The effectiveness of puncture therapy for sacral aneurysmal bone cysts in kids and teenagers. A concise overview of the available research. Presentation of clinical cases
- 作者: Gamayunov R.S.1, Snetkov A.A.1, Pleskushkina A.S.1, Ishkinyaev I.D.1
-
隶属关系:
- Priorov National Medical Research Center of Traumatology and Orthopedics
- 期: 卷 32, 编号 1 (2025)
- 页面: 183-197
- 栏目: Clinical case reports
- ##submission.dateSubmitted##: 19.05.2023
- ##submission.dateAccepted##: 13.08.2024
- ##submission.datePublished##: 08.04.2025
- URL: https://journals.eco-vector.com/0869-8678/article/view/430387
- DOI: https://doi.org/10.17816/vto430387
- ID: 430387
如何引用文章
详细
BACKGROUND: Aneurysmal bone cysts (ABC) of the spine in children and adolescents are an urgent problem in modern traumatology–orthopedics, oncology and neurosurgery. Spinal ABC is recorded in 8–30% of all cases of ABC detected, while they account for up to 15% of all spinal tumors. The most rare area of ABC lesion is the sacral region, which accounts for less than 4% of reported cases. The treatment methods described in the literature can be divided into conservative, minimally invasive and surgical. The authors report on such methods as the introduction of adjuvant drugs into the cyst cavity, selective arterial embolization, etc. Some sources also mention the use of the drug denosumab. In the literature, you can find materials on surgical treatment in the form of open resection, bone grafting, cementing, as well as a combination of several techniques.
CLINICAL CASES DESCRIPTION: Results of treatment aimed at reducing ABC activity, bone tissue repair, restoration of sacral support capacity, regression of neurological symptoms in its presence and pain syndrome. The material consisted of 8 patients (4 patients were described in a series of clinical cases) with a diagnosis of aneurysmal bone cyst of the sacrum, who were treated at the Department of Pediatric Bone Pathology and Adolescent Orthopedics of the Priorov National Medical Research Center of Traumatology and Orthopedics. A brief review of the literature is based on a search for articles in PubMed, Cyberlinenka, eLibrary, Google Scholar. The assessment of tumor changes at the treatment stages was carried out by measuring intracystal pressure using a Waldman device in mm of water. The program of the diagnostic arm “Gamma Multivox” (GC “Gammamed”, Russia) made it possible to evaluate the result of treatment according to CT data. The significance of changes in tumor parameters was assessed using the Wilcoxon landmark rank criterion for treatment stages involving at least 5 measurements. Statistical analysis was performed using the SciPy Stats package and Python programming language software.
CONCLUSION: The result of the treatment was traced over a period of 1 to 8 years. Step-by-step puncture treatment reduces the activity of ABC, starts the process of bone tissue repair, restores the support capacity of the sacrum and reduces the volume of the tumor, promotes regression of pain and neurological symptoms due to the decompressive effect.
全文:
ВВЕДЕНИЕ
Аневризмальные костные кисты (АКК) позвоночника у детей и подростков являются актуальной проблемой современной травматологии-ортопедии, онкологии и нейрохирургии, при этом вопрос их хирургического лечения на данный момент находится на стыке этих специальностей. В настоящее время нет единого мнения о тактике лечения данной патологии позвоночника, однако большая часть учёных, которые исследуют эту патологию, считают, что первичное лечение должно быть хирургическим (резекция всей опухоли или частичная резекция) с последующей вспомогательной терапией [1]. Во многом это связано с редкостью не только данной патологии, но и её локализации. Клиническое течение АКК иногда непредсказуемо, и рецидивы были отмечены при различных видах лечения [2]. За последние 20 лет описано незначительное количество клинических случаев лечения АКК позвоночника у детей, при этом в отечественной литературе представлено ограниченное количество публикаций, непосредственно посвящённых вопросам лечения данной доброкачественной опухоли [2, 3]. В костной патологии на долю аневризмальных костных кист приходится от 1 до 6%, что составляет от 1,4 до 3,2 нового случая на 1 млн населения в год [3, 4]. АКК наиболее часто поражают плоские кости скелета, таз и метафиз длинных костей.
Аневризмальные костные кисты позвоночника регистрируют в 8–30% из всех случаев выявленных АКК, при этом они составляют до 15% всех опухолей позвоночника [5, 6]. Манифестация данной патологии чаще происходит во втором десятилетии жизни с небольшим преобладанием у пациентов женского пола [7]. При этом, согласно данным отечественных и зарубежных источников, поясничный отдел позвоночника поражается в 40–45% случаев, шейный — в 30%, грудной — в 25–30% [8]. Область крестца — редкая локализация АКК, на которую приходится менее 4% зарегистрированных случаев [3–5].
Аневризмальная костная киста относится к доброкачественным новообразованиям, характеризующимся локальным вздутием кости с образованием кистозных полостей, ограниченных фиброзными перегородками и содержащих кровянистую жидкость, а её клеточная структура представлена пролиферацией фибробластов — гигантских клеток типа остеокластов и гистиоцитов [2, 9–12]. Стандартными инструментальными методами обследования при АКК являются компьютерная (КТ), магнитно-резонансная томография (МРТ) патологического очага и рентгенография в двух проекциях. Рентгенографический вид АКК изменчив, и поражение иногда может иметь признаки злокачественных новообразований [3–5, 13, 14]. В этом случае необходима первичная гистологическая верификация диагноза — биопсия. Поведение АКК непредсказуемо, поражение может расти медленно и даже иногда подвергается спонтанной регрессии (например, на почве патологического перелома), или это может быть агрессивно растущая опухоль с локальной деструкцией кости и патологическим переломом. Клиническая диагностика АКК с локализацией в крестце может быть затруднена из-за неспецифической боли, а также можно столкнуться с трудностями в оценке степени поражения на рентгенограммах таза и крестца [7].
По данным зарубежных авторов, стандартом лечения является удаление как можно большей части поражения путём выскабливания с последующим местным адъювантным лечением, стабилизация с применением металлоконструкции и костной пластики [8, 15–19]. Эффективность методов лечения, особенно в области малого таза, всё ещё обсуждается. Широкая хирургическая резекция приводит к наилучшему локальному контролю, но может вызвать другие осложнения, связанные с объёмом показанной резекции, локализацией и заинтересованными анатомическими структурами [20]. При таких вмешательствах имеется риск обильного кровотечения во время операции, требующей переливания донорской крови или применения системы реинфузии. Широкая резекция, особенно в малом тазу, может привести к серьёзным функциональным ограничениям после хирургического лечения. Из-за крупных мягкотканных компонентов АКК усложняется интраоперационная дифференцировка тканей опухоли от здоровых тканей, что затрудняет выполнение частичного или полного удаления патологического очага, может потребовать более обширной резекции и ведёт к выраженному ятрогенному риску. Также стоит отметить интимное расположение нервных окончаний, вследствие чего агрессивное выскабливание может привести к повреждению близлежащих нервных корешков и/или зоны роста кости у пациентов с незавершённым костным ростом. Сообщается, что после выскабливания частота рецидивов достигает 22% [10, 15–17, 19]. Артериальная эмболизация, используемая отдельно или в комбинации с кюретажем [21–24], чрескожным введением склерозирующего агента [25–29] и чрескожными инъекциями веществ, индуцирующих кость [30–35], может привести к быстрому купированию боли с последующим разрешением поражений и образованием новой кости.
