Comparative analysis of endoscopic transnasal and microsurgical transoral odontoidectomy: Literature review and own experience
- Authors: Shkarubo A.N.1,2, Nazarenko A.G.3, Chernov I.V.1, Andreev D.N.1, Kuleshov A.A.3, Konovalov N.A.1, Lisyanskiy I.N.3, Sinelnikov M.E.4
-
Affiliations:
- Burdenko National Medical Research Center of Neurosurgery
- Russian Medical Academy of Continuous Professional Education
- Priorov National Medical Research Center of Traumatology and Orthopedics
- Sechenov First Moscow State Medical University (Sechenov University)
- Issue: Vol 30, No 1 (2023)
- Pages: 41-62
- Section: Original study articles
- Submitted: 05.04.2023
- Accepted: 28.04.2023
- Published: 27.06.2023
- URL: https://journals.eco-vector.com/0869-8678/article/view/321930
- DOI: https://doi.org/10.17816/vto321930
- ID: 321930
Cite item
Abstract
BACKGROUND: Odontoidectomy is indicated in the case of anterior compression of brainstem structures by an invaginated dentoid process, and it is currently possible to perform both transoral microsurgical and transnasal endoscopic access.
OBJECTIVE: To conduct a comparative analysis of endoscopic transnasal and microsurgical transoral odontoidectomy performed by the first author.
MATERIALS AND METHODS: The treatment results of 29 patients with pathological conditions, including anterior compression of stem structures with an invaginated dentoid process, were analyzed. Of 29 patients, 5 (17%) underwent surgery transnasally endoscopically, and 24 (83%) underwent surgery transorally microsurgically.
RESULTS: Decompression of brainstem structures was achieved in all cases. The absence of the need to install a tracheostomy before surgery and the smaller volume of oropharyngeal trauma allow patients to undergo transnasal removal of the dentoid process and endure the postoperative period easier and faster.
CONCLUSION: Currently, endoscopic transnasal access is gradually replacing transoral access in certain patients who are indicated for anterior odontoidectomy. Moreover, the literature analysis shows an ever deeper development of this technique; however, unambiguous indications of the use of transoral or transnasal access have not been formed at present.
Full Text
BACKGROUND
The craniovertebral junction (CVJ) is a complex transition zone between the skull and the cervical spine. It plays a crucial role in providing stability and facilitating movement of the head. The CVJ includes structures, such as the occipital bone, CI and CII vertebrae, ligaments, and neurovascular structures [1, 2]. The CVJ ensures 50% of the rotational movements of the neck (mainly at the level of the CI–CII vertebrae) and provides 30° flexion and extension of the cervical spine [3]. Pathological processes in the CVJ area are extremely difficult for both diagnostics and surgical treatment. This is due to the high concentration of critical structures, such as the brainstem, main arteries, cranial, and spinal nerves, in a relatively small volume of bone and soft tissues.
In the case of anterior compression of stem structures by an invaginated odontoid process, which can occur in various developmental anomalies or injuries [4–6], odontoidectomy is the recommended treatment. Currently, this procedure can be performed using either a transoral microsurgical approach or a transnasal endoscopic approach. The former treatment option is widely presented in the literature, providing detailed information about the technical characteristics of the surgery and its possible complications [7–9].
Endoscopic transnasal odontoidectomy was first described by A. Kassam [10]. In Russia, such a surgery was performed for the first time in 2010 when there were only about ten reported cases worldwide [11]. To date, the paraseptal transchoanal approach with trepanation of the posterior septum of the nose is the most commonly used technique, although some authors have described the use of submucosal subperiosteal approach [12–14]. The largest series, consisting of 34 surgeries, was presented by N.T. Zwagerman et al. in 2018 [15]. The number of publications describing the use of endoscopic transnasal approach for odontoidectomy has been steadily growing since 2005, which is confirmed by a meta-analysis conducted by N. Aldahak in 2017. This trend is attributed to the lower injury rate of this approach and fewer complications in the postoperative period [16]. Most of the publications presented in the global literature include 1–3 clinical cases, with a total patient count of not more than 320 (Table 1).
Table 1. World experience in endoscopic transnasal odontoidectomy
Author | Year | Number of patients | Stabilization | Complications |
Author | Year | Number of patients | Stabilization | Complications |
A. Simal-Julián [17] | 2021 | 1 | OSD | No |
C. Zoia [18] | 2021 | 1 | OSD | No |
J. Falco [19] | 2021 | 1 | OSD | No |
R.S. Heller [20] | 2021 | 7 | OSD /CI–СII | No |
H.N. Algattas [21] | 2021 | 1 | No | No |
J.K. Liu [22] | 2021 | 1 | OSD | No |
N.R. London Jr. [23] | 2021 | 1 | OSD | No |
P. Veiceschi [24] | 2021 | 1 | No | No |
Q. Husain [25] | 2020 | 30 | OSD | Dysphagia, asphyxia |
E. Grose [26] | 2020 | 17 | OSD | Dysphagia, sinus infection, nasal hemorrhage, caudal cranial nerve dysfunction |
V.M. Butenschoen [27] | 2020 | 19 | CI–СII | 1 lethal outcome (osteomyelitis), dysphagia, asphyxia |
M.-Y. Yeh [28] | 2019 | 13 | OSD | Cerebrospinal fluid leak |
T. Ogiwara [29] | 2019 | 1 | OSD | No |
A.F. Alalade [30] | 2019 | 7 | OSD | No |
P. Pacca [31] | 2019 | 1 | CI–СII | No |
M. Vitali [32] | 2019 | 1 | No | No |
R.V. Abbritti [33] | 2019 | 4 | OSD | No |
M. Ottenhausen [34] | 2018 | 14 | OSD | No |
A. Grin [35] | 2018 | 1 | OSD | No |
S. Aldea [36] | 2018 | 12 | OSD | No |
N. Zwagerman [15] | 2018 | 34 | OSD | Velopharyngeal insufficiency, dysphagia, caudal cranial nerve insufficiency |
D. Tang [37] | 2018 | 1 | OSD | No |
I. Hussain [38] | 2018 | 1 | OSD | No |
R. Herrera [39] | 2018 | 1 | OSD | No |
Z. Rossini [40] | 2018 | 5 | OSD | No |
M. Iacoangeli [41] | 2018 | 7 | Anterior CI–СII | No |
H. Singh [42] | 2018 | 4 | OSD | No |
M.A. Sexton [43] | 2018 | 5 | n/d | Asphyxia |
S. Chibbaro [44] | 2017 | 14 | OSD | No |
F. Zenga [45] | 2016 | 12 | OSD | No |
V.R. Kshettry [13] | 2016 | 1 | OSD | No |
F. Zenga [46] | 2015 | 1 | No | No |
T.C. Burns [47] | 2015 | 2 | OSD | No |
M. Zoli [48] | 2015 | 2 | OSD | No |
G. Kahilogullari [49] | 2015 | 1 | OSD | Cerebrospinal fluid leak |
E. La Corte [50] | 2015 | 6 | OSD | No |
N.S. Chaudhry [51] | 2015 | 1 | No | No |
T. Goldschlager [52] | 2015 | 9 | OSD | Nasal hemorrhage |
J. Duntze [53] | 2014 | 9 | OSD | No |
Y.S. Yen [54] | 2014 | 13 | OSD | Cerebrospinal fluid leak |
O. Choudhri [55] | 2014 | 5 | OSD | Velopharyngeal insufficiency |
D. Mazzatenta [56] | 2014 | 5 | OSD | No |
T. Nagpal [57] | 2013 | 1 | n/d | No |
F. Zenga [58] | 2013 | 1 | OSD | No |
M. Iacoangeli [59] | 2013 | 3 | No | No |
Y. Yu [60] | 2013 | 3 | OSD | Cerebrospinal fluid leak |
R.B. Rawal [61] | 2013 | 1 | OSD | No |
A.J. Patel [62] | 2012 | 1 | OSD | No |
M. Gladi [63] | 2012 | 4 | OSD /No | No |
A. Grammatica [64] | 2011 | 1 | OSD | No |
J.F. Cornelius [65] | 2011 | 1 | OSD | No |
F. Scholtes [66] | 2011 | 1 | No | No |
I.H. El-Sayed [67] | 2011 | 8 | n/d | n/d |
J. Gempt [68] | 2011 | 3 | OSD | No |
A. Shkarubo [69] | 2020 | 4 | OSD | Cerebrospinal fluid leak |
S. Magrini [70] | 2008 | 1 | Posterior fixation with bone graft | No |
J.-C. Wu [71] | 2008 | 3 | OSD | No |
J. Nayak [72] | 2007 | 9 | OSD | Velopharyngeal insufficiency |
A. Kassam [10] | 2005 | 1 | OSD | No |
Note. OSD, occipitospondylodesis; n/d, no data.
The study aimed to conduct a comparative analysis of endoscopic transnasal and microsurgical transoral odontoidectomy performed by the first author of the work.
MATERIALS AND METHODS
Study design
A retrospective cohort study was conducted.
Eligibility criteria
The inclusion criterion for patients in the study was odontoidectomy performed either with endoscopic transnasal (main group) or microsurgical transoral approach (control group). There were no exclusion criteria.
