Replacement of extensive bone defects in revision knee arthroplasty: Clinical cases
- Authors: Girkalo M.V.1, Kozadaev M.N.1, Shchanitsin I.N.1, Derevyanov A.V.1, Ostrovskij V.V.1
-
Affiliations:
- Scientific Research Institute of Traumatology, Orthopedics and Neurosurgery of Razumovsky Saratov State Medical University
- Issue: Vol 30, No 1 (2023)
- Pages: 87-96
- Section: Clinical case reports
- Submitted: 10.03.2023
- Accepted: 19.04.2023
- Published: 27.06.2023
- URL: https://journals.eco-vector.com/0869-8678/article/view/321241
- DOI: https://doi.org/10.17816/vto321241
- ID: 321241
Cite item
Full Text
Abstract
BACKGROUND: Total knee arthroplasty (TKA) is one of the most common orthopedic surgeries; however, the annual increase in the number of TKAs predictably increases the number of revision interventions. The key reasons for revision TKA (reTKA) are aseptic instability, paraimplant infection, postoperative contractures, and periprosthetic fractures. The metaphyseal fixation in reTKA is performed with metaphyseal sleeves, trabecular metal reconstructive cones, or metaphyseal cones made of pure titanium.
CLINICAL CASES DESCRIPTION: This study aimed to investigate and demonstrate the outcomes of reTKAs performed according to our algorithm with various metaphyseal fixators (sleeves and cones). Systematic reviews and meta-analyses do not allow claiming the advantage of one or another metaphyseal fixator with complete certainty, and this issue remains debatable. We report clinical cases that demonstrate the potential of the suggested algorithm for choosing a metaphyseal fixator in TKA, which ensures successful supplements of bone defects, correct spatial orientation, and good clinical and functional outcomes.
CONCLUSION: This study reveals that this new algorithm for choosing a metaphyseal fixator in reTKAs allows for the correct selection of a replacement implant to ensure stable rotational and axial fixation.
Keywords
Full Text
ОБОСНОВАНИЕ
Тотальное эндопротезирование коленного сустава (ТЭКС) — одна из самых востребованных операций в ортопедии, в связи с чем закономерно увеличивается число ревизионных вмешательств, и ожидается их дальнейший прогрессивный рост [1, 2]. По прогнозам ряда авторов, к 2030 году ревизионных артропластик коленного сустава будет выполняться на 600% больше по сравнению с числом операций, проводящихся в настоящее время [3]. Клинический результат ТЭКС и первичная выживаемость эндопротеза являются относительно успешными и надёжными показателями [4], чего нельзя сказать о результатах ревизионных вмешательств, которые требуются более чем в 10% случаев после ТЭКС [5].
Причинами ревизионного тотального эндопротезирования коленного сустава (реТЭКС) выступают нестабильность, асептическое расшатывание, износ компонентов эндопротеза, перипротезный перелом и инфекция. При реТЭКС большие костные дефекты могут поставить под угрозу правильную ориентацию и фиксацию импланта. Таким образом, одним из основных принципов ревизионного эндопротезирования является эффективное решение задачи замещения дефицита костной ткани для прочной фиксации и корректной ориентации импланта. Необходимо отметить, что на сегодняшний день вопрос о выборе метода метафизарной фиксации остаётся открытым [6].
В настоящее время самый распространённый вид ревизионного эндопротезирования — это замена всех компонентов эндопротеза коленного сустава, однако хирургическая тактика при обширных дефектах костной ткани (типа 2 и 3 по классификации Anderson Orthopaedic Research Institute, AORI) всё ещё остаётся предметом дискуссий [7]. Эпифизарная зона при ревизионной хирургии либо повреждена костными дефектами, либо слишком слаба для первичной фиксации. Дополнительная фиксация в диафизе и метафизе была рекомендована в зональной концепции R. Morgan-Jones и соавт. [8]. Для достижения стабильности в метафизе предложены различные стратегии. Традиционно использовались алло- или аутотрансплантаты. Использование структурных аллотрансплантатов в последние годы сократилось из-за большой частоты повторных ревизий в отсроченном периоде [6].
