Advantage of the anterior approach in total hip arthroplasty (topographic-anatomical and computed tomography substantiation)
- Authors: Eremin I.K.1, Ogarev E.V.2, Daniliyants A.A.3, Zhandarov K.A.4, Zagorodniy N.V.2,5
-
Affiliations:
- LLC “Neuro-clinic”
- Priorov National Medical Research Center for Traumatology and Orthopedics
- Pirogov Russian National Research Medical University
- Sechenov First Moscow State Medical University
- Russian Peoples’ Friendship University
- Issue: Vol 30, No 3 (2023)
- Pages: 301-313
- Section: Original study articles
- Submitted: 17.05.2023
- Accepted: 21.06.2023
- Published: 03.11.2023
- URL: https://journals.eco-vector.com/0869-8678/article/view/430270
- DOI: https://doi.org/10.17816/vto430270
- ID: 430270
Cite item
Full Text
Abstract
BACKGROUND: Hip arthroplasty is effectively performed for the elderly population and young people who continue to work and have an active lifestyle. An increase in the number of operations is facilitated by an increase in the prevalence of osteoarthritis and physical inactivity, leading to an increase in BMI and, accordingly, the load on the joints of the lower extremities. The increased volume of hip arthroplasty, the expansion of indications, the decrease in the average age of patients undergoing the intervention, and the related increase in surgical needs point to the need to improve surgical treatment approaches. In the CIS countries, the direct anterior approach is rarely used; in our opinion, it is less traumatic.
OBJECTIVE: To conduct a topographic-anatomical and computed tomographic study to support the advantages of using a direct anterior approach when performing hip arthroplasty.
MATERIALS AND METHODS: The present study included two stages: First, (a) layer-by-layer anatomical preparation of the hip joint area on five sectional complexes to establish accurate anatomical and topographic relationships of the structures of the anterior thigh region and design accesses and (b) hip arthroplasty on 10 biomannequins using two approaches: five operations (direct anterior approach) and five operations (direct lateral approach), and second, evaluation of access to the hip joint in terms of criteria developed by A.Yu. Sazon-Yaroshevich to assess online access.
RESULTS: This study confirmed that the direct anterior approach is less traumatic; its use preserves soft tissues. However, the use of a direct anterior approach requires additional training of endoprosthetic surgeons. The authors recommend executing the first 10–20 endoprostheses on biomanikins to link the risk of problems and to solidify surgical skills at the beginning of the learning curve. The depth of the wound is 20–25% less with the direct anterior approach to the hip joint than with the Harding approach — 101 and 136 mm, respectively.
CONCLUSION: Because the approach to the joint is carried out along the intermuscular gap, no soft tissues, blood vessels, or nerves are damaged during the direct anterior approach. According to its characteristics, the direct anterior approach is optimal for performing hip arthroplasty. Maintaining muscles during the performance of the direct anterior approach allows you to begin early activation and rehabilitation of patients. The adoption of a direct anterior approach is related to improved hip joint functional results in the early postoperative period.
Full Text
ВВЕДЕНИЕ
В современном мире эндопротезирование тазобедренного сустава (ЭТС) не только выполняется пожилому населению, но и успешно проводится молодым людям, которые продолжают работать и вести активный образ жизни. Кроме того, частота выполняемых эндопротезирований неуклонно растёт: так, в США к 2030 году количество указанных операций увеличится на 71% и достигнет 635 000 процедур в год [1]. В Российской Федерации, согласно отчёту НМИЦ ТО им. Н.Н. Приорова, в 2018 году было выполнено 116 597 артропластик, из них на долю тазобедренного сустава пришлось 70 316 случаев [2]. А уже в 2019 году число артропластик увеличилось на 20% [3]. Росту числа операций способствуют повышение распространённости в популяции остеоартроза, изменение образа жизни, ведущее к увеличению индекса массы тела и, соответственно, нагрузки на суставы нижних конечностей. Кроме того, согласно ряду исследований и наблюдениям авторов статьи, увеличение числа пациентов с асептическим некрозом головки бедренной кости напрямую ассоциировано с распространением новой коронавирусной инфекции [4–6].
Увеличение объёма проводимых ЭТС, расширение показаний, снижение среднего возраста пациентов, которым выполняется артропластика тазобедренного сустава, и связанный с этим рост требований к операции (таких как ранняя выписка, более низкое использование анальгетиков, экономичность, раннее функциональное восстановление и более короткая иммобилизация) приводят к необходимости совершенствовать имеющиеся на данный момент способы хирургического лечения больных.
Как известно, при выполнении тотального эндопротезирования тазобедренного сустава наиболее часто используются прямой боковой (по Хардингу), передний боковой (по Уотсону–Джонсу) и задний доступы [7]. В Европе и США за последние 20 лет особую популярность приобрёл прямой передний доступ (ППД) [8]. Однако в странах СНГ ППД применяется достаточно редко, хотя, на наш взгляд, он является наименее травматичным, что согласуется с многочисленными исследованиями зарубежных авторов.
Каждый из указанных способов обладает рядом преимуществ и недостатков. Так, согласно данным литературы [7], применение заднего доступа связано с более высоким риском послеоперационного вывиха, поскольку во время операции повреждается задняя капсула сустава, тогда как использование прямого бокового доступа ассоциировано с повышенным риском повреждения верхнего ягодичного нерва, послеоперационной слабости отводящей группы мыщц и хромоты. Из-за длительного переднего отведения было высказано предположение о том, что переднебоковой доступ повреждает верхний ягодичный нерв. Использование ППД ассоциировано с риском повреждения латерального кожного нерва бедра.
Согласно ряду исследований, при применении ППД с кривой обучения выше 50 случаев риски послеоперационных осложнений как минимум сопоставимы с таковыми при использовании классических хирургических доступов [9]. При этом такие интраоперационные показатели, как длительность операции и кровопотеря, а также такие послеоперационные показатели, как ранняя реабилитация, длительность нахождения в стационаре, функция тазобедренного сустава, выраженность болевого синдрома, риск послеоперационного вывиха, во многих исследованиях были лучше при использовании ППД, чем при применении классических доступов, на фоне одинаковых показаний [10–13].