Terms and conditions
The study was conducted in two centers, namely, the N.N. Burdenko National Medical Research Center for Neurosurgery (Moscow) from 2010 to 2020, and the N.N. Priorov National Medical Research Center of Traumatology and Orthopedics (Moscow) from 2004 to 2018.
Target indicator assessing methods
In a common electronic database created in Microsoft Excel (Microsoft, USA), various indicators were recorded, including gender, age, nature of pathology, clinical presentation of the disease, radiological aspects, nature of the treatment and its characteristics, as well as clinical and radiological outcomes.
Ethical considerations
Due to the retrospective nature of the study, ethical review was not performed.
Statistical analysis
The data obtained was subjected to statistical analysis using the Statistica v. 10 software (StatSoft Inc., USA). Various indicators of surgical treatment of patient groups were compared, including the surgery duration, the degree of decompression of the stem structures, the volume of blood loss, the duration of hospitalization, and so forth.
The tasks of assessing the statistical significance of differences in the distributions of categorical and binary characteristics in groups were solved using the χ2 test and Fisher’s exact test. For numerical indicators, differences were assessed using the Mann–Whitney U-test, since the Shapiro–Wilk test and the Kolmogorov–Smirnov test showed that continuous indices were not normally distributed. The results of testing statistical hypotheses were recognized as statistically significant at a significance level of p <0.05.
Descriptive statistics methods were also used to solve the problems. The data were presented in the format mean (M) ± standard deviation for normally distributed random variables and median (Me) and quartiles for random variables with non-normal distributions.
RESULTS
Participants (objects) of the study
We analyzed the treatment results of 29 patients. Group 1 consisted of five patients with anomalies in the CVJ development, namely, invagination of the odontoid process with or without basilar impression. In one case, the disease was accompanied by the formation of a syringomyelitic cyst at the level of the CIII–ThIII vertebrae, and in another case, it was accompanied by the Arnold–Chiari anomaly, where the cerebellar tonsils were lowered 19 mm below the Chamberlain line. The patients in this group were operated at the Neurosurgical Department 8 (basal tumors) of the N.N. Burdenko National Medical Research Center for Neurosurgery. The surgeries were performed using endoscopic endonasal approach.
For comparison, we analyzed group 2 (control) consisting of 24 patients with developmental anomalies, which included invagination of the odontoid process, or with acquired compression of the stem structures by the invaginated odontoid process (Fig. 1). Patients in this group were operated on from 2007 to 2020 at the N.N. Burdenko National Medical Research Center for Neurosurgery and N.N. Priorov National Medical Research Center of Traumatology and Orthopedics using the transoral microsurgical approach.
Fig. 1. Distribution of patients in the control group by nosology.
Note. БИ, basilar impression, AK, Arnold–Chiari anomaly.
The indicators of demographic data, nosological entity, clinical symptoms and their dynamics in the postoperative period, aspects and scope of the surgery, development of complications, and characteristics of patient management in the postoperative period were analyzed.
Among the patients of the group 1, there were four women and one man aged 22–60 years (median age, 51 years). The control group included 12 men and 12 women aged 11–60 years (median age, 33.5 years). The difference in the distribution of patients by gender was not statistically significant (p >0.05, Fisher’s exact test).
The clinical presentation of diseases of the study participants is presented in Table 2.
Table 2. Clinical features of diseases
Symptom | Endoscopic transnasal odontoidectomy, n (%) | Transoral microsurgical odontoidectomy, n (%) |
Tetraparesis | 2 (40) | 16 (66,7) |
Hemiparesis | 0 | 3 (12,5) |
Headache | 4 (80) | 16 (66,7) |
Cerebellar ataxy | 1 (20) | 9 (37,5) |
Conduction sensory abnormalities | 5 (100) | 20 (83,3) |
Bulbar disorders | 1 (20) | 4 (16,7) |
Impaired control of pelvic organs | 0 | 1 (4,2) |
In group 1, surgeries were performed using endoscopic techniques described in numerous studies [73–77]. In group 2, a classical transoral approach was employed, which is also widely presented in the literature. This approach includes such stages as the installation of a mouth expander, dissection of the soft palate, dissection of the posterior pharyngeal wall along the midline, skeletonization of the clivus, CI and CII vertebrae, trepanation of the anterior semi-ring of the CI vertebra, trepanation and removal of the odontoid process, and layer-by-layer wound closure [78–81].
In two patients from group 1 and in seven patients from group 2, the surgery was two-staged. The first stage involved posterior stabilization (occipitospondylodesis (OSD)), followed by the main stage of the intervention after the patient was turned over. The removal of the odontoid process in both groups included the installation of a lumbar drain when necessary, placing the patient in a supine position for transoral approach and in a semi-sitting position for transnasal approach, and performing the appropriate approach. During the preparation for odontoidectomy, two patients were found to have initial CVJ instability: one case involved fracture dislocation of the odontoid process, and the other case involved odontoid process invagination with an unsuccessful attempt of posterior stabilization due to infectious complications.
Primary study results
Analysis of the results of endoscopic transnasal odontoidectomy
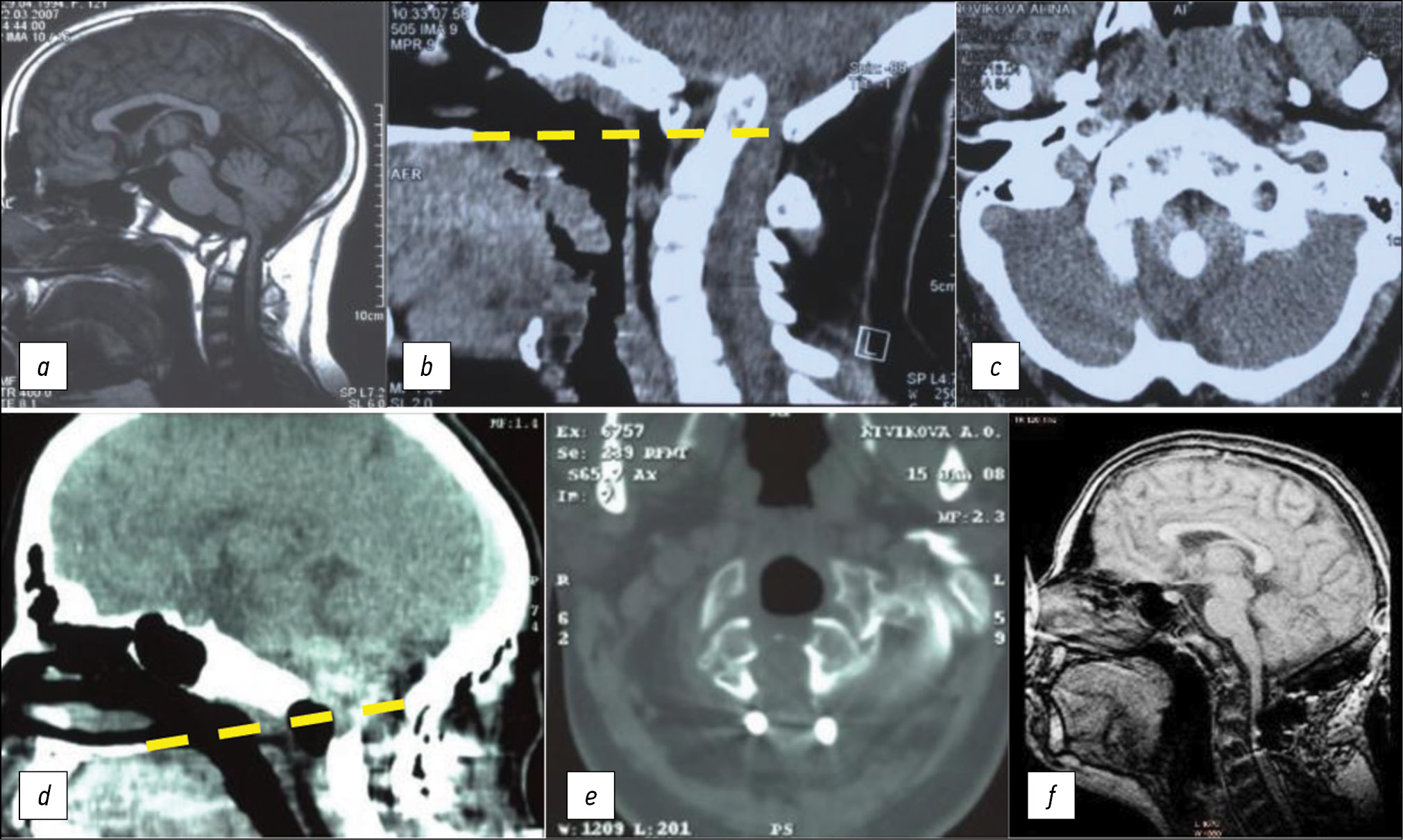
The results of surgical treatment were evaluated based on a retrospective analysis of the case histories of five patients whose odontoid process of the CII vertebra was removed endoscopically transnasally (clinical case in Fig. 2).
Fig. 2. Neuroimaging studies of patient K., 27 years old, before and after surgery.
