Лечение внутрисуставных переломов и переломовывихов в проксимальном межфаланговом суставе пальцев кисти в остром и отдалённом периодах травмы
- Авторы: Голубев И.О.1, Меркулов М.В.1, Кузнецов В.Д.1, Бушуев О.М.1, Кутепов И.А.1, Балюра Г.Г.1
-
Учреждения:
- Национальный медицинский исследовательский центр травматологии и ортопедии им. Н.Н. Приорова
- Выпуск: Том 30, № 2 (2023)
- Страницы: 233-244
- Раздел: Научные обзоры
- Статья получена: 15.03.2023
- Статья одобрена: 17.07.2023
- Статья опубликована: 09.09.2023
- URL: https://journals.eco-vector.com/0869-8678/article/view/321367
- DOI: https://doi.org/10.17816/vto321367
- ID: 321367
Цитировать
Полный текст
Аннотация
Данный обзор литературы посвящён проблеме лечения пациентов с внутрисуставными переломовывихами проксимального межфалангового сустава пальцев кисти и их последствиями. Эти повреждения достаточно часто встречаются среди травм кисти, однако в настоящее время нет единого универсального подхода к их лечению. Обзор проведён с использованием баз данных медицинской литературы и ресурсов PubMed и eLibrary. В работе освещены элементы анатомии сустава, механизмы получения травм, методы диагностики этих повреждений, варианты классификации и методов лечения.
Полный текст
ВВЕДЕНИЕ
Кисть человека является органом, отличающимся особой сложностью дифференцированных движений. Любая травма с нарушением анатомического строения кисти приводит к изменениям её биомеханики и тем самым ограничивает трудоспособность больного [1]. 30% от всех травм опорно-двигательного аппарата составляют повреждения кисти [2]. Ежегодно частота переломов пальцев кисти составляет 67,9 на 100 000 человек при оценке посещений отделений неотложной помощи. Спектр травм варьирует от незначительных до внутрисуставных переломов. Часто тяжесть травмы недооценивается пациентом [3]. Лечение переломов фаланг и пястных костей остаётся сложным разделом хирургии кисти [4]. Проксимальный межфаланговый сустав (ПМФС) наиболее часто подвержен травматизации в суставах кисти. Повреждения ПМФС трудно поддаются лечению из-за склонности сустава к формированию ранней тугоподвижности и позднего выявления повреждений, так как последние часто игнорируются или недооцениваются при первичном обращении пациента. Ошибки в диагностике и лечении повреждений фаланг пальцев и пястных костей наблюдаются в 28–70% случаев, а частота неудовлетворительных исходов достигает 16–30% [4]. Такие повреждения наиболее часто встречаются у лиц молодого возраста, ведущих активный образ жизни, что серьёзно ограничивает функциональные возможности и существенно снижает качество жизни [5]. Открытое положение сустава и большая амплитуда движений в ПМФС делают его наиболее уязвимым для травм. Некоторые травмы являются только мягкотканными, в то время как другие приводят к внутрисуставному перелому с подвывихом/вывихом или без них [6]. При неправильно выбранной тактике лечения пациентов с повреждениями ПМФС возникает скорое формирование тугоподвижности, контрактур, а также длительно сохраняющийся болевой синдром [5]. Раннее восстановление движений в суставе является главной задачей при лечении пациентов с данным типом повреждений, так как даже самые незначительные травмы могут привести к тугоподвижности [7]. Средний (III) и безымянный (IV) пальцы подвержены риску переломов из-за их длинного соотношения рычагов, особенно в проксимальном межфаланговом суставе из-за относительно небольшого его диаметра. Осевая тупая травма в сочетании с вектором силы, действующей под углом, часто вызывает серьёзные внутрисуставные переломы, как правило, при занятиях спортом с мячом.
Целью данной работы является освещение проблемы переломовывихов проксимальных межфаланговых суставов пальцев кисти и обсуждение вариантов лечения пациентов с данным типом повреждений.
МЕТОДОЛОГИЯ ПОИСКА ИСТОЧНИКОВ
Поиск и выборка материала проведены с использованием баз данных PubMed и eLibrary с применением следующих ключевых слов: «проксимальный межфаланговый сустав»; «внутрисуставной перелом»; «переломовывих»; «аппарат внешней фиксации»; «гемиартропластика»; «артропластика», «proximal interphalangeal joint»; «intraarticular fracture»; «fracture-dislocation»; «external fixation»; «hemihamate arthroplasty»; «arthroplasty». Описаны особенности анатомии проксимального межфалангового сустава и механизмы возникновения травмы. Отмечены методы диагностики повреждений и их классификации. Перечислены методы возможного лечения — как консервативные, так и оперативные.