Показанием для использования метафизарных фиксаторов служат костные дефекты 2-го и 3-го типа по классификации AORI [9], однако особенности хирургической техники при использовании этих конструкций требуют тщательного выбора метафизарного фиксатора и подготовки к операции с учётом локализации и протяжённости дефекта. В настоящее время существует несколько типов метафизарных фиксаторов для реТЭКС: метафизарные втулки, реконструктивные конусы из трабекулярного металла, метафизарные конусы из коммерчески чистого титана (ASTM F-67 Tritanium). Втулки и конусы имеют ряд преимуществ перед аллотрансплантатами для метафизарной фиксации, таких как более простая техника, отсутствие риска передачи вирусной или бактериальной инфекции, более короткая операция и, возможно, более прочная фиксация. Они могут быть связаны с аугментацией и/или костными трансплантатами [10]. Вышеизложенное предполагает разработку алгоритма выбора метафизарного фиксатора для обеспечения наилучшего результата без осложнений.
Цель работы состояла в том, чтобы изучить и продемонстрировать результаты реТЭКС с применением метафизарных фиксаторов (втулок и конусов) по предлагаемому нами алгоритму.
МЕТОДОЛОГИЯ
Одним из основных принципов реТЭКС является эффективное решение задачи замещения дефицита костной ткани для прочной фиксации и корректной ориентации импланта. Согласно данным специалистов ФГБУ «НМИЦ ТО им. Р.Р. Вредена» (Санкт-Петербург), дефицит кости при реТЭКС имеет место у 94% пациентов [11]. Следует отметить, что степень выраженности дефицита костной ткани оказывает значительное влияние на качество фиксации эндопротеза и прогнозирование хорошего результата. Так, небольшие ограниченные дефекты могут быть замещены костным аллотрансплантатом или цементом, в то время как большие дефекты могут потребовать комбинации нескольких методов, включающих использование стержней, аугментов, втулок, конусов и костной пластики. Как показывает анализ, на исход реТЭКС оказывают влияние тип костного дефекта и способ его замещения, а также правильное выравнивание конечностей, восстановление линии сустава, точное позиционирование протеза, симметричная балансировка связок и адекватное движение сустава [12].
Авторы исследований, посвящённых использованию структурного аллотрансплантата при реТЭКС, сообщают о значительной частоте осложнений и повторных операциях, связанных с инфекцией (4–8%), несращением (0–4%), несостоятельностью и резорбцией трансплантата (8–23%) [9]; применение массивных структурных трансплантатов осложняется в 22–25% [13], импакционной костной пластики — в 14% [14], а металлических аугментов — в 8% случаев [15]. Частота осложнений, связанных с асептической нестабильностью ревизионных эндопротезов, сохраняется примерно на одном уровне, а накопленный многолетний опыт не демонстрирует явного преимущества какой-либо методики компенсации костных дефектов [16].
Использование метафизарных втулок и конусов принципиально меняет распределение нагрузок на кость, увеличивая загруженность метафизарной зоны большеберцовой и бедренной кости, при этом обеспечивая вторичную фиксацию компонентов эндопротеза за счет врастания кости в трабекулы металла [17]. Импланты из пористого металла существуют более 10 лет, и промежуточные результаты их применения уже опубликованы [18]. В последнее десятилетие наблюдается тенденция к увеличению объёма исследований и сдвигу в сторону изучения втулок и конусов [19]. Лишь в нескольких исследованиях авторы сравнивают результаты применения пористых имплантов с традиционными методами трансплантации [20].
