Гетеротопическая оссификация как осложнение разрыва мышц у спортсменов
- Авторы: Миронов С.П.1,2, Федотова T.M.1,2, Берченко Г.Н.1,2
-
Учреждения:
- Центральный институт травматологии и ортопедии им. Н.Н. Приорова
- Центр спортивной, балетной травмы и реабилитации
- Выпуск: Том 4, № 2 (1997)
- Страницы: 43-48
- Раздел: Оригинальные исследования
- Статья получена: 24.04.2022
- Статья одобрена: 24.04.2022
- Статья опубликована: 15.06.1997
- URL: https://journals.eco-vector.com/0869-8678/article/view/106703
- DOI: https://doi.org/10.17816/vto106703
- ID: 106703
Цитировать
Полный текст
Аннотация
Авторы наблюдали 3 случая гетеротопической оссификации, развившейся после разрывов мышц нижних конечностей у футболистов — игроков команд высшей лиги. Описаны клиническая картина, результаты инструментальных исследований. Определены показания к оперативному лечению. Освещены особенности оперативного вмешательства и послеоперационного ведения больных. Все пациенты после проведенного хирургического лечения вернулись к прежним спортивным нагрузкам.
Ключевые слова
Полный текст
Гетеротопическая оссификация (образование кости в мягких тканях) является одним из осложнений травм опорно-двигательного аппарата, таких как ушиб мышц и суставов, растяжение связок, вывих конечности и др. В литературе сообщения об образовании оссификатов в мышце после ее растяжения или разрыва единичны [2, 3, 18]. Вместе с тем в спорте разрывы мышц являются одной из наиболее распространенных травм [10, 13, 16, 17], и осведомленность врача о возможности развития данного осложнения и способствующих этому факторах может помочь предупредить его и в конечном итоге свести к минимуму потерю спортивной трудоспособности.
Как известно, при разрыве мышцы наряду с повреждением мышечных волокон часто наблюдается той или иной степени повреждение внутримышечных кровеносных сосудов. Излившаяся из них кровь заполняет полость, образующуюся вследствие расхождения концов разорванных мышечных волокон, и проникает в окружающие ткани. В результате образуются внутри- или межмышечные гематомы [15]. Внутримышечные гематомы обычно ограничиваются неповрежденным мышечным футляром. Межмышечные гематомы находятся в межмышечном пространстве и распространяются в дистальном направлении. Чаще всего они довольно быстро рассасываются, но в некоторых случаях может произойти организация гематомы с последующей ее оссификацией.
Развитие костного образования в мягких тканях большинство авторов объясняют особой продуктивной реакцией соединительной ткани: клетки мезенхимы при определенных условиях могут дифференцироваться в остеобласты с формированием в дальнейшем костной ткани. Наличие кровоизлияния является наиболее сильным и частым раздражителем организма в этом отношении [2—4]. К. Франке [6] на основании личных наблюдений пришел к выводу, что решающую роль здесь играет значительное повреждение соединительнотканных элементов мышцы, пропитывание ее излившейся кровью и связанное с этим длительное раздражение периферических нервных окончаний. Если на это наслаивается неправильно проводимое лечение (в частности, применение в ранние сроки после травмы глубокого массажа и тепла), то в итоге рефлекторно наступает формирование костной ткани [3, 9]. По мнению А.А. Коржа [3], чаще после разрыва мышцы имеет место оссификация, развившаяся в самой мышце, в межмышечных и межфасциальных промежутках, в местах скопления рыхлой соединительной ткани и клетчатки, где при травмах возникают обширные гематомы. Эти оссифицирующиеся гематомы и являются гетеротопическими оссификатами.
Диагностика гетеротопической оссификации остается сложной задачей [8]. Одним из наиболее ранних признаков ее является ограничение амплитуды движений в дистальнее расположенном суставе [1], при пальпации определяются уплотнение, а также болезненность соответствующей мышцы. В последующем отмечается уменьшение силы конечности, появление периодических болей в месте бывшей травмы, т.е. симптоматика, свидетельствующая о снижении в какой-то степени функциональной способности мышцы [3]. Основное значение в диагностике имеет рентгенологическое исследование. По данным разных авторов [2, 3, 7, 18], оно позволяет выявить оссификацию в сроки от 16 дней до 5 нед после травмы. При этом для оссификатов, образовавшихся после повреждения мышцы вследствие ее внезапного сокращения, характерно расположение по ходу волокон с отрогами в межмышечных промежутках [3].
