Consequences of COVID-19 for the musculoskeletal and peripheral nervous systems. Diagnosis of complications (literature review)
- Authors: Matveeva N.Y.1, Makarova E.V.1, Eskin N.A.1, Sokolova T.V.1
-
Affiliations:
- N.N. Priorov National Medical Research Center of Traumatology and Orthopedics
- Issue: Vol 29, No 1 (2022)
- Pages: 65-77
- Section: SCIENTIFIC REVIEWS
- Submitted: 05.04.2022
- Accepted: 11.05.2022
- Published: 15.03.2022
- URL: https://journals.eco-vector.com/0869-8678/article/view/105957
- DOI: https://doi.org/10.17816/vto105957
- ID: 105957
Cite item
Abstract
COVID-19 disease does not only lead to impaired respiratory function. Post-COVID complications are multiple with the involvement of many body systems, including the musculoskeletal system and the peripheral nervous system. Diseases of the musculoskeletal system include myalgia, myositis, rhabdomyolysis, acute arthralgia, arthritis, bone osteoporosis. Damage to the peripheral nervous system caused by coronavirus infection includes plexopathy due to lying down, poly-neuropathy, Guillain–Barre syndrome. This descriptive literature review discusses the effects of COVID-19 on the musculoskeletal system and the peripheral nervous system of patients. Data are presented on the use of diagnostic tools such as computed tomography, magnetic resonance imaging, and ultrasound scans to detect pathology.
Full Text
BACKGROUND
Since it started in 2020, the COVID-19 pandemic has been continuing. According to the World Health Organization, more than 390 million patients with a confirmed diagnosis have already been registered in the world as at 2022, and the number of new cases continues to grow [1]. Patients with severe COVID-19 infection typically present with acute respiratory syndrome (cough, fever, shortness of breath). However, there is growing evidence of various extrapulmonary manifestations and complications associated with COVID-19 as the infection spreads. This indicates the need to consider COVID-19 as a multisystem disease. It has been established that in addition to the direct effect of a viral infection, which causes pathological changes in various organs and tissues, the infection-induced cytokine storm and pro-inflammatory signaling molecules could also have detrimental impacts on the body [2–4].
In COVID-19 patients, pathological symptoms in other organs and systems that do not pose an immediate threat to life first recede into the background. After stopping all life-threatening conditions, clinicians identify complications that have arisen during and as a result of the infection process, a long period of hospitalization, and therapy for the underlying disease.
With an increase in the number of COVID-19 patients, complications on the musculoskeletal and peripheral nervous systems are becoming increasingly significant.
The following types of studies are traditionally used to diagnose diseases and injuries of the musculoskeletal system:
1) Radiography and computed tomography. X-ray research methods evaluate the integrity of the bones and the relationship of the bone structures that constitute the joints.
2) Magnetic resonance imaging (MRI). The method is used to identify structural changes in muscle tissue, bones, as well as to assess the condition of tendons, articular cartilage, peripheral nerves and nerve plexuses. MRI is the method of choice for diagnosing aseptic bone necrosis.
3) Ultrasound (US) examination. An echographic study enables assessment of the state of muscle tissue, tendons, joints and paraarticular tissues, peripheral nerves and nerve plexuses in a static position, as well as when performing functional dynamic tests.
4) Densitometry is a method that is used to determine the state of bone mineral density.
5) Laboratory studies assess the severity indicators for muscle damage, namely the levels of C-reactive protein and creatine kinase.
The most potential sites for infection are the skeletal muscles, synovial membrane, and cortical bone.
The following musculoskeletal complications have been identified in COVID-19 patients:
- Myalgia and myasthenia in 25%–50% of patients [5–7]
- Arthralgia in 2.5% of cases [8, 9]
- Aseptic bone necrosis in 5%–58% of patients with severe COVID-19 disease [2, 10]
- Chondrolysis
- Tendinopathy
The pathogenesis of pathological changes in the musculoskeletal systems of COVID-19 patients is currently under study. Studies have shown that severe infections, including atypical pneumonia, have a significant negative impact on the entire musculoskeletal system [2]. Here is a scheme of the probable pathogenesis of lesions of the musculoskeletal system in COVID-19 patients (Fig. 1).
Fig. 1. Scheme of the indirect and potential direct effects of SARS-CoV-2 infection on the tissues of the musculoskeletal system [2, p. 1197–1204]. Primary SARS-CoV-2 respiratory infection induces systemic inflammation that can have an impact on the musculoskeletal system. Several types of musculoskeletal cells express the ACE2 and TMPRSS2 genes, which allows for direct viral infection. However, it remains unknown whether the virus can directly infect musculoskeletal tissues.
Skeletal muscle involvement is accompanied by myalgia, myasthenia (mild to severe), rapid fatigue, exercise intolerance, and muscle atrophy. Myalgia, reflecting generalized inflammation, may be the initial manifestation of COVD-19 [11]. Myalgia was reported in 11% to 50% of COVID-19 patients, depending on the disease severity [4, 12–16]. In a cohort study of 8697 patients in the acute period of the disease, myalgia was reported in 21.9% of cases [17]. Muscle pain can also persist for a long time after the acute phase of the disease. The examination of 1655 patients revealed that after the disease, myalgia persisted in 2.0% of the patients, myasthenia and rapid fatigability were noted in 63% of patients, while problems with walking were reported in 7% of the patients [18].
