Anatomical and functional guidelines for the correction hindfoot malalignment
- Authors: Shkuro K.V.1, Zeinalov V.T.1, Arapova I.A.1, Levin A.N.1, Vasiliev D.O.1
-
Affiliations:
- Priorov National Medical Research Center of Traumatology and Orthopedics
- Issue: Vol 30, No 1 (2023)
- Pages: 15-28
- Section: Original study articles
- Submitted: 21.03.2023
- Accepted: 24.04.2023
- Published: 27.06.2023
- URL: https://journals.eco-vector.com/0869-8678/article/view/321523
- DOI: https://doi.org/10.17816/vto321523
- ID: 321523
Cite item
Full Text
Abstract
BACKGROUND: The techniques for the surgical correction of a hindfoot valgus deformity usually include both bony and soft-tissue techniques, depending on the deformity severity. Medializing calcaneal osteotomy (MCO) is one of the main surgical techniques used to correct such deformities. However, the degree of deformity in different patients can vary significantly; thus, using the above principle, the degree of calcaneal postoperative correction can vary considerably. Based on data from various authors, patients with an insufficient correction of the heel bone axis have a residual valgus in the hindfoot. However, the lack of complete correction may result in the persistence of complaints and corrected limb recurrence.
OBJECTIVE: To improve the surgical treatment of hindfoot malalignment.
MATERIAL AND METHODS: The study analyzed treatment results of patients with ankle sprain in the Center Traumatology and Orthopedics (Moscow) between 2012 and 2020. All implantations were performed by two surgeons. The total number of patients is 60. Fifty-five patients with follow-up periods of over 12 months after the procedure were available for a retrospective analysis and assessment of results. The study enrolled 20 men and 35 women, with a mean age of 61.6 (18,5–40,7) years years. The mean follow-up period is 62 (18–80) months.
RESULT: The mean change in the Foot and Ankle Outcome Score (FAOS) pain subscale was 27.9 (range, −8.3 to 63.9) for the moderate varus group (n = 16), 41.2 (range, 5.6–66.7) for the mild varus group (n = 17), and 22.3 (range, −58.3 to 63.9) for the valgus group (n = 18). In addition, patients with mild varus demonstrated better clinical outcomes than those with valgus; however, this difference was not statistically significant (p=0.11). No differences were found between groups in the change in scores for daily activities (p=0.26), sports activities (p=0.06), or quality of life (p=0.17) subscales of the FAOS.
CONCLUSION: Patients with mild varus hindfoot alignment showed significantly greater improvement than those with valgus with respect to the FAOS pain subscale and significantly greater improvement than those with moderate varus in the FAOS symptoms subscale.
Full Text
ВВЕДЕНИЕ
Требующие хирургической коррекции вальгусная деформация или вальгусное отклонение пяточной кости чаще всего наблюдаются в практике травматолога-ортопеда при приобретённой плоскостопной деформации взрослых (adult-acquired flatfoot deformity, AAFD), начиная со II стадии. Нередко такая картина встречается при посттравматических вальгусных деформациях пяточной кости, где наряду с посттравматическим артрозом подтаранного сустава, имеет место комплекс деформаций разной степени ригидности, включая коллапс медиальной колонны стопы, отведение передней части стопы, подвывих с недопокрытием суставной поверхности головки таранной кости в таранно-ладьевидном суставе, а также вальгусную установку заднего отдела стопы.
Эти изменения характеризуются схожей картиной при посттравматической и стато-динамической деформации как клинически, так и рентгенологически. Они являются результатом угловой вальгусной деформации, обуславливающей смежные деформации, а также дисфункцию сухожилия задней большеберцовой мышцы в сочетании с прогрессирующей недостаточностью связочного аппарата медиальной колонны, поддерживающего свод стопы, которые дополняют и усугубляют общую картину патологических изменений [1–5].
Тактика хирургической коррекции вальгусной деформации заднего отдела стопы обычно включает в себя как костные, так и мягкотканные техники, определяющиеся тяжестью деформации.
Одной из основных методик в комплексе хирургических техник коррекции подобных деформаций является медиализирующая пяточная остеотомия, МПО. Согласно обширному ретроспективному анализу, проведённому по данным клинических и рентгенологических исследований за последние 10 лет, а также данным литературы [3–6], МПО может быть использована для восстановления соосности сегментов стопа – голень, снижения нагрузки на медиальную колонну, а также нормализации нагрузки на таранно-ладьевидный сустав, улучшая или восстанавливая соотношение в последнем. Кроме этого, изменения положения ахиллова сухожилия в направлении функционирования, как инвертора пяточной кости, в комплексе всех перечисленных аспектов, приводят к значительному улучшению результатов лечения пациентов [7–12].
Несмотря на частое использование техники МПО при реконструкции вальгусной деформации заднего отдела стопы, имеется несколько устоявшихся принципов, определяющих объём выполняемого медиального смещения.
Наиболее часто встречающийся в литературе объём интраоперационного медиального смещения бугра пяточной кости составляет 10 мм. Существует также биомеханическое исследование, подтверждающее рациональность выбора данной величины [11, 13–19]. Несмотря на это, степень деформации у различных пациентов может значительно отличаться и, соответственно, используя вышеперечисленный принцип, степень послеоперационной коррекции пяточной кости может существенно варьировать.
Кроме того, трудности в оценке степени коррекции пяточной кости в момент операции могут привести к тому, что объём выполняемой коррекции при схожих начальных показателях будет различаться у разных хирургов. Также отсутствие унифицированных показателей может обусловливать неприемлемые результаты хирургического лечения.
На основании данных различных авторов, пациенты с недостаточной коррекцией оси пяточной кости имеют остаточную вальгусную деформацию заднего отдела стопы. Отсутствие же полноценной коррекции может привести к сохранению жалоб, а также к рецидиву корректируемой конечности. С другой стороны, чрезмерная коррекция вальгусного отклонения может привести к избыточному давлению в области латеральной колонны стопы и вызвать дискомфорт у пациента в этой области [14, 20–22].
Анализ данных литературы отчётливо отражает связь между величиной смещения пяточной кости интраоперационно, во время МПО, и степенью коррекции деформации заднего отдела стопы после реконструкции. Несмотря на это, очевидным является тот факт, что оценка необходимого смещения бугра пяточной кости должна проводиться в ходе предоперационного планирования.
Изученные нами данные не дают ответа на следующие вопросы: на какие ориентиры необходимо равняться при предоперационном планировании, интраоперационно и при оценке клинических исходов [4, 23–25]. Мы надеемся, что это исследование поможет найти необходимые ответы.
Пациенты с посттравматической вальгусной деформацией пяточной кости, принявшие участие в нашем исследовании, последовательно прошли анкетирование, определяющее уровень физической активности как в до-, так и в послеоперационном периоде. Гипотеза, которую мы хотим подтвердить, основывается на нашем стойком убеждении, что лучшие результаты будут достигнуты у пациентов с коррекцией до небольшого варусного положения пяточной кости.
Цель исследования — определить взаимосвязь между степенью выполненной коррекции и результатом хирургического лечения, основываясь на шкале FAOS (Foot and Ankle Outcome Score).