Целью лечения пациентов с аневризмальными кистами кости является локальный контроль опухоли с последующим удалением оболочек кисты, снижение её активности, избавление от боли и восстановление нормальной анатомии [10]. При других локализациях, например при поражении костей конечностей, хирургическое лечение является стандартной процедурой. Как правило, выполняют кюретаж [10, 18], для реконструкции костного дефекта используют костные трансплантаты (аутогенные или аллогенные), костные заменители или костный цемент [10, 16, 30]. Другой малоинвазивный терапевтический метод — чрескожные инъекции склерозирующих агентов, таких как полидоканол [17].
Из-за их расположения АКК часто диагностируют только после того как они достигают значительных размеров и вызывают раздражение или компрессию нервных корешков. Полное выскабливание в области крестца, как правило, невозможно из-за близости сосудов и нервных корешков и отсутствия выраженной дифференцировки в тканях по данным КТ- и МРТ-исследований.
В литературе описаны случаи тяжёлых осложнений в результате хирургических вмешательств в данной области. Например, П. Погода и соавт. представили отчёт о внутриочаговой резекции АКК крестца с обширным вентральным компонентом мягких тканей. Во время операции правые боковые массы крестцовых позвонков с S1 по S3 были удалены. Для обеспечения стабильности выполнена металлофиксация с применением транспедикулярной системы от четвёртого поясничного позвонка до крестца [36]. Брастианос и соавт. сообщают о серии с 10 пациентами с АКК крестца. У больных с АКК крестца выполняли широкую резекцию опухоли и кюретаж. У четырёх пациентов развился локальный рецидив (в среднем на 17-й месяц после операции), у двоих пациентов выскабливание также вызвало постоянную пузырно-ректальную дисфункцию [34].
Публикации о минимально инвазивных методах (например, инъекции фиброзирующих агентов или инъекции деминерализованной кости и костного мозга (под контролем КТ)) показывают, что обширных операций можно избежать [14, 23, 34, 35, 37]. Точно так же чрескожная инъекция полидоканола для склеротерапии кисты является эффективной процедурой, однако в случае больших кист требуются многократные процедуры с использованием анестезии [19]. Последовательную инъекционную терапию можно успешно использовать для крестцовой области, особенно если локализация исключает гиперваскуляризированное ложе опухоли и эмболизация не представляется целесообразной.
Дополнительным склерозирующим агентом является NBCA (N-2-бутилцианоакрилат). NBCA успешно применяется для селективной артериальной эмболизации. Имеются многочисленные исследования эндоваскулярного применения при лечении АКК [27, 28]. На сегодняшний день масштабных исследований чрескожного применения NBCA в лечении АКК не проводилось. До сих пор почти нет сообщений о трансартериальной эмболизации АКК как единственном методе лечения [35, 37]. Обычно эмболизация используется до операции для уменьшения кровотечения перед проведением открытого кюретажа [23, 26, 37]. Р. Германди и соавт. опубликовали работу, посвящённую двум клиническим случаям с АКК крестца, резистентным к эмболизации, которые в дальнейшем подверглись лечению препаратом деносумаб [38]. Результат показал, что при применении препарата можно получить оссификацию АКК, что является положительным результатом. J. Parker и соавт., выполнив анализ литературы, пришли к мнению, что первичное лечение должно быть хирургическим, в идеале с полным иссечением и использованием вспомогательных методов лечения, таких как криотерапия и фенол, которые дают наилучшие шансы на излечение.
SAE является полезным дополнением для уменьшения интраоперационного кровотечения, но данное исследование показало, что оно лишь незначительно сокращает частоту рецидивов. Новые методы, включая назначение бисфосфонатов и доксициклина, потенциально могут принести пользу, но их эффективность требует дальнейшего изучения [1]. Согласно мнению N. Deventer и соавт. [39], полученному на основании исследования, в которое вошли 17 человек с АКК костей таза и крестца, последовательные чрескожные введения препарата полидоканол в сочетании с трансартериальной эмболизацией являются актуальным методом лечения АКК костей таза. Малоинвазивный характер этой процедуры оправдывает её как предпочтительный метод лечения, особенно при пограничных резектабельных поражениях. В этой небольшой группе АКК наблюдается тенденция к меньшему количеству местных рецидивов после последовательных введений полидоканола, чем после интраоперационного кюретажа. Однако может потребоваться несколько введений.
ОПИСАНИЕ КЛИНИЧЕСКИХ СЛУЧАЕВ
В отделении детской костной патологии и подростковой ортопедии в период с 2012 по 2024 г. наблюдаются и получают лечение 11 пациентов, из них 7 мужского пола и 4 — женского, с диагнозом «аневризмальная костная киста крестца». Для оценки результатов лечения были выбраны 8 пациентов (в серии клинических случаев описаны 4 пациента), которые получают лечение более длительный период и имеют значимые результаты терапии по данным КТ. Остальные 3 пациента находятся на начальном этапе лечения (на момент написания статьи) и не были включены в исследование по измерению объёма опухоли и единиц HU.
Возраст пациентов составлял 11–18 лет. Все пациенты первично обращались в медучреждения по месту жительства с жалобами на боль в крестцовой области (в среднем 5–8 баллов по визуально-аналоговой шкале (ВАШ) при первичном поступлении) и/или на объёмное образование в области крестца. В среднем длительность жалоб составляла от 2–3 месяцев до 1 года с постепенным нарастанием интенсивности и присоединением неврологической симптоматики до обращения в специализированное учреждение. Четырём пациентам была выполнена биопсия с гистологическим исследованием по месту жительства, по результатам которого был установлен диагноз — аневризмальная костная киста. Далее пациенты направлялись на лечение в профильное отделение для пересмотра гистологических препаратов. Семь пациентов поступили на лечение сразу после обнаружения опухоли по результатам методов лучевой диагностики, где первым этапом был выполнен забор патологической ткани для гистологического исследования путём трепанационной биопсии содержимого и оболочек кисты. У всех пациентов диагноз «аневризмальная костная киста» был подтверждён гистологически. В 4 случаях из 11 отмечалась неврологическая симптоматика при первичной госпитализации в виде корешковой симптоматики с поражённых уровней и парестезии. У одного пациента отмечалась выраженная сгибательная нейрогенная контрактура в тазобедренном и коленном суставе.