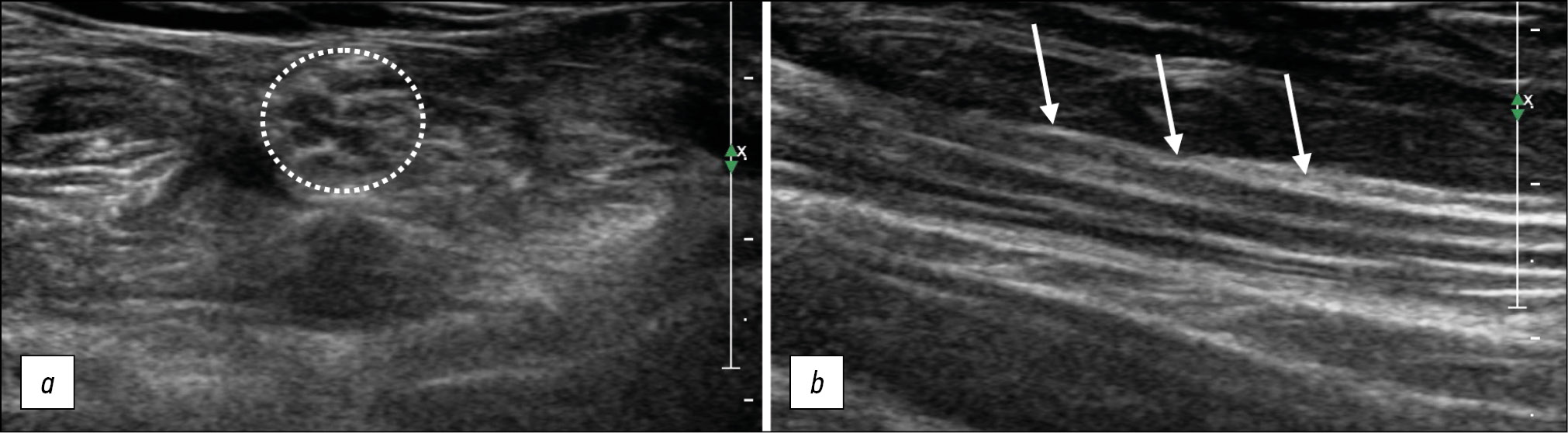
Skeletal muscle injuries detected in the intensive care unit were characterized by muscle wasting and functional impairment. In 32 patients (93.8% men, mean age 64.1±12.6 years) with severe COVID-19, skeletal muscle mass and functional parameters were assessed within 24–72 hours after hospitalization. US images were taken of the rectus femoris cross-sectional area, anterior quadriceps thickness (rectus femoris and medial vastus), and echogenicity. During follow-up at 10 days, a significant decrease in the cross-sectional area of the rectus femoris (–30.1%; p <0.05), thickness of the anterior quadriceps muscle (–18.6%; p <0.05), and grip strength (–22.3%; p <0.05) were reported. After transfer from the intensive care unit, none of the patients returned to normal physical activity levels [19]. US imaging data obtained at the N.N. Priorov National Medical Research Center of Traumatology and Orthopedics illustrate the processes occurring in the muscles with undernutrition (Fig. 2).
Fig. 2. Cross-sectional ultrasound of muscular hypotrophy (a), comparison with the healthy side (b). The muscle volume is reduced with increased echogenicity, and differentiation into fibers is preserved.
Symptoms of skeletal muscle damage such as myasthenia and impaired physical performance persist in more than half of coronavirus patients during the recovery period [20, 21]. The mechanisms of muscle damage in COVID-19 are not fully understood. Two mechanisms of skeletal muscle damage are considered, namely direct invasion of SARS-CoV-2 by the hematogenous route and immune-mediated pathways, including activation of cytokines and immune cells.
Changes in muscle tissue were studied during the coronavirus epidemic 1 of 2020. Using muscle tissue collected postmortem from SARS-CoV-2 patients, several studies have been conducted on the nature of muscle dysfunction resulting from the coronavirus infection. Widespread atrophy of muscle fibers with their sporadic and focal necrosis with infiltration by immune cells was noted. Electron micrographs have revealed a disordered arrangement of myofibrils that impairs force transmission and neuronal demyelination in SARS-CoV-2 patients, which also contributes to myasthenia and fatigue [22].
Changes in the muscles are manifested in the form of myositis and its complicated form, rhabdomyolysis. Symptoms of myositis (myalgia) are mostly registered during the acute period of the disease. However, myasthenia and diffuse myalgia during walking are possible before the onset of typical coronavirus symptoms [23]. The lesion affects different muscle groups, causing symptoms including pain when walking, which occurs most of the time. Paraspinal myositis has been reported (MRI reveals swelling of the paraspinal muscles) [24]. Rhabdomyolysis is a syndrome of severe muscle damage that develops during the acute period of the disease. The condition is characterized by muscle infarction (myonecrosis) and an increase in the blood level of myoglobin (myoglobinemia). Rhabdomyolysis is a life-threatening condition which causes acute renal failure. The clinical manifestations for both, myositis and rhabdomyolysis include myalgia and myasthenia. Electromyography, MRI, and US imaging are used to confirm the myopathic process.
