Long-term results of periprosthetic infection prevention and treatment in oncoorthopedics
- Authors: Sokolovskii A.V.1, Sokolovskii V.A.1, Machak G.N.2, Petukhova I.N.1, Kurilchik A.A.3, Geravin A.A.4
-
Affiliations:
- Blokhin National Medical Research Center of Oncology
- Priorov National Medical Research Center of Traumatology and Orthopedics
- Tsyba Medical Radiological Research Center
- Meshalkin National Medical Research Center of Oncology
- Issue: Vol 30, No 2 (2023)
- Pages: 143-159
- Section: Original study articles
- Submitted: 10.04.2023
- Accepted: 23.05.2023
- Published: 09.09.2023
- URL: https://journals.eco-vector.com/0869-8678/article/view/322787
- DOI: https://doi.org/10.17816/vto322787
- ID: 322787
Cite item
Abstract
BACKGROUND: Endoprosthesis after bone and joint resection is the treatment of choice for patients with malignant bone tumors, especially in case of a favorable oncological prognosis. Endoprosthesis bone site infection and relapse associated with the underlying disease are important complications that are difficult to treat. The development of periprosthetic infection leads to the loss of functional potential after the end of this complication treatment and worsens oncologic prognosis.
AIM: To study and improve the long-term results of treatment in patients with diagnosed periprosthetic infection who underwent oncologic endoprosthesis, to develop a preventive complex of measures aimed at reducing periprosthetic infection.
MATERIAL AND METHODS: The study included 1292 patients with primary bone sarcomas, soft tissue sarcomas, metastatic and benign bone tumors who underwent 1671 primary and recurrent endoprosthetic replacements between January 1992 and January 2020. A total of 677 (52.4%) men and 615 (47.6%) women participated in the study. Patients ranged in age from 10 years to 81 years. Oncologic endoprosthetics were performed in 886 (68.6%) patients with primary malignancies, 144 (11.1%) with metastatic bone lesions, and 262 (20.3%) with benign neoplasms. The mean follow-up period after endoprosthetic replacement with various bone segments was 82.8 months (0-335.7 months).
RESULTS: The incidence of periprosthetic infection during the entire follow-up period in primary endoprosthesis was 7.1%, and in repeat endoprosthesis — 6.2%. The recurrence rate of endoprosthesis infection in primary endoprosthesis during the observation period was 83%, in repeat endoprosthesis — 61.5%. The frequency of periprosthetic infection was reduced by changes in the endoprosthetic strategy. The prevalence of early (type IVA according to ISOLS 2013) infectious complications (15 and 11.9%) over late (type IVB) complications (5 and 4.4%, respectively) in both primary and repeat arthroplasty was higher. Staphylococcus aureus was most frequently identified after primary endoprosthetic replacement (38.1%) and Staphylococcus epidermidis was most commonly verified after repeat endoprosthetic replacement (53%). Two-stage reendoprosthesis was used most often to treat periprosthetic infection: after primary endoprosthesis — in 58.3% of cases, after repeat endoprosthesis — in 65.4%. The preventive measures developed in the study made it possible to reduce the incidence of the endoprosthesis site early infection by 15.3% in primary endoprosthesis and by 7.1% in repeat endoprosthesis.
CONCLUSION: The perioperative antibiotic prevention regimen should provide a steady antibiotic concentration during the entire course of surgery and the time associated with the highest risk of endoprosthesis site early infection (extended antibiotic treatment up to 5 days), which allows to reduce the wound microbial contamination to a safe level. The findings suggest that two-stage reendoprosthetic replacement remains the main treatment option for periprosthetic infection.
Full Text
BACKGROUND
A combined approach is the world standard of treatment of patients with primary highly malignant and most metastatic tumors with bone involvement, one of its stages is surgical treatment. Endoprosthesis following radical resection of the bones and joints is the method of choice for the treatment of patients with malignant bone tumors, particularly when the oncological prognosis is favorable. The method significantly improves the quality of life of patients and can be performed in 85%–90% of patients. Despite the improvement of oncologic endoprosthetic systems and surgical techniques, the incidence of postoperative complications in oncologic endoprosthesis remains high and, according to different sources, ranges from 5% to 50% [1–3].
Endoprosthesis bed infection following oncologic endoprosthesis along with the recurrence of the underlying disease is one of the most significant and difficult-to-recover complications, particularly in the primary treatment of patients receiving postoperative conservative treatment. The development of periprosthetic infection not only entails the loss and/or incomplete restoration of functional potential after treatment of this complication but also critically affects the quality of adjuvant conservative treatment. The latter is manifested in prolonged intervals of chemotherapy or its complete abolition, which in the long term increases the risk of disease progression.
According to various literature sources, the incidence of periprosthetic infection over the last 10 years varies from 2.5% to 22.3% [1–3], which in most cases requires two-stage re-endoprosthesis with the installation of a joint-blocking spacer and prolonged antibacterial treatment. In some cases, owing to the presence of a significant soft tissue defect, which excludes the possibility of using plastic technologies, or polyresistance to antibacterial drugs, a mutilation operation is performed.
The prolonged absence of limb-bearing capacity and functional activity of the joint muscular apparatus leads to the development of muscle atrophy and bone osteoporosis, which negatively affects both the joint functionality after stage II re-endoprosthesis and the stability of the endoprosthesis legs. According to Jeys et al., in approximately 20% of patients with endoprosthesis bed infection, subsequent surgical treatment is associated with a decrease in the functional potential of the limb or leads to amputation [4].
This study aimed to investigate and improve the results of treatment of patients with periprosthetic infection undergoing oncologic endoprosthesis and to develop a preventive complex of measures aimed at reducing the incidence of periprosthetic infections.
MATERIALS AND METHODS
Study design
This study conducted a retrospective and prospective clinical analysis of 1,292 patients with primary sarcomas of the bone and soft tissues, metastasis, and benign bone tumors that underwent 1,671 primary and revision endoprosthetic surgeries of various bone segments from between 1992 and January 2020.
Eligibility criteria
The inclusion criteria were as follows:
- Patients aged 18–81 years
- Patients with malignant and benign tumors with lesions of various bone compartments
- Performing primary or revision oncologic endoprosthetics
- Endoprosthetic site infections
The exclusion criteria were as follows:
- Orthopedic endoprosthetics
- Nontumor bone diseases
Terms and conditions of the event
The study was conducted in the general oncology clinic at the N.N. Blokhin National Medical Research Center of Oncology of the Ministry of Health of the Russian Federation from 1992 to January 2020.
