Lumbosacral pain in athletes and ballet dancers: spondylolysis and spondylolisthesis
- Authors: Mironov S.P.1, Burmakova G.M.1, Orletsky A.K.1, Tsykunov M.B.1,2, Andreev S.V.1
- 
							Affiliations: 
							- N.N. Priorov National Medical Research Center of Traumatology and Orthopedics
- N.I. Pirogov Russian National Research Medical University
 
- Issue: Vol 26, No 2 (2019)
- Pages: 5-13
- Section: Original study articles
- Submitted: 19.10.2020
- Published: 15.06.2019
- URL: https://journals.eco-vector.com/0869-8678/article/view/47166
- DOI: https://doi.org/10.17116/vto20190215
- ID: 47166
Cite item
Full Text
Abstract
Purpose of research. Development of diagnostic algorithm for lumbosacral pain syndrome (PCBS) caused by spondylolysis and spondylolisthesis of I—II degree in athletes and ballet dancers.
Material and methods. 212 patients — athletes and entertainers of BA - summer with PCBS caused by spondylolysis (171 persons) and spondylolisthesis of I—II degree (41 persons) of lumbar vertebrae were under observation. Clinical and neurological, x-ray studies, ultrasonography, computed tomography, scintigraphy, as well as the study of markers of bone tissue re - sorption (calcium in urine) and bone formation (alkaline phosphatase) were carried out.
Results. Clinical manifestations spondylolysis malespecific (pain after exercise); with the progression of instability and incipient spondylolisthesis pain, strengthening - esja at sharp movements, increased muscle tone of extensors of the back and the rear muscle groups of the thigh. Decisive in the diagnosis are radiological methods. Information content of standard spondylograms is 84.6%), functional-96.7%. To clarify the localization, the size of the arc defect, as well as in subsequent control examinations, an additional study is carried out in 3/4 projections (information content of 99.2%). A highly sensitive informative method is scintigraphy, which allows to determine the presence of bone tissue rearrangement in the first days after the injury. The focus of hyperfixation, or Vice versa, hypothically radiopharmaceutical characteristics would constitute an increase or decrease of metabolic processes. With the help of scintigraphy, you can track the dynamics of reparative processes and determine the timing of the resumption of professional activities. Ultrasonography also helps to detect instability in the vertebral segment in the early stages of its development and monitor the dynamics in the treatment process. Detection of osteopenia evidence of a violation of bone metabolism, which must be considered in the treatment-be sure to use drugs that affect bone metabolism and calcium homeostasis. Conclusion. The combination of standard, functional radiographs, as well as x-rays in oblique projections and scintigraphy is quite adequate for the diagnosis of splondylolysis, spondylolisthesis and the detection of instability in athletes and ballet dancers.
Full Text
Одной из причин пояснично-крестцовых болей у спортсменов и артистов балета является врожденный или приобретенный дефект дуги позвонка [1—4]. Зачастую имеются диагностические трудности при выявлении указанной патологии, что приводит к запоздалому и неадекватному лечению и потере профессиональной работоспособности.
Цель исследования: разработка диагностического алгоритма при пояснично-крестцовом болевом синдроме (ПКБС), обусловленном спондилолизом, у спортсменов и артистов балета.
Материал и методы
Под наблюдением находились 212 пациентов — спортсменов и артистов балета с ПКБС, обусловленным спондилолизом (у 171) и спондилолистезом I— П степени (у 41) поясничных позвонков. При обследовании выявлен спондилолиз позвонков Lv (у 139), LIV (у 68), LIII (у 4) и у одной пациентки — солистки балета — позвонка LII. Среди пациентов было 103 (48,6%) мужчины и 109 (51,4%) женщин в возрасте 15-32 лет. Средний возраст составил 20,7 года.
Методы исследования: клинико-неврологический, рентгенологический, ультрасонография, компьютерная томография (КТ), сцинтиграфия, а также исследование маркеров резорбции костной ткани (кальций в моче) и костеобразования (щелочная фосфатаза).
Результаты
Наиболее часто спондилолиз встречался у пациентов, занимающихся теми видами спорта, в которых на позвоночник многократно действует чрезмерная осевая нагрузка в сочетании с переразгибанием и ротацией позвоночника — спортивная гимнастика, балет, тяжелая атлетика и т.д.
Двусторонний спондилолиз обнаружен у представителей спортивной гимнастики, тяжелоатлетов, прыгунов в воду, артистов балета, пловцов стилями брасс и баттерфляй и явился результатом преобладания симметричной нагрузки у 51 (24%) пациента. Во всех остальных случаях спондилолиз был односторонним.
Продолжительность болевого синдрома до обращения в клинику составила 1-9 мес.
Острый спондилолиз или перелом дужки мы отметили у 10 (4,7%) пациентов, в результате избыточной специфической нагрузки у 5 гимнастов,1 акробата—артиста цирка и 2 артистов балета. Последние отметили, что впервые боль в спине появилась при выполнении арабеска. Боль при гиперэкстензии позвоночника при опоре на пальцы одной ноги (арабеск) часто служит первым признаком стрессового перелома дуги позвонка. У 2 хоккеистов острый спондилолиз — перелом дуги — возник в результате выполнения силовых приемов у бортика.
