Оперативное лечение посттравматической нестабильности плечевого сустава у спортсменов. Артроскопическая операция Латарже или свободный костный аутотрансплантат?
- Авторы: Орлецкий А.К.1, Тимченко Д.О.1, Гордеев Н.А.1, Жариков В.А.1, Васильев Д.О.1, Косов И.С.1
-
Учреждения:
- Национальный медицинский исследовательский центр травматологии и ортопедии им. Н.Н. Приорова
- Выпуск: Том 30, № 3 (2023)
- Страницы: 271-285
- Раздел: Оригинальные исследования
- Статья получена: 12.03.2023
- Статья одобрена: 17.07.2023
- Статья опубликована: 03.11.2023
- URL: https://journals.eco-vector.com/0869-8678/article/view/321282
- DOI: https://doi.org/10.17816/vto321282
- ID: 321282
Цитировать
Аннотация
Введение. Оперативное лечение посттравматической нестабильности плечевого сустава подразумевает использование различных хирургических техник: операции Латарже, Банкарта, а также применение свободного костного аутотрансплантата. У каждого из предложенных методов есть свои преимущества и недостатки, вследствие чего в последние 10 лет развиваются методики пластики суставной поверхности лопатки.
Цель. Комплексная оценка результатов биомеханических исследований плечевого сустава в послеоперационном периоде после артроскопической операции Латарже и артроскопической стабилизации с использованием свободного костного трансплантата у профессиональных спортсменов.
Материалы и методы. За период с 2017 по 2022 год в Клинике спортивной, балетной и цирковой травмы им. З.С. Мироновой (ФГБУ «НМИЦ ТО им. Н.Н. Приорова») было выполнено 27 артроскопических операций у пациентов с посттравматической нестабильностью плечевого сустава.
Результаты. По результатам сравнительного исследования биомеханики плечевого сустава в послеоперационном периоде у 27 спортсменов, проведённого нами в научном отделе медицинской реабилитации НМИЦ ТО им. Н.Н. Приорова под руководством И.С. Косова, было выявлено, что применение артроскопической операции Латарже снижает силовые характеристики плечевого сустава, а также нарушает проприоцептивную чувствительность и, как следствие, тонкую координацию движений.
Заключение. Выбор методики хирургического лечения посттравматической нестабильности плечевого сустава у спортсменов зависит от специфики спорта. Применение свободного костного блока позволяет сохранить тонкие координированные движения, что важно в гимнастике, синхронном плавании и т.д., также свободный аутотрансплантат не снижает силовые характеристики после операции. Операцию Латарже можно использовать при командных видах спорта (баскетбол, волейбол и т.д.) без потери спортивного результата.
Полный текст
ВВЕДЕНИЕ
По данным B. Waterman и соавт. (2016), нестабильность плечевого сустава у спортсменов составляет до 24 случаев на 1000 человек и является актуальной проблемой на современном этапе. Плечевой сустав имеет наибольшую функциональную значимость в следующих видах спорта высших достижений [1–3]:
- контактные виды: борьба, самбо, бокс, смешанные виды единоборств и т.д.;
- командные дисциплины: баскетбол, волейбол, гандбол;
- гимнастика (как спортивная, так и художественная);
- лёгкая атлетика: метание молота, копья, диска, ядра.
На сегодняшний день предложено множество хирургических методик лечения посттравматической нестабильности плечевого сустава. У каждого метода лечения есть свои преимущества и недостатки. Наиболее распространёнными хирургическими техниками на современном этапе являются [4–6]:
- артроскопическая мягкотканная операция Банкарта;
- открытая операция Бристоу–Латарже;
- артроскопическая операция Бристоу–Латарже;
- открытая операция с использованием свободного костного аутотрансплантата;
- артроскопическая стабилизация с использованием костного аутотрансплантата.
Наиболее сложной в плане прогнозов и результатов лечения считается посттравматическая нестабильность плечевого сустава с потерей костной массы суставной впадины лопатки, вследствие чего в последнее десятилетие наблюдается активное развитие оперативных методик костной пластики гленоида [7–9].
