Modern aspects in the treatment of intra-articular fractures and fractures of the proximal interphalangeal joints of the three-phalangeal fingers of the hand, as well as their consequences
- Authors: Golubev I.O.1, Merkulov M.V.1, Kusnetsov V.D.1, Bushuev O.M.1, Kutepov I.A.1, Baliura G.G.1
-
Affiliations:
- Priorov National Medical Research Center of Traumatology and Orthopedics
- Issue: Vol 30, No 3 (2023)
- Pages: 287-300
- Section: Original study articles
- Submitted: 15.03.2023
- Accepted: 17.07.2023
- Published: 03.11.2023
- URL: https://journals.eco-vector.com/0869-8678/article/view/321379
- DOI: https://doi.org/10.17816/vto321379
- ID: 321379
Cite item
Abstract
BACKGROUND: Proximal interphalangeal joint intra-articular fractures are a prevalent problem in traumatology and orthopedics. Damage typically develops at the base of the middle phalanx due to a collision with the head of the proximal phalanx. As a result, the finger’s function declines significantly, which inevitably impacts the function of the entire brush. Compared with long-standing injuries, treating patients with this pathology in the acute period of injury is more likely to result in limb function restoration. Suppose an intra-articular fracture is underestimated or missed in the early stages. In that case, the doctor may eventually encounter chronic pain syndrome, joint and/or stiffness, and more time-consuming treatment procedures. There are many methods of treatment for both “acute” and long-standing injuries, each with advantages and disadvantages.
OBJECTIVE: To describe, in our opinion, the most effective modalities of therapy for patients with these injuries in the early stages (up to 4 weeks from the time of injury) and long-term periods (more than 4 weeks).
MATERIALS AND METHODS: The Suzuki external fixation spoke device (pins and rubber traction system [PRTS]) was used to treat 26 patients with fractures and dislocations of the base of the middle phalanx of the three-phalangeal fingers of the hand in the acute period of injury. Arthroplasty of the base of the middle phalanx with a hook bone graft (hemihamate) with its modifications was used in the treatment of 23 patients with inadequately fused intra-articular fractures of the base of the middle phalanx of the three-phalangeal fingers of the hand. All patients underwent physical examinations, X-rays, and/or CT scans to diagnose and confirm or clarify the nature of the damage. All patients developed passive/active movements early in the operated section during the postoperative period.
RESULTS: The patient estimated the VAS pain syndrome at 4–6 points on the scale; however, after 6–8 weeks, this indicator was 0–1 points. After 6–8 weeks, the amplitude of movements in the proximal interphalangeal joint of the fingers from the average of 30–50° after 6–8 weeks, was reached the average of 15–95°. There was a 15–20° extensor contracture in two patients.
CONCLUSION: The treatment of patients with intra-articular fractures and fracture-dislocations in the proximal interphalangeal joint of the three-phalangeal fingers of the hand, as well as their consequences, is a complex current problem in traumatology and orthopedics with no one-word universal solution. To select treatment strategies, a comprehensive evaluation of the patient, correct verification and interpretation of the existing damage, and a thorough understanding of the anatomy of the fingers and the hand are required.
Full Text
BACKGROUND
The human hand is a composite organ characterized by a particular complexity of differentiated movements. Any trauma with a violation to the anatomical structure of the hand leads to changes in its biomechanics, limiting the patient’s ability to work [1]. Hand injuries account for 30% of all injuries to the musculoskeletal system [2]. Treatment of phalangeal fractures and metacarpal fractures is challenging [3]. The proximal interphalangeal (PIP) joint is the most commonly injured joint in the hand. Injuries to PIP joints are challenging to treat owing to the joint’s tendency for early stiffness and late detection of injuries, as they are often ignored or underestimated during initial patient presentation. Errors in diagnosing and treating these injuries occur in 28%−70% of cases, and unsatisfactory outcomes reach 16%−30% [3]. The main objective of treating patients with fracture dislocations of the interphalangeal joints of fingers are stabilization and early development of active movements [4]. When treating individuals with complex fracture dislocations, distant sequelae, such as pain syndrome and stiffness, and limitation of movement are often observed. The Eaton classification, proposed by Eaton and Malerich in 1980 [6], is prevalent in categorizing the subtypes of this type of lesions, as well as in selecting the method of treatment [5]. There are many treatment methods, but none guarantee a consistently good result [7]. The choice of treatment method depends on the degree of stability of the anatomical structures of the injured joint, the size of the bone fragment and the direction of its displacement, and the presence of concomitant damage to soft tissues that mainly are joint stabilizers [4].