Размер опухоли, объём поражённых позвонков, наличие вторичной деформации позвоночника, заинтересованность невральных структур, признаки репарации АКК оценивались по данным МРТ, КТ и рентгенограммам. При первичной диагностике по данным МРТ определялась многокамерность опухоли с уровнями жидкости, что является характерным признаком АКК, также часто выявлялась компрессия невральных структур. Чаще всего АКК крестца представляла собой одну крупную камеру в передних отделах крестца и множество небольших сообщающихся камер в средней и задней опорной колонне. По данным КТ выявлялось вздутие поражённой области без признаков окостенения оболочки. При оценке результатов КТ-исследований можно выявить, что чаще всего поражались S2-S5 позвонки с переходом на боковые крестцовые массы с заинтересованностью крестцово-подвздошного сочленения. У двоих пациентов патологический процесс затрагивал S1 позвонок. У троих пациентов наблюдалась аплазия копчика вследствие масштабного опухолевого процесса. По количеству поражённых опорных колонн позвоночника по F. Dennis пациенты были разделены следующим образом: 6 пациентов — с поражением 3 колонн, 4 пациента — с 2 опорными колоннами (средняя и задняя), 1 пациент — одна колонна (задняя опорная). Максимальный размер опухоли достигал 9,08×7,17×8,11 см, минимальный — 1,43×1,75×1,14 см. По данным рентгенограмм, вторичные деформации позвоночника, опосредованные опухолевым процессом, обнаружены не были.
Всем пациентам в наблюдаемой группе выполнялась лечебная пункция крестца. Первично было проведено пункционное лечение с целью снижения активности кисты, а также для оценки внутрикистного давления в мм водного столба при помощи аппарата Вальдмана (рис. 1). В среднем при оценке давления при первичной пункции получен результат 480±330 мм вод. ст. У одного из 11 пациентов оно превышало 740 мм вод. ст. Также единовременно забирался материал из патологического очага для гистологического исследования. Дальнейшие повторные пункции выполнялись дважды за одну госпитализацию с разницей в 3–6 дней, далее госпитализация повторялась через 1,5–2 месяца. После снижения признаков активности кисты по данным методов лучевой диагностики и результатам измерения внутрикистного давления промежутки между пункционным лечением увеличивались до 3–6 месяцев.
Рис. 1. Измерение внутрикистного давления при помощи аппарата Вальдмана.
Fig. 1. Measurement of intraosseous pressure using the Waldman device.
При последующих вмешательствах было получено снижение внутрикистного давления в каждую последующую госпитализацию на 50–150 мм вод. ст. Лечебная пункция проводилась под внутривенным наркозом, длительность операции не превышала 20±10 мин. При первичных пункциях кровопотеря достигала 150–310 мл, далее этот показатель снижался. По мере снижения активности проявлялись признаки репарации опухоли по результатам КТ. У всех пациентов проводился контроль гемоглобина по общему анализу крови в период госпитализации и амбулаторно.
В качестве оценки результатов лечения использовались следующие показатели: признаки репарации по данным КТ, определение объёма опухоли с одномоментным измерением единиц Хаунсфилда при помощи программы АРМ врача-диагноста «Гамма Мультивокс» (ГК «Гаммамед», Россия), снижение внутрикистного давления, регресс локального болевого синдрома и неврологической симптоматики, наличие или отсутствие рецидива. Признаки репарации по данным КТ (окостенение оболочек, появление костных мостиков внутри очага, восстановление трабекулярного рисунка) в среднем появились через 4–6 пункций. Снижение внутрикистного давления и стойкий регресс болевого синдрома и неврологической симптоматики наблюдались не ранее чем через 3–4 пункции. Объём опухоли снижался через 5–7 пункций. Данный процесс, как правило, происходил неравномерно, и нередко при ранней оссификации оболочек киста почти не менялась в размерах, однако происходила её внутренняя перестройка. При динамическом наблюдении (в период от 1 до 8 лет) данные о рецидиве опухоли получены только в одном случае на восьмом году динамического контроля, однако при более детальном рассмотрении отмечался очаг диаметром 1,5 см, который являлся неактивной резидуальной полостью без каких-либо клинических проявлений. У остальных 10 пациентов данных о рецидиве на фоне проводимого лечения нет, отмечается стойкая положительная клиническая и рентгенологическая динамика.
Три пациента подверглись этапной частичной резекции оболочек АКК крестца из малоинвазивного доступа с резекцией и кюретажем мягкотканного компонента опухоли, удалением оболочек и установкой дренажной системы с последующим промыванием полости кисты. Стоит отметить, что такой метод является дополнительным и применяется при низкой активности кисты и признаках продолженной репарации опухоли, в результате которой визуализировались структуры позвоночного канала и крестцовых отверстий. Послеоперационное промывание полости кисты через дренажную систему проводилось ежедневно в течение 3–5 дней, далее система удалялась. Троим пациентам был введён костнопластический материал (Коллап-Ан). Его вводили только при низкой активности и в камеры кисты не более 2 см.
Вскрытие АКК крестца из малоинвазивного доступа с эвакуацией геморрагического компонента опухоли, удалением оболочек и установкой дренажной системы проводилось под эндотрахеальным наркозом, длительность которого составляла около 30–45 мин, кровопотеря в среднем достигала 160±55 мл. Показаниями к применению такого метода служили признаки репарации кисты, снижение давления и уменьшение объёма. В среднем данная методика применялась после 4–8 пункций.
Оценка значимости изменения параметров опухолей проводилась с помощью критерия знаковых рангов Вилкоксона для этапов лечения, включающих не менее 5 измерений (этапы 1, 2 и 3). При каждом сравнении проводилось тестирование направленной гипотезы с использованием одностороннего критерия значимости. Статистический анализ проводился с помощью пакета SciPy Stats и программного обеспечения на языке программирования Python.