Цель исследования — комплексная оценка результатов биомеханических исследований плечевого сустава в послеоперационном периоде после артроскопической операции Латарже и артроскопической стабилизации с использованием свободного костного аутотрансплантата у профессиональных спортсменов.
МАТЕРИАЛЫ И МЕТОДЫ
Дизайн исследования
Проведено описательное наблюдательное исследование.
Критерии включения
В исследование были включены профессиональные спортсмены и спортсмены-любители с дефицитом костной массы суставной поверхности лопатки более 20%; рецидивирующей нестабильностью плечевого сустава; потерей костной массы головки плечевой кости более 3×3 см.
Условия проведения
Исследование проводилось на базе лаборатории биомеханики ФГБУ «НМИЦ ТО им. Н.Н. Приорова».
Продолжительность исследования
Исследование проводилось с 2017 по 2022 г.
Описание медицинского вмешательства
Пациентам с посттравматической нестабильностью плечевого сустава выполнялись:
- артроскопическая операция Латарже;
- артроскопическая стабилизация плечевого сустава с использованием свободного костного аутотранс-плантата.
Этический комитет
Исследование одобрено локальным этическим комитетом 26.12.2022, протокол № 1.
РЕЗУЛЬТАТЫ
Участники исследования
В исследовании участвовали профессиональные спортсмены и спортсмены-любители с посттравматической нестабильностью плечевого сустава, сопровождающейся потерей костной массы суставной впадины лопатки ≥20%, разделённые на 2 группы в зависимости от типа проведённого оперативного вмешательства [10–14]:
- артроскопическая операция Латарже;
- артроскопическая стабилизация с применением свободного костного аутотрансплантата.
За период с 2017 по 2022 год в Клинике спортивной, балетной и цирковой травмы им. З.С. Мироновой (ФГБУ «НМИЦ ТО им. Н.Н. Приорова») было выполнено 27 артроскопических операций у пациентов с посттравматической нестабильностью плечевого сустава. Артроскопическая операция Латарже была выполнена в 19 случаях (70,4%), в 8 случаях (29,6%) пациентам выполнялась артроскопическая стабилизация с использованием костного аутотрансплантата. Средний возраст пациентов составил 29,4±1,4 года, среди них было 23 мужчины (86,9%) и 4 женщины (13,1%). Что касается видов спорта, преобладали представители силовых видов: 12 пациентов занимались дзюдо (46,1%), 9 пациентов — самбо и смешанными единоборствами (33,3%), и 6 пациентов занимались художественной гимнастикой, баскетболом и метанием копья (22,2%) [2, 3, 15, 16].
На сегодняшний день, согласно исследованиям Y.W. Known с соавт. при отсутствии противопоказаний всем пациентам активного возраста с посттравматическими патологиями плечевого сочленения показано оперативное лечение [5, 17–20].
Артроскопическая стабилизация с использованием свободного костного трансплантата является одним из возможных вариантов лечения пациентов с посттравматической нестабильностью плечевого сустава [21–24]. Применение данной методики подразумевает забор аутотрансплантата из гребня подвздошной кости и его транспозицию в область передненижнего отдела суставной поверхности лопатки с целью восполнения костного дефекта [5, 25, 26].
В результате динамического наблюдения и обследования наших пациентов в лаборатории биомеханики НМИЦ ТО им. Н.Н. Приорова в течение 1,5 года после оперативного вмешательства были выявлены следующие отличия функциональных показателей плечевого сустава в группе лиц, которым выполнялась артроскопическая операция Латарже:
- удлинение сроков восстановления в течение предтренировочного периода;
- жалобы на потерю навыков спортивной работоспособности — мышечной силы, выносливости, скорости реакции (согласно результатам опроса по визуально-аналоговой шкале боли ВАШ, шкалам USES, UCLA).
Аспекты биомеханики плечевого сустава
Стабилизация «висячего» плечевого сустава обеспечивается пассивными (капсульно-связочный аппарат) и активными (околосуставные мышцы) стабилизаторами. Особой отличительной чертой является необходимость компенсировать гравитационную составляющую [27–30].