ОБСУЖДЕНИЕ
Анатомия
Проксимальный межфаланговый сустав занимает особое положение среди суставов пальцев, поскольку он дополнительно совершает вращение во время сгибания, что позволяет пальцам располагаться в направлении ладьевидной и полулунной костей, когда пальцы согнуты в кулак. Это связано с разной высотой мыщелков на головке проксимальной фаланги, которые стабилизируют сустав во фронтальной плоскости. В основании средней фаланги, по центру, расположена небольшая выпуклость, которая проходит между двумя мыщелками, что дополнительно обеспечивает стабилизацию кости. Костная ладонная губа ПМФС стабилизируется в сагиттальной плоскости. Шарнирное соединение ПМФС представляет собой не просто шарнирное, а шарнирно-скользящее соединение. Помимо вращения, в сагиттальной плоскости одновременно происходит скользящее движение. Это связано с формой основания средней фаланги и конфигурацией головки проксимальной фаланги. Однако основная стабильность ПМФС обеспечивается за счёт структур коллатеральных связок и ладонной пластинки [8].
Пара собственных и пара добавочных коллатеральных связок (рис. 1–3) образуют комплекс, обеспечивающий боковую стабильность сустава [9]. Ладонная пластинка выстилает и образует дно проксимального межфалангового сустава. Дистальная её часть образована плотной фиброзной тканью с прикреплением к основанию средней фаланги. Проксимальная же её часть представлена волокнистой соединительной тканью, имеющей складчатую структуру. Проксимальная часть пластинки утолщается, образуя по обоим краям фаланги ограничивающие связки (checkrein-связки), продолжающиеся в проксимальном направлении [9, 10]. Как продолжение ладонной пластинки в проксимальном направлении, вдоль канала сухожилий сгибателей располагаются ладонные ограничивающие связки, прикрепляющиеся к надкостнице проксимальной фаланги и внутренней поверхности связки А2. Волокна связки, прикрепляющиеся к наружной поверхности А2, вероятнее всего, обеспечивают более равномерное распределение нагрузки при гиперэкстензии [11]. Ладонная пластинка является главным стабилизатором сустава при гиперэкстензии, а также вторично осуществляет боковую стабилизацию сустава [11, 12].
Рис. 1. Анатомия проксимального межфалангового сустава [3].
Fig. 1. Anatomy of the proximal interphalangeal joint [3].
Рис. 2. Анатомия проксимального межфалангового сустава (продолжение) [11].
Fig. 2. Anatomy of the proximal interphalangeal joint (continued) [11].
Рис. 3. Анатомия проксимального межфалангового сустава (окончание) [11].
Fig. 3. Anatomy of the proximal interphalangeal joint (ending) [11].
Механизм травмы
Переломовывихи ПМФС являются следствием двух основных механизмов: отрыва или смещения при осевом ударе. Направление смещения используется для классификации травмы: тыльный переломовывих (то есть тыльный вывих с переломом ладонного края средней фаланги) (рис. 4) или ладонный переломовывих (то есть ладонный вывих с переломом тыльного края средней фаланги). Третья категория — это травма пилона, при которой в перелом вовлечены как ладонный, так и тыльный края основания средней фаланги. При разгибании в ПМФС ладонная пластинка натягивается. При гиперэкстензии повреждение ладонной пластинки происходит в виде разрыва толщи пластинки либо отрыва от основания средней фаланги. Отрывные переломы различаются по размеру костного фрагмента и его смещению, но, как правило, без фрагментации отломка. Осевая нагрузка, приложенная к пальцу при его сгибании, приводит к столкновению с головкой проксимальной фаланги. При сгибании в ПМФС осевая нагрузка на среднюю фалангу приводит к перелому ладонного края её основания. При таком переломе теряется стабилизирующая функция ладонной пластинки и происходит тыльное смещение фаланги [13].
Рис. 4. Схема механизма травмы переломовывиха ладонного края основания средней фаланги.
Fig. 4. Schematic diagram of the base of the middle palmar edge phalanx fractured-dislocation injury mechanism.
