Os odontoideum of C2 vertebra: History and current options to treatment. Literature review. Part 2
- Authors: Kuleshov A.A.1, Shkarubo A.N.2, Sharov V.A.1, Vetrile M.S.1, Lisyansky I.N.1, Makarov S.N.1
-
Affiliations:
- Priorov National Medical Research Center of Traumatology and Orthopedics
- Burdenko National Scientific and Practical Center for Neurosurgery
- Issue: Vol 30, No 2 (2023)
- Pages: 245-258
- Section: SCIENTIFIC REVIEWS
- Submitted: 27.05.2023
- Accepted: 01.08.2023
- Published: 09.09.2023
- URL: https://journals.eco-vector.com/0869-8678/article/view/462744
- DOI: https://doi.org/10.17816/vto462744
- ID: 462744
Cite item
Full Text
Abstract
The second part of a literature review is presented on a rare pathology of the craniovertebral region, the os odontoideum of the C2 vertebra. This review is non-systematic and was conducted using the databases and search resources: PubMed, Google Scholar, and eLibrary. The second part of this literature review describes historical, including conservative, treatment tactics for patients with os odontoideum, peculiarities of preoperative planning and preparation, as well as modern techniques and options for surgical treatment.
Full Text
ВВЕДЕНИЕ
В настоящее время нет точных стандартов диагностики и протоколов лечения пациентов с зубовидной костью. Наряду с этиологией этого порока в литературе до сих пор широко обсуждаются концептуальные подходы к лечению лиц данной группы. Учитывая постоянно растущее количество работ о методах фиксации краниовертебральной области и лечении пациентов с зубовидной костью, представляем вторую часть несистематического обзора литературы, посвящённого данной редкой патологии краниовертебральной области.
Сегодня абсолютное большинство авторов сходятся во мнении, что происхождение зубовидной кости не влияет на тактику лечения и пациенты с нестабильной зубовидной костью или с фиксированной деформацией, вызывающей компрессию спинного мозга в области краниовертебрального перехода, должны лечиться оперативно. К примеру, А.В. Губин, Э.В. Ульрих в работе «Синдромальный подход к ведению детей с пороками развития шейного отдела позвоночника» (2010 г.) относят зубовидную кость к группе первично нестабильных пороков и, как следствие, считают, что пациенты с этой патологией требуют стабилизации в максимально ранние сроки [1–4].
МЕТОДОЛОГИЯ ПОИСКА ИСТОЧНИКОВ
Поиск и отбор источников проведены с использованием баз данных медицинской литературы и поисковых ресурсов PubMed, Google Scholar и eLibrary по следующим ключевым словам: «os odontoideum», «atlantoaxial instability», «atlantoaxial fixation», «С1-С2 fixation», «зубовидная кость», «атлантоаксиальная нестабильность», «атлантоаксиальная стабилизация», «СI-СII фиксация».
Вторая часть литературного обзора посвящена историческим аспектам подходов к лечению пациентов с зубовидной костью СII позвонка, возможностям консервативных методик и описанию современных хирургических тактик.
ОБСУЖДЕНИЕ
Консервативный подход к лечению пациентов с зубовидной костью
Имеются немногочисленные сообщения о применении консервативного лечения у пациентов со стабильной зубовидной костью без признаков компрессии спинного мозга [5]. E.L. Spierings, R. Braakman в 1982 г. описали 20 пациентов (из группы 37 лиц с зубовидной костью), лечившихся консервативно. У 16 из них изначально не было неврологического дефицита, после лечения у большего числа пациентов отмечалось улучшение либо отсутствие изменений в симптоматике. Лишь у 2 пациентов возник болевой синдром в шее и плечах. Из 4 пациентов с миелопатией незначительное ухудшение неврологической симптоматики отмечалось у одного человека, и один пациент умер по несвязанной причине (онкология), данные о его состоянии отсутствуют [6].
В исследовании, представленном J.W. Fielding с соавт. в 1980 г., описаны 37 пациентов с зубовидной костью, 8 из которых не имели нестабильности и проходили консервативное лечение. По результатам трёхлетнего наблюдения, у них не отмечалось неврологических осложнений. Один пациент с нестабильностью отказался от операции и оставался здоровым с точки зрения неврологической симптоматики в течение последующих 2 лет наблюдений [7].
Однако в литературе присутствуют примеры пациентов со стабильной зубовидной костью, у которых впоследствии развилась нестабильность [4], или примеры того, как у пациента, прошедшего консервативное лечение, развилась параплегия после незначительной травмы [3, 8].
В случаях, когда нестабильность ассоциирована с наличием зубовидной кости и/или присутствует неврологический дефицит, имеются менее убедительные доказательства оправданности консервативного подхода [3].
В настоящее время самое обширное описание результатов консервативного лечения пациентов с зубовидной костью представлено в работе I.J. Helenius с соавт. «Os Odontoideum in Children: Treatment Outcomes and Neurological Risk Factors», изданной в 2019 г. В ней описывается анализ 102 лиц с зубовидной костью, из которых оперативному лечению подвергся 71 пациент, а 31 лечились консервативно. Показаниями для консервативного лечения были максимальное изменение атлантодентального интервала при сгибании и разгибании не более 5 мм и отсутствие симптомов стойкого неврологического дефицита. Пациенты без неврологических нарушений проходили наблюдение, если же имелись явления временного неярко выраженного неврологического дефицита после незначительной травмы, для консервативного лечения использовалась иммобилизация в жёстком воротнике либо жилете Гало в течение 3 месяцев. Также в группу консервативного лечения вошли пациенты, отказавшиеся от оперативного лечения, несмотря на клинические показания. В течение срока наблюдения 2 пациентам, лечившимся консервативно, всё же потребовалось выполнение оперативного лечения из-за развития атлантоаксиальной нестабильности и миелопатии. У 1 пациента со стойким неврологическим дефицитом в виде асимметричного неполного тетрапареза, отказавшегося от оперативного лечения, не наблюдалось динамики в изменении неврологического статуса в течение 10 лет наблюдения. Результаты консервативного лечения остальных пациентов оцениваются авторами как удовлетворительные [9].