У остальных пациентов отмечена хроническая форма спондилолиза. У них боли нарастали постепенно, были нерезкими по своей интенсивности. Усиление болевых ощущений наблюдалось при резкой осевой нагрузке (отталкивание при прыжке или приземлении), переразгибании поясничного отдела позвоночника и особенно при сочетании переразгибания с вращениями. Острые боли сохранялись в течение нескольких дней, затем интенсивность их снижалась. При продолжении профессиональных занятий боли возобновлялись, в ряде случаев становились постоянными.
Боль уменьшалась в положении лежа, усиливалась при наклонах туловища вперед и назад, при стоянии и ходьбе.
У 38 (15%) человек первоначально боли появились в грудном, нижнегрудном или верхнепоясничном отделах. Можно предполагать, что у юных атлетов или танцоров эти боли были обусловлены перенапряжением фиксирующих нижнепоясничный отдел позвоночника мышц спины, которые прикрепляются именно в нижнегрудном и верхнепоясничном отделах позвоночника. У более старших пациентов боли в грудном и нижнегрудном отделах, очевидно, были связаны с межпозвонковым остеохондрозом, обостряющимся вследствие статических перегрузок.
Признаки начинающейся нестабильности — боль или усиление боли при резких неожиданных движениях, напряжении задней группы мышц бедер с формированием тендопериостеопатии седалищного бугра.
У ряда пациентов имелись отраженные боли, обусловленные перегрузкой связок пояснично-крестцового отдела позвоночника. Так, боли в области крестца и копчика вызваны перенапряжением остистых связок. Боли в верхнеягодичной, паховой области или задней поверхности бедра являются следствием перегрузки пояснично-подвздошной связки. Локализация отраженных болей не была постоянной. У одного и того же больного боли в крестцовой области со временем сменялись болью в паховой области, затем верхнеягодичной и т.д.
При осмотре у большинства пациентов определялся усиленный лордоз поясничного отдела позвоночника различной степени выраженности. Гипертонус паравертебральных мышц отмечен во всех случаях изменения профиля поясничного лордоза, что подтверждено результатами миотонусометрии.
Наклоны туловища вперед или назад ограничены и болезненны только в остром периоде. Латерофлексия не ограничена, но болезненная в сторону пораженной дуги.
Маховый тест (swing-тест) — воспроизведение или усиление боли в положении стоя при переразгибании ноги на больной стороне («ласточка») — отмечен почти у всех пациентов. У пациентов с двусторонним спондилолизом этот симптом был положительным с обеих сторон.
Неврологическое обследование не выявило расстройств чувствительности, движений и рефлекторной сферы не только у больных со спондилолизом, но и со спондилолистезом.
Диагностика спондилолиза обычно основывалась на рентгенологических данных: стандартных, функциональных рентгенограммах и рентгенограммах в косых проекциях.
На рентгенограммах поясничного отдела позвоночника в прямой проекции линия спондилолиза, проходящая под основанием или через овал контура ножки дуги, обнаружена только у 42 (19,8%) пациентов. В этих случаях имелось совпадение плоскости дефекта с ходом центрального луча. У спортсменов и артистов балета встречались дефекты и в области перешейка дуги, и в заднем отделе дуги, в основном позвонка Lv (рис. 1).
Рис. 1. Пациентка Г.,19 лет, артистка цирка, пластическая акробатка (а). Рентгенограммы поясничного отдела позвоночника: б — прямая проекция — спондилолиз Lv, оссификаты в области дефекта дужки в результате нестабильности; в — боковая проекция — спондилолиз перешейка дуги Lv, нестабильность Lv-SI.
Fig. 1. Patient G.,19 years old, circus performer, plastic acrobat (a). Radiographs of the lumbar spine: b — direct projection-Lv spondylolysis, ossifications in the area of the arch defect as a result of instability; c — lateral projection — Lv arch isthmus spondylolysis, Lv — SI instability.
На рентгенограмме поясничного отдела позвоночника в прямой проекции у 93 (43,8%) пациентов обнаружены также варианты развития в переходной пояснично-крестцовой зоне. Это spina bifida, аномалия тропизма межпозвонковых суставов, высокий крестец.
На рентгенограмме поясничного отдела позвоночника в боковой проекции основным симптомом спондилолиза также является дефект дуги позвонка. Он был обнаружен в 169 (84,6%) наблюдениях.
При функциональном обследовании спондилолиз становится отчетливо видимым; он был диагностирован у 205 (96,7%) пациентов.
Смещение тела позвонка кпереди более чем на 2 мм, расцениваемое как антелистез, обнаружено у 41 пациента. Нестабильность в позвоночном двигательном сегменте выявлена в 197 случаях. Это выражалось в изменении формы межпозвонкового промежутка по сравнению с соседними сегментами и смещении тела позвонка при функциональных пробах (рис. 2).
Рис. 2. Рентгенограмма (а) и функциональные рентгенограммы (б, в) поясничного отдела позвоночника больного К.,25 лет (мастер спота международного класса, греко-римская борьба, сборная России). а — двусторонний спондилолиз LIV; б, в — спондилолизный спондилолистез LIV, нестабильность.
