Morphofunctional remodeling of bone tissue during periprotheric fractures in the femoral component
- Authors: Batpenov N.D.1, Rakhimov S.K.1,2, Stepanov A.A.1, Orasbaev D.A.1, Manekenova K.B.2, Smailova G.K.3
-
Affiliations:
- Scientific Research Institute of Traumatology and Orthopedics
- Non-commercial joint-stock company “Astana medical university”, Nur-Sultan
- Non-commercial joint-stock company “Astana medical university”
- Issue: Vol 27, No 2 (2020)
- Pages: 24-29
- Section: Original study articles
- Submitted: 29.05.2020
- Accepted: 06.08.2020
- Published: 08.10.2020
- URL: https://journals.eco-vector.com/0869-8678/article/view/34202
- DOI: https://doi.org/10.17816/vto202027224-29
- ID: 34202
Cite item
Full Text
Abstract
Periprosthetic fractures in the area of the femoral component after hip replacement are one of the reasons for performing revision surgery. The treatment is always associated with many complications and therefore does not lose its relevance. The aim of our research was a pathomorphological study of bone tissue repair and reactive changes in the soft tissues around the periprosthetic fracture after arthroplasty. The research results will predict the long-term outcome and stability of the revision endoprosthesis.
Materials and methods. The materials for pathomorphological studies were biopsy, (11 — periprosthetic fractures in the zone of the femoral component, 5 — from the hip joint), fragments of bone tissue from the zone of the periprosthetic fracture, femoral canal, altered connective tissue obtained by repeated interventions in the area of periprosthetic fracture, and revision endoprosthetics. Pathomorphological studies of biopsy specimens of bone fragments and soft tissues were carried out after conventional histological processing with the production of histological sections, 5–7 μm thick, followed by staining with hematoxylin and eosin and according to Van Gieson.
Results. Morphological signs of structural disorganization of bone tissue in the fracture zone were revealed after fragments of bone and soft tissues were removed from the fracture zone; various options for repair of bone tissue were investigated, as well as reactive changes up to ischemia from the surrounding soft tissues were observed. Signs of damage to the tubules, lacunae and trabeculae, and with them the intraosseous branches of the supplying artery were noticed. Bone tissue repair in the area of periprosthetic fractures was carried out in various ways: due to activation of osteoblasts, through endesmal osteogenesis (from preexisting fibrous structures), endochondral osteogenesis (from provisional corns), as well as mixed osteogenesis from complexes of bone–cartilaginous tissue. Slowing of osteogenesis was the reason for the formation of appositional gluing lines in bone trabeculae, which are considered as a morphological sign of delayed osteogenesis. The absence of multinucleated osteoclasts in the bone tissues we studied is apparently due to the fact that pathological osteolysis with signs of ischemia does not develop in the fracture zone.
Conclusion. The results of our histopathological studies indicate that by the time of revision endoprosthetics in the area of femoral fractures, morphological signs of a slowdown in reparative osteogenesis develop with the pathological functional remodeling of bone tissue and microischemia in the bone and, of course, in the surrounding soft tissues.
Keywords
Full Text
ВВЕДЕНИЕ
Актуальность. По данным зарубежных авторов [2, 7, 8–14] перипротезные переломы при эндопротезировании составляют от 2,8 до 46 %. Нами отмечено, что «поздние» перипротезные переломы возникают в сроки от 2 месяцев до 11 лет после операции. Перипротезные переломы — это разрушение кости в зоне компонентов эндопротеза, возникающее интраоперационно или в любое время после замещения сустава. Проблема посттравматической регенерации костной ткани приобретает особое значение в связи с ростом локальных вооруженных конфликтов, терроризма, техногенных катастроф и, наряду с фундаментальным научным интересом, имеет социально-экономическую актуальность, связанную с необходимостью медицинской реабилитации после эндопротезирования, длительного и дорогостоящего лечения. Целостный анализ остеогистогенеза после перипротезных переломов и других повреждений, поиск и обоснованное применение средств, управляющих регенерацией костной ткани, возможны на основании углубленных знаний общих закономерностей гистогенеза, а также реактивных изменений костной ткани в процессе посттравматической регенерации. Изучение посттравматического остеогистогенеза с позиций структурной организации тканей представляется перспективным для решения ряда задач травматологии и ортопедии [1, 3–6]. На наш взгляд, вопрос о структурных изменениях мягкой и костной тканей в ложе эндопротеза изучены недостаточно, а литературные данные, на сегодняшний день, носят фрагментарный характер.