Диагностика
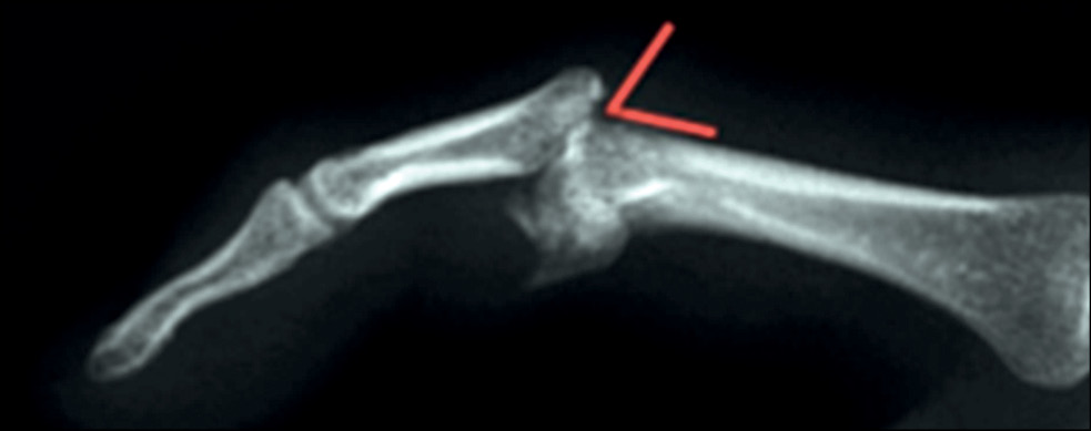
Даже при незначительной травме области ПМФС возникают болевой синдром и местная отёчность. При обследовании пациента оцениваются стабильность, болезненность, амплитуда движений во всех суставах пальца, а также сохранность чувствительности и кровоснабжения. Уже при появлении болезненности в какой-либо зоне выполняется серия рентгенограмм для исключения или подтверждения наличия повреждения костной ткани до проведения физикального обследования. Стабильный сохранный сустав имеет допустимую девиацию до 10°. Девиация фаланги более чем на 15° указывает на повреждение как собственных, так и добавочных коллатеральных связок сустава. Часто отрывные переломы ладонного или тыльного края основания средней фаланги остаются незамеченными. Особое внимание следует обратить на конгруэнтность суставных поверхностей. Фрагмент основания фаланги оценивается в процентном соотношении от всей площади её суставной поверхности. Наиболее специфическим рентгенологическим признаком переломовывиха основания средней фаланги является так называемый V-знак (V-sign) (рис. 5, 6) — воображаемый знак V на тыльной поверхности области ПМФС в боковой проекции, между осями основания средней фаланги и головки проксимальной фаланги [14].
Рис. 5. Признаки переломовывиха проксимального межфалангового сустава [3].
Fig. 5. Signs of proximal interphalangeal joint fracture-dislocation [3].
Рис. 6. Рентгенологические признаки переломовывиха. V-знак [7].
Fig. 6. Radiologic signs of fracture-dislocation. V-sign [7].
Классификация
Существует множество классификаций, описывающих характер переломовывихов основания средней фаланги [15]. Классификация Kiefhaber–Stern описывает влияние размера фрагмента в процентах от площади всей суставной поверхности на степень стабильности перелома (рис. 7). Изначально она была представлена H. Has-tings и позже, в 1998 г., модифицирована T.R. Kiefhaber и J. Stern [16].
Рис. 7. Классификация Kiefhaber-Stern [6].
Fig. 7. Kiefhaber-Stern classification [6].
Классификация Eaton (рис. 8) была представлена Eaton и Malerich в 1980 г. Данная классификация описывает степень вовлечения коллатеральных связок и наличие или отсутствие перелома [17].
Рис. 8. Классификация Eaton.
Fig. 8. Eaton classification.
В 2019 году Eichi Itadera, Seiji Okamoto, Michiaki Miura была представлена классификация SCARF (рис. 9), которая описывает характер вывиха в сагиттальной, коронарной и аксиальной плоскостях, наличие или отсутствие ротационного компонента и собственно перелома. Сами авторы отмечают, что классификация не описывает характер перелома и должна дополняться другой классификацией [18].
Рис. 9. Классификация SCARF [18].
Fig. 9. SCARF classification [18].
Лечение
Главной задачей лечения пациентов с переломовывихами межфаланговых пальцев кисти является стабилизация и ранняя разработка активных движений [7]. Восстановление анатомии является важной, но не главной задачей [5].