При морфологическом исследовании в очаге гетеротопической оссификации обнаруживаются различной степени зрелости костные трабекулы. «Функциональное устройство» остеоида и костных трабекул в сочетании с отсутствием признаков анаплазии в пролиферирующих клетках позволяет исключить остеосаркому.
Основной метод лечения при гетеротопической оссификации — хирургический, хотя имеются сообщения о положительном эффекте применения при небольших оссификатах рентгенотерапии [1] и фонофореза 2% раствора уксусной кислоты [19]. Среди показаний к оперативному лечению обычно называют: 1) ограничение движений в близлежащих суставах, обусловленное механическим препятствием; 2) боль вследствие сдавления или раздражения нервного ствола оссификатом; 3) значительные размеры оссификата при легком и неопасном хирургическом доступе к нему; 4) диагностически неясные случаи или подозрения на малигнизацию травматического оссификата [3, 5]. О.Ш. Буачидзе [2] относит к ним также снижение силы и атрофию мышц. Ряд авторов [4, 12] считают, что резкое нарушение функции конечности и постоянные боли при физической нагрузке у спортсменов, затрудняющие занятия спортом, являются абсолютным показанием к удалению оссификатов.
По мнению А.А. Коржа [3], О.Ш. Буачидзе [2], операцию следует проводить после полного созревания оссификата, т.е. через 2,5—3,5 мес после травмы. Другие авторы [11] оптимальным сроком для оперативного вмешательства считают 6—7-й месяц. Возникновение рецидивов после оперативного вмешательства они связывают с сохранением или возобновлением условий, благоприятствующих процессу оссификации. В свете этого необходимы тщательный гемостаз во время операции и дренирование операционной раны. D.H. O’Donoghue [14] рекомендует применять после операции гипсовую иммобилизацию в течение 6—8 нед.
Малочисленность работ по изучению гетеротопической оссификации после разрыва мышц у спортсменов побудила нас к проведению клинико-инструментального и патоморфологического исследования особенностей данной патологии и поиску оптимального метода лечения.
Материалы и методы исследования. В клинике спортивной и балетной травмы с 1991 по 1996 г. наблюдались 3 больных с гетеротопической оссификацией. Это были футболисты — игроки команд высшей лиги в возрасте от 19 до 23 лет. Все они получили непрямую травму во время игры в футбол в результате резкого форсированного растяжения сокращенной мышцы. Повреждение локализовалось у одного больного в области прямой головки четырехглавой мышцы бедра, у другого — в заднем отделе бедра и у третьего — в области приводящих мышц бедра. После получения травмы все трое пострадавших не смогли сразу продолжить спортивные занятия, но только одному из них из-за остро возникшей болевой контрактуры в коленном суставе была оказана первая помощь: иммобилизация конечности гипсовой лонгетой и аппликация холода. Через сутки после травмы у всех пациентов имелись острая боль в области повреждения и отек. Несмотря на это один пострадавший продолжал спортивные занятия, снизив их интенсивность и объем, в течение 1,5 мес и лишь по прошествии этого времени в связи с сохранявшимися болями прошел курс консервативного лечения, включавший ультразвуковую терапию, парафиновые аппликации, упражнения на растяжение, внутримышечные инъекции «неотона». Двое других пациентов сразу после травмы получили физиотерапевтическое лечение, массаж, инъекции в область повреждения лекарственных препаратов (румалон, кеналог, амбене и др.). После проведенного лечения у них наступило улучшение, но при возобновлении тренировок боли вновь усилились.
В нашу клинику больные обратились через 3—5 мес после травмы. Основными жалобами при поступлении были чувство дискомфорта в месте травмы, боли при физической нагрузке, слабость поврежденной ноги. Одного пациента беспокоило ощущение натяжения в области повреждения.