Note. a — magnetic resonance imaging (MRI) before surgery. b — spiral computed tomography (SCT) before surgery. Invagination of the CII vertebra odontoid compression of the medulla oblongata is determined. The red dotted line is the line of the plane of McRae’s foramen magnum. The yellow dotted line indicates the Chamberlain line. The red arrow indicates the direction of access. The operating angle is 25 °. c — MRI before surgery, syringomyelitic cyst CIII–ThVII. In the clinical picture — headache, hemiparesis 4 points. d — SCT 7 days after the operation. e — SCT 3 months after surgery. f — MRI of the head and neck in the sagittal projection in T1 mode. Decompression of the medulla oblongata and spinal cord, almost complete regression of the giant syringomyelitic cyst.
Preoperative CVJ instability was not observed in any of the cases. Stabilization (OSD with the Vertex system) was performed in two patients, 1 and 3 months before the main stage of treatment. In two other patients, stabilization was performed simultaneously, as part of a two-stage surgical treatment. One of them (diagnosed with basilar impression, invagination of the odontoid process, syringomyelitic cyst at the level of CIII to ThIII vertebrae) underwent posterior decompression of the CVJ level during posterior stabilization. In one patient (diagnosed with intussusception of the odontoid process, Chiari anomaly type 1), CVJ was not stabilized. Despite the lack of assimilation of the CI vertebra with the skull, and after 3 months of wearing a Philadelphia collar, the CVJ stabilization was registered.
In three out of five patients, a tracheostomy was placed before surgery. In one of the patients, a transoral approach was initially planned, but due to the stiffness of the mandibular joint, a transnasal approach was performed instead. In two cases, decannulation was performed within an average of 7 days (8 and 6 days), and, accordingly, oral nutrition was started on the days 8 and 2 after the surgery. Decannulation was not performed during hospitalization in one patient, due to the appearance of bulbar disorders. In the remaining two patients, mechanical ventilation of the lugs was performed orotracheally, and tracheostomy is not required during the postoperative period. Oral nutrition for these patients was started on the first day after surgery. The average time to start oral nutrition was 3 days after the surgery.
The average duration of odontoidectomy was 320±72.5 min. In four cases, trepanation of the lower clivus was performed to expand the approach zone. In these cases, the apex of the odontoid process was located behind the lower clivus. In two cases, trepanation of the upper sections of the CII vertebra body was also performed to enhance the convenience of visualization during trepanation of the upper sections of the odontoid process, which enabled to hold the endoscope below the drill and control the underlying structures. In all cases, it was possible to perform a complete resection of the odontoid process and visualize a thinned, pulsating underlying dura mater (DM), which confirmed the complete decompression of the stem structures at the intraoperative stage of treatment.
In two cases (the first two surgeries), at the last stages of the odontoid process removal, point damage to the DM was registered with the development of intraoperative cerebrospinal fluid leakage. Plastic surgery was performed with TachoComb and fibrin thrombin glue. However, in one of these cases, on the fourth day after the surgery, nasal cerebrospinal fluid leak and meningitis developed. As a result, a revision surgery was performed with layer-by-layer plastic surgery of the defect with autofascia and autofat. Damage to the main vessels was not observed in any of the cases. The average blood loss was 300 ml. The inclusion of the stabilization stage in the surgery increased blood loss by 500 ml.
In the range of complications, the development of pneumonia was also registered in one case after surgery. Clinical symptom assessment was performed at the time of patient discharge. Positive changes were noted in two patients with initial tetraparesis, as they experienced a complete restoration of strength in the limbs. In one patient without initial motor impairment, deterioration was noted with the development of tetraparesis up to four points. In three out of four patients with cranialgia after surgery, regression of headache was recorded, while in one patient, no dynamics was registered. The only patient with ataxy showed regression of unsteady gait after surgery. All patients with sensory abnormalities had their regression in the early postoperative period (Fig. 3). A patient with Arnold–Chiari anomaly in the early postoperative period (day 7 after surgery) had a partial redislocation from the cerebellar tonsils of 19–15 mm and further redislocation up to 7 mm during 3 months of follow-up.
The median duration of hospital stay after odontoidectomy was 12 days ± 18.9 (7–52 days). The longest hospital stay was 52 days in a patient with postoperative cerebrospinal fluid leakage and meningitis.
Analysis of the results of microsurgical transoral odontoidectomy
The results of surgical treatment were evaluated based on a retrospective analysis of the case histories of 24 patients whose odontoid process of the CII vertebra was removed microsurgically transorally.
In 11 patients, the stabilizing surgery was performed single-staged. Among them, eight patients underwent OSD as stage 1 of the surgery, while in three patients, the stage 2 (anterior stabilization using an individual stabilizing system) was performed immediately after the removal of the odontoid process. In seven patients, stabilization was performed on average within a year prior to the main stage of surgical treatment. Additionally, in three cases, OSD was performed within 2 weeks after odontoidectomy. OSD was performed using the Vertex hook system in 11 cases, with the DM screw system in four cases, and with the Summit system in two cases. In one patient diagnosed with an invaginated odontoid process of the CII vertebra, CVJ stabilization was not performed, despite the absence of assimilation of the CI vertebra with the skull, and after 6 months of wearing a Philadelphia collar, the CVJ stabilization was recorded. In seven cases, OSD was accompanied by laminectomy at the CI–CII level.
A tracheostome was made in all patients prior to surgery. On average, decannulation was performed 11 days after surgery. The mean surgery time was 400 min, and the median duration of odontoidectomy was 380 min ([320; 450]). The OSD as stage 1 be prolonged the surgery by 525 min (median [480; 550]).
In five cases, trepanation of the lower parts of the clivus was performed to expand the approach zone. These cases involved situations where the apex of the odontoid process was behind the lower part of the clivus. Additionally, trepanation of the CII vertebral body was performed in all cases. Complete resection of the odontoid process was achieved in 21 cases. In one case, dorsal cortical plastic surgery of the odontoid process was left; however, decompression of the stem structures was achieved. In another case, only half of the odontoid process was removed, which required repeated surgery, after which the odontoid process was completely removed. Furthermore, in one case, due to an orientation error in the surgical wound, instead of the odontoid process, trepanation of the anterior parts of the occipital bone condyle was performed (the error from the midline was 4 mm), and as a result, the patient underwent repeated surgery the next day, and the odontoid process was completely removed.
In two cases, at the last stages of the odontoid process removal, the DM damage and intraoperative cerebrospinal fluid leakage were noted. In case 1, plastic repair with TachoComb was performed. In case 2, plastic repair with TachoComb, autofat, and autofascia was performed. None of the patients developed meningitis or cerebrospinal fluid leakage in the postoperative period. In case 1, pneumonia developed after surgery.
In 15 cases, oral nutrition was started 3–4 days before decannulation. In four cases, the start of oral nutrition coincided with the day of decannulation. In the remaining three cases, due to bulbar disorders, oral nutrition was initiated 7–10 days after decannulation. In two cases, decannulation was not performed during hospitalization due to persistent bulbar disorders. The average time to start oral nutrition was 8.3 days.
In any case, damage to the main vessels was not registered. The average blood loss in patients who underwent posterior stabilization simultaneously with odontoidectomy was 1,040 ml. In patients who did not undergo stabilization or who underwent simultaneous anterior stabilization, the average blood loss was 416 ml.
Fig. 3. Symptoms dynamics after surgery in the main group of patients (according to the number of patients).
Assessment of clinical symptoms was performed at the time of discharge of the patient from the hospital. In 10 out of 16 patients with initial tetraparesis, positive changes were noted in the form of increased strength in the limbs. None of the patients without initial motor impairment (n=5) had any of these in the postoperative period. All patients with initial hemiparesis (n=3) also showed improvement in the form of increased strength in the limbs. In 10 out of 16 patients with preoperative cranialgia, it regressed after surgery, while in six patients; it remained at the same level. Six out of nine patients had regression of ataxy.
In 12 out of 20 patients, regression of sensory abnormalities in the postoperative period was registered. In one out of four patients with bulbar disorders, improvement was registered. In two patients, the disorder degree persisted at the preoperative level, and in one case, it aggravated. In one patient, bulbar disorders occurred after surgery but regressed by the day 26 of the postoperative period. The changes in the clinical presentation over time are presented in Fig. 4.
Fig. 4. Symptoms dynamics after surgery in the control group of patients (according to the number of patients).
The median duration of hospital stay after odontoidectomy was 18 days ([11.5; 28.5]). The longest hospital stay was 55 days in a female patient with a triple suture dehiscence on the posterior wall of the oropharynx in the postoperative period (clinical example in Fig. 5). Female patient N, aged 13, was admitted to the N.N. Burdenko National Medical Research Center for Neurosurgery. MRI and CT revealed platybasia, an invaginated odontoid process with compression of the stem structures (Fig. 5). In the neurological status, there was spastic tetraparesis (four points), bulbar disorders, and ataxy.
Fig. 5. Neuroimaging studies of patient N., 13 years old, before and after surgery.
