Analysis of medium-term outcomes after surgical correction hallux valgus deformity
- Authors: Skrebtsov A.V.1, Nikitina V.K.1, Protsko V.G.2,1, Tamoev S.K.1, Skrebtsov V.V.1, Yakushev D.S.3
-
Affiliations:
- Yudin City Clinical Hospital
- Russian Peoples’ Friendship University
- Federal Scientific and Clinical Center of Specialized Types of Medical Care and Medical Technologies
- Issue: Vol 30, No 3 (2023)
- Pages: 315-324
- Section: Original study articles
- Submitted: 24.05.2023
- Accepted: 05.09.2023
- Published: 03.11.2023
- URL: https://journals.eco-vector.com/0869-8678/article/view/430259
- DOI: https://doi.org/10.17816/vto430259
- ID: 430259
Cite item
Full Text
Abstract
BACKGROUND: One of the most prevalent foot abnormalities is valgus deformity of the first toe. Many procedures have been proposed to correct this deformity, but one of the most Scarf osteotomy of the first metatarsal bone, which is complemented by the Akin osteotomy of the proximal phalanx of the first finger, is one of the most widely used. This publication analyzes the mid-term effect of repairing the deformity of the first toe using the methods described above.
AIMS: To evaluate the mid-term outcomes of hallux valgus correction using Scarf osteotomy and the combination of Scarf and Akin osteotomies to the literature.
MATERIALS AND METHODS: This is a cross-sectional, observational study. From January to December 2017, 129 patients (147 ft.) received forefoot deformity. Clinical and radiographic parameters were studied using the AOFAS, FFI, and VAS scales and questions related to the subjective assessment of patients by the treatment.
RESULTS: The study’s findings revealed an increase in AOFAS scores from 59.0 (16–88, SD=18.6) before surgery to 85.0 (53–100, SD=13.3; p <0.001) 5 yr later. The VAS scores fell from 5.7 (0–10, SD=2.2) to 2.4 (0–5, SD=1.4; p <0.001). After surgery, the FFI scale score decreased from 40.9 (10–78, SD=18.1) to 11.3 (0–19, SD=5.0; p <0.001). According to the survey, 96.7% of patients would agree to a second operation, 96.9% of those who had surgery would recommend it to their relatives, and 94.6% were satisfied with the aesthetic result of the operation. Most patients (95.4%) were satisfied with the treatment in terms of the disappearance of pain and discomfort. The functional results of the surgical surgery were satisfactory to 98.4% of the patients who were consulted. Radiographic HVA, IMA angle, and Hardy and Clapham sesamoid position scores all indicated favorable mid-term outcomes with no deformity recurrence. In 46.3% of patients (68 patients), there was limited mobility in the first metatarsophalangeal joint. A complication in superficial soft tissue irritation occurred in four patients (2.7%). Iatrogenic varus deviation of one toe was observed in one patient. Metal fixators were removed from patients in 34 patients (23.1%). The removal was completed within a year in 17 cases (11.6%).
CONCLUSIONS: Scarf osteotomy, alone or in combination with Akin osteotomy, is a successful treatment for hallux valgus.
Full Text
ОБОСНОВАНИЕ
Hallux valgus является одной из наиболее частых деформаций переднего отдела стопы и представляет собой латеральную девиацию основной фаланги первого пальца c медиальным отклонением первой плюсневой кости [1] (рис. 1). Согласно данным литературы, вальгусное отклонение первого пальца стопы встречается у 3–4% от всей популяции [2, 3]. Результаты других авторов свидетельствуют о том, что данная деформация отмечается у 23–44 % всех половозрелых женщин [4]. Основными жалобами пациентов являются косметический дефект, болевой синдром и ухудшение качества жизни в целом [5]. В настоящее время остеотомия Scarf является наиболее часто применяемой хирургической техникой для коррекции вальгусного отклонения первого пальца стопы. Данная методика используется как изолированно, так и при применении остеотомии Akin. Однако на сегодняшний день только остеотомия Akin используется редко [6]. В большинстве случаев как краткосрочные, так и более длительные результаты показали сравнимую эффективность применения комбинации данных методик [7, 8]. При этом чётких рекомендаций к применению остеотомии Akin нет [9, 10]. Исходя из этого, в данном исследовании нами было принято решение не разделять пациентов с проведёнными остеотомиями Scarf и Scarf в комбинации с Akin на разные группы.
Рис. 1. Вальгусная деформация первого пальца обеих стоп.
Fig. 1. Valgus deformity of the first ray of both feet.
Цель исследования — анализ среднесрочных результатов коррекции вальгусного отклонения первого пальца стопы при использовании остеотомии Scarf и комбинации остеотомий Scarf и Akin и сравнение их с результатами, описанными в литературе.
МАТЕРИАЛЫ И МЕТОДЫ
Дизайн исследования
Проведено обсервационное одномоментное исследование.