При этом основным осложнением при проведении ЭТС с выполнением ППД считается повреждение латерального кожного нерва бедра. Однако ряд хирургов говорят о том, что ввиду тяжёлой технической составляющей начальные этапы кривой обучения ассоциированы с высоким риском осложнений, что сказывается на отсутствии у хирургов интереса учиться выполнению ППД даже при наличии его доказанных преимуществ [14, 15].
Согласно опыту зарубежных коллег, преодоление начала кривой обучения под руководством наставника кратно снижает риски интра- и послеоперационных осложнений [16, 17].
Вышеизложенное побудило авторов статьи провести исследование, целью которого будут топографо-анатомическое обоснование преимуществ использования ППД, компьютерно-томографическая визуализация, отработка техники на кадаверном материале и предложение этого способа в качестве платформы для оттачивания хирургических навыков.
Цель исследования: провести топографо-анатомическое и компьютерно-томографическое обоснование преимуществ использования прямого переднего доступа при выполнении эндопротезирования тазобедренного сустава.
МАТЕРИАЛЫ И МЕТОДЫ
Дизайн исследования
На первом этапе проводилось доклиническое экспериментальное исследование на биологических объектах, на втором — когортное клиническое исследование.
Условия проведения
Первый этап исследования проведён на базе кадавер-центра г. Екатеринбурга, второй этап — на базе отделения лучевой диагностики Юсуповской больницы.
Критерии соответствия
Критерии включения для участия во втором этапе исследования: возраст (18–79 лет); пол (женский — с целью снижения вариабельности выборки); отсутствие предшествующих вмешательств на тазобедренном суставе.
Критерии исключения из участия во втором этапе исследования: предшествующее хирургическое лечение по поводу коксартроза; гнойная инфекция мягких тканей в области поражённого сустава; наличие рубцов в предполагаемой области оперативного вмешательства, затрагивающих костные компоненты поражённого сустава; острый тромбофлебит поверхностных вен; тромбоз глубоких вен нижних конечностей.
Методы оценки целевых показателей
Настоящее исследование включало два этапа. На первом, экспериментальном, этапе мы осуществляли:
- послойное анатомическое препарирование области тазобедренного сустава в кадавер-центре г. Екатеринбурга на 5 секционных комплексах тазобедренных суставов с целью установления точных анатомо-топографических связей структур передней области бедра и проектирования выполнения доступов (на этапе подготовки кадаверный материал проверялся на наличие инфекций (сифилис, гепатит В и С, ВИЧ), после чего выполнялось бальзамирование исследуемой области для сохранения прижизненной окраски и эластических свойств анатомических структур при моделировании оперативных вмешательств; непосредственно перед послойным анатомическим препарированием сосуды накачивались гуашь-желатином для сохранения их объёма и придания естественного цвета);
- ЭТС на 10 биоманекенах с применением двух доступов: при 5 операциях — прямого переднего и при 5 — прямого бокового. При этом во всех случаях операция проводилась на правом тазобедренном суставе с целью точного сравнения результатов эндопротезирования с точки зрения анатомической целостности мягких тканей.
На втором этапе исследования все оперативные доступы к тазобедренному суставу были проанализированы с точки зрения критериев, разработанных А.Ю. Сазон-Ярошевичем для оценки оперативных доступов (ось операционного действия, угол отклонения оси операционного действия, угол операционного действия, глубина раны). Для этого использовались данные мультиспиральной компьютерной томографии (МСКТ), выполненной 30 пациентам при заболеваниях тазобедренного сустава и таза. Чаще всего это были пациенты с деформирующим коксартрозом. МСКТ выполнялась на спиральном компьютерном томографе LightSpeed VCT. Исследование осуществлялось по стандартной программе для тазобедренного сустава с толщиной срезов 0,6 мм.
Этическая экспертиза
Все манипуляции, выполненные в исследовании с участием людей, соответствовали стандартам локального этического комитета, а также Хельсинкской декларации 1964 г. и более поздним поправкам к ней или сопоставимым этическим стандартам. Для исследования этого типа формального согласия локального этического комитета не требуется.
РЕЗУЛЬТАТЫ
Топографо-анатомическое обоснование прямого переднего доступа к тазобедренному суставу
Как известно, на передней поверхности тазобедренного сустава располагаются сосудисто-нервные образования, приходящие сюда из подбрюшинного этажа таза через мышечную и сосудистую лакуны. Через мышечную лакуну (исходя из её названия) на бедро опускается прежде всего подвздошно-поясничная мышца, которая прикрепляется к малому вертелу бедренной кости. А также через мышечную лакуну на бедро выходят бедренный нерв и латеральный кожный нерв бедра (рис. 1).
Рис. 1. Анатомия передней области бедра (здесь и в рис. 2–8: фото сделано при использовании кадаверного материала, предоставленного «Ekb_Cadaver_Lab» при АНО ДПО «Научно-образовательный медицинский центр», г. Екатеринбург): 1 — паховая связка (lig. inguinale), 2 — бедренная артерия (a. femoralis), 3 — бедренная вена (v. femoralis), 4 — подвздошно-поясничная мышца (m. iliopsoas), 5 — бедренный нерв (n. femoralis), 6 — портняжная мышца (m. sartorius), 7 — большая подкожная вена (v. saphena magna), 8 — прямая мышца бедра (m. rectus femoris).
Fig. 1. Anatomy of the anterior region of the thigh (here and in Fig. 2–8: the photo was taken using cadaver material provided by Ekb_Cadaver_Lab at the Scientific and Educational Medical Center, Yekaterinburg): 1 — inguinal ligament (lig. inguinale), 2 — femoral artery (a. femoralis), 3 — femoral vein (v. femoralis), 4 — iliopsoas muscle (m. iliopsoas), 5 — femoral nerve (n. femoralis), 6 — sartorius muscle (m. sartorius), 7 — great saphenous vein (v. saphena magna), 8 — rectus femoris (m. rectus femoris).
