Early complications of reverse total shoulder arthroplasty
- Authors: Lychagin A.V.1, Kesian G.A.2, Kalinskу E.B.1, Sukharev N.A.1
-
Affiliations:
- I.M. Sechenov First Moscow State Medical University (Sechenov University)
- National Medical Research Center for Traumatology and Orthopedics named after N.N. Priorov
- Issue: Vol 27, No 2 (2020)
- Pages: 10-14
- Section: Original study articles
- Submitted: 24.06.2020
- Accepted: 21.07.2020
- Published: 08.10.2020
- URL: https://journals.eco-vector.com/0869-8678/article/view/34838
- DOI: https://doi.org/10.17816/vto202027210-14
- ID: 34838
Cite item
Full Text
Abstract
Background. The frequency of early complications after reverse shoulder arthroplasty remains high enough, and the overall complication rate is reported from 4.7% to 38%.
Methods. We did 23 primary reverse shoulder arthroplasty and used clinical information after these operations in our study. As a comparative material, we used date from registers of foreign countries, as well as information from special literature.
Results. Early complications were found in five cases (21.7%) in our study: two cases (8.7%) of a periprosthetic fracture; three patients (13.2%) had dislocation components. We studied these complications and formulated rules preventive measures.
Conclusions. (1) The most common early complications after revers total shoulder arthroplasty were instability components, periprosthetic fracture. (2) These types of complications arise due to unbalanced soft tissues, inadequate selection of the size of the glenosphere, interposition of soft tissues, and inadequate term of loads on the operated limb. (3) The number of these complications can be reduced by observing preventive measures at all stages of treatment.
Full Text
ВВЕДЕНИЕ
Дегенеративные заболевания плечевого сустава различной этиологии, а также травматические его повреждения зачастую приводят к нарушению функции верхней конечности [1].
В наше время эндопротезирование является оптимальной операцией при тяжелых повреждениях плечевого сустава.
На сегодняшний день в различных странах выполняется до 7000 эндопротезирований плечевого сустава за год, из них около 2500 реверсивных [2–5].
В клинической практике наиболее актуальным становится модель реверсивного эндопротеза, после установки которого, помимо исчезновения болевого синдрома, также исчезает необходимость сращения бугорков для нормальной функции конечности [6].
Главное отличие реверсивного эндопротеза плечевого сустава от других моделей заключается в изменении (медиализации) центра ротации за счет его конструкции. При этой особенности увеличивается объем функции дельтовидной мышцы при отведении и сгибании в плечевом суставе [7].
Как и другие оперативные вмешательства, эта методика имеет определенные риски послеоперационных осложнений. Ранние осложнения при реверсивном эндопротезировании плечевого сустава схожи с осложнениями при тотальном классическом эндопротезировании этого сустава, но имеют свои специфические особенности. Примерами таких осложнений могут быть: расшатывание компонентов, вывих эндопротеза, перипротезные переломы, инфекция.
Частота осложнений в раннем послеоперационном периоде после реверсивного эндопротезирования плечевого сустава остается достаточно высокой и, по данным различных авторов, колеблется от 4,7 до 38 % [8–10].
Таким образом, изучение ранних осложнений после реверсивного эндопротезирования плечевого сустава, а также поиски путей их профилактики являются актуальными проблемами в современной действительности.
Целью данного исследования является изучение основных причин ранних послеоперационных осложнений при реверсивном эндопротезировании плечевого сустава, а также методы их профилактики.
МАТЕРИАЛЫ И МЕТОДЫ
В нашем исследовании использованы клинические данные первичного реверсивного эндопротезирования плечевого сустава на базах ФГБУ «НМИЦ ТО им. Н.Н. Приорова» и УКБ № 1 ФГАОУ ВО ПМГМУ им. И.М. Сеченова МЗ РФ (Сеченовский Университет). Обследовано 23 пациента (12 женщин — 52 % и 11 мужчин — 48 %), которым нами было выполнено первичное реверсивное эндопротезирование в 2018–2020 гг. Средний возраст пациентов составил 64 года.