US is used to assess the volume (thickness) of muscle tissue for any muscle groups or individual muscles, to identify fibrotic changes, denervation processes (Fig. 3), as well as to determine the presence of spontaneous muscle contractions.
Fig. 3. Denervation changes in the quadriceps femoris muscle, longitudinal sonogram. (a) unchanged muscle, (b) denervated muscle: the muscle volume is reduced in volumewith increased echogenicity, and no differentiation of fibers.
Muscle MRI imaging is also widely used in clinical practice and, according to H. Zhang et al., may be the method of choice [25]. A sign of myositis is muscle edema, defined as an increase in signal intensity. In severe disease, areas of necrosis or loss of normal muscle structure may be noted. The hallmark of myonecrosis is a “point sign” with foci of enhancement in the region of the rim of non-contrasting muscle tissue. With intramuscular hemorrhage, there can be a T signal identified as a hyperintense signal. Nerve conduction studies are useful in confirming a myopathic process and ruling out motor neuron involvement.
In studies, there is less emphasis on bone and joint damages that on skeletal muscle disorders. At the same time, the number of publications on the prevalence of bone and joint pain in coronavirus patients has increased significantly. A retrospective study of 294 patients revealed that one third of patients experienced pain in the bones and joints [26].
There is varying data on the incidence of myalgia and pain of various localizations, including in the bones and joints. According to C.W. Hoong et al., joint pain was reported to occur in 5.7% of cases, spinal pain was reported in 6.8% of patients, myalgia was reported in 37.5% of cases, and general pain during movement was recorded in 50.0% of cases [26].
Follow-up on patients showed that SARS-CoV-2 can also cause reactive arthritis [27]. As the pandemic spreads, the number of patients with joint inflammation has increased. It can be concluded from the collected and analyzed material, that almost all joints can be affected by the coronavirus. However, the joints of the free upper and lower extremities are more often affected. In most cases, arthritis symptoms appear 3–4 weeks after a positive coronavirus test [28]. Researchers associate one of the lesion mechanisms with a cytokine storm initiated by infection. Inflammatory cytokines increase osteoclastogenesis and reduce the proliferation and differentiation of osteoblasts, which leads to decrease in bone mineral density and increases the risk of fractures [29].
Hyaline cartilage is affected by interleukin (IL) 1β, IL- 6, and tumor necrosis factor-α (TNF-α), which can lead to chondrolysis and, subsequently, to arthralgia or progression of osteoarthritis in some patients (Fig. 4).
Fig. 4. Arthritis of the elbow joint, longitudinal sonogram. The joint capsule is hypertrophied mainly owing to the synovial membrane (arrow). Intense blood flow is observed in the synovium. Practically no fluid component is visible in the joint cavity. 1 — olecranon; 2 — humerus.
IL-1β, IL-17, and TNF-α can disrupt the normal biological activity of tenocytes and contribute to the onset of tendon disorders, which cause potential exacerbation of degenerative tendon diseases and the related inflammatory processes [2] (Fig. 5).
Fig. 5. Longitudinal sonogram of tenosynovitis of the tendons of the long flexors of the second finger of the foot (a) and the flexor tendons of the third finger of the hand (b). Signs of tenosynovitis on ultrasound are similar in both cases and are characterized by thickening of the tendon, fluid in the synovial membrane, and hypertrophy of the synovial wall of the tendon sheath. Using the color Doppler imaging mode, blood flow in the synovium is observed .
Additionally, corticosteroids, which are actively used in the treatment of hospitalized COVID-19 patients, can directly cause muscle atrophy and weakness, degenerative changes in tendons, can induce aseptic bone necrosis, and lead to a significant decrease in bone mineral density. The combination of hypercoagulability, aggregation of leukocytes, and vascular inflammation can disrupt microcirculation in bone tissue and contribute to the development of osteonecrosis [2, 30].
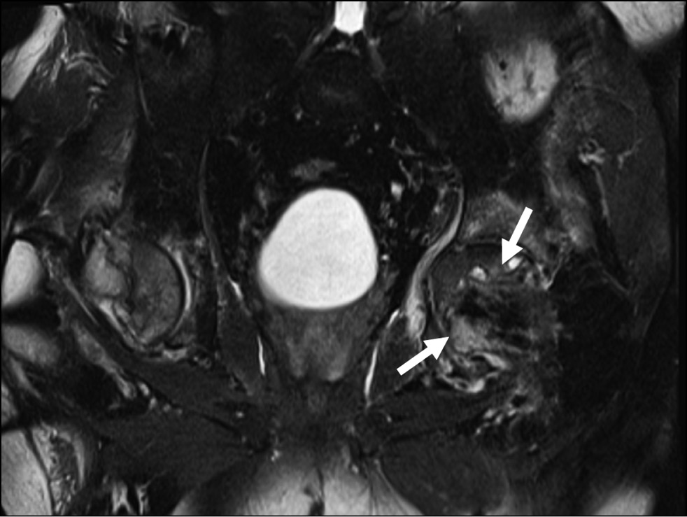
Aseptic necrosis is more common in patients with severe disease, with an incidence of 5% to 58%. Avascular bone necrosis is one of the adverse symptoms of SARS-CoV-2. Avascular necrosis can be detected from 7 days to 2 months from the onset of coronavirus. There was no relationship between the severity of SARS-CoV-2 and the onset of avascular necrosis. The lesion affects all major joints (hip, knee, shoulder, spinal joint, and sacrum), and can be diagnosed by MRI (Fig. 6, 7). Patients treated with corticosteroids for a long time or with higher doses had an increased risk of osteonecrosis [31, 32].