Note. а — MRI in T1 mode in the sagittal projection. b — SCT in the sagittal projection. c — SCT in axial projection. Platybasia, invagination of the odontoid is determined. The yellow dotted line is the Chamberlain line. The clinical presentation — a violation of swallowing, speech, weakness in the limbs, unsteadiness and instability when walking. d — SCT immediately after surgery (transoral odontoidectomy) in the axial projection. e — SCT immediately after the operation in the sagittal projection. f — MRI 2 years after surgery in the sagittal projection. There is decompression of the anterior spinal cord. The yellow dotted line is the Chamberlain line. On the 14th day after the operation, the sutures were removed from the posterior pharyngeal wall. The tracheostomy was removed on the 23rd day after the intervention. She was transferred to independent nutrition on the 23rd day after the operation (before that, nutrition was carried out through a nasogastric tube). In the neurological status: regression of tetraparesis, bulbar disorders. On the 43rd day after the intervention, the patient was discharged in a satisfactory condition.
Adverse events
The incidence of surgical complications (cerebrospinal fluid leak, meningitis, and wound dehiscence) was not statistically significantly higher in the main group (20%) than in the control group (5%; p >0.05; Fisher’s exact test; Table 3).
Table 3. Surgical treatment complications
Complication | Main group, n (%) | Control group, n (%) |
Cerebrospinal fluid leak | 1 (20) | 0 (0) |
Meningitis | 1 (20) | 0 (0) |
Wound dehiscence on the posterior pharynx | 0 (0) | 2 (8.3) |
Pneumonia | 1 (20) | 1 (4.1) |
DISCUSSION
Discussion of the main study result
This study focused on the analysis of surgical treatment outcomes in patients with invaginated odontoid process, which compressed stem structures. The main indication for surgical treatment of pathological formations of the ventral CVJ, including in the presence of an invaginated odontoid process, is the compression of the brain stem and upper cervical segments of the spinal cord [82]. If the compression of the stem structures can be reduced by distraction, then posterior stabilization after distraction can only be performed, while stabilization provides a long-term effect of distraction [32, 83]. In cases of impossibility of distraction and progression of neurological symptoms, decompression of the stem structures and stabilization of the upper cervical segments of the spine are indicated [84]. Various approaches have been proposed for the treatment of such pathological processes, including transoral and transnasal endoscopic approaches [2, 10, 85–87].
With endoscopic transnasal approach, the surgical field is limited by the nasal and palatine bones, through which two lines are drawn, namely, the nasopalatine line proposed by A. Kassam (the line connecting the rhinion with the posterior edge of the hard palate), and the nasoclival line proposed by A. Shkarubo (the line connecting the rhinion and the lower clivus), resulting in a triangular shape of the surgical corridor [74, 88]. This corridor provides approach to the entire ventral CVJ in the median plane [10, 83]. In order to expand the approach zone in the caudal direction, trepanation of the posterior hard palate [2], its thinning to increase the excursion of the instruments [59], or a transseptal approach with trepanation of the posterior sections of the nasal septum [40] are used. On the sides, the surgical field is limited by the Eustachian tubes, medial pterygoid processes and paraclival sections of the internal carotid arteries. Orientation is possible using both neuronavigation and intraoperative CT/MRI [29].
According to the literature, the average rate of regression of neurological symptoms after transnasal odontoidectomy is 94% compared with 90% after transoral surgery [89]. It is important to note that there are no reported cases in the literature where neurological status worsened after endoscopic transnasal odontoidectomy, whereas the incidence of status worsening after transoral odontoidectomy is 0.9% [89]. In one case in this series, the emergence of tetraparesis motor disorders, more pronounced in the legs, was noted.
Since all patients in both groups achieved complete decompression of the stem structures, there was no significant difference in the dynamics of the clinical presentation between the groups. The most frequent symptoms, such as headache, motor and sensory abnormalities, regressed with a comparable frequency in both groups. This indicates the effectiveness of the technique applied and corresponds to the literature data, highlighting the efficiency of the actual anterior decompression [23, 24, 46, 90, and 91].
Due to the fact that transnasal approach to the odontoid process of the CII vertebra is performed through a small incision in the nasopharynx, the influence of saliva and bacteria on the wound is reduced compared with transoral approach, which, accordingly, reduces the risk of infectious complications [23, 37, and 92]. Another advantage compared with transoral approach is the top-down approach trajectory, which allows better control of the stages of trepanation of bone structures and visualization of the ligamentous apparatus of the tooth from a more convenient position [16].
An important advantage of the transnasal approach is the absence of the need to install a tracheostomy, despite the literature suggesting its possible necessity in the postoperative period (due to transient velo-pharyngeal insufficiency or bulbar disorders), with a reported frequency of 2–3% [25, 72, 89]. This significantly differs from the rate among patients operated on transorally (26.3%) [93]. In the postoperative period in the group 1, there was no need to install a tracheostomy in any case, and patients who had it installed before the surgery underwent the decannulation procedure at the standard time, and oral nutrition for the patients of the main group was started at an earlier time, which was due, among other things, to a lower risk of wound infection and absence of risk of suture dehiscence on the soft palate and posterior pharyngeal wall, the incidence of which was 8.3% in group 2. According to the literature, the incidence of suture dehiscence averages 2% [89]. An equally important factor in the early start of oral nutrition is the lower (up to 6% according to the literature) probability of velo-pharyngeal insufficiency in patients after endoscopic transnasal odontoidectomy with the development of nasal voice and reflux of food into the nasal cavity, which is due to a lower concentration of pharyngeal plexus fibers in the incision area with endoscopic transnasal approach and absence of need to dissect the soft palate [9, 25, 89, 91]. In the study group, no such complications were registered after transnasal odontoidectomy in any case.
Complications
Transnasal endoscopic odontoidectomy is a new method, with several hundred surgeries described. Consequently, the question of possible intraoperative complications and postoperative complications becomes quite relevant. Like any surgery, the main possible intraoperative complication is bleeding. In none of the groups of our study, there was an injury to the great vessel, with a 2% incidence of such complications described in the literature [89]. However, the potential risk of such problems always exists, and it is always more difficult to achieve hemostasis in the conditions of endoscopic approach compared with the microsurgical technique used in transoral surgery. First of all, this is due to the lack of the possibility of full-fledged bimanual work. Nevertheless, the use of modern hemostatic agents and instruments designed for endoscopic endonasal surgery, including diamond burs and bipolar coagulation, as well as warm irrigation, allows for hemostasis [94]. It is also noteworthy that the level of blood loss observed in the study groups was comparable, which demonstrates that the transnasal endoscopic approach can be used on a par with microsurgical transoral approach. One of the possible complications that can be expected in the postoperative period is nasal hemorrhage, which occurs in 2% of cases [60, 62, 90, 95]. Similar to the approach to the sinus of the sphenoid bone, bleeding most often occurs from the branches of the sphenopalatine artery, and the only option for stopping it is wound revision and vessel coagulation. No such complications were noted in the series of cases analyzed.
Another possible complication is intraoperative cerebrospinal fluid leak, which in the case of odontoidectomy occurs due to the DM thinning in the site of the invaginated odontoid process and dense adhesion of the cortical plate to the DM, which is why it is most often noted at the very final stages of odontoidectomy. Despite the plastic surgery, there is always a risk of cerebrospinal fluid leakage in the postoperative period, which we recorded in one out of five (20%) patients of the study group, and which is comparable with literature data, where the frequency of such complications is approximately 2–20% (in an average of 6%), while the incidence of meningitis is on average 4% [28, 49, 54, 60, 89]. Such a high incidence is associated with the peculiarities of reconstruction of the osteodural defect in the CVJ area and clivus due to the size of the defects, the pronounced flow of cerebrospinal fluid, the absence of supporting structures, and the influence of gravity [92, 96]. In transoral surgery of the invaginated odontoid process, the incidence of cerebrospinal fluid leakage averages 1%, as well as that of meningitis, which is due to layer-by-layer suturing of the posterior wall of the nasopharynx and the possibility of more delicate exposure of the cortical plate of the odontoid process, which, accordingly, reduces the risk of injury to the DM [89]. The literature presents various techniques for repairing similar DM defects [1, 20, 23, 26, and 37]. The main methods of plastic surgery of a bone-dural defect in this area are a combination of methods of free transplantation (fat and fascia) and pedicled flaps. The “triple F” (fat, fascia, and flap) technique is mainly used [94, 97, 98]. Currently, as a rule, plastic repair is applied using a mucoperiosteal graft from the nasal septum and a graft formed from the posterior pharyngeal wall with or without autofat and autofascia. It is also possible to suture the posterior pharyngeal wall, which, of course, is more convenient to perform under conditions of microsurgical transoral approach.
According to the literature, extracranial complications after transoral odontoidectomy are most often cardial and pulmonological ones, which is mainly associated with tracheostomy and initial respiratory disorders [89, 99]. In the series described by us, similar complications were also registered in the form of pneumonia, which occurred in one case from each group of patients.
Stabilization of the craniovertebral junction
It is generally accepted that the removal of the anterior semi-ring of vertebra CI and the odontoid process of vertebra CII leads to instability of the atlanto-axial articulation, requiring internal or external fixation [72, 75, and 100]. Menezes and VanGilder noted in their work that 72% of 72 operated patients after odontoidectomy developed postoperative CVJ instability, which required posterior stabilization in a series of their patients (72 patients) [101]. The same data were also provided by Dickman on the experience of treating 28 patients, where in 70% of cases, stabilizing surgeries were required after resection of the odontoid process [102, 103].