Fig. 2. Roentgenogram (a) and functional roentgenograms (b, c) of the lumbar department of the bell - ringer of the patient K.,25 years old (master spot of the international class, Greco-Roman wrestling, Russian national team). a — bilateral spondylolysis LIV; b,c — spondylolysis spondylolisthesis LIV, instability.
Для уточнения величины и характера дефекта, примерной давности его и вторичных изменений в прилежащих суставных отростках позвонков и дужек выполняли рентгенограммы в косых проекциях. Вид дефекта позволяет судить о длительности его существования. Тонкая щель спондилолиза отмечена при гиперлордозе поясничного отдела как результат нарушения статической нагрузки. Наличие склерозированного края свидетельствует о длительно существующей нестабильности, тогда как нечеткие границы дефекта, наоборот, о недавнем его возникновении. При широкой щели на нее проецировались суставные отростки. Это, как правило, наблюдается при значительной давности поражения и возможном сочетании со спондилолистезом (рис. 3).
Рис. 3. Рентгенограммы поясничного отдела позвоночника пациента Ш.,24 лет (заслуженный мастер спорта, хоккей с мячом, сборная России). а — линия спондилолиза позвонка Lv; б — проекция ¾ — значительный дефект в области дужки позвонка Lv.
Fig. 3. Radiographs of the lumbar spine of the patient Sh.,24 years (honored master of sports, bandy, Russian national team). a — LV vertebral spondylolysis line; b —projection ¾ — significant defect in LV, vertebral arch area.
При наличии характерных клинических симптомов спондилолиза и нормальных рентгенограмм возникает необходимость повторения рентгенологического исследования через 6-8 нед. Эти серийные рентгенограммы позволяют выявить формирование дефекта дуги позвонка.
Следующий клинический случай демонстрирует постепенное развитие перестроечного процесса в дужке позвонка и прогрессирование нестабильности в результате значительных нагрузок.
Пациентка П., заслуженный мастер спорта по спортивной гимнастике, член сборной России. Впервые боли в поясничном отделе появились в 2010 г. на фоне интенсивных тренировок. На рентгенограммах обнаружен переходный пояснично-крестцовый позвонок, spina bifida S,. Клинический диагноз, подтвержденный данными ультрасонографии: микроповреждения длиннейшей мышцы поясницы, подвздошно- поясничной и крестцово-подвздошной связок слева (рис. 4, а—в). Через 1 год в 2011 г. обследована по поводу рецидива болевого синдрома. На рентгенограммах выявлены спондилолиз позвонка Lv, нестабильность Lv—S1 (рис. 4, г—е). На магнитно-резонансных томограммах определялись протрузии дисков LIII-LIV (3,2 мм), LIV-LV (5,2 мм), Lv-SI (4,2 мм). Как следствие развившейся нестабильности — миофасциальный болевой синдром задней группы мышц обоих бедер, тендопериостеопатия седалищных бугров. В 2015 г. отмечены прогрессирование нестабильности Lv— SI, антелистез позвонка Lv. По данным магнитно-резонансной томографии (МРТ) определялись протрузии дисков LIII-LIV (3,5 мм), L1V— Lv (4,5 мм), Lv—SI (6,5 мм) (рис. 4, ж—и). Несмотря на прогрессирование нестабильности, спортсменка успешно выступила на Олимпиаде в 2016 г., завоевав серебряную медаль.
Рис. 4. Больная 77., заслуженный мастер спорта, спортивная гимнастика, сборная России (a). Рентгенограммы поясничного отдела позвоночника: б, в — 2010 г: spina bifida SI, другой костной патологии не обнаружено; г—е — 2011 г.: спондилолиз позвонка Lv, нестабильность Lv—SI; ж—и — 2015 г.: спондилолизный спондилолистез позвонка Lv, прогрессирование нестабильности LV—SI.
Fig. 4. Patient P., honored master of sports, gymnastics, Russian national team (a). Radiographs of the lumbar spine: b, c — 2010 g: spina bifida SI, no other bone pathology was found; g — e — 2011: Lv vertebra spondylolysis, LV-SI instability; g—i — 2015 g: LV vertebra spondylolisthesis, LV-SI instability progression.
Сцинтиграфия с радиофармпрепаратом (РФП) 99mТс была выполнена 32 пациентам. При этом у пациентов с появлением поясничного болевого синдрома за 6 мес до обращения в клинику накопление РФП в области пораженной дуги превышало в среднем на 30%, от 6 мес до 1 года — на 10%, с длительностью заболевания более 1 года — отсутствовало. Контрольное исследование было произведено 24 пациентам в различные сроки после лечения. При коротком анамнезе отмечено снижение накопления до 15%, а при длительном — сцинтиграфические показатели практически остались без изменений (рис. 5).
Рис. 5. Сцинтиграммы при спондилолизе. а — гиперфиксация РФП при спондилолизе позвонка LIV; б— гипофиксация РФП при спондилолизе позвонка Lv. РФП — радиофармпрепарат.
Fig. 5. Scintigrams in spondylolysis. a — hyperfixation of radiopharmaceuticals (RF) in spondylolysis of vertebra LIV; b — hypofixation of RF in spondylolysis of vertebra LV.