Основными клиническими диагнозами выступали деформирующий и посттравматический артроз плечевого сустава, у двух пациентов основным диагнозом являлся многофрагментарный перелом проксимального отдела плечевой кости (трех- и четырехфрагментарный перелом по классификации Neer).
При эндопротезировании использовали 2 вида оперативного доступа: верхне-латеральный, выполнен 5 пациентам, дельто-пекторальный — 18.
Всех пациентов оперировали по стандартной методике установки компонентов эндопротеза. 16 пациентам был установлен бесцементный реверсивный эндопротез Anatomical Shoulder System Inverse/Reverse фирмы Zimmer, а 7 пациентам — бесцементный реверсивный эндопротез Unic компании Evolutis.
В качестве сравнительного материала использовали данные регистров зарубежных стран, а также современные сведения иностранной и отечественной литературы.
РЕЗУЛЬТАТЫ
При ретроспективном исследовании проанализированы результаты регистров таких стран, как США, Великобритания, Италия и Австралия.
В США изучены результаты 940 реверсивных эндопротезов плечевого сустава, в Великобритании — 7753 операций, по данным клиник Италии представлена информация о 2855 случаях по установке данного вида протеза, а в Австралии анализу подверглись 9682 случая реверсивного эндопротеза плечевого сустава [2–5].
Наиболее распространенными ранними осложнениями, по данным регистров, являлись: 1) нестабильность (асептическая нестабильность и вывих компонентов эндопротеза); 2) перипротезный перелом диафиза плечевой кости; 3) инфекция [2–5] (см. таблицу).
Процентное отношение основных ранних послеоперационных осложнений ко всем осложнениям при реверсивном эндопротезировании плечевого сустава по данным мировых регистров
Percentage ratio between common early postoperative complications and other complications in reverse total shoulder arthroplasty (data from world registers)
Страна | США | Великобритания | Италия | Австралия |
Нестабильность компонентов, % | 36 | 35,5 | 29,5 | 14 |
Перипротезный перелом, % | 16 | 9,6 | 4,6 | 5,8 |
Инфекция, % | 3,4 | 2 | 3,1 | 1,8 |
Нестабильность компонентов и вывихи эндопротеза после первичного реверсивного эндопротезирования отмечено у пациентов с осложненным течением: в Англии этот показатель составил 35,5 %; в США — 36 %; в Италии — менее 30 %; в Австралии — 14 %.
Перипротезный перелом после реверсивного эндопротезирования плечевого сустава, по данным мировых регистров, составляет в среднем 9 % всех осложнений.
Инфекционные осложнения от общего их числа при таком виде операции достигают в США — 3,4 %, в Англии удельный вес этого осложнения составил 2 %, в Италии — 3,1 %, а в Австралии — 1,8 %.
Основными причинами данных осложнений являлись: 1) неадекватный баланс натяжения мягких тканей; 2) нарушение хирургической техники; 3) интерпозиция мягкими тканями; 4) несоблюдение правил асептики и антисептики; 5) повреждение n. subscapularis [7, 11].
У группы прооперированных нами пациентов ранние осложнения отмечены у 5 (21,7 %) из 23 человек. Все осложнения произошли в раннем послеоперационном периоде (от 1 до 5 дней после операции).
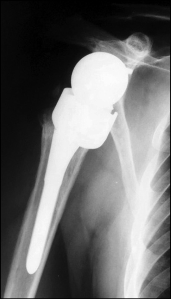
При клиническом и рентгенологическом обследовании пациентов выявлено 2 случая (8,7 %) перипротезного перелома, 1 из которых произошел интраоперационно. У 3 пациентов (13,2 %) выявлен вывих эндопротеза: зафиксировано 2 случая вывиха плечевого компонента, вследствие ранних сроков нагрузок и объемов движений прооперированной конечности (рис. 1), а 1 пациент пострадал от разобщения гленосферы с метагленом, и в последствие ее вывихом (рис. 2).