Целью нашей работы явилось патоморфологическое исследование репарации костной ткани и реактивных изменений мягких тканей вокруг перипротезного перелома после эндопротезирования.
МАТЕРИАЛЫ И МЕТОДЫ
Материалом для патоморфологических исследований послужили 16 фрагментов костной ткани из зоны перипротезного перелома, канала бедренной кости, измененная соединительная ткань, полученные при повторных вмешательствах в область перипротезного перелома, ревизионных эндопротезированиях. Патоморфологические исследования биоптатов костных фрагментов и мягких тканей, производили после общепринятой гистологической обработки с изготовлением гистологических срезов, толщиной 5–7 микрон с последующей окраской гематоксилином и эозином и по Ван Гизону.
РЕЗУЛЬТАТЫ
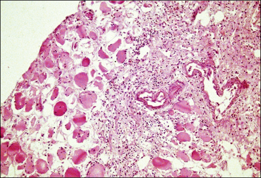
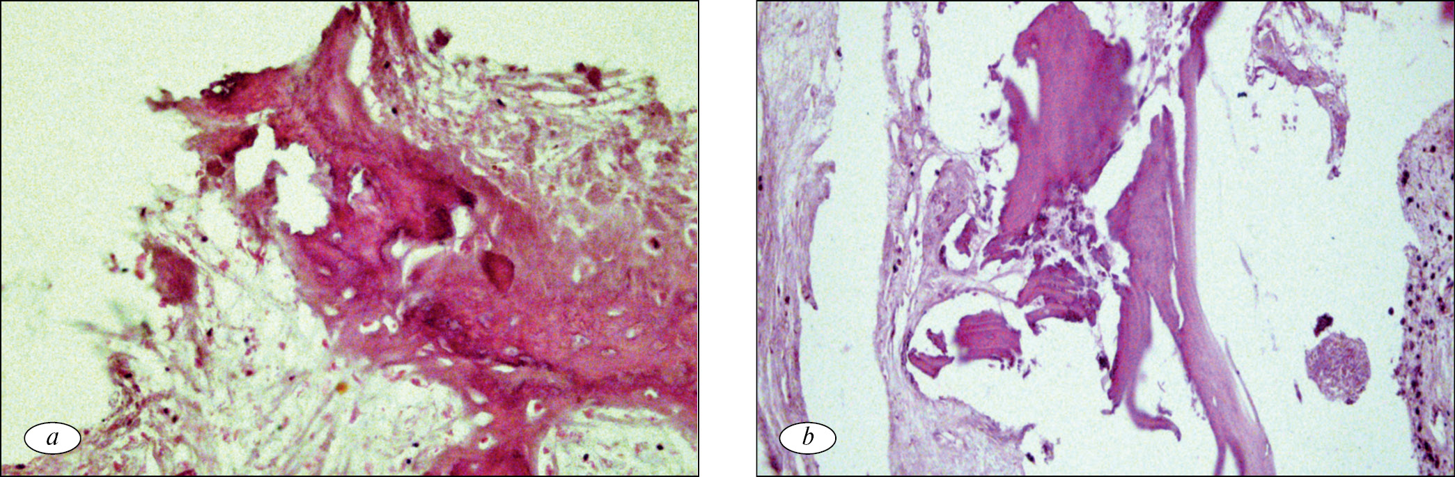
В результате патогистологического исследования фрагментов костной и мягких тканей, изъятых из зоны переломов, были выявлены морфологические признаки структурной дезорганизации костной ткани в зоне перелома, различные варианты репарации костной ткани, а также реактивные изменения со стороны окружающих мягких тканей. Структурная дезорганизация костной ткани проявлялась в недостаточной минерализации костной ткани, в деструкции костных балок с развитием очаговых признаков остеолиза. Так, на фоне признаков неравномерно выраженного отека, полнокровия и разволокнения основного вещества выявлялись признаки деструкции костной ткани с образованием очаговых скоплений мелких фрагментов разрушенных костных балок (рис. 1, а) и пазушного остеолиза с образованием полостей с неровными контурами в толще костной ткани (рис. 1, b).