Fig. 6. Magnetic resonance imaging showing aseptic necrosis of the head of the left femur in a patient infected with coronavirus (arrows).
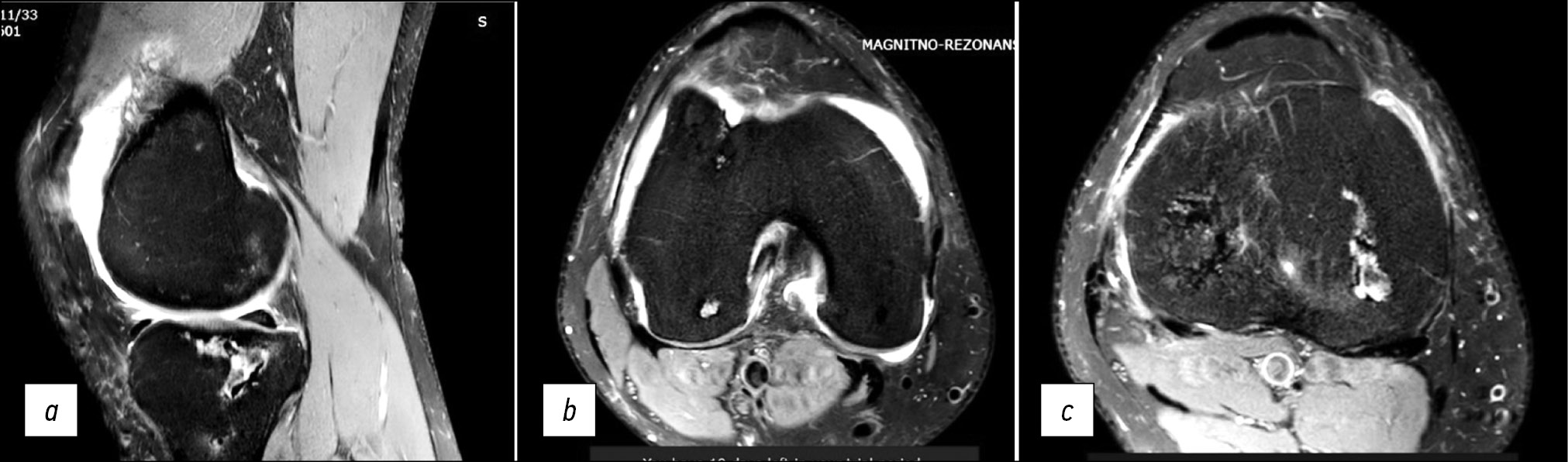
Fig. 7. Aseptic necrosis of the tibial and femoral condyles in a 22-year-old patient infected with coronavirus. Sagittal (a) and axial (b, c) magnetic resonance imaging slices.
Symptoms of damage to the peripheral nervous system develop in 36% of patients with a severe course of coronavirus infection [33–35]. Lesions of the peripheral nervous system due to coronavirus infection can be diagnosed before manifestation of coronavirus symptoms, at the height of the disease, and after the onset of typical symptoms of the disease (fever, cough, shortness of breath, etc.).
The pathophysiological mechanisms of peripheral nerve damage in COVID-19 patients are underinvestigated and may include direct nerve damage due to virus neuroinvasion, viral production of neurotoxins, viral activation of inflammatory neurotransmitters, autoimmune reactions with damage to the peripheral nervous system, and damage due to severe respiratory syndrome caused by coronavirus [33, 36–39].
Pathological changes in the peripheral nerves in COVID-19 patients can develop as follows:
- Polyneuropathy as a result of coronavirus infection (including as a manifestation of a severe respiratory syndrome caused by coronavirus).
- The consequences of hospitalization (neuropathy associated with prolonged forced position, distal polyneuropathy).
- Secondary nerve pinching (for example, in relation to a hematoma against the anticoagulant therapy).
Lesions of the peripheral nervous system can be diagnosed using various main diagnostic methods such as the following:
- Functional study (electroneuromyography),
- Imaging (ultrasound (US) imaging and MRI). US imaging is currently the method of choice.
US imaging of peripheral nerves is used to solve a number of clinical problems including determining the localization and degree of damage to peripheral nerves, identifying the prevalence of pathological changes (such as whether only one peripheral nerve is affected or several nerves are involved simultaneously), and assessing the severity of denervation changes in muscles.
To date, no distinguishing visual characteristics of peripheral neuropathy have been confirmed in relation to COVID-19. Changes in the structure of peripheral nerves detected by US imaging in post-infectious peripheral neuropathy are nonspecific for an infectious agent and have the following symptoms:
- Increase in nerve cross section
- Loss of fascicular architecture,
- Decreased echogenicity.
Russian and international literary works describe cases of immune-mediated neuropathy (Guillain–Barré syndrome) in patients with coronavirus infection. COVID-19 patients are characterized by the subtype “acute inflammatory demyelinating polyneuropathy manifested by numbness of the upper and lower extremities and progressive weakness.” With timely diagnosis of the condition, prognosis is usually favorable [37, 39–41].