Тем не менее, несмотря на данные наблюдения, пациентам с зубовидной костью и признаками нестабильности или неврологического дефицита рекомендуется проведение оперативного лечения [1]. Более того, за пациентами со стабильной зубовидной костью, которым решено проводить консервативное лечение, должно осуществляться долгосрочное наблюдение, чтобы иметь возможность выявить возникновение нестабильности в будущем [3].
Использование галотракции перед операцией и внешней иммобилизации в послеоперационном периоде
Галотракция оказалась очень полезным инструментом при лечении редуцируемых патологий краниоцервикального перехода, который в настоящее время чаще используется для внешней иммобилизации в до- и послеоперационном периодах [10, 11]. Есть несколько определённых показаний к его предоперационному применению в отношении зубовидной кости. При дистопическом варианте зубовидной кости, при котором имеется нередуцируемая компрессия в области большого затылочного отверстия, тракция может быть использована с осторожностью после установки галоаппарата в нейтральное положение и постепенной коррекции с применением рентген-контроля. При достижении выравнивания и редукции наложение жилета поможет временно сохранить положение коррекции, после чего может быть выполнена задняя фиксация со спондилодезом [3, 12].
C.F. List ещё в 1941 г. описал применение тракции для восстановления краниовертебральных соотношений [13]. L. Dai с соавт. использовали тракцию в предоперационной подготовке у всех 39 описанных ими пациентов с зубовидной костью с хорошим результатом [5].
С.Т. Ветрилэ и С.В. Колесов описали применение галоаппарата в сочетании с проведённой спицей через остистый отросток СII позвонка при лечении невправимых трансдентальных подвывихов и вывихов СI позвонка. Спицу фиксировали в скобе, которую крепили к штангам галоаппарата при помощи репонирующего устройства. Такая конструкция позволяла существенно повысить точность репозиции, в том числе при застарелых повреждениях [14].
А.А. Кулешов с соавт. в работе «Варианты хирургического лечения застарелых переломов зубовидного отростка СII позвонка» (2019 г.) отмечают, что в случаях выраженного смещения отломков и деформации позвоночного канала с компрессией спинного мозга используют многоэтапные варианты лечения с репозицией в галоаппарате и последующими декомпрессивно-стабилизирующими вмешательствами — моносегментарной фиксацией (проволочной, крючковой, винтовой по Magerl, Harms и т.п.) или окципитоспондилодезом [12]. Данный тезис правомерно применить и в отношении лечения пациентов с зубовидной костью из-за схожести этих клинических состояний [15].
В случаях использования техник дорсальной фиксации, включая субламинарное проведение, при котором отмечаются более поздние сроки сращения, а также в случаях, связанных с заболеваниями соединительной ткани и синдромом Дауна, при которых сроки сращения (достижения спондилодеза) также увеличены, послеоперационное наложение галокольца может быть хорошим вариантом к рассмотрению [16]. Однако Н.О. Хусаинов, С.В. Виссарионов, Д.Н. Кокушин отмечают, что у детей с синдромом Дауна применение галоаппарата ограниченно в связи с низким уровнем интеллекта подавляющего большинства больных, трудностями послеоперационного ухода и необходимостью тщательного наблюдения за пациентами. Применение головодержателя — Шанца или типа «Филадельфия» — у таких пациентов является оптимальным вариантом внешней фиксации шейного отдела позвоночника в послеоперационном периоде [17].
Использование навигации и биомоделей при оперативном лечении
J.E. Brecknell и G.M. Malham в 2008 г. продемонстрировали использование компьютерной томографии в качестве навигации, а также биомоделей как удачное дополнение к дорсальному проведению полиаксиальных винтов у 3 пациентов с зубовидной костью [18].
Биомодели являются достаточно точными инструментами. Трёхмерные реконструкции компьютерной модели, созданной на основе тонких срезов компьютерной томографии, обычно изготавливаются на основе акрилата или пластмассовых смол. Использование биомоделей для предоперационного планирования, предоставления информации пациентам и обучения технике операции может быть весьма полезным, хотя модальность данного утверждения требует дальнейшей проверки и изучения [19].
Варианты хирургического лечения пациентов с зубовидной костью
Невозможно обосновать единый хирургический подход к лечению пациента с нестабильной зубовидной костью и клинической симптоматикой. Парадигма принятия решений должна быть адаптирована к каждому случаю в индивидуальном порядке. Однако есть общие принципы, согласно которым формируется принятие решения о хирургическом доступе и методах фиксации, требующихся для лечения этого состояния. Алгоритм принятия решения в том или ином случае при наличии у пациента зубовидной кости изложен в работе B. Arvin с соавт. 2010 г. «Os odontoideum: etiology and surgical management» (рис. 1) [3].
Рис. 1. Алгоритм выбора метода лечения пациентов с зубовидной костью.
Fig. 1. Algorithm for selecting the method of treatment for patients with os odontoideum.
