Discography in lumbar scheuermann’s disease
- 作者: Korzh N.A.1, Gruntovskiy G.K.1, Kolesnichenko V.A.1
- 
							隶属关系: 
							- Kharkiv Institute of Orthopedics and Traumatology. M.I. Sitenko
 
- 期: 卷 4, 编号 3 (1997)
- 页面: 26-31
- 栏目: Original study articles
- ##submission.dateSubmitted##: 29.05.2022
- ##submission.dateAccepted##: 29.05.2022
- ##submission.datePublished##: 29.07.1997
- URL: https://journals.eco-vector.com/0869-8678/article/view/108313
- DOI: https://doi.org/10.17816/vto108313
- ID: 108313
如何引用文章
全文:
详细
Between 1988 and 1996 102 patients with Scheuermann’s disease were observed in Kharkov Institute of Orthopaedics and Traumatology named after M.I. Sitenko. In 40 of those patients (5 women,35 men), aged 16-30, discography was carried out including functional discography in 17 patients. Discography was performed by generally accepted method. On the base of data obtained the classification of discogram types in lumbar Scheuermann’s disease is suggested: I. Intradiscal type of contrast matter disposition: 1) intradiscal displacement of nucleus pulposus; 2) protrusion of intervertebral disc; 3)hernia of intervertebral disc; 4) protrusion of the end-plate of the vertebral body - it is one of the specific discographic signs of lumbar Scheuermann’s disease and is characterized by slight degeneration of nucleus pulposus. II. Transdiscal type of contrast matter disposition - it is specific for lumbar Scheuermann’s disease and reflects the degeneration of the intervertebral disc: 1) extralaminar type (it was observed in segments with the anterior ring apophysis separation and was characterized by the prolapse of nucleus pulposus between the anterior ring apophysis and anterior vertebral body angle. 2) translaminar type (it was observed when contrast matter penetrated into the underlying vertebral body structures through the damaged end-plate. Authors reach the conclusion that in some cases discography is the most preferable method to examine the functional and structural state of the intervertebral disc.
全文:
Остеохондропатию грудного отдела позвоночника рентгенологически характеризуют фиксированный кифоз, клиновидная деформация не менее 5° трех центральных смежных позвонков на вершине кифоза — критерий Sorenson [45] и грыжи Шморля; определяются изменения замыкательных пластинок в виде их многоконтурности и разволокнения, а также уменьшение межтеловых промежутков. В поясничном отделе позвоночника фиксированный кифоз наблюдается менее чем у трети больных, а изменения формы тел позвонков отличаются большей вариабельностью. Эти изменения характеризуются клиновидной деформацией тел позвонков («чисто» клиновидные позвонки и клиновидные позвонки с относительным увеличением переднезаднего размера тела) и нарушением конфигурации их субхондральных зон (протрузии замыкательных пластинок тел позвонков, грыжи Шморля, отделение переднего апофиза тела позвонка, позвонки со сложной конфигурацией тел). Течение поясничной остеохондропатии отличается упорным болевым синдромом и разнообразием клинических вариантов. В связи с этим изучение структурно-функционального состояния межпозвонковых дисков у больных с поясничной остеохондропатией приобретает особую актуальность. Несмотря на наличие в арсенале исследователей таких эффективных методов, как магнитно-резонансная томография и компьютерная томография, в ряде случаев оценить состояние межпозвонковых дисков можно лишь с помощью дискографии.
Материал и методы исследования.
В клинике вертебрологии Харьковского института ортопедии и травматологии им. М.И. Ситенко за период с 1988 по 1996 г. наблюдались 102 пациента с поясничной остеохондропатией. Из них у 40 (5 женщин и 35 мужчин в возрасте 16—30 лет) была выполнена дискография.
Дискографию производили в операционной с соблюдением всех правил асептики и антисептики. Для обезболивания применяли нейролептаналгезию в сочетании с электроаналгезией. Исследование выполняли в положении больного на животе. Под живот для устранения поясничного лордоза подкладывали валик. Производили анестезию кожи. Пункцию дисков осуществляли чрезменингеальным, параменингеальным, а также латеральным доступами. По ходу доступа инъецировали мягкие ткани растворами анестетиков. Пункцию дисков выполняли под контролем электронно-оптического преобразователя. При интраоперационной пункции дисков иглу вводили парамедиально в центр исследуемого диска.