МАТЕРИАЛЫ И МЕТОДЫ
Дизайн исследования
Проведено ретроспективное когортное контролируемое исследование.
Критерии соответствия
Критерии включения:
- у всех пациентов присутствовали травма в анамнезе, а также вальгусное отклонение пяточной кости на фоне неправильно сросшегося перелома пяточной кости;
- в ходе оперативного вмешательства применялась техника МПО;
- всем пациентам проводили оценку уровня функциональной активности по шкале FAOS до операции и (22 мес и более) после неё;
- осуществлялась рентгенологическая оценка на сроках не менее 48 нед с момента операции.
Ряд пациентов были исключены из исследования, поскольку в ходе их лечения была выполнена реконструктивная операция на контралатеральной конечности, что, как мы посчитали, могло вызвать искажение результатов исследования. Несмотря на сомнения, мы включили в исследование пациентов с артродезом таранно-ладьевидного и подтаранного сустава, Cotton-остеотомией и транспозицией сухожилия длинного сгибателя пальцев на сухожилие задней большеберцовой мышцы, поскольку посттравматический характер патологии этой области в большинстве случаев подразумевает данные техники.
Условия проведения
Исследование было проведено в НМИЦ травматологии и ортопедии им. Н.Н. Приорова (Москва) с января 2012 по декабрь 2020 года.
Методы оценки целевых показателей
Для оценки результатов вмешательства использовали клинический, инструментальный, статический метод. Все оперативные вмешательства по коррекции посттравматической вальгусной деформации пяточной кости в группе пациентов выполнялись двумя хирургами, имеющими опыт в области хирургии стопы и голеностопного сустава сроком не менее 5 лет.
Данные, используемые для исследования, включали антропометрические показатели, рентгенологические данные, пред- и послеоперационную оценку по FAOS.
Для анализа использованных дополнительных реконструктивных методик в ходе коррекции деформации, таких как МПО, артродез таранно-ладьевидного и/или подтаранного сустава, Cotton-остеотомия или транспозиция сухожилия длинного сгибателя пальцев на сухожилие задней большеберцовой мышцы, были изучены протоколы хирургических вмешательств.
В первоначальном поиске нами было проанализировано 60 клинических случаев. После исключения 5 пациентов ввиду описанных выше причин в исследование были включены 55 человек с посттравматической вальгусной деформацией пяточной кости на фоне неправильно сросшегося перелома.
Оценка результатов лечения
Клинические результаты лечения оценивали при помощи шкалы FAOS, определяющей уровень физической активности пациента. FAOS — это заполняемый пациентом субъективный опросник по оценке функционального состояния стопы и голеностопного сустава, который был впервые введён в практику для American Association of Franchisees and Dealers (AAFD), а в настоящее время широко распространён в большинстве стран мира [17, 26–29]. Опрос состоит из 42 вопросов, сгруппированных по пяти направлениям (субшкалам): боль, другие симптомы различного характера, повседневная деятельность, занятия спортом и собственная оценка качества жизни. Пациенты самостоятельно оценивают степень выраженности тех или иных признаков, таких как отсутствие, легкое проявление, умеренно выраженные, тяжёлые или экстремально (чрезвычайно) беспокоящие симптомы. Кроме того, частота проявления симптомов также имеет градацию: 1) никогда, редко, иногда, часто или всегда; 2) никогда, ежемесячно, еженедельно, ежедневно или всегда. Опрос оценивается от 0 (экстремально выраженные симптомы) до 100 баллов (отсутствие симптомов) для каждой из групп (субшкалы). При этом подсчёт общего балла (сумма данных всех субшкал) не осуществляется. Для контроля вариабельности внутри каждого направления расчёт по FAOS производят как в пред-, так и в послеоперационном периоде.
Предоперационная FAOS-оценка каждого пациента проводилась по возможности как можно ближе к моменту реконструктивной операции. В послеоперационном периоде с целью определения наиболее достоверных результатов оперативного лечения опрос пациентов осуществляли в сроки от 22 мес с момента операции.
Поскольку пациенты не обязаны отвечать на каждый вопрос в опросе FAOS, если они считают, что конкретные вопросы по каким-либо причинам неприменимы, число набранных баллов в отдельно взятых направлениях может варьировать между пациентами, что приводит к различиям в числе пациентов, включённых в анализ для каждой группы по направлениям оценки результатов (табл. 1).
Таблица 1. Число пациентов после коррекции деформации заднего отдела стопы, которые были анкетированы по FAOS*
Table 1. Number of patients after hindfoot deformity correction who were surveyed by FAOS*
Hindfoot moment arm | Число | Отсутствие боли | Отсутствие симптомов | Ограничений ежедневной активности нет | Ограничений спортивной активности нет | Ограничений по качеству жизни нет |
«Вальгус» (вальгизация ≥0 мм) | 18 | 18 | 18 | 18 | 9 | 18 |
«Умеренный варус» (>0 до 5 мм варусного отклонения) | 17 | 17 | 16 | 15 | 12 | 17 |
«Варус» (>5 мм варусного отклонения) | 20 | 16 | 19 | 19 | 17 | 20 |
Примечание. * Пациенты не обязаны отвечать на все вопросы, и, следовательно, некоторые из них могут не иметь баллов по каждой субшкале.
Note. *Patients are not required to answer all questions and therefore some patients may not score on each subscale.
Другие техники, применяемые нами в ходе реконструктивной операции, включали артродез таранно-ладьевидного сустава (n = 28), артродез подтаранного сустава (n = 39), Cotton-остеотомию (n = 19) и транспозицию сухожилия длинного сгибателя пальцев — FDL (n = 5; табл. 2).
Таблица 2. Демографические характеристики пациентов и применённые дополнительные хирургические техники в соответствии с распределением по группам исследования
Table 2. Demographic characteristics of patients and applied additional surgical techniques in accordance with the distribution by study groups
Hindfoot moment arm | Общее число | ИМТ | Средний возраст, лет | Мужчины, % | Артродез подтаранного сустава, n | Артродез таранно-ладьевидного сустава, n | Cotton-остеотомия, n | Транспозиция FDL, n |
«Вальгус» (вальгизация ≥0 мм) | 18 | 27,8 | 60,5 | 50,0 | 15 | 13 | 4 | 2 |
«Умеренный варус» (>0 до 5 мм варусного отклонения) | 17 | 29,0 | 61,9 | 29,4 | 9 | 9 | 6 | 3 |
«Варус» (>5 мм варусного отклонения) | 20 | 27,7 | 61,3 | 30,0 | 6 | 6 | 9 | 0 |
Примечание. ИМТ — индекс массы тела.
Note. ИМТ — body mass index.