Methods for assessing targets
- Radiography
- Computed tomography
- Microbiologic examination of endoprosthesis bed aspirate
- General blood work
- Blood biochemistry such as C-reactive protein (CRP)
- Determination of cytosis of endoprosthesis bed aspirate.
Approval by the ethics committee
No ethical review was performed. All patients participating in the study voluntarily gave written informed consent for medical intervention and publication of the study results.
Statistical analysis
The database was developed as a standardized register of patients who underwent primary and re-endoprosthetic replacement. For convenient subsequent importation into statistical programs, it was created in table format in Microsoft Office Excel. Statistical processing of the material included data grouping, calculation of intensive and extensive indices, determination of the average error of relative values, determination of statistically significant difference of the compared values (t), Pearson’s chi-squared test, and correlation coefficient.
In the statistical processing of data, qualitative and quantitative indicators were compared in the patient populations of interest. To assess qualitative characteristics, structural indicators (shares) were calculated. The significance of differences in structural indices in the populations was determined based on the chi-square criterion. To evaluate quantitative parameters, descriptive statistics were calculated: means, medians, 25th and 75th percentiles, and the confidence interval for the mean value was calculated. The distributions of quantitative variables were checked for normality based on the asymmetry and kurtosis coefficients. All distributions statistically significantly deviated from the normal distribution; therefore, the distributions were compared using the nonparametric Mann–Whitney U-criterion. Statistical data processing was performed using Statistica 10.0 and IBM SPSS Statistics version 21 (IBM Corp., Armonk, NY, USA).
RESULTS
Participants (objects) of the study
In the period from 1992 to January 2020 (27 years), retrospective and prospective clinical data of organ-preserving operations with reconstruction of bone defects with endoprosthesis performed in patients with primary or metastatic lesions of long tubular bones were accumulated in the Clinic of General Oncology of N.N. Blokhin National Medical Research Center of Oncology of the Ministry of Health of the Russian Federation.
The study included 1,292 patients with primary sarcomas of the bones and soft tissues, metastasis, and benign bone tumors in whom 1,671 primary and revision endoprosthetic surgeries of various bone segments were performed between January 1992 and January 2020.
The total endoprosthetic group included approximately the same number of male and female patients. The study included 677 (52.4%) men and 615 (47.6%) women. The age ranged from 10 to 81 years, and the mean age of the patients was 34.7 years. The most frequent (29% of cases) endoprosthetics were performed in persons aged 21–30 years.
Oncologic endoprosthesis was performed in 886 (68.6%) patients with primary malignant tumors, 144 (11.1%) with metastatic lesions of the long tubular bones, and 262 (20.3%) with benign neoplasms. The mean follow-up period after endoprosthetic replacement of various bone segments was 82.8 (0–335.7) months.
The analysis of the morphologic structure of the diseases of the endoprosthetic group (n=1,292) revealed the prevalence of primary malignant sarcomas with bone involvement. In this group, the most frequent diagnosis was osteosarcoma, which was verified in 460 (35.6%) patients, followed by chondrosarcoma, in 170 patients (13.2%). Moreover, 89 (6.9%) and 82 (6.7%) patients diagnosed with Ewing’s sarcoma and undifferentiated pleomorphic sarcoma underwent primary and/or repeat arthroplasty, respectively. In addition, 53 (4.1%) patients were diagnosed with “parosteal osteosarcoma” and 20 (1.5%) with “periosteal osteosarcoma.” The number of patients with other morphologic types of primary sarcomas did not exceed 8, which was <1% of the total cases.
Regarding the morphological structure of metastatic tumors, primary and/or repeat endoprosthesis was most frequently performed in patients with kidney cancer and breast cancer having metastatic bone lesions, i.e., 93 (7.2%) and 47 (3.6%), respectively. The number of patients with other metastatic bone lesions of the upper and lower extremities did not exceed 4, which was <1% of the total cases.
In the morphological structure of benign tumors that affect the bones of the upper and lower extremities, the giant cell tumor group, with 253 (19.6%) patients, was the only statistically significant group for further study. The number of patients with other benign bone tumors did not exceed 9, which was <1% of the total number of patients.
Highly and moderately differentiated forms of bone sarcomas (G1 and G2) were noted in 22.2% of the patients, and highly aggressive forms of bone sarcomas (G3 and G4) were verified in 77.8% of the patients.
The pattern of complications, which were the cause of recurrent oncologic endoprosthetic replacement in this study, was identified according to the international classification ISOLS 2013.
In 27 years, endoprosthesis bed infection, including bacterial and fungal infections, was the cause of re-endoprosthetic operations in 11.6% of cases (type IV complications according to the ISOLS 2013 classification). Late infectious complications detected after ≥2 years and caused re-endoprosthetic replacements were found in 7.8% (type IVB) of the cases, which was 2.1 times higher than the number of infectious and inflammatory complications detected before 2 years with 3.8% (type IVA complications).
The mean follow-up period after primary arthroplasty was 82.8 (range, 0–335.7) months. The mean follow-up period after repeat arthroplasty was 54.2 (range, 0–282.8) months. The greatest statistical representativeness was found in the primary and repeat endoprosthesis group following knee arthroplasty for femoral and tibial resection.
Main results of the study
During the study period (1992–2020), the overall incidence of ISOLS 2013 type I–IV complications was 1.4 times higher in the repeat arthroplasty group (38.1%) than in the primary arthroplasty group (26.6%) (p < 0.05). However, the regression of this index was 1.3 times higher in the repeat arthroplasty group than in the primary arthroplasty group.
During the observation period (1992–2020), type IV complications (endoprosthesis bed infection) in 7.1% of cases in the primary endoprosthetic group and in 6.2% in the re-endoprosthetic group. The regressions of the incidence of type IV complications (endoprosthesis be infection) in the primary endoprosthetic and re-endoprosthetics groups during the follow-up period were 83% and 61.5%, respectively.
Given the lack of standards for antibiotic prophylaxis in onco-orthopedic surgeries, the optimal timing of antibiotic prophylaxis to reduce the risk of infectious complications (type IV) was determined in this study. A statistically significant cohort of primary (n=490) and repeat (n=306) endoprosthetic cases with untreated periprosthetic infection (type I–III complications) was formed, where the incidence of early postoperative endoprosthetic infection (type IVA) was tracked according to the timing of antibacterial prescription.