Рис. 1. Деструктивные изменения костной ткани в зоне перипротезных переломов бедренного компонента: а — разрушенные костные балки с очаговыми скоплениями мелких костных обломков; b — пазушный остеолиз в зоне оссификации хрящевой ткани. Окраска гематоксилином и эозином. Увел. ×160
Fig. 1. Destructive changes in periprosthetic fractures bone tissue of the femoral component: a — destroyed bone beams with focal accumulations of small bone fragments; b — axillary osteolysis in cartilage ossification fabrics. Staining with hematoxylin and eosin. Magnification × 160
Гистологическая картина репаративных процессов имела неравномерно выраженный и неоднородный характер. В исследуемых препаратах выявляли различные пути остеогенеза. В области перелома наблюдали признаки остеогенеза на фоне предсуществующей хрящевой мозоли, сформировавшейся в области перелома. При этом отмечались явления гиперплазии хрящевой ткани с неравномерным обызвествлением отдельных комплексов хрящевых клеток.
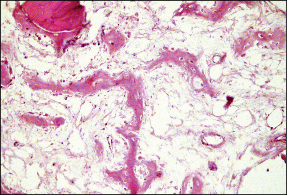
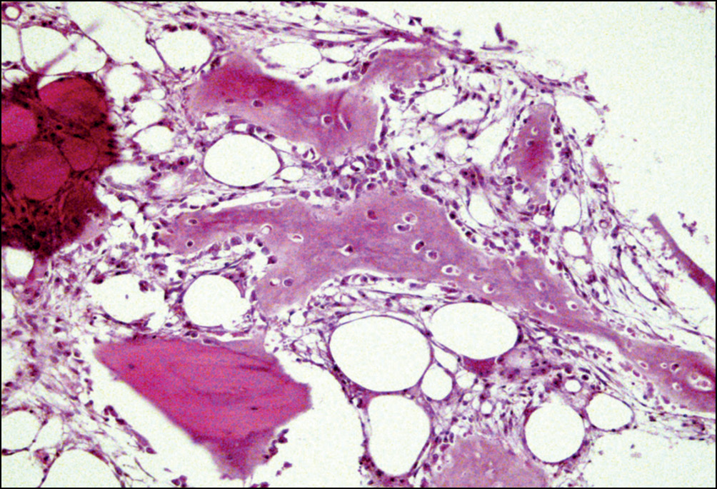
Новообразование костной ткани наблюдали также и вдоль стенки перипротезного канала. Стенка перипротезного канала была представлена клеточно-волокнистой тканью. Во внутреннем слое стенки канала формируются грубоволокнистые костные структуры, которые, по мере созревания, прорастают вниз в виде новообразованных костных балок. В зонах формирования незрелой костной ткани выявляли преобладание отечного основного вещества, имевшего рыхло-волокнистое строение и содержащего множество запустевших тонкостенных сосудов (рис. 2).
Рис. 2. Репаративные изменения костной ткани в зоне перипротезных переломов бедренного компонента. Зона формирования незрелой костной ткани с преобладанием рыхло-волокнистой межуточной ткани, содержащей множество запустевших тонкостенных сосудов. Окраска гематоксилином и эозином. Увел. ×100
Fig. 2. Reparative changes in periprosthetic fractures bone tissue of the femoral component. The zone of formation of immature bone tissue with a predominance of loosely fibrous interstitial tissue containing many neglected thin-walled vessels. Staining with hematoxylin and eosin. Magnification × 100
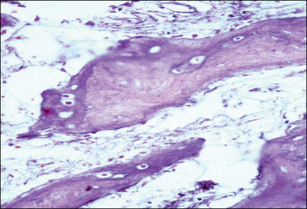
Вместе с тем, в участках, построенных из зрелых костных балок, выявляли очаги хондроидной метаплазии основного вещества, волокнистого строения (рис. 3).