Латеральный кожный нерв бедра выходит на бедро через самый латеральный отдел мышечной лакуны и располагается субфасциально вдоль латерального края портняжной мышцы (портняжная мышца начинается от передней верхней подвздошной ости и находится поверхностно в собственном фасциальном футляре, образованном собственной (широкой) фасцией бедра). Ниже паховой связки на 2–3 см латеральный кожный нерв бедра у латерального края портняжной мышцы прободает собственную (широкую) фасцию и выходит в слой подкожной жировой клетчатки — идёт вниз по переднелатеральной поверхности бедра, осуществляя чувствительную иннервацию (рис. 2).
Рис. 2. Анатомия передней области бедра: 1 — паховая связка (lig. inguinale), 2 — латеральный кожный нерв бедра (lateral femoral cutaneous nerve), 3 — большая подкожная вена (v. saphena magna).
Fig. 2. Anatomy of the anterior thigh: 1 — inguinal ligament (lig. inguinale), 2 — lateral cutaneous nerve of the thigh (lateral femoral cutaneous nerve), 3 — great saphenous vein (v. saphena magna).
Бедренный нерв выходит на бедро через мышечную лакуну по передней поверхности подвздошно-поясничной мышцы и сразу распадается на свои конечные ветви: мышечные порции к передней группе мышц бедра (четырёхглавая и портняжная мышцы), передние кожные ветви к передней поверхности бедра (чувствительная иннервация) и подкожный нерв (направляется к бедренным сосудам и далее в приводящий канал) (рис. 3). Чтобы дойти до своих зон иннервации, ветви бедренного нерва прободают фасцию подвздошно-поясничной мышцы (глубокий листок собственной фасции бедра, переходящий в подвздошно-гребенчатую фасцию) — мышечные ветви достигают четырёхглавой и портняжной мышц прямым путём; передние кожные ветви прободают поверхностный листок собственной (широкой) фасции бедра и выходят в слой подкожной жировой клетчатки; подкожный нерв выходит на переднюю поверхность бедренной артерии и вены и опускается с ними по передней борозде бедра в приводящий канал.
Рис. 3. Сосудисто-нервный пучок передней области бедра: 1 — разветвление бедренного нерва, 2 — бедренная артерия (a. femoralis), 3 — бедренная вена (v. femoralis).
Fig. 3. The neurovascular bundle of the anterior region of the thigh: 1 — branching of the femoral nerve, 2 — femoral artery (a. femoralis), 3 — femoral vein (v. femoralis).
Бедренная артерия и вены выходят на бедро через сосудистую лакуну как продолжение наружных подвздошных сосудов, причём бедренная вена располагается медиальнее артерии. Бедренные сосуды располагаются сначала в подвздошно-гребенчатой борозде, затем идут вниз в передней борозде бедра в направлении приводящего канала, где к ним подходит подкожный нерв по передней поверхности. На расстоянии 3–4 см дистальнее паховой связки от бедренной артерии отходит глубокая артерия бедра, которая отдаёт свои ветви: медиальная артерия, огибающая бедренную кость; латеральная артерия, огибающая бедренную кость, прободающие артерии (рис. 4).
Рис. 4. Анатомия бедренной артерии: 1 — бедренная артерия (a. femoralis), 2 — глубокая артерия бедра (a. femoralis profunda), 3 — латеральная артерия, огибающая бедренную кость (a. circumflexa femoris lateralis).
Fig. 4. Anatomy of the femoral artery: 1 — femoral artery (a. femoralis), 2 — deep femoral artery (a. femoralis profunda), 3 — lateral artery that circumflexes the femur (a. circumflexa femoris lateralis).
Только латеральная артерия, огибающая бедренную кость, уходит латерально, проходя под прямой мышцей бедра, далее её восходящая ветвь проходит под прямой и портняжной мышцами и распространяется по переднелатеральной поверхности кверху в ягодичную область, где анастомозирует с верхней ягодичной артерией (рис. 5). Следует отметить, что латеральная артерия, огибающая бедренную кость, проходит позади ветвей бедренного нерва практически в поперечном направлении.
Рис. 5. Анатомия передней области бедра, глубокие слои: 1 — латеральная артерия, огибающая бедренную кость (a. circumflexa femoris lateralis), 2 — портняжная мышца (m. sartorius), 3 — прямая мышца бедра (m. rectus femoris).
Fig. 5. Anatomy of the anterior region of the thigh, deep layers: 1 — lateral artery that circumflexes the femur (a. circumflexa femoris lateralis), 2 — tailor muscle (m. sartorius), 3 — rectus femoris (m. rectus femoris).
Таким образом, бедренный треугольник (ограничен портняжной мышцей снаружи, паховой связкой сверху и длинной приводящей мышцей медиально) является сосредоточением значительного количества сосудисто-невральных структур, через которые не стоит планировать оперативный доступ к тазобедренному суставу. Наиболее удобно осуществлять оперативный доступ кнаружи от портняжной мышцы и прямой мышцы бедра, которые как бы отграничивают зону оперативного вмешательства от ветвей бедренного нерва и ветвей глубокой артерии бедра.
Техника выполнения прямого переднего доступа с кожным разрезом «бикини»
Поперечный разрез кожи производится по передней поверхности бедра дистальнее передней верхней подвздошной ости на 3 см и латеральнее также на 3 см (что соответствует центру оси вращения головки бедренной кости), всего длина разреза составляет 9 см, из них 1/3 разреза находится медиальнее портняжной мышцы бедра и 2/3 — латеральнее этой мышцы. Собственная фасция бедра рассекается продольно по латеральному краю портняжной мышцы. Далее тупо раздвигается межмышечный промежуток между напрягателем широкой фасции и средней ягодичной мышцей латерально и портняжной мышцей и прямой мышцей бедра медиально — таким образом осуществляется выход на переднюю поверхность тазобедренного сустава. В вышеописанном межмышечном промежутке встречается только латеральная артерия бедра, огибающая бедренную кость, которую следует коагулировать. Поскольку при тотальном эндопротезировании тазобедренного сустава головка и шейка бедренной кости удаляются, коагуляция восходящей ветви латеральной артерии, огибающей бедренную кость, не имеет никаких последствий. Далее относительно капсулы тазобедренного сустава устанавливаются защитники и осуществляется оперативное вмешательство на самом суставе: рассечение капсулы, остеотомия шейки бедренной кости, удаление головки бедренной кости, обработка вертлужной впадины и проксимального конца бедренной кости, установка эндопротеза, ушивание раны. По мнению авторов, наиболее сложной частью операции является элевация бедренной кости.