The timing of antibacterial prescriptions was categorized according to their statistical informativeness. The frequency of early infectious complications (type IVA) in different terms of drug administration in primary endoprosthetics was as follows:
- <4 days, 8.8% (3/34)
- 4–5 days, 4.0% (11/276)
- 6–9 days, 6.0% (9/150)
- >9 days, 6.7% (2/30)
The incidence of early infectious complications (type IVA) at different drug administration times in the re-endoprosthetic group was as follows:
- <4 days, 5.1% (4/78)
- 5–6 days, 2.6% (4/154)
- 6–9 days, 3.9% (2/51)
- >9 days, 4.3% (1/23)
The results indicate that in primary and repeated oncologic endoprosthetics of various joints, prophylactic antibiotic therapy within 5 days after surgery allows us to ensure the minimum frequency of early infectious complications (type IVA), which is associated with the achievement of a uniform drug concentration in the period most associated with an increased risk of periprosthetic infections. Prophylactic antibiotic therapy initiated <4 days after surgery significantly increases the risk of early infectious complications in patients with oncologic endoprosthetics (type IVA). Moreover, prophylactic antibiotic therapy initiated >5 days after surgery in the absence of the risk of contamination does not offer any advantages.
In this study, we analyzed segment-specific type IV complications according to ISOLS 2013 in statistically significant primary and repeat arthroplasty groups. The endoprosthetic segments with the most frequent complications were identified.
- Early endoprosthesis bed infection (type IVA): primary endoprosthesis, knee joint at proximal tibial resection, 23.2% of cases; repeat endoprosthesis, knee joint at the distal femoral resection, 17.6% of cases.
The high incidence of early periprosthetic infections during the replacement of the upper third of the tibial defect with knee joint endoprosthesis is associated with the development of soft tissue complications, anatomical peculiarity of this area, endoprosthesis of which requires skin flaps, muscle grafting (calf muscle) to cover the implant, and, in most cases, ligation of the anterior tibial artery and vein. The transposition of the calf muscle in the case of insufficiency of the arteries feeding it, including atherosclerosis, leads in some cases to ischemia and less often to necrosis. A similar problem can cause marginal necrosis of isolated skin or skin-fascial flaps. These complications increase the risk of early periprosthetic infection (type IVA).
- Late endoprosthesis bed infection (type IVB): primary endoprosthesis, hip joint at proximal femur resection, 8.1% of cases; repeat endoprosthesis, hip joint at proximal femur resection, 14.3% of cases.
In this study, the use of polymer mesh of the Trevira or LARS type in primary and re-endoprosthetics significantly reduced the risk of dislocation and the dislocation of spherical joint types of endoprostheses (type IA). The reconstruction of the endoprosthesis bed with polymer mesh reduced the incidence of this complication by 83.3% (10.8%–1.8%) in the primary endoprosthesis group and 100% in the repeat endoprosthesis group (from 27.3%–0%). In addition, the incidence of infectious complications following primary endoprosthetic replacement of various bone segments decreased when soft tissue defects were reconstructed with a polymer mesh. The regression of the incidence of type IVA endoprosthesis bed infection using polymer mesh amounted to 38.6%, and the incidence of type IVB late endoprosthesis bed infection by 34.2%. The decrease in the incidence of early endoprosthesis bed infection when using polymer mesh is achieved due to the tight fixation of soft tissues to the endoprosthesis, significant reduction of the cavity around it, which reduces the volume of accumulation of postoperative exudate represented by hemorrhagic content, which is a breeding ground for bacterial colonization.
In this study, after primary and repeat oncologic endoprosthesis, the prevalence of early (type IVA) infectious complications, which amounted to 15% and 11.9%, respectively, over late (type IVB) complications, which amounted to 5% and 4.4%, respectively, in the total structure of complications, was revealed. The obtained difference in the results of early and late infections of the endoprosthesis bed is associated with a higher risk of infectious and inflammatory pathogens entering the postoperative wound before its epithelialization.
The higher incidence of early infectious complications (type IVA) following primary endoprosthesis is associated with significant traumatization of soft tissues during primary endoprosthesis and the absence of a formed endoprosthesis bed compared with repeat endoprosthesis, which increases the risk of infectious and inflammatory process development. In this study, Staphylococcus aureus was most frequently verified in the total structure of the reported cases of infectious inflammatory process after primary arthroplasty (38.1%) and Staphylococcus epidermidis was verified after repeat arthroplasty (50%). In the primary endoprosthetic replacement cohort, the proportion of infections without an identified pathogen was high at 22.6%, whereas in re-endoprosthetics, it was 7.7%. According to the literature, this figure varies from 7% to 22% [5–7]. In 85.7% of cases, identifying the causative agent of periprosthetic infection was not possible because of the start of antibacterial therapy at the place of residence before arthrocentesis. In the remaining cases, pathogen diagnosis was unsuccessful, probably due to the presence of a microorganism that is difficult to culture. The frequency of detection of various bacterial microorganisms after primary and re-endoprosthetics is shown in Fig. 1.
Fig. 1. The structure of bacterial microorganisms isolated during primary and repeated arthroplasty.
Note. MRSA — methicillin-resistant Staphylococcus aureus, MSSA — methicillin-susceptible Staphylococcus aureus, MRSE — methicillin-resistant Staphylococcus epidermidis, MSSE — methicillin-susceptible Staphylococcus epidermidis.
In this study, the best treatment results of endoprosthesis bed infection following primary and repeat endoprostheses were achieved using a combined strategy, where the surgical stage was combined with preoperative and long-term etiotropic postoperative antibiotic therapy. A two-stage re-endoprosthesis strategy was most often chosen for the treatment of periprosthetic infections, i.e., 58.3% and 61.8% after primary and repeat endoprosthesis, respectively. In one-stage re-endoprosthesis, 100% of both the primary and repeat endoprosthesis groups had negative clinical experiences such as the recurrence of the infectious and inflammatory process.
The recurrence frequency of the infection and inflammatory process after a two-stage re-endoprosthesis, compared with the one-stage procedure, was 11.9% in the primary endoprosthesis group in the presence of a verified infectious agent and 15.9% in the repeat endoprosthesis group.
Conservative treatment of periprosthetic infection was given in 11.9% of cases in the primary endoprosthesis group and 15.4% in the repeat endoprosthesis group. Complete cessation of the infectious and inflammatory process was achieved in 3 of 10 patients in the primary endoprosthesis group and 3 of 4 patients in the repeat endoprosthesis group. The need for mutilation–amputations/exarticulations–in endoprosthesis bed infection was higher in the repeat endoprosthesis group.