Краткосрочные результаты использования метафизарных втулок при реТЭКС описаны в ряде исследований [21], а имеющиеся среднесрочные результаты свидетельствуют о хороших и отличных показателях выживаемости [22]. P. Byttebier и соавт. в 2021 году опубликовали самый крупный систематический обзор и единственный метаанализ (77 статей, 4391 коленных суставов) ранних и среднесрочных клинических результатов применения втулок и конусов по сравнению с использованием различных вариантов костной пластики и структурных трансплантатов [7]. При сравнении всех пористых имплантов и всех графтов не было обнаружено значимых различий по выживаемости протеза через 5–10 лет. При сравнении выживаемости конусов и втулок для втулок отмечен меньший риск ревизии (отношение шансов, ОШ=1,72, 95% доверительный интервал, ДИ, 0,88–2,57), чем для конусов (ОШ=3,04, 95% ДИ 1,71–4,37).
Таким образом, выбор того или иного метода метафизарной фиксации остаётся дискутабельным [6], в связи с чем, изучив ближайшие и отдалённые результаты реТЭКС с применением втулок и конусов и основываясь на собственном опыте, мы разработали и предложили алгоритм выбора типа метафизарного фиксатора при реТЭКС на основании классификации костных дефектов (AORI), оценки состояния костномозгового канала и результатов первичной пробной фиксации втулки (рис. 1) [23].
Задачей алгоритма является обеспечение правильности подбора метафизарных фиксаторов с учётом технологий их имплантации и используемого для неё инструментария при снижении риска возникновения интраоперационных осложнений, связанных с техникой выполнения оперативных приёмов.
Рис. 1. Алгоритм выбора типа метафизарного фиксатора при ревизионном эндопротезировании коленного сустава на основании классификации костных дефектов (AORI), ограниченности дефекта и результатов первичной пробной фиксации втулки.
Fig. 1. Algorithm for choosing the type of metaphyseal fixator in revision knee arthroplasty based on AORI bone defect classification, the defect area, and the outcomes of the initial test fixation of the sleeve.
При выборе типа метафизарного фиксатора большое значение имеет форма костномозгового канала. Дело в том, что метафизарные втулки типа DePuy соединяются с бедренным и большеберцовым компонентами эндопротеза посредством посадки на конус и не требуют обязательного использования интрамедуллярного стержня. Периодически встречаются пациенты, имеющие деформацию костномозгового канала по причине неправильно сросшегося перелома. Это обстоятельство требует дополнительного вмешательства в виде корригирующей остеотомии с остеосинтезом в случае выраженной осевой деформации либо использования ревизионной системы без интрамедуллярного стержня. В связи с этим предложенный алгоритм подразумевает использование метафизарных втулок при деформации костного канала.
Представленные ниже клинические примеры демонстрируют актуальность предлагаемого алгоритма выбора типа метафизарной фиксации при реТЭКС, обеспечивающего успешную реализацию пространственной ориентации, пластики костных дефектов, а также достижение хороших клинических и функциональных результатов.
КЛИНИЧЕСКИЕ СЛУЧАИ
Пример 1
При оказании помощи пациенту Ч., возраст 62 года, поступившему на 2-й этап лечения перипротезной инфекции в НИИ травматологии, ортопедии и нейрохирургии (НИИТОН, Саратов), на рентгенографии был обнаружен неправильно сросшийся перелом бедренной кости, что создавало потенциальные сложности для установки интрамедуллярного стержня (рис. 2).
Рис. 2. Рентгенограммы больного Ч., 62 года. Дефект типа F1/T2B по AORI (a, b). Результат установки ревизионной системы с метафизарными втулками (c, d).
Fig. 2. X-ray images of the 62 y.o. patient Ch. with F1/T2B AORI defect (a, b). The outcome of implanting a revision system with a metaphyseal sleeves (c, d).