Биокинематическая цепь «лопатка–плечо–предплечье»
Моменты силы:
- антигравитационный;
- приводящий;
- крутящий внутриротационный.
Двуглавая мышца плеча в данной биокинетической цепи формирует вектор силы, направленный от места прикрепления общего сухожилия на бугристости лучевой кости к месту прикрепления сухожилия короткой головки на клювовидном отростке лопатки [16, 31, 32].
При этом результирующие силы, действующие снизу вверх и снаружи внутрь, обусловливают антигравитационный, приводящий и крутящий внутриротационный моменты (рис. 1).
Рис. 1. Биокинематическая цепь «лопатка–плечо–предплечье».
Fig. 1. Biokinematic chain “scapula–shoulder–forearm”.
Рецепторная функция мышц-стабилизаторов сустава
Регуляция активности мышц-стабилизаторов сустава производится рефлекторно (рис. 2):
- сухожильные органы Гольджи — рецепторы системы регуляции напряжения мышцы;
- мышечные веретёна — рецепторы системы регуляции длины мышцы.
Нормальное анатомическое положение точек прикрепления мышц является одним из компонентов нормальной физиологической системы биоуправления тонической активностью мышц-стабилизаторов [19, 20].
Рис. 2. Регуляция активности мышц-стабилизаторов сустава производится рефлекторно.
Fig. 2. The activity of joint stabilizing muscles is regulated reflexively.
Интактные точки фиксации мышцы, обеспечивающие её физиологическую длину
Оперативное сближение пунктов фиксации мышцы (при транспозиции короткой головки бицепса во время операции Латарже) может способствовать расстройству рефлекторных реакций и вызывать дисбаланс в системе активно-динамической стабилизации плечевого сустава, что негативно сказывается на восстановлении спортивной работоспособности (рис. 3).
Рис. 3. Интактные точки фиксации мышцы, обеспечивающие её физиологическую длину.
Fig. 3. Intact points of muscle fixation, ensuring its physiological length.
Плечелопаточный аппаратный тест
С целью качественной и количественной оценки кинезиологического профиля отведения плеча использовали оригинальный плечелопаточный аппаратный тест (рис. 4). Этапы тестирования пациента:
- гониограмма m. deltoideus в отведении;
- спектрограмма m. trapezius;
- спектрограмма m. deltoideus;
- спектрограмма m. biceps;
- электромиограмма m. deltoideus.
Рис. 4. Демонстрация плечелопаточного тестирования с помощью аппарата.
Fig. 4. Demonstration of scapulohumeral testing using the device.
Аппарат Pocket EMG с помощью цифровых гониометров оценивает углы отведения и регистрирует произвольную биоэлектрическую активность дельтовидных, трапециевидных и двуглавых мышц плечевого сустава в концентрической (отведение), изометрической (удержание) и эксцентрической (приведение) фазах (рис. 5–7).
Рис. 5. Пример протокола обработки полученных данных: a — электромиография m. deltoideus, b — гониограмма (отведение).
Fig. 5. An example of a protocol for processing the obtained data: a — electromyography of m. deltoideus, b — goniogram (lead).
Рис. 6. Пример протокола обработки полученных данных.
Fig. 6. Example of a protocol for processing received data.
Рис. 7. Плечелопаточный тест, показатели нормы: а — спектрограмма m. deltoideus, b — спектрограмма m. trapezius, c — спектрограмма m. biceps [11, 21, 22].
Fig. 7. Shoulder test, normal indicators: a — spectrogram of m. deltoideus, b — spectrogram of m. trapezius, c — spectrogram of m. biceps [11, 21, 22].
Оценка электромиографии включала:
- учёт формы и амплитуды сигнала;
- цифровой спектральный анализ записей — определение функционального типа исследуемых мышц (медленные и быстрые функциональные волокна) и их характеристик (рис. 8, 9).
После комплексного анализа кинезиологического профиля оперированной верхней конечности результаты сравнивали с контрлатеральной конечностью.
Рис. 8. Цифровой спектральный анализ: а — отведение плеча в тесте: 1 — электромиография m. biceps (средняя амплитуда 42 мкВ), 2 — спектральная плотность; b — сгибание предплечья: 1 — электромиография m. biceps (средняя амплитуда 237 мкВ), 2 — спектральная плотность [8].
