Midterm surgical treatment outcomes of unstable distal radius fractures
- Authors: Yeghiazaryan K.A.1, Ratiev A.P.1, Grigoriev A.V.1, Germanov A.V.1, Danilov M.A.1, Chebotarev V.V.2
-
Affiliations:
- N.N. Priorov National Medical Research Center of Traumatology and Orthopaedics
- I.M. Sechenov First Moscow State Medical University
- Issue: Vol 26, No 1 (2019)
- Pages: 17-26
- Section: Original study articles
- Submitted: 19.10.2020
- Published: 15.03.2019
- URL: https://journals.eco-vector.com/0869-8678/article/view/47181
- DOI: https://doi.org/10.17116/vto201901117
- ID: 47181
Cite item
Full Text
Abstract
Background. Fracture of the distal radius is the most common injures bones of the forearm. Multifragmentary articular injures have occupied a special place among all fractures of the distal radius This factor due to the severity of the injury wrist joint, young patients and difficult rehabilitation.
Purpose of study: Improvement results surgical treatment unstable fractures of the distal radius.
Patients and methods. All patients were depended into two groups: The first group consisted of 34 patients. The first stage of treatment include close reduction and external fixations. If after external fixation we have persisting fractures dislocation, we take conversion external fixation, open reduction and plate fixation. The second group were included 30 person. In this group we take open reduction and plate fixation.
Results. 6 or 12 month after surgery in 1 group we have receiver 87% excellent results. In the the second group we have received 77% excellent results. In the first group 2 cases have slow fractures consolidation, infection complication not found. In the second group we have 2 complication: CRPS and infection.
Conclusion. Results in two groups of patients are assessed as good and excellent. The results of the study showed that external fixation in first stage of treatment allows to achieved better restoration radiocarpal joint anatomy (except for type В fractures), and without secondaly displacement tendency. The last fact is very important for patient with delayed the second stage of treatment. This patients with multiple injuries, open fractures and presence of an infected wound and etc. The second stage of treatment consisted of open reduction and plate fixation. Achieved full anatomy restoration radiocarpal joint with possible early rehabilitation.
Full Text
Введение. Переломы дистального метаэпифиза лучевой кости (ДМЭЛК) составляют значительную часть (71%) от переломов верхней конечности и являются самой частой травмой костей предплечья [1]. Наряду с этим число пострадавших молодого и трудоспособного возраста неуклонно растет [1]. Чаще всего (26% случаев) молодые пациенты (19- 39 лет) получают переломы ДМЭЛК на производстве, во время занятий спортом и в результате дорожно-транспортных происшествий [2].
Особую группу переломов ДМЭЛК представляют мультифрагментарные внутрисуставные переломы, которым также чаще подвержена молодежь. Консервативное ведение таких пациентов сопровождается большим количеством неудовлетворительных результатов [1, 3].
По данным литературы, частота осложнений и неудовлетворительных исходов лечения составляет около 80% [4].
Социально-экономические потери общества от травм верхней конечности велики, и они в значительной мере связаны как с последствиями тяжелых травм, так и с ошибками диагностики повреждений, а также неправильной и несвоевременно оказанной медицинской помощью. Таким образом, лечение повреждений и заболеваний верхней конечности требует организации специализированной помощи [5].
В литературных источниках можно встретить большое количество классификаций переломов ДМЭЛК. Наиболее востребованными являются классификация Muller-АО, которая основывается на рентгенологической анатомии повреждения, и классификация Fernandez, построенная на патомеханике повреждения [6].
В настоящее время во всем мире принято пользоваться наиболее всеобъемлющей классификацией швейцарской ассоциации травматологов (Универсальная классификация переломов длинных трубчатых костей — УКП AO/ASIF) [7], в которой переломы подразделяются на три основных типа: тип А — внесуставные переломы, тип В — неполные внутрисуставные переломы лучевой кости и тип С — полные внутрисуставные переломы. Классификация УКП АО/ASIF широко используется в повседневной практике травматологов [8].
Стоит отметить, что классификация Fernandez является ее модификацией. Особенностью классификации Fernandez является то, что переломы делятся в зависимости от механизма повреждения [9]. Так, перелому типа А (по УКП АО/ASIF) соответствуют переломы 1-й группы (по классификации Fernandez), переломам типа В — 2-я группа, переломам типа С — 3—5-я группы. Классификация Fernandez примечательна еще и тем, что в ней представлены рекомендации по выбору тактики лечения [9, 10].