Стратегию подъёма можно разделить на две отдельные части: манёвр элевации бедра и релиз капсулы. Вопрос в том, какой будет наиболее оптимальная последовательность для безопасного обнажения бедренной кости. Мягкие ткани являются важными ограничениями для мобилизации бедренной кости. В случае если проксимальный отдел бедренной кости не может быть аккуратно извлечён из таза, существует повышенный риск переломов, поскольку либо применяются силовые манипуляции, либо вертел может остаться за краем вертлужной впадины. В результате могут возникнуть проксимальные или спиральные переломы. Кроме того, доступ к бедренной кости может быть неадекватным и приводить к повышенному риску неправильного расположения компонента или перфорации бедренной кости. Поэтому мы считаем более логичным нивелировать ограничения в виде мягких тканей перед подъёмным манёвром. Кроме того, элевация бедренной кости подразумевает не только переднее, но и латеральное смещение кончика большого вертела за пределы заднего края вертлужной впадины. Поэтому мы предлагаем следующую последовательность: сначала хирург проводит ступенчатое освобождение мягких тканей с последующим плавным смещением бедренной кости в латеральном и кпереди направлении. Это сведёт к минимуму силы, действующие на бедренную кость, и позволит перевести бедренную кость в правильное положение без лишнего давления на ткани. Таким образом, минимизируется риск силовых манёвров и последующих переломов.
Капсулэктомия (авторы советуют данный способ на начальном уровне кривой обучаемости в целях улучшения визуализации ацетабулярной впадины) или капсулотомия выполняется для визуализации шейки бедра. Авторы предпочитают выполнять капсулотомию с последующим сохранением и восстановлением капсулы.
Выделение капсулы осуществляется с помощью 3–4 ретракторов с целью максимально визуализировать переднюю капсулу. Во время процедуры ретракторы должны оставаться в стабильном положении, чтобы свести к минимуму повреждение мягких тканей. Высвобождение капсулы начинается с передней капсулотомии и формирования L-образного лоскута: капсула рассекается от головки бедренной кости до большого вертела, далее от большого вертела разрез продолжается по передней поверхности шейки до малого вертела. При этом необходимо следить за тем, чтобы капсула под подвздошно-поясничной мышцей оставалась неповреждённой. Слой капсулы является своего рода защитой от инструментов во время препарирования кости. После этого выполняется остеотомия шейки бедренной кости и извлечение головки вкручиваемым штопором, далее осуществляют нижнюю и верхнюю капсулотомии. Для нижней капсулотомии (или освобождения лобково-бедренной связки) ипсилатеральную ногу кладут поверх контрлатеральной ноги, чтобы обеспечить небольшую внешнюю ротацию. В результате в поле зрения хирурга попадают малый вертел и лобково-бедренная связка. Для верхней капсулотомии ногу оставляют в нейтральном положении, а костный крючок надевают на Calcar, чтобы вытянуть бедренную кость в боковом и переднем направлении. Это позволяет хирургу чётко чувствовать, что освобождение завершено. Когда бедренная кость правильно освобождена, кончик большого вертела может быть поднят за край вертлужной впадины без гиперэкстензии. Отличительной интраоперационной находкой является капсульный «перевёрнутый знак». Задне-верхняя капсула переворачивается через кончик большого вертела, когда бедренную кость тянут в латеральном и переднем направлении. Это явное указание на достаточный капсульный релиз.
Таким образом, данное исследование подтвердило, что ППД действительно является малотравматичным, его использование максимально сохраняет мягкие ткани. Однако применение ППД требует дополнительной подготовки хирургов-эндопротезистов. С целью снижения рисков возникновения интра- и послеоперационных осложнений, а также для закрепления хирургических навыков в начале кривой обучения при осуществлении ППД авторы советуют выполнить первые 10–20 эндопротезирований на биоманекенах.
Топография ягодичной области
Топография ягодичной области достаточно сложна, мышцы располагаются в 3 слоя: первый слой — большая ягодичная мышца (рис. 6), второй слой — сверху вниз идут средняя ягодичная мышца, грушевидная мышца, верхняя близнецовая мышца, внутренняя запирательная мышца, нижняя близнецовая мышца и квадратная мышца бедра (рис. 7), третий слой — малая ягодичная мышца и наружная запирательная мышца (рис. 8). Через над- и подгрушевидные отверстия ягодичная область связана с подбрюшинным этажом таза. Через надгрушевидное отверстие в ягодичную область выходит верхний ягодичный сосудисто-нервный пучок, который далее распространяется в межмышечном промежутке между средней ягодичной мышцей и малой ягодичной мышцей сзади наперёд, проходя перпендикулярно ходу волокон этих мышц примерно на середине между местом их начала от тазовой кости и местом их прикрепления к бедренной кости (верхний ягодичный нерв иннервирует среднюю и малую ягодичные мышцы, напрягатель широкой фасции бедра). Через подгрушевидное отверстие в ягодичную область выходят седалищный нерв, задний кожный нерв бедра, нижний ягодичный сосудисто-нервный пучок, половой сосудисто-нервный пучок. Подгрушевидное отверстие проецируется на 4 см медиальнее и на 3 см выше задней поверхности тазобедренного сустава, и практически все вышеперечисленные сосудисто-нервные образования далее проходят позади тазобедренного сустава, отделяясь от него лишь слоем внутренней запирательной мышцы с близнецовыми мышцами и квадратной мышцей бедра.
Рис. 6. Анатомия ягодичной области: 1 — большая ягодичная мышца (m. gluteus maximus), 2 — подвздошно-большеберцовый тракт (tractus ilio-tibialis).
Fig. 6. Anatomy of the gluteal region: 1 — gluteus maximus (m. gluteus maximus), 2 — ilio-tibial tract (tractus ilio-tibialis).