The study aimed to describe treatment methods and consequences of intra-articular fractures and fracture dislocations of the PIP joints of the triphalangeal fingers of the hand.
MATERIALS AND METHODS
Study design
This was an observational, single-center, prospective, continuous, controlled, randomized, and simple-blind study. Patients were treated based on clinical indications using the necessary surgical methods to achieve the best treatment outcome.
Eligibility criteria
The study included patients with intra-articular fractures, fracture dislocations of the palmar and dorsal edges of the base of the middle phalanx, as well as with the consequences of these injuries during the chronic trauma period.
Terms and conditions of the event
The study involved patients treated in the 3rd Traumatology and Orthopedics Department of Microsurgery and Hand Trauma at the Priorov Central Institute for Trauma and Orthopedics (Moscow).
There were no specific inclusion factors.
Duration of the study
If the time interval from the moment of injury to seeking medical attention up to 4 weeks, it is considered as acute period. If the interval was longer than 4 weeks, the injuries were considered stale (consequences of acute trauma). The preoperative period averaged 1 day. The early postoperative period of inpatient observation usually lasted 4−5 days. Control examinations in outpatient mode were performed at 4, 6, and 8 weeks and at 4, 6, 8, 12, and 18 months.
Description of the medical intervention
In the preoperative period, all patients were comprehensively examined. Trauma history was collected. Clinical examination with determination of amplitudes of passive/active movements in the joints of the limb using a goniometer, palpation, and determination of the severity of pain syndrome using the visual analog scale (VAS) was performed. Radiation examination methods, such as radiography and/or computed tomography (CT), were used. If concomitant somatic pathology were present, an anesthesiologist and specialist physicians were consulted.
The volume of anesthesia was determined based on the patient’s age, number of previous surgeries if any, presence of concomitant pathology, and history of allergies and other somatic diseases. A combination of conduction anesthesia and sedation was preferred. Under the control of ultrasound navigation, an axillary block was performed on the side of the operated limb with ropivacaine 0.375%−0.5% solution in a single dosage not exceeding 2 mg/kg. Sedation was carried out due to intravenous propofol administration: induction of 1−2 mg/kg (bolus) and maintenance of constant infusion of 2−5 mg/kg/hour.
All patients received complex antibacterial, analgesic, and symptomatic therapy as indicated in the postoperative period. During hospitalization, daily dressings of postoperative wounds with antiseptic solutions were performed.
The course of surgery and postoperative rehabilitation tactics is described in detail in the text for each specific technique.
A method of hemiarthroplasty from the hook bone of the hand for injury to the palmar edge of the base of the middle phalanx
The hand was placed on an extension table in the supine position, and a pneumatic cuff was applied. The surgical field was treated three times with antiseptic solutions. A trapezoidal incision was made along the palmar surface in the projection of the PIP joints of the injured finger with skin flap withdrawal. Access to the flexor tendon canal was realized. The latter was U-shapedly dissected in the gap between the annular ligaments A2 and A4, and the canal flap was bent. The tendons of the superficial and deep flexors are isolated and withdrawn. The palmar plate was distally cut from the scar tissue, along with a fragment of the improperly fused palmar edge of the base of the middle phalanx. The collateral ligaments were proximally cut from the head of the proximal phalanx. Dislocation of the PIP joints to the rear was performed, and scar tissue was excised. The area of damage to the articular surface of the palmar edge of the base of the middle phalanx was detected, and an economical resection of the damaged part of the phalanx was performed. Measurements of the middle phalanx defect were made. A separate linear skin incision was made along the dorsal surface of the hand in the area of the IV−V carpal–carpal (CMC) joint. The joint capsule was longitudinally dissected. The articulation of the hook bone with the bases of the IV−V metacarpal bones was identified. A tangential osteotomy of the dorsal surface of the metacarpal bases was performed using a chisel. Based on the size of the middle phalanx defect, a graft from the hook bone was marked and isolated. The graft was fixed to the phalanx with a bone holder, alternately drilled in the dorsal direction, and affixed with two 1.5 mm screws to the dorsal edge of the middle phalanx. The phalanx dislocation was repositioned and checked using an electron optical transducer (EOT). The positions of the phalanges and screws are confirmed to be correct. The capsule in the area of the CMC joint was sutured with passive drainage. The distal edge of the palmar plate and the proximal ends of the collateral ligaments are sutured together, harboring the screws. The flexor tendon capsule flap is passed under the tendons and sutured from the cutoff site. The skin flap is sutured with knotted sutures. An aseptic dressing is applied. Fixation in a posterior plaster cast bandage in the position of flexion in PIP joints at 30° (Figs. 1−8).
Fig. 1. The appearance of the limb.