Рис. 1. Рентгенограммы пациентов с вывихом плечевого компонента реверсивного эндопротеза плечевого сустава
Fig. 1. Patients’ X-ray with shoulder component dislocation of a reverse shoulder joint endoprosthesis
Рис. 2. Рентгенограмма пациента с вывихом гленосферы
Fig. 2. X-ray of a patient with dislocated glenosphere
Одному пациенту с вывихом плечевого компонента под общей анестезией успешно выполнено закрытое устранение вывиха, которое не потребовало дальнейшей открытой операции.
Двоим из трех пациентов с вывихом эндопротеза проведена ревизионная операция по устранению разобщения компонентов, в том числе установка гленосферы в положенную, стабильную позицию (рис. 3).
Рис. 3. Рентгенограмма пациента после устранения вывиха гленосферы
Fig. 3. X-ray of a patient after correction of dislocated glenosphere
Пациенту с перипротезным переломом диафиза плечевой кости проведена ревизионная операция с целью остеосинтеза диафиза плечевой кости серкляжным способом (рис. 4, 5).
Рис. 4. Ревизионная операция, этап остеосинтеза серкляжным способом перипротезного перелома диафиза плечевой кости
Fig. 4. Revision surgery, osteosynthesis of periprosthetic humerus diaphysis fracture using cerclage technique
Рис. 5. Рентгенограмма пациента после остеосинтеза перипротезного перелома серкляжным способом
Fig. 5. X-ray of a patient after osteosynthesis of periprosthetic fracture using cerclage technique
При всех ревизионных операциях произведен тщательный анализ мягких тканей и костей, проверка целостности имплантов, а также проведены клинические тесты на отсутствие вывихов компонентов эндопротезов после их установки.
В детальном изучении ранних послеоперационных осложнений, прооперированных нами пациентов, выявлены причины их возникновения: 1) плохая оценка прочности костной ткани в области диафиза плечевой кости; 2) интерпозиция мягкими тканями (между гленосферой и метагленом); 3) несоблюдение сил натяжения дельтовидной мышцы, ввиду неадекватного выбора размеров компонентов эндопротеза; 4) несоблюдение правил реабилитации в раннем послеоперационном периоде самим пациентом.
В дальнейшем наблюдении всех пациентов не менее трех месяцев послеоперационных осложнений не прослеживалось.
ОБСУЖДЕНИЕ
Полученные нами результаты исследований подтверждают аналогичные выводы зарубежных коллег. Согласно данным специализированной литературы, основными ранними осложнениями при реверсивном эндопротезировании плечевого сустава являются: 1) вывих эндопротеза; 2) перипротезный перелом; 3) инфекция; 4) асептическая нестабильность компонентов; 5) повреждение нервов [12–16].
По материалам зарубежных авторов, факторы, приводящие к нестабильности и вывихам, различны, основные из них: нарушенный баланс мягких тканей, неадекватный подбор размера гленосферы, ошибочное положение метаглена [17, 18].
Перипротезные переломы возникают вследствие дефицита костной ткани на фоне остеопороза [19].
Инфекция не является специфическим осложнением для этого вида операции, но, как и при других оперативных вмешательствах, ведет за собой серьезные последствия. Возникновение данного осложнения обусловлено нарушением правил асептики и антисептики, а также наличие вовремя не дренированной послеоперационной гематомы.
При установке реверсивного эндопротеза плечевого сустава чаще других повреждается подмышечный нерв, реже наблюдаются случаи травмы лучевого, локтевого и мышечно-кожного нервов [20].