At the first stage of periprosthetic infection treatment at the estimated infection period of not more than 5–6 days, a conservative method of treatment may be used, which is associated with glycocalyx biofilm formation on the implant surface. The possible success of the antibacterial treatment of periprosthetic infections in the above-mentioned terms following the supposed infection excludes the surgical stage in the treatment of this complication, as shown below:
- Avoid the disability period in two-stage re-endoprosthesis, which is approximately 2–3 months (when using a static spacer)
- Reduce surgical risks associated with two-stage re-endoprosthetics
- Maintain a satisfactory functional outcome
- Preserve muscle potential and reduce the risk of osteopenia/osteoporosis
Nevertheless, two-stage re-endoprosthetic replacement remains the main treatment method for endoprosthesis bed infection and inflammation. The usage frequency of different treatment methods for periprosthetic infection is presented in Fig. 2.
Fig. 2. Use of various treatment methods of periprosthetic infection.
The following changes in primary and repeat arthroplasty strategies in 27 years have reduced the incidence of periprosthetic infections:
- Covering the skin of the surgical access area with antimicrobial, disinfectant cut film with iodoform
- Permanent sanitation of the endoprosthesis bed with antiseptic solutions during surgery
- Use of Trevira or LARS polymer mesh for the reconstruction of the endoprosthesis bed if a significant amount of soft tissues was removed and bone resection was prolonged
- Removal of drains no later than 3–5 days after surgery
- In any endoprosthetics, mandatory use of perioperative antibiotic administration (on the day of surgery, 30–60 min before skin incision, except for vancomycin and fluoroquinolones) and compliance with the interval of repeated antibiotic administration according to its half-life
- In primary and re-endoprosthetics, with the absence of foci of infection, use perioperative antibiotic prophylaxis with first- or second-generation cephalosporins (cefazolin and cefuroxime) as the drugs of choice and fluoroquinolones as their alternative in the presence of allergy to cephalosporins. If the expected surgical duration is >6 h, administration of ceftriaxone (third-generation cephalosporin with a long half-life) is recommended 30 min before the intervention, and if there is a high risk of wound contamination with methicillin-resistant Staphylococcus aureus, antibiotic prophylaxis with vancomycin is initiated
- The duration of antibacterial prophylaxis can be extended up to 5 days to reach a sufficient and uniform pharmacological concentration of the drug in the early postoperative period, which is associated with the highest risk of early endoprosthesis bed infection
- In the case of re-endoprosthesis associated with periprosthetic infections, drugs are selected based on the isolated pathogen and antibioticogram, whereas in its absence, drugs are selected empirically, taking into account the most frequently isolated pathogens. Drug administration can be started according to the therapeutic scheme several days before the operation, and on the day of surgery, the next drug dose should be administered 30–60 min before the skin incision (except for drugs administered 60–120 min, such as vancomycin, daptomycin, etc.).
- The duration of antibiotic therapy in the treatment of periprosthetic infections depends on the isolated pathogen and surgical techniques and is at least 4 weeks, including at least 2 weeks of parenteral antibiotic therapy with subsequent transition to oral treatment regimens
The preventive complex of measures developed in the study, namely, strict adherence to standardized prophylactic regimens of antibacterial drugs during and after surgery, changes in surgical technique, perioperative management of patients, and informing them about the risks of infectious complications during adjuvant conservative therapy and after treatment completion, allowed reducing the incidence of early endoprosthesis bed infection by 15.3% in the primary endoprosthetics group and 7.1% in the re-endoprosthetic group for 27 years. In the last 7 years, this rate was similar in the primary and repeat arthroplasty groups at 2.8% and 2.7%, respectively. Data are presented in Fig. 3.
Fig. 3. The frequency of early periprosthetic infection (IVA type) after primary and repeat endoprosthesis replacement.
The incidence of late infectious complications for 27 years was reduced by 3.2% for primary endoprosthetics and 8.3% for re-endoprosthetics. For the last 5-year follow-up period, the incidence was 1% after primary endoprosthesis and 0.8% after repeat endoprosthesis. The results showed no significant difference in the average incidence of infectious complications between primary and repeat arthroplasties. Data are presented in Fig. 4.
Fig. 4. The frequency of late periprosthetic infection (IVB type) after primary and revision endoprosthesis replacement.
A clinical case study of a patient with a periprosthetic infection treated with the innovative developments from the study is presented.
Clinical example
The 32-year-old patient Z had the main diagnosis of “osteosarcoma of the distal part of the left femur (T2G3N0M0, stage IIB).” The patient had received combined treatment in 2014–2015 and a two-stage endoprosthetic replacement on September 26, 2017. The patient also had endoprosthesis bed infection. The endoprosthesis with the replacement of the defect was conducted with an articulating spacer in 2019.
Concomitant diagnosis: Psoriasis.
According to the patient, disease symptoms first appeared in August 2014 following sports activities, when he noticed pain in the left knee joint. In November 2014, he noted restrictions in left knee joint movements and increased volume of the left thigh. According to radiography, a bone tumor was suspected.
On November 19, 2014, a trepanobiopsy of the tumor was performed. According to the histological study, the diagnosis was osteosarcoma G3. From December 08, 2014, to February 17, 2015, 4 courses of neoadjuvant polychemotherapy (PCT) according to the AR regimen were performed.
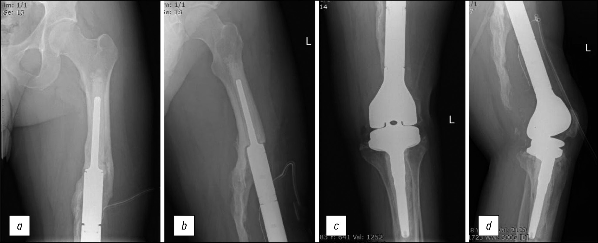
On March 12, 2015, the distal part of the left femur with endoprosthesis was resected (Fig. 5). A modular hybrid endoprosthesis by Stryker (MI, USA) was placed, which included the cementless femoral stem of the endoprosthesis and the cemented tibial stem.
Fig. 5. Radiography after primary endoprosthetics in 2015: a — femoral stem of the endoprosthesis, frontal projection; b — femoral stem of the endoprosthesis, lateral projection; c — tibial pedicle of the endoprosthesis, frontal projection; d — tibial pedicle of the endoprosthesis, lateral projection.
The postoperative histological study revealed osteosarcoma of the femur, osteoblastic variant, with signs of therapeutic pathomorphosis of grade IIB (80% of tumor regression according to Huvos).
From April 6, 2015, to June 20, 2015, six courses of adjuvant PCT were performed. The drugs were administered through an intravenous infusion port.
In May 2015, after the second adjuvant course of PCT, skin hyperemia and swelling were noted in the area of the intravenous infusion port. Antibacterial therapy was performed at the patient’s home, with a positive effect as complete relief of symptoms.
In September 2015, the patient noted pain in the left thigh area, periodic fever up to 38°C, and knee joint stiffness. Laboratory tests revealed an increase in CRP up to 150 mg/L.