Как и при многих других состояниях, затрагивающих краниовертебральный переход, оперативное вмешательство в этой области преследует две основные цели: устранить компрессию в зоне большого затылочного отверстия и атлантоаксиальной области и стабилизировать позвоночник по отношению к его субаксиальному отделу, для чего в некоторых случаях прибегают к его фиксации с черепом [3, 10, 20].
Выбор переднего либо заднего доступа
Решение оперировать передним или задним доступом в значительной степени зависит от 2 факторов: во-первых, направления компрессии и, во-вторых, предпочтения, личного опыта и уровня комфорта выбранного доступа для хирурга.
Невправимый передний подвывих, связанный с компрессией спинного мозга, должен оперироваться из вентрального доступа. Задняя компрессия — дорсальным доступом. В случае пациента с зубовидной костью учитываются и другие факторы, такие как положение зубовидной кости и её способность к редукции. Следует отметить, что в подавляющем большинстве случаев можно пользоваться дорсальным доступом. Более того, если редукция достигается при крайнем положении сгибания, передний доступ становится технически сложновыполнимым [3].
В то же время, если редукция достигается в разгибании, дорсальный доступ можно применять только в том случае, если удаётся избежать компрессии спинного мозга. В ряде случаев необходимо использовать возможность декомпрессии из передних доступов, особенно если сохраняется значительная остаточная компрессия после выполнения дорсального этапа. При фиксированной зубовидной кости, в основном дистопическом варианте, как правило, требуется передняя декомпрессия с применением трансорального либо трансназального доступа с предварительно выполненной дорсальной стабилизацией [3, 15, 21, 22].
Хирургические техники для заднего СI-СII спондилодеза с использованием полиаксиальных винтов и стержней
A. Goel с соавт. в 1994 г. были первыми, кто описал применение независимых CI и CII винтов, соединённых пластиной. В опубликованном ими исследовании с участием 160 пациентов самая большая группа (48 пациентов) имела зубовидную кость, при использовании этой техники отмечались хорошие результаты [23, 24] (рис. 2).
Рис. 2. Методика фиксации СI-СII по Goel. a — иллюстрация методики, b — рентгенограмма в боковой проекции.
Fig. 2. C1-C2 Goel fixation techniques. a — illustration of technique, b — the X-ray in lateral view.
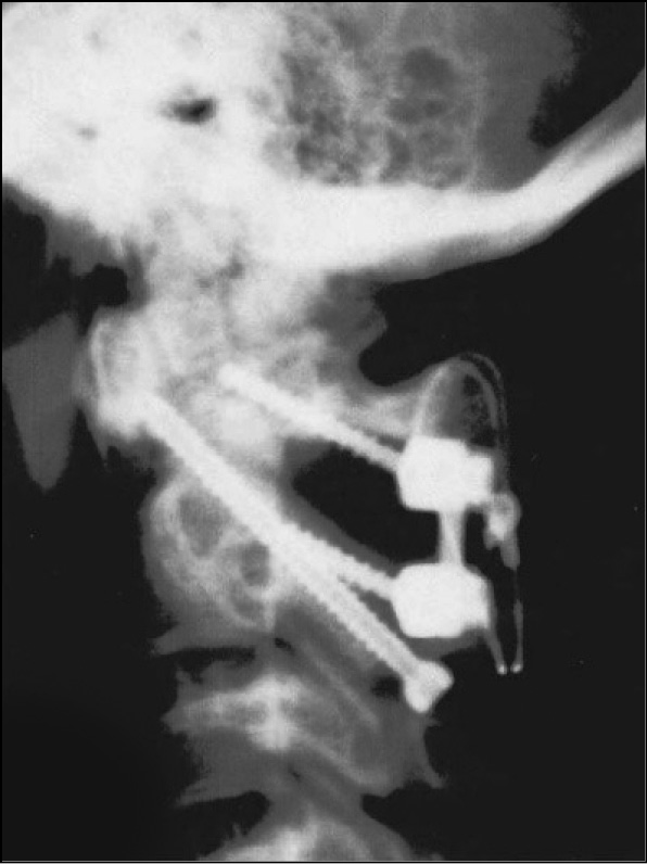
J. Harms, R.P. Melcher в 2001 г. описали методику фиксации СI-СII сегмента с проведением полиаксиальных винтов через боковые массы СI и через pars interarticularis транспедикулярно в СII с последующим выполнением корригирующего манёвра под рентген-контролем и фиксацией стержнями (рис. 3) [25]. Шесть из 37 пациентов, описанных в исследовании, имели зубовидную кость. В позднем послеоперационном периоде у всех пациентов наблюдались рентгенологические признаки спондилодеза. Эта техника имеет значительные преимущества: корригирующий манёвр может быть выполнен интраоперационно, и риск повреждения позвоночной артерии значительно снижен [25].
Рис. 3. Методика фиксации СI-СII по Harms и Melcher. a — вид сбоку, b — вид сзади, с — рентгенограмма в боковой проекции.
Fig. 3. C1-C2 Harms and Melcher fixation technique. a — side view, b — back view, с — the X-ray in lateral view.
M. Al-Barbarawi с соавт. в 2005 г. описали комбинацию техники Harms и Melcher с трансартикулярным проведением винтов у пациента с зубовидной костью (рис. 4) [26]. Осложнений в интраоперационном и послеоперационном периодах отмечено не было. При дальнейшем наблюдении на контрольных рентгенограммах и компьютерной томографии — положение элементов металлоконструкции удовлетворительное. Спондилодез сформировался через 3 месяца [26].
Рис. 4. Комбинированная методика фиксации СI-СII, описанная Al-Barbarawi.
Fig. 4. The combined C1-C2 fixation technique described by Al-Barbarawi.