Критерии соответствия
Критерии включения:
- возраст от 18 лет;
- вальгусная деформация первого пальца стопы (угол HVA >16 и <45 градусов, M1–M2 >10 градусов);
- подпись пациентом информированного согласия на участие в исследовании.
Критерии исключения:
- тяжёлые деформации переднего отдела стопы, требующие дополнительных хирургических вмешательств;
- артродезы смежных суставов;
- наличие ожирения;
- наличие ранее перенесённых вмешательств на переднем отделе стопы;
- возраст младше 18 лет, так как ювенильная деформация hallux valgus выделяется в отдельную патологию;
- отсутствие полного комплекта рентгенологического обследования;
- сопутствующие хронические заболевания (сахарный диабет, заболевания ревматологического профиля);
- отказ пациента от участия в исследовании.
Условия проведения
Исследование проведено в период с декабря 2022 по апрель 2023 года, когда были осуществлены консультативные осмотры 129 пациентов, которым выполнили 147 оперативных вмешательств, направленных на коррекцию вальгусной деформации первого пальца. Хирургическое лечение было проведено в период с января по декабрь 2017 г. в Городской клинической больнице им. С.С. Юдина Департамента здравоохранения города Москвы.
Описание медицинского вмешательства
Все операции выполняли под комбинированной спинально-эпидуральной анестезией. После наложения жгута Мартенса применяли медиально-боковой доступ в положении пациента лёжа на спине. Выполняли капсулотомию первого плюснефалангового сустава. При помощи осцилляторной пилы выполняли фигурную Z-образную остеотомию первой плюсневой кости. После коррекции положения производилась фиксация 2 спонгиозными винтами Герберта. При интраоперационной недостаточной коррекции положения первого пальца или неправильной ротации первого пальца выполняли остеотомию Akin. Профилактику инфекционных осложнений осуществляли с помощью интраоперационного введения антибактериальных препаратов (цефалоспорины I поколения).
Послеоперационное ведение пациентов осуществлялось по единому протоколу. На вторые сутки после оперативного вмешательства пациента активизировали в специализированной обуви с разгрузкой переднего отдела стопы (обувь Барука). Перевязка послеоперационных ран выполнялась через 1 день с применением растворов антисептиков. В послеоперационном периоде пациент передвигался в обуви Барука на протяжении 6 недель.
Основной исход исследования
В исследовании проведён анализ среднесрочных результатов. За границы наблюдения нами были приняты следующие сроки: краткосрочные наблюдения — от 30 до 60 месяцев, среднесрочные — 60–150 месяцев, долгосрочные — более 150 месяцев [11].
Дополнительные исходы исследования
Анализ в подгруппах
Дополнительный анализ в подгруппах не проводился.
Методы регистрации исходов
Контрольные осмотры проводились сотрудниками, не принимавшими участие в лечении пациентов. Оценивались такие рентгенологические параметры, как плюснефаланговый угол HVA (англ. Hallux valgus angle), межплюсневый угол IMA (англ. Intermetatarsal angle), положения сесамовидных костей по шкале Hardy and Clapham, а также результаты анкетирования по визуально-аналоговой шкале ВАШ, шкалам AOFAS (англ. American Orthopaedic Foot & Ankle Society) для переднего отдела стопы и FFI (англ. Foot Function Index). Производился опрос пациентов для оценки их удовлетворённости проведённым лечением — с точки зрения исчезновения боли и дискомфорта, эстетики и внешнего вида стопы в послеоперационном периоде, функциональных результатов лечения. Также пациентам были заданы следующие вопросы: «Посоветовали ли бы вы данное лечение вашим родственникам?» и «Согласились ли бы вы на проведение данного вмешательства снова?»
За норму объёма движений в первом плюснефаланговом суставе принимался объём движения 120 градусов (диапазон — 45 градусов сгибания и 75 градусов разгибания) [12]. За умеренное ограничение движения — диапазон движений в пределах 30–74 градусов. За грубое нарушение движения — объём движения менее 30 градусов.
Этическая экспертиза
Этическую экспертизу не проводили. Все пациенты, участвовавшие в исследовании, подписали письменное информированное добровольное согласие на медицинское вмешательство и публикацию результатов исследования.
Статистический анализ
Полученные в процессе выполнения работы клинические результаты анализировали посредством программной системы Jamovi 2.2.5 Проводилась проверка нормальности распределения при помощи критерия Шапиро–Уилка. Оценка внутригрупповой динамики количественных признаков проводилась при помощи критерия Вилкоксона и парного критерия Стьюдента. Критерий Вилкоксона использовался при анализе показателей HVA, IMA, ВАШ, шкалы AOFAS. Парный критерий Стьюдента применялся для анализа результатов шкалы FFI (критерий Шапиро–Уилка, p=0,199). Использовался коэффициент ранговой корреляции Спирмена. Различия принимали за статистически значимые при p <0,05. Размер выборки пациентов предварительно не рассчитывался.