In the absolute majority of cases, standard OSD is performed either before anterior decompression or after it [15, 26, 29, 37, and 104]. In some cases, CI–CII fixation is performed [20, 27, and 31]. At the same time, Chang et al. in a retrospective series of patients who underwent anterior odontoidectomy and various options for posterior stabilization (OSD with CI–CII–CIII fixation, OSD with CII–CIII fixation, that of CI–CII only), using their algorithm (a triangle including the lower clivus point, posteroinferior point of the CII vertebral body and the point of the odontoid process closest to the trunk), noted that the best decompression results are achieved in those who undergo occipitocervical stabilization with the inclusion of CI–CII segments [105].
An analysis of literature reveals the development of anterior stabilization methods that are not inferior in their effectiveness to the posterior one, which enables to perform the single-staged surgery, without turning over [103, 106–109]. A technique for anterior stabilization of the CVJ using a bone autograft has also been described [110]. To avoid the CVJ destabilization after odontoidectomy, some authors suggest removing the odontoid process without resection of the anterior semi-ring of the CI vertebra by intraoperative repositioning of the head [41, 46, and 59]. Stabilization can also be omitted during fusion of the posterior semi-ring of the CI vertebra and the occipital bone [32].
Study limitations
- Impossibility to trace catamnesis in all patients due to their unavailability
- No randomization of approach choice
- Large time scatter between the start and end of the enrollment of patients
CONCLUSION
Currently, the endoscopic transnasal approach is gradually replacing the transoral approach in a number of patients who require anterior odontoidectomy. At the same time, the analysis of literature data highlights the development of this technique, considering an increasing number of aspects of surgical treatment, including optimization of the size of the surgical field, attempts to perform CI-preserving surgeries, and determination of a sufficient amount of trepanation of bone structures. However, unequivocal indications for the use of transoral or transnasal approach are not currently defined. Such indicators as nasopalatinal and nasoclival lines are used, but in most cases, the choice of approach depends on the equipment of the clinic and the skills of the surgeon. Nevertheless, the analysis of literature over the past 20 years shows a gradual shift in the emphasis of surgical treatment of patients with basilar impression toward minimally invasive techniques that can reduce the incidence of postoperative complications, shorten the patient’s stay in the hospital and reduce the frequency of stabilizing surgeries, which can significantly improve the quality of life of patients due to the absence of impaired mobility of the cervical spine. In our opinion, a promising field could be the development and implementation of a method for simultaneous anterior stabilization during endoscopic transnasal odontoidectomy using autografts or allomaterials.
ДОПОЛНИТЕЛЬНО / ADDITIONAL INFO
Вклад авторов. Все авторы подтверждают соответствие своего авторства международным критериям ICMJE (все авторы внесли существенный вклад в разработку концепции, проведение исследования и подготовку статьи, прочли и одобрили финальную версию перед публикацией). Наибольший вклад распределён следующим образом: А.Н. Шкарубо, А.Г. Назаренко, А.А. Кулешов, Н.А. Коновалов — концепция и дизайн исследования, редактирование рукописи; И.В. Чернов, И.В. Андреев — сбор и обработка материала, написание текста рукописи; И.Н. Лисянский — сбор и обработка материала, статистический анализ данных; М.Е. Синельников — написание текста рукописи.
Author’s contribution. A.N. Shkarubo, A.G. Nazarenko, A.A. Kuleshov, N.A. Konovalov — concept and design of research, editing of the manuscript; I.V. Chernov, I.V. Andreev — collection and processing of material, writing the text of the manuscript; I.N. Lisyansky — collection and processing of material, statistical analysis of data; M.E. Sinelnikov — writing the text of the manuscript. Thereby, all authors made a substantial contribution to the conception of the work, acquisition, analysis, interpretation of data for the work, drafting and revising the work, final approval of the version to be published and agree to be accountable for all aspects of the work.
Источник финансирования. Не указан.
Funding source. Not specified.
Конфликт интересов. Авторы декларируют отсутствие явных и потенциальных конфликтов интересов, связанных с публикацией настоящей статьи.
Competing interests. The authors declare that they have no competing interests.
Информированное согласие на публикацию. Авторы получили письменное согласие законных представителей пациента на публикацию медицинских данных и фотографий.
Consent for publication. Written consent was obtained from the patient for publication of relevant medical information and all of accompanying images within the manuscript.
About the authors
Alexey N. Shkarubo
Burdenko National Medical Research Center of Neurosurgery; Russian Medical Academy of Continuous Professional Education
Email: ashkarubo@nsi.ru
ORCID iD: 0000-0003-3445-3115
SPIN-code: 3420-3394
MD, Dr. Sci. (Med.), neurosurgeon
Russian Federation, 16 Tverskaya-Yamskaya Str., 125047 Moscow; 2/1, building 1, Barrikadnaya st., 123242 MoscowAnton G. Nazarenko
Priorov National Medical Research Center of Traumatology and Orthopedics
Email: cito@cito-priorov.ru
ORCID iD: 0000-0003-1314-2887
SPIN-code: 1402-5186
professor of RAS, traumatologist-orthopedist
Russian Federation, 10, st. Priorova, 127299 MoscowIlya V. Chernov
Burdenko National Medical Research Center of Neurosurgery
Author for correspondence.
Email: ichernov@nsi.ru
ORCID iD: 0000-0002-9789-3452
SPIN-code: 3550-1153
MD, Cand. Sci. (Med.), neurosurgeon
Russian Federation, 16 Tverskaya-Yamskaya Str., 125047 MoscowDmitry N. Andreev
Burdenko National Medical Research Center of Neurosurgery
Email: dandreev@nsi.ru
ORCID iD: 0000-0001-5473-4905
SPIN-code: 8516-7994
MD, Cand. Sci. (Med.), neurosurgeon
Russian Federation, 16 Tverskaya-Yamskaya Str., 125047 MoscowAlexandr A. Kuleshov
Priorov National Medical Research Center of Traumatology and Orthopedics
Email: Cito-spine@mail.ru
MD, Dr. Sci. (Med.), traumatologist-orthopedist
Russian Federation, 10, st. Priorova, 127299 MoscowNikolai A. Konovalov
Burdenko National Medical Research Center of Neurosurgery
Email: NAKonovalov@nsi.ru
ORCID iD: 0000-0003-0824-1848
SPIN-code: 9436-3719
MD, Dr. Sci. (Med.), corresponding member of RAS, neurosurgeon
Russian Federation, 16 Tverskaya-Yamskaya Str., 125047 MoscowIgor N. Lisyanskiy
Priorov National Medical Research Center of Traumatology and Orthopedics
Email: lisigornik@list.ru
SPIN-code: 9845-1251
MD, Cand. Sci. (Med.), traumatologist-orthopedist
Russian Federation, 10, st. Priorova, 127299 MoscowMikhail E. Sinelnikov
Sechenov First Moscow State Medical University (Sechenov University)
Email: snlnkv15@icloud.com
ORCID iD: 0000-0002-0862-6011
SPIN-code: 6341-0943
MD, Cand. Sci. (Med.), oncologist
Russian Federation, 8, building 2, st. Trubetskaya, Moscow 119991References
- Pacca P, Tardivo V, Pecorari G, et al. The Endoscopic Endonasal Approach to Craniovertebral Junction Pathologies: Surgical Skills and Anatomical Study. Acta Neurochir Suppl. 2019;125:25–36. doi: 10.1007/978-3-319-62515-7_5
- Ponce-Gómez JA, Ortega-Porcayo LA, Soriano-Barón HE, et al. Evolution from microscopic transoral to endoscopic endonasal odontoidectomy. Neurosurg Focus. 2014;37(4):E15. doi: 10.3171/2014.7.FOCUS14301
- Tubbs RS, Hallock JD, Radcliff V, et al. Ligaments of the craniocervical junction. J Neurosurg Spine. 2011;14(6):697–709. doi: 10.3171/2011.1.SPINE10612