Рентгенологическая оценка
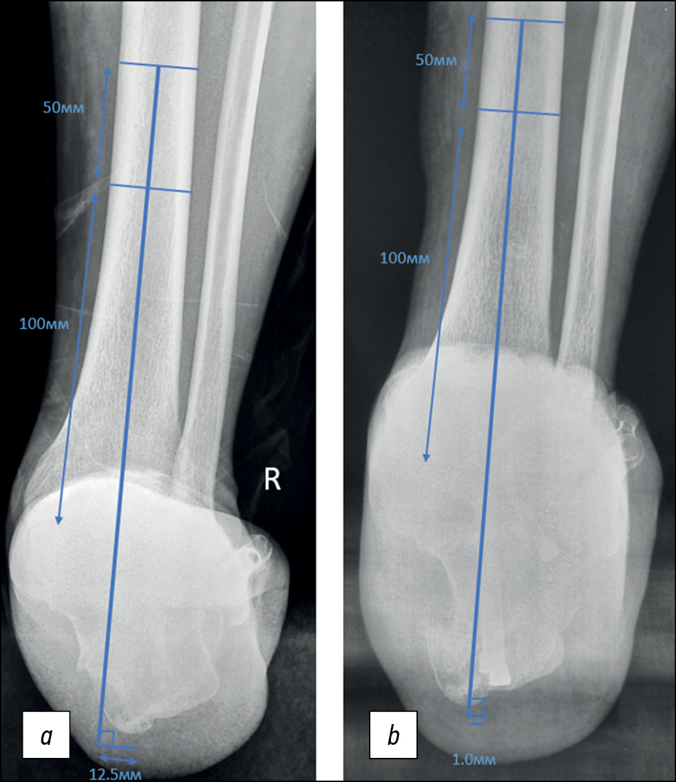
Для определения рентгенологически измеряемого результата послеоперационной коррекции оси пяточной кости мы использовали методику, ранее описанную Saltzman и el-Khoury [24]. Подводя итог, можно сказать, что hindfoot moment arm, или направление смещения (положения) оси пяточной кости, определяется как кратчайшее расстояние между осью большеберцовой кости и наиболее дистальной точкой пяточной кости (рис. 1, a и b).
Рис. 1. (a) До- и (b) послеоперационный снимок. Результат коррекции оси заднего отдела стопы (hindfoot moment arm) Измерения на рентгенограммах, выполненных в проекции Зальцмана, определяются как кратчайшее расстояние от средней оси большеберцовой кости до самого дистального аспекта пяточной кости.
Fig. 1. (a) Before and (b) postoperative X-ray. The result of hindfoot moment arm correction. Measurements on radiographs taken in the Saltzman projection are defined as the shortest distance from the medial axis of the tibia to the most distal aspect of the calcaneus.
Вышеописанное измерение было выбрано на основании надёжности метода, многократно подтверждённой изученными нами научными работами. Все рентгенограммы были сделаны спустя 24 нед с момента операции.
Результаты измерения послеоперационного положения оси пяточной кости (hindfoot moment arm) были разделены нами на 3 группы в зависимости от полученных данных: вальгусная (вальгизация ≥0 мм, n = 18), умеренно-варусная (>0 до 5 мм варусного отклонения, n = 17) и варусная (>5 мм варусного отклонения, n = 20).
Ввиду отсутствия данных литературы, дающих чёткое определение диапазона нормального положения оси пяточной кости, разделение пациентов на описанные выше группы позволяет проверить нашу гипотезу, главной целью которой является подтверждение лучших клинических результатов при ориентации оси пяточной кости в умеренном варусном положении. Несмотря на убеждённость в справедливости гипотезы, в ходе исследования были приняты во внимание возможные проблемы в виде чрезмерной или недостаточной коррекции оси пяточной кости. Первоначально все прооперированные пациенты были разделены на 2 группы: варусное и вальгусное положение пяточной кости. Однако взяв во внимание тот факт, что тяга ахиллова сухожилия в совокупности с тягой задней большеберцовой мышцы может увеличить инверсию пяточной кости в случаях, когда наиболее дистальная точка пяточной кости находится медиальнее средней оси большеберцовой кости, чрезмерная варусная коррекция с избыточным медиальным смещением бугра пяточной кости может привести к отрицательным результатам по причине перерастяжения латеральных мягкотканных структур в области голеностопного сустава и перегрузки наружного края стопы. С учётом этого обстоятельства, пациенты с варусным положением пяточной кости после коррекции были дополнительно разделены на 2 подгруппы: умеренно-варусного положения и варусного положения.
Хирургическая техника
Как было описано ранее, все оперативные вмешательства в этой группе выполнялись двумя хирургами, имеющими опыт в области хирургии стопы и голеностопного сустава сроком не менее 5 лет. Реконструкция включала как изолированно МПО (n = 16), так и комбинации МПО с артродезом таранно-ладьевидного сустава (n = 28), артродезом подтаранного сустава (n = 39), Cotton-остеотомией (n = 19) и транспозицией сухожилия длинного сгибателя пальцев (FDL) (n = 5).
Техника медиализирующей пяточной остеотомии (МПО)
Мы выполняем технику МПО, используя латеральный косой доступ, осуществляемый на 1 см дистальнее верхушки наружной лодыжки. Несмотря на то, что разрез производится на всю толщину мягких тканей до кости, во избежание излишней мобилизации и расслоения краёв раны с учётом анатомических особенностей кровоснабжения в этой области, мы тщательно проводим мобилизацию и защиту ветвей икроножного нерва. Однако, учитывая то, что может встречаться осложнение в виде повреждения ветвей икроножного нерва, мы всегда предупреждаем пациентов о возможном онемении в зоне иннервации этого нерва после операции. Мягкие ткани же на момент выполнения остеотомии необходимо защищать инструментарием, со стороны подошвенной поверхности пяточной кости и со стороны ахиллова сухожилия. Полотно осцилляторной пилы располагается под прямым углом к кортикальному слою кости.
При выполнении остеотомии медиального кортикального слоя, нужно быть очень осторожными во избежание повреждения мягких тканей. Нередко мы используем остеотом или тонкое долото для «доламывания» зоны остеотомии медиального края пяточной кости. После выполнения остеотомии мы выполняем слайд-дислокацию бугра пяточной кости медиально в плоскости остеотомии на заранее определённую величину (как правило, наиболее часто она составляет 10–12 мм) Фиксация отломков в заданном положении осуществляется канюлированным винтом диаметром от 5 до 7,5 мм, в зависимости от анатомической величины пяточной кости пациента.
Другие техники, применяемые нами в ходе реконструктивной операции, включали с артродез таранно-ладьевидного сустава (n = 28), артродез подтаранного сустава (n = 39), Cotton-остеотомию (n = 19) и транспозицию сухожилия длинного сгибателя пальцев — FDL (n = 5; см. табл. 2).
Артродезирование таранно-ладьевидного сустава
Артродезирование таранно-ладьевидного сустава — весьма распространённая хирургическая техника для коррекции и стабилизации медиальной колонны стопы.
Для выполнения доступа к таранно-ладьевидному суставу мы используем стандартный тыльно-медиальный доступ, который хорошо зарекомендовал себя и на своём пути не несёт опасностей повреждения значимых структур. После выхода на область сустава и произведения артротомии мы сохраняем место прикрепления сухожилия задней большеберцовой мышцы. Следует отметить, что артроархитектоника суставных поверхностей таранно-ладьевидного сустава имеет крайне неудобное для обработки строение. Однако несмотря на это, мы не склонны менять тактику хирургической пластики, поскольку изменение последней ведет к укорочению медиальной колонны. В нашей практике мы используем дистракторы различного типа, но более всего зарекомендовал себя дистрактор Хинтермана, применяемый нами наиболее часто. После обработки суставных поверхностей мы проводим необходимую коррекцию на уровне описываемого сустава в положении плантарфлексии и инверсии с предварительной фиксацией полученной коррекции спицей. Для окончательной фиксации используются винты диаметром от 3,5 до 5,0 мм, а также компрессирующие пластины и скобы.