A double microbiologic examination performed at the patient’s home revealed methicillin-resistant Staphylococcus epidermidis (MRSE) (Fig. 6). Etiotropic antibacterial therapy with vancomycin was performed, showing positive effects such as fever control, reduction of the CRP to normal levels, and negative culture.
Fig. 6. Microbiological examination of the endoprosthesis bed aspirate.
On January 17, 2017, the patient returned with symptoms of endoprosthesis bed infection. The double microbiological examination revealed MRSE. On April 21, 2017, the left knee joint endoprosthesis was removed, with replacement of the defect with a spacer (stage 1 of two-stage re-endoprosthesis). The microbiological examination of the intraoperative samples (paraprosthetic fluid, soft tissues of the endoprosthesis bed, and endoprosthesis sleeve) revealed MRSE, corresponding to a previous episode of an infectious and inflammatory process.
In the postoperative period, constant inflow and outflow lavage of the spacer bed with antiseptic “Prontosan” was performed for 5 days. Etiotropic antibacterial therapy was carried out: 2 weeks of parenteral administration of drugs at the inpatient stage (vancomycin at a dose of 2 g/day) and 4 weeks of tablet preparations (fusidic acid 1.0 g #3 orally, clindamycin 450 mg #4 orally) at the outpatient stage.
In 2 weeks following antibiotic withdrawal, three aspirates of the spacer bed were taken at an interval of about a week. No microflora growth was detected in the microbiological examination of the obtained samples.
On September 26, 2017, re-endoprosthesis of the left knee joint (stage II) was performed. A modular endoprosthesis made by Stryker was installed.
Antibacterial therapy was carried out according to the last positive microbiological study: 2 weeks of parenteral administration of vancomycin (1 g two times a day by IV drip) at the inpatient stage and 2 weeks of tablet preparations (linezolid 600 mg No. 2 orally, rifampicin 450 mg No. 2 orally) at the outpatient stage.
Treatment efficacy was assessed based on the microbiological examination of the endoprosthesis bed aspirate at the hospital stage and CRP changes at the outpatient stage.
In January 2019, the patient experienced pain and swelling in the projection of the endoprosthesis, CRP levels increased to 134 mg/L. MRSE was detected in the double microbiologic examination.
Based on the previous positive effect on the background of vancomycin therapy, the patient empirically received vancomycin 1 g No. 2 v/v and cefoperazone/sulbactam 2 g No. 2 v/v (to expand the spectrum of antimicrobial therapy) as part of the attempted conservative treatment of periprosthetic infections. The treatment demonstrated a positive effect, i.e., CRP reduction to 30 mg/L; however, the full clinical effect of drug treatment could not be achieved (leukocytes in aspirate, 2.9 × 109 /L).
On February 14, 2019, the left knee joint endoprosthesis was removed, with replacement of the defect with an articulating spacer (Fig. 7).
Fig. 7. Manufacturing stages of articulating 3D spacer: a — creating a mold for manufacturing a 3D spacer; b, c — fabricated articulatory 3D spacer of the knee joint; d — defect replacement after removal of the knee endoprosthesis with an articulatory 3D spacer.
In the postoperative period, constant inflow and outflow lavage of the spacer bed was performed with “Prontosan” for 5 days, etiotropic antibacterial therapy for 6 weeks (2 weeks of parenteral administration of the same drugs at the inpatient stage and 4 weeks of taking tablets of linezolid and rifampicin in the same doses at the outpatient stage).
Considering the presence of concomitant chronic disease with skin lesions (psoriasis), recurrent episodes of implant infection with an identical bacterial pathogen, and similar bacteriogram, the interval between the stages of two-stage re-endoprosthesis was increased to 1 year. To preserve the functional potential and restore quality of life, a customized articulating spacer was used to replace the defect after the removal of the left knee joint endoprosthesis. This design made it possible to maintain the flexion angle of the knee joint up to 80° and provide full load on the left lower extremity 3 months after surgery, which made it possible to abandon crutches and switch to using a cane (Fig. 8).
Fig. 8. Functional result 6 months after the defect was replaced with an articulatory 3D spacer of the knee joint.
Considering the acceptable functional result, which ensures quality of life similar to that of a permanent endoprosthesis, the patient applied for stage II re-endoprosthesis 3 years and 4 months later.
In June 2022, two aspirates were taken for microbiological examination. No signs of microflora growth were detected in the obtained samples.
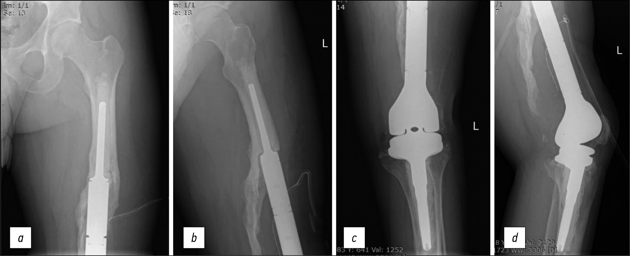
On June 15, 2022, left knee joint re-endoprosthesis (stage II) was performed. A modular cemented endoprosthesis by Stryker was installed (Fig. 9).
Fig. 9. X-ray after stage II knee revision endoprosthetics (2022): a — femoral stem of the endoprosthesis, frontal projection; b — femoral stem of the endoprosthesis, lateral projection; c — tibial pedicle of the endoprosthesis, frontal projection; d — tibial pedicle of the endoprosthesis, lateral projection.
Taking into account the extended period between the stages of re-endoprosthesis and the previously obtained effect of antibacterial therapy, the patient was again treated with vancomycin 1 g No. 2 intravenously and cefoperazone/sulbactam 2 g No. 2 intravenously for 2 weeks. Microbiological examination of intraoperative samples (soft tissues of the spacer bed and spacer fragment) revealed no growth.
Treatment effectiveness was evaluated based on the cytosis of the endoprosthesis bed aspirate during hospitalization (0.2 × 109/L) and CRP (20 mg/L) upon discharge. The control of treatment efficacy at the outpatient stage included the assessment of CRP, which was 3.1 mg/L in the last control, 3 months after surgery.
At the time of writing (April 2023), no signs of disease progression and recurrence of the infectious and inflammatory process were observed.
DISCUSSION
The analysis of 40 studies covering different segments of endoprosthetics over 49 years (1969–2018) showed mean ISOLS 2013 type IV complication rate of 10.4%, which ranged from 0% [4, 8] for endoprosthetics of the diaphysis of the femur, humerus, and upper third of the humerus to 28.6% (n=21) [9] for the resection of the lower third of the femur and upper third of the tibia.