Согласно предложенному алгоритму, было принято решение использовать метафизарную втулку. При обработке метафизарной части кости выявили дефект типа F1/ T2В (ограниченный центральный дефект) по AORI, в связи с чем приняли решение использовать метафизарный фиксатор типа втулки DePuy; при обработке рашпилями удавалось получить адекватную ротационную и аксиальную стабильность импланта. Согласно разработанному алгоритму, использовали ревизионную систему с метафизарными втулками, что обеспечило хорошую первичную стабильность и соблюдение принципа зональной фиксации ревизионного эндопротеза коленного сустава.
Пример 2
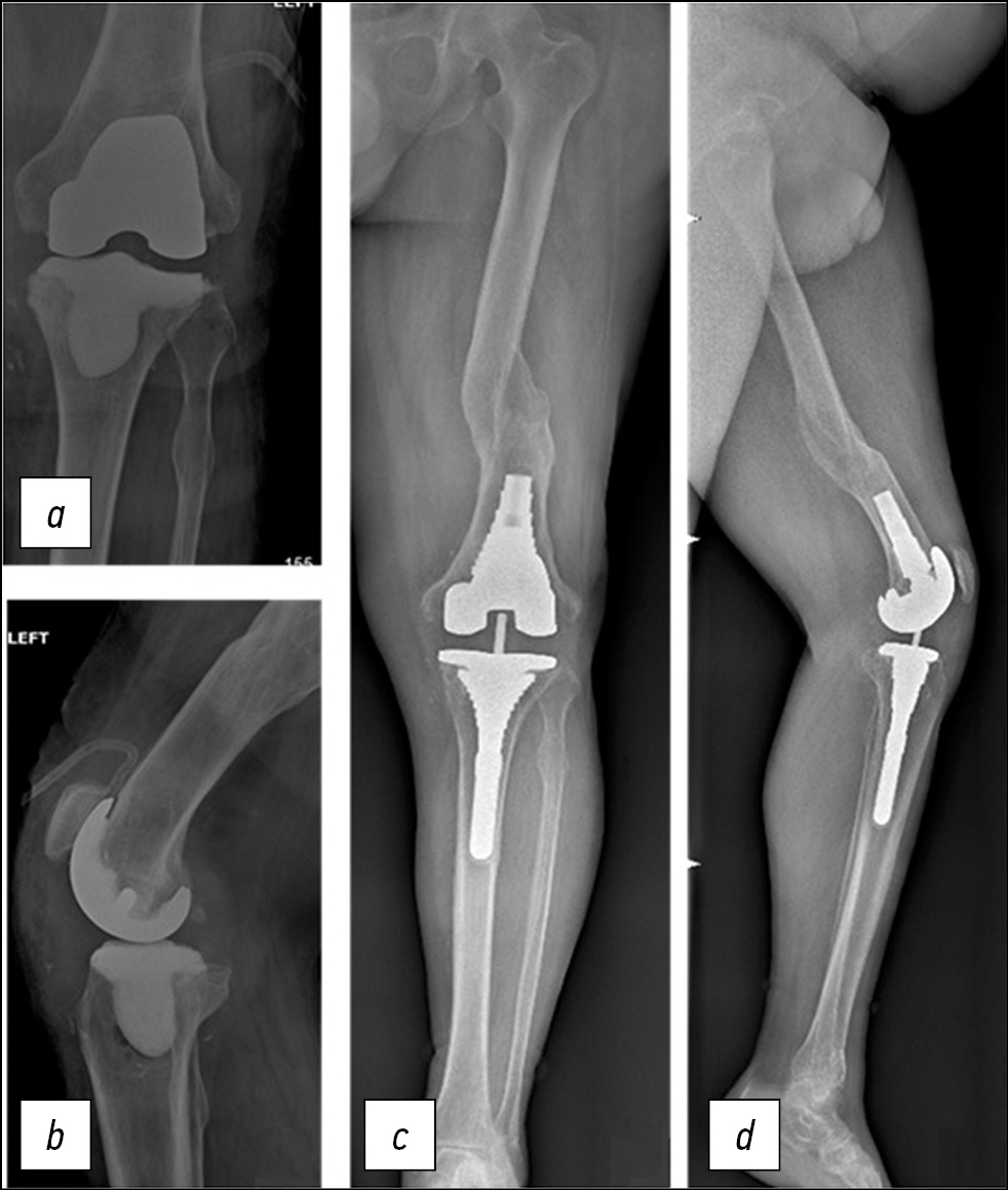
Пациент Е., 56 лет, поступил в НИИТОН для прохождения 2-го этапа лечения перипротезной инфекции с центральным дефектом типа F2А и периферическим промежуточным 5–10-миллиметровым дефектом медиального мыщелка большеберцовой кости T2А по AORI. Несмотря на значительный костный дефект большеберцовой кости, интраоперационно успешно достигнута первичная стабильная фиксация метафизарной втулки (рис. 3).