В качестве контрастного вещества использовали концентрированные растворы омнипака, верографина, триомбраста. Контрастное вещество вводили дробными дозами по 0,2 мл и затем выполняли рентгенографию в переднезадней и боковой проекциях. Иглу удаляли только после интерпретации дискограмм, так как через постинъекционный канал контрастное вещество может выйти за пределы диска, создав ложную картину его разрыва.
Число межпозвонковых дисков, подлежащих исследованию, определяли на основании предварительного клинико-рентгенологического обследования больных. В момент исследования выяснялось также состояние дисков в смежных сегментах.
Для оценки функционально-структурного состояния межпозвонковых дисков и выбора адекватной лечебной тактики у 17 пациентов была проведена функциональная дискография (выполнение функциональных рентгенограмм у больных с инъецированными дисками). Такая методика, на наш взгляд, предпочтительнее MP-томографии, которая характеризует степень биохимической дегенерации межпозвонковых дисков [41, 47].
После дискографии всем больным назначали строгий постельный режим в течение 2 сут, в первые сутки применялись обезболивающие средства.
Результаты.
В общей сложности у 40 обследованных методом дискографии больных были контрастированы 132 поясничных межпозвонковых диска. Исследование дисков проводилось при всех вариантах нарушения формы тел поясничных позвонков. Из 132 контрастированных дисков «заинтересованными», т.е. смежными с телом пораженного позвонка, оказались 108 (81,8%).
Полученные в результате контрастирования межпозвонковых дисков сведения легли в основу предлагаемой классификации типов дискограмм при поясничной остеохондропатии. При составлении классификации определяющим было наличие (или отсутствие) проникновения студенистого ядра диска за пределы смежных анатомических образований.
Существует классификация типов дискограмм для оценки функционального состояния межпозвонковых дисков при поясничном остеохондрозе [1], когда превалируют дистрофические изменения в студенистом ядре и фиброзном кольце и не отмечается видимых нарушений целости замыкательных пластинок тел позвонков. М.А. Adams и соавт. [3] разработали на трупном материале модель стадий дегенерации межпозвонковых дисков. Ими отмечено, что при деформации и слабости замыкательных пластинок тел позвонков (по сравнению с фиброзным кольцом) при форсированном введении контрастного вещества последнее располагается прямо под замыкательной пластинкой, не задерживаясь между студенистым ядром и фиброзным кольцом. Однако упомянутые классификации [1, 3] не отражают состояние дисков при поясничной остеохондропатии, когда имеются выраженные дистрофические изменения в субхондральной зоне тел позвонков с наличием видимых на стандартных спондилограммах дефектов гиалиновых пластинок.
Классификация типов дискограмм при поясничной остеохондропатии
- Внутридисковый тип расположения контрастного вещества
- Внутридисковое перемещение студенистого ядра
- Протрузия межпозвонкового диска
- Грыжа межпозвонкового диска
- Протрузия замыкательной пластинки тела позвонка
- Чрездисковый тип расположения контрастного вещества
- Внеламинарный
- Трансламинарный
Прежде всего нам представляется необходимым остановиться на нормальной дискографической картине. В норме видна только тень студенистого ядра, занимающая не более 1/3 диаметра диска. Существенное значение имеет также толщина фиброзного кольца: на переднезадней дискограмме она, как правило, одинакова с обеих сторон, тогда как в боковой проекции фиброзное кольцо спереди вдвое толще, чем сзади [2]. Емкость здорового поясничного диска составляет не более 0,5 мл [23, 27]. А.И. Осна [2] отмечает увеличение емкости диска на 0,3— 0,5 мл при интраоперационной дискографии, когда больной находится под наркозом, и объясняет это снижением внутридискового давления вследствие релаксации паравертебральных мышц. Инъецирование здорового диска, как правило, не сопровождается болевым синдромом.
Внутридисковый тип расположения контрастного вещества
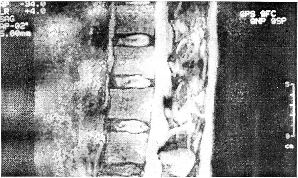
При внутридисковых перемещениях студенистого ядра определялось незначительное увеличение емкости диска, которая составляла 1,0 (±0,2—0,3) мл. Введение контрастного вещества в диск провоцировало поясничную боль средней интенсивности. Нуклеарная тень занимала не менее половины диаметра диска и выглядела фрагментированной, с наличием трещин, идущих от центральной тени к периферии диска (см. рис. 1).