Говоря о технике артродезирования таранно-ладьевидного сустава, необходимо заострить внимание на сохранности пяточно-кубовидного сустава. По нашему мнению, этот аспект является крайне важным, поскольку позволяет сохранить мобильность латеральной колонны стопы. Даже учитывая тот факт, что развитие артроза пяточно-кубовидного сустава происходит после перелома пяточной кости в 40% случаев, мы крайне осторожно подходим к его закрытию и делаем это только в тех случаях, когда его сохранение невозможно.
Мы отдаем себе отчёт, что эти степени свободы в пяточно-кубовидном суставе значительно сокращаются после артродезирования таранно-ладьевидного сустава, но даже в небольшой амплитуде имеют крайне важное значение для стопы.
Артродезирование таранно-пяточного сочленения (подтаранного сустава)
Артродезирование таранно-пяточного сочленения (подтаранного сустава) — самая частая хирургическая техника при лечении последствий травм (переломов) пяточной кости, особенно внутрисуставных, многооскольчатых со смещением (Sanders III, Sanders IV).
Хирургический доступ к подтаранному суставу может быть осуществлен с 3 направлений. Наиболее часто применяемым является наружный (латеральный) доступ, который хорошо комбинируется с МПО. Также используется задний доступ, который в практике применяют крайне редко, исключительно для одномоментного артродеза голеностопного и подтаранного сустава специальными премоделированными задними металлоконструкциями (опорными пластинами). И последний — внутренний (медиальный) доступ — как нельзя лучше подходит для medial single approach. Мы используем этот доступ, если необходимо одновременное вмешательство на подтаранном и таранно-ладьевидном суставе. Однако последний из описанных доступов крайне неудобен для выполнения МПО. Таким образом, наружный доступ был выбран нами в большинстве случаев как наиболее рациональный.
При выполнении наружного доступа к подтаранному суставу для выполнения артродеза и предполагаемой в комплексе с ним МПО мы советуем продлить разрез проксимально и дистально, проекция разреза кожи соответствует проекции подтаранного сустава от уровня тарзального синуса до бугра пяточной кости, не доходя до края ахиллова сухожилия; при этом следует стараться придерживаться проекции малоберцовых сухожилий.
После разреза кожи необходима ревизия области прохождения n. suralis для нивелирования его ятрогенного повреждения. Далее рекомендуется мобилизовать и выделить сухожилия короткой и длинной малоберцовой мышцы, после чего капсулу стустава вскрывают, и при помощи дистракторов (IngeLaminaSpreaders, Hintermann и т.п.) осуществляют доступ к суставным поверхностям. Первоочерёдно требуется пересечь пяточно-таранную связку или её оставшиеся фрагменты, чтобы улучшить дистракцию и визуализацию данной области для более эффективной работы. После всех вышеописанных манипуляций остатки суставного хряща при необходимости удаляют при помощи долот различной величины.
Создав все условия для консолидации костных элементов, следует приступить к фиксации. Однако в случае, если необходимо дополнить коррекцию хирургическими манипуляциями, такими как костная пластика (для формирования дистракционного артродеза) или остеотомия пяточной кости и прочие, их необходимо выполнять перед фиксацией компонентов кости, поскольку винты фиксируют одновременно все этапы операции, выполненные ранее. В своей практике мы в основном используем канюлированные винты handless с полной нарезкой и компрессирующие по типу Герберта диаметром от 5,0 до 7,5 мм.
Методика остеотомии Cotton
Эта техника является незаменимой при коррекции супинационной установки переднего отдела стопы и в отдельных случаях — при коррекции посттравматической деформации. Остеотомия может значительно сократить нагрузку на таранно-ладьевидный сустав. Помимо этого, поскольку сама операция является внесуставной, её ценность сложно переоценить.
Cotton-остеотомию выполняют при помощи дорсального доступа, в проекции первой клиновидной кости. Доступ осуществляют к кости, мобилизуя и отодвигая в сторону сухожилие длинного разгибателя 1-го пальца. Далее необходимо оценить границы медиальной клиновидной кости, произвести её остеотомию с сохранением подошвенного кортикального слоя. После требуется определиться с величиной открытого угла остеотомии и с предварительной фиксацией полученной коррекции спицами. Постоянная же фиксация (накостный остеосинтез) достигается при помощи специализированных (анатомических) пластин для открытоугольной остеотомии медиальной клиновидной кости. Образовавшийся в результате остеотомии дефект заполняют аутотрансплантатом (как правило, из бугра пяточной кости). Этап заполнения дефекта проводят после установки металлоконструкции.
Техника транспозиции длинного сгибателя пальцев (FDL)
Хирургический доступ осуществляют по медиальной поверхности стопы и голеностопного сустава от медиального полюса ладьевидной кости, в проксимальном направлении, через влагалище сухожилия задней большеберцовой мышцы (posterior tibial tendon, РТТ). При мобилизации последнего необходимо оценить сухожилие и степень его состоятельности. Оценка состояния позволяет определить целесообразность изолированной пластики сухожилия путём его насбаривания и армирования шовным материалом или же необходимость в транспозиции FDL. Понимание состояния сухожильно-мышечных структур, а также выбор метода должны быть очевидны уже на этапе предоперационного планирования.
Выявить повреждение PPT не так просто даже интраоперационно, поскольку оно располагается по задней поверхности сухожилия и требует детальной визуализации на всём его протяжении.
Сухожилие FDL максимально выводят в рану и отсекают как можно дистальнее. Некоторые авторы советуют подшивать проксимальный конец дистального фрагмента сухожилия к сухожилию FHL (flexor halluces longus). Мы, как и большинство авторов, не приветствуем подобный совет, поскольку риск травматичности превышает какую-либо значимую пользу от этой манипуляции в послеоперационном наблюдении. Кроме того, достоверно известно, что отсечение сухожилия проксимальнее узла Генри (knot Henry) в дальнейшем приводит к синхронной работе всех пальцев стопы без ощутимой для пациента потери силы подошвенного сгибания.
Далее в теле ладьевидной кости ближе к её медиальному полюсу сверлом диаметром 4,5 мм в перпендикулярном направлении к аксиальной проекции формируют костный канал. Дистальный конец проксимального фрагмента FDL проводится в натяжении в образованный канал с подошвенной стороны, после чего сухожилие фиксируют биоинтерферентным винтом в костном канале.
Большое значение имеет, в каком натяжении удерживается сухожилие FDL в момент наложения шва (мы используем максимально возможное). Однако существует мнение, что оптимально использовать нечто среднее между максимально расслабленным и максимально натянутым, мы считаем этот подход разумным и не опровергаем его.
Статистический анализ
Дисперсионный анализ (ANOVA) был использован для сравнения изменения по субшкалам FAOS между 3 исследуемыми группами. Статистически значимые величины, выявленные с помощью ANOVA, оценивали с применением диапазона Tukey, чтобы определить, какая из групп больше отличается от других. Этот метод позволил идентифицировать те группы пациентов после МПО, которые имели значительно отличающиеся изменения в любой из субшкал FAOS.