Для помощи в оценке объема поражения, нарушения функции лучезапястного сустава (ЛЗС), выбора метода лечения, а также разработки хирургической стратегии репозиции и стабильной фиксации фрагментов перелома, в 2000 г. D. Rikli и Р. Regazon- пі [11] описали биомеханическую модель «трех колонн» дистальных костей предплечья. Полноценной фиксации сегмента достигают, стабилизируя каждую из колонн: лучевую, центральную, локтевую [1].
На сегодняшний день существует множество методов фиксации отломков при переломах лучевой кости: при помощи спиц, аппаратов наружной фиксации, мостовидной фиксации, остеосинтез при помощи пластин, размещенных по ладонной или по тыльной поверхности [12—15], применение фрагмент-специфической фиксации с использованием низкопрофильных металлоконструкций [15].
Наряду с вышеизложенными методиками также возможно использование различных комбинированных методов оперативного лечения [15]. С целью лучшей визуализации суставной поверхности применяется методика артроскопической ассистенции [15, 16].
Одним из самых распространенных способов лечения нестабильных переломов ДМЭЛК является погружной остеосинтез [17, 18].
Несмотря на популярность метода, все больше исследований сообщают об увеличении частоты осложнений (например, теносиновит разгибателей пальцев кисти развивается в 3% случаев). R. Arora и соавт. [19] сообщают, что разрывы сухожилия I разгибателя большого пальца кисти при ладонном расположении пластины встречаются в 1,5% случаев, а теносиновит сгибателей пальцев — в 6% случаев. По мнению М. Rampoldi и S. Marsico [20], причинами возникновения такого осложнения, как ирригация сухожилий разгибателей, в 3,3% случаев являются выступающие из тыльного кортикального слоя ДМЭЛК и проникающие в костно-фиброзные каналы разгибателей кончики винтов. По результатам исследования М. Soong и соавт. [21], частота возникновения такого осложнения, как пластина-ассоциированное раздражение сухожилий сгибателей встречается в 4% случаев. При накостном остеосинтезе в 5% случаев развиваются такие осложнения, как утрата ладонного наклона лучевой кости [22]. Потеря фиксации полулунной фасетки наблюдается в 4% случаев [22]. По данным S. Thielke и соавт. [23], повреждение суставного хряща имеет место в 6% случаев. A. Sahu и соавт. [24] у 10% оперированных больных отмечали протрузию винтов в ЛЗС и связанную с этим необходимость повторных операций. J. Windolf и соавт. [25] выявили развитие синдрома запястного канала после операций у 4% пациентов. Такое послеоперационное осложнение, как комплексный регионарный болевой синдром (КРБС), отмечено во многих публикациях и достигает, по сведениям Т. Latmann и соавт. [26],10% всех случаев. Реже (8%), по данным Н. Drobetz и Е. Kutscha-Lissberg [27], встречается нарушение заживления раны. Ирригация поверхностной ветви лучевого нерва распространена в 10,5% случаев [28].
Одним из перспективных методов лечения переломов ДМЭЛК является двухэтапный метод лечения, заключающийся в выполнении установки аппарата наружной фиксации с последующим выполнением открытой репозиции и остеосинтеза пластиной.
В случае достижения хорошей репозиции дистракционный аппарат может использоваться как самостоятельный метод лечения. Данные исследователей в оценке эффективности такого подхода противоречивы. В одних источниках литературы сообщается о преимуществе этого метода, так как в большинстве случаев удается достичь удовлетворительной репозиции отломков и использовать все преимущества аппарата внешней фиксации [15], что позволяет применить методику закрытой репозиции и наружной фиксации. Кроме того, сторонники метода наружной фиксации отмечают простоту выполнения и возможность закрытой репозиции перелома [29, 30]. Другие авторы утверждают, что двухэтапный метод лечения обладает недостатками обеих методик —- наложение аппарата внешней фиксации приводит к частому развитию нейроциркуляторных расстройств, повышает риск инфекционных осложнений [1, 28, 31].
Переломы в зависимости от количества, характера отломков, вовлечения суставной поверхности, требуют строго специфических подходов к лечению.
Проведенный в настоящем исследовании анализ данных современной литературы показал, что среди отечественных и зарубежных хирургов не существует единого мнения по способу лечения переломов ДМЭЛК [32-39].
Цель исследования — улучшение результатов хирургического лечения переломов ДМЭЛК.
Пациенты и методы
Для верификации «нестабильных переломов» среди общего числа повреждений ДМЭЛК и выбора тактики лечения необходимо определить критерии нестабильности (КН) по Лафонтайль [1]:
- первичное тыльное смещение ладонного наклона суставной поверхности более 20°;
- размозжение тыльного метафиза;
- внутрисуставной перелом;
- сопутствующий перелом локтевой кости;
- возраст пациента старше 60 лет.
