для протезирования. П.И. Тихов и В. Linberg производили обширную резекцию лопатки и проксимального конца плечевой кости, сохраняя «удлиненную» и нестабильную, но зато подвижную верхнюю конечность. Сохранение стабильности нижней конечности за счет имплантации опухолевых протезов представлялось наиболее целесообразным. Первая операция такого типа выполнена в конце 30-х годов А. Moore при гигантоклеточной опухоли проксимального отдела бедренной кости. В конце 50-х — начале 60-х годов, с развитием эндопротезирования бедра, усилилась и тенденция к разработке и имплантации специальных протезов для пациентов с опухолевыми заболеваниями.
Ключевые слова
Полный текст
Попытки избежать ампутации конечностей при обнаружении злокачественной опухоли кости или мягких тканей предпринимались хирургами уже в начале нашего столетия. Одна из них была связана с пластикой по F. Sauerbruch: после резекции бедренной кости голень перемещали вверх и укладывали в кожно-мышечное ложе, в результате чего образовывалась культя, пригодная для протезирования. П.И. Тихов и В. Linberg производили обширную резекцию лопатки и проксимального конца плечевой кости, сохраняя «удлиненную» и нестабильную, но зато подвижную верхнюю конечность [5]. Сохранение стабильности нижней конечности за счет имплантации опухолевых протезов представлялось наиболее целесообразным. Первая операция такого типа выполнена в конце 30-х годов А. Moore при гигантоклеточной опухоли проксимального отдела бедренной кости. В конце 50-х — начале 60-х годов, с развитием эндопротезирования бедра, усилилась и тенденция к разработке и имплантации специальных протезов для пациентов с опухолевыми заболеваниями [7].
Однако до наступления эры эффективной химиотерапии длительного лечения злокачественных опухолей костей не проводилось, в связи с чем имеются только разрозненные сообщения о сохранении конечностей. Появление эффективной химиотерапии как дополнительного метода лечения [2] существенно изменило ситуацию, улучшив прогноз выздоровления. Одновременно в ряде центров были разработаны различные методы сохранения конечностей и улучшения их функции после операции. Диапазон операций оказался весьма широким — от простой резекции костей, сохранение которых не считалось обязательным (малоберцовая кость, ключица), до частичной замены кости таза бедренной костью вместо гемипельвэктомии. В области эндопротезирования наметилась тенденция к переходу от изготовления индивидуальных эндопротезов к разработке модульных имплантационных систем, что сделало возможным обеспечение каждого пациента эндопротезом непосредственно в операционной.
Сохранение конечностей может быть достигнуто различными способами, которые можно разделить, с одной стороны, на биологические методы и эндопротезирование и, с другой — на простую резекцию кости без замещения дефекта, резекцию-реимплантацию и резекцию-реконструкцию. Для биологических методов характерна трансплантация кости с целью замещения дефекта кости и/или сустава. Могут применяться аутотрансплантаты на сосудистой ножке — для этого используют кости, без которых можно обойтись (малоберцовая кость, гребень подвзвдошной кости, ключица). При микроваскулярном анастомозировании возможна также трансплантация мягких тканей и кожи с целью замещения обширных дефектов мягких тканей. Естественно, применение этих методов ограничено.