Fig. 8. Digital spectral analysis: a — shoulder abduction in the test: 1 — electromyography of m. biceps (average amplitude 42 μV), 2 — spectral density; b — forearm flexion: 1 — electromyography of m. biceps (average amplitude 237 μV), 2 — spectral density [8].
Рис. 9. 1 — электромиография m. deltoideus (529 мкВ), 2 — электромиография m. trapezius (481 мкВ), 3 — электромиография m. biceps (42 мкВ), 4 — гониограмма [9].
Fig. 9. 1 — electromyography of m. deltoideus (529 μV), 2 — electromyography of m. trapezius (481 μV), 3 — electromyography of m. biceps (42 μV), 4 — goniogram [9].
Основные результаты исследования
По результатам сравнительного исследования биомеханики плечевого сустава в послеоперационном периоде у 27 спортсменов, проведённого нами в научном отделе медицинской реабилитации НМИЦ ТО им. Н.Н. Приорова под руководством И.С. Косова, было выявлено следующее:
- в группе пациентов, которым была выполнена артроскопическая операция Латарже, отмечено снижение силовых характеристик на 14,9% на оперированной конечности вследствие отсечения клювовидного отростка лопатки, что привело к снижению спортивных результатов (штангисты, спортсмены, занимавшиеся единоборствами, боксом и др.);
- происходило снижение проприоцептивной функции плечевого сустава на 18,7%, что вызывало нарушение тонкой координации движений, которая имеет чрезвычайно важное значение в таких видах спорта, как художественная гимнастика, фигурное катание, а также в балете;
- артроскопическая стабилизация с использованием свободного костного блока не влияла на проприоцепцию плеча и в послеоперационном периоде позволила сохранить тонкую мышечную координацию, что весьма важно в гимнастике, фигурном катании, балете и т.д.;
- операция с применением свободного костного блока является более щадящей в сравнении с операцией Латарже, поскольку сухожилия короткой головки m. biceps, m. subscapularis и m. teres minor остаются интактными, что приводит к сокращению сроков функционально-восстановительного лечения на 3–4 недели.
Клинический пример 1
Пациент Д., 30 лет, с диагнозом «рецидивирующая нестабильность левого плечевого сустава» (мастер спорта международного класса по самбо). В 2022 году выполнена артроскопическая операция Латарже левого плечевого сустава.
Проведена компьютерная томография до операции и рентгенография через 6 мес после вмешательства. Исследование спустя 7 месяцев после хирургического лечения. Клиническая оценка результата хорошая, рецидивов нет, имеется небольшое ограничение наружной ротации плеча (рис. 10).
Рис. 10. Костный дефект гленоида на предоперационной компьютерной томографии, контрольная рентгенография через 6 месяцев после операции.
Fig. 10. Bone defect of the glenoid on preoperative computed tomography, control radiography 6 months after surgery.
У данного пациента отмечается сужение спектральной мощности на левой оперированной руке, наиболее выраженное в изометрической фазе (удержание) (рис. 11).
Рис. 11. Спектрограммы m. deltoideus: а — левая рука, b — правая рука.
Fig. 11. Spectrograms of m. deltoideus: a — left hand, b — right hand.
Максимальные изменения в виде сужения спектра наблюдаются также слева в изометрической фазе. В концентрической и эксцентрической фазах отличия от правой стороны минимальны (рис. 12).
Рис. 12. Спектрограммы m. trapezius: а — левая рука, b — правая рука.
Fig. 12. Spectrograms of m. trapezius: a — left hand, b — right hand.
Изменения спектральной мощности двуглавой мышцы на поражённой стороне свидетельствуют о большей, чем справа, её вовлечённости в двигательный паттерн отведения плеча и повышении моторной активности (рис. 13).
Рис. 13. Спектрограммы m. biceps: а — левая рука, b — правая рука.
Fig. 13. Spectrograms of m. biceps: a — left hand, b — right hand.