РЕЗУЛЬТАТЫ
Объекты (участники) исследования
В исследование включены 129 пациентов, из них 120 (93%) женщин и 9 (7%) мужчин. Возраст пациентов в группе наблюдения варьировал от 29 до 73 лет. Средний возраст составил 49,2 года. Все 18 двусторонних оперативных вмешательств по коррекции вальгусной деформации первого пальца стопы были проведены у женщин.
Основные результаты исследования
Согласно проведённому анкетированию, 96,7% пациентов согласились бы на повторное проведение операции, 96,9% прооперированных посоветовали бы данное хирургическое вмешательство родственникам, а 94,6% были довольны эстетическим результатом операции. Большая часть пациентов, а именно 95,4%, были удовлетворены проведённым лечением с точки зрения исчезновения болевого синдрома и дискомфорта. 98,4% проконсультированных пациентов были довольны функциональными результатами проведённого хирургического вмешательства.
Показатели шкалы AOFAS возросли с 59,0 (16–88, SD=18,6) до оперативного вмешательства до 85,0 (53–100, SD=13,3) (p <0,001) спустя 5 лет после проведённого лечения, направленного на коррекцию вальгусного отклонения первого пальца стопы.
Показатели ВАШ снизились с 5,7 (0–10, SD=2,2) до 2,4 (0–5, SD=1,4) (p <0,001).
Результаты тестирования по индексу FFI также показали снижение с 40,9 (10–78, SD=18,1) до 11,3 (0–19, SD=5,0) (p <0,001) после хирургического вмешательства.
Рентгенологические результаты исследования продемонстрировали значимую коррекцию показателей межплюсневого угла, плюснефалангового угла и положения сесамовидных костей по шкале Hardy and Clapham.
Среднее значение HVA до оперативного вмешательства составляло 29 градусов (17–44, SD=7,4), сразу после оперативного вмешательства анализ послеоперационных рентгенограмм позволил определить среднее значение HVA равным 9 градусам (2–14, SD=2,4) (p <0,001), на момент консультативного приёма через 5 лет среднее значение HVA было равно 10 градусам (0–20, SD=3,8) (p=0,588). Межплюсневый угол IMA в группе пациентов до хирургической коррекции был равен 14 градусам (10–17, SD=2,4), сразу после оперативного вмешательства — 7 градусам (4–10, SD=1,7) (p <0,001), на момент консультативного приёма — 7 градусам (1–22, SD=3,53) (p=0,085).
Анализ положения сесамовидных костей по шкале Hardy and Clapham до и после оперативного вмешательства показал значимые изменения в выборке (p <0,001). При анализе положения сесамовидных костей на рентгенограммах, выполненных сразу после хирургической коррекции и накануне контрольного осмотра через 5 лет после проведённого лечения, обнаружены слабые различия положения сесамовидных костей, что отображает устойчивость его коррекции (табл. 1).
Таблица 1. Положение сесамовидных костей по шкале Hardy and Clapham
Table 1. Position of sesamoid bones according to the Hardy and Clapham scale
Положение сесамовидных костей | До оперативного вмешательства, стоп (%) | Сразу после оперативного вмешательства, стоп (%) | На момент консультативного приёма, стоп (%) |
I | 0 (0,0) | 70 (47,6) | 42 (28,6) |
II | 0 (0,0) | 63 (42,9) | 84 (57,1) |
III | 15 (10,2) | 14 (9,5) | 21 (14,3) |
IV | 92 (62,6) | 0 (0,0) | 0 (0,0) |
V | 34 (23,1) | 0 (0,0) | 0 (0,0) |
VI | 6 (4,1) | 0 (0,0) | 0 (0,0) |
VII | 0 (0,0) | 0 (0,0) | 0 (0,0) |
Дополнительные результаты исследования
Нежелательные явления
Нами не было отмечено случаев остеонекроза головок первых плюсневых костей.
На контрольном осмотре в 68 случаях (46,3%) отмечалось ограничение подвижности первого плюснефалангового сустава. В 51 случае (34,7%) наблюдалось умеренное ограничение движений, на 9 стопах (6%) отмечалось грубое ограничение движений (объём движений <30 градусов).
Проанализировав истории болезни пациентов, мы обнаружили, что в 4 случаях (2,7%) имело место осложнение в виде поверхностного воспаления мягких тканей. Пациентам были назначены антибактериальные препараты — цефалоспорины 2-го поколения, ежедневные перевязки с антисептиками. После проведённого консервативного лечения явления воспаления были купированы.
Ятрогенное варусное отклонение первого пальца стопы наблюдалось в 1 случае. Однако данная деформация не сопровождалась болевым синдромом, жалобами на затруднения в подборе обуви и нарушение качества жизни в целом.
Случаев периимплантных переломов выявлено не было. Также не потребовалось проведения ревизионных оперативных вмешательств.