F. Magerl и P.S. Seemann в 1979 г. предложили методику задней трансартикулярной фиксации СI-СII винтами (рис. 5) [27]. Данная техника показала лучшее сращение, чем субламинарная проволочная фиксация [3].
Рис. 5. Методика фиксации СI-СII по Magerl. a — вид сзади, b — вид сбоку.
Fig. 5. C1-C2 fixation technique by Magerl. a — back view, b — side view.
C.A. Dickman и V.K. Sonntag в 1998 г. в большой серии исследований с участием 121 пациента, у 9 из которых была зубовидная кость и которым проводилась СI-СII фиксация с задним спондилодезом с применением задней трансартикулярной либо субламинарной проволочной фиксации, продемонстрировали уровень формирования костного блока, равный 98%, при использовании этой техники по сравнению с 86% при использовании задней субламинарной проволочной фиксации [28].
Хотя существенной разницы в частоте формирования костного блока при использовании трансартикулярной винтовой фиксации и проведении полиаксиальных винтов через боковые массы СI и через pars interarticularis транспедикулярно в СII нет, имеются ограничения в плане техники. Во-первых, перед проведением трансартикулярного винта необходимо привести в норму соотношения в атлантоаксиальном суставе, что означает достижение редукции. Во-вторых, правильный угол проведения винта в случаях, когда у пациента имеется выраженная кифотическая деформация грудного отдела, может быть не достигнут. И наконец, примерно пятая часть пациентов с аномалиями краниовертебрального перехода имеют другие костные аномалии в данной области либо аномальное прохождение позвоночной артерии, что увеличивает вероятность её травмирования при использовании этой техники [29, 30].
J. Liu с соавт. в 2019 г. описали методику комплексной редукции при невправимом вывихе СI позвонка на фоне зубовидной кости с последовательным использованием галотракции, давления вперёд за остистый отросток СII позвонка, дистракции на элементах установленной металлоконструкции с последующим смещением СI позвонка кзади (рис. 6) [31].
Рис. 6. Схема поэтапной комплексной редукции по J. Liu с соавт.
Fig. 6. Scheme of staged complex reduction by J. Liu et al.
Передняя трансартикулярная фиксация
Метод передней трансартикулярной фиксации, впервые описанный J.R. Barbour в 1971 г. для лечения пациентов с атлантоаксиальной нестабильностью [32], в настоящее время имеет меньшую популярность по сравнению с методами дорсальной фиксации СI-СII. Однако W.L. Li с соавт. в работе «Percutaneous anterior transarticular screw fixation for atlantoaxial instability: a case series» (2010 г.) провели ретроспективный анализ 8 случаев пациентов с атлантоаксиальной нестабильностью, у 3 из которых обнаружили зубовидную кость и которым выполнялось оперативное лечение в виде перкутанной передней трансартикулярной фиксации СI-СII винтами. По результатам данного исследования, методика передней трансартикулярной фиксации продемонстрировала схожий уровень биомеханической стабильности в сравнении с другими способами фиксации СI-СII, а также высокий показатель клинического успеха. Спондилодез сформировался у всех пациентов [33].
Также передняя трансартикулярная фиксация может быть альтернативой фиксации из заднего доступа при выраженном грудном кифозе и аберрантном расположении позвоночной артерии [34, 35].
Задняя субламинарная проволочная фиксация
Ранние хирургические техники с применением субламинарной проволочной фиксации, описанные A.L. Brooks, E.B. Jenkins и W.E. Gallie, получили вариабельные результаты формирования спондилодеза [36, 37]. Биомеханически движения ограниченны при использовании этих техник в разгибании (из-за распорки или костного трансплантата) и сгибании (из-за субламинарных спиц или трансартикулярных винтов). Большинство сторонников данного хирургического подхода рекомендуют послеоперационную галоиммобилизацию сроком на 3 месяца.
Для осуществления фиксации с использованием этих техник также требуется нормальная задняя дуга СI и СII, что в случае врождённых аномалий часто не гарантируется [3].
С появлением трансартикулярной фиксации, возможности проведения полиаксиальных винтов через боковые массы СI и через pars interarticularis транспедикулярно в СII и различных модификаций метода Harms и Melcher субламинарная проволочная фиксация встречается всё реже.
Этот метод остаётся полезным инструментом в арсенале хирурга для формирования заднего спондилодеза СI-СII в случаях аберрантного прохождения позвоночной артерии и в педиатрической практике [3].
Показания к формированию окципитоспондилодеза
Иногда возникает необходимость в формировании окципитоспондилодеза. Это увеличивает ограничение подвижности в шейном отделе позвоночника при сгибании, разгибании и вращении на 15–20 дополнительных градусов. Частота осложнений при этом методе также выше, в том числе внутричерепной геморрагии, ликвореи, несостоятельности раны и инфекционных осложнений [3].
Показания к формированию окципитоспондилодеза у пациентов с зубовидной костью делятся на две категории: случаи, когда имеется нестабильный дистопический вариант зубовидной кости, и случаи, если имеется ассоциация с врождёнными воспалительными процессами и дегенеративными аномалиями, поражающими кранио-цервикальный переход. Иногда компрессию создают тело осевого позвонка и зуб, а не зубовидная кость. В таких случаях более обширные операции аксиальной коррекции потребуют обязательного окципитоспондилодеза [3, 10].
Этот метод особенно применим в случаях, когда трансоральная хирургия использовалась для резекции зуба и тела СII, а также при разрушении атлантоаксиального связочного аппарата, что способствовало развитию тяжёлой окципитоцервикальной нестабильности [3, 15, 21].