Переломы, нарушающие стабильность сустава, лечатся чаще консервативно, а нестабильные требуют оперативного лечения [5].
При лечении пациентов со сложными переломовывихами часто наблюдаются долгосрочные последствия, такие как болевой синдром, тугоподвижность и ограничение движений. Применяется множество методов лечения в зависимости от каждого конкретного случая, однако ни один из них не гарантирует стабильно хорошего результата [19]. Выбор метода лечения зависит от степени стабильности структур в повреждённом суставе, размера костного фрагмента и направления его смещения, а также сопутствующих повреждений мягких тканей, преимущественно стабилизаторов сустава [7].
Ортезирование
Ed McElfresh описал технику блокирующего ортеза в 1972 году. Этот метод включает проведение закрытой репозиции, а затем рентгенологической оценки для определения амплитуды движения до появления подвывиха. Затем ПМФС удерживают в дополнительном сгибании на 10–20° от точки, где появляется подвывих. В пределах ортеза (рис. 10) начинается ранняя разработка движений. Допустимая степень разгибания постепенно увеличивается с течением времени, пока ортезирование не будет прекращено. Данный метод эффективен, однако ортез может быть громоздким и требует соответствующего терпения и готовности мириться с определёнными неудобствами. Кроме того, McElfresh и Dobyns рекомендовали это лечение пациентам с переломами 30% или менее суставной поверхности и некоторым лицам с переломами 30–50%, хотя они заявили, что у таких пациентов необходимо рассмотреть возможность хирургического вмешательства [17].
Рис. 10. Варианты ортезирования [7, 12, 22].
Fig. 10. Orthotization options [7, 12, 22].
Спицевая фиксация
Закрытая репозиция, фиксация спицами
Использование чрескожной фиксации спицами Киршнера (рис. 11) для лечения различных типов переломовывихов ПМФС становится всё более предпочтительным. Данная техника может стать методом лечения, во-первых, потому что спицы компактны, гибки и легкодоступны в экстренных случаях, и, во-вторых, потому что они позволяют пациенту двигать как повреждённым, так и смежным суставом во время фиксации; раннее восстановление движений улучшит восстановление суставной поверхности [20].
Рис. 11. Остеосинтез спицами [20].
Fig. 11. Osteosynthesis with spokes [20].
Ограничение гиперэкстензии спицами
Чтобы избежать громоздкой шины и устранить опасения по поводу соблюдения правил использования шины, была представлена техника блокирующей спицы (рис. 12). Первоначально Sugawa описал эту технику в 1979 году, исходя из принципа, что блокирующая спица предотвращает компрессионную нагрузку на ладонный край основания средней фаланги. Это не только предотвратило повторный дорсальный подвывих или вывих, но и устранило необходимость в постоянной фиксации перелома или костного трансплантата для исключения повторного смещения [17]. Данный метод состоит в закрытой репозиции и транскутанном трансартикулярном проведении спицы через головку проксимальной фаланги так, что исключается разгибание в суставе в крайние 30–60° [21], что повторяет принцип ортезирования.
Рис. 12. Интрамедуллярная блокирующая спица [5].
Fig. 12. Intramedullary blocking spoke [5].
Открытая репозиция и внутренняя фиксация
Несмотря на широкую практику применения остеосинтеза винтами, уникальные анатомические особенности фаланг (скользящие структуры, тонкие кортикальные слои и небольшие костные фрагменты), остеосинтез фаланг пальцев винтами (рис. 13) является одним из наиболее технически сложных методов лечения. Однако достигнутая стабильность при данном методе лечения даёт возможность скорейшей мобилизации травмированного сегмента, что является явным преимуществом по сравнению с некоторыми другими методами. При остеосинтезе диаметр винта не должен превышать 1/3 длины линии перелома; необходимо провести минимум 2, а лучше 3 винта для создания многоплоскостной стабильности; ближний кортикальный слой дополнительно просверливается сверлом одного диаметра с наружным диаметром резьбы винта для создания скользящего отверстия и компрессии отломка [22].
Рис. 13. Остеосинтез винтами. a — внутрисуставной перелом тыльного края основания средней фаланги, b, c — остеосинтез фрагмента средней фаланги винтами [7].
Fig. 13. Osteosynthesis with screws. a — intra-articular fracture of the back edge of the base of the middle phalanx, b, c — osteosynthesis of a fragment of the middle phalanx with screws [7].