Если резекция затрагивает крупный сустав, возникает необходимость обеспечения стабильности путем артродеза (рис. 1) или протезирования [1]. Другой возможный путь — полное замещение резецированного сегмента консервированным глубоким замораживанием костным аллотрансплантатом. Распространение этого метода способствовало созданию так называемых «костных банков», из которых могут быть затребованы свежезамороженные сегменты суставов и подвергнутые специальной консервации части хряща и капсул (Лейден, Флорида, Бостон). Главная проблема, возникающая при использовании аллотрансплантатов, заключается в том, что пациенту имплантируется крупный мертвый сегмент скелета, реваскуляризация которого длится годами, из-за чего необходимы разгрузка конечности и применение соответствующих аппаратов в течение продолжительного времени. Кроме того, существует опасность полного отторжения и рассасывания аллотрансплантата (рис. 2). Помимо осложнений, типичных при обширных операциях по поводу опухолей, таких как тромбоз сосудов, кровотечение, гематомы, некроз, при применении аллотрансплантатов имеется опасность внесения инфекции при взятии и хранении биологической ткани, стерилизация которой, естественно, невозможна. Тем не менее данный метод сохранения конечности приобретает все большее значение. Следует, однако, иметь в виду, что при применении его одновременное назначение химиотерапии не рекомендуется. При очень больших дефектах и сложных реконструкциях возможно использование крупных металлических имплантатов с покрытием лоскутами мягкой ткани на сосудистой ножке или без него.
Рис. 1. Рентгенограмма больного 21 года с остеосаркомой дистального метафиза бедренной кости через полгода после обширной резекции и артродеза по Путти с применением интрамедуллярной фиксации гвоздем. Дефект медиальной части бедренной и латеральной части большеберцовой кости замещен аллотрансплантатом.
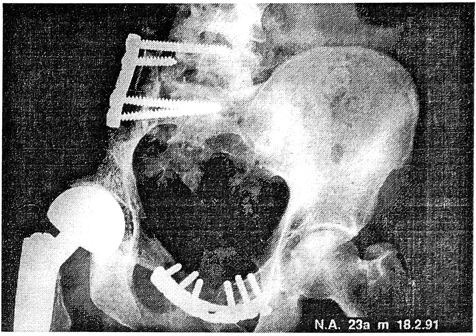
Рис. 2. Рентгенограмма больного 23 лет после резекции правой половины таза по поводу саркомы Юинга с замещением дефекта аллотрансплантатом в сочетании с эндопротезированием тазобедренного сустава однополюсным протезом. Неудача операции из- за развития инфекции спустя 4 мес.
На сегодняшний день биологическая резекция-реконструкция (рис. 3) должна рассматриваться как серьезная альтернатива эндопротезированию, хотя существует мало медицинских центров, где в равной степени применялись бы оба эти метода, каждый из которых требует особой специализации. В медицинских центрах, специализирующихся главным образом на аллотрансплантации, как правило, лечатся больные со злокачественными опухолями низкой степени зрелости или с очень крупными доброкачественными опухолями, тогда как центры, занимающиеся лечением злокачественных опухолей высокой степени зрелости с применением химиотерапии, используют в основном эндопротезы.
Рис. 3. Рентгенограмма больного 36 лет через 5 лет после резекции лонной кости и боковой массы таза справа по поводу остеосаркомы с замещением дефекта трансплантатом из большеберцовой кости.
Методам резекции-реконструкции может быть противопоставлена резекция-реимплантация [4], которая позволяет сохранять конечность даже при удалении очень крупных опухолей, циркулярно поражающих весь сегмент. При операциях на нижней конечности используется так называемая поворотная пластика [6], при которой производится резекция цилиндрического сегмента конечности, в большинстве случаев с сохранением только нервов, а затем реимплантация дистального сегмента с реконструкцией сосудов. Поскольку обращенная вперед ступня и укороченная бедренная кость неудобны для протезирования, может быть рекомендован метод J. Borggreve — поворот голени назад на 180°, в результате чего становится возможным протезирование и создание сравнительно активного подвижного «коленного» сустава (рис. 4). Благодаря сохранению ноги у пациента не возникает ощущения ампутации, а кроме того, функциональность конечности существенно выше, чем при ампутации и протезировании бедренной кости.
Рис. 4. Больной 20 лет через 5 лет после ротационной пластики по поводу остеосаркомы дистального конца правой бедренной кости: вид сбоку без протеза и функция правой ноги с протезом.