Эндоскопические доступы (трансоральный и эндоназальный)
A.H. Menezes в 2008 г. сообщил об обширном опыте использования трансорального доступа у 733 пациентов, из которых у 30 был дистопический вариант зубовидной кости. Расположенная на средней линии зубовидная кость особенно хорошо подходит для выполнения данного доступа [38].
С другой стороны, последовательный, пошаговый релиз передних структур при этом доступе позволяет выполнить редукцию фиксированной ранее деформации, устраняя необходимость в субтракционном манёвре. Эти шаги включают релиз m. longus colli, m. longus capitis, передней продольной связки, спаек СI-СII сустава, передней дуги СI и, наконец, апикальной и крыловидных связок [3].
А.Н. Шкарубо, А.А. Кулешов с соавт. в 2016 г. описали клинический случай пациента с редким сочетанием зубовидной кости с солитарной костной кистой второго шейного позвонка и самой зубовидной кости. Пациенту было выполнено многоэтапное оперативное лечение, включающее дорсальную стабилизацию в виде окципитоспондилодеза, трансоральное удаление кисты из тела СII позвонка и последующее трансоральное удаление зубовидной кости с солитарной костной кистой [21].
Для выполнения передней декомпрессии путём резекции зубовидного отростка может использоваться эндоскопический эндоназальный доступ.
Впервые в мире эндоскопическое эндоназальное удаление инвагинированного зубовидного отростка позвонка СII (одонтоидэктомию) выполнил в 2005 г. американский нейрохирург A. Kassam, а в России впервые подобная операция была выполнена А.Н. Шкарубо в НМИЦ нейрохирургии им. акад. Н.Н. Бурденко в 2010 г. (рис. 7) [22].
Рис. 7. a — схема эндоскопического эндоназального доступа и удаления зубовидного отростка СII позвонка, b — состояние после эндоскопической трансназальной резекции инвагинированного зубовидного отростка и декомпрессии стволовых структур, c — костные структуры области краниовертебрального перехода, d — резекция переднего полукольца СI позвонка, e — резекция зубовидного отростка СII позвонка, части тела СII позвонка и нижних отделов ската.
Fig. 7. a — scheme of endoscopic endonasal approach and removal of the C2 dens, b — condition after endoscopic transnasal resection of invaginated C2 dens and decompression, c — CVJ bone structures, d — resection of the anterior half ring of the C1, e — resection of C2 dens, part C2 body and the lower parts of basion.
S. Magrini с соавт. в 2008 г. описали эндоскопическую эндоназальную одонтоидэктомию у пациента с синдромом Дауна, зубовидной костью и клиникой прогрессирующего тетрапареза с дыхательными нарушениями. Послеоперационный период протекал без осложнений. Через 2 месяца интенсивной физиотерапии отмечалось улучшение неврологической симптоматики в виде увеличения мышечной силы с 2 до 4 баллов и исчезновения дыхательных расстройств [39].
В качестве итога в вопросах хирургического лечения пациентов с зубовидной костью необходимо предоставить наибольший по количеству прооперированных лиц опыт исследователей из Китая Deng Zhao с соавт. (2015 г.). В исследование были включены 279 пациентов, которым проводилось оперативное лечение по поводу наличия зубовидной кости. Использовались различные варианты дорсальной фиксации: трансартикулярная фиксация СI-СII (модифицированная техника Magerl) выполнялась в 38 случаях, педикулярная винтовая фиксация (техника Goel и Harms) — в 202 случаях, окципитоспондилодез до уровня СII — в 35 случаях, более продлённая фиксация окципитоспондилодеза до уровня СIII или СIV — в 4 случаях. У 38 пациентов с невправимыми вывихами в атлантоаксиальных суставах в одну операционную сессию на первом этапе выполнялся трансоральный релиз.
Общая частота осложнений составила 2,4% (8 пациентов). В частности, они включали ликворею (1 пациент), инфекцию области оперативного вмешательства (4 пациента), пневмонию (2 пациента) и тромбоз глубоких вен нижней конечности (1 пациент). По результатам последующего наблюдения, у 217 пациентов (77,7%) отмечалось улучшение неврологического и физического статуса после операции. У 30 пациентов (10,8%) динамики в изменении статуса не наблюдалось. И ещё 32 пациента (11,5%) отмечали ухудшение.
Согласно результатам последующего обследования с применением лучевых методов исследования, костный блок сформировался у 270 пациентов (96,8%) в среднем через 5,7 месяца. У 9 пациентов (3,2%) отсутствовали признаки формирования костного блока, однако клинических проявлений не отмечалось, конструкция была стабильна, и дальнейших ревизионных операций не потребовалось [40].
РЕЗЮМЕ
Для рационального предоперационного планирования в качестве дополнительных инструментов всё чаще используются компьютерная томографическая ангио- и миелография, на основе которых можно изготавливать 3D-биомодели и кастомизированные металлоимплантаты, что, в свою очередь, значительно повышает точность предоперационного планирования и улучшает результаты оперативного лечения [3].
Несмотря на то, что описаны случаи консервативного лечения пациентов с зубовидной костью, в настоящее время большинство авторов придерживаются мнения, что лица с данным пороком краниовертебральной области должны лечиться оперативно [1–3, 17].
Галотракция является важным инструментом для достижения редукции и сохранения стабильности на дооперационном этапе. Этот метод следует применять во всех случаях, когда существует неопределённость в отношении редукции зубовидного отростка [5, 10, 12].