Клинический случай 1
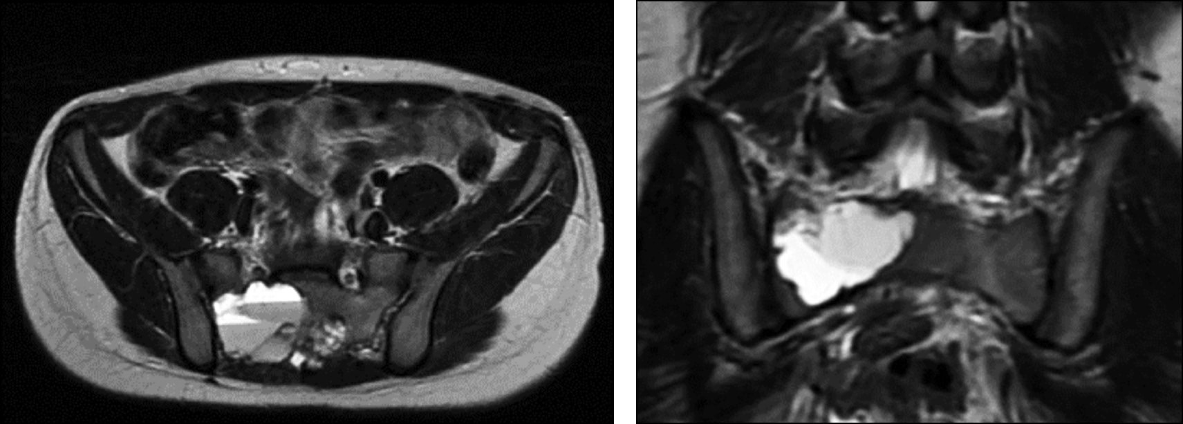
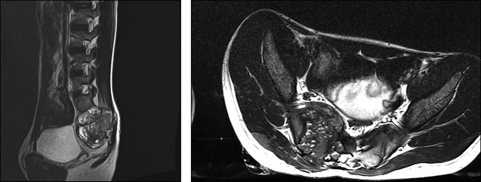
На момент первой госпитализации возраст пациента составлял 16 лет. По месту жительства выявлено новообразование крестца, выполнена открытая биопсия, гистологически поставлен диагноз — аневризмальная костная киста крестца. При первом поступлении в отделение детской костной патологии и подростковой ортопедии предъявлял жалобы на боль в области крестца до 7 баллов по ВАШ, боль иррадиировала в правую нижнюю конечность до пятки, также отмечал периодическую боль при акте дефекации, запоры. Вышеуказанные жалобы беспокоили с ноября 2021 г. с постепенным ухудшением. Представлены МРТ пациента при первом поступлении в стационар (рис. 2). По данным лучевых методов исследования отмечаются лизис костной ткани в области опухоли, компрессия невральных структур, отдавливание тазовых органов. Оболочка опухоли представлена её мягкотканным компонентом без признаков окостенения. Пункционное лечение начато в апреле 2020 г. При первичной пункции давление в опухоли составило 510 мм вод. ст., кровопотеря — 150 мл. На момент третьей госпитализации (после 4 пункций и 3 месяцев с начала лечения) жалобы на боль и неврологическая симптоматика регрессировали. Можно наблюдать признаки частичной оссификации оболочек опухоли, выстраивание костных мостиков в полости кисты через один год (после 12 пункций) с начала лечения пациента. На 13-й пункции давление менее 120 мм вод. ст., кровопотеря менее 50 мл. В связи со снижением активности принято решение о частичной резекции задней стенки опухоли и дренировании глубоких отделов АКК. Через 6 месяцев введён костнопластический материал Коллап-Ан в полость кисты. На КТ-исследовании через один год после открытой частичной резекции задней стенки опухоли и дренирования глубоких отделов АКК и через 6 месяцев после пункционного введения костнопластического материала определяется постепенное восстановление костной ткани крестца, полное окостенение оболочек кисты. Как и в большинстве случаев при восстановлении костных структур, отмечается формирование просвета позвоночного канала и анатомии крестцовых отверстий по принципам памяти костной формы, что отчётливо визуализируется на контрольных КТ-исследованиях. При динамическом наблюдении и на момент повторных госпитализаций пациент отмечал полный регресс болевого синдрома и неврологической симптоматики уже после четвёртой манипуляции. Данных о продолженном росте патологического процесса получено не было. Пациент проходит этапное пункционное лечение. Динамика КТ-исследования пациента 1 представлена на рис. 3.
Рис. 2. МРТ на момент первой госпитализации. Киста представлена гигантской опухолью со множеством камер с разными уровнями жидкости. Определяется компрессия невральных структур, сдавление органов таза.
Fig. 2. An MRI scan at the time of the initial hospitalization revealed a cyst in the form of a large tumor with multiple chambers containing different levels of fluid. The MRI also showed compression of neural structures and pelvic organs.
Рис. 3. КТ-динамика лечения пациента 1. На представленных КТ-снимках можно наблюдать уменьшение объёмов кисты, формирование собственной костной ткани. КТ-исследование через 12 месяцев выполнено перед открытой операцией в объёме частичной резекции задней стенки опухоли и дренирования глубоких отделов аневризмальной костной кисты.
Fig. 3. The CT scans of the patient’s treatment show a decrease in the cyst volume and the formation of bone tissue. A follow-up CT scan was done 12 months before the open surgery to partially remove the posterior wall of the tumor and drain the deep sections of the aneurysmal bone cyst.
Клинический случай 2
На момент первой госпитализации возраст пациента составлял 14 лет. Госпитализирован в медицинское учреждение по месту жительства с сильными болями в крестцовой области. В июле 2021 г. по месту жительства выполнена открытая биопсия патологического очага, диагноз «аневризмальная костная киста» подтверждён гистологически. При первом поступлении в отделение предъявлял жалобы на боль в области крестца до 9–10 баллов по ВАШ, боль иррадиировала в правую ногу до пятки. Срок жалоб составил 9 месяцев, попытки консервативного лечения (физиотерапевтическое лечение, лечебная физкультура, нестероидные противовоспалительные препараты) по месту жительства — без положительной динамики. При поступлении отмечена выраженная сгибательная контрактура правого тазобедренного и коленного сустава, пациент находится в вынужденном положении, самостоятельно не передвигается, не сидит из-за болевого синдрома. Пункционное лечение начато в августе 2021 г. Исследования выполнены в медицинском учреждении по месту жительства (рис. 4), далее проведена открытая биопсия патологического очага. Определяются уровни жидкости и стеноза невральных структур по данным МРТ, поражение S2-S5 позвонков с частичной аплазией копчика, смещение органов малого таза опухолью. На КТ-исследовании, выполненном в период первой госпитализации, определяется продолженный рост опухоли после выполнения открытой биопсии. Разница между исследованиями составляет один месяц. В этом случае можно говорить о высокой агрессивности патологического процесса. Первый этап пункционного лечения начат в августе 2021 г. При оценке внутрикистного давления во время первой пункции был получен показатель 720 мм вод. ст. КТ-картина через 3 месяца продемонстрировала признаки частичной репарации, нарастание костных перегородок, частичное окостенение оболочек опухоли. При повторных пункциях отмечалось снижение внутрикистного давления. На момент этапной операции спустя 5 месяцев от начала лечения внутрикистное давление составило 389 мм вод. ст. Также отмечается увеличение объёма движений в коленном и тазобедренном суставе правой ноги. У пациента появилась возможность сидеть и передвигаться при помощи ходунков. Спустя 10 месяцев с начала лечения (20 пункций) по данным КТ определяются выраженные признаки репарации аневризмальной костной кисты, образование костных трабекул, снижение объёма опухоли, снижение компрессии органов таза (рис. 5). Пациент ходит самостоятельно, боль во время ходьбы не определяется, сидит свободно. Походка нарушена в связи со слабостью мышц нижних конечностей. При пункции снижение внутрикистного давления до 124 мм вод. ст. Пациент продолжает пункционное лечение.
Рис. 4. МРТ-картина до начала лечения. Киста представлена объёмным образованием, однако многокамерность опухоли выражена нечётко, что заставляет думать об ином процессе. Также отсутствуют чёткие уровни жидкости.