Рис. 7. Анатомия ягодичной области: 1 — средняя ягодичная мышца (m. gluteus medius), 2 — грушевидная мышца (m. piriformis), 3 — седалищный нерв (n. ischiadicus), 4 — мышечный пласт, состоящий из верхней близнецовой, внутренней запирательной и нижней близнецовой мышц (mm. gemmeli sup. et inf., m. obturatorius internus), 5 — квадратная мышца (m. quadratus), 6 — большой вертел (trochanter major).
Fig. 7. Anatomy of the gluteal region: 1 — gluteus medius (m. gluteus medius), 2 — piriformis (m. piriformis), 3 — sciatic nerve (n. ischiadicus), 4 — muscle layer, consisting of the upper twin, internal obturator and lower twin muscles (mm. gemmeli sup. et inf., m. obturatorius internus), 5 — square muscle (m. quadratus), 6 — large trochanter (trochanter major).
Рис. 8. Анатомия ягодичной области: 1 — малая ягодичная мышца (m. gluteus minimus), 2 — капсула тазобедренного сустава.
Fig. 8. Anatomy of the gluteal region: 1 — small gluteal muscle (m. gluteus minimus), 2 — capsule of the hip joint.
При заднем доступе (по сути, задне-боковом) производится рассечение большой ягодичной мышцы по ходу её волокон, отсечение комплекса наружных ротаторов бедра единым лоскутом с капсулой тазобедренного сустава (верхняя близнецовая мышца, внутренняя запирательная мышца, нижняя близнецовая мышца, квадратная мышца бедра). Это позволяет избежать повреждения седалищного нерва (нерв отделён от капсулы сустава вторым слоем мышц ягодичной области), однако при этом увеличиваются сроки заживления раны и отодвигаются сроки начала реабилитации.
Боковой доступ по Хардингу подразумевает рассечение средней и малой ягодичных мышц по ходу их волокон по верхнелатеральной поверхности тазобедренного сустава с отсечением передней порции этих мышц от большого вертела бедренной кости, что, на наш взгляд, также будет увеличивать сроки активизации и реабилитации пациентов после тотального эндопротезирования тазобедренного сустава.
При тотальном эндопротезировании тазобедренного сустава дном операционной раны является вертлужная впадина. Вертлужная впадина отклонена книзу и кпереди, что также следует учитывать при выборе оперативного доступа к тазобедренному суставу. Пространственная ориентация вертлужной впадины характеризуется углом вертикального наклона впадины (угол её отклонения книзу относительно фронтальной плоскости) и углом фронтальной инклинации или антеверсии (угол её отклонения кпереди относительно сагиттальной плоскости). У взрослого человека истинный угол вертикального наклона вертлужной впадины составляет 50–52°, угол фронтальной инклинации — 18–25°. Если мы проведём перпендикуляр от плоскости входа в вертлужную впадину на мультипланарных и трёхмерных реконструкциях изображений на рабочей станции МСКТ, ось этого перпендикуляра будет проецироваться на верхние отделы шейки бедра кпереди от большого вертела. Таким образом, при прямом переднем доступе к тазобедренному суставу, когда подход осуществляется по межмышечному промежутку между напрягателем широкой фасции бедра и средней ягодичной мышцей латерально и портняжной мышцей и прямой мышцей бедра медиально в вертикальном направлении, мы получаем наилучший обзор вертлужной впадины. Это облегчает как обработку самой вертлужной впадины, так и правильную установку чашки эндопротеза во впадине. Кроме того, из переднего доступа удобнее проводить и остеотомию шейки бедра в необходимой плоскости, поскольку ось операционного действия при таком доступе будет оптимальной, а угол наклонения оси операционного действия приближается к 90°.
При выполнении заднего оперативного доступа к тазобедренному суставу угол наклонения оси операционного действия не будет превышать 60°, поскольку при таком доступе хирург выходит на задние отделы тазобедренного сустава, а сама вертлужная впадина развёрнута кпереди на 18–25°.
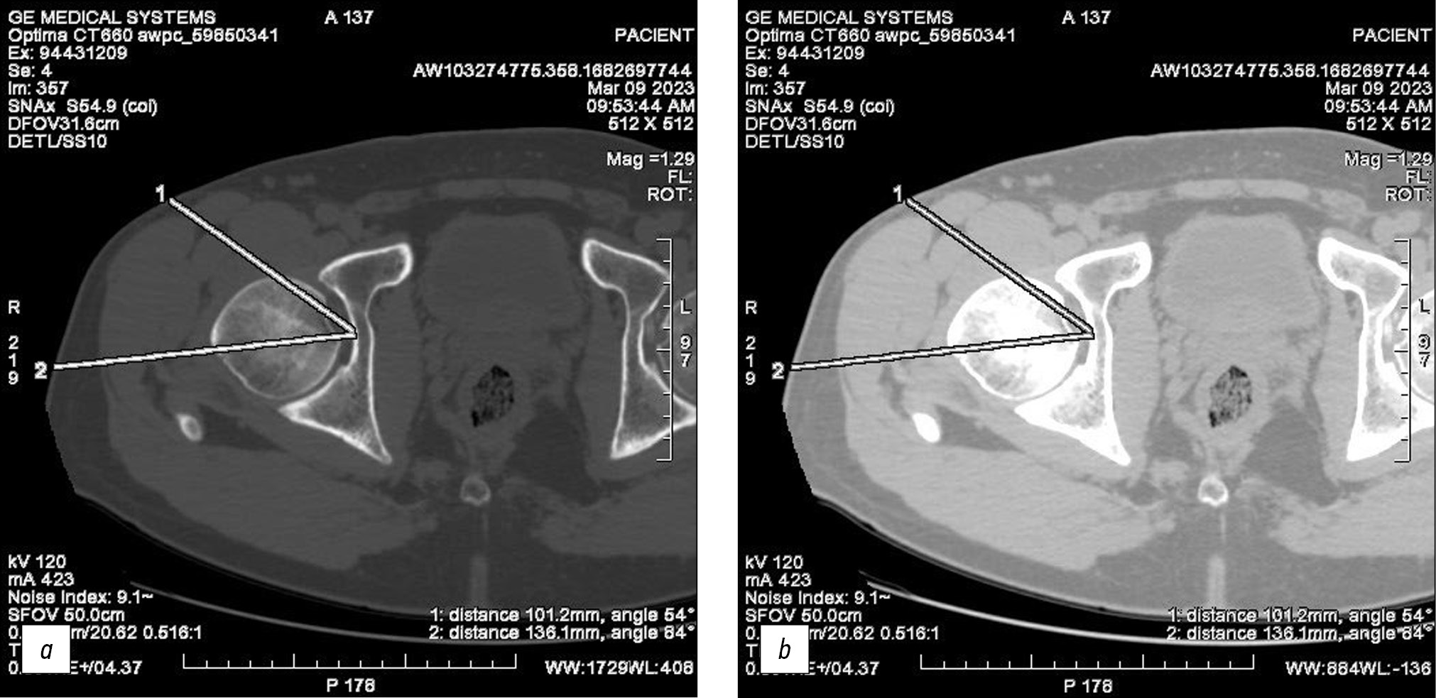
При переднем доступе к тазобедренному суставу глубина раны на 20–25% меньше, чем при доступе по Хардингу — 101 и 136 мм соответственно (рис. 9).