Fig. 2. X-ray picture.
Fig. 3. a — skin incision with flap formation, b — the flexor tendons sheath is dissected, c — flexor tendons are withdrawn, the palmar plate is visualized.
Fig. 4. a — dislocation of the proximal interphalangeal joint after cutting off the palmar plate and collateral ligaments (“shotgunning”), b — marking of the resection zone, c — approach to the IV–V carpometacarpal joints.
Fig. 5. Isolated bone autograft of the hamate.
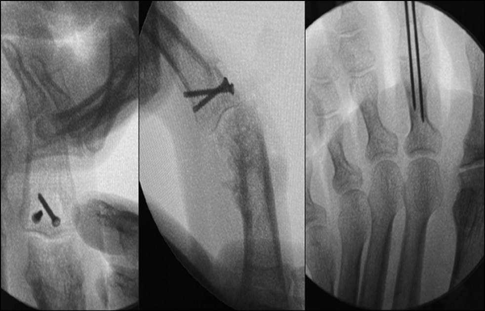
Fig. 6. X-ray control after fixation of the graft with screws.
Fig. 7. Intraoperative picture after fixation of the graft with screws.
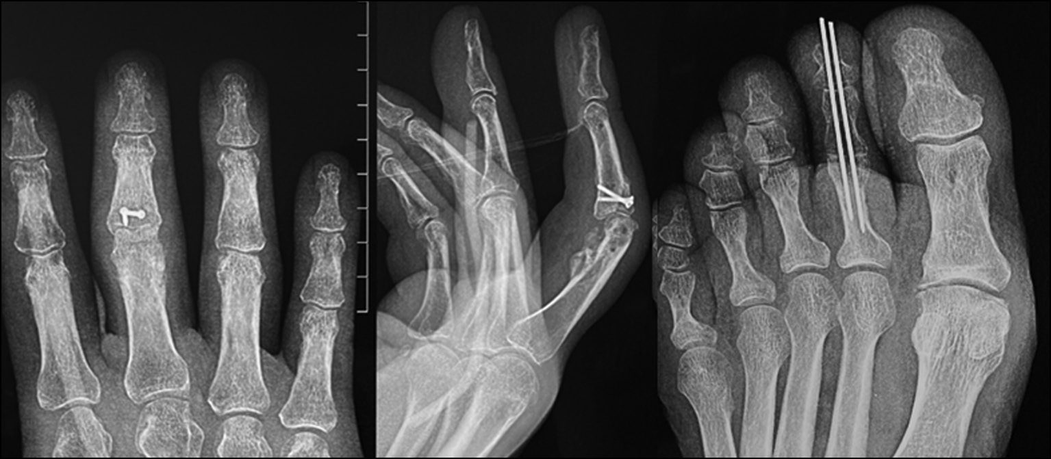
Fig. 8. The result in 2 months after the operation.
Modification of the hemiarthroplasty method in the treatment of patients with damage to the palmar edge of the base of the middle phalanx of the triphalangeal fingers of the hand
In the preoperative period, multislice spiral CT was used to determine the spatial visualization of the affected bony anatomical structures of the fingers and the features of malunion fractures of the palmar edge of the base of the middle phalanx of the patient’s triphalangeal fingers. The results of multislice spiral CT are stored in DICOM format and transferred to Dolphin Imaging to form DICOM files. A solid three-dimensional (3D) model of the STL phalanx of the patient’s damaged finger and the necessary bone autograft is formed, showing the affected bone anatomical structures and anomalies of the damaged phalanx made of biocompatible and non-toxic polymer material. Acrylonitrile butadiene styrene, polyethylene terephthalate with glycol, or polylactide is used as biocompatible and non-toxic polymeric material.
Virtual planning of the stages of surgical treatment is performed using the 3D model of the phalanx of the damaged finger and the bone autograft model. Intraoperatively, the same stages of hemiarthroplasty are performed only with the use of an individual fitting template, which allows the most accurate resection of the damaged part of the phalanx and the allocation of the hook bone autograft. This makes it possible to improve the treatment result, speed up the operation, and make it more comfortable for the operating surgeon.
There is a patent for invention No. 2785748, “Method of surgical treatment of fracture dislocations of the palmar edge of the base of the middle phalanx of the triphalangeal fingers,” dated 12.12.2022 (Figs. 9−13).
Fig. 9. Analysis and marking of computed tomography.
Fig. 10. Digital visualization of the resection zone and the future autograft of the hamate.
Fig. 11. Created solid-state individual fitting template made of polyacrylate.
Fig. 12. Fitting the template during the operation. IV — 4th metacarpal bone, V — 5th metacarpal bone, H — hamate bone.