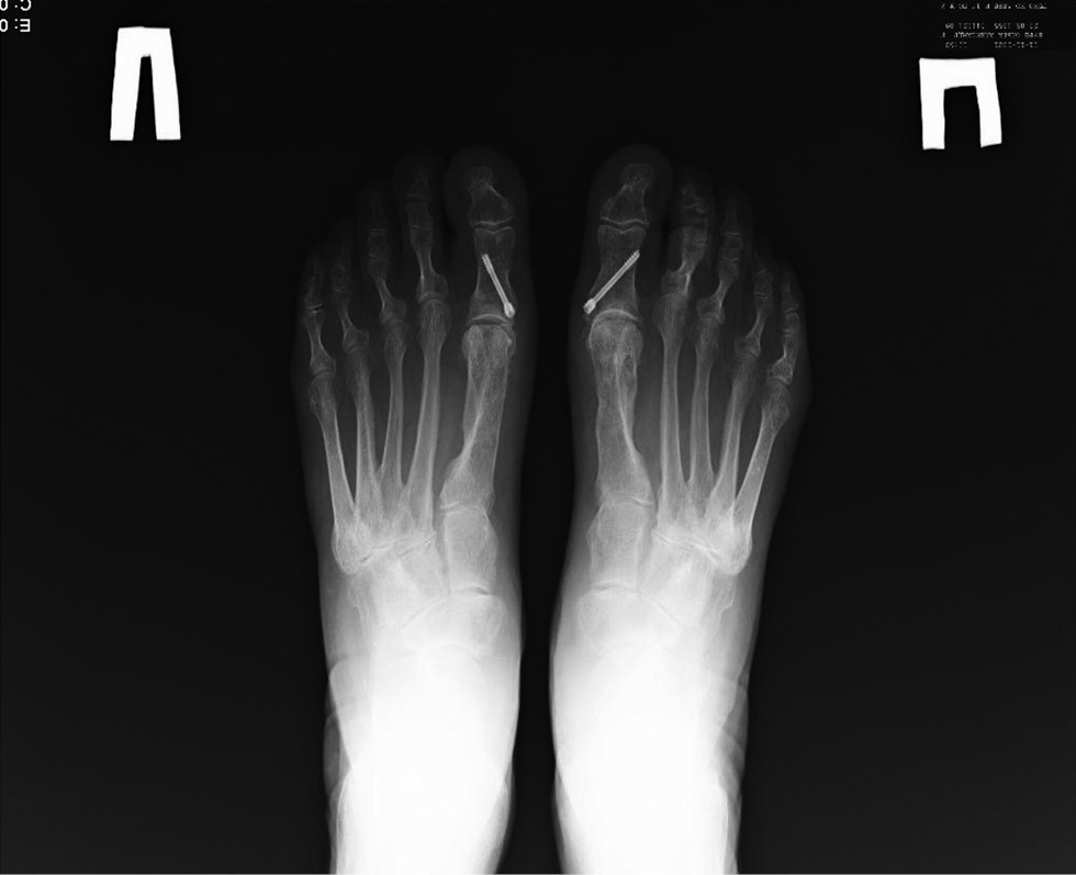
В 17 случаях (11,6%) в течение первого года потребовалось удаление винтов ввиду их миграции. На момент осмотра в 34 случаях (23,1%) было выполнено удаление металлофиксаторов. После проведённого контрольного осмотра 5 пациентам — 5 стоп (3,4%) — было запланировано хирургическое вмешательство для удаления металлофиксаторов (рис. 2).
Рис. 2. Рентгенограмма стоп через 5 лет после оперативного вмешательства. Удалённые металлофиксаторы первой плюсневой кости обеих стоп.
Fig. 2. Radiographs of feet 5 years after the surgical treatment. Screws removed from the 1st metatarsal bones of both feet.
ОБСУЖДЕНИЕ
Резюме основного результата исследования
Среднесрочные рентгенологические и клинические результаты проведённого лечения пациентов, которым была выполнена остеотомия Scarf, как изолированно, так и в совокупности с остеотомией Akin, показали высокую эффективность коррекции вальгусной деформации первого пальца стопы. Данные результаты сопровождались минимальным количеством осложнений и рецидивов.
Обсуждение основного результата исследования
Анализ рентгенологических и клинических результатов проведённого лечения свидетельствует об эффективности метода остеотомии Scarf — как изолированно, так и в сочетании с остеотомией Akin. Одной из задач этого исследования было рассмотреть наличие рецидива у пациентов после хирургического вмешательства. Рецидив вальгусной деформации первого пальца стопы является серьёзным осложнением проведённого хирургического вмешательства [13]. Частота рецидивов, согласно данным литературы, при использовании традиционной методики остеотомии Scarf составляет от 11 до 33% [14, 15]. Рецидив вальгусной деформации чаще всего наблюдается в сроки от 1,5 до 2,8 года.