Аналогичным образом предоперационные баллы по отдельным субшкалам FAOS сравнивали между группами, чтобы проверить, имелись ли существенные различия на дооперационном этапе. ANOVA также применяли для изучения любых различий между 3 группами относительно ИМТ или возраста, а также дооперационных рентгенологических измерений, таких как недопокрытие головки таранной кости в таранно-ладьевидном суставе (incongruency angle), угол покрытия суставной поверхности головки таранной кости (talonavicular coverage angle) и патологический угол между осями первой плюсневой и осью таранной кости (AP first talometatarsal angle) на прямой проекции стопы, выполненной стоя. Для определения особенностей в гендерном составе между группами использовали критерий χ2.
В процессе исследования необходимо было учесть, что возможность различий в изменениях по субшкалам FAOS между группами обусловлена самой величиной дислокации пяточного бугра, а не окончательным положением пяточной кости при оценке послеоперационного результата; исключая эту возможность, была исследована взаимосвязь между числом выполненных МПО и субшкалами FAOS.
Для пациентов с известной величиной дислокации пяточного бугра, зафиксированной в протоколе операции (n = 41), были рассчитаны коэффициенты ранговой корреляции Спирмена, чтобы определить, существует ли какая-либо корреляция между этим показателем и субшкалами FAOS.
И, наконец, применение сопутствующих техник (артродез таранно-ладьевидного сустава, артродез подтаранного сустава, Cotton-остеотомия и транспозиция сухожилия длинного сгибателя пальцев — FDL) было учтено, чтобы проанализировать, повлияли ли конкретные дополнительные операционные техники на баллы FAOS. Для каждой вышеуказанной техники пациентов разделили на подгруппы в зависимости от того, была она у них выполнена или нет. Изменения в баллах FAOS сравнивали между 2 группами с использованием критерия суммы рангов Вилкоксона.
РЕЗУЛЬТАТЫ
Участники (объекты) исследования
В процесс окончательной оценки вошли 55 стоп (26 правых, 29 левых) 55 пациентов, которые полностью соответствовали обозначенным выше критериям включения.
В исследовании приняли участие 20 мужчин и 35 женщин, средний возраст которых составил 61,6 года (от 18,5 до 40,7 лет), а средний ИМТ — 26,8 (от 18,5 до 40,7).
Между группами не обнаружено статистически значимых различий по ИМТ, полу и возрасту (см. табл. 2).
Кроме этого, предоперационные измерения степени недопокрытия головки таранной кости (incongruency angle), угла покрытия суставной поверхности головки таранной кости (talonavicular coverage angle) и угла между осью таранной кости и осью первой плюсневой кости на прямой проекции стопы стоя (AP first talometatarsal angle) между группами hindfoot moment arm существенно не различались, что указывает на аналогичную предоперационную абдукционную деформацию (табл. 3).
Таблица 3. Предоперационные рентгенологические измерения. Статистически значимых различий между 3 группами не выявлено
Table 3. Preoperative radiographic measurements. No statistically significant differences were found between the three groups
Hindfoot moment arm | Общее число, n | Incongruency angle (предоперационно, в градусах) | Talonavicular coverage angle (предоперационно, в градусах) | AP First talometatarsal angle (предоперационно, в градусах) |
«Вальгус» (вальгизация ≥0 мм) | 18 | 43, 4 (от -75,9 до 147,6) | 33,0 (от 4,8 до 69,6) | 17,0 (от -24,0 до 36,4) |
«Умеренный варус» (>0 до 5 мм варусного отклонения) | 17 | 25,3 (от -42,4 до 91,0) | 27,2 (от 2,9 до 36,0) | 12,6 (от -3,5 до 35,8) |
«Варус» (>5 мм варусного отклонения) | 20 | 9,2 (от -92,6 до 92,0) | 26,1 (от 1,6 до 40,6) | 12,8 (от -11,5 до 32,9) |
Основные результаты исследования
Послеоперационные контрольные рентгенограммы после коррекции деформации пяточной кости были выполнены в среднем через 23,5 мес (диапазон от 12 до 47 мес), а баллы FAOS были получены в среднем через 3,1 года (диапазон от 1,8 до 4,4 года) после операции.
В результате анализа полученных данных мы установили статистически значимые различия в субшкалах «Боль» и «Другие симптомы». Среднее изменение субшкалы «Боль» по FAOS для группы «Варус» (n = 16) составило 27,9 (диапазон от -8,3 до 63,9), для группы «Умеренный варус» (n = 17) — 41,2 (диапазон от 5,6 до 66,7), для группы «Вальгусная деформация» (n = 18) — 22,3 (диапазон от -58,3 до 63,9).
Тесты Post-hoc Tukey (апостериорный критерий Тьюки) показали, что у пациентов с коррекцией заднего отдела стопы на умеренный варус наблюдались значительно более лучшие показатели субшкалы боли FAOS по сравнению с пациентами с остаточной вальгусной деформацией (p = 0,04).
Несмотря на тот факт, что среднее изменение в субшкале «Боль» по FAOS было выше при умеренном варусе, чем при варусе, имеющиеся различия не могут быть оценены как значительные (p = 0,20).
Для субшкалы «Другие симптомы» по FAOS среднее изменение баллов для группы «Варус» (n = 19) составило 6,6 (диапазон от -40,7 до 46,4), для группы «Умереный варус» (n = 16) — 25,9 (диапазон от 3,6 до 78,6), для группы «Вальгус» (n = 18) — 11,0 (диапазон от -32,1 до 46,4). Пациенты, получившие коррекцию до положения «Умеренный варус», продемонстрировали значительно большее улучшение в субшкале «Другие симптомы», чем пациенты в группе «Варус» (p = 0,03). Кроме того, пациенты с умеренным варусом показали более высокие клинические результаты, чем пациенты в группе «Вальгус», но эта разница не была статистически значимой (p = 0,11).
Не было зарегистрировано различий между группами в измерении показателей в субшкалах FAOS «Повседневная активность» (p = 0,26), «Спортивная активность» (p = 0,06) и «Качество жизни» (p = 0,17). Однако следует отметить, что среднее значение изменения баллов у пациентов в группе «Умеренный варус» было не ниже, чем у пациентов в группе «Вальгус» или «Варус» для любой из подшкал.
Также не зафиксировано различий между группами в предоперационном FAOS по всем субшкалам (p >0,10 для всех исследований).
Ни одна из дополнительных техник (артродез таранно-ладьевидного сустава, артродез подтаранного сустава, Cotton-остеотомия и транспозиция сухожилия длинного сгибателя пальцев FDL), выполненных во время реконструкции, не показала значимой связи с изменением показателей FAOS (p >0,05 для всех анализируемых субшкал).
В заключении статистического исследования мы оценили корреляцию объёма дислокации пяточного бугра интраоперационно, в момент выполнения МПО. Этот показатель был достоверно зарегистрирован у 41 пациента. Коэффициенты ранговой корреляции Спирмена показали, что объём MПO, выполненный интраоперационно, не коррелировал ни с одной из подшкал FAOS (все p >0,10).