In polyneuropathies, including autoimmune neuropathies, nonspecific changes in the structure of peripheral nerves are also detected; an example is nerve thickening caused by thickening of nerve fibers in the composition of the nerve trunk, and a decrease in echogenicity. At the same time, differentiation into fibers and the clarity of the nerve contours are preserved (Fig. 8).
Fig. 8. Ultrasound examination of the tibial nerve in a patient with disimmune neuropathy illustrating nonspecific changes in the peripheral nerve structure. Transverse (a) and longitudinal (b) projections.
In COVID-19 patients, especially in the course of the disease, Parsonnage–Turner syndrome, which is an acute plexitis of the brachial plexus, can be diagnosed and has been found to be unilateral in 70% of cases [42–44].
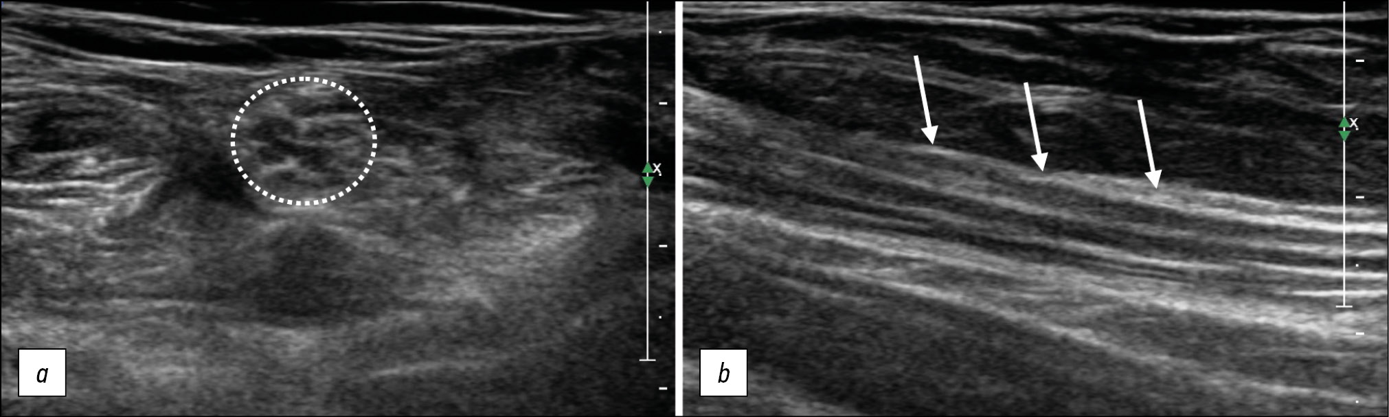
Characteristic changes in the structure of the brachial plexus, which are visible on US imaging and are characteristic of Parsonage–Turner syndrome, include thickening and decreased echogenicity of the ventral branches of the C5, C6, and C7 spinal nerves, the primary superior, and middle plexus trunks in the supraclavicular part of the plexus (Fig. 9).
Fig. 9. Ultrasound examination of Parsonage–Turner syndrome. Thickening of the ventral branches of the C5, C6, and C7 spinal nerves and the primary upper and middle trunks of the plexus (arrows). Longitudinal (a) and transverse (b) projections of the supraclavicular part of the brachial plexus.
Prolonged stay in a forced position by the patient during inpatient treatment can also lead to peripheral nerve damages, namely compressive neuropathy [45, 46].
Positional neuropathy is specific, due to the forced prone position of seriously ill patients. In 76% of cases, lesions of the nerves of the upper limb were recorded [47]. The prone position (patient lying on the stomach), which is recommended for patients with respiratory failure such as patients with lung damage due to coronavirus infection, is a risk factor for damage to the brachial plexus and ulnar nerve in the cubital canal [48–50]. Also, with prolonged prone position, the lateral cutaneous nerve of the thigh may be affected. Being overweight is a patient risk factor for this pathology.
Other peripheral nerves are less commonly affected in hospitalized patients [42]. The radial nerve can be compressed in the spiral canal with constant pressure of the pressure cuff. The median nerve can be damaged at the level of the carpal tunnel following prolonged hyperextension of the hand. The peroneal nerve may be subject to compression during prolonged forced non-physiological position of the knee joint (excessive flexion, position on one side, pressing the outer surface of the knee joint against a rigid surface).
Patients who undergo prolonged stay in intensive care units may develop distal polyneuropathy, or critical condition polyneuropathy, manifesting with flaccid tetraparesis. Patients from risk groups such as those with diabetes mellitus, chronic renal, hepatic, or heart failure, are especially susceptible to polyneuropathy [51].
Most hospitalized patients with coronavirus infection receive anticoagulant therapy [52], and therefore they have an increased risk of hematomas of various localizations; an example is post-injection hematomas in the gluteal region or in the cubital fossa. Hematomas can compress and/or disrupt the course of a peripheral nerve.
US imaging is a highly informative method for visualizing peripheral nerves, which enables changes to occur in nerve fiber structures in the course of compressive neuropathies.
Portable US devices are used for diagnostics in resuscitation departments, intensive care units, as well as in patients with limited mobility, who constantly receive oxygen support. Disease prognosis can be significantly improved with early diagnoses o compression neuropathies, and timely and adequate treatment.