Согласно разработанному алгоритму, нами выбрана метафизарная фиксация посредством втулки с интрамедуллярным стержнем. На контрольных рентгенограммах через 9 лет после операции отмечены признаки остеоинтеграции (рис. 3, В) и отсутствие остеолиза. Также отмечена хорошая функция сустава (рис. 3, С).
Рис. 3. Рентгенограммы пациента Е., 56 лет, дефект типа F2А/T2A по AORI (a), контрольная рентгенограмма (b) и фото пациента (c) через 9 лет после установки ревизионной системы с метафизарной втулкой и стержнем.
Fig. 3. X-ray images of the 56 y.o. patient E. with AORI F2A/T2A defect (a). Control X-ray image (b) and the picture of the patient (c) taken 9 years after implanting a revision system with a metaphyseal sleeve and a shaft.
Пример 3
Необходимо отметить, что периодически встречаются пациенты с обширными костными дефектами типа IIb и III по классификации AORI, у которых не удаётся достигнуть стабильной фиксации метафизарной втулки. Так, при лечении пациента М., возраст 59 лет, с асептической нестабильностью тибиального компонента и сформированным типом костного дефекта F1/T2b по AORI (рис. 4) мы приняли во внимание периферический большой дефект медиального мыщелка и отсутствие ротационной и аксиальной стабильности тестовой втулки (рис. 4, В). Для предотвращения последующего асептического расшатывания компонентов ревизионного эндопротеза в нашем алгоритме предлагается использовать опорные реконструктивные конусы из титана (рис. 4, С). Для установки конуса из трабекулярного металла применяются рашпили или высокоскоростной бур для обработки кости без риска перелома.
Рис. 4. Рентгенограммы больного М., 59 лет. Дефект типа F1/T2В по AORI (a). Учитывая обширный костный дефект, добиться стабильности метафизарной втулки не удалось (b). Принято решение перейти на метафизарный конус (c).
Fig. 4. X-ray images the 59 y. o. patient M with F1/T2B AORI defect (a). The metaphyseal sleeve failed due to the extensive bone defect (b). The decision about switching to a metaphyseal cone was made (c).
В случае, когда необходимо выполнить дистально расширенный доступ к коленному суставу с остеотомией бугристости большеберцовой кости, предпочтительным будет использование конусов из трабекулярного металла. Это обусловлено возможностью рефиксации бугристости к конусу из трабекулярного металла с помощью винтов и проволочных трансоссальных швов.
ОБСУЖДЕНИЕ
Перечисленные выше систематические обзоры и метаанализ не позволяют с уверенностью говорить о преимуществе того или иного метафизарного фиксатора, и проблема тактики выбора метафизарного фиксатора на сегодняшний день остаётся нерешённой [7, 17, 18]. Стоит заметить, что втулки и конусы имеют отличия в особенностях хирургической техники, а чётких разграничений в показаниях к использованию втулок и конусов до настоящего времени не представлено, однако разработанный нами алгоритм существенно облегчает выбор типа метафизарного фиксатора при ревизионном эндопротезировании коленного сустава и позволяет чётко разграничить показания к использованию втулок и конусов для исключения интраоперационных осложнений, создавая для врача стандарт для принятия решений.