Fig. 13. Comparison of the template with the selected bone autograft.
Method of treatment of patients with damage to the dorsal edge of the base of the middle phalanx accompanied by failure of the central bundle of the tendon of the common extensor tendon of the triphalangeal fingers of the hand
In the preoperative period, a computed tomographic study of the patient’s injured hand and contralateral foot is performed. Spatial visualization of the injured middle phalanx and middle phalanx of the second toe is performed. A solid polyacrylate template is created, corresponding to the dimensions of the future resection of the area of the damaged base of the middle phalanx, comparable with the dimensions of the future bone autograft from the dorsal edge of the base of the middle phalanx of the second toe.
In the supine position, the hand was placed on an extension table, and a pneumatic cuff was applied. An arc-shaped incision was made along the dorsal surface in the projection of the PIP joint of the injured finger of the hand, involving the removal of a skin flap. Blunt and sharp access to the extensor tendon and joint capsule was achieved. The lateral legs of the extensor tendon were isolated and withdrawn. The joint capsule was dissected transversely. Dislocation of the PIP joint to the rear was performed, and scar tissue was excised. The damaged area to the articular surface of the dorsal edge of the base of the middle phalanx was identified, and a sparing resection of the damaged portion of the phalanx was performed using a pre-created 3D template. A pre-created individual polyacrylate template was attached to visualize the necessary parameters of the future graft from the middle phalanx of the second toe of the left foot. A separate linear skin incision was made along the dorsal surface of the PIP joint area of the II toe of the contralateral foot. The central bundle of the tendon of the long extensor tendon of the toe was isolated. The phalanx was marked according to the dimensions of the middle phalanx defect using a 3D template. An osteotomy of the outlined section of the middle phalanx of the second finger was performed using an oscillatory saw. Using a chisel, a fragment was isolated from the wound, cutting off the central bundle of the long extensor tendon 4 cm from the attachment site. The graft was fixed to the phalanx with a bone holder and alternately drilled in the palmar direction. Two 1.5 mm screws were inserted to fix the graft with the palmar edge of the middle phalanx. The phalanx dislocation was corrected. EOT control was performed, and the position of the phalanges and screws was correct. Arthrodesis of the PIP joint of the second toe with spokes was performed. A layer-by-layer suture of the wound of the II toe of the left foot and rubber drainage were performed. The suture of the tendon end of the graft with the central bundle of the common extensor bundle of the wrist finger was performed using U-shaped sutures, along with adaptation sutures of the tendon edges. The skin flap was sutured with knotted sutures. An aseptic dressing was applied. Fixation in a palm plaster bandage in the position of flexion in the PIP joint was at 30°.
There is a patent application for invention No. 2022133417, “Method of surgical treatment of malpositioned fracture dislocations of the dorsal edge of the base of the middle phalanx of the triphalangeal fingers of the hand using an autograft from the middle phalanx of the second toe of the patient’s contralateral foot,” dated 20.12.2022 (Figs. 14−23).
Fig. 14. Appearance and X-ray picture.
Fig. 15. Marking of computed tomography.
Fig. 16. Created solid-state template made of polyacrylate.
Fig. 17. Digital modeling.
Fig. 18. Comparison of the graft template with the phalanx model.
Fig. 19. Isolation of autograft of the toe with extensor tendon.
Fig. 20. The relationship of the graft and the phalanx model.
Fig. 21. X-ray control after osteosynthesis of the graft and arthrodesis of the proximal interphalangeal joint of the toe.
Fig. 22. X-ray control 2 months after the operation.
Fig. 23. Appearance and function 2 months after the operation.
Thanks to these templates, it was possible to accurately assess the defect of the base of the middle phalanx intraoperatively, resect the malalignment zone, and mark and isolate the bone autograft.
Full immobilization with a bandage is performed within 2 weeks after surgery. Radiologic and/or tomographic control of the operated limb segment are performed on days 2 and 3 post-surgery. In weeks 3 and 4, patients are recommended to develop passive/active movements 3–5 times a day.
On follow-up examinations, an increase in the amplitude of passive/active movements in the joint was assessed.
Methods of recording outcomes
Clinical examination methods were used to record treatment outcomes, including interview, palpation, determination of the amplitude of joint movements using a goniometer, and assessment of pain syndrome severity using VAS. Additionally, radiation examination methods, such as radiography and/or CT, were employed.
Ethical review
It was not conducted.