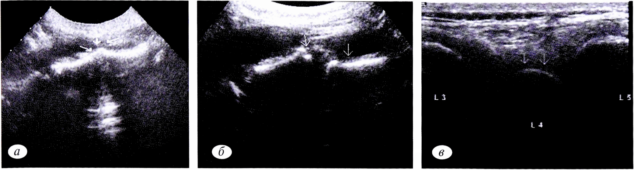
Ультрасонография из переднего и заднего доступов выполнена в 35 наблюдениях. Признаками нестабильности позвоночного сегмента являются смещение передних границ межпозвонковых дисков, ступенеобразное смещение переднего контура тел позвонков, смещение задних контуров остистых отростков при функциональных пробах (рис. 6).
Рис. 6. Эхограммы при различных степенях нестабильности позвоночного сегмента. а — смещение передних границ межпозвонковых дисков; б — ступенеобразное смещение переднего контура тел позвонков; в — смещение задней границы остистого отростка смещенного кпереди позвонка.
Fig. 6. Echograms at different degrees of instability of the vertebral segment. a — displacement of the anterior boundaries of the intervertebral discs; b — stepwise displacement of the anterior contour of the vertebral bodies; c — displacement of the posterior border of the spinous process of the displaced anterior vertebra.
Кровоток в области позвоночного двигательного сегмента также менялся в зависимости от выраженности нестабильности. Вначале, когда имело место только пролабирование переднего отдела диска, он был не изменен. При выраженной нестабильности визуализировалось усиление кровотока с появлением новообразованных сосудов, врастающих в диск [5].
При биохимическом исследовании выявлено увеличение содержания щелочной фосфатазы крови в среднем на 11%, увеличение выделения кальция с мочой в среднем на 38%. Содержание кальция крови в ряде случаев было на нижней границе нормы [6].
Обсуждение
Довольно частой причиной ПКБС у спортсменов и артистов балета являются стрессовые переломы дуги позвонка с одной или обеих сторон. Споры о том, является ли спондилолиз врожденным дефектом или приобретенным состоянием, решаются в пользу последнего, по крайней мере, у спортсменов и артистов балета [1-4, 7—12].
По данным литературы, спондилолиз встречается в 3,5—6% случаев. У спортсменов и артистов балета распространенность спондилолиза в несколько раз превышает данный показатель в общей популяции. Особенно предрасположены представители тех видов деятельности, при которых требуется переразгибание позвоночника или разгибание с ротацией. Наиболее часто спондилолиз возникает при выполнении акробатических элементов в гимнастике, прыжках в воду, бросках в водном поло, атакующих ударах в волейболе, плавании стилями брасс и баттерфляй, защитных блокирующих подкатах в футболе. Эти нагрузки могут значительно усиливаться боковым наклоном при разогнутой спине, как бывает, например, при выполнении боковых сальто у гимнастов, когда вес нижних конечностей приводит к форсированному переразгибанию поясничного отдела [12-16]. Частота выявления спондилолиза у прыгунов в воду достигает 63% [14], у гимнастов — 32% [15]. Все эти цифры отражают распространенность данной патологии у спортсменов высших достижений, однако спондилолиз может встречаться у всех спортсменов с поясничной болью.
У артистов балета спондилолиз встречается в 2 раза чаще, чем в общей популяции, и по частоте приближается к таковой у гимнастов, причем наиболее часто поражается дуга позвонка L1V [9, 17, 18].
Спондилолиз чаще наблюдается у юных спортсменов. Это обусловлено тем, что у них дуга позвонка тонкая, еще не достигла максимальной прочности, и межпозвонковый диск слабо сопротивляется режущим силам [19, 20].
Распространенность спондилолиза у мужчин и женщин примерно одинаковая, тогда как спондилолистез чаще встречается у женщин.
Чрезмерные нагрузки, особенно в период незаконченного роста, повторные микротравмы, нарушения методики тренировок, зачастую приводят к срыву адаптационных механизмов и развитию патологической перестройки костной ткани. Ряд исследователей сообщают о нарушениях кальций-фосфорного обмена у спортсменов и артистов балета [20-23]. Причинами этих нарушений могут быть недостаточное поступление кальция в организм вследствие несбалансированного питания или вообще его ограничения у артистов балета, представителей художественной гимнастики и т.д.; значительные нагрузки, приводящие к снижению кровоснабжения яичников, позднему менархе у девочек; прием анаболических стероидов в силовых видах спорта. При этом общие метаболические расстройства находятся в тесной взаимосвязи с местными нарушениями тканевого обмена, приводящими к перестроечным процессам костной ткани и стрессовым переломам [21, 24].
Чаще всего спондилолиз возникает в нижнепоясничных позвонках. Биомеханический анализ показал, что повторная механическая нагрузка, даже ниже максимальной, при циклических сгибании и разгибании приводит к усталостному перелому дуги [1, 12, 25]. Клинические данные свидетельствуют, что даже при нормальной дуге позвонка она является местом концентрации напряжения, несравнимого по интенсивности и продолжительности с обычной нагрузкой [26].