Гониометрические данные определяют провал плато в изометрической фазе на 10 градусов. Интересен тот факт, что в начале эксцентрической фазы угол отведения увеличился на 5 градусов. Приведённые изменения мы связываем с дефицитом проприоцептивной чувствительности и нарушением системы биоуправления мышечной активностью (рис. 14).
Рис. 14. Гониограммы: а — левая рука, b — правая рука.
Fig. 14. Goniograms: a — left hand, b — right hand.
Клинический пример 2
Пациент Н., 27 лет, с рецидивирующей нестабильностью левого плечевого сустава (заслуженный мастер спорта по спортивной гимнастике).
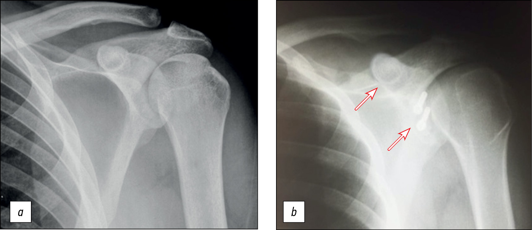
В 2022 году выполнена артроскопическая стабилизация с использованием свободного костного аутотранс-плантата правого плечевого сустава (рис. 15).
Рис. 15. Рентгенография правого плечевого сустава: а — до операции, b — через 6 месяцев после неё.
Fig. 15. X-ray of the right shoulder joint: a — before surgery, b — 6 months after it.
Положение костного аутотрансплантата через 6 мес после операции. Тестирование функционального состояния мышц через 6 месяцев после операции для оценки спектральной мощности на левой руке (рис. 16–18).
Рис. 16. Спектрограммы m. deltoideus: а — левая рука, b — правая рука.
Fig. 16. Spectrograms of m. deltoideus: a — left hand, b — right hand.
Рис. 17. Спектрограммы m. trapezius: а — левая рука, b — правая рука.
Fig. 17. Spectrograms of m. trapezius: a — left hand, b — right hand.
Рис. 18. Спектрограммы m. biceps: а — левая рука, b — правая рука.
Fig. 18. Spectrograms of m. biceps: a — left hand, b — right hand.
Результаты исследований через 6 мес после операции на m. deltoideus. Данные гониометрии свидетельствуют об адекватном позиционном удержании плечевого сустава в изометрической фазе и проприо-цептивном контроле (рис. 19).
Рис. 19. Гониограммы, плато: а — левая рука, b — правая рука.
Fig. 19. Goniograms, plateau: a — left hand, b — right hand.
ОБСУЖДЕНИЕ
На основании проведённого сравнительного анализа качественного и количественного кинезиологического профиля плечевого сустава у профессионалов и спортсменов-любителей мы пришли к выводу, что при использовании различных вариантов артроскопической стабилизации необходимо учитывать специфику спорта. Применение свободного трансплантата при стабилизации плечевого сустава следует осуществлять у пациентов, которым необходимо сохранить тонкую координацию движений (гимнастика, балет, фигурное катание и т.д.), а также при силовых видах спорта (бокс, самбо, борьба), где снижение показателей мышечной силы негативно скажется на результатах во время соревнований. Командные вида спорта с игровым положением верхней конечности над головой позволяют осуществлять артроскопическую операцию Латарже без значимой потери спортивного результата.
ЗАКЛЮЧЕНИЕ
Преимущество стабилизации с использованием свободного костного блока заключается в том, что можно выполнить забор трансплантата с учётом костного дефекта суставной поверхности лопатки. Применение свободного костного блока в меньшей степени влияет на биокинематические аспекты и проприорецепцию плечевого сустава, что не нарушает мелкую моторику верхней конечности. В спорте высших достижений применение свободного трансплантата рекомендуется спортсменам художественной и спортивной гимнастики, синхронного плавания, при которых чрезвычайно важны тонко координированные движения верхней конечности для выполнения спортивных элементов во время выступлений. Также артроскопическую стабилизацию со свободным костным блоком применяют при ревизионных вмешательствах после операции Латарже.