В литературе не существует единого мнения о том, что считать рецидивом вальгусной деформации первого пальца. Имеются данные как о 15, так и о 20 градусах деформации в первом плюснефаланговом суставе [16, 17]. При этом также не имеется однозначного мнения, представляет ли безболевая форма рецидива вальгусной деформации патологию и является ли это абсолютным показанием к повторному оперативному вмешательству. Fuhrmann с соавт. для безболевой формы рецидива вальгусной деформации первого пальца стопы был предложен термин «revalgisation» («ревальгизация») [18]. В нашем исследовании за понятие «рецидив» был принят рентгенологический показатель HVA более 20 градусов. При анализе рентгенологических снимков, сделанных непосредственно перед консультативным приёмом, в 7 случаях (4,8%) определялись показатели HVА, соответствующие понятию «рецидив». При этом болевой синдром наблюдался у 6 пациентов (4%). Данные показатели соответствуют результатам, описанным в литературе [9, 19]. В единственном случае рецидив клинически не проявлялся и не вызывал у пациентов дискомфорта или болевых ощущений. Также имеются данные о том, что конгруэнтность суставных поверхностей, а не показатель вальгусной деформации первого пальца стопы является определяющим фактором в возникновении рецидива [14]. Ещё одной особенностью рентгенологической оценки вальгусной деформации первого пальца стопы является значимое межэкспертное расхождение результатов при рентгенологическом анализе [20]. Несмотря на имеющиеся публикации о высоких как предоперационных, так и постоперационных рисках, результаты нашего анализа свидетельствуют о высоком уровне коррекции при использовании методики остеотомии Scarf, как отдельно, так и в совокупности с остеотомией Akin [4].
Ещё одним осложнением после вальгусной деформации первого пальца стопы является ограничение подвижности в первом плюснефаланговом суставе [21]. В нашем исследовании снижение объёма движений наблюдалось при обследовании 68 стоп (46,2%). Также установлена высокая корреляция между возрастом и ограничением подвижности в первом плюснефаланговом суставе (p <0,001; rho=0,726). Однако в большинстве случаев пациенты не предъявляли жалоб на снижение объема движений и были удовлетворены проведённым хирургическим вмешательством. Это подтверждается 98,4% пациентов, которых устраивает функциональный результат проведённых оперативных вмешательств на момент контрольного осмотра. С увеличением количества выполняемых хирургических вмешательств на переднем отделе стопы вопрос тугоподвижности в первом плюснефаланговом суставе становится актуальным, и данному вопросу в последнее время в литературе уделяется большое внимание [22]. Примером альтернативы классической хирургической методики может послужить малоинвазивная хирургия. Считается, что малоинвазивная хирургия снижает частоту осложнений за счёт бережного отношения к мягким тканям и уменьшения образования рубцов в области оперативного вмешательства в послеоперационном периоде [23]. Однако данная методика имеет как положительные, так и отрицательные результаты и принимается не всеми хирургами [24, 25]. Также для предотвращения тугоподвижности в первом плюснефаланговом суставе немаловажной является послеоперационная реабилитация. Реабилитация после оперативных вмешательств на переднем отделе стопы включает широкий перечень мер, применение которых обеспечивает восстановление объёма движений, функции сустава и профилактику тугоподвижности [26]. Отдельно обсуждается использование обуви для разгрузки переднего отдела стопы. Это позволяет активизировать пациента в максимально ранние сроки и снижает риск переломов и смещения фрагментов [27]. Только 4 пациента, включённые в наше исследование, прошли реабилитационный курс в специализированном центре. При этом их функциональные результаты являются удовлетворительными. Однако данной группы недостаточно, чтобы можно было сделать статистически значимые выводы. В остальных случаях послеоперационный период проводился согласно нашим рекомендациям и под наблюдением врача-травматолога в травмпункте по месту жительства, где не всегда имеется возможность получать физиотерапевтическое лечение. Данное направление нуждается в широком внедрении в практику специалистов, занимающихся хирургией стопы, как один из главных помощников для достижения хороших послеоперационных результатов.
В послеоперационном периоде, согласно рентгенологической классификации остеоартроза мелких суставов стопы, в нашем исследовании отмечается прогрессирование рентгенологических признаков остеоартроза [28]. В предоперационном периоде в 4 случаях (2,7%), включённых в исследование, отмечался остеоартроз, соответствующий 1-й стадии активности процесса. В 61 случае (41,5%) наблюдались явления остеоартроза 2-й стадии. В 70 случаях (47,6%) отмечались рентгенологические признаки остеоартроза 3-й стадии. В 12 (8,2%) случаях наблюдались изменения в 1-м плюснефаланговом суставе, соответствующие 4-й стадии остеоартроза. В послеоперационном периоде отмечались следующие показатели: 1-я стадия — 2 случая (1,4%), 2-я стадия — 53 случая (36%), 3-я стадия — 81 случай (55,1%), 4-я стадия — 11 случаев (7,5%). При этом болезненность отмечалась в 22 случаях (14,9%) после оперативного вмешательства. У остальных пациентов с рентгенологическими признаками остеоартроза после оперативного вмешательства клинической симптоматики не наблюдалось. Прогрессирование остеоартроза первого плюснефалангового сустава отмечается не только после остеотомии Scarf. Имеются также публикации об остеоартрозе суставов стопы после других хирургических вмешательств для коррекции деформаций стопы [29].