Fig. 4. An MRI scan prior to treatment revealed a three-dimensional cystic formation, although the multi-compartmentalized nature of the tumor was not clearly visible, leading us to suspect a different process. Additionally, there were no clear fluid levels present.
Рис. 5. КТ-динамика лечения пациента 2. Отчётливо прослеживается формирование костной ткани внутри кисты.
Fig. 5. The CT-dynamics of the patient’s treatment show that bone tissue is forming inside the cyst.
Клинический случай 3
На момент начала лечения возраст пациента составлял 12 лет. С сентября 2014 года предъявлял жалобы на боль в крестцовой области, хромоту на правую нижнюю конечность. Срок жалоб — 5 месяцев. По месту жительства выполнены рентгенограмма костей таза, МРТ, КТ костей таза, диагностирован патологический очаг в крестцовой области на уровне S1-2. Была выполнена открытая биопсия с экскохлеацией патологического очага. По данным гистологического исследования диагностирована аневризмальная киста S1-2. Пациент направлен в ФГБУ «НМИЦ ТО им. Н.Н. Приорова». При первой госпитализации по данным КТ и МРТ (рис. 6, 7) можно наблюдать патологический очаг S1-2 позвонков с чёткими уровнями жидкости, компрессией невральных структур и частичным окостенением оболочек опухоли. При пересмотре гистологических препаратов в ФГБУ «НМИЦ ТО им. Н.Н. Приорова» диагноз АКК подтверждён. С декабря 2014 г. начато пункционное лечение. Во время первой пункции внутрикистное давление составило 415 мм вод. ст. В первые 4 года пациент госпитализировался в 11-е отделение ФГБУ «НМИЦ ТО им. Н.Н. Приорова» один раз в 2–3 месяца. Следующие 3 года — один раз в 4–5 месяцев. При динамическом контроле отмечалась положительная динамика. Жалобы пациента регрессировали спустя 4 месяца с момента начала лечения. На восьмом году наблюдения отмечена остаточная резидуальная полость опухоли в задних отделах крестца без клинических проявлений. При пункции выявлена низкая активность кисты, давление минимальное. Учитывая данные КТ, пациенту выполнена открытая операция в объёме резекции патологической ткани, эвакуации геморрагического компонента опухоли с одномоментной костной пластикой аллотрансплантатами. Операция выполнялась под общим наркозом, её длительность составила 36 мин, объём кровопотери — 100 мл. В отдалённом периоде продолженный рост не выявлен в течение двух лет. Данные изменения измерений опухоли указаны в табл. 1.
Рис. 6. МРТ до начала лечения. Опухоль представлена небольшим количеством камер с чётким определением уровней жидкости в них.
Fig. 6. Before starting treatment, a magnetic resonance imaging (MRI) scan was performed to determine the size and location of the tumor. The MRI revealed that the tumor was composed of a few small chambers, each containing clear fluid.
Рис. 7. КТ-динамика лечения пациента 3. На КТ через 8 лет от начала лечения определяется формирование резидуальной полости.
Fig. 7. The CT-dynamics of the patient’s treatment № 3. After 8 years of treatment, a residual cavity was determined on CT.
Таблица 1. Результат изменения измерений объёма опухоли пациента 3 и единиц HU в опухоли на этапах лечения при помощи программы АРМ врача-диагноста «Гамма Мультивокс» (ГК «Гаммамед», Россия). Значимыми результатами являются объём опухоли и показатель её среднего значения
Table 1. The result of changes in measurements of the patient № 3 tumor volume and HU units at the treatment stages using the diagnostic arm program “Gamma Multivox” (GC “Gammamed”, Russia) is presented. Significant results include the volume of the tumor and its average value
Показатель | Slice Thickness, мм | V, см3 | Max HU | Min HU | Avg HU |
До начала лечения | 1,25 | 19,9 | 740 | -79 | 70,2 |
КТ через 24 месяца | 1,25 | 27,6 | 947 | -99 | 173,8 |
КТ через 48 месяцев | 1,25 | 43,2 | 1065 | -75 | 188,7 |
КТ через 8 лет | 1,25 | 45 | 1395 | -173 | 200,2 |
КТ после открытой операции | 1,25 | 46,1 | 1384 | -126 | 249,7 |
Клинический случай 4
На момент начала лечения возраст пациентки составлял 16 лет. С апреля 2021 года жаловалась на боль в крестцовой области. Срок жалоб — 7 месяцев. По месту жительства выполнены рентгенограмма костей таза, МРТ, КТ костей таза, диагностирован патологический очаг в крестцовой области слева. При первой госпитализации по данным КТ и МРТ патологический очаг крестца слева на уровне S2-S5 позвонков с чёткими уровнями жидкости, без признаков компрессии невральных структур окостенением оболочек опухоли. Пациентка направлена в ФГБУ «НМИЦ ТО им. Н.Н. Приорова». Впервые госпитализирована в ноябре 2021 г. Первично выполнена биопсия патологического очага, диагноз «аневризмальная костная киста» подтверждён гистологически. С ноября 2014 г. начато пункционное лечение. Во время первой пункции внутрикистное давление составило 375 мм вод. ст. Этапное хирургическое лечение в объёме лечебных пункций выполнялось каждые 2–3 месяца (2 пункции за одну госпитализацию под тотальной внутривенной анестезией). На момент написания статьи пациентка получила лечение в объёме 12 пункций на протяжении 24 месяцев (табл. 2). При динамическом контроле отмечалась положительная динамика (рис. 8). Жалобы пациентки регрессировали спустя 1,5 месяца с момента начала лечения.
Таблица 2. Результаты оценки динамики изменения опухоли пациента 4 при помощи программы АРМ врача-диагноста «Гамма Мультивокс» (ГК «Гаммамед», Россия). Значимыми результатами являются объём опухоли и показатель её среднего значения
Table 2. The result of changes in measurements of the patient № 4 tumor volume and HU units at the treatment stages using the diagnostic arm program “Gamma Multivox” (GC “Gammamed”, Russia) is presented. Significant results include the volume of the tumor and its average value
Показатель | Slice Thickness, мм | V, см3 | Max HU | Min HU | Avg HU |
До начала лечения | 1 | 172,6 | 421 | -126 | 38,1 |
Через 12 месяцев | 0,6 | 110,2 | 976 | -210 | 102,1 |
Через 24 месяца | 0,6 | 90,5 | 1432 | -238 | 105,7 |
Рис. 8. КТ-динамика лечения пациентки 4.
Fig. 8. CT-dynamics of the patient treatment № 4.
Нами был проведён анализ изменения параметров опухолей после начала пункционного лечения (табл. 3). Было выявлено, что непосредственно после начала пункционного лечения (этапы 1–3) происходит значимое увеличение единиц Хаунсфилда в области локализации опухоли, свидетельствующее о частичном восстановлении костных структур (рис. 9a). Более того, наблюдается тенденция к дальнейшему увеличению данного параметра при продолжении пункционного лечения, которую можно отметить во всех исследуемых индивидуальных наблюдениях. Также в период проведения лечения была выполнена оценка изменения объёма опухоли (рис. 9b). На первом этапе лечения в отдельных случаях наблюдается увеличение объёма опухоли, что является ожидаемой первичной реакцией на данный тип хирургического вмешательства. На следующем этапе выявлено значимое сокращение её объёма с сохранением положительной динамики при дальнейших пункциях.