Наряду с тем что поясничный отдел позвоночника подвергается повышенной нагрузке, имеются также анатомические предпосылки к возникновению спондилолиза. Как показало исследование особенностей оссификации дуг позвонков у плодов человека, в нижнепоясничных позвонках центры оссификации дуг располагаются в межсуставной части, а в верхнепоясничных смещены в ножку дуги. Энхондральное окостенение дуг верхнепоясничных позвонков начинается раньше и приводит к равномерной трабекулизации и формированию кортикального слоя. В нижнепоясничных позвонках окостенение начинается позже, а формирующаяся система трабекул и кортикального слоя неравномерна в зоне межсуставной части дуги позвонка. Н. Sagi и соавт. [27] считают этот факт подтверждением теории о возникновении спондилолиза как усталостного перелома в наиболее слабом участке дуги.
Существует несколько теорий возникновения спондилолиза: трофобластическая, теория одной травмы, теория множественной повторной травмы и др. [13, 14, 28].
Многие пациенты связывают возникновение характерных симптомов с определенной травмой, чаще всего с избыточным переразгибанием позвоночника, однако на первичных рентгенограммах перелом дуги не определяется. Экспериментальное исследование на трупах показало отсутствие перелома дуги даже при воздействии значительной силы. Повторные аналогичные нагрузки приводят к микропереломам, а также провоцируют нарушения кровоснабжения. В результате возникает зона перестройки костной ткани — зона резорбции в наименее мобильной части дуги позвонка, а именно в перешейке, в последующем дефект дуги позвонка становится видимым на рентгенограммах. Р. Вrukner и соавт. [29] различают раннюю, прогрессирующую и терминальную стадии дефекта дуги позвонка. Ранняя стадия характеризуется локальной резорбцией кости или волосовидным дефектом, определяемым рентгенологически. В зоне формирующегося дефекта при МРТ определяется отек губчатой кости [30]. В прогрессирующей стадии выявляется широкий дефект с возможными костными фрагментами. Склеротические изменения указывают на терминальную стадию.
О значительных трофических нарушениях в области спондилолиза свидетельствуют наблюдения, при которых отсутствовали признаки регенерации в пораженной дуге позвонка в течение длительного времени [1, 12, 29]. В противоположной же дуге и ножке отмечались реактивный склероз и даже их гипертрофия. Необычная реакция отражает физиологический ответ на нестабильность [31]. Это предположение было подтверждено при биомеханическом исследовании К. Sairyo и соавт. [25]: пациентов с односторонним спондилолизом, продолжающих активные занятия спортом, в результате аккумуляции нагрузки (особенно ротации в сочетании с осевой нагрузкой) в области неповрежденной дуги развивается реактивный склероз или же возникает стрессовый перелом этой дуги. При рентгенологическом исследовании в ранней стадии спондилолиза реактивный склероз контралатеральной дуги еще не определяется. Он становится видимым в прогрессирующей стадии заболевания. Эти клинико-рентгенологические наблюдения свидетельствуют об усилении нагрузки на контралатеральную дугу, приводящей к склерозу или стрессовому перелому (рис. 7).
Рис. 7. Данные аксиальной КТ позвонка Lv [25]. а — первоначальное обследование — левосторонний спондилолиз (две стрелки); б — через 2 мес — стрессовый перелом правой ножки дуги (одна стрелка). КТ — компьютерная томография.
Fig. 7. Data of axial CT of the vertebra LV [25]. a — initial examination-left-sided spondylolysis (two arrows); b — after 2 months — stress fracture of the right leg of the arc (one arrow). CT— computer tomography.
Согласно данным гистологического исследования ткани из области длительно существующего спондилолиза [32] дефект дуги заполняется соединительной тканью, сходной по строению с нормальной связкой. Очевидно, что рубцовая ткань в области перелома дужки под влиянием механической нагрузки матапластически превращается в связку. Обнаруживаемые в ее толще мелкие костные фрагменты также являются свидетельством приобретенного характера спондилолиза как перелома с переходом в ложный сустав. Иммунохимическое исследование выявило наличие невральных элементов в связке и вокруг нее, и это подтверждает предположение, что данная соединительнотканная перемычка может быть источником боли. Были обнаружены тельца Паччини, Гольджи, Руффини, а также тонкие безмиелиновые волокна, отвечающие за ноцицепцию. Степень иннервации была различной у разных пациентов в зависимости от давности дефекта и степени организации этой соединительнотканной перемычки [33].
Имеется большое число публикаций, в основном зарубежных авторов, в которых описаны рентгенологические изменения позвоночника у спортсменов и артистов балета с ПКБС [4, 26, 34-36], как следствие часто повторяющейся чрезмерной нагрузки.
Однако накопленный в клинике опыт обследования и лечения этого контингента больных, а также данные литературы указывают на отсутствие четкой корреляции между выраженностью рентгенологических изменений и тяжестью клинической картины заболевания [6].
Как отмечалось ранее, прямым признаком спондилолиза является полоса просветления 1-2 мм, проходящая под основанием или через овал контура ножки дуги. Однако на рентгенограмме поясничного отдела позвоночника в прямой проекции линия спондилолиза обнаруживается не у всех пациентов, только в случаях совпадения плоскости дефекта с ходом центрального луча. Более информативны рентгенограммы в боковых проекциях и особенно функциональные пробы, позволяющие выявить не только смещение позвонка и наличие нестабильности, но и спондилолиз.