Согласно проведённому анализу, в 23,1% случаев было выполнено удаление металлофиксаторов. В 17 (11,6%) случаях в течение первого года потребовалось удаление винтов ввиду их миграции. На момент осмотра в 34 случаях (23,1%) было выполнено удаление имплантатов. После проведённого контрольного осмотра 5 пациентам (3,4%) было запланировано хирургическое вмешательство для удаления имплантатов. Удаление имплантатов несёт в себе возможные периоперационные риски и дополнительные расходы. В литературе описана безвинтовая фиксация фигурной остеотомии плюсневой кости, которая, согласно исследованиям, показала хорошие результаты [30, 31]. Несмотря на хорошие результаты, данная методика пока не является широко распространённой. Основной причиной поиска альтернатив фиксации винтами, помимо возможных осложнений, также являются экономические аспекты [32].
В нашей выборке пациентов частота удаления металлофиксаторов выше, чем в литературе [33]. Во многих публикациях, освещающих результаты проведённого лечения, как среднесрочные, так и отдалённые, миграция металлоконструкций не упоминается как осложнение после хирургического вмешательства [13, 33]. В литературе описаны схожие результаты удаления винтов, однако они встречаются в долгосрочных наблюдениях [8]. Ввиду нарушения качества жизни пациентов результаты данного исследования рекомендуют плановое удаление металлофиксаторов у пациентов после хирургических вмешательств на стопе и голеностопном суставе [34]. Однако данная гипотеза требует дальнейшего изучения.
Ограничения исследования
Переднезадняя рентгенография не отображает истинную ротацию проксимальной фаланги первой плюсневой кости, что не позволяет достоверно определить показания для остеотомии Akin. Ввиду того, что единственным возможным способом измерить истинную ротацию основной фаланги первого пальца является компьютерная томография стоп с нагрузкой, одним из условий предоперационного планирования может являться пред-операционное проведение данного исследования. Компьютерная томография стоп с нагрузкой в будущем позволит сформулировать показания для остеотомии Akin на основании не только вальгусного отклонения первого пальца, но и ротационного компонента деформации.
ЗАКЛЮЧЕНИЕ
На основании проведённого анализа можно утверждать, что остеотомия Scarf, как изолированно, так и в совокупности с остеотомией Akin, является эффективным методом коррекции вальгусной деформации первого пальца стопы. Данная методика позволяет добиться физиологичного положения анатомической оси первого пальца стопы с удовлетворительными результатами в среднесрочном периоде.
ДОПОЛНИТЕЛЬНО
Вклад авторов. Все авторы подтверждают соответствие своего авторства международным критериям ICMJE (все авторы внесли существенный вклад в разработку концепции, проведение исследования и подготовку статьи, прочли и одобрили финальную версию перед публикацией). Наибольший вклад распределён следующим образом: А.В. Скребцов, В.К. Никитина, В.В. Скребцов, Д.С. Якушев — написание текста и редактирование статьи; В.Г. Процко, С.К. Тамоев — хирургическое лечение пациентов, написание текста и редактирование статьи.
Источник финансирования. Авторы заявляют об отсутствии внешнего финансирования при проведении исследования и подготовке публикации.
Конфликт интересов. Авторы декларируют отсутствие явных и потенциальных конфликтов интересов, связанных с проведённым исследованием и публикацией настоящей статьи.
ADDITIONAL INFO
Author contribution. All authors made a substantial contribution to the conception of the work, acquisition, analysis, interpretation of data for the work, drafting and revising the work, final approval of the version to be published and agree to be accountable for all aspects of the work. A.V. Skrebtsov, V.K. Nikitina, V.V. Skrebtsov, D.S. Yakushev — writing the text and editing the article; V.G. Protsko, S.K. Tamoev — surgical treatment of patients, writing the text and editing the article.
Funding source. This study was not supported by any external sources of funding.
Competing interests. The authors declare that they have no competing interests.
About the authors
Alexander V. Skrebtsov
Yudin City Clinical Hospital
Author for correspondence.
Email: Skrebtsovalex@mail.ru
ORCID iD: 0000-0002-1418-3368
SPIN-code: 3682-4569
Traumatologist-Orthopedist
Russian Federation, MoscowVictoria K. Nikitina
Yudin City Clinical Hospital
Email: vcnikitina@gmail.com
ORCID iD: 0000-0002-0064-3175
SPIN-code: 9868-0332
Traumatologist-Orthopedist
Russian Federation, MoscowVictor G. Protsko
Russian Peoples’ Friendship University; Yudin City Clinical Hospital
Email: 89035586679@mail.ru
ORCID iD: 0000-0002-5077-2186
SPIN-code: 4628-7919
MD, Dr. Sci. (Med.), Professor of the Department, Traumatologist-Orthopedist
Russian Federation, Moscow; MoscowSargon K. Tamoev
Yudin City Clinical Hospital
Email: sargonik@mail.ru
ORCID iD: 0000-0001-8748-0059
SPIN-code: 2986-1390
MD, Cand. Sci. (Med.); Traumatologist-Orthopedist
Russian Federation, MoscowVladimir V. Skrebtsov
Yudin City Clinical Hospital
Email: Skrebtsov@mail.ru
ORCID iD: 0000-0003-0833-6628
SPIN-code: 6002-7102
MD, Cand. Sci. (Med.)