Таблица 3. Характеристика величин кист на этапах лечения. Оценка значимости изменения параметров проводилась с помощью критерия знаковых рангов Вилкоксона для этапов лечения, включающих не менее 5 измерений. Статистический анализ проводился с помощью пакета SciPy Stats и программного обеспечения на языке программирования Python
Table 3. Characteristics of cyst size at different stages of treatment were analyzed. The significance of changes in parameters was assessed using the Wilcoxon signed-rank test for treatment stages with at least 5 measurements. Statistical analysis was performed using SciPy Stats and Python programming language software
AvgHU | |||||||
|
| Минимум AvgHU | Максимум AvgHU | Среднее AvgHU | Медиана AvgHU | Стандартное отклонение AvgHU | 95% Доверительный интервал для среднего AvgHU |
| Пункция! | 34,3 | 70,2 | 45,4 | 41,7 | 11,99 | (37.08, 53.71) |
| Пункция 2 | 48,5 | 173,8 | 90,2125 | 86,85 | 41,14 | (61.70, 118.72) |
| Пункция) | 105,7 | 298,7 | 183,525 | 189,45 | 68,22 | (136.24, 230.80) |
| Пункция 4 | 177 | 257,3 | 217,95 | 218,75 | З6,12 | (182.54, 253.35) |
| Пункция S | 227,4 | 249,7 | 238,55 | 238,55 | 15,76 | (216.69, 260.40) |
Slice Thickness |
| ||||||
|
| Минимум Slice Thickness | Максимум Slice Thickness | Среднее Slice Thickness | Медиана Slice Thickness | Стандартное отклонение Slice Thickness | 95% Доверительный интервал для среднего Slice Thickness |
| Пункция 1 | 0,6 | 2 | 0,996875 | 0,8125 | 0,49 | (0.654,1.33) |
| Пункция 2 | 0,6 | 1,25 | 0,7875 | 0,625 | 0,25 | (0.609, 0.96) |
| Пункция 3 | 0,6 | 1,25 | 0,740625 | 0,625 | 0,22 | (0.58, 0.89) |
| Пункция 4 | 0,625 | 1,25 | 0,875 | 0,8125 | 0,306 | (0.57, 1.17) |
| Пункция S | 1 | 1,25 | 1,125 | 1,125 | 0,17 | (0.88, 1.36) |
V,cm3 |
| ||||||
|
| Минимум» V,cm3 | Максимум V,cm3 | Среднее V,cm3 | Медиана V,cm3 | Стандартное отклонение V, cm3 | 95% Доверительный интервал для среднего V, cm3 |
| Пункция 1 | 19,9 | 242 | 181,0625 | 196,65 | 69,44 | (132.93, 229.18) |
| Пункция 2 | 27,6 | 426,9 | 195,75 | 165 | 134,95 | (102.23, 289.26) |
| Пункция 3 | 43,2 | 298,2 | 138.3 | 101,4 | 93,61 | (73.42, 203.17) |
| Пункция 4 | 45 | 266 | 110,9 | 66,3 | 104,7 | (8.29, 213.507) |
| Пункция 5 | 46,1 | 242,3 | 144.2 | 144,2 | 138,73 | (-48.072, 336.47) |
Рис. 9. Оценка изменения параметров опухоли в течение пункционного лечения (этап 1 соответствует периоду до начала лечения): a — средняя плотность опухоли в единицах Хаунсфилда, b — объём опухоли в см3. Звёздочками обозначено значение p менее 0,01. Изменение параметров опухоли для каждого из восьми пациентов индивидуально показано пунктирными линиями.
Fig. 9. Assessment of the parameters of tumor changes during puncture treatment (stage 1 corresponds to the period before treatment): a — average tumor density in Hounsfield units, b — tumor volume in cm³. Asterisks indicate a p-value of less than 0.01. The changes in tumor parameters for each of the eight patients are individually shown by dotted lines.
Данные результаты совместно с оценкой плотности опухоли свидетельствуют об эффективности пункционного лечения.
ОБСУЖДЕНИЕ
В ходе анализа литературы о методах лечения аневризмальных костных кист крестца удалось выяснить, что во всём мире нет единой тактики лечения пациентов с данной патологией. Существует незначительное количество работ, посвящённых данной тематике, в зарубежной и отечественной литературе [2, 3]. Наибольшее количество трудов описывают единичные наблюдения без длительного динамического контроля. Также большинство статей написано в формате клинического случая. Несвоевременная радикальная операция по удалению опухоли может привести к массивной интраоперационной кровопотере, и имеется высокий риск тяжёлых осложнений, в том числе повреждения невральных структур [36]. При высокой активности кисты и выраженном кровотоке АКК повышен риск рецидива и повторной операции [10, 16, 17, 19]. Различные малоинвазивные методы лечения АКК крестца, на наш взгляд, доказывают свою эффективность. По нашему мнению, такие методы можно использовать в качестве не только дополнительных, но и, при некоторых формах АКК, основных методов лечения. Стоит отметить, что у пациентов, которым была проведена открытая резекция оболочек задней опорной колонны после длительного пункционного лечения, при визуальном контроле в ходе операции не было обнаружено признаков выраженной активности, свойственной агрессивным АКК, оперированным первично, в связи с чем данные пациенты были направлены под наблюдение без необходимости повторного хирургического вмешательства.
Опорные структуры, которые созревали в результате предложенного малоинвазивного лечения, существенно отличались от исходной формы здоровых тканей крестца и представляли собой оссифицированные оболочки с резидуальными полостями, которые, однако, позволяли получить опороспособную анатомическую структуру, не меняющуюся по форме при наблюдении после снижения активности в течение двух лет. Также интересным наблюдением оказалось анатомическое восстановление естественных костных границ позвоночного канала и крестцовых отверстий, в связи с чем не требовалось проведение декомпрессии нервных окончаний, так как этот процесс происходил по мере репарации кисты.
ЗАКЛЮЧЕНИЕ
Каждый случай АКК крестца индивидуален своим течением, локализацией, объёмом поражения, наличием компрессии невральных структур и органов таза, сопутствующими изменениями в сегментах скелета человека. Пункционное лечение нельзя назвать идеальным в терапии описанной патологии, однако отдельные результаты показывают высокую эффективность данного метода. Длительность такой терапии, кратность госпитализаций, количество часов наркоза за период лечения оправдывают возможность подвести пациента к малотравматичной, сопряжённой с меньшими рисками открытой операции по радикальному удалению опухоли. Опираясь на наш опыт и результаты измерений, изложенных в статье, можно утверждать, что пункционное лечение решает несколько задач в лечении АКК крестца: снижение активности опухолевого процесса, вторичную, или непрямую, декомпрессию невральных структур, запуск процессов репарации костной ткани по типу памяти костной формы, что в дальнейшем оказывает положительный эффект на формирование опороспособности крестца и снижает риск развития патологических переломов. Комбинация малоинвазивных методов и техник открытых хирургических вмешательств позволяет получить наиболее качественный отдалённый результат при агрессивных формах АКК.