Echography can help diagnose soft tissue hematomas and assess the severity of their impacts on nearby peripheral nerves.
DISCUSSION
The coronavirus pandemic will inevitably fade away and lose its relevance in clinical practice. However, the diverse post-COVID complications and the corresponding diagnostic methods will be of interest to physicians across various specialties for a long time. In this review, we have presented data from previous works of literature that highlight only a part of the problem, namely COVID-19 complications associated with the musculoskeletal and peripheral nervous systems. Hopefully, this topical issue will be further developed as additional data on the pathogenesis and course of this new viral infection become available.
CONCLUSION
Due to the staggering scale of the pandemic and the severe consequences of the coronavirus for some groups of patients, initial results of studies and hypotheses about the impacts of the new infection on the health of adults and elderly patients have already been published.
While COVID-19 generally refers to respiratory infections, doctors admit that the disease is multisystem. In other words, any organ of the body can be involved in the pathological process, and all doctors address its consequences ranging from the obvious pulmonologists to trichologists and psychiatrists.
Coronavirus has implications for the respiratory, cardiovascular, and urinary systems. After recovery from coronavirus, pain in the muscles and joints (myalgia and arthralgia, respectively) may persist. While these are mostly the residual effects after intoxication, manifestations of articular pathology are possible in coronavirus attacks.
Doctors have repeatedly noted mental disorders such as hallucinations in the elderly, prolonged hand tremors, changes in sensitivity of certain areas of the skin, and general nervousness in coronavirus patients.
Multidisciplinary teams of specialists, including doctors of various specialties and psychologists, should work with post-COVID patients. It is necessary to create such teams and make assistance available to all who seek it.
Hopefully, a deeper and more accurate understanding of the mechanisms of pathology in post-COVID syndrome will enable application of effective treatment methods that affect these mechanisms and can restore the health of a vast number of people in the foreseeable future.
ADDITIONAL INFO
Author contribution. All authors confirm that their authorship meets the international ICMJE criteria (all authors have made a significant contribution to the development of the concept, research and preparation of the article, read and approved the final version before publication).
Funding source. Not specified.
Competing interests. The authors declare that they have no competing interests.
Acknowledgements. The authors are grateful to Tatiana M. Andreeva for conducting a search of up-to-date actual data.
Consent for publication. Written consent was obtained from the patient for publication of relevant medical information and all of accompanying images within the manuscript.
About the authors
Natalia Yu. Matveeva
N.N. Priorov National Medical Research Center of Traumatology and Orthopedics
Email: nymatveeva@gmail.com
MD, Cand. Sci. (Med.), ultrasound diagnostics doctor
Russian Federation, MoscowEkaterina V. Makarova
N.N. Priorov National Medical Research Center of Traumatology and Orthopedics
Email: e_v_makarova@mail.ru
Russian Federation, Moscow
Nikolay A. Eskin
N.N. Priorov National Medical Research Center of Traumatology and Orthopedics
Author for correspondence.
Email: cito-uchsovet@mail.ru
ORCID iD: 0000-0003-4738-7348
SPIN-code: 1215-9279
MD, Dr. Sci. (Med.), professor
Russian Federation, MoscowTatiana V. Sokolova
N.N. Priorov National Medical Research Center of Traumatology and Orthopedics
Email: sokolovatv63@mail.ru
MD, Cand. Sci. (Med.), neurologist
Russian Federation, MoscowReferences
- who.int [Internet]. Coronavirus Disease (COVID-19) Pandemic. World Health Organization; 2020 Oct 30 [cited 2022 Feb 10]. Available from: https://www.who.int/emergencies/diseases/novel-coronavirus-2019
- Disser NP, De Micheli AJ, Schonk MM, et al. Musculoskeletal consequences of COVID-19. J Bone Joint Surg Am. 2020;102(14):1197–1204. doi: 10.2106/JBJS.20.00847
- Ghannam M, Alshaer Q, Al-Chalabi M, et al. Neurological involvement of coronavirus disease 2019: a systematic review. J Neurol. 2020;267(11):3135–3153. doi: 10.1007/s00415-020-09990-2