При наличии 3 и более КН перелом относится к нестабильным. Это служит показанием к проведению оперативного лечения (несмотря на достигнутую хорошую первичную репозицию в рамках консервативного лечения) [1].
И.О. Голубев и соавт. [41] в 2010 г. дополнили КН двумя пунктами:
- укорочение лучевой кости на 5 мм и более;
- постменопаузальный остеопороз (его рассматривают в специальной литературе [42] как КН).
Были проанализированы результаты хирургического лечения 64 пациентов, оперированных в травматологическом отделении № 28 ГКБ №1 им. Н.И. Пирогова за период с 2016 по 2018 г. по поводу закрытых переломов ДМЭЛК.
Критериями включения в исследование являлись: неудовлетворительное стояние отломков после выполнения ручной закрытой репозиции; «нестабильный» перелом ДМЭЛК; срок, прошедший с момента травмы до оперативного лечения не более 10 сут.
Исследование соответствовало этическим стандартам биоэтического комитета ГКБ №1 им. Н.И. Пирогова Департамента здравоохранения Москвы, разработанным в соответствии с Хельсинкской декларацией Всемирной ассоциации «Этические принципы проведения научных медицинских исследований с участием человека» и «Правилами клинической практики в Российской Федерации», утвержденными Приказом Минздрава России от 19.06.2003 г. №266. Все пациенты дали информированное согласие на участие в исследовании.
Все пациенты были разделены на 2 группы, сравнимые по полу и возрасту. При уровне значимости р=0,05;χ2кр=2,26 расхождение между распределениями было несущественно. В 1-ю группу вошли 34 (53,1%) пациента, которым при поступлении выполнялась ручная закрытая репозиция. По ее результатам принималось решение по поводу установки дистракционного аппарата Коршунова—Лазарева [40] с последующей конверсией аппарата на погружной остеосинтез пластиной. В случае открытого повреждения, наличия инфицированной раны, а также у пациентов с сопутствующими повреждениями ввиду тяжести состояния сразу выполнялась установка дистракционного аппарата.
Во 2-ю группу включили 30 (46,9%) пациентов, которым проводилась сначала закрытая ручная репозиция с гипсовой иммобилизацией, затем — остеосинтез ДМЭЛК пластиной.
Сроки с момента травмы составляли от нескольких часов до 10 сут и были сопоставимы в обеих группах.
Оперативное вмешательство проводилось в условиях периферической регионарной надключичной блокады под контролем ультразвука. Средний срок пребывания пациента в стационаре составлял 5-7 сут. Большинство больных имели перелом типа С — 29 (45,3%) пациентов (табл. 1). В 1-й группе этому типу перелома соответствовали 15 (23,4%) из 34 пациентов. Использование непараметрических методов расчета выявило, что в среднем число случаев перелома типа С в 1-й группе составило 13±2,6 (12-16). Во 2-й группе перелом типа С имели 14 (21,8%) из 30 пациентов, причем наиболее частыми в обеих группах являлись переломы типа С2 — у 13 (20,3%) пациентов. Этот тип повреждения в 1-й группе определили у 6 (17,6%) пациентов, во 2-й — у 7 (23,3%) пациентов. Стоит отметить, что все краевые внутрисуставные переломы (тип В) имели смещение отломков по ладонной поверхности (тип В3). Тип переломов В3 встречался значительно реже, чем тип С — в 9 (14%) клинических случаях: у 6 (17,6%) и 3 (10%) пациентов в 1-й и 2-й группах соответственно.
Табл. 1. Распределение пациентов с переломами ДМЭЛК по типу перелома
Table 1. The distribution of patients with fractures of DMLC on the type of fracture
Группа | Тип перелома | |||||||||||
А2 | А3 | ВЗ | С1 | С2 | СЗ | |||||||
абс. | % | абс. | % | абс. | % | абс. | % | абс. | % | абс. | % | |
1-я группа (n=34) | 4 | 11,8 | 9 | 26,5 | 6 | 17,6 | 6 | 17,6 | 6 | 17,6 | 3 | 8,9 |
2-я группа (n=30) | 7 | 23,33 | 6 | 20 | 3 | 10 | - | - | 7 | 3,33 | 7 | 23,33 |
Всего (n=64) | 11 | 17,2 | 15 | 23,4 | 9 | 14,1 | 6 | 9,4 | 13 | 20,3 | 10 | 15,6 |
Показатель эмпирического значения t (0,3) находился в зоне незначимости (р ≤0,05). Критические значения t были равны 2,26 и 3,25 (при р ≤0,05 и р ≤ 0,01 соответственно). Внесуставные переломы типа А были диагностированы у 26 (40,6%) пострадавших: по 13 пациентов в 1-й и 2-й группах.