ДОПОЛНИТЕЛЬНО
Вклад авторов. Все авторы подтверждают соответствие своего авторства международным критериям ICMJE (все авторы внесли существенный вклад в разработку концепции и подготовку статьи, прочли и одобрили финальную версию перед публикацией).
Источник финансирования. Не указан.
Конфликт интересов. Авторы декларируют отсутствие явных и потенциальных конфликтов интересов, связанных с публикацией настоящей статьи.
Информированное согласие на публикацию. Авторы получили письменное согласие пациентов на публикацию медицинских данных и фотографий.
ADDITIONAL INFO
Author’s contribution. Thereby, all authors made a substantial contribution to the conception of the work, drafting and revising the work, final approval of the version to be published and agree to be accountable for all aspects of the work.
Funding source. Not specified.
Competing interests. The authors declare that they have no competing interests.
Consent for publication. Written consent was obtained from the patient for publication of relevant medical information and all of accompanying images within the manuscript.
Об авторах
Анатолий Корнеевич Орлецкий
Национальный медицинский исследовательский центр травматологии и ортопедии им. Н.Н. Приорова
Email: nova495@mail.ru
д.м.н., профессор, врач травматолог-ортопед
Россия, МоскваДмитрий Олегович Тимченко
Национальный медицинский исследовательский центр травматологии и ортопедии им. Н.Н. Приорова
Автор, ответственный за переписку.
Email: d.o.Timchenko@mail.ru
SPIN-код: 6626-2823
к.м.н., врач травматолог-ортопед
Россия, МоскваНиколай Александрович Гордеев
Национальный медицинский исследовательский центр травматологии и ортопедии им. Н.Н. Приорова
Email: nikolas095@mail.ru
врач травматолог-ортопед
Россия, МоскваВладислав Алексеевич Жариков
Национальный медицинский исследовательский центр травматологии и ортопедии им. Н.Н. Приорова
Email: vladislav.zharikov1996@yandex.ru
врач травматолог-ортопед
Россия, МоскваДмитрий Олегович Васильев
Национальный медицинский исследовательский центр травматологии и ортопедии им. Н.Н. Приорова
Email: VasilievDO@cito-priorov.ru
к.м.н., врач травматолог-ортопед
Россия, МоскваИгорь Семёнович Косов
Национальный медицинский исследовательский центр травматологии и ортопедии им. Н.Н. Приорова
Email: KosovIS@cito-priorov.ru
SPIN-код: 3260-8950
д.м.н., врач травматолог-ортопед
Россия, МоскваСписок литературы
- Миронова З.С., Меркулова Р.И., Богуцкая Е.В., Баднин И.А. Перенапряжение опорно-двигательного аппарата у спортсменов. Москва: Физкультура и спорт, 1982. 96 с.
- Крылов С.В., Пасечник И.Н., Орлецкий А.К., Тимченко Д.О. Современное состояние проблемы обеспечения безопасности пациента в положении шезлонга при артроскопических операциях на плечевом суставе // Кремлёвская медицина. 2021. № 2. С. 43–49.
- Орлецкий А.К., Тимченко Д.О., Гордеев Н.А., Жариков В.А., Козлова Е.С., Крылов С.В. Оперативное лечение посттравматической нестабильности плечевого сустава у спортсменов // Вестник травматологии и ортопедии им. Н.Н. Приорова. 2022. Т. 29, № 1. С. 5−18. doi: 10.17816/vto105227
- Hardy A., Sabatier V., Laboudie P., Schoch B., Nourissat G., Valenti P., Kany J., Deranlot J., Solignac N., Hardy P., Vigan M., Werthel J.D. Outcomes After Latarjet Procedure: Patients With First-Time Versus Recurrent Dislocations // Am J Sports Med. 2020. Vol. 48, № 1. Р. 21–26. doi: 10.1177/0363546519879929
- Songy C.E., Siegel E.R., Stevens M., Wilkinson J.T., Ahmadi S. The effect of the beach-chair position angle on cerebral oxygenation during shoulder surgery // Journal of shoulder and elbow surgery. 2017. Vol. 26, № 9. Р. 1670–1675. doi: 10.1016/j.jse.2017.03.018
- Pavlov H., Warren R.F., Weiss C.B. Jr, Dines D.M. The roentgenographic evaluation of anterior shoulder instability // Clin Orthop Relat Res. 1985. № 194. P. 153–158.