Рис. 1. Внутридисковые перемещения студенистого ядра L3—4 диска.
Протрузии нижних замыкательных пластинок L4, L5 позвонков.
Внутридисковые перемещения студенистого ядра отмечались, как правило, у пациентов до 20 лет.
При протрузиях межпозвонковых дисков дискограмма характеризовалась наличием тени студенистого ядра и в ряде случаев участков фиброзного кольца, выступающей в полость позвоночного канала (см. рис. 2,3). Емкость диска достигала 1,5—1,8 мл; введение контрастного вещества сопровождалось поясничной и отраженной болями, причем у 3 пациентов — в контралатеральной нижней конечности.
Рис. 2. Протрузия L4—5 диска.
Рис. 3. Протрузия L3—4 диска.
Дискографическая картина при подсвязочных и чрессвязочных разрывах межпозвонковых дисков была различной. Тень контрастного вещества при подсвязочных грыжах располагалась как в самом диске, так и вне его, принимая самые разнообразные формы в зависимости от патоморфологических изменений. Наиболее часто наблюдались конусовидная тень, а также тень в форме песочных часов (см. рис. 4).
Рис. 4. Подсвязочные- грыжи L4—5, L5—S1 дисков.
Емкость диска превышала 1,5 мл, достигая в отдельных случаях 2 мл (большего количества контрастного вещества мы не вводили). Введение контрастного вещества сопровождалось появлением боли в нижней конечности.
При чрессвязочных разрывах диска определялось эпидуральное распространение контрастного вещества с контурированием грыжевого выпячивания (см. рис. 5).
Рис. 5. Чрессвязочная грыжа L4—5 диска, грыжа Шморля L4 позвонка.
Данное клиническое наблюдение относится к 1988 г., в дальнейшем мы отказались от контрастирования грыж межпозвонковых дисков, так как экстравазация контрастного вещества в позвоночный канал затрудняет интерпретацию дискограмм. Для диагностики этих состояний предпочтительна MP-томография, которая также позволяет дифференцировать подсвязочные и секвестрированные грыжи дисков [7, 26, 29, 42]. В таких ситуациях мы исследовали (как правило, интраоперационно) смежные диски для определения их структурно-функционального состояния, чтобы уточнить объем выполняемой операции и тактику реабилитационного лечения в ближайшем и отдаленном послеоперационном периоде.
При составлении данной классификации мы прежде всего учитывали выявленные при контрастировании межпозвонковых дисков больных с поясничной остеохондропатией перемещения элементов диска через поврежденные замыкательные пластинки в тела позвонков — в отличие от перемещений диска в сторону позвоночного канала, наблюдавшихся у больных с дистрофическими заболеваниями поясничного отдела позвоночника.
Протрузии замыкательных пластинок — один из специфических дискографических признаков поясничной остеохондропатии, характеризующейся незначительной дегенерацией студенистого ядра. Выступающий фрагмент последнего вплотную прилегал к вдавленной им в тело позвонка замыкательной пластинке, не проникая за ее пределы (см. рис. 1 и 6). В 5 случаях отмечалось контрастирование прилежащего участка замыкательной пластинки. Емкость диска не превышала 1 мл; его инъецирование было безболезненным.
Рис. 6. Протрузии замыкательных пластинок тел L2, L3 позвонков.
Мы располагаем 51 наблюдением протрузии замыкательных пластинок тел позвонков: протрузии верхних замыкательных пластинок зарегистрированы в 27 (52,9%) случаях, нижних — в 9 (17,7%), обеих замыкательных пластинок — в 15 (29,4%).
Чрездисковый тип расположения контрастного вещества
Все варианты дискограмм, относящиеся к чрездисковому типу расположения контрастного вещества, являлись специфическими для поясничной остеохондропатии и отражали диффузную дегенерацию межпозвонкового диска (см. рис. 7).
Рис. 7. Диффузная дегенерация межпозвонковых дисков при поясничной остеохондропатии.