При обобщенном анализе изученных результатов, для снижения частоты ранних послеоперационных осложнений, нами сформулированы правила профилактических мер: 1) проводить тщательный анализ качества костной структуры в предоперационном планировании; 2) бережно и внимательно относиться к мягким тканям во время операции; 3) на этапе примерки компонентов эндопротеза учитывать баланс силы натяжения дельтовидной мышцы; 4) строгий контроль реабилитационных мероприятий пациентов в раннем послеоперационном периоде.
ВЫВОДЫ
Таким образом, основываясь на нашем клиническом опыте совместно с изученной информацией из специализированной литературы, можно сделать выводы:
- Основными ранними послеоперационными осложнениями являются: вывих эндопротеза, перипротезный перелом диафиза плечевой кости.
- Данные виды осложнений возникают вследствие нарушенного баланса мягких тканей, неадекватного подбора размеров эндопротеза, интерпозиции мягкими тканями, а также неадекватных сроков нагрузок на прооперированную конечность.
- Снижение количества этих осложнений может быть достигнуто путем соблюдения профилактических мер на всех этапах лечения.
Этические принципы и нормы при проведении исследования были соблюдены в полном объеме (выписка из протокола заседания локального этического комитета ФГАОУ ВО ПМГМУ им. И.М. Сеченова (Сеченовский Университет) № 10-18 от 07.11.2018).
About the authors
Aleksey V. Lychagin
I.M. Sechenov First Moscow State Medical University (Sechenov University)
Email: baizil@inbox.ru
PhD, Professor
Russian Federation, MoscowGuren A. Kesian
National Medical Research Center for Traumatology and Orthopedics named after N.N. Priorov
Email: baizil@inbox.ru
PhD, Head of Department
Russian Federation, MoscowEugeny B. Kalinskу
I.M. Sechenov First Moscow State Medical University (Sechenov University)
Email: baizil@inbox.ru
MD, Associate Professor
Russian Federation, MoscowNikilay A. Sukharev
I.M. Sechenov First Moscow State Medical University (Sechenov University)
Author for correspondence.
Email: baizil@inbox.ru
Post-graduate student
Russian Federation, MoscowReferences
- Зарайский А.С., Зоря В.И. Эндопротезирование плечевого сустава. Проблемы и решения. Московский хирургический журнал. 2011;(4):58-64. [Zarayskiy AS, Zoray VI. Shoulder arthroplasty. Problems and decision. Moskovskii khirurgicheskii zhurnal. 2011;(4):58-64. (In Russ.)]
- Australian Orthopaedic Association National Joint Replacement Registry [Internet]. Annual Report 2019 [cited 2017 Apr 20]. Available at: https://aoanjrr.sahmri.com/annual-reports-2019
- National Joint Registry [Internet]. 13th Annual Report 2016: National Joint Registry for England, Wales, Northern Ireland and the Isle of Man. NJR Centre, Hemel Hempstead, United Kingdom [cited 2017 Apr 20]. Available at: https://www.hqip.org.uk/wp-content/uploads/2018/02/national-joint-registry-13th-annual-report-2016.pdf
- Regional Register of Orthopaedic Prosthetic Implantology [Internet]. REPORT of R.I.P.O. Hip, Knee and Shoulder Arthroplasty. RIPO, Emilia-Romagna, Italy [cited 2017 Apr 20]. Available at: https://ripo.cineca.it/RIPO_REPORT_2015_english_rev1.pdf
- New Zealand Orthopaedic Association (NZOA) [Internet]. The New Zealand Joint Registry. Seventeen Year Report.NZOA, Wellington, New Zealand [cited 2017 Apr 20]. Available at: https://nzoa.org.nz/system/files/NZJR%2017%20year%20Report.pdf
- Sanchez-Sotelo J. Reverse total shoulder arthroplasty. Clin Anat. 2008;22(2):172-182. https://doi.org/10.1002/ca.20736.
- Farshad M, Gerber C. Reverse total shoulder arthroplasty — from the most to the least common complication. Int Orthop. 2010;34(8):1075-1082. https://doi.org/10.1007/s00264-010-1125-2.