Патогномоничными для данного осложнения клиническими симптомами являлись гипотрофия мышц бедра, наличие подвижного, умеренно болезненного уплотнения различной протяженности в области повреждения, незначительное снижение силы травмированной конечности. Рентгенологическое исследование и проведенная у 2 больных компьютерная томография позволили выявить оссификаты разной протяженности. На ультрасонограммах в месте их расположения определялся гиперэхогенный участок с теневой дорожкой за ним, что указывало на наличие оссификата. Двум больным для оценки степени зрелости оссификата было проведено радионуклидное исследование по методике, предложенной СП. Мироновым и соавт. (а.с. № 1017304-А, 1983). Относительный коэффициент накопления радиофармпрепарата в области повреждения составил 1,5, что свидетельствовало о созревании оссификата.
Клинические анализы крови у всех пациентов были в пределах нормы, при биохимическом исследовании крови у 2 больных обнаружено снижение уровня альбуминов до 44% и повышение содержания гамма-глобулинов до 33%.
Показанием к оперативному вмешательству мы считали наличие у пациентов ощущения дискомфорта и боли при физических нагрузках, снижение силы травмированной ноги, ограничивающие спортивную трудоспособность, молодой возраст больных и их профессиональное занятие спортом, зрелость оссификата (срок после травмы более 3 мес). Так как существующие методы консервативного лечения обычно применяются при небольших размерах оссификатов, в случае их незрелости, то использование консервативного лечения у наших больных мы считали нецелесообразным.
Операцию выполняли под проводниковой или общей анестезией. Важным считали тщательное выделение оссификатов, полное их удаление, осуществление по показаниям пластики мягких тканей, тщательный гемостаз и дренирование операционной раны.
Во время оперативного вмешательства у 2 больных была обнаружена оссифицирующаяся гематома. В одном случае она локализовалась в заднем отделе бедра и располагалась между двуглавой и полусухожильной мышцами, в другом — в паховой области, под местом мышечно-сухожильного соединения длинной приводящей мышцы бедра. У третьего больного оссификат располагался в толще прямой головки четырехглавой мышцы бедра. Все три препарата были направлены на морфологическое исследование.
В послеоперационном периоде большое значение придавали созданию условий, препятствующих повторному кровоизлиянию и воспалению в области хирургического вмешательства. С этой целью в ближайшие дни после операции больным назначали строгий постельный режим. С первого дня проводили лекарственную терапию: индометацин по 1 таблетке 3 раза в день в течение 3 нед, альфа-химотрипсин по 5 мг внутримышечно 2 раза в неделю (всего 10 инъекций). Ежедневно делали перевязки с аппликацией вокруг шва гепариновой мази. С 6-го дня после операции назначали выполнение активных движений в близлежащих суставах («в пределах боли») 3 раза в день по 10—15 мин в медленном темпе. После снятия швов и контрольного клинического и ультразвукового (для исключения гематомы в области оперативного вмешательства) обследования приступали к восстановительному лечению. Оно заключалось в занятиях лечебной гимнастикой в зале лечебной физкультуры и на первом этапе было направлено на восстановление эластичности мышцы, а на втором — ее силы.
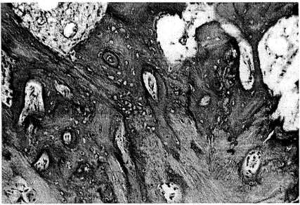
Рис. 1. Гетеротопическая кость, по строению близкая к кортикальной кости, отличающаяся незрелостью, неравномерным обызвествлением и расположением остеоцитов, отсутствием линий склеивания. Здесь и на рис. 2: окраска гематоксилином и эозином. Ув. 100.
Результаты. Примененные инструментальные методы оказались высокоинформативными в диагностике гетеротопических оссификатов, что подтверждено патоморфологическим исследованием.
К спортивным нагрузкам пациенты приступили в среднем через 6 нед после операции. Отдаленные результаты лечения оценены в сроки от 1 года до 3 лет. Из бесед с больными выяснено, что все они вернулись в спорт и выступают за команды высшей лиги. Жалоб на боли в области оперативного вмешательства нет. При клиническом и инструментальном обследовании данных, свидетельствующих о рецидиве, не получено.