При использовании пластин (рис. 14) для остеосинтеза внутрисуставных переломов и переломовывихов фаланги в отличие от остеосинтеза винтами обеспечивается более широкая поверхность для удержания фрагментов, особенно мелких. Проксимальный край пластины может, как бы огибая по диаметру основание средней фаланги, более стабильно удерживать даже мелкие фрагменты, сохранившие связь с ладонной пластинкой [5].
Рис. 14. Остеосинтез пластиной [7].
Fig. 14. Osteosynthesis with a plate [7].
Основным осложнением внутренней фиксации является сгибательная контрактура, часто возникающая после ладонного доступа к суставу, с последующим формированием спаечного процесса в области сухожилий сгибателей, что впоследствии может вызвать необходимость проведения дополнительной операции (тенолиза) [23].
Чрескостный остеосинтез
Описано множество различных видов внешних фиксаторов, статических и динамических (рис. 15) [24].
Рис. 15. Вариативность аппаратов внешней фиксации [3].
Fig. 15. Variation of external fixation devices [3].
Динамические виды, используя механизм лигаментотаксиса от дистракции, позволяют добиться репозиции фрагментов и удерживать её. Благодаря преимуществам динамических фиксаторов были изжиты статические модели, поскольку первые позволяли получить ранние движения, что приводило к лучшим клиническим результатам. Идеальный внешний фиксатор поддерживает репозицию, благодаря дистракции осуществляется лигаментотаксис, он достаточно компактен и обеспечивает раннее восстановление движений. Дистракция достигается благодаря поперечно проведённой спице через центр ротации в головке проксимальной фаланги [5]. Описаны аппараты внешней фиксации, состоящие из спиц Киршнера, которые моделировались определёнными способами для достижения идей каждой отдельной методики. Конгруэнтность суставной поверхности достигалась за счёт дистракции и нужного репозиционного момента, создаваемых в условиях внешних фиксаторов [7]. В 1994 году Suzuki с соавт. опубликовали работу, в которой представили аппарат наружной фиксации, состоящий из 3 спиц и резиновых колец (рис. 16) [25].
Рис. 16. Фиксация в аппарате Suzuki.
Fig. 16. Fixation in the Suzuki apparatus.
Гемиартропластика
Пластика основания средней фаланги костным аутотрансплантатом крючковидной кости (рис. 17) обеспечивает стабилизацию ладонной пластинки, раннюю мобилизацию за счёт жесткой фиксации и пластику повреждённой хрящевой поверхности [5]. Данная методика является технически сложной процедурой. Частота осложнений остаётся высокой, а признаки остеоартроза рентгенологически регистрируются в 50% случаев [26]. В 10% наблюдений отмечаются контрактура и резорбция трансплантата [5].
Рис. 17. Этапы гемиартропластики.
Fig. 17. Stages of hemiarthroplasty.
ЗАКЛЮЧЕНИЕ
Лечение внутрисуставных переломов и переломовывихов фаланг пальцев кисти является непростой и актуальной задачей. Описано множество возможных методов лечения того или иного типа повреждений. Необходимо придерживаться классификаций и алгоритмов при выборе конкретного метода лечения, так как каждый из них имеет свои преимущества и недостатки, а также важно понимать анатомию сегмента и механизм травмы. И самыми важными концепциями лечения являются стабилизация и ранняя мобилизация повреждённого сегмента.
ДОПОЛНИТЕЛЬНО
Вклад авторов. Все авторы подтверждают соответствие своего авторства международным критериям ICMJE (все авторы внесли существенный вклад в разработку концепции и подготовку статьи, прочли и одобрили финальную версию перед публикацией).
Источник финансирования. Авторы заявляют об отсутствии внешнего финансирования при подготовке публикации.
Конфликт интересов. Авторы декларируют отсутствие явных и потенциальных конфликтов интересов, связанных с публикацией настоящей статьи.
ADDITIONAL INFO
Author contribution. All authors made a substantial contribution to the conception of the work, drafting and revising the work, final approval of the version to be published and agree to be accountable for all aspects of the work.
Funding source. This study was not supported by any external sources of funding.
Competing interests. The authors declare that they have no competing interests.