- Mao L, Jin H, Wang M, et al. Neurologic manifestations of hospitalized patients with coronavirus disease 2019 in Wuhan, China. JAMA Neurol. 2020;77(6):683–690. doi: 10.1001/jamaneurol.2020.1127
- Piotrowicz K, Gąsowski J, Michel JP, Veronese N. Post COVID 19 acute sarcopenia: physiopathology and management. Aging Clin Exp Res. 2021;33(10):2887–2898. doi: 10.1007/s40520-021-01942-8
- Heydari K, Lotfi P, Shadmehri N, et al. Clinical and paraclinical characteristics of COVID-19 patients: a systematic review and meta-analysis. Tabari Biomed Stu Res J. 2022;4(1):30–47. doi: 10.18502/tbsrj.v4i1.8772
- Nasiri MJ, Haddadi S, Tahvildari A, et al. COVID-19 clinical characteristics, and sex-specific risk of mortality: systematic review and meta-analysis. Front Med (Lausanne). 2020;7:459. doi: 10.3389/fmed.2020.00459
- Ciaffi J, Meliconi R, Ruscitti P, et al. Rheumatic manifestations of COVID-19: a systematic review and meta-analysis. BMC Rheumatol. 2020;4:65. doi: 10.1186/s41927-020-00165-0
- Ramani SL, Samet J, Franz CK, et al. Musculoskeletal involvement of COVID-19: review of imaging. Skeletal Radiol. 2021;50(9):1763–1773. doi: 10.1007/s00256-021-03734-7
- Hong N, Du XK. Avascular necrosis of bone in severe acute respiratory syndrome. Clin Radiol. 2004;59(7):602–608. doi: 10.1016/j.crad.2003.12.008
- Lippi G, Wong J, Henry BM. Myalgia may not be assotiated with severity of coronavirus disease 2019 (COVID-19). World J Emerg Med. 2020;11(3):193–194. doi: 10.5847/wjem.j.1920-8642.2020.03.013
- Wang D, Hu B, Hu C, et al. Clinical characteristics of 138 hospitalized patients with 2019 coronavirus-infected pneumonia in Wuhan, China. JAMA. 2020;323(11):1061–1069. doi: 10.1001/jama.2020.1585
- Huang C, Wang Y, Li X, et al. Clinical features of patients infected with 2019 novel coronavirus in Wuhan, China. Lancet. 2020;395(10223):497–506. doi: 10.1016/S0140-6736(20)30183-5
- Li LQ, Huang T, Wang YQ, et al. COVID-19 patients’ clinical characteristics, discharge rate, and fatality rate of meta-analysis. J Med Virel. 2020;92(6):577–583. doi: 10.1002/jmv.25757
- Lechien JR, Chiesa-Estomba CM, Place S, et al. Clinical and epidemiological characteristics of 1420 European patients with mild-to-moderate coronavirus disease 2019. J Intern Med. 2020;288(3):335–344. doi: 10.1111/joim.13089
- Cummings MJ, Baldwin MR, Abrams D, et al. Epidemiology, clinical course, and outcomes of critically ill adults with COVID-19 in New York City: a prospective cohort study. Lancet. 2020;395(10239):1763–1770. doi: 10.1016/S0140-6736(20)31189-2
- Zhu J, Zhong Z, Ji P, et al. Clinicopathological characteristics of 8697 patients with COVID-19 in China: a meta-analysis. Fam Med Community Health. 2020;8(2):e000466. doi: 10.1136/fmch-2020-000406 Erratum in: Correction: Clinicopathological characteristics of 8697 patients with COVID-19 in China: a meta-analysis. Fam Med Community Health. 2020;8(2):e000406corr1. doi: 10.1136/fmch-2020-000406corr1
- Huang C, Huang L, Wang Y, et al. 6-month consequences of COVID-19 in patients discharged from hospital: a cohort study. Lancet. 2021;397(10270):220–232. doi: 10.1016/S0140-6736(20)32656-8
- de Andrade-Junior MC, de Salles IC, de Brito CM, et al. Skeletal muscle wasting and functional impartment in intensive care patients with severe COVID-19. Front Physiol. 2021;12:640973. doi: 10.3389/fphys.2021.640973
- Soares MN, Eggelbusch M, Naddaf E, et al. Skeletal muscle alterations in patients with acute Covid-19 and post-acute secular of Covid-19. J Cachexia Sarcopenia Muscle. 2022;13(1):11–22. doi: 10.1002/jcsm.12896
- Paneroni M, Simonelli C, Saleri M, et al. Muscle strength and physical performance in patients without previous disabilities recovering from COVID-19 pneumonia. Am J Phys Med Rehabil. 2021;100(2):105–109. doi: 10.1097/PHM.0000000000001641
- Leung TW, Wong KS, Hui AC, et al. Myopathic changes associated with severe acute respiratory syndrome: a postmortem case series. Arch Neurol. 2005;62(7):1113–1117. doi: 10.1001/archneur.62.7.1113
- Mehan WA, Yoon BC, Lang M, et al. Paraspinal myositis in patients with COVID-19 infection. AJNR Am J Neuroradiol. 2020;41(10):1949–1952. doi: 10.3174/ajnr.A6711
- Beydon M, Chevalier K, Al Tabaa O, et al. Myositis is a manifestation of SARS-CoV-2. Ann Rheum Dis. 2021;80:e42. doi: 10.1136/annrheumdis-2020-217573
- Zhang H, Charmchi Z, Seidman RJ, et al. COVID-19 associated myositis with severe proximal and bulbar weakness. Muscle Nerve. 2020;62(3):E57–E60. doi: 10.1002/mus.2700
- Hoong CW, Amin MN, Tan TC, Lee JE. Viral arthralgia a new manifestation of COVID-19 infection? Int J Infect Dis. 2021;104:363–369. doi: 10.1016/j.ijid.2021.01.031