ДОПОЛНИТЕЛЬНО
Вклад авторов. Все авторы одобрили финальную версию перед публикацией, а также согласились нести ответственность за все аспекты работы, гарантируя надлежащее рассмотрение и решение вопросов, связанных с точностью и добросовестностью любой её части.
Источники финансирования. Отсутствуют.
Раскрытие интересов. Авторы декларируют отсутствие явных и потенциальных конфликтов интересов, связанных с проведённым исследованием и публикацией настоящей статьи.
Оригинальность. При создании настоящей работы были использованы фрагменты собственного текста, опубликованного ранее [2, 9], распространяется на условиях лицензии CC-BY 4.0).
Согласие на публикацию. Авторы получили письменное информированное добровольное согласие пациентов на публикацию персональных данных в научном журнале, включая его электронную версию (дата подписания — 10.05.2023). Объём публикуемых данных с пациентами согласован.
Доступ к данным. Доступ к данным, полученным в настоящем исследовании, закрыт по причине конфиденциальности (наличия в базе данных сведений, на основании которых могут быть идентифицированы участники исследования, и отсутствия их согласия на распространение этих сведений).
Рассмотрение и рецензирование. Настоящая работа подана в журнал в инициативном порядке и рассмотрена по обычной процедуре. В рецензировании участвовали два внешних рецензента, член редакционной коллегии и научный редактор издания.
ADDITIONAL INFO
Author contribution. All authors have approved the final version before publication and have also agreed to be responsible for all aspects of the work, ensuring that issues relating to the accuracy and integrity of any part of it are properly addressed and resolved.
Funding sources. No funding.
Disclosure of interests. The authors declare that they have no competing interests.
Statement of originality. In creating this work, fragments of my own text, published earlier [2, 9], were used, distributed under the CC-BY 4.0 license).
Consent for publication. The authors received written informed voluntary consent from the patients to publish personal data in a scientific journal, including its electronic version (date of signing May 10, 2023). The scope of published data was agreed with the patients.
Data availability statement. Access to the data obtained in this study is closed due to confidentiality (the presence in the database of information on the basis of which the study participants can be identified and the lack of their consent to the dissemination of this information).
Provenance and peer-review. This paper was submitted to the journal on an initiative basis and reviewed according to the usual procedure. Two external reviewers, a member of the editorial board and the scientific editor of the publication participated in the review.
作者简介
Roman Gamayunov
Priorov National Medical Research Center of Traumatology and Orthopedics
编辑信件的主要联系方式.
Email: drgamayunov@yandex.ru
ORCID iD: 0000-0002-9960-9427
SPIN 代码: 2451-9875
MD
俄罗斯联邦, 10 Priorova str., 127299 MoscowAleksandr Snetkov
Priorov National Medical Research Center of Traumatology and Orthopedics
Email: isnetkov@gmail.com
ORCID iD: 0000-0001-5837-9584
SPIN 代码: 8901-4259
MD, Cand. Sci. (Medicine)
俄罗斯联邦, 10 Priorova str., 127299 MoscowAnna Pleskushkina
Priorov National Medical Research Center of Traumatology and Orthopedics
Email: dr.pleskushkina@yandex.ru
ORCID iD: 0009-0008-9687-6483
SPIN 代码: 7937-8752
MD
俄罗斯联邦, 10 Priorova str., 127299 MoscowIlyas Ishkinyaev
Priorov National Medical Research Center of Traumatology and Orthopedics
Email: ilyas.ishkinyaev@gmail.com
ORCID iD: 0009-0003-2228-1405
MD
俄罗斯联邦, 10 Priorova str., 127299 Moscow参考
- Parker J, Soltani S, Boissiere L, et al. Spinal Aneurysmal Bone Cysts (ABCs): Optimal Management. Orthop Res Rev. 2019;11:159–166. doi: 10.2147/ORR.S211834
- Snetkov AA, Dan IM, Gorelov VA, et al. Anevrizmal’nye kostnye kisty pozvonochnika u detej. Taktika hirurgicheskogo lecheniya. Ortopediya, travmatologiya i vosstanovitel’naya hirurgiya detskogo vozrasta. 2020;8(S):43–45. (In Russ.). EDN: NTDAWX
- Naumov DG, Speranskaya EA, Mushkin MA, et al. Spinal aneurysmal bone cyst in children: systematic review of the literature. Spine Surgery. 2019;16(2):49-55. doi: 10.14531/ss2019.2.49-55 EDN: RYIMPQ
- Campanacci M, Bertoni F, Bacchini P. Aneurysmal bone cyst. In: Campanacci M, Bertoni F, Bacchini P, editors. Bone and soft tissue tumors. Vienna: Springer; 1990. P. 725–51.
- Lichtenstein L. Aneurysmal bone cyst: apathological entity commonly mistaken for giant-cell tumor and occasionally for hemangioma and osteogenic sarcoma. Cancer. 1950;3:279–89.
- Unni KK. Dahlin’s bone tumors: general aspects and data on 11,087 cases. Philadelphia: Lippincott-Raven; 1996. P. 382–90.
- Honl M, Westphal F, Carrero V, et al. Pelvic girdle reconstruction based on spinal fusion and ischial screw fixation in a case of aneurysmal bone cyst. Sarcoma. 2003;7(3–4):177–82. doi: 10.1080/13577140310001644805
- Papagelopoulos PJ, Choudhury SN, Frassica FJ, et al. Treatment of aneurysmal bone cysts of the pelvis and sacrum. J Bone Joint Surg Am. 2001;83(11):1674–81. doi: 10.2106/00004623-200111000-00009
- Snetkov AA, Gubin AV, Gamayunov RS, Snetkov AI, Batrakov SYu. Hirurgicheskoe lechenie anevrizmal’nyh kostnyh kist poyasnichnogo otdela pozvonochnika: opisanie klinicheskogo sluchaya. Genij ortopedii. 2023;29(3):323–328. (In Russ.). doi: 10.18019/1028-4427-2023-29-3-323-328 EDN: EHJCOE
- Vergel De Dios AM, Bond JR, Shives TC, McLeod RA, Unni KK. Aneurysmal bone cyst. A clinicopathologic study of 238 cases. Cancer. 1992;69(12):2921–31. doi: 10.1002/1097-0142(19920615)69:12<2921::aid-cncr2820691210>3.0.co;2-e
- Fletcher CD, Bridges AJ, Hogendoorn CW, et al. WHO Classification of Tumours of Soft Tissue and Bone. 4th ed. Lyon: IARC Press; 2013.