Для верификации тяжести и характера повреждения, успешной постановки точного диагноза и выбора дальнейшей тактики лечения переломов ДМЭЛК были использованы следующие методы обследования: клинический, рентгенологический, КТ- исследование ЛЗС, которое включало определение характера перелома, степени вовлечения суставной поверхности, наличия диастаза, степени смещения отломков, относительного укорочения лучевой кости, оценки радиоульнарного угла, угла наклона суставной поверхности лучевой кости по отношению к ее оси диафиза лучевой кости, степени импакции суставной поверхности. КТ-исследование ЛЗС выполнялось выборочно, в рамках предоперационного планирования, в случае многофрагментарных внутрисуставных переломов. Основополагающий метод исследования в рамках диагностики повреждения ЛЗС — рентгенологический.
Сравнительную динамическую оценку результатов оперативного лечения осуществляли в период от 6 до 12 мес с момента установки пластины. Результаты оценивались по следующим рентгенологическим критериям: восстановление анатомии ЛЗС, суставной поверхности, амплитуды движений в ЛЗС. Определялась сила хвата. Кроме того, использовались опросник неспособности плечевого пояса/свободной верхней конечности (Disability of the Arm, Shoulder and Hand Outcome Measure — DASH) и визуальная аналоговая шкала (ВАШ). Амплитуду движения в ЛЗС измеряли с помощью угломера и определяли в процентном отношении к объему движений в неповрежденном суставе. Восстановление силы хвата оценивали с помощью шкалы L. McPeak в процентном соотношении со здоровой рукой [20].
Результаты
В 1-й группе у 100% пациентов удалось устранить смещение во фронтальной плоскости. Во 2-й группе правильная рентгенологическая анатомия ЛЗС сустава во фронтальной плоскости была восстановлена у 10 (33,3%) пациентов при внесуставных переломах (тип А), у 2 (6,6%) — при неполных внутрисуставных переломах (тип В) и у 9 (30%) — при многооскольчатых внутрисуставных переломах (тип С).
Однако стоит отметить, что у пациентов с неполными внутрисуставными переломами (тип В) имело место лучшее восстановление ДУ при использовании закрытой репозиции с последующей гипсовой иммобилизацией. Это объясняется тем, что при тракционном воздействии на связочный аппарат ЛЗС возможна ротация ладонного фрагмента, которая впоследствии может негативно сказаться на функции ЛЗС.
Показатели ДУ при переломах типа А и С в обеих группах были следующими: в случае внесуставных переломов в 1-й группе хорошие рентгенологические результаты были у 7 (11%) пациентов, во 2-й группе — у 6 (9,4%); при внутрисуставных переломах хороший показатель ДУ был достигнут у 11 (17,1 %) пациентов 1 -й группы и у 4 (6,2%) — во 2-й.
Оценка степени достоверности различий полученных результатов среди обеих групп показала, что полученное эмпирическое значение t (0,1) отвечало уровню достоверности р ≤0,05. Критические значения t были равны 2,45 и 3,71 (при р ≤0,05 и р ≤ 0,01 соответственно) (табл. 2).
Табл. 2. Результаты восстановления рентгенологической анатомии после 1 -го этапа лечения
Table 2. Results of restoration of x-ray anatomy after the 1st stage of treatment
Рентгенологический критерий | 1-я группа (n=34) | 2-я группа (n=30) | ||||||
А | В | С | Итого | А | В | С | Итого | |
РУ (нормальные значения) | 13(20,4) | 6 (9,3) | 15 (23,4) | 34 (53,1) | 8(12,5) | 2(3,1) | 7(11) | 17 (26,5) |
ДУ (нормальные значения) | 7(11) | - | 11 (17,1) | 18 (28,1) | 6 (9,4) | 1(1,6) | 4(6,2) | 11 (17,1) |
Отклонение значения РУ от нормы более чем±10° | - | - | - | - | 5(7,8) | 1(1,6) | 7(11) | 13(20,4) |
Отклонение значения ДУ от нормы более чем±10° | 2(3,2) | 6(9,3) | 4(6,2) | 12(18,7) | 7(11) | 2(3,1) | 10(15,6) | 19 (29,7) |
Примечание. Данные указаны в виде абсолютных чисел, в скобках даны проценты: абс. (%).