В настоящее время разработано несколько стратегий фиксации имплантатов для реТЭКС при наличии костных дефектов, но большинство методов лечения имеют определённые осложнения и неудовлетворительные клинические результаты, что подтверждает актуальность необходимости дальнейшего изучения и анализа отдалённых результатов применения данных конструкций [22]. Должны быть разработаны новые подходы для улучшения функциональной способности, показателей приживаемости имплантов и качества жизни экономически эффективным способом. Диагностика костных дефектов и правильный выбор методов лечения необходимы для повышения выживаемости и стабильности конструкции. Необходимо внедрение новых алгоритмов выбора того или иного метода фиксации, учитывающих не только размер дефектов кости, но и возраст пациента, уровень его активности, предикторы несостоятельности эндопротеза, степени выравнивания оси сустава, а также состояние связочного аппарата и остаточной костной массы, интраоперационную оценку первичной фиксации. Предложенный нами алгоритм является следующим шагом к улучшению результатов лечения пациентов при реТЭКС с любым типом костного дефекта по AORI [24].
ЗАКЛЮЧЕНИЕ
Предложенный новый алгоритм выбора типа метафизарного фиксатора, учитывающий расположение и размер костного дефекта, состояние остаточной костной массы, широту анатомической дозволенности выполнения оперативных приёмов и соответствующего им инструментария, а также оценку первичной фиксации втулки, позволяет осуществить правильный подбор замещающего импланта для обеспечения стабильной ротационной и аксиальной фиксации.
ДОПОЛНИТЕЛЬНО / ADDITIONAL INFO
Вклад авторов. Все авторы подтверждают соответствие своего авторства международным критериям ICMJE (все авторы внесли существенный вклад в разработку концепции и подготовку статьи, прочли и одобрили финальную версию перед публикацией).
Author’s contribution. Thereby, all authors made a substantial contribution to the conception of the work, drafting and revising the work, final approval of the version to be published and agree to be accountable for all aspects of the work.
Источник финансирования. Исследование выполнено в рамках разработки темы НИР НИИТОН СГМУ «Оптимизация ревизионного эндопротезирования коленного сустава», № государственной регистрации НИОКР АААА-А18-118050890023-7.
Funding source. This study is a part of the SSMU Scientific Research Institute of Traumatology, Orthopedics and Neurosurgery research project Optimization of revision knee arthroplasty, state registration N AAAA-A18-118050890023-7.
Конфликт интересов. Авторы декларируют отсутствие явных и потенциальных конфликтов интересов, связанных с публикацией настоящей статьи.
Competing interests. The authors declare that they have no competing interests.
Информированное согласие на публикацию. Авторы получили письменное согласие пациентов на публикацию их медицинских данных и фотографий (дата подписания: 01.03.2023).
Consent for publication. On March 01, 2023, the patients gave their written consents for publication of their medical data and images.
About the authors
Mikhail V. Girkalo
Scientific Research Institute of Traumatology, Orthopedics and Neurosurgery of Razumovsky Saratov State Medical University
Author for correspondence.