В качестве примера приводим одно из наблюдений.
Рис. 2. Незрелая гетеротопическая кость. Видны отдельные линии склеивания извилистого характера.
Больной Д., 23 лет, мастер спорта по футболу, игрок команды высшей лиги. Поступил в клинику с жалобами на боли в левой паховой области при резких движениях. За 3 мес до этого перенес травму: на тренировке во время удара по мячу внутренним отделом левой стопы получил встречный удар, в результате чего нога была резко отведена, возникла боль в паховой области. На следующий день развился отек бедра.. Лечился физиопроцедурами, массажем с кратковременным эффектом. При возобновлении тренировок боли усилились.
Клинически: при пальпации отмечается болезненность в области проксимального сухожильно-мышечного соединения длинной приводящей мышцы левого бедра, определяется участок уплотнения тканей в этой области размером 1,5 × 1 см. Попытка приведения с сопротивлением отведенной и согнутой в коленном суставе ноги сопровождается усилением боли. Рентгенологически выявляется оссификат в области левой лонной кости 2,5 × 1 см. Ультразвуковое сканирование: наличие гиперэхогенного участка в левой паховой области с теневой дорожкой за ним. Радионуклидное исследование: очаг гиперфиксации радиофармпрепарата в проекции левой лонной кости, относительный коэффициент равен 1,5. При биохимическом исследовании крови выявлено снижение уровня альбуминов до 44,2% и повышение уровня гаммаглобулинов до 33,2%. Электронейромиографическое исследование показало умеренное снижение произвольной био-электрической активности длинной приводящей мышцы левого бедра. Диагноз: гетеротопическая оссификация в левой паховой области.
Во время оперативного вмешательства обнаружены рубцовые изменения в области проксимального сухожильно-мышечного соединения длинной приводящей мышцы бедра. Рубцы иссечены. Под ними найдены три оссификата: один размером 2×1 и два — 1 × 0,8 см, которые удалены.
При морфологическом исследовании гетеротопических оссификатов выявлена в основном незрелая новообразованная кость с неполноценной архитектоникой: пластинчатое строение отсутствует, каналы кости отличаются разнонаправленной ориентацией, остеоциты распределены неравномерно (рис. 1). Линии склеивания малочисленны, имеют неровный, ломаный характер, межклеточный матрикс кости окрашивается неравномерно (рис. 2), в межбалочных пространствах рыхлая клеточно-волокнистая ткань с избыточным содержанием сосудистых элементов. Поверхность кости неровная, часто обнаруживаются лакуны резорбции, содержащие остеокласты и гистиоциты. Вблизи новообразованной кости в элементах соединительнотканных волокон выявляются разрозненные, малодифференцированные клеточные элементы мезенхимального происхождения, которые, повидимому, постепенно превращаются в хрящевые и костные клетки, поскольку именно в этих участках наблюдается активное образование и обызвествление гетеротопической кости.
Послеоперационный период протекал без особенностей. Больной получал индометацин в таблетках в течение 3 нед, делались перевязки с аппликацией гепариновой мази вокруг шва. После снятия швов проведен курс восстановительного лечения. К тренировкам пациент приступил через 6 нед после операции. Осмотрен через 6 и 12 мес: жалоб нет, пальпация длинной приводящей мышцы бедра и приведение бедра с сопротивлением безболезненны. При ультразвуковом и рентгенологическом обследовании патологических изменений не обнаружено. Результат лечения расценен как хороший.