- Bliven K.C.H., Parr G.P. Outcomes of the Latarjet Procedure Compared With Bankart Repair for Recurrent Traumatic Anterior Shoulder Instability // J Athl Train. 2018. Vol. 53, № 2. Р. 181–183. doi: 10.4085/1062-6050-232-16
- Patte D., Bernageau J., Rodineau J., Gardes J.C. Unstable painful shoulders // Rev Chir Orthop Reparatrice Appar Mot. 1980. Vol. 66, № 3. Р. 157–165.
- Thamyongkit S., Wanitchanont T., Chulsomlee K., Tuntiyatorn P., Vasaruchapong S., Vijittrakarnrung C., Saengpetch N. The University of California–Los Angeles (UCLA) shoulder scale: translation, reliability and validation of a Thai version of UCLA shoulder scale in rotator cuff tear patients // BMC Musculoskelet Disord. 2022. Vol. 23, № 1. Р. 65. doi: 10.1186/s12891-022-05018-0
- Coyner K.J., Arciero R.A. Shoulder Instability: Anterior, Posterior, Multidirectional, Arthroscopic Versus Open, Bone Block Procedures // Sports Med Arthrosc Rev. 2018. Vol. 26, № 4. Р. 168–170. doi: 10.1097/JSA.0000000000000211
- Hohmann E., Tetsworth K., Glatt V. Open versus arthroscopic surgical treatment for anterior shoulder dislocation: a comparative systematic review and meta-analysis over the past 20 years // J Shoulder Elbow Surg. 2017. Vol. 26, № 10. P. 1873–1880. doi: 10.1016/j.jse.2017.04.009
- Burrus C., Deriaz O., Luthi F., Konzelmann M. Role of pain in measuring shoulder strength abduction and flexion with the Constant–Murley score // Ann Phys Rehabil Med. 2017. Vol. 60, № 4. Р. 258–262. doi: 10.1016/j.rehab.2016.09.005
- Niedzielski K.R., Malecki K., Flont P., Fabis J. The results of an extensive soft-tissue procedure in the treatment of obligatory patellar dislocation in children with ligamentous laxity: a post-operative isokinetic study // Bone Joint J. 2015. Vol. 97-B, № 1. P. 129–133.doi: 10.1302/0301-620X.97B1.33941
- Pauzenberger L., Dyrna F., Obopilwe E., Heuberer P.R., Arciero R.A., Anderl W., Mazzocca A.D. Biomechanical Evaluation of Glenoid Reconstruction With an Implant-Free J-BoneGraft for Anterior Glenoid Bone Loss // Am J Sports Med. 2017. Vol. 45, № 12. P. 2849–2857. doi: 10.1177/0363546517716927
- Bishop J.Y., Sprague M., Gelber J., et al. Interscalene regional anesthesia for shoulder surgery // J Bone Joint Surg Am. 2005. Vol. 87, № 5. P. 974–979. doi: 10.2106/JBJS.D.02003
- Chahal J., Marks P.H., Macdonald P.B., et al. Anatomic Bankart repair compared with nonoperative treatment and/or arthroscopic lavage for first-time traumatic shoulder dislocation // Arthroscopy. 2012. Vol. 28, № 4. P. 565–575. doi: 10.1016/j.arthro.2011.11.012
- Tie T.A., Hong C.K., Chua I., Kuan F.C., Su W.R., Hsu K.L. The Chinese version of the American shoulder and elbow surgeons standardized shoulder assessment form questionnaire, patient self-report section: a cross-cultural adaptation and validation study // BMC Musculoskelet Disord. 2021. Vol. 22, № 1. Р. 382. doi: 10.1186/s12891-021-04255-z
- Nixon M.F., Keenan O., Funk L. High recurrence of instability in adolescents playing contact sports after arthroscopic shoulder stabilization // J Pediatr Orthop B. 2015. Vol. 24, № 3. P. 173–177. doi: 10.1097/BPB.0000000000000135