RESULTS
Treatment of patients with fracture dislocation of the base of the middle phalanx of the triphalangeal fingers in the acute period of trauma
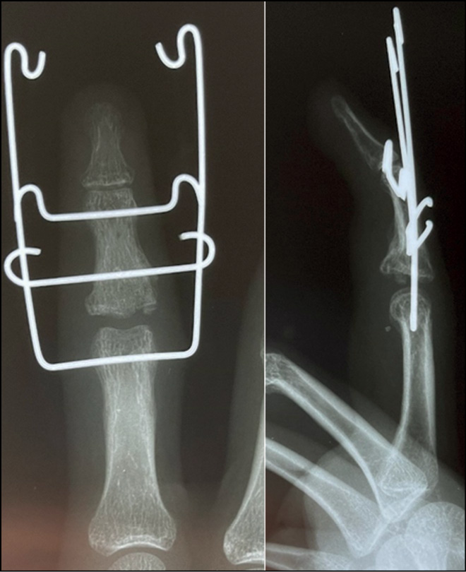
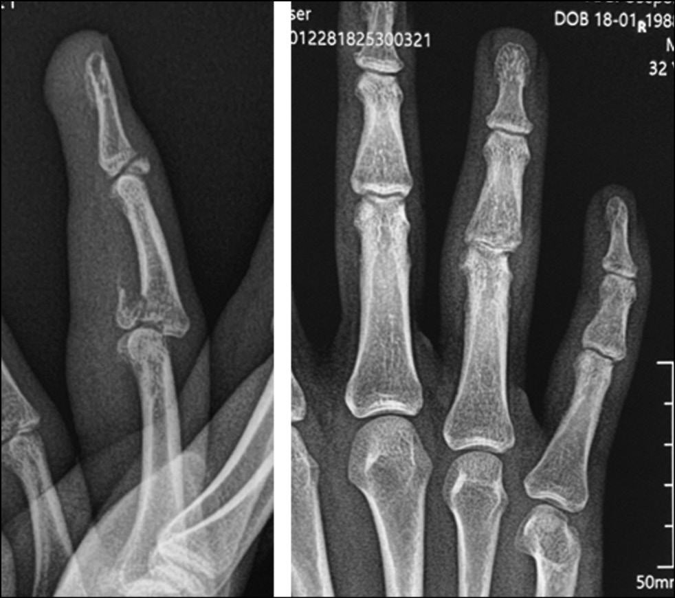
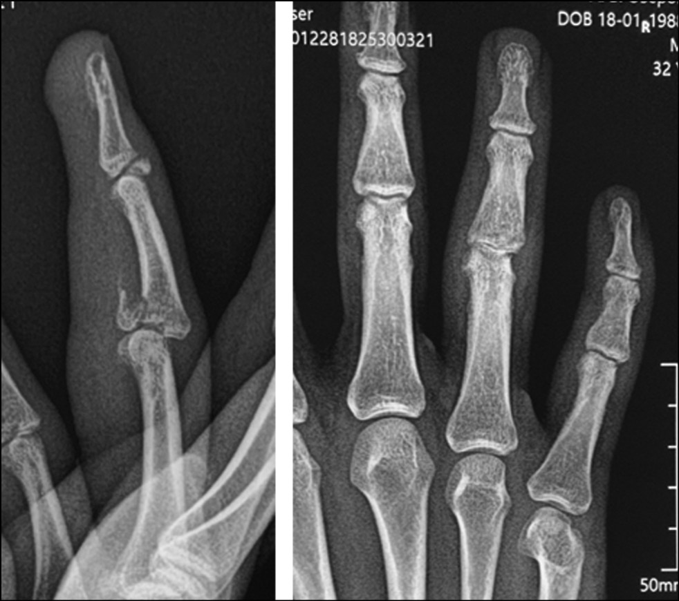
During 2021−2022, 26 patients (23 men and 3 women) with fracture dislocation of the middle phalanx base of triphalangeal fingers of hand in the acute period of trauma sought care. The average age was 31 years (16–46 years). The mechanism of injury was axial direction of force (impact) with rear deviation. All patients underwent preoperative diagnosis: radiography and clinical assessment of the amplitude of motion in the joint. Avulsive (detached) fractures of the palmar edge of the middle phalanx base with its dorsal subluxation were determined by radiologic signs. According to the Eaton classification, the patients were categorized as group IIIa. In all cases, the amplitude of movements in PIP joints was sharply limited by pain syndrome. Pain syndrome at the moment of attempted flexion in the joint was from 6 to 8 points on VAS. It was decided to treat all these patients with fixation of the injured finger in the Suzuki distraction-reposition external fixation apparatus (Figs. 24−29). This apparatus was described by Y. Suzuki in 1994 and represents t system of intraoperatively modeled three Kirschner spokes connected by rubber ties [8].