- Mushkin AYu, Mal’chenko OV Onkologicheskaya vertebrologiya: izbrannye voprosy. Novosibirsk; 2012. 152 р. (In Russ.).
- Cottalorda J, Bourelle S. Modern concepts of primary aneurysmal bone cyst. Arch Orthop Trauma Surg. 2007;127(2):105–14. doi: 10.1007/s00402-006-0223-5
- Mirra JM. Aneurysmal bone cyst. In: Mirra JM, Picci P, Gold RH, editors. Bone tumors. Clinical, radiologic, and pathologic correlations. Philadelphia: Lea & Febiger; 1989. P. 1267–311.
- Gibbs CP, Hefele MC, Peabody TD, et al. Aneurysmal bone cyst of the extremities. Factors related to local recurrence after curettage with a high-speed burr. J Bone Joint Surg Am. 1999;81(12):1671–8. doi: 10.2106/00004623-199912000-00003
- Mankin HJ, Hornicek FJ, Ortiz-Cruz E, Villafuerte J, Gebhardt MC. Aneurysmal bone cyst: a review of 150 patients. J Clin Oncol. 2005;23(27):6756–62. doi: 10.1200/JCO.2005.15.255
- Campanacci M, Capanna R, Picci P. Unicameral and aneurysmal bone cysts. Clin Orthop Relat Res. 1986;(204):25–36.
- Peeters SP, Van der Geest IC, de Rooy JW, Veth RP, Schreuder HW. Aneurysmal bone cyst: the role of cryosurgery as local adjuvant treatment. J Surg Oncol. 2009;100(8):719–24. doi: 10.1002/jso.21410
- Lin PP, Brown C, Raymond AK, Deavers MT, Yasko AW. Aneurysmal bone cysts recur at juxtaphyseal locations in skeletally immature patients. Clin Orthop Relat Res. 2008;466(3):722–8. doi: 10.1007/s11999-007-0080-8
- Farsetti P, Tudisco C, Rosa M, Pentimalli G, Ippolito E. Aneurysmal bone cyst. Long-term follow-up of 20 cases. Arch Orthop Trauma Surg. 1990;109(4):221–3. doi: 10.1007/BF00453145
- Dick HM, Bigliani LU, Michelsen WJ, Johnston AD, Stinchfield FE. Adjuvant arterial embolization in the treatment of benign primary bone tumors in children. Clin Orthop Relat Res. 1979;(139):133–41.
- Yildirim E, Ersözlü S, Kirbaş I, et al. Treatment of pelvic aneurysmal bone cysts in two children: selective arterial embolization as an adjunct to curettage and bone grafting. Diagn Interv Radiol. 2007;13(1):49–52.
- Meyer S, Reinhard H, Graf N, Kramann B, Schneider G. Arterial embolization of a secondary aneurysmatic bone cyst of the thoracic spine prior to surgical excision in a 15-year-old girl. Eur J Radiol. 2002;43(1):79–81. doi: 10.1016/s0720-048x(01)00406-5
- De Cristofaro R, Biagini R, Boriani S, et al. Selective arterial embolization in the treatment of aneurysmal bone cysts and angioma. Skeletal Radiol. 1992;21(8):523–7. doi: 10.1007/BF00195235
- Topouchian V, Mazda K, Hamze B, Laredo JD, Penneçot GF. Aneurysmal bone cysts in children: complications of fibrosing agent injection. Radiology. 2004;232(2):522–6. doi: 10.1148/radiol.2322031157
- Adamsbaum C, Mascard E, Guinebretière JM, Kalifa G, Dubousset J. Intralesional Ethibloc injections in primary aneurysmal bone cysts: an efficient and safe treatment. Skeletal Radiol. 2003;32(10):559–66. doi: 10.1007/s00256-003-0653-x
- de Gauzy JS, Abid A, Accadbled F, et al. Percutaneous Ethibloc injection in aneurysmal bone cysts. Skeletal Radiol. 2000;29:211–6.
- Falappa P, Fassari FM, Fanelli A, et al. Aneurysmal bone cysts: treatment with direct percutaneous Ethibloc injection — long-term results. Cardiovasc Interv Radiol. 2002;25(4):282–90. doi: 10.1007/s00270-001-0062-2
- Varshney MK, Rastogi S, Khan SA, Trikha V. Is sclerotherapy better than intralesional excision for treating aneurysmal bone cysts? Clin Orthop Relat Res. 2010;468(6):1649–59. doi: 10.1007/s11999-009-1144-8
- Hemmadi SS, Cole WG. Treatment of aneurysmal bone cysts with saucerization and bone marrow injection in children. J Pediatr Orthop. 1999;19(4):540–2. doi: 10.1097/00004694-199907000-00024
- Docquier PL, Delloye C. Treatment of aneurysmal bone cysts by introduction of demineralized bone and autogenous bone marrow. J Bone Joint Surg Am. 2005;87(10):2253–8. doi: 10.2106/JBJS.D.02540
- Rosenthal RK, Folkman J, Glowacki J. Demineralized bone implants for nonunion fractures, bone cysts, and fibrous lesions. Clin Orthop Relat Res. 1999;(364):61–9. doi: 10.1097/00003086-199907000-00009
- Carpenter B, Motley T. Bone matrix therapy for aneurysmal bone cysts. J Am Podiatr Med Assoc. 2005;95(4):394–7. doi: 10.7547/0950394
- Bush CH, Adler Z, Drane WE, et al. Percutaneous radionuclide ablation of axial aneurysmal bone cysts. AJR Am J Roentgenol. 2010;194(1):W84–90. doi: 10.2214/AJR.09.2568
- Clayer M. Injectable form of calcium sulphate as treatment of aneurysmal bone cysts. ANZ J Surg. 2008;78(5):366–70. doi: 10.1111/j.1445-2197.2008.04479.x
- Pogoda P, Linhart W, Priemel M, Rueger JM, Amling M. Aneurysmal bone cysts of the sacrum. Clinical report and review of the literature. 2003;123(5):247–251. doi: 10.1007/s00402-003-0496-x
- Di Bella C, Dozza B, Frisoni T, Cevolani L, Donati D. Injection of demineralized bone matrix with bone marrow concentrate improves healing in unicameral bone cyst. Clin Orthop Relat Res. 2010;468(11):3047–55. doi: 10.1007/s11999-010-1430-5
- Ghermandi R, Terzi S, Gasbarrini A, Boriani S. Denosumab: non-surgical treatment option for selective arterial embolization resistant aneurysmal bone cyst of the spine and sacrum. Case report. Eur Rev Med Pharmacol Sci. 2016;20(17):3692–3695.
- Deventer N, Budny T, Gosheger G, et al. Aneurysmal bone cyst of the pelvis and sacrum: a single-center study of 17 cases. BMC Musculoskeletal Disorders. 2022;23(1):405. doi: 10.1186/s12891-022-05362-1
补充文件