- Liao C, Visocchi M, Zhang W, et al. The Relationship Between Basilar Invagination and Chiari Malformation Type I: A Narrative Review. Acta Neurochir Suppl. 2019;125:111–118. doi: 10.1007/978-3-319-62515-7_16
- Vangilder JC, Menezes AH. Craniovertebral junction abnormalities. Clin Neurosurg. 1983;30:514–530. doi: 10.1093/neurosurgery/30.cn_suppl_1.514
- Menezes AH. Craniovertebral junction database analysis: incidence, classification, presentation, and treatment algorithms. Child’s Nerv Syst. 2008;24(10):1101–1118. doi: 10.1007/s00381-008-0605-9
- Naderi S, Crawford NR, Melton MS, et al. Biomechanical analysis of cranial settling after transoral odontoidectomy. Neurosurg Focus. 1999;6(6):E9. doi: 10.3171/foc.1999.6.6.10
- Cavallo LM, Cappabianca P, Messina A, et al. The extended endoscopic endonasal approach to the clivus and cranio-vertebral junction: anatomical study. Child’s Nerv Syst. 2007;23(6):665–671. doi: 10.1007/s00381-007-0332-7
- Perrini P, Benedetto N, Di Lorenzo N. Transoral approach to extradural non-neoplastic lesions of the craniovertebral junction. Acta Neurochir (Wien). 2014;156(6):1231–1236. doi: 10.1007/s00701-014-2057-1
- Kassam AB, Snyderman C, Gardner P, et al. The Expanded Endonasal Approach: A Fully Endoscopic Transnasal Approach and Resection of the Odontoid Process: Technical Case Report. Oper Neurosurg. 2005;57(1 Suppl):E213;discussion E213. doi: 10.1227/01.NEU.0000163687.64774.E4
- Shkarubo AN, Konovalov NA, Zelenkov PV, et al. Endoscopic endonasal removal of the invaginated odontoid process of the C2 vertebra. Zhurnal Voprosy Neirokhirurgii Imeni NN Burdenko 2015;79(5):82–90. doi: 10.17116/neiro201579582-90
- Jho HD, Ha HG. Endoscopic Endonasal Skull Base Surgery: Part 3 — The Clivus and Posterior Fossa. Minim Invasive Neurosurg. 2004;47(1):16–23. doi: 10.1055/s-2004-818347
- Kshettry VR, Thorp BD, Shriver MF, et al. Endoscopic Approaches to the Craniovertebral Junction. Otolaryngol Clin North Am. 2016;49(1):213–226. doi: 10.1016/j.otc.2015.08.003
- Laufer I, Greenfield JP, Anand VK, et al. Endonasal endoscopic resection of the odontoid process in a nonachondroplastic dwarf with juvenile rheumatoid arthritis: feasibility of the approach and utility of the intraoperative Iso-C three-dimensional navigation. J Neurosurg Spine. 2008;8(4):376–380. doi: 10.3171/SPI/2008/8/4/376
- Zwagerman NT, Tormenti MJ, Tempel ZJ, et al. Endoscopic endonasal resection of the odontoid process: clinical outcomes in 34 adults. J Neurosurg. 2018;128(3):923–931. doi: 10.3171/2016.11.JNS16637
- Aldahak N, Richter B, Bemora JS, et al. The endoscopic endonasal approach to cranio-cervical junction: the complete panel. Pan Afr Med J. 2017;27:277. doi: 10.11604/pamj.2017.27.277.12220
- Simal-Julián JA, Miranda-Lloret P, Sanchis-Martín MR, et al. Endonasal Odontoidectomy in Basilar Invagination. J Neurol Surg Part B Skull Base. 2021;82(Suppl 1):S14–S15. doi: 10.1055/s-0040-1714406
- Zoia C, Bongetta D, Luzzi S. Endoscopic Transnasal Odontoidectomy. J Neurol Surg Part B Skull Base. 2021;82(Suppl 1):S10–S11. doi: 10.1055/s-0040-1714409
- Falco JJ, Solares CA, Reyes C. Endoscopic Transnasal Odontoidectomy. J Neurol Surg Part B Skull Base. 2021;82(Suppl 1):S8–S9. doi: 10.1055/s-0040-1705161
- Heller RS, Glaspy T, Mhaskar R, et al. Endoscopic Endonasal Versus Transoral Odontoidectomy for Non-Neoplastic Craniovertebral Junction Disease: A Case Series. Oper Neurosurg (Hagerstown). 2021;21(6):380–385. doi: 10.1093/ons/opab303
- Algattas HN, Okonkwo DO, Snyderman C, et al. Staged Repositioning in Endoscopic Endonasal Odontoidectomy Maximizes Decompression While Allowing Preservation of the C1 Anterior Arch: A Technical Note. World Neurosurg. 2021;151:118–123. doi: 10.1016/j.wneu.2021.04.105
- Liu JK, Dodson VN, Zhao K, Eloy JA. Endoscopic Endonasal Transclival Odontoidectomy for Basilar Invagination: Operative Video and Technical Nuances. J Neurol Surg Part B Skull Base. 2021;82(Suppl 1):S16–S18. doi: 10.1055/s-0040-1715522
- London NR, Mohyeldin A, Carrau RL, Prevedello DM. Endoscopic Endonasal Odontoidectomy with Nasopharyngeal Flap Reconstruction. J Neurol Surg Part B Skull Base. 2021;82(Suppl 1):S12–S13. doi: 10.1055/s-0040-1714408
- Veiceschi P, Pozzi F, Restelli F, et al. Endoscopic Endonasal Odontoidectomy Preserving Atlantoaxial Stability: a Pediatric Case. J Neurol Surg Part B Skull Base. 2021;82(Suppl 1):S2–S3. doi: 10.1055/s-0039-3402797
- Husain Q, Kim MH, Hussain I, et al. Endoscopic endonasal approaches to the craniovertebral junction: The Otolaryngologist’s perspective. World J Otorhinolaryngol Head Neck Surg. 2020;6(2):94–99. doi: 10.1016/j.wjorl.2020.01.001
- Grose E, Moldovan ID, Kilty S, et al. Clinical Outcomes of Endoscopic Endonasal Odontoidectomy: A Single-Center Experience. World Neurosurg. 2020;137:e406–e415. doi: 10.1016/j.wneu.2020.01.219
- Butenschoen VM, Wostrack M, Meyer B, Gempt J. Endoscopic Transnasal Odontoidectomy for Ventral Decompression of the Craniovertebral Junction: Surgical Technique and Clinical Outcome in a Case Series of 19 Patients. Oper Neurosurg (Hagerstown). 2020;20(1):24–31. doi: 10.1093/ons/opaa331
- Yeh M-Y, Huang W-C, Wu J-C, et al. Suture Repair in Endoscopic Surgery for Craniovertebral Junction. Neurospine. 2019;16(2):257–266. doi: 10.14245/ns.1938174.087
- Ogiwara T, Miyaoka Y, Nakamura T, et al. Endoscopic Endonasal Odontoidectomy in the Hybrid Operating Room. World Neurosurg. 2019;131:137–140. doi: 10.1016/j.wneu.2019.07.197
- Alalade AF, Ogando-Rivas E, Forbes J, et al. A Dual Approach for the Management of Complex Craniovertebral Junction Abnormalities: Endoscopic Endonasal Odontoidectomy and Posterior Decompression with Fusion. World Neurosurg X. 2019;2:100010. doi: 10.1016/j.wnsx.2019.100010
- Pacca P, Marengo N, Di Perna G, et al. Endoscopic Endonasal Approach for Urgent Decompression of Craniovertebral Junction in Syringobulbia. World Neurosurg. 2019;130:499–505. doi: 10.1016/j.wneu.2019.07.004
- Vitali M, Canevari FR, Cattalani A, et al. Stability-Sparing Endoscopic Endonasal Odontoidectomy in a Malformative Craniovertebral Junction: Case Report and Biomechanical Considerations. Acta Neurochir Suppl. 2019;125:229–233. doi: 10.1007/978-3-319-62515-7_32
- Abbritti RV, Esposito F, Angileri FF, et al. Endoscopic Endonasal Odontoidectomy and Posterior Fusion in a Single-Stage Surgery: Description of Surgical Technique and Outcome. Acta Neurochir Suppl. 2019;125:197–207. doi: 10.1007/978-3-319-62515-7_29
- Ottenhausen M, Alalade AF, Rumalla K, et al. Quality of Life After Combined Endonasal Endoscopic Odontoidectomy and Posterior Suboccipital Decompression and Fusion. World Neurosurg. 2018;116:e571–e576. doi: 10.1016/j.wneu.2018.05.041
- Grin A, Lvov I, Godkov I, et al. Endoscopic endonasal resection of the odontoid process in a patient with chronic injury of the C1 transverse ligament. Asian J Neurosurg. 2018;13(4):1179. doi: 10.4103/ajns.AJNS_366_16
- Aldea S, Brauge D, Gaillard S. How I do it: Endoscopic endonasal approach for odontoid resection. Neurochirurgie. 2018;64(3):194–197. doi: 10.1016/j.neuchi.2017.12.005
- Tang D, Roxbury C, D’Anza B, et al. Technical notes on the endoscopic endonasal approach to the craniovertebral junction for odontoidectomy. Am J Rhinol Allergy. 2018;32(2):85–86. doi: 10.1177/1945892418762659
- Hussain I, Schwartz TH, Greenfield JP. Endoscopic Endonasal Approach to the Upper Cervical Spine for Decompression of the Cervicomedullary Junction Following Occipitocervical Fusion. Clin Spine Surg. 2018;31(7):285–292. doi: 10.1097/BSD.0000000000000620
- Herrera R, Rojas H, Estramian A, et al. Adult Grisel Syndrome and Cervical Skull instability. Transnasal endoscopic odontoidectomy and occipito-cervical fusion. Case report and literature review. Surg Neurol Int. 2018;9(Suppl 1):S8–S15. (In Spanish). doi: 10.4103/sni.sni_281_17