По результатам двухэтапного лечения переломов ДМЭЛК удалось достичь анатомической репозиции и хорошей фиксации с помощью пластин с угловой стабильностью. Спустя 3-7 сут с момента выполнения остеосинтеза пластиной одновременно со стиханием болевого синдрома и регрессированием отека периартикулярных тканей начиналась разработка движения в ЛЗС. Оценка функциональных результатов проводилась в сроки от 6 до 12 мес. Установлено, что рентгенологическая анатомия ЛЗС была полностью восстановлена в 1-й группе у 32 (94,1%) пациентов, во 2-й — у 28 (93,3%). Амплитуда движений в ЛЗС в 1-й группе была полностью восстановлена у 21 (61,7%) пациента, во 2-й — у 17 (56%). Оставалось незначительное (в пределах 5-20°) ограничение движений в ЛЗС у 11 (32,3%) пациентов 1-й группы и у 12 (40%) — 2-й. Результаты лечения 2 (5,8%) пациентов 1-й группы и 1 (3,3%) пациента 2-й группы были оценены как удовлетворительные ввиду развития КРБС (2-я группа) и замедленной консолидации перелома (1-я группа).
В 1-й группе практически полное восстановление силы хвата наблюдалось у 16 (46,9%) пациентов, легкое снижение силы хвата —- у 16 (46,9%), выраженное снижение — у 2 (5,8%) пациентов. Во 2-й группе практически полностью восстановилась сила хвата — у 14 (46,6%) пациентов, отмечалось незначительное снижение силы хвата — у 15 (50%), умеренное снижение силы хвата — у 1 (3,4%) пациента с КРБС. При этом развиваемая сила составляла не менее половины от физического усилия, развиваемого здоровой рукой.
Сопоставимые исходы были получены в результате анализа результатов опросника DASH, который заполняли все обследуемые. Отличный результат был достигнут у 17 (50%) пациентов 1-й группы и у 14 (46,6%) больных 2-й группы, хороший результат — у 16 (47%) и 15 (50%) пациентов 1-й и 2-й групп соответственно, удовлетворительный — у 1 (2,9%) и 1 (3,3%) пациента соответственно. Оценка степени достоверности различий полученных результатов среди двух групп показала, что полученное эмпирическое значение t (0,5) соответствует уровню достоверности р ≤0,05. Критические значения t были равны 2,08 и 2,83 (при р ≤0,05 и р ≤0,01 соответственно) (табл. 3).
Табл. 3. Результаты хирургического лечения пациентов в зависимости от метода лечения и типа перелома
Table 3. The results of surgical treatment of patients depending on the method of treatment and type of fracture
Результат | 1-я группа (n=34) | 2-я группа (n=30) | ||||||
тип перелома | итого | тип перелома | итого | |||||
А | В | С | А | В | с | |||
Восстановление рентгенологической анатомии | ||||||||
восстановлена | 12(35,4) | 6(17,6) | 14(41,1) | 32(94,1) | 12(40) | 3(10) | 13(43,3) | 28 (93,3) |
не восстановлена | 1 (2,9) | — | 1 (2,9) | 2 (5,8) | 1 (3,3) | — | 1 (3,3) | 2 (6,6) |
Амплитуда движения в кистевом суставе | ||||||||
без ограничений | 10(29,4) | 3 (8,8) | 8(23,5) | 21 (61,7) | 7 (23,3) | 2(6,6) | 8(26,6) | 17(56) |
незначительно ограничена (5-20°) | 2 (5,8) | 3(8,8) | 6 (17,6) | 11 (32,3) | 5 (16,6) | 1 (3,3) | 6(20) | 12 (40) |
умеренно ограничена (21-40°) | 1 (2,9) | - | 1 (2,9) | 2(5,8) | 1 (3,3) | — | - | 1 (3,3) |
Динамометрия (сила хвата в процентах от здоровой руки) | ||||||||
нет снижения силы | 4(11,7) | 4(11,7) | 8 (23,5) | 16 (46,9) | 4(13,3) | 2(6,6) | 8 (26,6) | 14(46,6) |
легкая степень | 8 (23,5) | 2(5,8) | 6(17,6) | 16(46,9) | 9(30) | 1 (3,3) | 6(20) | 15(50) |
умеренная степень | 1 (2,9) | - | 1 (2,9) | 2(5,8) | - | - | - | 1 (3,3) |
Опросник DASH | ||||||||
отличный | 5 (14,7) | 3(8,8) | 9(26,5) | 17 (50) | 4(13,3) | 3(10) | 7 (23,3) | 14 (46,6) |
хороший | 7 (20,6) | 3(8,8) | 6(17,6) | 16(47) | 9(30) | - | 6(20) | 15(50) |
удовлетворительный | 1 (2,9) | — | - | 1 (2,9) | - | - | 1 (3,3) | 1 (3,3) |
Клинический пример
Пациент П.,23 лет, пострадал в результате падения с высоты 3-го этажа, госпитализирован в экстренном порядке в ГКБ №1 с диагнозом: тяжелая сочетанная травма. Закрытый ДМЭЛК со смещением отломков.