И.Л. Тагер, И.С. Мазо [36] различают две качественно различные фазы смещений позвонков — функциональную и фазу необратимых смещений. В функциональной фазе смешение носит динамический характер и вне нагрузки соотношение тел позвонков восстанавливается. При накоплении же дегенеративно-дистрофических изменений в тканях двигательного сегмента возникает фаза необратимого смещения. При этом независимо от характера пробы получается идентичный результат — смещение стойко фиксировано, и ни в одном из положений функционального исследования не удается восстановить нормальные соотношения между элементами двигательного сегмента.
В сомнительных случаях производятся рентгенограммы в косых проекциях (3/4), которые у ряда пациентов являются основными в диагностике спондилолиза. При этом появляется возможность судить о величине и характере дефекта дуги, примерной давности его и вторичных изменениях в прилежащих суставных отростках позвонков и дужках. Обращается внимание на так называемый признак шотландской собаки, когда дефект дуги определяется как воротник (ошейник) вокруг шеи собаки. Ширина дефекта зависит от величины резорбции кости после перелома и степени спондилолистеза. При рентгенологическом исследовании с использованием укладок в 3/4 можно выявить спондилолиз и на других уровнях, уточнить, имеется ли дефект дуги с одной или с обеих сторон [38].
КТ чувствительнее рентгенографии, и дефект межсуставной части дуги в ряде случаев бывает хорошо виден на горизонтальных срезах. Основные недостатки КТ — трудность при определении давности дефекта и его клинической значимости.
Большое значение для ранней диагностики перестройки костной ткани в области дуг позвонков при соответствующей клинической картине и в отсутствие убедительных рентгенологических данных, а также для определения интенсивности минерального обмена этой области имеет сцинтиграфия [38—40].
Изображение перестроечного процесса в виде очага гиперфиксации РФП или, наоборот, гипофиксации его характеризуют повышение или снижение метаболических процессов. Данные сцинтиграфии могут быть информативными уже через 5—7 дней после травмы, приводящей к микропереломам, невидимым на обычных рентгенограммах. Позднее радионуклидное исследование позволяет следить за динамикой репаративных процессов и уточнить время возобновления профессиональных занятий. Согласно данным литературы, это исследование не показано при длительности поясничного болевого синдрома более 1 года или в отсутствие болевого синдрома [12, 29].
При всей своей информативности радионуклидное исследование недостаточно специфично, так как при гиперфиксации препарата трудно определить тип репаративного остеогенеза (патологическая или функциональная перестройка). Необходимо учитывать данные других исследований [41].
В последнее время разрабатывается новая методика изучения стрессовых переломов SPECT (Single photon emission computed tomography). Этот метод сочетает в себе сцинтиграфию и КТ. G. Garces и соавт. [35] считают, что простое радионуклидное исследование ограничено в своей информативности из-за наложения структур позвоночного столба одна на другую. SРЕСТ исключает эти проблемы и улучшает контрастность изображения. Благодаря высокой чувствительности и специфичности она позволяет диагностировать спондилолиз на стадии усталостного перелома. С помощью БРЕСТ изучены изменения, развивающиеся при спондилолизе. Отмечено, что при остром спондилолизе определяется повышение активности, затем наступает ее снижение. Развитие спондилолистеза приводит к повышению активности, но очаг гиперфиксации РФП располагается кпереди и изображение его менее четкое. На русском языке этот метод диагностики называется ОФЕКТ (однофотонная эмиссионная компьютерная томография). В нашей стране ОФЕКТ применяется в основном при онкологической патологии.
МРТ не относится к стандартным методам исследования для выявления спондилолиза. Показанием к проведению этого исследования служит наличие корешковых болей у пациентов с патологией пояснично-крестцового отдела позвоночника [29, 36].
Заключение. Таким образом, на основании проведенного исследования установлено, что комбинация стандартных, функциональных рентгенограмм, а также рентгенограмм в косых проекциях и сцинтиграфии вполне адекватна для постановки диагноза спондилолиза, спондилолистеза и выявления нестабильности у спортсменов и артистов балета. Ультрасонография при нестабильности позвоночного сегмента неинвазивна, проводится в реальном времени, может быть неоднократно применена в процессе лечения для оценки его эффективности. Выявление остеопении свидетельствует о нарушении метаболизма костной ткани, что необходимо учитывать при лечении — обязательно следует использовать препараты, влияющие на метаболизм костной ткани и гомеостаз кальция. Использование данного диагностического алгоритма будет способствовать ранней диагностике, адекватному лечению, и, следовательно, профилактике прогрессирования нестабильности и вторичных изменений элементов позвоночника.
About the authors
S. P. Mironov
N.N. Priorov National Medical Research Center of Traumatology and Orthopedics
														Email: rehcito@mail.ru
				                					                																			                								
Dr. Med. Sci., Prof.