При поражении плечевого сустава и плечевой кости производится имплантация укороченной верхней конечности, т.е. предплечья, на грудь. При этом сохраняется хорошая функция руки, несмотря на то что функция плеча или локтя отсутствует и конечность заметно укорочена (рис. 5).
Рис. 5. Больной 4 лет с циркулярным поражением плечевой кости и плечевого сустава остеосаркомой.
а — до операции; б — реимплантация предплечья на грудную клетку; в — через 1,5 года после операции: функционирующие правое предплечье и правая кисть.
Поскольку калечащая резекция-реимплантация применяется при лечении только очень больших опухолей, необходимость в ней возникает редко, гораздо чаще возможна резекция-реконструкция. За счет этих методов возможности лечения изменились настолько, что стало реальным у большинства больных со злокачественными опухолями костей отказаться от ампутации конечности, прибегая к ней лишь в 10% случаев. Мы примерно в 20% случаев производим резекцию-реимплантацию, в 70% случаев возможна резекция-реконструкция или резекция без реконструкции с сохранением полной длины конечности.
Особую проблему представляет лечение больных с опухолями таза. Для реконструкции таза используются как аллотрансплантаты, так и крупные эндопротезы, позволяющие отказаться от гемипельвэктомии. В хирургическом отношении этот метод сложен, и его применение требует соответствующего оснащения. Благодаря компьютерной технике становится возможным создавать модели таза в трех измерениях и изготавливать индивидуальные протезы таза (рис. 6).
Рис. 6. Рентгенограмма больного 22 лет с саркомой Юинга после гемипельвэктомии с замещением дефекта реконструктивным эндопротезом таза с тазобедренным суставом.
Другая сложная проблема — оперативное лечение злокачественных опухолей костей у детей. Раньше считалось в принципе невозможным эндопротезирование нижних конечностей у детей, поскольку в процессе роста ребенка результаты оказывались неудовлетворительными. Благодаря тому что в настоящее время мы располагаем так называемыми «растущими» протезами, применение эндопротезирования стало возможным даже у детей в возрасте до 10 лет (рис. 7). В процессе роста разница в длине со второй ногой нивелируется. Несмотря на то что для полного выравнивания длины конечностей до окончания процесса роста и достижения удовлетворительной функции за счет использования «растущего» протеза бывает необходимо несколько операций, в конечном итоге результаты лечения, даже в случаях удлинения до 18 см, бывают такими же благоприятными, как и у взрослых пациентов.
Рис. 7. «Растущий» опухолевый эндопротез дистального конца бедренной кости с тибиальной суставной частью.
В ортопедической клинике Венского университета имеется опыт имплантации опухолевых протезов как верхних, так и нижних конечностей. С 1974 г. используются модульные протезы верхней конечности, которые сначала изготавливались из керамики, а затем из металла. Первоначально удавалось заменять только проксимальный конец плечевой кости. Однако для того, чтобы удовлетворить индивидуальные запросы пациентов, в этих случаях было необходимо работать со всей плечевой костью, заменяя локтевой сустав или дистальный конец плечевой кости с локтевым суставом. Поэтому при опухолях верхней конечности у нас используется модульный блок из виталлия, позволяющий замещать дефекты от проксимального конца плечевой кости до локтевого сустава (рис. 8). Опыт применения этих протезов показал, что предпочтение следует отдать методу бесцементного крепления, обеспечивающему прямое врастание костной ткани в поверхность протеза. Улучшение функции плечевого сустава возможно за счет создания в головке протеза отверстий для фиксации мышц с помощью полосок широкой фасции.
Рис. 8. Модульные тотальные эндопротезы плечевой кости.
С 1974 г. была произведена имплантация 94 протезов плечевой кости. Результаты лечения можно охарактеризовать как в высшей степени удовлетворительные: в группе из 49 больных, оперированных до 1987 г., при наименьшем сроке наблюдения 2 года выживаемость составила 73,5%, средняя продолжительность жизни после операции — 106,1 мес при хорошей функции оперированной конечности [4].