- Rossini Z, Milani D, Nicolosi F, et al. Endoscopic Transseptal Approach with Posterior Nasal Spine Removal: A Wide Surgical Corridor to the Craniovertebral Junction and Odontoid: Technical Note and Case Series. World Neurosurg. 2018;110:373–385. doi: 10.1016/j.wneu.2017.11.153
- Iacoangeli M, Nasi D, Colasanti R, et al. Endoscopic Endonasal Odontoidectomy with Anterior C1 Arch Preservation in Rheumatoid Arthritis: Long-Term Follow-Up and Further Technical Improvement by Anterior Endoscopic C1-C2 Screw Fixation and Fusion. World Neurosurg. 2017;107:820–829. doi: 10.1016/j.wneu.2017.08.063
- Singh H, Rote S, Jada A, et al. Endoscopic endonasal odontoid resection with real-time intraoperative image-guided computed tomography: report of 4 cases. J Neurosurg. 2018;128(5):1486–1491. doi: 10.3171/2017.1.JNS162601
- Sexton MA, Abcejo AS, Pasternak JJ. Comparison of Anesthetic Management and Outcomes in Patients Having Either Transnasal or Transoral Endoscopic Odontoid Process Surgery. J Neurosurg Anesthesiol. 2018;30(2):179–183. doi: 10.1097/ANA.0000000000000420
- Chibbaro S, Cebula H, Aldea S, et al. Endonasal Endoscopic Odontoidectomy in Ventral Diseases of the Craniocervical Junction: Results of a Multicenter Experience. World Neurosurg, 2017;106:382–393. doi: 10.1016/j.wneu.2017.06.148
- Zenga F, Pacca P, Tardivo V, et al. Endoscopic Endonasal Approach to the Odontoid Pathologies. World Neurosurg. 2016;89:394–403. doi: 10.1016/j.wneu.2016.02.011
- Zenga F, Marengo N, Pacca P, et al. C1 anterior arch preservation in transnasal odontoidectomy using three-dimensional endoscope: A case report. Surg Neurol Int. 2015;6:192. doi: 10.4103/2152-7806.172696
- Burns T, Mindea S, Pendharkar A, et al. Endoscopic Transnasal Approach for Urgent Decompression of the Craniocervical Junction in Acute Skull Base Osteomyelitis. J Neurol Surg Rep. 2015;76(1):e37–e42. doi: 10.1055/s-0034-1395492
- Zoli M, Mazzatenta D, Valluzzi A, et al. Endoscopic Endonasal Odontoidectomy. Neurosurg Clin N Am. 2015;26(3):427–436. doi: 10.1016/j.nec.2015.03.002
- Kahilogullari G, Meco C, Zaimoglu M, et al. Pneumocephalus after endoscopic odontoidectomy in a pediatric patient: the lesson learned. Child’s Nerv Syst. 2015;31(9):1595–1599. doi: 10.1007/s00381-015-2740-4
- La Corte E, Aldana PR, Ferroli P, et al. The rhinopalatine line as a reliable predictor of the inferior extent of endonasal odontoidectomies. Neurosurg Focus. 2015;38(4):E16. doi: 10.3171/2015.1.FOCUS14777
- Chaudhry NS, Ozpinar A, Bi WL, et al. Basilar Invagination: Case Report and Literature Review. World Neurosurg. 2015;83:1180.e7–1180.e11. doi: 10.1016/j.wneu.2015.02.007
- Goldschlager T, Härtl R, Greenfield JP, et al. The endoscopic endonasal approach to the odontoid and its impact on early extubation and feeding. J Neurosurg. 2015;122(3):511–518. doi: 10.3171/2014.9.JNS14733
- Duntze J, Eap C, Kleiber J-C, et al. Advantages and limitations of endoscopic endonasal odontoidectomy. A series of nine cases. Orthop Traumatol Surg Res. 2014;100(7):775–778. doi: 10.1016/j.otsr.2014.07.017
- Yen Y-S, Chang P-Y, Huang W-C, et al. Endoscopic transnasal odontoidectomy without resection of nasal turbinates: clinical outcomes of 13 patients. J Neurosurg Spine. 2014;21(6):929–937. doi: 10.3171/2014.8.SPINE13504
- Choudhri O, Mindea SA, Feroze A, et al. Experience with intraoperative navigation and imaging during endoscopic transnasal spinal approaches to the foramen magnum and odontoid. Neurosurg Focus. 2014;36(3):E4. doi: 10.3171/2014.1.FOCUS13533
- Mazzatenta D, Zoli M, Mascari C, et al. Endoscopic Endonasal Odontoidectomy. Spine (Phila Pa 1976). 2014;39(10):846–853. doi: 10.1097/BRS.0000000000000271
- Nagpal T. Transnasal endoscopic removal of malformation of the odontoid process in craniovertebral anomaly: a case report. Kulak Burun Bogaz Ihtis Derg. 2013;23(2):123–126. doi: 10.5606/kbbihtisas.2013.80958
- Zenga F, Villaret A, Fontanella M, Nicolai P. Endoscopic transnasal odontoidectomy using ultrasonic bone curette: Technical case report. Neurol India. 2013;61(1):69–72. doi: 10.4103/0028-3886.108015
- Iacoangeli M, Gladi M, Alvaro L, et al. Endoscopic endonasal odontoidectomy with anterior C1 arch preservation in elderly patients affected by rheumatoid arthritis. Spine J. 2013;13(5):542–548. doi: 10.1016/j.spinee.2013.01.043
- Yu Y, Wang X, Zhang X, et al. Endoscopic transnasal odontoidectomy to treat basilar invagination with congenital osseous malformations. Eur Spine J. 2013;22(5):1127–1136. doi: 10.1007/s00586-012-2605-4
- Rawal RB, Shah RN, Zanation AM. Endonasal odontoidectomy for basilar impression and brainstem compression due to radiation fibrosis. Laryngoscope. 2013;123(3):584–587. doi: 10.1002/lary.23677
- Patel AJ, Boatey J, Muns J, et al. Endoscopic endonasal odontoidectomy in a child with chronic type 3 atlantoaxial rotatory fixation: case report and literature review. Child’s Nerv Syst. 2012;28(11):1971–1975. doi: 10.1007/s00381-012-1818-5
- Gladi M, Iacoangeli M, Specchia N, et al. Endoscopic transnasal odontoid resection to decompress the bulbo-medullary junction: a reliable anterior minimally invasive technique without posterior fusion. Eur Spine J. 2012;21(Suppl 1):S55–S60. doi: 10.1007/s00586-012-2220-4
- Grammatica A, Bonali M, Ruscitti F, et al. Transnasal endoscopic removal of malformation of the odontoid process in a patient with type I Arnold-Chiari malformation: a case report. Acta Otorhinolaryngol Ital. 2011;31(4):248–252.
- Cornelius JF, Kania R, Bostelmann R, et al. Transnasal endoscopic odontoidectomy after occipito-cervical fusion during the same operative setting — technical note. Neurosurg Rev. 2011;34(1):115–121. doi: 10.1007/s10143-010-0295-0
- Scholtes F, Signorelli F, McLaughlin N, et al. Endoscopic Endonasal Resection of the Odontoid Process as a Standalone Decompressive Procedure for Basilar Invagination in Chiari Type I Malformation. Minim Invasive Neurosurg. 2011;54(4):179–182. doi: 10.1055/s-0031-1283168
- El-Sayed IH, Wu J-C, Dhillon N, et al. The Importance of Platybasia and the Palatine Line in Patient Selection for Endonasal Surgery of the Craniocervical Junction: A Radiographic Study of 12 Patients. World Neurosurg. 2011;76:183–188. doi: 10.1016/j.wneu.2011.02.018
- Gempt J, Lehmberg J, Grams AE, et al. Endoscopic transnasal resection of the odontoid: case series and clinical course. Eur Spine J. 2011;20(4):661–666. doi: 10.1007/s00586-010-1629-x
- Shkarubo AN, Chernov IV, Andreev DN, et al. Expanded endoscopic transnasal odontoidectomy and posterior stabilization: a combined approach. J Neurosurg Sci. 2022;66(6):551–559. doi: 10.23736/S0390-5616.20.05014-6
- Magrini S, Pasquini E, Mazzatenta D, et al. Endoscopic endonasal odontoidectomy in a patient affected by down syndrome. Neurosurgery. 2008;63(2):E373–E374;discussion E374. doi: 10.1227/01.NEU.0000315285.84524.74
- Wu J-C, Huang W-C, Cheng H, et al. Endoscopic Transnasal Transclival Odontoidectomy: A New Approach to Decompression: Technical Case Report. Neurosurgery. 2008;63(1 Suppl 1):ONSE92–ONSE94;discussion ONSE94. doi: 10.1227/01.NEU.0000313115.51071.D5
- Nayak JV, Gardner PA, Vescan AD, et al. Experience with the Expanded Endonasal Approach for Resection of the Odontoid Process in Rheumatoid Disease. Am J Rhinol. 2007;21(5):601–606. doi: 10.2500/ajr.2007.21.3089
- Kassam A, Snyderman CH, Mintz A, et al. Expanded endonasal approach: the rostrocaudal axis. Part I. Crista galli to the sella turcica. J Neurosurg. 2005;19(1):1–12. doi: 10.3171/foc.2005.19.1.5
- Kassam A, Snyderman CH, Mintz A, et al. Expanded endonasal approach: the rostrocaudal axis. Part II. Posterior clinoids to the foramen magnum. Neurosurg Focus. 2005;19(1):E4.