ОБСУЖДЕНИЕ
Резюме основного результата исследования
Пациенты в группе «Умеренным варус» после коррекции отметили лучший клинический результат, чем в группе «Вальгус» в субшкале «Боль» FAOS и также получили лучшие результаты, чем в группе «Варус» в субшкале «Другие симптомы» FAOS.
Учитывая то, что одним из основных показаний к реконструкции посттравматической деформации пяточной кости является облегчение боли, и симптомов (по FAOS), эти подшкалы являются важным ориентиром для оценки качества проведенного лечения. Кроме того, ни в одном из подшкал в группе «Вальгус» или «Варус» не был отмечен результат лучше, чем в группе «Умеренный варус».
Обсуждение основного результата исследования
В своей работе в 1971 году Koutsogiannis представил концепцию МПО в комплексном хирургическом лечении плоско-вальгусной деформации стопы, согласно которой он рекомендовал дислоцировать бугор пяточной кости медиально от одной трети до половины ширины пяточной кости [16]. В более поздних исследованиях после тщательных количественных и качественных оценок этих рекомендаций было предложено смещать бугор пяточной кости примерно на 10 мм медиальнее [1, 11, 13, 19, 20]. Возвращаясь к практике хирургов, наша работа может быть использована для оценки соответствующего количества медиального смещения бугра пяточной кости во время реконструкции посттравматической вальгусной деформации пяточной кости.
Chan и соавт. в 2013 году описали модель, связывающую количество выполняемых MПO и изменение hindfoot moment arm. Их результаты показали, что каждый миллиметр медиального смещения в операционной соответствовал примерно 1,5 мм послеоперационной рентгенологической коррекции hindfoot moment arm [4].
Технически дислокация бугра пяточной кости интраоперационно измеряется с помощью линейки: от латерального края проксимального сегмента пяточной кости до латерального края смещённого дистального сегмента пяточной кости после остеотомии. Определение величины смещения бугра пяточной кости, необходимого для каждого отдельного пациента, зависит от знания того, где должно быть искомое положение бугра пяточной кости в результате проведённой операции. Наше исследование убедительно доказывает, что оптимальное выравнивание оси пяточной кости — от нейтрального (0 °) до 5 ° варусного положения. Следовательно, если хирург измеряет предоперационный hindfoot moment arm и определяет величину от предоперационной деформации до оптимального послеоперационного положения оси пяточной кости, то он, соответственно, может рассчитать величину интраоперационного смещения бугра пяточной кости, необходимого для достижения наилучшего клинического результата. Так, например, если предоперационный hindfoot moment arm у пациента составляет 4 мм вальгусной деформации, то, на основании результатов нашего исследования (в дополнение к работе Chan и соавт., упомянутой выше), предполагается, что пациенту потребуется дислоцировать бугор пяточной кости интраоперационно, после МПО, примерно на 4 мм, чтобы достичь оптимального положения hindfoot moment arm, и это в данном случае приведёт к окончательному выравниванию оси пяточной кости в умеренном варусе около 2 мм.
Учитывая всё вышесказанное, хирург мог бы использовать следующую формулу для прогнозирования необходимого объёма интраоперационного медиального смещения бугра пяточной кости: 1,5 × (величина дислокации бугра пяточной кости, мм) = (предоперационный hindfoot moment arm) – (послеоперационный hindfoot moment arm)
При hindfoot moment arm при вальгусной деформации он положительный, а при варусной — отрицательный.
Несмотря на то, что предоставленное уравнение было подтверждено путём сравнения объёма выполненной дислокации бугра пяточной кости с положением послеоперационной коррекции оси пяточной кости, мы до настоящего времени находимся в процессе его тестирования для достижения количественного и, соответственно, статистически более неопровержимого заключения. Таким образом, клиницисты могут использовать это уравнение только в качестве дополнительной оценки и ориентировочного предоперационного планирования и подтверждать желаемое положение оси пяточной кости в операционной, поднимая нижнюю конечность с нейтральным положением стопы и визуально контролируя и сопоставляя заднюю часть стопы с осью голени.
Насколько нам известно, в отечественной литературе до настоящего времени не сообщалось об оптимальном положении пяточной кости после реконструкции её постравматической деформации, и на основании нашего опыта мы с уверенностью можем предостеречь, что важно не путать клинический варус заднего отдела стопы с рентгенологическим варусным отклонением пяточной кости на проекции Зальцмана (рис. 2, a и b).
Таким образом, с клинической точки зрения прямая ось пяточной кости, скорее всего, представляет собой умеренный рентгенологический варус, как показано на рис. 2, b. Именно эта группа пациентов и показала лучшие результаты в настоящем исследовании.
Рис. 2. Послеоперационное (a) рентгенологическое (проекция Зальцмана) и (b) клиническое обследование (положение стоя на оперированной стопе), коррекция деформации с тенденцией на варус 3,8 мм (умеренно-варусное положение) на рентгенологических измерениях. Клинически — ось ближе к нейтральной, без видимого варусного отклонения.
Fig. 2. Postoperative (a) radiographic (Salzman projection) and (b) clinical examination (standing position on the operated foot) deformity correction with a tendency to varus 3.8 mm (moderate-varus position) on radiographic measurements. Clinically, the axis is closer to neutral, without visible varus deviation.
Пациенты, у которых варусное положение заднего отдела стопы определяется клинически, с высокой долей вероятности будут находиться в группе «Варус» при рентгенологическом обследовании, и в нашей работе у них не было зафиксировано аналогичных по значимости положительных результатов. Анализируя проделанную работу, в настоящее время мы стремимся к клинически прямому (нейтральному) положению оси пяточной кости (умеренный рентгенологический варус).
Исправляя положение оси пяточной кости в положение умеренного варуса с помощью техники MПO, мы, в том числе, создаём статическую поддержку арке медиальной колонны стопы, стабилизируя заднее большеберцовое сухожилие (в случае сохранённого таранно-ладьевидного сустава) путём позиционирования ахиллова сухожилия для натяжения в варусном направлении как инвертора, тем самым мы улучшаем работу сустава Шопара в конечной фазе шага [11, 28].
Это предположение потенциально может улучшить результаты лечения пациентов. Сравнительно схожая корреляция результатов была получена Mani и соавт. при хирургической коррекции adult acquired flatfoot deformity (AAFD) II стадии, где умеренное варусное положение заднего отдела стопы также продемонстрировало более положительные результаты в послеоперационной оценке во всех субшкалах FAOS по сравнению с нейтральным положением [17]. В сравнении с обратной ситуацией, недостаточная коррекция положения заднего отдела стопы с остаточным избыточным вальгусным положением может привести к стойким симптомам, схожим с симптомами AAFD [13].
Пациенты, у которых наблюдается остаточная послеоперационная вальгусная деформация заднего отдела стопы, могут продолжать страдать от недостаточности ахиллова сухожилия ввиду его гипернатяжения и высоких нагрузок вдоль медиальной колонны стопы, о чём и свидетельствует их не столь выраженное улучшение в сравнительной послеоперационной оценке по субшкале боли FAOS.