Russian Federation, MoscowG. M. Burmakova
N.N. Priorov National Medical Research Center of Traumatology and Orthopedics
														Email: rehcito@mail.ru
				                					                																			                								
Dr. Med. Sci.
Russian Federation, MoscowA. K. Orletsky
N.N. Priorov National Medical Research Center of Traumatology and Orthopedics
														Email: rehcito@mail.ru
				                					                																			                								
Dr. Med. Sci., Prof.
Russian Federation, MoscowM. B. Tsykunov
N.N. Priorov National Medical Research Center of Traumatology and Orthopedics; N.I. Pirogov Russian National Research Medical University
														Email: rehcito@mail.ru
				                					                																			                								
Dr. Med. Sci., Prof.
Russian Federation, Moscow; MoscowS. V. Andreev
N.N. Priorov National Medical Research Center of Traumatology and Orthopedics
							Author for correspondence.
							Email: rehcito@mail.ru
				                					                																			                								
MD
Russian Federation, MoscowReferences
- Cyron В.М., Hutton W.C. The fatigue strength neural arch in spondylolysis. J Bone Jt Surg. 1978;60B:234-238.
- Omey M.L., Micheli L.J., Gerbino P.G. Idiopathic scoliosis and spondylolysis in the female athlete. Tips for treatment. Clin Orthop. 2000;372:72-84.
- Stinson J.T. Spondylolysis and spondylolisthesis in the athlete. Clin Sports Med. 1993;12:517-528.
- Swärd L. The thoracolumbar spine in young elite athletes. Current concepts on the effects of physical training. Sports Med. 1992;13:517-528.
- Миронов С.П., Бурмакова Г.М., Салтыкова В.Г., Еськин Н.А. Диагностические возможности сонографии при пояснично-крестцовых болях. Вестник травматологии и ортопедии им. Н.Н. Приорова. 2003;1:24-31. [Mironov S.P., Виrmakova G.M., Saltykova V.G., Es’kin N.A. Diagnostic capabilities of sonography for lumbosacral pain. Vestnik travmatologii i ortopedii im. N.N. Priorova. 2003;1:24-31. (In Russ.)].
- Миронов С.П., Бурмакова Г.М., Цыкунов М.Б. Пояснично- крестцовый болевой синдром у спортсменов и артистов балета. 2006. [Mironov S.P., Burmakova G.M., Tsykunov M.B. Lumbosacral pain syndrome in athletes and ballet dancers. 2006. (In Russ.)].
- Продан А.И., Грунтовский Г.Х., Куценко B.A., Колесниченко В.А. Диспластический спондилолистез: обзор современных концепций лечения. Хирургия позвоночника. 2004;4:23-33. [Prodan A.I.], Gruntovskii G.Kh., Kutsenko V.A., Kolesnichenko V.A. Dysplastic spondylolisthesis: a review of current treatment concepts. Khirurgiya pozvonochnika. 2004;4:23-33. (In Russ.)].
- Рейнберг С.А. Рентгенодиагностика заболеваний костей и суставов. М.,1964. [Reinberg S.A. Radiodiagnosis of diseases of bones and joints. M.,1964. (In Russ.)].
- Lloyd M, Micheli L.J. Bilateral stress fracture of the lumbar pedicles in a ballet dancer. J Bone Jt Surg. 1987;69A( 1): 140-142.
- Miller S.F., Congeni J., Swanson K. Long-term functional and anatomical follow-up of early detected spondylolysis in young athletes. Am J Sports Med. 2004;32(4):928-933.
- Pascal- Mousse Hard H, Broizat M., Cursolles J.C., Rouvillain J.L., Catonne Y. Association of unilateral isthmic spondylosis with lamina fracture in an athlete. Am J Sports Med. 2005;33;4:591 - 595.
- Watkins R.G., Dillin W.M. Lumbar spine injuries. Sports injuries: mechanism, prevention, treatment. Eds. F.H. Fu., D.A. Stone. Baltimore etc.,1994.
- Baranto A. Traumatic high-load injuries in the adolescent spine clinical, radiological and experimental studies. Göteborg, Sweden,2005.
- Rossi F., Dragoni S. Lumbar spondylolysis: Occurrence in competitive athletes. Updated achievements in a series of 390 cases. J Sports Med Phys Fitness. 1990;30(4):450-452.
- Micheli L.J. Back injuries in gymnastics. Clin Sports Med. 1985;4:85-93.
- Nyska M., Constantini N., Cale-Benzoor M., Back Z., Kahn G, Mann G. Spondylolysis as a cause of low back pain in swimmers. Int J Sports Med. 2000;20:375-379.
- Миронова З.C., Баднин И.А. Повреждения и заболевания опорно-двигательного аппарата у артистов балета. М.,1976. [Mironova Z.S., Badnin І.А. Damages and diseases of the musculoskeletal system of ballet dancers. M.,1976. (In Russ.)].
- Micheli L.J. Back injuries in dancers. Clin Sports Med. 1983;2:473-484.
- Letts M., Smallman T., Afanasiev R., Gouw G. Fracture of the pars interarticularis in adolescent athletes: a clinical biomechanical analysis. J Pediatr Orthop. 1986;6:40-46.