Рис. 3. Репаративные изменения костной ткани в зоне перипротезных переломов бедренного компонента: между зрелыми костными балками участок хондроидной метаплазии основного вещества костной ткани, волокнистого строения. Окраска по Ван Гизону. Увел. ×160
Fig. 3. Reparative changes in periprosthetic fractures bone tissue of the femoral component: between the mature bone trabeculae — a section of chondroid metaplasia of bone tissue basic substance of fibrous structure. Staining according to Van Gieson. Magnification × 160
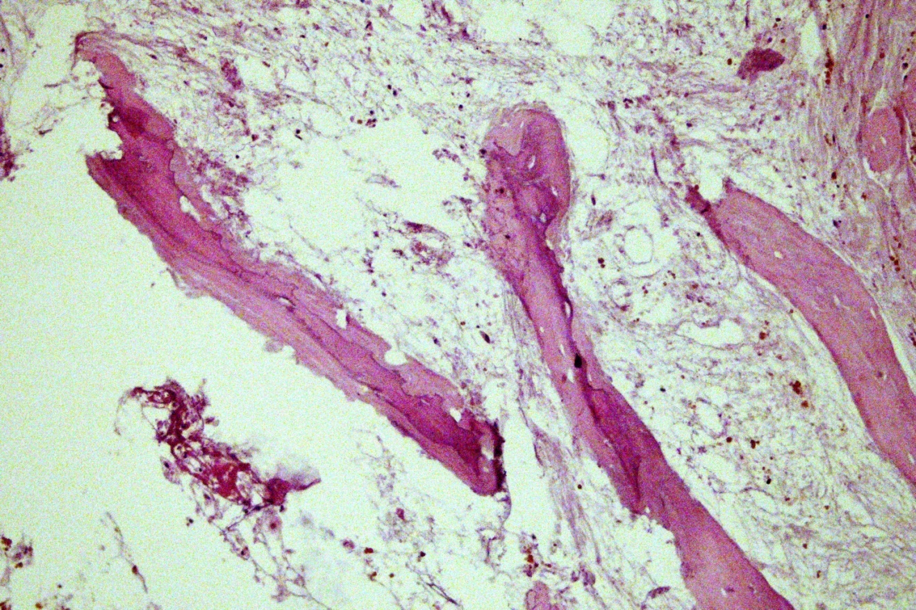
Местами репаративные процессы проявлялись разрастаниями волокнистой фиброзной ткани вокруг осколков костных балок, по-видимому, для последующего использования их как арматурный материал в костеобразовании (рис. 4).
Рис. 4. Репаративные изменения костной ткани в зоне перипротезных переломов бедренного компонента: разрастания волокнистой фиброзной ткани вокруг осколков костных балок. Окраска гематоксилином и эозином. Увел. ×160
Fig. 4. Reparative changes in periprosthetic fractures bone tissue of the femoral component: proliferation of fibrous tissue around the fragments of the bone beams. Staining with hematoxylin and eosin. Magnification × 160
На границе с провизорной мозолью, вдоль формирующихся костных трабекул, обнаруживали очаги гиперплазированных остеобластов, одного из источников остеогенеза (рис. 5).
Рис. 5. Репаративные изменения костной ткани в зоне перипротезных переломов бедренной кости: гиперплазия остеобластов, расположенных вдоль формирующихся костных трабекул. Окраска гематоксилином и эозином. Увел. ×200
Fig. 5. Reparative changes in periprosthetic fractures bone tissue of the femoral component: hyperplasia of osteoblasts located along the forming bone trabeculae. Staining with hematoxylin and eosin. Magnification × 200
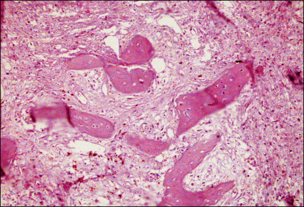
Одним из проявлений репаративных изменений костной ткани были явления энхондральной оссификации (рис. 6).
Рис. 6. Репаративные изменения костной ткани в зоне перипротезных переломов бедренной кости: энхондральная оссификация. Окраска гематоксилином и эозином. Увел. ×200
Fig. 6. Reparative changes in periprosthetic fractures bone tissue of the femoral component: enchondral ossification. Staining with hematoxylin and eosin. Magnification × 200
Реактивные изменения со стороны мягких тканей характеризовались развитием дистрофических и воспалительных процессов.