Рассматривая пациентов из группы «Варус», мы отметили следующее: может наблюдаться чрезмерная инверсия стопы, которая в свою очередь приводит к увеличению нагрузки вдоль медиальной (наружной) колонны, а более высокие нагрузки на эту область стопы могут привести к усилению симптомов дискомфорта или боли. Аналогичные результаты были получены и при хирургическом лечении AAFD II в случаях применения методики lateral column lengthening (LCL) [6]. Мы считаем, что в случаях с нашими пациентами это может объяснить значительно меньшее улучшение в субшкале симптомов FAOS для пациентов с послеоперационным варусным положением заднего отдела стопы (группа «Варус») по сравнению с пациентами с умеренным варусным положением в соответствующей группе.
Несмотря на то, что FAOS является всеобъемлющим инструментом оценки результатов лечения и может быть прецизионным по всем аспектам жизнедеятельности, не все подшкалы этого опросника могут оказаться полностью приемлемыми для наших пациентов. В частности, большинство пациентов, участвовавших в нашем исследовании, часто считали, что шкала спортивной активности для них неприемлема, о чём свидетельствует малое число исследуемых (n = 38) для этой категории.
Пациенты, перенёсшие реконструкцию посттравматической деформации заднего отдела стопы, как правило, имеют хорошее функциональное улучшение в целом. Это можно объяснить тем, что подшкалы качества жизни и повседневной активности не показывают статистически значимых различий между группами исследуемых пациентов. Кроме того, объём выполненной медиализации не показал никакой корреляции с улучшением результатов FAOS. Это говорит о том, что медиализирующяя пяточная остеотомия не может быть унифицирована, а, напротив, должна быть адаптирована к предоперационной деформации каждого отдельного пациента.
Поскольку реконструкция посттравматической деформации заднего отдела стопы может включать в себя несколько сопутствующих техник, из представленных нами (артродез таранно-ладьевидного сустава, Cotton-остеотомия и транспозиции сухожилия длинного сгибателя пальцев FDL), они потенциально могут повлиять на послеоперационную коррекцию деформации заднего отдела стопы и клинические результаты в дополнение к MПО. В задачи нашего исследования не входило определить, насколько дополнительные техники могут повлиять на коррекцию деформации заднего отдела стопы, хотя предыдущее исследование, проведённое Chan и соавт. предполагает, что степень коррекции деформации заднего отдела стопы в первую очередь определялась величиной МПО [4]. Беря во внимание исследование Chan и соавт., настоящее исследование было больше сосредоточено на клинических результатах, и наши результаты не выявили никакой связи между сопутствующими техниками и показателями FAOS (все значения p >0,05). Изученные нами работы касались исследования коррекции AAFD, они показали, что послеоперационная коррекция заднего отдела стопы остаётся неизменной через 3 мес и более после операции [20, 21]. Таким образом, экстраполируя и сопоставляя результаты нашего исследования и результаты наших коллег в работах по хирургическому лечению пациентов с плоско-вальгусной деформацией, при AAFD II стадии пролонгация результатов прежде всего определяется правильно выбранной тактикой коррекции имеющейся деформации.
В своём исследовании мы определили диапазон коррекции оси заднего отдела стопы, соответствующий более высоким клиническим результатам, измеренным при помощи FAOS. По итогам выполненного анализа мы считаем, что рентгенологический диапазон коррекции заднего отдела стопы при умеренно варусном положении (>0 до 5 мм варусного отклонения), который соответствует клиническому положению в нормапозиции заднего отдела стопы, представляет собой оптимальное положение результата коррекции.
Ограничения исследования
Наше исследование было ограничено ретроспективной оценкой и относительно небольшим числом наблюдений. Изначальные условия, включающие контрольные рентгенограммы на 48-й нед и минимум 22-месячный срок наблюдения за клиническими результатами, ещё больше сократили число вошедших в исследование пациентов. Дополнительное число участников могло бы увеличить достоверность исследования и снизить вероятность погрешности, однако мы считаем, что количественный состав исследуемых в данной работе менее важен, чем пролонгированные сроки наблюдения.
ЗАКЛЮЧЕНИЕ
Нам удалось доказать и продемонстрировать оптимальный результат после операции МПО. Hindfoot moment arm в диапазоне от 0 до 5 мм на варус приводит к более значимому клиническому результату в рамках реконструкции посттравматической вальгусной деформации пяточной кости. Пациенты в группе «Умеренный варус» после коррекции отметили лучший клинический результат, чем в группе «Вальгус» в субшкале «Боль» FAOS и также получили лучшие результаты, чем в группе «Варус» в субшкале «Другие симптомы» FAOS.
Мы надеемся, что наша работа сможет позволить хирургу оценить индивидуальный объём интраоперационной коррекции оси заднего отдела стопы для каждого пациента, чтобы добиться наилучших клинических результатов.
ДОПОЛНИТЕЛЬНО / ADDITIONAL INFO
Вклад авторов. Все авторы подтверждают соответствие своего авторства международным критериям ICMJE (все авторы внесли существенный вклад в разработку концепции, проведение исследования и подготовку статьи, прочли и одобрили финальную версию перед публикацией).
Author’s contribution. Thereby, all authors made a substantial contribution to the conception of the work, acquisition, analysis, interpretation of data for the work, drafting and revising the work, final approval of the version to be published and agree to be accountable for all aspects of the work.
Источник финансирования. Не указан.
Funding source. Not specified.
Конфликт интересов. Авторы декларируют отсутствие явных и потенциальных конфликтов интересов, связанных с публикацией настоящей статьи.
Competing interests. The authors declare that they have no competing interests.
Информированное согласие на публикацию. Авторы получили письменное согласие пациента на публикацию медицинских данных и фотографий. Дата подписания согласия — 01.07.2019.
Consent for publication. Written consent was obtained from the patient on 01.07.2019 for publication of relevant medical information and all of accompanying images within the manuscript.
About the authors
Konstantin V. Shkuro
Priorov National Medical Research Center of Traumatology and Orthopedics
Author for correspondence.