In the 1990s–2000s, significant progress was made in the surgical technique, perioperative strategy to reduce infectious complications was developed, and new drug groups that can correct the depth of chemotherapy-induced immunosuppression were introduced.
In the analysis of literature data, the dynamics of the average rates of endoprosthesis bed infection in different time intervals was monitored.
Between 1972 and 2003, the mean incidence of periprosthetic infections for all localizations was 16% and ranged from 1.6% (n=67) [10] for the upper third femoral endoprosthetics to 19.5% (n=194) [11] for the upper third tibial endoprosthetics.
When comparing the results obtained with the results of later observation periods (2000–2014 and 2005–2014), a more than twofold decrease in the average incidence of type IV complications was found. Thus, during the follow-up period from 2000 to 2014, the average complication rate was 8.7% and varied from 2% in the study of Benevenia et al. (n=41) [6] for different localizations of endoprosthesis to 28.6% in the study of Holl et al. (n=21) [9] for endoprosthesis of different segments of the knee joint region. During the follow-up period from 2005 to 2014, the mean type IV complication rate was 6.3%, which ranged from 0% in the study by Wang et al. (n=16) [12] for the upper third humerus endoprosthetics to 22.1% (n=69) in the study by Kostuj et al. [15] in the endoprosthetics of various segments of the upper and lower extremities.
In the study by Pala et al. (n=247) [13], which covered endoprosthetic surgeries of different segments of the knee joint region performed during 7 years (2003–2010), the average rates of type II complications were 11.4% and 4.1% after primary endoprosthesis and after revision endoprosthesis, respectively. The mean time to endoprosthesis bed infection after revision arthroplasty was longer than that after primary arthroplasty (p=0.0475). According to the literature, the incidence of periprosthetic infection varied from 2% to 20% after primary oncologic endoprosthesis and from 2% to 43% after repeated operations for various types of complications [13–16].
Given the significant variations in the average incidence of periprosthetic infections in oncoorthopedics in different studies over similar time intervals of observation, the data obtained were also compared with the results reflecting the incidence of infectious complications in orthopedics, and the specificity of the complication rate depending on the endoprosthetic segment was assessed. The average frequency of periprosthetic infections in orthopedic endoprosthetics of various joints ranged from 1% to 7% [17, 18]. This complication occupies the first place in orthopedic endoprosthetics. According to various studies, the incidence of infectious complications in orthopedic knee arthroplasty ranged from 0.9% to 4.0% [18–20], whereas hip arthroplasty was associated with infectious complications in 1.1%–2.2% of cases [21, 22]. Matar et al. reported that 2.7%–18% of orthopedic endoprostheses are removed because of periprosthetic infections [23].
A comparative analysis of the incidence of periprosthetic infection in orthopedics and oncology depending on the endoprosthetic segment allowed us to reveal their direct correlation. Thus, in the studied literature sources, the average rates of periprosthetic infection were 7% in femoral resection with knee joint endoprosthesis, 5.2% in femoral resection with hip joint endoprosthesis, and 15.7% in knee joint endoprosthesis after tibia bone resection. The high incidence rates of infection in the 1980s and 1990s were associated with the absence and nonproliferation of endoprosthesis concealment using the medial leg of the calf muscle and insufficient fixation of the extensor apparatus of the knee joint [13]. Myers et al. analyzed 194 patients and revealed a trend toward a twofold decrease in the incidence of periprosthetic infection, i.e., from 31% to 14%, when using a calf flap [11]. In the study by Grimer et al., this rate decreased from 36% to 12% [24]. In the study by Jeys et al., which recruited 1,240 patients, a structural analysis of the incidence of periprosthetic infection depending on the segment of endoprosthesis over a long period (2 months to 33 years) was performed. The overall incidence of type IV complications according to ISOLS 2013 was 11%, with a mean follow-up period of 5.8 years. In this study, a proportional distribution of infection depending on the endoprosthetic segment was found, which is in line with the general trend in onco-orthopedics. The rates of periprosthetic infections after tibial and femoral resections with knee endoprosthesis were 23.1% and 10.3%, respectively; shoulder endoprosthesis after humerus resection, 1.1%; femoral resection with hip endoprosthesis, 6.7%; and femoral diaphysis, 0% [4].
A significant quantitative difference was found between oncologic and orthopedic endoprosthetics. The following factors are associated with a higher risk of periprosthetic infection in patients who underwent oncologic arthroplasty:
- Long operating times
- Size of the metal implant
- Volume of soft tissues removed (degree of tissue traumatization during surgery)
- Immunosuppression with intermittent adjuvant conservative treatment [18, 25]
Currently, the most common pathogens of periprosthetic infections are coagulase-negative and coagulase-positive staphylococci, occurring mainly in monoculture or in combination with Enterobacteriaceae, nonspore-forming anaerobes, and streptococci, which are isolated much less frequently. According to polymerase chain reaction studies, nearly all aerobes, anaerobes, fungi, mycobacteria, and brucellae are found among the registered pathogens [26, 27].
The clinical treatment outcome depends on the causative agent of periprosthetic infections. The choice of antibiotic therapy regimen and the use of drugs with a proven high effect are limited by the sensitivity data of the pathogen to antibacterial agents. The availability of these parameters can greatly facilitate the choice of treatment strategy for periprosthetic infections. Thus, in a retrospective analysis of the results of 3,051 cases of orthopedic hip arthroplasty, Schmalzried et al. revealed that 38% of cases of periprosthetic infection were caused by gram-negative bacteria (E.coeli and Pseudomonas spp.), 33% by S. aureus, 12% by S. epidermidis, and 10% by Enterococcus spp. [28]. In a study by Zajonz et al., which included 114 cases of oncologic endoprosthesis placement, the spectrum of infectious agents was dominated by coagulase-negative staphylococci (CNS) (73.5%), including S. epidermidis (26.3%), S. capitis (5.3%), S. warneri (5.3%), and CNS species not identified (36.6%). S. aureus (15.8%) and P. aeruginosa (5.3%) were significantly less frequent [29].
The frequency and risk of reinfection also determine the chosen strategy for re-endoprosthesis, which can be a one- or two-staged strategy. Based on the results of a statistical literature review, the reinfection rate after oncologic one-stage re-endoprosthesis was 47% over an average follow-up of 54 months, whereas after two-stage re-endoprosthesis, this rate was much lower at 28% over an average follow-up of 28 months.
In the study by Sigmund et al. (n=81), the analysis of the cumulative incidence showed that the recurrent infection rates in one-stage re-endoprosthesis after 2 and 5 years were 30% and 39%, respectively; in the two-stage re-endoprosthesis, periprosthetic infections occurred in 28% of cases 2 years after surgery and in 48% of cases after 5 years [25].