В рамках тяжелой сочетанной травмы у пациента диагностированы: закрытая черепно-мозговая травма. Сотрясение головного мозга. Перелом костей носа. Ушиб грудной клетки. Закрытый перелом левого бедра.
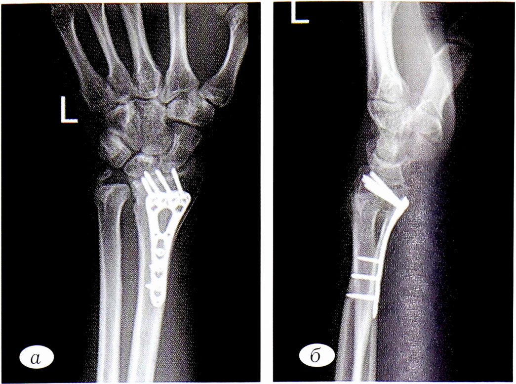
В тот же день были выполнены установка дистракционного аппарата Коршунова—Лазарева (рис. 1, а, б), остеосинтез левого бедра интрамедуллярным стержнем. Спустя 6 сут после стабилизации состояния пациента была выполнена операция — конверсия дистракционного аппарата, накостный остеосинтез пластиной LCP-VA («Synthes») (см. рис. 1, в, г).
Рис. 1. Рентгенограммы левого предплечья пациента П. а — внутрисуставной оскольчатый перелом дистального метаэпифиза лучевой кости, перелом шиловидного отростка локтевой кости. После установки дистракционного аппарата Коршунова—Лазарева (прямая проекция); б — боковая проекция (смещение отломков в аксиальной плоскости). Контрольные рентгенограммы левого предплечья после остеосинтеза пластиной через 6 сут: в — прямая проекция; г — боковая проекция.
Fig. 1. X-rays of patient P.’s left forearm. a — intra-articular comminuted fracture of the distal lUBtipifica of the radius, fracture of the styloid process; ulna. After installation of the distraction apparatus Korshunov— Lazarev (direct projection); b — side projection (displacement of fragments in the axial plane); c — controlling x-rays of the left forearm after oleosinBtesa plate after 6 days: in direct projection; d — BokofflWai projection.
Рис. 2. Контрольные рентгенограммы спустя 12 мес с момента выполнения оперативного лечения. а — прямая проекция; б — боковая проекция.
Fig. 2. Control radiographs after 12 months from the moment of surgical treatment. a — direct projection; b — lateral projection.
Восстановление объема движений в ЛЗС спустя 12 мес с момента проведения 2-го этапа оперативного лечения: восстановлена анатомия ЛЗС, практически полное восстановление амплитуды движения и силы хвата. Оценка по опроснику DASH — 17 баллов (рис. 3).
Рис. 3. Амплитуда движений левого ЛЗС пациента П. (а-б).
Fig. 3. The amplitude of movements of the left LS patient P. (a-b).
Обсуждение
В исследовании М. Richard и соавт. [41] сравнили отдаленные результаты лечения переломов ДМЭЛК: остеосинтез при помощи пластин и аппарата наружной фиксации. Осложнения, связанные с повреждением сухожилий сгибателей и лучевого нерва, встречались гораздо чаще при использовании пластины. Однако у пациентов, которым выполнялся остеосинтез пластинами, объем движений спустя 6-8 нед с момента операции был значительнее. Средний показатель по опроснику DASH у пациентов, оперированных с использованием пластины, был равен 17 баллам, у пациентов с аппаратом наружной фиксации — 32 балла.
В настоящем исследовании спустя 2 мес с момента проведения операции показатели по опроснику DASH в 1-й группе составили 28 баллов, во 2-й группе — 20 баллов.
Т. Wright и соавт. [42] пришли к выводу, что использование погружного остеосинтеза позволяет начать раннюю разработку движений в ЛЗС. В их исследовании показатель по опроснику DASH спустя 6 мес был сопоставим в обеих группах.