Russian Federation, MoscowDenis S. Yakushev
Federal Scientific and Clinical Center of Specialized Types of Medical Care and Medical Technologies
Email: Orthoped.1@mail.ru
ORCID iD: 0000-0002-6268-9734
SPIN-code: 3242-0683
Traumatologist-Orthopedist
Russian Federation, MoscowReferences
- Nix S, Smith M, Vicenzino B. Prevalence of hallux valgus in the general population: A systematic review and meta-analysis. Journal of Foot and Ankle Research. 2010;3(1):21. doi: 10.1186/1757-1146-3-21
- Dufour AB, Casey VA, Golightly YM, Hannan MT. Characteristics associated with hallux valgus in a population-based foot study of older adults. Arthritis care & research. 2014;66(12):1880–1886. doi: 10.1002/ACR.22391
- Smyth NA, Aiyer AA. Introduction: Why Are There so Many Different Surgeries for Hallux Valgus? Foot and ankle clinics. 2018;23(2):171–182. doi: 10.1016/J.FCL.2018.01.001
- Coughlin MJ, Jones CP. Hallux valgus: demographics, etiology, and radiographic assessment. Foot & ankle international. 2007;28(7):759–777. doi: 10.3113/FAI.2007.0759
- Easley ME, Trnka HJ. Current concepts review: hallux valgus part 1: pathomechanics, clinical assessment, and nonoperative management. Foot & ankle international. 2007;28(5):654–659. doi: 10.3113/FAI.2007.0654
- Kaufmann G, Hofmann M, Ulmer H, Putzer D, Hofer P, Dammerer D. Outcomes after scarf osteotomy with and without Akin osteotomy a retrospective comparative study. Journal of orthopaedic surgery and research. 2019;14(1):193. doi: 10.1186/S13018-019-1241-7
- Kerr HL, Jackson R, Kothari P. Scarf-Akin osteotomy correction for hallux valgus: short-term results from a district general hospital. The Journal of foot and ankle surgery. 2010;49(1):16–19. doi: 10.1053/J.JFAS.2009.07.024
- Kilmartin TE, O’Kane C. Combined rotation scarf and Akin osteotomies for hallux valgus: a patient focussed 9 year follow up of 50 patients. Journal of foot and ankle research. 2010;(3):2. doi: 10.1186/1757-1146-3-2
- Okuda R, Kinoshita M, Yasuda T, Jotoku T, Shima H, Takamura M. Hallux valgus angle as a predictor of recurrence following proximal metatarsal osteotomy. Journal of orthopaedic science. 2011;16(6):760–764. doi: 10.1007/S00776-011-0136-1
- Park JY, Jung HG, Kim TH, Kang MS. Intraoperative incidence of hallux valgus interphalangeus following basilar first metatarsal osteotomy and distal soft tissue realignment. Foot & ankle international. 2011;32(11):1058–1062. doi: 10.3113/FAI.2011.1058
- Ahmad SS, Hoos L, Perka C, Stöckle U, Braun KF, Konrads C. Follow-up definitions in clinical orthopaedic research: a systematic review. Bone Jt Open. 2021;2(5):344–350. doi: 10.1302/2633-1462.25.BJO-2021-0007.R1
- Buckup K, Buckup J. Clinical Tests for the Musculoskeletal System. 3rd edition. Thieme; 2016.