- Paz D.A., Chang G.H., Yetto J.M. Jr, Dwek J.R., Chung C.B. Upper extremity overuse injuries in pediatric athletes: clinical presentation, imaging findings, and treatment // Clin Imaging. 2015. Vol. 39, № 6. P. 954–964. doi: 10.1016/j.clinimag.2015.07.028
- Provencher M.T., Frank R.M., Leclere L.E., Metzger P.D., Ryu J.J., Bernhardson A., Romeo A.A. The Hill-Sachs lesion: diagnosis, classification, and management // J Am Acad Orthop Surg. 2012. Vol. 20, № 4. P. 242–252. doi: 10.5435/JAAOS-20-04-242
- Popchak A., Burnett T., Weber N., Boninger M. Factors related to injury in youth and adolescent baseball pitching, with an eye toward prevention // Am J Phys Med Rehabil. 2015. Vol. 94, № 5. P. 395–409. doi: 10.1097/PHM.0000000000000184
- Porcellini G., Campi F., Pegreffi F., Castagna A., Paladini P. Predisposing factors for recurrent shoulder dislocation after arthroscopic treatment // J Bone Joint Surg Am. 2009. Vol. 91, № 11. P. 2537–2542. doi: 10.2106/JBJS.H.01126
- Vangsness C.T. Jr, Ennis M. Neural anatomy of the human glenoid labrum and shoulder ligaments. Proceedings of the American Academy of Orthopaedic Surgeons 59th Annual Meeting, Washington, DC. Park Ridge, Il, American Academy of Orthopaedic Surgeons; 1992. 205 р.
- Miniaci A., Gish M. Management of anterior glenohumeral instability associated with large Hill-Sachs defects // Techiques in Shoulder and Elbow Surgery. 2004. Vol. 5. P. 170–175. doi: 10.1097/01.bte.0000137216.70574.ba
- Netter F.H. Atlas of human anatomy. 6th edition. Saunders Elsevier, USA; 2014. 417 p.
- Pacey V., Nicholson L.L., Adams R.D., Munn J., Munns C.F. Generalized joint hypermobility and risk of lower limb joint injury during sport: a systematic review with meta-analysis // Am J Sports Med. 2010. Vol. 38, № 7. P. 1487–1497. doi: 10.1177/0363546510364838
- Moerman A.T., De Hert S.G., Jacobs T.F., De Wilde L.F., Wouters P.F. Cerebral oxygen desaturation during beach chair position // European Journal of Anaesthesiology. 2012. Vol. 29, № 2. Р. 82–87. doi: 10.1097/EJA.0b013e328348ca18
- Khiami F., Gerometta A., Loriaut P. Management of recent first-time anterior shoulder dislocations // Orthop Traumatol Surg Res. 2015. Vol. 101, № 1 (Suppl). Р. S51–7. doi: 10.1016/j.otsr.2014.06.027
- Pribicevic M. The epidemiology of shoulder pain: A narrative review of the literature // Pain in Perspective. 2012. Vol. 3. P. 45–49.doi: 10.5772/52931
- Minns L.C.J., Moser J., Barker K. Living with a symptomatic rotator cuff tear ‘bad days, bad nights’: a qualitative study // BMC Musculoskelet Disord. 2014. Vol. 15. P. 228. doi: 10.1186/1471-2474-15-228
- Boileau P., Thélu C.É., Mercier N., Ohl X., Houghton-Clemmey R., Carles M., Trojani C. Arthroscopic Bristow–Latarjet combined with bankart repair restores shoulder stability in patients with glenoid bone loss // Clin Orthop Relat Res. 2014. Vol. 472, № 8. Р. 2413–24. doi: 10.1007/s11999-014-3691-x
- Auffarth A., Schauer J., Matis N., Kofler B., Hitzl W., Resch H. The J-bone graft for anatomical glenoid reconstruction in recurrent posttraumatic anterior shoulder dislocation // Am J Sports Med. 2008. Vol. 36, № 4. Р. 638–647. doi: 10.1177/0363546507309672
Дополнительные файлы






