Подходы к оперативному лечению пациентов с зубовидной костью также разнятся. В настоящее время предложено множество вариантов хирургического лечения данной патологии, однако остаётся несомненным то, что универсальным компонентом в лечении пациентов с зубовидной костью является либо сохранение, либо достижение стабильности на уровне СI-СII позвонков и, при необходимости, выполнение декомпрессии [41–43].
Для устранения передней компрессии можно использовать дорсальный доступ, но только в тех случаях, когда возможно вправление и спинной мозг на уровне краниовертебрального перехода не подвергается риску дополнительной компрессии. Во всех остальных случаях вентральной компрессии показано этапное хирургическое лечение в виде трансоральной декомпрессии в сочетании с задним спондилодезом. Существует множество методов для выполнения заднего спондилодеза, однако в настоящее время наиболее предпочтительным вариантом является методика Harms и Melcher с проведением полиаксиальных винтов через боковые массы СI и через pars interarticularis транспедикулярно в СII с последующим выполнением корригирующего манёвра под рентген-контролем и фиксацией стержнями [10, 25, 40].
ЗАКЛЮЧЕНИЕ
Зубовидная кость второго шейного позвонка является крайне редкой патологией краниовертебральной области, которая в значительной части случаев приводит к развитию грозных неврологических и функциональных осложнений. С учётом этого понимание подходов к курации и лечению данной группы пациентов является важным для врача травматолога-ортопеда в условиях как амбулатории, так и стационара. Современные подходы к предоперационному планированию и оперативному лечению, в свою очередь, должны быть известны и доступны широкому кругу хирургов-вертебрологов.
Несмотря на то, что существуют сообщения с описанием консервативных подходов к лечению пациентов с зубовидной костью, в настоящее время всё больше исследователей считают, что такие пациенты нуждаются в инструментальной фиксации.
Тем не менее всё ещё имеется потребность в индивидуальном подходе при оценке каждого из случаев с точки зрения как предоперационного планирования, так и объёма оперативного вмешательства, выбора хирургического доступа, уровня фиксации. Тактика хирургического лечения должна быть выбрана в соответствии с подготовкой и оснащением хирургической бригады, показаниями для того или иного вида декомпрессии и, что немаловажно, пожеланиями пациента и его семьи.
ДОПОЛНИТЕЛЬНО
Вклад авторов. Все авторы подтверждают соответствие своего авторства международным критериям ICMJE (все авторы внесли существенный вклад в разработку концепции и подготовку статьи, прочли и одобрили финальную версию перед публикацией). Наибольший вклад распределён следующим образом: В.А. Шаров — сбор и анализ литературных источников, написание текста статьи; А.А. Кулешов — редактирование и написание текста статьи; А.Н. Шкарубо — редактирование текста статьи; М.С. Ветрилэ — редактирование текста статьи; И.Н. Лисянский — сбор литературных источников, редактирование текста статьи; С.Н. Макаров — сбор литературных источников, редактирование текста статьи.
Источник финансирования. Авторы заявляют об отсутствии внешнего финансирования при подготовке публикации.
Конфликт интересов. Авторы декларируют отсутствие явных и потенциальных конфликтов интересов, связанных с проведённым исследованием и публикацией настоящей статьи.
ADDITIONAL INFO
Author contribution. All authors made a substantial contribution to the conception of the work, drafting and revising the work, final approval of the version to be published and agree to be accountable for all aspects of the work. V.A. Sharov — collection and analysis of literary sources, writing the text of the article; A.A. Kuleshov — editing and writing the text of the article; A.N. Shkarubo — editing the text of the article; M.S. Vetrile — editing the text of the article; I.N. Lisyansky — collecting literary sources, editing the text of the article; N.S. Makarov — collecting literary sources, editing the text of the article.
Funding source. This study was not supported by any external sources of funding.
Competing interests. The authors declare that they have no competing interests.
About the authors
Alexander A. Kuleshov
Priorov National Medical Research Center of Traumatology and Orthopedics
Email: cito-spine@mail.ru
ORCID iD: 0000-0002-9526-8274
SPIN-code: 7052-0220
MD, Dr. Sci. (Med.)
Russian Federation, MoscowAlexey N. Shkarubo
Burdenko National Scientific and Practical Center for Neurosurgery
Email: Ashkarubo@nsi.ru
ORCID iD: 0000-0003-3445-3115
SPIN-code: 3420-3394
MD, Dr. Sci. (Med.), Leading Researcher
Russian Federation, MoscowVladislav A. Sharov
Priorov National Medical Research Center of Traumatology and Orthopedics
Author for correspondence.