Об авторах
Игорь Олегович Голубев
Национальный медицинский исследовательский центр травматологии и ортопедии им. Н.Н. Приорова
Email: iog305@mail.ru
ORCID iD: 0000-0002-1291-5094
SPIN-код: 2090-0471
д.м.н., врач травматолог-ортопед
Россия, МоскваМаксим Владимирович Меркулов
Национальный медицинский исследовательский центр травматологии и ортопедии им. Н.Н. Приорова
Email: merkulovmv@cito-priorov.ru
ORCID iD: 0009-0004-9362-3449
SPIN-код: 4695-3570
д.м.н., врач травматолог-ортопед
Россия, МоскваВасилий Дмитриевич Кузнецов
Национальный медицинский исследовательский центр травматологии и ортопедии им. Н.Н. Приорова
Автор, ответственный за переписку.
Email: dr.kuznetsovvd@gmail.com
ORCID iD: 0000-0003-1745-8010
SPIN-код: 4093-7566
аспирант, врач травматолог-ортопед
Россия, МоскваОлег Михайлович Бушуев
Национальный медицинский исследовательский центр травматологии и ортопедии им. Н.Н. Приорова
Email: bushuevom@cito-priorov.ru
ORCID iD: 0009-0002-0051-2666
SPIN-код: 9793-5486
к.м.н., врач травматолог-ортопед
Россия, МоскваИлья Александрович Кутепов
Национальный медицинский исследовательский центр травматологии и ортопедии им. Н.Н. Приорова
Email: kutepovia@cito-priorov.ru
ORCID iD: 0009-0001-3802-2577
SPIN-код: 6598-7387
к.м.н., врач травматолог-ортопед
Россия, МоскваГригорий Григориевич Балюра
Национальный медицинский исследовательский центр травматологии и ортопедии им. Н.Н. Приорова
Email: balyuragg@cito-priorov.ru
ORCID iD: 0000-0002-1656-1406
SPIN-код: 6581-4371
к.м.н., врач травматолог-ортопед
Россия, МоскваСписок литературы
- Коршунов В.Ф., Магдиев Д.А., Барсук В.И. Удлинение культей пальцев кисти и устранение укорочений фаланг и пястных костей // Вестник травматологии и ортопедии им. Н.Н. Приорова. 2004. Т. 11, № 1. C. 66–70. doi: 10.17816/vto200411166-70
- Гильмутдинова Л.Т., Кутлиахметов Н.С., Сахабутдинова А.Р. Медицинская реабилитация больных с травмами верхних конечностей // Фундаментальные исследования. 2014. Т. 10, № 4. C. 647–650.
- Haase S.C., Chung K.C. Current Concepts in Treatment of Fracture-Dislocations of the Proximal Interphalangeal Joint // Plastic and Reconstructive Surgery. 2014. Vol. 134, № 6. P. 1246–1257. doi: 10.1097/PRS.0000000000000854
- Коршунов В.Ф., Магдиев Д.А., Барсук В.И. Стабильный интрамедуллярный остеосинтез при переломах пястных костей и фаланг пальцев кисти // Вестник травматологии и ортопедии им. Н.Н. Приорова. 2000. Т. 7, № 2. C. 22–26. doi: 10.17816/vto101596
- Tan R., Cheah A. Injuries Around the Proximal Interphalangeal Joint // Clinics in Plastic Surgery. 2019. Vol. 46, № 3. P. 437–449. doi: 10.1016/j.cps.2019.03.005
- Kiefhaber T.R., Stern P.J. Fracture dislocations of the proximal interphalangeal joint // J Hand Surg. 1998. Vol. 23A, № 3. Р. 368–79. doi: 10.1016/S0363-5023(05)80454-X
- Caggiano N.M., Harper C.M., Rozental T.D. Management of Proximal Interphalangeal Joint Fracture Dislocations // Hand Clinics. 2018. Vol. 34, № 2. P. 149–165. doi: 10.1016/j.hcl.2017.12.005
- Unglaub F., Langer M.F., Hahn P., Müller L.P., Ahrens C., Spies C.K. Fingermittelgelenkfrakturen: Diagnostik und operative Therapiemöglichkeiten // Der Unfallchirurg. 2016. Vol. 119, № 2. Р. 133–145. doi: 10.1007/s00113-016-0142-z
- Dy C., Rosenblatt L., Lee S. Current Methods and Biomechanics of Extensor Tendon Repairs // Hand Clinics. 2013. Vol. 29, № 2. P. 261–268. doi: 10.1016/j.hcl.2013.02.008
- Leibovic S.J., Bowers W.H. Anatomy of the proximal interphalangeal joint // Hand Clin. 1994. Vol. 10, № 2. Р. 169–78.