Email: girkalo@mail.ru
ORCID iD: 0000-0001-5847-1153
SPIN-code: 6151-4375
MD, Cand. Sci. (Med.), traumatologist-orthopedist
Russian Federation, 148 Chernyshevskogo Str., 410002, SaratovMaxim N. Kozadaev
Scientific Research Institute of Traumatology, Orthopedics and Neurosurgery of Razumovsky Saratov State Medical University
Email: m_kozadaev_ortoped@mail.ru
ORCID iD: 0000-0001-6235-7193
SPIN-code: 3754-7751
MD, Cand. Sci. (Med.), traumatologist-orthopedist
Russian Federation, 148 Chernyshevskogo Str., 410002, SaratovIvan N. Shchanitsin
Scientific Research Institute of Traumatology, Orthopedics and Neurosurgery of Razumovsky Saratov State Medical University
Email: dr.green@list.ru
ORCID iD: 0000-0003-0565-5172
SPIN-code: 3653-9302
MD, Cand. Sci. (Med.), senior researcher
Russian Federation, 148 Chernyshevskogo Str., 410002, SaratovAleksandr V. Derevyanov
Scientific Research Institute of Traumatology, Orthopedics and Neurosurgery of Razumovsky Saratov State Medical University
Email: xandor64@gmail.com
ORCID iD: 0009-0005-0166-8576
SPIN-code: 8003-7321
traumatologist-orthopedist
Russian Federation, 148 Chernyshevskogo Str., 410002, SaratovVladimir V. Ostrovskij
Scientific Research Institute of Traumatology, Orthopedics and Neurosurgery of Razumovsky Saratov State Medical University
Email: sarniito@yandex.ru
ORCID iD: 0000-0002-8602-2715
SPIN-code: 7078-8019
MD, Dr. Sci. (Med.), директор
Russian Federation, 148 Chernyshevskogo Str., 410002, SaratovReferences
- Belt M, Hannink G, Smolders J, et al. Reasons for revision are associated with rerevised total knee arthroplasties: an analysis of 8,978 index revisions in the Dutch Arthroplasty Register. Acta Orthop. 2021;92(5):597–601. doi: 10.1080/17453674.2021.1925036
- Kurtz SM, Ong KL, Lau E, Bozic KJ. Impact of the economic downturn on total joint replacement demand in the United States: updated projections to 2021. J Bone Joint Surg Am. 2014;96(8):624–630. doi: 10.2106/JBJS.M.00285
- Kurtz S, Ong K, Lau E, et al. Projections of primary and revision hip and knee arthroplasty in the United States from 2005 to 2030. J Bone Joint Surg Am. 2007;89(4):780–785. doi: 10.2106/JBJS.F.00222
- Khan M, Osman K, Green G, Haddad FS. The epidemiology of failure in total knee arthroplasty: avoiding your next revision. Bone Joint J. 2016;98-B(1 Suppl A):105–112. doi: 10.1302/0301-620X.98B1.36293
- Yapp LZ, Walmsley PJ, Moran M, et al. The effect of hospital case volume on re-revision following revision total knee arthroplasty. Bone Joint J. 2021;103-B(4):602–609. doi: 10.1302/0301-620X.103B4.BJJ-2020-1901.R1
- Rodríguez-Merchán EC, Gómez-Cardero P, Encinas-Ullán CA. Management of bone loss in revision total knee arthroplasty: therapeutic options and results. EFORT Open Rev. 2021;6(11):1073–1086. doi: 10.1302/2058-5241.6.210007
- Byttebier P, Dhont T, Pintelon S, et al. Comparison of Different Strategies in Revision Arthroplasty of the Knee with Severe Bone Loss: A Systematic Review and Meta-Analysis of Clinical Outcomes. J Arthroplasty. 2022;37(6S):S371.e4–S381.e4. doi: 10.1016/j.arth.2022.02.103
- Morgan-Jones R, Oussedik SI, Graichen H, Haddad FS. Zonal fixation in revision total knee arthroplasty. Bone Joint J. 2015;97-B(2):147–149. doi: 10.1302/0301-620X.97B2.34144
- Engh GA, Ammeen DJ. Bone loss with revision total knee arthroplasty: defect classification and alternatives for reconstruction. Instr Course Lect. 1999;48:167–175.