- Moreland MS. Special concerns of the pediatric athlete. Sports injuries: mechanism, prevention, treatment. Eds. F.H. Fu, D.A. Stone. Baltimore etc.,1994.
- Arendt E.A. Stress fractures and the female athlete. Clin Orthop. 2000;372:131-138.
- Frusztajer N., Dhuper S., Warren M.P., Brooks-Gunn J., Fox R.P. Nutrition and the incidence of stress fractures in ballet dancers. Am J Clin Nutr. 1990;51:779-783.
- Ireland ML. Special concerns of the female athlete. Sports injuries: mechanism, prevention, treatment. Eds. F.H. Fu, D.A. Stone. Baltimore etc.,1994.
- Myburgh K.H., Hutchins J., Fataar A.B., Hough S.F., Noakes T.D. Low bone density is an etiologic factor for stress fractures in athletes. Ann Intern Med. 1990; 113(10):754-759.
- Sairyo K., Katoh S., Sasa T., Yasui N., Goel V.K., Vadapalli S., Masuda A., Biyani A., Ebraheim N. Athletes with unilateral spondylosis are the risk of stress fracture at the contralateral pedicle and pars interarticularis. Am J Sports Med. 2005;33(4):583-590.
- Rossi F., Dragoni S. The prevalence of spondylolysis and spondylolisthesis in symptomatic elite athletes: radiographic findings. Radiography. 2001;17:37-42.
- Sagi H.C., Jarvis J.G., Uhthoff H.K. Histomorphic analysis of the development of the pars interarticularis and its association with isthmic spondylosis. Spine. 1998;23:1635-1639.
- Митбрейт И.M. Спондилолистез. M.,1978. [Mitbreit I.M. Spondylolisthesis. M.,1978. (In Russ.)].
- Brukner P.D., Bennel K.L., Matheson GO. Stress fractures. Melbourne,1999.
- Stabler A., Paulus R., Steinborn M., Bosch R., Matzko M., Reiser M. Spondylolysis in the developmental stage contribution of MRI. Neuen Bildgeb Verfahr. 2000;172:33-37. https://doi. org/10.1055/s-2000-278.
- Araki T., Harata S., Nakano K., Satoh T. Reactive sclerosis of the pedicle associated with contralateral spondylolysis. Spine. 1992; 17(11): 1424-1426. https://doi.org/10.1097/00007632- 199211000-00028.
- Eisenstein S.M., Ashton I.K., Roberts S., Darby A.J., Kanse P., Menage J., Evans H. Innervation of the spondylolysis «ligament». Spine. 1994; 19(8):912-916. https://doi.org/10.1097/00007632- 199404150-00008.
- Hasegava S., Yamamoto H., Morisawa Y., Michinaka Y. A study of mechanoreceptors in fibrocartilage masses in the defect of pars interarticularis. J Orthop Sci. 1999;4:413-420.
- Jones D.M., Tearse D.S., el-Khoury G.Y., Kathol M.H., Brandser E.A. Radiographic abnormalities of the lumbar spine in college football players. A comparative analysis. Am J Sports Med. 1999;27:335-338. https://doi.org/10.1177/0363546599027003 1101.
- Garces G.L., Gonzalez-Montoro I., Rasines J.L., Santonja F. Early diagnosis of stress fracture of the lumbar spine in athletes. Int Orthop. 1999;23:213-215. https://doi.org/10.1007/s002640050353.
- Тагер И.Л., Мазо И.С. Рентгенодиагностика смещений поясничных позвонков. М.,1979. [Tager I.L., Mazo I.S. X-ray diagnosis of displacements of the lumbar vertebrae. M.,1979. (In Russ.)].
- Hensinger R.N. Current concepts review sponylolysis and spondylolisthesis in children and adolescents. J Bone Jt Surg. 1989;71A(7): 1098-1106.
- Papanicolaou N., Wilkinson R.H., Emans J.B., Treves S., Micheli L.J. Bone scintigraphy and radiography in young athletes with low back pain. Am J Roentgenol. 1985; 145:1039-1044. https://doi. org/10.2214/ajr.l45.5.1039.
- Kanstrup I.L. Bone scintigraphy in sports medicine: a review. Scand J Med Sci Sport. 1997;7:322-330.
- Миронов С.П., Ломтатидзе Е.Ш. Стрессовые переломы у спортсменов и артистов балета. Волгоград,1989. [Mironov S.P., Lomtatidze E. Sh. Stress fractures in athletes and ballet dancers. Volgograd,1989. (In Russ.)].
- Ikata T., Miyake R., Katoh S., Morita T., Murase M. Pathogenesis of sports-related spondylolisthesis in adolescents: radiographic and magnetic resonance imaging study. Am J Sports Med. 1996;24:94-98. https://doi.org/10.1177/036354659602400117.
Supplementary files
 
				
			 
					 
						 
						 
									
 
  
  
  Email this article
			Email this article 








 СМИ зарегистрировано Федеральной службой по надзору в сфере связи, информационных технологий и массовых коммуникаций (Роскомнадзор).
 СМИ зарегистрировано Федеральной службой по надзору в сфере связи, информационных технологий и массовых коммуникаций (Роскомнадзор).