Fig. 24. Appearance before surgery.
Fig. 25. X-ray picture before surgery.
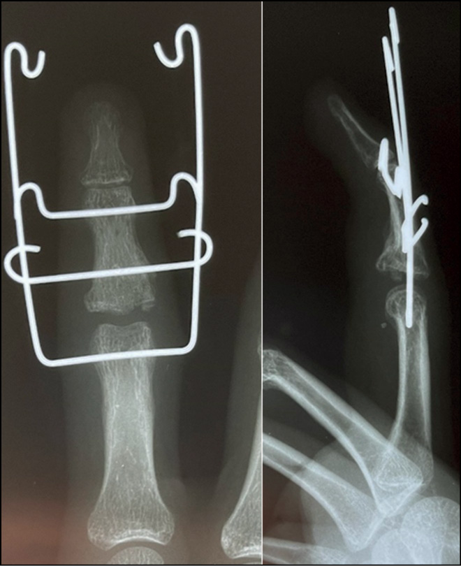
Fig. 26. X-ray control after surgery. Suzuki pins and rubber traction system.
Fig. 27. Appearance after surgery. Suzuki pins and rubber traction system.
Fig. 28. Development of active movements in Suzuki pins and rubber traction system.
Fig. 29. The results of treatment after 3 months from the date of surgery.
Intraoperatively, a 1.2 mm Kirschner spoke was inserted through the head of the proximal phalanx along the axis of rotation in the PIP joint (axial), with the ends of the spoke bent at 90°. A similar spoke is passed through the head of the middle phalanx along the axis of rotation in the distal interphalangeal joint; the ends of the spoke are also bent at 90°. Opposite bends (loops) are created at the ends of the curved shoulders of the spokes, ensuring a distance of 2.5 cm between them. Next, the third (repositioning) spoke is passed through the base of the middle phalanx as proximal as possible to the fracture zone; it is displaced to the rear relative to the phalanx axis and should pass under the shoulders of the axial spoke. Elastic rings, each 1 mm thick and cut from the rubber injection unit of an intravenous infusion system, are stretched over the bends of the first two predissected spokes. The degree of tension (distraction) of the spoke system (indicated by the number of elastic rings) is determined intraoperatively radiologically, based on size of the interarticular gap. Repositioning component of the system is accomplished by passing the middle phalanx base spoke displaced to the rear under the axial spoke. The last guided spoke is bent around the axial spoke to prevent displacement from under it but not to limit sliding between them.
Fixation in this system was carried out for 4 weeks. On day 1, the patient is trained to develop movements in the PIP joint passively. On day 2, the patient begins to perform active movements in the joint, and a radiologic control study is conducted to determine the degree of distraction and the need for its correction. It is acceptable to increase the joint gap to 4−5 mm, but the most desirable is 2−3 mm. During the outpatient phase of treatment, the patient is recommended to develop passive/active movements three to five times a day.
On follow-up examinations, an increase in the amplitude of passive/active movements in the joint and regression of pain syndrome are evaluated.
At the follow-up examination at the time approaching 4 weeks, in one patient, there were signs of superficial inflammation at the axial spoke sites, which did not affect the process and outcome of treatment.
Treatment of patients with malunion of intra-articular fracture of the base of the middle phalanx of the triphalangeal fingers in the delayed period
In 2021−2022, 23 patients with malunion fractures of the palmar edge of the base of the middle phalanx of the triphalangeal fingers were surgically treated using the hemiarthroplasty method and its modifications. Three patients with damage to the dorsal edge of the base of the middle phalanx accompanied by damage to the central bundle of the common extensor tendon were treated with autograft arthroplasty from the base of the middle phalanx of the second toe. All patients were men; the average age was 51 years (36 to 68 years).
All patients underwent preoperative diagnostics: radiography, computed tomographic study, and clinical evaluation of the range of motion in the joint. According to the radiological and tomographic signs, the fractures of the palmar edge of the base of the middle phalanx with its dorsal subluxation, and in three cases fractures of the dorsal edge of the base of the middle phalanx with palmar subluxation, accompanied by failure of the central bundle of the tendon of the common extensor tendon of the finger, were determined as malunion fractures. According to the Eaton classification, they are categorized as groups IIIa and IIIb. In all cases, the amplitude of movements in PIP joints was sharply limited; flexion was up to 30°. Pain syndrome at the moment of attempted flexion in the joint was assessed by patients ranging from three to four points on VAS.
During preoperative preparation stage, customized 3D templates made of polymer material from the polyacrylate group (MED610) were created for each patient, repeating the exact anatomical landmarks and dimensions of the normal section of the damaged edge of the base of the middle phalanx of the finger, recreated from the same phalanx of the contralateral hand, and, in case of damage to the rear edge, recreated from the middle phalanx of the second toe of the contralateral foot.