Email: sharov.vlad397@gmail.com
ORCID iD: 0000-0002-0801-0639
SPIN-code: 8062-9216
Traumatologist-Orthopedist
Russian Federation, MoscowMarchel S. Vetrile
Priorov National Medical Research Center of Traumatology and Orthopedics
Email: vetrilams@cito-priorov.ru
ORCID iD: 0000-0001-6689-5220
SPIN-code: 9690-5117
MD, Cand. Sci. (Med.), Traumatologist-Orthopedist
Russian Federation, MoscowIgor N. Lisyansky
Priorov National Medical Research Center of Traumatology and Orthopedics
Email: lisigornik@list.ru
ORCID iD: 0000-0002-2479-4381
SPIN-code: 9845-1251
MD, Cand. Sci. (Med.), Traumatologist-Orthopedist
Russian Federation, MoscowSergey N. Makarov
Priorov National Medical Research Center of Traumatology and Orthopedics
Email: moscow.makarov@gmail.com
ORCID iD: 0000-0003-0406-1997
SPIN-code: 2767-2429
MD, Cand. Sci. (Med.), Traumatologist-Orthopedist
Russian Federation, MoscowReferences
- Gubin AV, Ulrikh EV. Syndrome approach to the treat-mentof in children with cervical spine abnormalities. Spine Surgery. 2010;(3):014–19. (In Russ). doi: 10.14531/ss2010.3.14-19
- Gubin AV, Ulrikh EV, Mushkin AYu, Ryabykh SO, Burtsev AV, Anisimov AN, Dubonosov YuV, Ochirova PV. Emergency vertebrology: cervical spine in children. Spine Surgery. 2013;(3):81–91. (In Russ). doi: 10.14531/ss2013.3.81-91
- Arvin B, Fournier-Gosselin MP, Fehlings MG. Os odontoideum: etiology and surgical management. Neurosurgery. 2010;66(3 Suppl):22–31. doi: 10.1227/01.NEU.0000366113.15248.07
- Clements WD, Mezue W, Mathew B. Os odontoideum congenital or acquired? That’s not the question. Injury. 1995;26(9):640–642. doi: 10.1016/0020-1383(95)00123-q
- Dai L, Yuan W, Ni B, Jia L. Os odontoideum: etiology, diagnosis, and management. Surg Neurol. 2000;53(2):106–8; discussion 108–9. doi: 10.1016/s0090-3019(99)00184-6
- Spierings EL, Braakman R. The management of os odontoideum. Analysis of 37 cases. J Bone Joint Surg Br. 1982;64(4):422–8. doi: 10.1302/0301-620X.64B4.7096415
- Fielding JW, Hensinger RN, Hawkins RJ. Os Odontoideum. J Bone Joint Surg Am. 1980;62(3):376–83.
- Klimo PJr, Kan P, Rao G, Apfelbaum R, Brockmeyer D. Os odontoideum: presentation, diagnosis, and treatment in a series of 78 patients. J Neurosurg Spine. 2008;9(4):332–42. doi: 10.3171/SPI.2008.9.10.332
- Helenius IJ, Bauer JM, Verhofste B, Sponseller PD, Krengel WF, Hedequist D, Cahill PJ, Larson AN, Pahys JM, Anderson JT, Martus JE, Yaszay B, Phillips JH. Os Odontoideum in Children: Treatment Outcomes and Neurological Risk Factors. J Bone Joint Surg Am. 2019;101(19):1750–1760. doi: 10.2106/JBJS.19.00314
- Wu X, Wood KB, Gao Y, Li S, Wang J, Ge T, Zhao B, Shao Z, Yang S, Yang C. Surgical strategies for the treatment of os odontoideum with atlantoaxial dislocation. J Neurosurg Spine. 2018;28(2):131–139. doi: 10.3171/2017.5.SPINE161211
- Lutsik AA, Ratkin IK, Nikitin MN. Craniovertebral injuries and diseases. Novosibirsk: Publisher; 1998. 551 р. (In Russ).
- Kuleshov AA, Shkarubo AN, Eskin NA, Vetrile MS, Lisyansky IN, Makarov SN, Ponomarenko GP, Chernov IV. Options for surgical treatment of chronic C2 odontoid fractures. Spine Surgery. 2019;16(1):16–24. (In Russ). doi: 10.14531/ss2019.1.16-24
- List CF. Neurologic syndromes accompanying developmental anomalies of occipital bone, atlas and axis. Arch Neurol Psychiatr. 1941;(45):577–616. doi: 10.1001/archneurpsyc.1941.02280160009001
- Vetrile ST, Kolesov SV. Craniovertebral pathology. Moscow: Medicine; 2007. 201–202 р. (In Russ).
- Kuleshov AA, Shkarubo AN, Gromov IS, Vetrile MS, Lisyansky IN, Makarov SN, Chernov IV, Mitrofanova EV, Ponomarenko GP. Surgical treatment of non-tumor diseases of the craniovertebral region. N.N. Priorov Journal of Traumatology and Orthopedics. 2018;25(1):36–41. (In Russ). doi: 10.32414/0869-8678-2018-1-36-41
- Selman WR, Spetzler RF, Brown R. The use of intraoperative fluoroscopy and spinal cord monitoring for transoral microsurgical odontoid resection. Clin Orthop Relat Res. 1981;(154):51–6.
- Khusainov NO, Vissarionov SV, Kokushin DN. Instability of the craniovertebral region in children with Down syndrome Orthopedics, traumatology and reconstructive surgery of childhood. 2016;4(3):71–77. (In Russ). doi: 10.17816/PTORS4371-77
- Brecknell JE, Malham GM. Os odontoideum: report of three cases. J Clin Neurosci. 2008;15(3):295–301. doi: 10.1016/j.jocn.2006.07.022
- D’Urso PS, Williamson OD, Thompson RG. Biomodeling as an aid to spinal instrumentation. Spine (Phila Pa 1976). 2005;30(24):2841–5. doi: 10.1097/01.brs.0000190886.56895.3d
- Taggard DA, Menezes AH, Ryken TC. Treatment of Down syndrome-associated craniovertebral junction abnormalities. J Neurosurg. 2000;93(2 Suppl):205–13. doi: 10.3171/spi.2000.93.2.0205
- Shkarubo AN, Kuleshov AA, Semenova LA, Shishkina LV, Shvets VV, Vetrile MS, Gromov IS, Marshakov VV, Chernov IV. Surgical treatment of bone cysts of the skull slope and axis. Zh Vopr Neirokhir. 2016;80(1):88–97. (In Russ). doi: 10.17116/neiro201680188-97
- Shkarubo AN. Atlas of endoscopic endonasal surgery of the skull base and craniovertebral articulation. Moscow: ABC Press; 2020. 208–209 р. (In Russ).