Внеламинарный тип дискограмм наблюдался в сегментах, где имело место отделение переднего апофиза от тела позвонка, и характеризовался выпадением студенистого ядра диска между несросшимся передневерхним апофизом и передневерхним углом тела позвонка. Нуклеарная тень представляла собой протянувшуюся вдоль краниальной поверхности тела позвонка гомогенную полосу шириной 2— 3 мм. В 8 случаях отмечалось контрастирование фрагментов фиброзного кольца. Высота межтелового промежутка оказалась сниженной практически на всех дискограммах (см. рис. 8). Емкость диска составляла не менее 1,5—1,8 мл; введение контрастного вещества не сопровождалось появлением боли.
Рис. 8. Внеламинарный тип дискограмм сегментах L3—4, L4—5.
Трансламинарный тип дискограмм характеризовался проникновением контрастного вещества через поврежденную замыкательную пластинку в подлежащие структуры тела позвонка. В зависимости от глубины его проникновения трансламинарный тип был подразделен на субламинарный и внутриспонгиозный типы.
Субламинарный тип диСкограмм регистрировался в позвоночных сегментах с «чисто» клиновидными позвонками и позвонками с относительным увеличением переднезаднего размера тела. На дискограмме определялось контрастирование всех элементов диска с затеканием контрастного вещества под замыкательную пластинку через ее трещины и разрывы. Затекание контрастного вещества носило локальный характер и выявлялось как гомогенная линейная тень длиной не более 4—5 мм. Как правило, контрастировался прилежащий участок замыкательной пластинки. Отмечалось умеренное снижение высоты межтеловых промежутков (см. рис. 9). Емкость диска составляла 1,0—1,5 мл; его инъецирование сопровождалось поясничной болью средней интенсивности.
Рис. 9. Субламинарный тип дискограмм (контрастирование нижних замыкательных пластинок тел L2, L3 позвонков).
На дискограммах внутриспонгиозного типа отмечалось заполнение контрастным веществом грыж Шморля, т.е. дефектов спонгиозной ткани тела позвонка (см. рис. 10).
Рис. 10. Внутриспонгиозный тип дискограмм (грыжи Шморля L2, L4 позвонков).
В 17 случаях контрастное вещество не выходило за пределы склеротической каймы вокруг грыж Шморля. Остальные 5 случаев демонстрировали дальнейшее продвижение контрастного вещества в глубь тела позвонка на 2—5 мм. Мы располагаем также двумя наблюдениями внутриспонгиозного пролабирования студенистого ядра без признаков грыжи Шморля на стандартных спондилограммах (см. рис. 5 и 11). Емкость диска составляла 1,0—1,8 мл. Введение контрастного вещества не сопровождалось болью. Высота межтеловых промежутков была умеренно снижена.
Рис. 11. Тело L4 позвонка без рентгенологических признаков грыжи Шморля.
Обсуждение.
Состояние межпозвонковых дисков при остеохондропатии позвоночника — один из ключевых вопросов патогенеза заболевания. Однако, несмотря на более чем 70- летнюю историю изучения, многие моменты этиологии и патогенеза болезни Шейермана до настоящего времени неясны.
Причинами, вызывающими пролабирование студенистого ядра диска в подлежащую губчатую кость тела позвонка, считаются ортостатическое положение [48], микротравмы и ежедневные физиологические нагрузки [39], повторяющиеся микротравмы в период роста [28], острая травма [30, 44, 46]. Основной фактор в формировании грыж Шморля — изменения замыкательных пластинок тел позвонков в виде их истончения и микротрещин как результат инволютивных процессов в редуцированных спинной хорде и кровеносных сосудах с развитием вокруг последних васкулярной резорбции тканей [9], имеющие врожденный характер [39] или наследственно обусловленные, связанные с нарушением агрегации коллагена [5]. По данным Н. Paajanen и соавт. [34], при грудопоясничной и поясничной остеохондропатии отмечается существенная корреляция между дегенеративными изменениями дисков, грыжами Шморля и снижением высоты межтеловых промежутков, тогда как связи между дегенеративными изменениями в дисках и изменениями замыкательных пластинок не выявлено. С другой стороны, R.S. Hilton и соавт. [22] при исследовании на трупных позвонках установлена высокая сочетаемость дегенеративных изменений в дисках и микроповреждений замыкательных пластинок тел позвонков.