At 6−8 weeks after surgery, all patients had an increase in the amplitude of movements in PIP joints up to 80−95°. The VAS pain syndrome was reduced to 0−1 points. The patients denied pain syndrome in the donor hand area at 6 weeks. Consolidation of the fragment of the palmar edge of the base of the middle phalanx was noted on control radiographs.
The primary outcome of the study
The main criteria of the treatment outcome were the assessment of the total amplitude of movements in the operated joint and the degree of pain syndrome severity assessed by VAS.
Subgroup analysis
Patients were divided into two groups based on the age of injury before surgical treatment. Group 1 included patients in the acute period of trauma up to 4 weeks old. Group 2 included patients with long-standing intra-articular injuries (consequences of acute trauma) exceeding 4 weeks.
Undesirable events
In four patients treated in the acute period of trauma with the Suzuki distraction and repositioning apparatus, a superficial inflammatory process was noted at the sites of the apparatus spokes passage. In one patient, excessive distraction in the PIP joint under the conditions of the apparatus was obtained.
DISCUSSION
In the acute period of trauma, good treatment results were obtained using the method of finger fixation in the Suzuki spoke distraction-reposition apparatus. There was a 5-fold decrease in VAS pain syndrome intensity and a 3.7-fold increase in the total amplitude of movements in the PIP joint by 4−6 months after treatment with the Suzuki apparatus compared with conservative methods of therapy (p < 0.01).
When treating patients with long-standing trauma by hemiarthroplasty, a 6-fold decrease in VAS pain intensity and a 3-fold increase in the total amplitude of movements in the PIP joint by 12 months after hemiarthroplasty were achieved (p < 0.01).
The proposed tactic, improving the method of hemiarthroplasty, allows the most accurate planning and intraoperative isolation of the hook bone-cartilage autograft. This ensures its accurate juxtaposition in the recipient area, thus improving the indices of the total amplitude of movements of PIP joints in the distant postoperative period, as well as reducing the time of the operating session.
The developed treatment method of patients with damage to the dorsal edge of the middle phalanx and the central bundle of the common extensor tendon enables the reconstruction of the middle phalanx base and performance of extensor tendon plasty as a single procedure.
CONCLUSION
Treatment of patients with intra-articular fractures and fracture dislocations in the PIP joint of the triphalangeal fingers, as well as their consequences, is a complex and urgent problem in traumatology and orthopedics that does not have an unambiguous universal solution. The choice of treatment tactics requires a multifactorial examination of the patient and correct verification and interpretation of the existing injury, which is possible with a deep understanding of the anatomy of the fingers and hand as a whole. When treating patients with intra-articular fractures and fracture dislocations of the middle phalanx base in the acute period of trauma, excellent and good results were obtained using the Suzuki distraction-reposition apparatus. In treating patients with the consequences of intra-articular injuries, good results were obtained using the method of hemiarthroplasty with the bone-cartilage autograft from the hook bone. A treatment method for patients with a defect of the dorsal edge of the middle phalanx base, accompanied by damage to the central bundle of the tendon of the common extensor tendon of the fingers, is presented.
ДОПОЛНИТЕЛЬНО
Вклад авторов. Все авторы подтверждают соответствие своего авторства международным критериям ICMJE (все авторы внесли существенный вклад в разработку концепции и подготовку статьи, прочли и одобрили финальную версию перед публикацией). Наибольший вклад распределён следующим образом: В.Д. Кузнецов — курация, хирургическое лечение пациента, обзор литературы, сбор и анализ литературных источников, подготовка и написание текста статьи; И.О. Голубев, М.В. Меркулов, О.М. Бушуев, И.А. Кутепов, Г.Г. Балюра — курация, хирургическое лечение пациента, обзор литературы, сбор и анализ литературных источников.
Источник финансирования. Не указан.
Конфликт интересов. Авторы декларируют отсутствие явных и потенциальных конфликтов интересов, связанных с публикацией настоящей статьи.
Информированное согласие на публикацию. Авторы получили письменное согласие пациентов на публикацию медицинских данных и фотографий.
ADDITIONAL INFO
Author’s contribution. Thereby, all authors made a substantial contribution to the conception of the work, drafting and revising the work, final approval of the version to be published and agree to be accountable for all aspects of the work. V.D. Kuznetsov — curation, surgical treatment of the patient, literature review, collection and analysis of literary sources, designed the study, wrote the manuscript with input from all authors; I.O. Golubev, M.V. Merkulov, O.M. Bushuev, I.A. Kutepov, G.G. Baliura — curation, surgical treatment of the patient, literature review, collection and analysis of literary sources.