- Jho HD, Ha HG. Endoscopic Endonasal Skull Base Surgery: Part 2 — The Cavernous Sinus. Minim Invasive Neurosurg. 2004;47(1):9–15. doi: 10.1055/s-2004-818346
- Charalampaki P, Ayyad A, Kockro RA, Perneczky A. Surgical complications after endoscopic transsphenoidal pituitary surgery. J Clin Neurosci. 2009;16(6):786–789. doi: 10.1016/j.jocn.2008.09.002
- Yamada S, Yamada SM, Hirohata T, et al. Endoscopic Extracapsular Removal of Pituitary Adenoma: The Importance of Pretreatment of an Adjacent Unruptured Internal Carotid Artery Aneurysm. Case Rep Neurol Med. 2012;2012:891847. doi: 10.1155/2012/891847
- Shkarubo AN, Kuleshov AA, Chernov IV, et al. Transoral Decompression and Stabilization of the Upper Cervical Segments of the Spine Using Custom-Made Implants in Various Pathologic Conditions of the Craniovertebral Junction. World Neurosurg. 2018;109:e155–e163. doi: 10.1016/j.wneu.2017.09.124
- Yang J, Jia Q, Peng D, et al. Surgical treatment of upper cervical spine metastases: a retrospective study of 39 cases. World J Surg Oncol. 2017;15(1):21. doi: 10.1186/s12957-016-1085-0
- Shkarubo AN, Kuleshov AA, Chernov IV, Vetrile MS. Transoral Decompression and Anterior Stabilization of Atlantoaxial Joint in Patients with Basilar Impression and Chiari Malformation Type I: A Technical Report of 2 Clinical Cases. World Neurosurg. 2017;102:181–190. doi: 10.1016/j.wneu.2017.02.113
- Choi D, Crockard HA. Evolution of Transoral Surgery. Neurosurgery. 2013;73(2):296–304. doi: 10.1227/01.neu.0000430324.24623.10
- Jhawar S, Nunez M, Pacca P, et al. Craniovertebral junction 360°: A combined microscopic and endoscopic anatomical study. J Craniovertebr Junction Spine. 2016;7(4):204–216. doi: 10.4103/0974-8237.193270
- de Almeida JR, Zanation AM, Snyderman CH, et al. Defining the nasopalatine line: The limit for endonasal surgery of the spine. Laryngoscope. 2009;119(2):239–244. doi: 10.1002/lary.20108
- Crockard HA. The transoral approach to the base of the brain and upper cervical cord. Ann R Coll Surg Engl. 1985;67(5):321–325.
- Dasenbrock HH, Clarke MJ, Bydon A, et al. Endoscopic Image-Guided Transcervical Odontoidectomy. Neurosurgery. 2012;70(2):351–360;discussion 359–360. doi: 10.1227/NEU.0b013e318230e59a
- Sundaresan N, Galicich JH, Lane JM, Greenberg HS. Treatment of odontoid fractures in cancer patients. J Neurosurg. 1981;54(2):187–192. doi: 10.3171/jns.1981.54.2.0187
- Iyer RR, Grimmer JF, Brockmeyer DL. Endoscopic transnasal/transoral odontoid resection in children: results of a combined neurosurgical and otolaryngological protocolized, institutional approach. J Neurosurg Pediatr. 2021:1–8. doi: 10.3171/2020.12.PEDS20729
- Shkarubo AN, Nikolenko VN, Chernov IV, et al. Anatomical Aspects of the Transnasal Endoscopic Access to the Craniovertebral Junction. World Neurosurg. 2020;133:e293–e302. doi: 10.1016/j.wneu.2019.09.011
- Shriver MF, Kshettry VR, Sindwani R, et al. Transoral and transnasal odontoidectomy complications: A systematic review and meta-analysis. Clin Neurol Neurosurg. 2016;148:121–129. doi: 10.1016/j.clineuro.2016.07.019
- Hankinson TC, Grunstein E, Gardner P, et al. Transnasal odontoid resection followed by posterior decompression and occipitocervical fusion in children with Chiari malformation Type I and ventral brainstem compression. J Neurosurg Pediatr. 2010;5(6):549–553. doi: 10.3171/2010.2.PEDS09362
- Van Abel KM, Mallory GW, Kasperbauer JL, et al. Transnasal odontoid resection: is there an anatomic explanation for differing swallowing outcomes? Neurosurg Focus. 2014;37(4):E16. doi: 10.3171/2014.7.FOCUS14338
- Locatelli D, Karligkiotis A, Turri-Zanoni M, et al. Endoscopic Endonasal Approaches for Treatment of Craniovertebral Junction Tumours. Acta Neurochir Suppl. 2019;125:209–224. doi: 10.1007/978-3-319-62515-7_30
- Landeiro JA, Boechat S, Christoph Dde H, et al. Transoral approach to the craniovertebral junction. Arq Neuropsiquiatr. 2007;65(4B):1166–1171. doi: 10.1590/S0004-282X2007000700014
- Visocchi M, Signorelli F, Liao C, et al. Endoscopic Endonasal Approach for Craniovertebral Junction Pathologic Conditions: Myth and Truth in Clinical Series and Personal Experience. World Neurosurg. 2017;101:122–129. doi: 10.1016/j.wneu.2017.01.099
- Lee A, Sommer D, Reddy K, et al. Endoscopic Transnasal Approach to the Craniocervical Junction. Skull Base. 2010;20(3):199–205. doi: 10.1055/s-0029-1246220
- Leng LZ, Brown S, Anand VK, Schwartz TH. «Gasket-seal» Watertight Closure in Minimal-access Endoscopic Cranial Base Surgery. Oper Neurosurg. 2008;62(5 Suppl 2):ONS342–ONS343;discussion ONSE343. doi: 10.1227/01.neu.0000326017.84315.1f
- Morales-Valero SF, Serchi E, Zoli M, et al. Endoscopic endonasal approach for craniovertebral junction pathology: a review of the literature. Neurosurg Focus. 2015;38(4):E15. doi: 10.3171/2015.1.FOCUS14831
- Fang CH, Friedman R, Schild SD, et al. Purely endoscopic endonasal surgery of the craniovertebral junction: A systematic review. Int Forum Allergy Rhinol. 2015;5(8):754–760. doi: 10.1002/alr.21537
- Pandia M, Rath G, Bithal P, et al. Post-operative pulmonary complications in patients undergoing transoral odontoidectomy and posterior fixation for craniovertebral junction anomalies. J Anaesthesiol Clin Pharmacol. 2013;29(2):200–204. doi: 10.4103/0970-9185.111720
- Leng LZ, Anand VK, Hartl R, Schwartz TH. Endonasal Endoscopic Resection of an Os Odontoideum to Decompress the Cervicomedullary Junction. Spine (Phila Pa 1976). 2009;34(4):E139–E143. doi: 10.1097/BRS.0b013e31818e344d
- Menezes AH, VanGilder JC. Transoral-transpharyngeal approach to the anterior craniocervical junction. J Neurosurg. 1988;69(6):895–903. doi: 10.3171/jns.1988.69.6.0895
- Dickman CA, Locantro J, Fessler RG. The influence of transoral odontoid resection on stability of the craniovertebral junction. J Neurosurg. 1992;77(4):525–530. doi: 10.3171/jns.1992.77.4.0525
- Kerschbaumer F, Kandziora F, Klein C, et al. Transoral Decompression, Anterior Plate Fixation, and Posterior Wire Fusion for Irreducible Atlantoaxial Kyphosis in Rheumatoid Arthritis. Spine (Phila Pa 1976). 2000;25(20):2708–2715. doi: 10.1097/00007632-200010150-00029
- Brito JNPO, Santos BAD, Nascimento IF, et al. Basilar invagination associated with chiari malformation type I: A literature review. Clinics (Sao Paulo). 2019;74:e653. doi: 10.6061/clinics/2019/e653
- Chang P-Y, Yen Y-S, Wu J-C, et al. The importance of atlantoaxial fixation after odontoidectomy. J Neurosurg Spine. 2016;24(2):300–308. doi: 10.3171/2015.5.SPINE141249
- Ahmed R, Traynelis VC, Menezes AH. Fusions at the craniovertebral junction. Child’s Nerv Syst. 2008;24(10):1209–1224. doi: 10.1007/s00381-008-0607-7
- Grob D, Jeanneret B, Aebi M, Markwalder T. Atlanto-axial fusion with transarticular screw fixation. J Bone Joint Surg Br. 1991;73(6):972–976. doi: 10.1302/0301-620X.73B6.1955447
- Zhang B, Liu H, Cai X, et al. Biomechanical Comparison of Modified TARP Technique Versus Modified Goel Technique for the Treatment of Basilar Invagination. Spine (Phila Pa 1976). 2016;41(8):E459–E66. doi: 10.1097/BRS.0000000000001297
- Li X, Wu Z, Xia H, et al. The development and evaluation of individualized templates to assist transoral C2 articular mass or transpedicular screw placement in TARP-IV procedures: adult cadaver specimen study. Clinics (Sao Paulo). 2014;69(11):750–757. doi: 10.6061/clinics/2014(11)08
- Shkarubo AN, Chernov IV, Andreev DN. Transoral Removal of Ventrally Located Meningiomas of the Craniovertebral Junction. World Neurosurg. 2018:S1878-8750(18)32926-7. doi: 10.1016/j.wneu.2018.12.103.
Supplementary files