CONCLUSION
The preventive complex of measures developed in the study, which included strict adherence to standardized prophylactic schemes of antibacterial drugs during and after surgery, changes in the surgical technique, perioperative management of patients, informing them about the risks of infectious complications during adjuvant conservative therapy and after treatment completion for 27 years, allowed the reduction of the incidence of early endoprosthesis bed infection by 15.3% with primary endoprosthetics and 7.1% with re-endoprosthetics.
Moreover, an important point was the use of extended antibiotic prophylaxis for up to 5 days, which reduces the risk of microbial wound contamination to a safe level and provides a uniform pharmacological concentration of antibacterial drugs during the period associated with the highest risk of early endoprosthesis bed infection.
The results of the conservative treatment of periprosthetic infection allow using it as the first stage of therapy when the expected infection period is not more than 5–6 days. Nevertheless, two-stage re-endoprosthetic replacement remains the main treatment method for the infectious and inflammatory process.
ДОПОЛНИТЕЛЬНО
Вклад авторов. Все авторы подтверждают соответствие своего авторства международным критериям ICMJE (все авторы внесли существенный вклад в разработку концепции, проведение исследования и подготовку статьи, прочли и одобрили финальную версию перед публикацией). Наибольший вклад распределён следующим образом: А.В. Соколовский — разработка идеи, концепции, дизайна исследования, обзор материала по теме статьи, сбор и обработка материала, написание текста рукописи; В.А. Соколовский — разработка концепции, дизайна исследования, написание текста рукописи, научное редактирование текста рукописи; Г.Н. Мачак — написание текста рукописи, научное редактирование текста рукописи; И.Н. Петухова, А.А. Курильчик — обзор материала по теме статьи, научное редактирование; А.А. Жеравин — научное редактирование.
Источник финансирования. Авторы заявляют об отсутствии внешнего финансирования при проведении исследования и подготовке публикации.
Конфликт интересов. Авторы декларируют отсутствие явных и потенциальных конфликтов интересов, связанных с проведённым исследованием и публикацией настоящей статьи.
Информированное согласие на публикацию. Авторы получили письменное согласие пациентов на публикацию их медицинских данных и фотографий.
ADDITIONAL INFO
Author contribution. All authors made a substantial contribution to the conception of the work, acquisition, analysis, interpretation of data for the work, drafting and revising the work, final approval of the version to be published and agree to be accountable for all aspects of the work. A.V. Sokolovsky — idea and concept development, study design, review of material on the topic of the article, collection and processing of material, writing the text of the manuscript; V.A. Sokolovsky — concept development, research design, writing the text of the manuscript, scientific editing of the text of the manuscript; G.N. Machak — writing the manuscript text, scientific editing the manuscript; I.N. Petukhova, A.A. Kurilchik — material review on the topic of the article, scientific editing; A.A. Geravin — scientific editing.
Funding source. This study was not supported by any external sources of funding.
Competing interests. The authors declare that they have no competing interests.
Consent for publication. The patients gave their written consent for publication of their medical data and images.
About the authors
Anatolii V. Sokolovskii
Blokhin National Medical Research Center of Oncology
Author for correspondence.
Email: avs2006@mail.ru
ORCID iD: 0000-0002-8181-019X
SPIN-code: 8261-4838
MD, Dr. Sci. (Med.)
Russian Federation, MoscowVladimir A. Sokolovskii
Blokhin National Medical Research Center of Oncology
Email: arbat.62@mail.ru
ORCID iD: 0000-0003-0558-4466
MD, Dr. Sci. (Med.)
Russian Federation, MoscowGennady N. Machak
Priorov National Medical Research Center of Traumatology and Orthopedics
Email: machak.gennady@mail.ru
ORCID iD: 0000-0003-1222-5066
SPIN-code: 4020-1743
MD, Dr. Sci. (Med.)
Russian Federation, MoscowIrina N. Petukhova
Blokhin National Medical Research Center of Oncology
Email: irinapet@list.ru
ORCID iD: 0000-0003-3077-0447
SPIN-code: 1265-2875
MD, Dr. Sci. (Med.)
Russian Federation, MoscowAlexander A. Kurilchik
Tsyba Medical Radiological Research Center
Email: aleksandrkurilchik@yandex.ru
ORCID iD: 0000-0003-2615-078X
SPIN-code: 1751-0982
MD, Cand. Sci. (Med.)
Russian Federation, ObninskAlexander A. Geravin
Meshalkin National Medical Research Center of Oncology
Email: avs2006@mail.ru
ORCID iD: 0000-0003-3169-0326
MD, Cand. Sci. (Med.)