- Zumstein MA, Pinedo M, Old J, Boileau P. Problems, complications, reoperations, and revisions in reverse total shoulder arthroplasty: a systematic review. J Shoulder Elbow Surg. 2011;20(1):146-157. https://doi.org/10.1016/j.jse.2010.08.001.
- Cheung E, Willis M, Walker M, Clark R, Frankle MA. Complications in reverse shoulder arthroplasty. J Am Acad Orthop Surg. 2011;19(7):439-449.
- Choi S, Bae J, Kwon YS, Kang H. Clinical outcomes and complications of cementless reverse total shoulder arthroplasty during the early learning curve period. J Orthop Surg Res. 2019;14(1):53. https://doi.org/10.1186/s13018-019-1077-1.
- Barco R, Savvidou OD, Sperling JW, Sanchez-Sotelo J, Cofield RH. Complications in reverse shoulder arthroplasty. EFORT Open Rev. 2016;1(3):72-80. https://doi.org/10.1302/2058-5241.1.160003
- Giuseffi SA, Streubel P, Sperling J, Sanchez-Sotelo J. Short-stem uncemented primary reverse shoulder arthroplasty: clinical and radiological outcomes. Bone Joint J. 2014;96-B(4):526-529. http://dx.doi.org/10.1302/0301-620X.96B3.32702.
- García-Fernández C, Lópiz-Morales Y, Rodríguez A, López-Durán L, Martínez FM. Periprosthetic humeral fractures associated with reverse total shoulder arthroplasty: incidence and management. Int Orthop. 2015;39(10):1965-1969. https://doi.org/10.1007/s00264-015-2972-7.
- Boileau P. Complications and revision of reverse total shoulder arthroplasty. Orthop Traumatol Surg Res. 2016;102(1 Suppl):S33–S43. https://doi.org/10.1016/j.otsr.2015.06.031.
- Lawrence C, Williams GR, Namdari S. Influence of glenosphere design on outcomes and complications of reverse arthroplasty: a systematic review. Clin Orthop Surg. 2016;8(3):288-297. https://doi.org/10.4055/cios.2016.8.3.288.
- Ненашев Д.В., Майков С.В. Применение алгоритма выбора хирургической тактики при эндопротезировании плечевого сустава. Профилактическая и клиническая медицина. 2011;(3):413–415. [Nenashev DV, Maykov SV. Algorithm selection surgical tiontactics in shoulder joint arthroplasty. Profilakticheskaya i klinicheskaya meditsina. 2011;(3):413-415. (In Russ.)]
- Gutiérrez S, Comiskey CA, IV, Luo ZP, Pupello DR, Frankle MA. Range of impingement-free abduction and adduction deficit after reverse shoulder arthroplasty. Hierarchy of surgical and implant-design-related factors. J Bone Joint Surg Am. 2008;90(12):2606-2615. https://doi.org/10.2106/JBJS.H.00012.
- Roche C, Flurin PH, Wright T, Crosby LA, Mauldin M, Zuckerman JD. An evaluation of the relationships between reverse shoulder design parameters and range of motion, impingement, and stability. J Shoulder Elbow Surg. 2009;18(5):734-741. https://doi.org/10.1016/j.jse.2008.12.008.
- Wierks C, Skolasky RL, Ji JH, McFarland EG. Reverse total shoulder replacement: intraoperative and early postoperative complications. Clin Orthop Relat Res. 2009;467(1):225-234. https://doi.org/10.1007/s11999-008-0406-1.
- Lädermann A, Lübbeke A, Mélis B, Stern R, Christofilopoulos P, Bacle G, Walch G. Prevalence of neurologic lesions after total shoulder arthroplasty. J Bone Joint Surg Am. 2011;93(14):1288-1293. https://doi.org/10.2106/JBJS.J.00369.
Supplementary files