В мышечной ткани наблюдались явления выраженного межуточного отека, участки фиброза с неравномерной лимфоцитарной инфильтрацией с примесью гистиоцитов и лейкоцитов. Отмечались также явления фиброза и фибриноидного набухания стенки сосудов, а также выраженных дистрофических изменений и набухания мышечных клеток (рис. 7).
Рис. 7. Реактивные изменения мягких тканей в зоне перипротезных переломов бедренной кости. В толще мышечной ткани: выраженный межуточный отек, участки фиброза с неравномерной лимфоцитарной инфильтрацией с примесью гистиоцитов и лейкоцитов. Окраска гематоксилином и эозином. Увел. ×100
Fig. 7. Reparative changes in periprosthetic fractures bone tissue of the femoral component. In muscle tissues: pronounced interstitial edema, areas of fibrosis with uneven lymphocytic infiltration mixed with histiocytes and leukocytes. Staining with hematoxylin and eosin. Magnification × 100
В жировой ткани определялись признаки продуктивного воспаления со скоплениями макрофагов с крупной зернистой цитоплазмой (рис. 8).
Рис. 8. Реактивные изменения мягких тканей в зоне перипротезных переломов бедренной кости: продуктивное воспаление в жировой ткани со скоплениями макрофагов с крупной зернистой цитоплазмой. Окраска гематоксилином и эозином. Увел. ×100
Fig. 8. Reparative changes in periprosthetic fractures bone tissue of the femoral component: productive inflammation in adipose tissue with clumps of macrophages
ОБСУЖДЕНИЕ
Таким образом, в связи с выключением микроциркуляторного русла компактной кости в области перипротезных переломов бедренного компонента развиваются морфологические признаки замедления репаративного остеогенеза с развитием патологической функциональной перестройки костной ткани и реактивного воспаления вплоть до микроишемии в концах отломков в зоне бедренного компонента. Репарация костной ткани в зоне перипротезных переломов осуществлялась как за счет десмального (интрамембранного) остеогенеза, так и путем энхондрального остеогенеза. Отсутствие многоядерных остеокластов в исследованных нами костных тканях, по-видимому, связано с тем, что в зоне перелома развиваются не физиологический, а патологический остеолиз и ишемия на концах отломков. Мы считаем, что размеры выключения микроциркуляторного русла (трабекул, лакун, канальцев) и очагов ишемического повреждения на концах перелома трудно проследить и нельзя утверждать, что имеются очаги «аваскулярности» в области перелома кости в зоне бедренного компонента.
Результаты проведенных нами патогистологических исследований свидетельствуют, что к моменту ревизионного эндопротезирования, в зоне переломов бедренной кости, развиваются морфологические признаки замедления репаративного остеогенеза с развитием патологической функциональной перестройки костной ткани и реактивного воспаления в зоне перипротезного перелома и, конечно, в окружающих мягких тканях. Можно считать, что результаты морфологических оценок патологических изменений в месте перелома в зоне бедренного компонента позволяют выдвинуть предположение об очагово-зональном характере ишемического поражения кости, что обусловлено пространственно-временными особенностями нарушения трабекул, лакун и канальцев бедренным компонентом. Что, в свою очередь, подтверждается признаками остеолиза и ишемии в зоне перелома. Здесь можно сделать ссылку и на исследования Wang Yun Chao et al. [15], которые указывали, что в концах отломков длительно сохраняются признаки ишемии. То есть мы нашли только единственную работу, где исследования также подтверждают ангиоморфологические изменения в зоне перелома кости, результатом которых было выявление признаков ишемии и остеолиза. Что касается костной ткани в зоне перипротезного перелома, то можно думать об очагах инфаркта кости в концах отломков, наверно, это связано с процессами травмы, реваскуляризации.
ВЫВОДЫ
Репарация костной ткани в зоне перипротезных переломов осуществлялась как за счет десмального (интрамембранного) остеогенеза, так и путем энхондрального остеогенеза. Отсутствие многоядерных остеокластов в исследованных нами костных тканях, по-видимому, связано с тем, что в зоне перелома развивается не физиологический, а патологический остеолиз с признаками ишемии.
Результаты проведенных нами патогистологических исследований свидетельствуют, что к моменту ревизионного эндопротезирования в зоне переломов бедренной кости развиваются морфологические признаки замедления репаративного остеогенеза с развитием патологической функциональной перестройки костной ткани и реактивного воспаления вплоть до микроишемии в концах перелома кости и, конечно, в окружающих мягких тканях.