Russian Federation, NovosibirskReferences
- Pala E, Trovarelli G, Calabro T, Angelini A, Abati CN, Ruggieri P. Survival of Modern Knee Tumor Megaprostheses: Failures, Functional Results, and a Comparative Statistical Analysis. Clin Orthop Relat Res. 2015;473(3):891–899. doi: 10.1007/s11999-014-3699-2
- Benevenia J, Kirchner R, Patterson F, et al. Outcomes of a modular intercalary endoprosthesis as treatment for segmental defects of the femur, tibia, and humerus. Clin Orthop Relat Res. 2016;474(2):539–548. doi: 10.1007/s11999-015-4588-z
- Henderson ER, O’Connor MI, Ruggieri P, Windhager R, Funovics PT, Gibbons CL, Guo W, Hornicek FJ, Temple HT, Letson GD. Classification of failure of limb salvage after reconstructive surgery for bone tumours. Bone Joint J. 2014;96-B(11):1436–1440. doi: 10.1302/0301-620X.96B11.34747
- Jeys L, Grimer R. The long-term risks of infection and amputation with limb salvage surgery using endoprostheses. Recent Results Cancer Res. 2009;(179):75–84. doi: 10.1007/978-3-540-77960-5_7
- Berbari EF, Marculescu C, Sia I, Lahr BD, Hanssen AD, Steckelberg JM, Gullerud R, Osmon DR. Culture-negative prosthetic joint infection. Clin Infect Dis. 2007;45(9):1113–1119. doi: 10.1086/522184
- Tan TL, Kheir MM, Shohat N, Tan DD, Kheir M, Chen C, Parvizi J. Culture-Negative Periprosthetic Joint Infection. JBJS Open Access. 2018;3(3):e0060. doi: 10.2106/JBJS.OA.17.00060
- Huang R, Hu CC, Adeli B, Mortazavi J, Parvizi J. Culture-negative periprosthetic joint infection does not preclude infection control. Clin Orthop Relat Res. 2012;470(10):2717–2723. doi: 10.1007/s11999-012-2434-0
- Pala E, Henderson ER, Calabro T, Angelini A, Abati CN, Trovarelli G, et al. Survival of current production tumor endoprostheses: Complications, functional results, and a comparative statistical analysis. J Surg Oncol. 2013;108(6):403–408. doi: 10.1002/jso.23414
- Holl S, Schlomberg A, Gosheger G, Dieckmann R, Streitbuerger A, Schulz D, Hardes J. Distal femur and proximal tibia replacement with megaprosthesis in revision knee arthroplasty: a limb-saving procedure. Knee Surg Sports Traumatol Arthrosc. 2012;20(12):2513–2518. doi: 10.1007/s00167-012-1945-2
- Finstein JL, King JJ, Fox EJ, Ogilvie CM, Lackman RD. Bipolar Proximal Femoral Replacement Prostheses for Musculoskeletal Neoplasms. Clinical orthopaedics and related research. 2007;(459):66–75. doi: 10.1097/BLO.0b013e31804f5474
- Myers GJC, Abudu AT, Carter SR, Tillman RM, Grimer RJ. The long-term results of endoprosthetic replacement of the proximal tibia for bone tumours. J Bone Joint Surg [Br]. 2007;89-B(12):1632–1637. doi: 10.1302/0301-620X.89B12.19481
- Wang В, Wu Q, Liu J, Yang S, Shao Z. Endoprosthetic reconstruction of the proximal humerus after tumour resection with polypropylene mesh. International Orthopaedics (SICOT). 2015;39(3):501–506. doi: 10.1007/s00264-014-2597-2
- Pala E, Trovarelli G, Calabro T, Angelini A, Abati CN, Ruggieri P. High Infection Rate Outcomes in Long-bone Tumor Surgery with Endoprosthetic Reconstruction in Adults: A Systematic Review. Clin Orthop Relat Res. 2013;471(6):2017–2027. doi: 10.1007/s11999-013-2842-9
- Gosheger G, Carsten G, Ahrens H, Streitbuerger A, Winkelmann W, Hardes J. Endoprosthetic Reconstruction in 250 Patients with Sarcoma. Clinical Orthopaedics and Related Research. 2006;(450):164–171. doi: 10.1097/01.blo.0000223978.36831.39
- Kostuj T, Baums MH, Schaper K, Meurer A. Midterm Outcome after Mega-Prosthesis Implanted in Patients with Bony Defects in Cases of Revision Compared to Patients with Malignant Tumors. The Journal of Arthroplasty. 2015;30(9):1592–1596. doi: 10.1016/j.arth.2015.04.002
- Ahlmann ER, Menendez LR, Kermani C, Gotha H. Survivorship and clinical outcome of modular endoprosthetic reconstruction for neoplastic disease of the lower limb. J Bone Joint Surg Br. 2006;88(6):790–795. doi: 10.1302/0301-620X.88B6.17519
- Illingworth KD, Mihalko WM, Parvizi J, Sculco T, McArthur B, el Bitar Y, Saleh KJ. How to minimize infection and thereby maximize patient outcomes in total joint arthroplasty: a multicenter approach: AAOS exhibit selection. J Bone Joint Surg Am. 2013;95(8):е50. doi: 10.2106/JBJS.L.00596
- Allison DC, Huang E, Ahlmann ER, Carney S, Wang L, Menendez LR. Peri-Prosthetic Infection in the Orthopedic Tumor Patient. JISRF Reconstructive Review. 2014;4(3):13–17. doi: 10.15438/rr.4.3.74
- Adeli B, Parvizi J. Strategies for the prevention of periprosthetic joint infection. J Bone Joint Surg Br. 2012;94(11, Suppl A):42–46. doi: 10.1302/0301-620X.94B11.30833
- Jämsen E, Huhtala H, Puolakka T, Moilanen T. Risk factors for infection after knee arthroplasty. A register-based analysis of 43,149 cases. J Bone Joint Surg Am. 2009;91(1):38–47. doi: 10.2106/JBJS.G.01686
- Ong KL, Kurtz SM, Lau E, Bozic KJ, Berry DJ, Parvizi J. Prosthetic joint infection risk after total hip arthroplasty in the Medicare population. J Arthroplasty. 2009;24(6, Suppl):105–109. doi: 10.1016/j.arth.2009.04.027
- Urquhart DM, Hanna FS, Brennan SL, Wluka AE, Leder K, Cameron PA, Graves SE, Cicuttini FM. Incidence and risk factors for deep surgical site infection after primary total hip arthroplasty: a systematic review. J Arthroplasty. 2010;25(8):1216–1222. doi: 10.1016/j.arth.2009.08.011
- Matar WY, Jafari SM, Restrepo C, Austin M, Purtill JJ, Parvizi J. Preventing infection in total joint arthroplasty. J Bone Joint Surg Am. 2010;92(Suppl 2):36–46. doi: 10.2106/JBJS.J.01046
- Grimer RJ, Aydin BK, Wafa H, Carter SR, Jeys L, Abudu A, Parry M. Very long-term outcomes after endoprosthetic replacement for malignant tumours of bone. Bone Joint J. 2016;98-B(6):857–864. doi: 10.1302/0301-620X.98B6.37417
- Sigmund IK, Gamper J, Weber C, Holinka J, Panotopoulos J, Funovics PT, Windhager R. Efficacy of different revision procedures for infected megaprostheses in musculoskeletal tumour surgery of the lower limb. PLoS One. 2018;13(7):e0200304. doi: 10.1371/journal.pone.0200304
- Dmitrieva NV, Petukhova IN. Postoperative infectious complications. Moscow: Practical Medicine; 2013. 113–135 р. (In Russ).
- Aliyev MD, Sokolovsky VA, Dmitrieva NV. Complications in endoprosthetics of patients with bone tumors. Bulletin of the N.N. Blokhin Russian Research Center of the Russian Academy of Medical Sciences. 2003;14(2–1):35–39. (In Russ).
- Schmalzried TP, Amstutz HC, Au MK, Dorey FJ. Etiology of deep sepsis in total hip arthroplasty: the sifnificance of hamatogenous and reccurent infections. Clin. Orthop. 1992;(280):200–207.
- Zajonz D, Prietzel T, Moche M. Periprosthetic joint infections in modular endoprostheses of the lower extremities: a retrospective observational study in 101 patients. Patient safety in surgery. 2016;(10):6. doi: 10.1186/s13037-016-0095-8
Supplementary files