Рис. 9. Снимки мультиспиральной компьютерной томографии, аксиальные срезы: a — костный режим, b — мягкотканный режим, 1 — измерение глубины раны при переднем доступе, 2 — измерение глубины раны при доступе по Хардингу.
Fig. 9. Images of multislice computed tomography, axial sections: a — bone mode, b — soft tissue mode, 1 — measurement of the wound depth in the anterior approach, 2 — measurement of the wound depth in the Harding approach.
ОБСУЖДЕНИЕ
ЭТС является единственным способом лечения при таких заболеваниях, как поздние стадии коксартроза, асептический некроз головки бедренной кости, диспластический коксартроз и др. По мере распространения эндопротезирования снижается средний возраст оперируемых пациентов, что неминуемо приводит к росту требований и ожиданий со стороны больных; так, более важными становятся увеличение срока службы эндопротеза и результатов функционального состояния тазобедренного сустава, восстановление походки и в целом максимально быстрое возвращение к активному образу жизни. Безусловно, классические доступы, используемые при ЭТС, показывают отличные результаты в течение большого количества времени. Кроме того, традиционные подходы в эндопротезировании имеют больший объём показаний, и поэтому трудно представить, что наравне с ними может применяться какой-либо другой доступ. Ввиду отсутствия крупных исследований считается, что риски и осложнения после применения малоинвазивных доступов изучены не до конца [18].
Возможно, небольшое нарушение походки и осанки не всегда имеет значение для лиц пожилого возраста, но указанные показатели могут стать клинически важными для молодых и активных пациентов, ведущих подвижный образ жизни на протяжении многих лет. Несмотря на успех эндопротезирования с точки зрения облегчения боли и улучшения физической функции, у некоторых пациентов нормальная походка не достигается и через 1 год и более после операции.
В последние десятилетия в странах Европы и США особой популярностью стал пользоваться ППД [19, 20]. Так, согласно ежегодному голландскому отчёту, распространение ППД в Нидерландах в 2010 году составляло 5% от общего числа применяемых доступов, а уже в 2020 году значение данного показателя выросло до 49% [21]. Сторонники этого метода проводят исследования, в которых подтверждаются тезисы о том, что в первые 3–6 месяцев применение ППД характеризуется ускоренной послеоперационной реабилитацией, сопровождается меньшей выраженностью болевого синдрома, приводит к улучшению показателей шкал HHS, WOMAC, теста «Встань и иди» [22–24]. Данные факты напрямую связаны с тем, что ППД является наименее травматичным методом.
Однако литературные данные свидетельствуют о крутой кривой обучения и связанном с ней высоким риском осложнений на начальном этапе кривой. Согласно ряду исследований, первые 20 случаев ЭТС с применением ППД должны быть выполнены под руководством опытного хирурга [25]. При опыте от 50 до 100 случаев хирург считается учащимся. А при выполнении более 100 случаев ЭТС с применением ППД риск возникновения осложнений сопоставим с любым хирургическим доступом. Согласно исследованию китайских коллег Z. Xu с соавт., опыт хирурга, составляющий свыше 2000 случаев, значительно расширит возможности применения ППД и позволит использовать его при оперативном лечении дисплазии 3–4-й степени по классификации Crowe, при ревизионных случаях и в целом увеличит список показаний [26, 27]. Также указанные авторы в другом исследовании успешно проводили подвертельную остеотомию с применением ППД и получили отличные результаты [28].
С учётом того, что среди хирургов-эндопротезистов стран СНГ применение ППД практически не распространено, в том числе ввиду крутой кривой обучения, авторы данной статьи после практической оценки преимуществ использования ППД находят целесообразным популяризацию указанного доступа и проведение данного исследования, целью которого являются анатомо-топографическое обоснование малотравматичности указанного метода, поиск приемлемого способа оттачивания хирургических навыков и, таким образом, снижение риска осложнений.
В научном сообществе до сих пор нет единого мнения касательно научной обоснованности преимуществ использования ППД. Существуют противоречивые сведения о том, действительно ли ППД является щадящим в отношении мягких тканей и ассоциирован с низким риском послеоперационного вывиха [29–32]. Согласно последним исследованиям, пациенты, которым ЭТС выполнялось с применением ППД, меньше нуждаются в опиоидной анальгезии по сравнению с лицами, которым ЭТС выполнялось с использованием других доступов. Функциональное состояние тазобедренного сустава после ЭТС с применением ППД лучше в раннем послеоперационном периоде (0–6 мес), однако через 6–12 месяцев результаты становятся сопоставимыми с таковыми при использовании других доступов [33]. Авторы данного исследования считают, что молодому пациенту важно вернуться к активному образу жизни как можно быстрее, поэтому достижение достаточного опыта применения ППД впоследствии позволит расширить хирургические возможности врача и подобрать оптимальный доступ индивидуально каждому пациенту соответственно показаниям. Тем не менее сторонники утверждают, что ППД связан с улучшением ранних функциональных результатов, но это никогда не было научно обосновано. В результате в настоящее время ведётся много споров о том, является ли передний доступ безопасным, воспроизводимым и повышает ли он эффективность хирургического лечения. Так, в исследовании с использованием МРТ-визуализации тканей после проведённых эндопротезирований пришли к выводу, что ППД связан с меньшей травматизацией мягких тканей по сравнению с прямым боковым и задним доступами [34].