Заключение. Гетеротопическая оссификация после разрыва мышц у спортсменов встречается нечасто, но приводит к значительному снижению спортивной работоспособности. Процессу оссификации способствуют запоздалое начало лечения полученного повреждения, а также неадекватное лечение (применение в ранние сроки после травмы массажа, тепловых физиотерапевтических процедур, инъекций в область разрыва мышцы некоторых лекарственных препаратов — румалона, кеналога и др.). Патогномоничными для данного осложнения клиническими симптомами являются гипотрофия мышц поврежденного сегмента конечности, наличие подвижного, умеренно болезненного уплотнения различной протяженности в области повреждения, снижение силы травмированной конечности. Больные обычно жалуются на боли при физической нагрузке и слабость травмированной конечности. Информативными инструментальными методами обследования являются рентгенологический, компьютерно-томографический, ультрасонографический. Патогистологически оссификаты представляют собой различной степени зрелости костные образования с неполноценной архитектоникой. При неэффективности консервативного лечения, а также в случаях, когда после травмы прошло 3 мес и более, показано оперативное вмешательство. Производится иссечение оссификата и при необходимости — пластика мягких тканей. Большое значение имеют тщательный гемостаз и дренирование операционной раны. Для предупреждения повторной оссификации важно создание покоя конечности после операции, применение индометацина и препаратов, способствующих резорбции послеоперационной гематомы. При соблюдении этих условий повторной оссификации не наблюдается и пациенты возвращаются к прежним спортивным нагрузкам.
Об авторах
С. П. Миронов
Центральный институт травматологии и ортопедии им. Н.Н. Приорова; Центр спортивной, балетной травмы и реабилитации
Автор, ответственный за переписку.
Email: info@eco-vector.com
Россия, Москва; Москва
T. M. Федотова
Центральный институт травматологии и ортопедии им. Н.Н. Приорова; Центр спортивной, балетной травмы и реабилитации
Email: info@eco-vector.com
Россия, Москва; Москва
Г. Н. Берченко
Центральный институт травматологии и ортопедии им. Н.Н. Приорова; Центр спортивной, балетной травмы и реабилитации
Email: info@eco-vector.com
Россия, Москва; Москва
Список литературы
- Белозер В.И., Константинов К.М., Ефимов А.Т. //Ортопед. травматол. — 1989. — N 1. — С. 56—57.
- Буачидзе О.Ш. //Ошибки и осложнения при лечении повреждений и заболеваний опорно-двигательного аппарата. — М., 1978. — С.53—56.
- Корж А.А. Гетеротопические травматические оссификации. — М., 1963. — С. 106—111.
- Миронова З.С., Малова М.Н., Баднин И.А. Хроническая микротравма мышц, сухожилий и костной ткани (клинико-функциональные изменения и лечение): Метод. рекомендации. — М., 1985.
- Садыхов А.Г., Гамидов Э.М., Абдулаев Н.М. //Труды Бакинского научно-исследовательского института травматологии и ортопедии. — Баку, 1976. — С. 92—101.
- Франке К. Спортивная травматология. — М., 1981.
- Bowerman J.W. Radiology and injury in Sport. — New York, 1977.
- Cushner F.D., Morwessel R.M. // Rev. Orthop. Traum. — 1992. — Vol. 21, N 11. — P. 1319—1326.
- Danchik I.I., Yochum T.R., Aspegren D.D. //J. Manipul. Phys. Ther. — 1993. — Vol. 16, N 9. — P. 605—614.
- Glick J.M. //Phys. Sports Med. — 1980. — N 8. — P. 73—77.
- Hait G., Boswick J.A., Stone N.H. //J. Trauma. — 1970.— Vol. 10, N 5. — P. 405—411.
- Kulund D.N. The injured athlete. — Philadelphia, 1985.
- Noonan T.J., Best T.M., Seaber A.V., Garrett W.E. //Am.J. Sports Med. — 1994. — Vol. 22, N 2. — P. 257—261.
- O’Donoghue D.H. Treatment of injuries to athletes. — New York, 1976.
- Peterson L., Renstrom P. Sports injuries. Their prevention and treatment. — London, 1992.
- Reddy A.S., Noonan T.J., Reedy M.K. //Transaction of the Annual Meeting of the Orthopaedic Research Society. — 1992. — Vol. 17. — P. 517.
- Salter R.B. Textbook of Disorders and Injuries of the Musculo-Sceletal System. — Baltimore, 1970.
- Tredget T., Goldberson C.V., Bose B. //J. Canad. Med. Ass. — 1977. — Vol. 116, N 1. — P. 65—66.
- Wieder D.L. //Phys. Ther. — 1992. — Vol. 72, N 2. — P. 133—137.
Дополнительные файлы