При поясничной остеохондропатии дегенеративные изменения в межпозвонковых дисках выявляются как при дискографии [38], так и на МР-томограммах [35]. Учитывая, что в ряде случаев характер структурно-функциональных изменений в диске имеет принципиальное значение для выбора лечебной тактики, следует уточнить показания к применению методов рентгенологического обследования.
Снижение интенсивности Т2 параметра МР- сигнала отражает биохимическую дегенерацию межпозвонкового диска, указывая на уменьшение содержания протеогликанов и дегидратацию студенистого ядра [41, 47]. В связи с этим MP-томография является наиболее чувствительным методом определения начинающейся дегенерации диска [16, 17, 24, 33, 35, 36, 40]. Между тем широкое применение этого метода поставило перед исследователями новые вопросы. Еще в 1989 г. Н. Paajanen и соавт. [35] отметили, что в ряде случаев сложно интерпретировать данные MP-томографии как дегенеративные изменения в диске или только как начало физиологических возрастных изменений. Иногда MP-томография дает ложноположительный результат [8, 25, 37]. С другой стороны, не менее часты и ложноотрицательные результаты, когда при дискографии выявляются дегенеративные изменения тех межпозвонковых дисков, которые на МР-томограммах выглядели здоровыми [6, 11, 18]. Кроме того, MP-сигнал, особенно Т2 параметр, может стимулировать компрессию нервных корешков [7].
Идеальным является использование МР-томографии для контроля за эффективностью консервативного лечения, а также сразу же после оперативного вмешательства. Контрольное MP-исследование нужно проводить не ранее чем через 6—8 нед после начала консервативного лечения, когда определяется достоверное уменьшение грыжевого выпячивания [12—15]. Кроме того, этот метод позволяет дифференцировать подсвязочные и секвестрированные грыжи дисков [26, 29, 42], что принципиально важно при выполнении хемонуклеолиза и чрескожной нуклеотомии.
Для диагностики разрывов фиброзного кольца предпочтительной является дискография [4, 20, 32]. Результат этого исследования считается положительным, если наряду с дискографическими признаками дегенерации диска при инъецировании его отмечается появление поясничной или отраженной боли. Отсутствие репродукции боли расценивается как ложноположительный результат [43, 50]. При повреждении только наружной порции фиброзного кольца возможен ложноотрицательный результат.
При слабости замыкательных пластинок (вследствие их истончения и деформации) по сравнению с фиброзным кольцом контрастное вещество локализуется под замыкательной пластинкой, не проникая в фиброзное кольцо [3]. При небольших по размеру грыжах дисков, вызывающих смещение или натяжение корешка нерва, возникают «химические радикулиты» вследствие истечения ирритатов из пульпозного ядра через разрывы в фиброзном кольце. В таких ситуациях возможна экстравазация контрастного вещества [31].
У больных с клинической картиной грыжи межпозвонкового диска, а также при наличии нейрогенной хромоты оптимальным является применение миелографии в сочетании с компьютерной томографией [19, 21, 49]. Применения только компьютерной томографии, по мнению S.W. Wiesel и соавт. [51], для диагностики недостаточно.
作者简介
N. Korzh
Kharkiv Institute of Orthopedics and Traumatology. M.I. Sitenko
							编辑信件的主要联系方式.
							Email: info@eco-vector.com
				                					                																			                												                	俄罗斯联邦, 							Kharkiv						
G. Gruntovskiy
Kharkiv Institute of Orthopedics and Traumatology. M.I. Sitenko
														Email: info@eco-vector.com
				                					                																			                												                	俄罗斯联邦, 							Kharkiv						
V. Kolesnichenko
Kharkiv Institute of Orthopedics and Traumatology. M.I. Sitenko
														Email: info@eco-vector.com
				                					                																			                												                	俄罗斯联邦, 							Kharkiv						
参考
补充文件
 
				
			 
						 
						 
					
 
  
  
  电邮这篇文章
			电邮这篇文章 












 СМИ зарегистрировано Федеральной службой по надзору в сфере связи, информационных технологий и массовых коммуникаций (Роскомнадзор).
 СМИ зарегистрировано Федеральной службой по надзору в сфере связи, информационных технологий и массовых коммуникаций (Роскомнадзор).