Таким образом, несмотря на имеющуюся на данный момент информацию о ППД, большинство вопросов остаются неосвещёнными.
ЗАКЛЮЧЕНИЕ
Выполнив данное исследование, авторы пришли к следующим выводам:
- прямой передний доступ является наименее травматичным, поскольку подход к тазобедренному суставу осуществляется строго по анатомическому межмышечному промежутку, что позволяет избежать повреждения мягких тканей, сосудов и нервов;
- по своим характеристикам (ось операционного действия, угол наклонения оси операционного действия, угол операционного действия) передний доступ является наиболее оптимальным для выполнения хирургических манипуляций при тотальном эндопротезировании тазобедренного сустава;
- сохранение целостности всех мышц при выполнении переднего доступа к тазобедренному суставу позволяет начать раннюю активизацию и реабилитацию пациентов после его тотального эндопротезирования;
- применение прямого переднего доступа ассоци-ировано с улучшением функциональных результатов тазобедренного сустава в раннем послеоперационном периоде.
ДОПОЛНИТЕЛЬНО
Вклад авторов. Все авторы подтверждают соответствие своего авторства международным критериям ICMJE (все авторы внесли существенный вклад в разработку концепции, проведение исследования и подготовку статьи, прочли и одобрили финальную версию перед публикацией).
Источник финансирования. Авторы заявляют об отсутствии внешнего финансирования при проведении исследования и подготовке публикации.
Конфликт интересов. Авторы декларируют отсутствие явных и потенциальных конфликтов интересов, связанных с проведённым исследованием и публикацией настоящей статьи.
Информированное согласие на публикацию. Авторы получили письменное согласие пациентов на публикацию их медицинских данных и фотографий (дата подписания: 01.05.2023).
ADDITIONAL INFO
Author contribution. All authors made a substantial contribution to the conception of the work, acquisition, analysis, interpretation of data for the work, drafting and revising the work, final approval of the version to be published and agree to be accountable for all aspects of the work.
Funding source. This study was not supported by any external sources of funding.
Competing interests. The authors declare that they have no competing interests.
Consent for publication. On May 1, 2023, the patients gave their written consents for publication of their medical data and images.
About the authors
Ivan K. Eremin
LLC “Neuro-clinic”
Email: eremindoctor@yandex.ru
ORCID iD: 0000-0002-0992-0706
SPIN-code: 9019-4184
Orthopedic Traumatologist
Russian Federation, MoscowEgor V. Ogarev
Priorov National Medical Research Center for Traumatology and Orthopedics
Email: evogarev@yandex.ru
ORCID iD: 0000-0003-0621-1047
MD, Cand. Sci. (Med.), Radiologist, Senior Researcher
Russian Federation, MoscowArmen A. Daniliyants
Pirogov Russian National Research Medical University
Author for correspondence.
Email: armendts@mail.ru
ORCID iD: 0000-0001-6692-0975
Student
Russian Federation, MoscowKirill A. Zhandarov
Sechenov First Moscow State Medical University
Email: zhandarov_k_a@staff.sechenov.ru
ORCID iD: 0000-0002-2908-6990
MD, Cand. Sci. (Med.), Assistant Professor
Russian Federation, MoscowNikolay V. Zagorodniy
Priorov National Medical Research Center for Traumatology and Orthopedics; Russian Peoples’ Friendship University
Email: zagorodniy51@mail.ru
ORCID iD: 0000-0002-6736-9772
SPIN-code: 6889-8166
MD, Dr. Sci. (Med.), Professor, Corresponding Member of RAS, Traumatologist-Orthopedist
Russian Federation, Moscow; MoscowReferences
- Sloan M, Premkumar A, Sheth NP. Projected volume of primary total joint arthroplasty in the U.S., 2014 to 2030. J Bone Joint Surg Am. 2018;100(17):1455–1460. doi: 10.2106/jbjs.17.01617
- Injuries, orthopedic morbidity, the state of trauma and orthopedic care for the population of Russia in 2018: an annual statistical collection. Moscow: CITO; 2019. Available from: http://kbf.cito-priorov.ru/#s/9NnN-gIg (In Russ).
- Injuries, orthopedic morbidity, the state of trauma and orthopedic care for the population of Russia in 2019: an annual statistical collection. Moscow: CITO; 2020. Available from: https://www.cito-priorov.ru/science/ezhegodnyy-statisticheskiy-sbornik-travmatizm-ortopedicheskaya-zabolevaemost-organizatsiya-travmatol/2019/ (In Russ).
- Allen KD, Thoma LM, Golightly YM. Epidemiology of osteoarthritis. Osteoarthritis Cartilage. 2022;30(2):184–195. doi: 10.1016/j.joca.2021.04.020
- Agarwala SR, Vijayvargiya M, Pandey P. Avascular necrosis as a part of ‘long COVID-19’. BMJ Case Rep. 2021;14(7):e242101. doi: 10.1136/bcr-2021-242101
- Zhang S, Wang C, Shi L, et al. Beware of steroid-induced avascular necrosis of the femoral head in the treatment of COVID-19-experience and lessons from the SARS Epidemic. Drug Des Devel Ther. 2021;(15):983–995. doi: 10.2147/dddt.s298691
- Docter S, Philpott HT, Godkin L, et al. Comparison of intra and post-operative complication rates among surgical approaches in Total Hip Arthroplasty: A systematic review and meta-analysis. J Orthop. 2020;(20):310–325. doi: 10.1016/j.jor.2020.05.008
- Realyvasquez J, Singh V, Shah AK, et al. The direct anterior approach to the hip: a useful tool in experienced hands or just another approach? Arthroplasty. 2022;4(1):1. doi: 10.1186%2Fs42836-021-00104-5
- Gulbrandsen TR, Muffly SA, Shamrock A, et al. Total hip arthroplasty: direct anterior approach versus posterior approach in the first year of practice. Iowa Orthop J. 2022;42(1):127–136.