- Gasparotto M, Framba V, Piovella C, et al. Post-COVID-19 arthritis: a case report and literature review. Clin Rheumatol. 2021;40(8):3357–3362. doi: 10.1007/s10067-020-05550-1
- Parisi S, Borrelli R, Bianchi S, Fusaro E. Viral arthritis and COVID-19. Lancet Rheumatol. 2020;2(11):e655–e657. doi: 10.1016/S2665-9913(20)30348-9
- Zhang B, Zhang S. Corticosteroid-induced osteonecrosis in COVID-19: a case for caution. J Bone Miner Res. 2020;35(9):1828–1829. doi: 10.1002/jbmr.4136
- Napoli N, Elderkin AL, Kiel DP, Khosla S. Managing fragility fractures during the COVID-19 pandemic. Nat Rev Endocrinol. 2020;16(9):467–468. doi: 10.1038/s41574-020-0379-z
- Agarwala SR, Vijayvargiya M, Pandey P. Avascular necrosis as a part of ‘long COVID-19’. BMJ Case Rep. 2021;14(7):e242101. doi: 10.1136/bcr-2021-242101
- Sulewski A, Sieroń D, Szyluk K, et al. Avascular necrosis bone complication after COVID-19 infection: preliminary results. Medicina (Kaunas). 2021;57(12):1311. doi: 10.3390/medicina57121311
- Li YC, Bai WZ, Hashikawa T. The neuroinvasive potential of SARS-CoV2 may play a role in the respiratory failure of COVID-19 patients. J Med Virol. 2020;92(6):552–555. doi: 10.1002/jmv.25728
- Lahiri D, Ardila A. COVID-19 Pandemic: A Neurological Perspective. Cureus. 2020;12(4):e7889. doi: 10.7759/cureus.7889
- Xu XW, Wu XX, Jiang XG, et al. Clinical findings in a group of patients infected with the 2019 novel coronavirus (SARS-Cov-2) outside of Wuhan, China: retrospective case series. BMJ. 2020;368:m606. doi: 10.1136/bmj.m606
- Katona I, Weis J. Diseases of the peripheral nerves. Handb Clin Neurol. 2017;145:453–474. doi: 10.1016/B978-0-12-802395-2.00031-6
- Montalvan V, Lee J, Bueso T, et al. Neurological manifestations of COVID-19 and other coronavirus infections: a systematic review. Clin Neurol Neurosurg. 2020;194:105921. doi: 10.1016/j.clineuro.2020.105921
- Sindic CJ. Infectious neuropathies. Curr Opin Neurol. 2013;26(5):510–515. doi: 10.1097/WCO.0b013e328364c036
- Selitskii MM, Ponomarev VV, Vist EV, et al. Guillain-Barré syndrome, associated with COVID-19. Lechebnoe delo: nauchno-prakticheskii terapevticheskii zhurnal. 2021;(3):41–47. (In Russ).
- Sedaghat Z, Karimi N. Guillain Barre syndrome associated with COVID-19 infection: a case report. J Clin Neurosci. 2020;76:233–235. doi: 10.1016/j.jocn.2020.04.062
- Chaikovskaya AD, Ivanova AD, Ternovykh IK, et al. Guillain-Barré syndrome during the COVID-19 infection. Sovremennye problemy nauki i obrazovaniya. 2020;(4):164. (In Russ). doi: 10.17513/spno.29950
- Fernandoz CE, Franz CK, Ko JH, et al. Imaging review of peripheral nerves injuries in COVID-19. Radiology. 2021;298(3):E117–E130. doi: 10.1148/radiol.2020203116
- Mitry MA, Collins LK, Kazam JJ, et al. Parsonage-Turner syndrome associated with SARS-CoV2 (COVID-19) infection. Clin Imag-ing. 2021;72:8–10. doi: 10.1016/j.clinimag.2020.11.017
- Voss TG, Stewart CM. Parsonage-Turner syndrome after COVID-19 infection. JSES Rev Rep Tech. 2022;2(2):182–185. doi: 10.1016/j.xrrt.2021.12.004
- Kamel I, Barnette R. Positioning patients for spine surgery: Avoiding uncommon position-related complications. World J Orthop. 2014;5(4):425–443. doi: 10.5312/wjo.v5.i4.425
- Winfree CJ, Kline DG. Intraoperative positioning nerve injuries. Surg Neurol. 2005;63(1):5–18; discussion 18. doi: 10.1016/j.surneu.2004.03.024
- Abdelnour L, Eltahir Abdalla M, Babiker S. COVID-19 infection presenting as motor peripheral neuropathy. J Formos Med Assoc. 2020;119(6):1119–1120. doi: 10.1016/j.jfma.2020.04.024
- Malik GR, Wolfe AR, Soriano R, et al. Injury-prone: peripheral nerve injuries associated with prone positioning for COVID-19-related acute respiratory distress syndrome. Br J Anaesth. 2020;125(6):e478–e480. doi: 10.1016/j.bja.2020.08.045
- Le MQ, Rosales R, Shapiro LT, Huang LY. The down side of prone positioning: the case of a COVID-19 survivor. Am J Phys Med Rehabil. 2020;99(10):870–872. doi: 10.1097/PHM.0000000000001530
- Needham E, Newcombe V, Michell A, et al. Mononeuritis multiplex: an unexpectedly common feature of severe COVID-19. J Neurol. 2021;268(8):2685–2689. doi: 10.1007/s00415-020-10321-8
- Latronico N, Bolton CF. Critical illness polyneuropathy and myopathy: a major cause of muscle weakness and paralysis. Lancet Neurol. 2011;10(10):931–941. doi: 10.1016/S1474-4422(11)70178-8
- Al-Ani F, Chehade S, Lazo-Langner A. Thrombosis risk associated with COVID-19 infection. A scoping review. Thromb Res. 2020;192:152–160. doi: 10.1016/j.thromres.2020.05.039
Supplementary files