About the authors
Nurlan D. Batpenov
Scientific Research Institute of Traumatology and Orthopedics
Author for correspondence.
Email: niitokz@mail.ru
ORCID iD: 0000-0001-5607-3397
Doctor of Medical Science, Professor, Corresponding member of Academy of Medicine Science, Director
Kazakhstan, Nur-SultanSerik K. Rakhimov
Scientific Research Institute of Traumatology and Orthopedics; Non-commercial joint-stock company “Astana medical university”,Nur-Sultan
Email: rakhimovsk@mail.ru
Doctor of Medical Science, Professor, Chief Scientific Researcher; Curator of Polytrauma Department, Professor of the Department of traumatology and orthopedics
Kazakhstan, Nur-SultanAlexei A. Stepanov
Scientific Research Institute of Traumatology and Orthopedics
Email: jsars@mail.ru
Head of the Department of traumatology No. 2
Kazakhstan, Nur-SultanDidar A. Orasbaev
Scientific Research Institute of Traumatology and Orthopedics
Email: zh.aitykova@mail.ru
resident of the traumatology department No. 2 (polytrauma)
Kazakhstan, Nur-SultanKenzhegul B. Manekenova
Non-commercial joint-stock company “Astana medical university”,Nur-Sultan
Email: rakhimovsk@mail.ru
Doctor of Medical Science, Professor, Head of the Department of Pathologic Anatomy
Kazakhstan, Nur-SultanGulzira K. Smailova
Non-commercial joint-stock company “Astana medical university”
Email: rakhimovsk@mail.ru
Candidate of Medical Science, Assistant of the Department of Pathologic Anatomy
Kazakhstan, Nur-SultanReferences
- Корыткин А.А., Эль Мудни Ю.М., Ковалдов К.А., Новикова Я.С., Белоусов Б.Ю. Результаты лечения пациентов с перипротезными переломами бедренной кости после эндопротезирования тазобедренного сустава. Травматология и ортопедия России. 2018;24(3):34-44. [Korytkin AA, El Mudni YuM, Kovaldov KA, Novikova YaS, Belousov BYu. Outcome of periprosthtic femoral fractures in hip arthroplasty. Travmatologiya i ortopediya Rossii. 2018;24(3):34-44. (In Russ.)] https://doi.org/10.21823/2311-2905-2018-24-3-34-44.
- Матвейчук И.В., Карпов И.Н., Омельяненко Н.П., Денисов-Никольский Ю.И., Дорохин А.И., Миронов С.П. Современные возможности оптимизации репаративной регенерации костной ткани. Вестник травматологии и ортопедии им. Н.Н. Приорова. 2002;(4):85-88. [Matveichuk IV, Karpov IN, Omel’yanenko NP, Denisov-Nikol’skii YuI, Dorokhin AI, Mironov SP. Modern opportunities for optimizing the reparative regeneration of bone tissue. Vestnik travmatologii i ortopedii im. N.N. Priorova. 2002;(4):85-88. (In Russ.)]
- Миханов В.А., Полякова В.С., Копылов В.А., Мхитарян Е.Е., Мещеряков К.Н., Бакаева Н.Р., Шурыгина Е.И. Репаративный гистогенез костной ткани в условиях открытого перелома диафиза длинной трубчатой кости у крыс при использовании препарата «Винфар». Современные проблемы науки и образования. 2015;(3):73. [Mikhanov VA, Polyakova VS, Kopylov VA, Mkhitaryan YY, Meshcheryakov KN, Bakaeva NR, Shurygina YI. Reparative histogenesis of bone tissue in an open shaft fractures of long bones in rats with preparations «Vinfar». Sovremennye problemy nauki i obrazovaniya. 2015;(3):73. (In Russ.)]
- Неверов В.А., Мирошниченко О.И., Мирошниченко А.П. Особенности реабилитации пациентов после неинфекционных осложнений тотального эндопротезирования тазобедренного сустава. Вестник хирургии им. И.И. Грекова. 2016;175(2):66-72. [Neverov VA, Miroshnichenko OI, Miroshnichenko AP. Features of the rehabilitation of patients after non-infectious complications of total hip arthroplasty. Vestnik khirurgii im. I.I. Grekova. 2016;175(2):66-72. (In Russ.)]