- Goel A, Desai KI, Muzumdar DP. Atlantoaxial fixation using plate and screw method: a report of 160 treated patients. Neurosurgery. 2002;51(6):1351–6; discussion 1356–7.
- Goel A, Laheri V. Plate and screw fixation for atlanto-axial subluxation. Acta Neurochir (Wien). 1994;129(1–2):47–53. doi: 10.1007/BF01400872
- Harms J, Melcher RP. Posterior C1-C2 fusion with polyaxial screw and rod fixation. Spine (Phila Pa 1976). 2001;26(22):2467–71. doi: 10.1097/00007632-200111150-00014
- Al-Barbarawi M, Sekhon LH. Protection of the C1 posterior arch in atlantal lateral mass fixation: technical case report. J Clin Neurosci. 2005;12(1):59–61. doi: 10.1016/j.jocn.2004.03.006
- Magerl F, Seemann PS. Stable posterior fusion of the atlas and axis by transarticular screw fixation. In: Kehr P, Weidner A, editors. Cervical Spine. Vol. 1. Springer, Strassbourg, Wien, New York; 1985. 322–327 р.
- Dickman CA, Sonntag VK. Posterior C1-C2 transarticular screw fixation for atlantoaxial arthrodesis. Neurosurgery. 1998;43(2):275–80; discussion 280–1. doi: 10.1097/00006123-199808000-00056
- Madawi AA, Casey AT, Solanki GA, Tuite G, Veres R, Crockard HA. Radiological and anatomical evaluation of the atlantoaxial transarticular screw fixation technique. J Neurosurg. 1997;86(6):961–8. doi: 10.3171/jns.1997.86.6.0961
- Paramore CG, Dickman CA, Sonntag VK. The anatomical suitability of the C1-2 complex for transarticular screw fixation. J Neurosurg. 1996;85(2):221–4. doi: 10.3171/jns.1996.85.2.0221
- Liu J, Zhu LJ, Jiang EZ, Bao XG, Hu B, Niu DY, Xu GH. C1-C2 pedicle screw fixation for adolescent with os odontoideum associated atlantoaxial dislocation and a compound reduction technique for irreducible atlantoaxial dislocation. Chin Med J (Engl). 2019;132(10):1253–1256. doi: 10.1097/CM9.0000000000000224
- Barbour JR. Screw fixation in fracture of the odontoid process. S Aust Clin. 1971;(5):20.
- Li WL, Chi YL, Xu HZ, Wang XY, Lin Y, Huang QS, Mao FM. Percutaneous anterior transarticular screw fixation for atlantoaxial instability: a case series. J Bone Joint Surg Br. 2010;92(4):545–9. doi: 10.1302/0301-620X.92B4.22790
- Wu AM, Wang XY, Zhou F, Zhang XL, Xu HZ, Chi YL. Percutaneous atlantoaxial anterior transarticular screw fixation combined with mini-open posterior C1/2 wire fusion for patients with a high-riding vertebral artery. J Spinal Cord Med. 2016;39(2):234–9. doi: 10.1179/2045772314Y.0000000298
- Kim SM, Lim TJ, Paterno J, Hwang TJ, Lee KW, Balabhadra RS, Kim DH. Biomechanical comparison of anterior and posterior stabilization methods in atlantoaxial instability. J Neurosurg. 2004;100(3 Suppl Spine):277–83. doi: 10.3171/spi.2004.100.3.0277
- Brooks AL, Jenkins EB. Atlanto-axial arthrodesis by the wedge compression method. J Bone Joint Surg Am. 1978;60(3):279–84.
- Gallie WE. Fracture and dislocations of the cervical spine. Am J Surg. 1939;(46):495–499.
- Menezes AH. Craniovertebral junction database analysis: incidence, classification, presentation, and treatment algorithms. Childs Nerv Syst. 2008;24(10):1101–8. doi: 10.1007/s00381-008-0605-9
- Magrini S, Pasquini E, Mazzatenta D, Mascari C, Galassi E, Frank G. Endoscopic endonasal odontoidectomy in a patient affected by Down syndrome: technical case report. Neurosurgery. 2008;63(2):E373–4; discussion E374. doi: 10.1227/01.NEU.0000315285.84524.74
- Zhao D, Wang S, Passias PG, Wang C. Craniocervical instability in the setting of os odontoideum: assessment of cause, presentation, and surgical outcomes in a series of 279 cases. Neurosurgery. 2015;76(5):514–21. doi: 10.1227/NEU.0000000000000668
- Pavlova OM, Burtsev AV, Gubin AV, Ryabykh SO. Posterior instrumental fixation of the cervical spine in children: treatment experience. Spine Surgery. 2017;14(4):27–31. (In Russ). doi: 10.14531/ss2017.4.27-31
- Ryabykh SO, Ochirova PV, Gubin AV, Kolesov SV, Kolbovsky DA, Tretyakova AN, Ryabykh TV, Medvedeva SN, Savin DM, Burtsev AV, Sayfutdinov MS. Vertebral syndrome in various types of mucopolysaccharidosis: features of the clinic and treatment. Spine Surgery. 2019;16(2):81–91. (In Russ). doi: 10.14531/ss2019.2.81-91
- Hadley MN, Walters BC, Grabb PA, Oyesiku NM, Przybylski GJ, Resnick DK, Ryken TC. Os odontoideum. Neurosurgery. 2002;50(3 Suppl):S148–55. doi: 10.1097/00006123-200203001-00023
Supplementary files