- Pang E.Q., Yao J. Anatomy and Biomechanics of the Finger Proximal Interphalangeal Joint // Hand Clin. 2018. Vol. 34, № 2. P. 121–126. doi: 10.1016/j.hcl.2017.12.002
- Khouri J.S., Bloom J.M.P., Hammert W.C. Current Trends in the Management of Proximal Interphalangeal Joint Injuries of the Hand // Plastic and Reconstructive Surgery. 2013. Vol. 132, № 5. Р. 1192–1204. doi: 10.1097/PRS.0b013e3182a48d65
- Elfar J., Mann T. Fracture-dislocations of the Proximal Interphalangeal Joint // Journal of the American Academy of Orthopaedic Surgeons. 2013. Vol. 21, № 2. Р. 88–98. doi: 10.5435/JAAOS-21-02-88
- Williams C.S. Proximal Interphalangeal Joint Fracture Dislocations // Hand Clinics. 2012. Vol. 28, № 3. Р. 409–416. doi: 10.1016/j.hcl.2012.05.036
- Bindra R., Woodside J.C. Treatment of Proximal Interphalangeal Joint Fracture-Dislocations // JBJS Reviews. 2015. Vol. 3, № 12. Р. e1. doi: 10.2106/JBJS.RVW.O.00019
- Jha P., Bell D., Hacking C. Keifhaber-Stern classification of volar plate avulsion injuries of hand. Режим доступа: https://radiopaedia.org/articles/47255
- Adams J.E., editor. PIP Joint Fracture Dislocations. Cham: Springer International Publishing, 2016.
- Itadera E., Okamoto S., Miura M. Ratio of dislocation types of the proximal interphalangeal joint of the fingers: A new classification system for initial therapy // Journal of Orthopaedic Science. 2019. Vol. 24, № 6. P. 1042–1046. doi: 10.1016/j.jos.2019.08.007
- Lo C.H., Nothdurft S.H., Park H.-S., Paul E., Leong J. Distraction ligamentotaxis for complex proximal interphalangeal joint fracture dislocations: a clinical study and the modified pins rubber band traction system revisited // Burns & Trauma. 2018. № 6. Р. 23. doi: 10.1186/s41038-018-0124-1
- Mazhar F.N., Motaghi P. Closed Reduction and Percutaneous Pinning for Treatment of Proximal Interphalangeal Joint Pilon Fractures // HAND. 2023. Vol. 18, № 1. P. 40–47. doi: 10.1177/1558944721990774
- Waris E., Nordback P.H. Percutaneous Intramedullary Reduction Technique for Impacted Middle Phalanx Base Fractures // Tech Hand Up Extrem Surg. 2022. Vol. 26, № 1. Р. 2–6. doi: 10.1097/BTH.0000000000000346
- Carpenter S., Rohde R.S. Treatment of Phalangeal Fractures // Hand Clinics. 2013. Vol. 29, № 4. P. 519–534. doi: 10.1016/j.hcl.2013.08.006
- Watanabe K., Kino Y., Yajima H. Factors affecting the functional results of open reduction and internal fixation for fracture-dislocations of the proximal interphalangeal joint // Hand Surgery. 2015. Vol. 20, № 1. Р. 107–114. doi: 10.1142/S021881041550015X
- Krakauer J.D., Stern P.J. Hinged Device for Fractures Involving the Proximal Interphalangeal Joint // Clinical Orthopaedics and Related Research. 1996. № 327. P. 29–37. doi: 10.1097/00003086-199606000-00006
- Suzuki Y., Matsunaga T., Sato S., Yokoi T. The pins and rubbers traction system for treatment of comminuted intraarticular fractures and fracture-dislocations in the hand // Journal of Hand Surgery (British and European Volume). 1994. Vol. 19, № 1. Р. 98–107. doi: 10.1016/0266-7681(94)90059-0
- Yang D.S., Lee S.K., Kim K.J., Choy W.S. Modified Hemihamate Arthroplasty Technique for Treatment of Acute Proximal Interphalangeal Joint Fracture-Dislocations // Annals of Plastic Surgery. 2014. Vol. 72, № 4. P. 411–416. doi: 10.1097/SAP.0b013e3182623988
Дополнительные файлы



