Email: shkuro_kostya@mail.ru
ORCID iD: 0009-0004-8259-7994
SPIN-code: 3442-1306
traumatologist-orthopedist
Russian Federation, 10 Priorova Str., 127299 MoscowVadim T. Zeinalov
Priorov National Medical Research Center of Traumatology and Orthopedics
Email: zeinalov_vadim@mail.ru
ORCID iD: 0000-0002-4815-3685
MD, Cand. Sci. (Med.), traumatologist-orthopedist
Russian Federation, 10 Priorova Str., 127299 MoscowIrina A. Arapova
Priorov National Medical Research Center of Traumatology and Orthopedics
Email: ryb4sirina@yandex.ru
ORCID iD: 0009-0005-7216-3065
traumatologist-orthopedist
Russian Federation, 10 Priorova Str., 127299 MoscowAndrej N. Levin
Priorov National Medical Research Center of Traumatology and Orthopedics
Email: levin-cito@mail.ru
ORCID iD: 0000-0002-6631-2782
SPIN-code: 4598-8922
кандидат медицинских наук, врач травматолог-ортопед
Russian Federation, 10 Priorova Str., 127299 MoscowDmitriy O. Vasiliev
Priorov National Medical Research Center of Traumatology and Orthopedics
Email: A-tendo@mail.ru
ORCID iD: 0000-0002-6573-3243
SPIN-code: 7954-6710
MD, Cand. Sci. (Med.), traumatologist-orthopedist
Russian Federation, 10 Priorova Str., 127299 MoscowReferences
- Arangio GA, Salathe EP. A biomechanical analysis of posterior tibial tendon dysfunction, medial displacement calcaneal osteotomy and flexor digitorum longus transfer in adult acquired flat foot. Clin Biomech (Bristol, Avon). 2009;24(4):385–390. doi: 10.1016/j.clinbiomech.2009.01.009
- Bolt PM, Coy S, Toolan BC. A comparison of lateral column lengthening and medial translational osteotomy of the calcaneus for the reconstruction of adult acquired flatfoot. Foot Ankle Int. 2007;28(11):1115–1123. doi: 10.3113/FAI.2007.1115
- Buck FM, Hoffmann A, Mamisch-Saupe N, et al. Hindfoot alignment measurements: Rotation-stability of measurement techniques on hindfoot alignment view and long axial view radiographs. AJR Am J Roentgenol. 2011;197(3):578–582. doi: 10.2214/AJR.10.5728
- Chan JY, Williams BR, Nair P, et al. The contribution of medializing calcaneal osteotomy on hindfoot alignment in the reconstruction of the stage II adult acquired flatfoot deformity. Foot Ankle Int. 2013;34(2):159–166. doi: 10.1177/1071100712460225
- Deland JT. Adult-acquired flatfoot deformity. J Am Acad Orthop Surg. 2008;16(7):399–406. doi: 10.5435/00124635-200807000-00005
- Ellis SJ, Yu JC, Johnson AH, et al. Plantar pressures in patients with and without lateral foot pain after lateral column lengthening. J Bone Joint Surg Am. 2010;92(1):81–91. doi: 10.2106/JBJS.H.01057
- Ellis SJ, Yu JC, Williams BR, et al. New radiographic parameters assessing forefoot abduction in the adult acquired flatfoot deformity. Foot Ankle Int. 2009;30(12):1168–1176. doi: 10.3113/FAI.2009.1168
- Evans D. Calcaneo-valgus deformity. J Bone Joint Surg Br. 1975;57(3):270–278.
- Fayazi AH, Nguyen HV, Juliano PJ. Intermediate term follow-up of calcaneal osteotomy and flexor digitorum longus transfer for treatment of posterior tibial tendon dysfunction. Foot Ankle Int. 2002;23(12):1107–1111. doi: 10.1177/107110070202301205
- Griend R. Lateral column lengthening using a «Z» osteotomy of the calcaneus. Tech Foot Ankle Surg. 2008;7(4):257–263.
- Guha AR, Perera AM. Calcaneal osteotomy in the treatment of adult acquired flatfoot deformity. Foot Ankle Clin. 2012;17(2):247–258. doi: 10.1016/j.fcl.2012.02.003
- Guyton GP, Jeng C, Krieger LE, Mann RA. Flexor digitorum longus transfer and medial displacement calcaneal osteotomy for posterior tibial tendon dysfunction: A middle-term clinical follow-up. Foot Ankle Int. 2001;22(8):627–632. doi: 10.1177/107110070102200802
- Haddad SL, Myerson MS, Younger A, et al. Symposium: Adult acquired flatfoot deformity. Foot Ankle Int. 2011;32(1):95–111. doi: 10.3113/FAI.2011.0095
- Hadfield MH, Snyder JW, Liacouras PC, et al. Effects of medializing calcaneal osteotomy on achilles tendon lengthening and plantar foot pressures. Foot Ankle Int. 2003;24(7):523–529. doi: 10.1177/107110070302400703
- Hiller L, Pinney SJ. Surgical treatment of acquired flatfoot deformity: What is the state of practice among academic foot and ankle surgeons in 2002? Foot Ankle Int. 2003;24(9):701–705. doi: 10.1177/107110070302400909
- Koutsogiannis E. Treatment of mobile flat foot by displacement osteotomy of the calcaneus. J Bone Joint Surg Br. 1971;53(1):96–100.
- Mani SB, Brown HC, Nair P, et al. Validation of the foot and ankle outcome score in adult acquired flatfoot deformity. Foot Ankle Int. 2013;34(8):1140–1146. doi: 10.1177/1071100713483117
- Mann RA, Thompson FM. Rupture of the posterior tibial tendon causing flat foot. surgical treatment. J Bone Joint Surg Am. 1985;67(4):556–561.
- Mosier-LaClair S, Pomeroy G, Manoli A 2nd. Operative treatment of the difficult stage 2 adult acquired flatfoot deformity. Foot Ankle Clin. 2001;6(1):95–119. doi: 10.1016/s1083-7515(03)00083-4
- Myerson MS, Badekas A, Schon LC. Treatment of stage II posterior tibial tendon deficiency with flexor digitorum longus tendon transfer and calcaneal osteotomy. Foot Ankle Int. 2004;25(7):445–450. doi: 10.1177/107110070402500701
- Niki H, Hirano T, Okada H, Beppu M. Outcome of medial displacement calcaneal osteotomy for correction of adult-acquired flatfoot. Foot Ankle Int. 2012;33(11):940–946. doi: 10.3113/FAI.2012.094
- Nyska M, Parks BG, Chu IT, Myerson MS. The contribution of the medial calcaneal osteotomy to the correction of flatfoot deformities. Foot Ankle Int. 2001;22(4):278–282. doi: 10.1177/107110070102200402
- Reilingh ML, Beimers L, Tuijthof GJ, et al. Measuring hindfoot alignment radiographically: The long axial view is more reliable than the hindfoot alignment view. Skeletal Radiol. 2010;39(11):1103–1108. doi: 10.1007/s00256-009-0857-9
- Saltzman CL, el-Khoury GY. The hindfoot alignment view. Foot Ankle Int. 1995;16(9):572–576. doi: 10.1177/107110079501600911
- Vora AM, Tien TR, Parks BG, Schon LC. Correction of moderate and severe acquired flexible flatfoot with medializing calcaneal osteotomy and flexor digitorum longus transfer. J Bone Joint Surg Am. 2006;88(8):1726–1734. doi: 10.2106/JBJS.E.00045
- Wacker JT, Hennessy MS, Saxby TS. Calcaneal osteotomy and transfer of the tendon of flexor digitorum longus for stage-II dysfunction of tibialis posterior. Three- to five-year results. J Bone Joint Surg Br. 2002;84(1):54–58. doi: 10.1302/0301-620x.84b1.11847
- Koryshkov NA, Platonov SP. Treatment of Calcaneous Injuries. N.N. Priorov Journal of Traumatology and Orthopedics. 2005;12(1):90–92. (In Russ). doi: 10.17816/vto20050190
- Samkov AS, Zeynalov VT, Levin AN, et al. Low Invasive Subtalar Joint Arthrodesis. N.N. Priorov Journal of Traumatology and Orthopedics. 2013;20(4):45–49. (In Russ). doi: 10.17816/vto20130445-49
- Trotsenko VV, Zhilyaev AA, Ivannikov SV. Biomechanical criterion for assessing pathological gait. N.N. Priorov Journal of Traumatology and Orthopedics. 2000;7(2):64–67. (In Russ). doi: 10.17816/vto104255.
Supplementary files