- Faroug R, Bagshaw O, Conway L, Ballester JS. Increased recurrence in Scarf osteotomy for mild & moderate hallux valgus with Meary’s line disruption. Foot and ankle surgery. 2019;25(5):608–611. doi: 10.1016/J.FAS.2018.06.002
- Castioni D, Fanelli D, Gasparini G, Iannò B, Galasso O. Scarf osteotomy for the treatment of moderate to severe hallux valgus: Analysis of predictors for midterm outcomes and recurrence. Foot and ankle surgery. 2020;26(4):439–444. doi: 10.1016/J.FAS.2019.05.013
- Deveci A, Firat A, Yilmaz S, et al. Short-term clinical and radiologic results of the scarf osteotomy: what factors contribute to recurrence? The Journal of foot and ankle surgery. 2013;52(6):771–775. doi: 10.1053/J.JFAS.2013.04.003
- Jeuken RM, Schotanus MGM, Kort NP, Deenik A, Jong B, Hendrickx RPM. Long-term Follow-up of a Randomized Controlled Trial Comparing Scarf to Chevron Osteotomy in Hallux Valgus Correction. Foot & ankle international. 2016;37(7):687–695. doi: 10.1177/1071100716639574
- Bock P, Kluger R, Kristen KH, Mittlbock M, Schuh R, Trnka HJ. The Scarf Osteotomy with Minimally Invasive Lateral Release for Treatment of Hallux Valgus Deformity: Intermediate and Long-Term Results. The Journal of bone and joint surgery American volume. 2015;97(15):1238–1245. doi: 10.2106/JBJS.N.00971
- Fuhrmann RA, Zollinger-Kies H, Kundert HP. Mid-term results of Scarf osteotomy in hallux valgus. International orthopaedics. 2010;34(7):981–989. doi: 10.1007/S00264-010-0958-Z
- Adam SP, Choung SC, Gu Y, O’Malley MJ. Outcomes after scarf osteotomy for treatment of adult hallux valgus deformity. Clinical orthopaedics and related research. 2011;469(3):854–859. doi: 10.1007/S11999-010-1510-6
- Farber DC, DeOrio JK, Steel MW. Goniometric versus computerized angle measurement in assessing hallux valgus. Foot & ankle international. 2005;26(3):234–238. doi: 10.1177/107110070502600309
- Frigg A, Zaugg S, Maquieira G, Pellegrino A. Stiffness and Range of Motion After Minimally Invasive Chevron-Akin and Open Scarf-Akin Procedures. Foot & ankle international. 2019;40(5):515–525. doi: 10.1177/1071100718818577
- Arbab D, Wingenfeld C, Frank D, Bouillon B, König DP. Distal soft-tissue procedure in hallux valgus deformity. Operative Orthopadie und Traumatologie. 2016;28(2):128–137. doi: 10.1007/S00064-015-0406-8
- Altenberger S, Kriegelstein S, Gottschalk O, et al. The minimally invasive Chevron and Akin osteotomy (MICA). Operative Orthopadie und Traumatologie. 2018;30(3):148–160. doi: 10.1007/S00064-018-0541-0
- Neufeld SK, Dean D, Hussaini S. Outcomes and Surgical Strategies of Minimally Invasive Chevron/Akin Procedures. Foot & ankle international. 2021;42(6):676–688. doi: 10.1177/1071100720982967
- Hawson ST. Physical therapy post-hallux abducto valgus correction. Clinics in podiatric medicine and surgery. 2014;31(2):309–322. doi: 10.1016/J.CPM.2014.01.002
- Ling SKK, Wu YM, Li C, Lui TH, Yung PSH. Randomised control trial on the optimal duration of non-weight-bearing walking after hallux valgus surgery. Journal of orthopaedic translation. 2020;(23):61–66. doi: 10.1016/J.JOT.2020.04.009
- Menz HB, Munteanu SE, Landorf KB, Zammit GV, Cicuttini FM. Radiographic evaluation of foot osteoarthritis: sensitivity of radiographic variables and relationship to symptoms. Osteoarthritis and cartilage. 2009;17(3):298–303. doi: 10.1016/J.JOCA.2008.07.011
- Faour-Martín O, Martín-Ferrero MÁ, Valverde García JA, Vega-Castrillo A, de La Red-Gallego MÁ. Long-term results of the retrocapital metatarsal percutaneous osteotomy for hallux valgus. International Orthopaedics. 2013;37(9):1799–1803. doi: 10.1007/s00264-013-1934-1
- Liszka H, Gądek A. Results of Scarf Osteotomy Without Implant Fixation in the Treatment of Hallux Valgus. Foot Ankle Int. 2018;39(11):1320-1327. doi: 10.1177/1071100718786498
- Albert A, Zribi M, Christophe A, Leemrijse T. Fifth metatarsal scarf osteotomy without implant fixation. Orthop Traumatol Surg Res. 2021;107(6):102960. doi: 10.1016/j.otsr.2021.102960
- Molloy A, Heyes G. Cost-Effectiveness of Surgical Techniques in Hallux Valgus. Foot Ankle Clin. 2020;25(1):19–29. doi: 10.1016/j.fcl.2019.10.005
- Jäger M, Schmidt M, Wild A, et al. Z-osteotomy in hallux valgus: clinical and radiological outcome after Scarf osteotomy. Orthop Rev (Pavia). 2009;1(1):e4. doi: 10.4081/or.2009.e4
- Lipscombe S, Molloy A, Sirikonda S, Hennessy MS. Scarf osteotomy for the correction of hallux valgus: midterm clinical outcome. J Foot Ankle Surg. 2008;47(4):273–277. doi: 10.1053/j.jfas.2008.02.021
- Williams AA, Witten DM, Duester R, Chou LB. The benefits of implant removal from the foot and ankle. J Bone Joint Surg Am. 2012;94(14):1316–1320. doi: 10.2106/JBJS.J.01756
Supplementary files