- Lei PF, Hu RY, Hu YH. Bone Defects in Revision Total Knee Arthroplasty and Management. Orthop Surg. 2019;11(1):15–24. doi: 10.1111/os.12425
- Kulyaba TA, Kornilov NN, Selin AV, et al. The ways of bone defects compensation in revision knee arthroplasty. Traumatology and Orthopedics of Russia. 2011;17(3):5–12. (In Russ). doi: 10.21823/2311-2905-2011-0-3-5-12
- Bourne RB, Crawford HA. Principles of revision total knee arthroplasty. Orthop Clin North Am. 1998;29(2):331–337. doi: 10.1016/s0030-5898(05)70331-x
- Bauman RD, Lewallen DG, Hanssen AD. Limitations of structural allograft in revision total knee Arthroplasty. Clin Orthop Relat Res. 2009;467(3):818–824. doi: 10.1007/s11999-008-0679-4
- Lotke PA, Carolan GF, Puri N. Impaction grafting for bone defects in revision total knee arthroplasty. Clin Orthop Relat Res. 2006;446:99–103. doi: 10.1097/01.blo.0000214414.06464.00
- Patel JV, Masonis JL, Guerin J, et al. The fate of augments to treat type-2 bone defects in revision knee arthroplasty. J Bone Joint Surg Br. 2004;86(2):195–199. doi: 10.1302/0301-620x.86b2.13564
- Bovkis GY, Kulyaba TA, Kornilov NN. Management of femur and tibia metaphyseal bone defects during revision knee arthroplasty — methods and outcomes (review). Traumatology and Orthopedics of Russia. 2016;(2):101–113. (In Russ). doi: 10.21823/2311-2905-2016-0-2-101-113
- Bohl DD, Brown NM, McDowell MA, et al. Do porous tantalum metaphyseal cones improve outcomes in revision total knee arthroplasty? J Arthroplasty. 2018;33(1):171–177. doi: 10.1016/j.arth.2017.07.033
- Huang R, Barrazueta G, Ong A, et al. Revision total knee arthroplasty using metaphyseal sleeves at short-term follow-up. Orthopedics. 2014;37(9):e804–e809. doi: 10.3928/01477447-20140825-57
- Bloch BV, Shannak OA, Palan J, et al. Metaphyseal sleeves in revision total knee arthroplasty provide reliable fixation and excellent medium to long-term implant survivorship. J Arthroplasty. 2020;35(2):495–499. doi: 10.1016/j.arth.2019.09.027
- Beckmann NA, Mueller S, Gondan M, et al. Treatment of severe bone defects during revision total knee arthroplasty with structural allografts and porous metal cones — a systematic review. J Arthroplasty. 2015;30(2):249–253. doi: 10.1016/j.arth.2014.09.016
- Alexander GE, Bernasek TL, Crank RL, Haidukewych GJ. Cementless metaphyseal sleeves used for large tibial defects in revision total knee arthroplasty. J Arthroplasty. 2013;28(4):604–607. doi: 10.1016/j.arth.2012.08.00
- Agarwal S, Neogi DS, Morgan-Jones R. Metaphyseal sleeves in revision total knee arthroplasty: Minimum seven-year follow-up study. Knee. 2018;25(6):1299–1307. doi: 10.1016/j.knee.2018.09.010
- Patent Rus № 2777929/11.08.2022. Byul. № 23. Girkalo MV. Sposob podbora metafizarnogo fiksatora dlya zameshcheniya obshirnykh defektov bol’shebertsovoi kosti pri revizionnom endoprotezirovanii kolennogo sustava. Available from: https://findpatent.ru/patent/277/2777929.html. Accessed: 02.05.2023. (In Russ).
- Floría-Arnal LJ, Gómez-Blasco A, Roche-Albero A, et al. Tibial tray cementation is not necessary for knee revision with titanium metaphyseal sleeves: a mid-term prospective study in AORI 2B defects. Knee Surg Sports Traumatol Arthrosc. 2021;29(10):3310–3315. doi: 10.1007/s00167-020-06185-0.
Supplementary files