- Нуриев Р.И., Сушенцев Н.А., Яковлев В.В. Регенеративная медицина: обзор. В кн.: Сборник материалов Международной биологической универсиады МГУ им. М.В. Ломоносова. М.: МГУ; 2013. [Nuriev RI, Sushentsev NA, Yakovlev VV. Regenerative medicine: a review. In: Proceedings of the International Biological Universiade of Moscow State University n.a. M.V. Lomonosov. Moscow: MSU; 2013. (In Russ.)]
- Нуждин В.И., Троценко В.В., Попова Т.П., Каграманов С.В. Ревизионное эндопротезирование тазобедренного сустава. Вестник травматологии и ортопедии им. Н.Н. Приорова. 2001;(2):66-71. [Nuzhdin VI, Trotsenko VV, Popova TP, Kagramanov CV. Revision hip arthroplasty. Vestnik travmatologii i ortopedii im. N.N. Priorova. 2001;(2):66-71. (In Russ.)]
- Полевой Е.В., Завгородний Н.В., Каграманов С.В, Чрагян Г.А., Алексанян О.А. Интраоперационные перипротезные переломы бедренной кости при эндопротезировании тазобедренного сустава. Обзор классификации и методов лечения. Вестник травматологии и ортопедии им. Н.Н. Приорова. 2019;(2):67-72. [Polevoy EV, Zagorodniy NV, Kagramanov CV, Chragyan GA, Aleksanyan OA. Interoperative periprosthetic femoral fractures at total hip artroplasty. Review of classifications and treatment technigues. Vestnik travmatologii i ortopedii im. N.N. Priorova. 2019;(2):67-72. (In Russ.)] https://doi.org/10.17116/vto201902167.
- Пивень И.М., Бердюгин К.А. Классификация перипротезных переломов бедренной кости (обзор литературы). Современные проблемы науки и образования. 2016;(2):3. [Piven IM, Berdyugin KA. Classification of periprosthetic fracture of the femur (literature review). Sovremennye problemy nauki i obrasovaniya. 2016;(2):3. (In Russ.)]
- Хоминец В.В., Метленко П.А., Богданов А.Н., Кудяшев А.Л., Мироевский Ф.В. Ближайшие результаты лечения больных с перипротезными переломами бедренной кости после эндопротезирования тазобедренного сустава. Траматология и ортопедия России. 2015;(4):70-78. [Khominets VV, Metltnko PA, Bogdanov AN, Kudyashev AL, Miroevsky FV. Immediate results of treatment periprothestic femoral fractures after hip replacement. Travmatologiya i ortopediya Rossii. 2015;(4):70-78. (In Russ.)]
- Штейнле А.В. Посттравматическая регенерация костной ткани. Часть 1. Сибирский медицинский журнал (г. Томск). 2009;4(1):101-108. [Shteinle AV. Posttraumatic bone tissue regeneration. Part 1. Sibirskii meditsinskii zhurnal (g. Tomsk). 2009;4(1):101-108. (In Russ.)]
- Lewallen DG, Berry DJ. Femoral fractures associated with hip arthroplasty. Reconstructive surgery of the joints. 1993;2(5):1273-1288.
- Tsiridis E, Narvani AA, Lin Sin Cho G, Timperley J, Gie GA. 144 periprosthetic femoral fractures. Treatment and outcome. J Bone Joint Surg. 1997;86-B:303-d.
- Tamaki T, Jonishi K, Miura Y, Oinuma K, Shiratsuchi H. Cementles stapered-wedge stem length affects the risk of periprotesthetic femoral fractures in direct anterior total hip arthroplasty. J Arth. 2018;33(3):805-809. https://doi.org/10.1016./i.arth.2017.09.065.
- Villanueva-Lopez F, Psychoyios VN, Esteo-Perez I, Zambiakis E. Periprosthetic supracondylar fracture of the femur. Is it the end of limb function? J Bone Joint Surg. 2003;85-B:234-d.
- Wang YC, Hsu CC, Chu YJ, Hsueh TM. An experimental microangiographic study of bone. Chin Med J. 1965;84(6):362-385.
Supplementary files

