Z. Margaliot и соавт. [43] провели метаанализ нескольких исследований, посвященных сравнению результатов лечения при помощи погружного остеосинтеза и внешней фиксации. Клинически и статистически значимых различий отдаленных результатов в двух группах выявлено не было. Однако более высокий риск развития инфекции, невритов были констатированы у пациентов, использующих аппарат внешней фиксации. Самым частым при использовании внутренних фиксирующих устройств являлось повреждение сухожилий, что служило причиной удаления металлофиксаторов.
По результатам настоящего исследования, при использовании внутренних фиксаторов случаев повреждения сухожилий сгибателей не наблюдалось, как и возникновения инфекционных осложнений у пациентов. Таким образом, использование аппарата внешней фиксации не было связано с риском развития инфекционных осложнений.
D. Wei и соавт. [44] в рамках проведения исследования получили следующие отдаленные результаты: спустя 2 мес после операции объем движений в ЛЗС и сила хвата были лучше у пациентов с накостным остеосинтезом. Однако через полгода функциональные показатели у пациентов с аппаратом внешней фиксации и пластиной были сопоставимы. Диапазон движений в ЛЗС также не отличался.
В рамках оценки отдаленных функциональных результатов лечения в настоящем исследовании также отмечали лучшую функцию ЛЗС в группах с пластиной, однако через полгода после проведения операции функциональные возможности в двух группах были сопоставимы.
С. Dy и соавт. [43] описывали, что при использовании волярных пластин имеются высокие риски повреждения сухожилий сгибателей. Появление этого осложнения можно свести к минимуму, если использовать технику монокортикального блокирования. Также исследователи определили важность III-колонной теории при оценке объема повреждения и выбора способа фиксации. С целью минимизации осложнений, связанных с повреждением сухожилий, авторы делали операции с использованием дорсального доступа и использовали узкопрофильные фиксаторы.
В рамках проведения настоящего исследования при использовании волярных пластин случаев повреждения сухожилий сгибателей не наблюдалось.
Так, при использовании закрытой репозиции в условиях стабилизации дистракционным аппаратом при переломах типа А и С наблюдалось восстановление РУ в 100% клинических случаев. Показатели восстановления ДУ при переломах типа А и С в обеих группах были сопоставимы.
Необходимо отметить, что применение дистракционного аппарата при переломах типа В приводило к худшим результатам при рентгенологических показателях в боковой проекции (ДУ), чем при закрытой репозиции с последующей гипсовой иммобилизацией. Это связано с воздействием дистракционных усилий на связочный аппарат ЛЗС при условии его целостности. Следовательно, можно столкнуться с трудностями при достижении репозиции краевых ладонных переломов. Кроме того, положение отломков при использовании дистракционного аппарата остается стабильным на протяжении всего этапа лечения, в то время как при использовании гипсовой иммобилизации после регрессирования отека довольно часто выявлялась потеря первоначально достигнутой репозиции (табл. 4). Последний факт является очень важным для пациентов, у которых 2-й этап хирургического лечения может быть отложен по причине тяжелого состояния (наличие множественных повреждений, длительное нахождение пациента в отделении реанимации). Также использование дистракционного аппарата делает возможным ведение пациентов с открытыми переломами и инфицированными ранами с последующим принятием решения по поводу дальнейшей тактики лечения после разрешения инфекционно-воспалительных проявлений.
Табл. 4. Выбор первого этапа лечения в зависимости от типа перелома по классификации УКП AO/ASIF
Table 4. The choice of the first stage of treatment, depending on from the type of fracture according to the classification of UCP AO/ASIF
| Метод лечения | Тип перелома | ||
| A | B | C | |
| Использование дистракционного аппарата | +++ | - | +++ |
| Закрытая репозиция, гипсовая иммобилизация | ++ | + | - |
Примечание. +++ — оптимально; ++ — хорошо; + — допустимо; недопустимо.
К недостаткам настоящего исследования следует отнести неоднородность пациентов по возрасту (от 19 до 68 лет), разный уровень подготовки операционной бригады. Кроме того, большое значение на результаты исследования оказывала мотивация пациентов к активизации, разработке движений в ЛЗС и возвращению к прежней жизни до травмы; невозможность динамического контроля со стороны врача за соблюдением пациентом рекомендаций. Некоторые пациенты не являлись на назначенные контрольные визиты к оперирующему хирургу, что негативно сказывалось на сравнении результатов лечения в двух группах.