- Van der Sijp MPL, van Delft D, Krijnen P, et al. Surgical approaches and hemiarthroplasty outcomes for femoral neck fractures: A meta-analysis. J Arthroplasty. 2018;33(5):1617–1627. doi: 10.1016/j.arth.2017.12.029
- Wang Z, Hou J-Z, Wu C-H, et al. A systematic review and meta-analysis of direct anterior approach versus posterior approach in total hip arthroplasty. J Orthop Surg Res. 2018;13(1):229. doi: 10.1186/s13018-018-0929-4
- Zhou Z, Li Y, Peng Y, et al. Clinical efficacy of direct anterior approach vs. other surgical approaches for total hip arthroplasty: A systematic review and meta-analysis based on RCTs. Front Surg. 2022;(9):1022937. doi: 10.3389/fsurg.2022.1022937
- Kucukdurmaz F, Sukeik M, Parvizi J. A meta-analysis comparing the direct anterior with other approaches in primary total hip arthroplasty. Surgeon. 2019;17(5):291–299. doi: 10.1016/j.surge.2018.09.001
- Stone AH, Sibia US, Atkinson R, et al. Evaluation of the learning curve when transitioning from posterolateral to Direct Anterior Hip Arthroplasty: a consecutive series of 1000 cases. J Arthroplasty. 2018;33(8):2530–2534. doi: 10.1016/j.arth.2018.02.086
- Ponzio DY, Poultsides LA, Salvatore A, et al. In-hospital morbidity and postoperative revisions after direct anterior vs posterior Total hip Arthroplasty. J Arthroplast. 2018;(33):1421–1425.e1. doi: 10.1016/j.arth.2017.11.053
- Garbarino L, Gold P, Sodhi N, et al. Does structured postgraduate training affect the learning curve in direct anterior total hip arthroplasty? A single surgeon’s first 200 cases. Arthroplast Today. 2021;(7):98–104. doi: 10.1016/j.artd.2020.11.019
- De Steiger RN, Lorimer M, Solomon M. What is the learning curve for the anterior approach for total hip arthroplasty? Clin Orthop Relat Res. 2015;473(12):3860–6. doi: 10.1007/s11999-015-4565-6
- Petis S, Howard JL, Lanting BL, et al. Surgical approach in primary total hip arthroplasty: anatomy, technique and clinical outcomes. Can J Surg. 2015;58(2):128–39. doi: 10.1503/cjs.007214
- Galakatos GR. Direct anterior total hip arthroplasty. Mo Med. 2018;115(6):537–541.
- Post ZD, Orozco F, Diaz-Ledezma C, et al. Direct anterior approach for total hip arthroplasty: indications, technique, and results. J Am Acad Orthop Surg. 2014;22(9):595–603. doi: 10.5435/jaaos-22-09-595
- LROI report. Annual report Dutch Arthroplasty Register; 2021.
- Khan IA, Magnuson JA, Arshi A, et al. Direct anterior approach in hip hemiarthroplasty for femoral neck fractures: do short-term outcomes differ with approach?: a systematic review and meta-analysis. JBJS Rev. 2022;10(9). doi: 10.2106/jbjs.rvw.21.00202
- Gazendam A, Bozzo A, Ekhtiari S, et al. Short-term outcomes vary by surgical approach in total hip arthroplasty: a network meta-analysis. Arch Orthop Trauma Surg. 2022;142(10):2893–2902. doi: 10.1007/s00402-021-04131-4
- Martusiewicz A, Delagrammaticas D, Harold RE, et al. Anterior versus posterior approach total hip arthroplasty: patient-reported and functional outcomes in the early postoperative period. Hip Int. 2020;(30):695–702. doi: 10.1177/1120700019881413
- Gofton WT, Ibrahim MM, Kreviazuk CJ, et al. Ten-Year experience with the anterior approach to total hip arthroplasty at a Tertiary Care Center. J Arthroplasty. 2020;35(5):1281–1289.e1. doi: 10.1016/j.arth.2019.12.025
- Xu Z, Zhang J, Li J, et al. Direct anterior approach in total hip arthroplasty: more indications and advantages than we found. Arthroplasty. 2022;4(1):29. doi: 10.1186/s42836-022-00130-x
- Liu Z, Bell CD, Ong AC, et al. Direct anterior approach total hip arthroplasty for Crowe III and IV dysplasia. Arthroplast Today. 2020;6(2):251–256. doi: 10.1016/j.artd.2020.02.008
- Liu ZY, Li ZQ, Wu ST, et al. Subtrochanteric osteotomy in direct anterior approach total hip arthroplasty. Orthop Surg. 2020;12(6):2041–2047. doi: 10.1111/os.12744
- Huerfano E, Bautista M, Huerfano M, et al. Use of surgical approach is not associated with instability after primary total hip arthroplasty: a meta-analysis comparing direct anterior and posterolateral approaches. J Am Acad Orthop Surg. 2021;29(22):e1126–e1140. doi: 10.5435/jaaos-d-20-00861
- Zijlstra WP, De Hartog B, Van Steenbergen LN, et al. Effect of femoral head size and surgical approach on risk of revision for dislocation after total hip arthroplasty. Acta Orthop. 2017;88(4):395–401. doi: 10.1080/17453674.2017.1317515
- Rykov K, Meys TWGM, Knobben BAS, et al. MRI assessment of muscle damage after the posterolateral versus direct anterior approach for THA (Polada Trial). A randomized controlled trial. J Arthroplasty. 2021;36(9):3248–3258.e1. doi: 10.1016/j.arth.2021.05.009
- Patel N, Golwala P. Approaches for total hip arthroplasty: a systematic review. Cureus. 2023;15(2):e34829. doi: 10.7759/cureus.34829
- Zhao HY, Kang PD, Xia YY, et al. Comparison of early functional recovery after total hip arthroplasty using a direct anterior or posterolateral approach: a randomized controlled trial. J Arthroplasty. 2017;32(11):3421–3428. doi: 10.1016/j.arth.2017.05.056
- Agten CA, Sutter R, Dora C, et al. MR imaging of soft tissue alterations after total hip arthroplasty: comparison of classic surgical approaches. Eur Radiol. 2017;27(3):1312–1321. doi: 10.1007/s00330-016-4455-7
Supplementary files