Funding source. Not specified.
Competing interests. The authors declare that they have no competing interests.
Consent for publication. Written consent was obtained from the patient for publication of relevant medical information and all of accompanying images within the manuscript.
About the authors
Igor O. Golubev
Priorov National Medical Research Center of Traumatology and Orthopedics
Email: iog305@mail.ru
ORCID iD: 0000-0002-1291-5094
SPIN-code: 2090-0471
MD, Dr. Sci. (Med.), Traumatologist-Orthopedist
Russian Federation, MoscowMaksim V. Merkulov
Priorov National Medical Research Center of Traumatology and Orthopedics
Email: mailmerkulovmv@cito-priorov.ru
ORCID iD: 0009-0004-9362-3449
SPIN-code: 4695-3570
MD, Dr. Sci. (Med.), Traumatologist-Orthopedist
Russian Federation, MoscowVasily D. Kusnetsov
Priorov National Medical Research Center of Traumatology and Orthopedics
Author for correspondence.
Email: dr.kuznetsovvd@gmail.com
ORCID iD: 0000-0003-1745-8010
SPIN-code: 4093-7566
Post-Graduate Student, Traumatologist-Orthopedist
Russian Federation, MoscowOleg M. Bushuev
Priorov National Medical Research Center of Traumatology and Orthopedics
Email: bushuevom@cito-priorov.ru
ORCID iD: 0009-0002-0051-2666
SPIN-code: 9793-5486
MD, Cand. Sci. (Med.), Traumatologist-Orthopedist
Russian Federation, MoscowIlya A. Kutepov
Priorov National Medical Research Center of Traumatology and Orthopedics
Email: kutepovia@cito-priorov.ru
ORCID iD: 0009-0001-3802-2577
SPIN-code: 6598-7387
MD, Cand. Sci. (Med.), Traumatologist-Orthopedist
Russian Federation, MoscowGrigoriy G. Baliura
Priorov National Medical Research Center of Traumatology and Orthopedics
Email: balyuragg@cito-priorov.ru
ORCID iD: 0000-0002-1656-1406
SPIN-code: 6581-4371
MD, Cand. Sci. (Med.), Traumatologist-Orthopedist
Russian Federation, MoscowReferences
- Korshunov VF, Magdiev DA, Barsuk VI. Udlinenie kul’tej pal’cev kisti i ustranenie ukorochenij falang i pyastnyh kostej. Vestnik travmatologii i ortopedii im. N.N. Priorova. 2004;(1):66–70. (In Russ).
- Gil’mutdinova LT, Kutliahmetov NS, Sahabutdinova AR. Medicinskaya reabilitaciya bol’nyh s travmami verhnih konechnostej. Fundamental’nye issledovaniya. 2014;10(4):647–650. (In Russ).
- Korshunov VF, Magdiev DA, Barsuk VI. Stabil’nyj intramedullyarnyj osteosintez pri perelomah pyastnyh kostej i falang pal’cev kisti. Vestnik travmatologii i ortopedii im. N.N. Priorova. 2000;(2):22–26. (In Russ). doi: 10.17816/vto101596
- Caggiano NM, Harper CM, Rozental TD. Management of Proximal Interphalangeal Joint Fracture Dislocations. Hand Clinics. 2018;34(2):149–165. doi: 10.1016/j.hcl.2017.12.005
- Jha P, Bell D, Hacking C. Keifhaber-Stern classification of volar plate avulsion injuries of hand. Radiopaedia.org [cited 2023 Sep 26]. Available from: https://radiopaedia.org/articles/47255
- Jha P, Weerakkody Y, Hacking C, et al. Eaton classification of volar plate avulsion injury. Radiopaedia.org [cited 2023 Sep 26]. Available from: doi: 10.53347/rID-47254
- Lo CH, Nothdurft SH, Park H-S, Paul E, Leong J. Distraction ligamentotaxis for complex proximal interphalangeal joint fracture dislocations: a clinical study and the modified pins rubber band traction system revisited. Burns Trauma. 2018;6:23. doi: 10.1186/s41038-018-0124-1
- Suzuki Y, Matsunaga T, Sato S, Yokoi T. The pins and rubbers traction system for treatment of comminuted intraarticular fractures and fracture-dislocations in the hand. Journal of Hand Surgery (British and European Volume). 1994;19(1):98–107. doi: 10.1016/0266-7681(94)90059-0
Supplementary files
