В области коленного сустава, где обеспечение функции является еще более важным и еще более сложным, чем при операциях на верхней конечности, применение протезов началось также в 1974 г. В 1976 г. в университетской ортопедической клинике начато использование специальных индивидуальных эндопротезов, которое привело к развитию модульной протезной системы (KMFTR) [3], позволяющей создавать протезы индивидуально для каждого пациента непосредственно в операционной. Накопленный в процессе применения этой системы опыт (лечение в период с 1982 по 1989 г. 131 больного со злокачественными опухолями и метастатическими поражениями костей, а также при расшатывании обычных эндопротезов нижней конечности с массивной потерей кости), сотрудничество с Ортопедическим институтом в Болонье и совместный анализ 258 наблюдений позволили усовершенствовать данную систему (рис. 9). За счет особой обработки поверхности протеза достигается интеграция с костной тканью, мышцами и сухожилиями и улучшается функция конечности. Онкологический результат также может быть признан хорошим: выживаемость пациентов, лечившихся до 1987 г., при минимальном сроке наблюдения 2 года составила 75%, продолжительность жизни — 48,2 мес [4].
Рис. 9. Эндопротезы с различными «растущими» модулями.
а — для замещения дистальной части бедренной кости, б — проксимальной части большеберцовой кости, в — проксимальной части бедренной кости.
При выживании пациента в течение 2 лет после удаления опухоли онкологический результат может быть признан удовлетворительным. После резекции-реконструкции выживаемость пациентов по прошествии 2 лет составила 77,8% и была выше, чем после ампутации (69,4%). Наихудшие результаты отмечены после резекции-реимплантации: выживаемость спустя 2 года после операции составила 52,9% [4]. Поскольку выбор хирургического метода определяется размером и локализацией опухоли, приведенные результаты объясняются тем, что больные с крупными опухолями вошли в группу «ампутации» и «резекции-реимплантации».
Помимо хорошего или очень хорошего функционального результата при эндопротезировании, для пациентов имело важное психологическое значение сохранение полной длины конечности. В отличие от таких методов, как ампутация и резекция-реимплантация с укорочением верхней конечности и ротационная пластика нижней конечности, эндопротезирование даже при ослабленных мышцах обеспечивает сохранение первоначального внешнего вида больного. Эти пациенты внешне ничем не отличаются от окружающих и имеют хорошие шансы в профессиональном отношении, а также в сфере личной жизни. Поэтому наряду с сохранением функции большое внимание следует уделять сохранению анатомической целостности тела. Данное соображение должно служить дополнительным фактором при выборе метода лечения в тех случаях, когда это не ухудшает онкологического результата.
Об авторах
Р. Котц
Ортопедическая клиника Венского университета
Автор, ответственный за переписку.
Email: info@eco-vector.com
Австрия, Вена
Список литературы
- Campanacci М., Costa Р. //J. Bone Jt Surg. — 1979. — Vol. 61В. — P. 455—465.
- Jurgens H. //Klin. Padiat. — 1981. — Bd 193. — S. 253—256.
- Kotz R., Ritschl P., Trachtenbrodt J. //Orthopedics. — 1986. — Vol. 9. — P. 1639—1652.
- Kotz R., Ritschl P., Kropej D. et al. //Z. Orthop. — 1992. — Bd 130. — S. 299—305.
- Linberg B.E. //J. Bone Jt Surg. — 1928. — Vol. 10. — P. 344—349.
- Salzer M., Knahr K., Kotz R., Kristen H. //Arch. orthop. träum. Surg. — 1981. — Vol. 99. — P. 131—136.
- Zatsepin S.T., Kuzmina L.P., Makson N.E. //Operative Treatment of Bone Tumors /Ed. G.Chapchal. — Stuttgart, 1970. — P. 34—41.
Дополнительные файлы