Заключение. Результаты оперативного лечения двух групп пациентов оцениваются как хорошие и отличные. Статистически значимых различий не было выявлено. Как показали результаты исследования, использование дистракционного аппарата в рамках 1-го этапа лечения позволило добиться лучшего восстановления анатомии ЛЗС (кроме переломов типа В) и, что важно, без тенденции ко вторичному смещению костных отломков. Последний факт является очень важным для пациентов, у которых 2-й этап хирургического лечения может быть отложен по причине тяжелого состояния, открытого повреждения, наличия инфицированной раны.
Выполнение 2-го этапа лечения заключалось в выполнении остеосинтеза перелома ДМЭЛК пластиной. Было достигнуто полное восстановление анатомии ЛЗС с возможностью начала ранней реабилитации.
About the authors
K. A. Yeghiazaryan
N.N. Priorov National Medical Research Center of Traumatology and Orthopaedics
Email: rsmu@rsmu.ru
Professor, head of the Department of traumatology, orthopedics and military surgery
Russian Federation, MoscowA. P. Ratiev
N.N. Priorov National Medical Research Center of Traumatology and Orthopaedics
Email: rsmu@rsmu.ru
Professor, Department of traumatology, orthopedics and military field surgery
Russian Federation, MoscowA. V. Grigoriev
N.N. Priorov National Medical Research Center of Traumatology and Orthopaedics
Email: rsmu@rsmu.ru
assistant Professor, Department of traumatology, orthopedics and military surgery
Russian Federation, MoscowA. V. Germanov
N.N. Priorov National Medical Research Center of Traumatology and Orthopaedics
Email: rsmu@rsmu.ru
Ph. D., associate Professor of traumatology, orthopedics and military surgery
Russian Federation, MoscowM. A. Danilov
N.N. Priorov National Medical Research Center of Traumatology and Orthopaedics
Email: rsmu@rsmu.ru
assistant of the Department of traumatology, orthopedics and military surgery
Russian Federation, MoscowV. V. Chebotarev
I.M. Sechenov First Moscow State Medical University
Author for correspondence.
Email: rsmu@rsmu.ru
postgraduate student
Russian Federation, MoscowReferences
- Измалков С.Н., Семенкин О.М., Братийчук А.Н. Диагностика и оперативное лечение нестабильных переломов дистального метаэпифиза лучевой кости. Самара: Книжное издательство»; 2016. [Izmalkov S.N., Semenkin О.М., Bratijchuk A.N. Diagnostics and operation treatment unstable fractures of distal radius. Samara: Book publishing house; 2016. (In Russ.)].
- Pechlaner S., Gabl M., Lutz M., Krappinger D., Leixnering M., Krulis B., Ulmer H., Rudisch A. Distale Radiusfrakturen: Atiologie, Behandlungsmethoden und Ergebnisse. Handchir Mikrochir Plast Chirurgie. 2007;39:19-28.
- Slutsky D.J., Osterman L.A. Fractures and injuries of the distal radius and carpus: the cutting edge. Philadelphia, PA: Elsevier; 2009.
- McKay S.D., MacDermid J.C., Roth J.H., Richards R.S. Assessment of complications of distalradius fractures and development of a complication checklist. J Hand Surg (A). 2001;26(5):916-92.
- Егиазарян K.A., Магдиев Д.А. Оптимизация оказания специализированной помощи больным с повреждениями и заболеваниями кисти. Вестник РГМУ. 2012;2:77-80. [Egiazaryan К.А., Magdiev D.A. «Optimization of providing specialized care to patients with hand injuries and diseases» N.I. Pirogov Journal of Medical Research. 2012;2:77-80. (In Russ.)].
- Рюди Т.П., Бакли Р.Э., Моран К.Г. АО — Принципы лечения переломов. Частная травматология. Том 2. М.: Васса-Медиа; 2007. [Ryudi Т.Р., Bakli R.E’., Moran K.G. AO — Principles of Fracture Management — Second explanded edition by AO Publishing. Moscow: Vassa-Media; 2007. (In Russ.)].
- Muller A.O. Classification of Fractures — Long Bones. Switzerland: AO Publishing; 2007.
- Melone C.P. Distal radius fractures patterns of articular fragmentation. Hand Clin. 1993;24(2):239-53.
- Slutsky D.J., Osterman A.L. Fractures and injuries of the distal radius and carpus: the cutting edge. 1st ed. Elsevier; 2009.
- Fernandez D.L., Jupiter J.В. Fractures of the distal radius: a practical approach to management. 2nd ed. Springer; 2002.
- Rikli D.A., Regazzoni P. The double plating technique for distal radius fractures. Tech Hand Up Extrem Surg. 2000;4(2):107-14.
- Измалков C.H., Семенкин O.M. Хирургическое лечение больных с нестабильными переломами лучевой кости в «типичном месте»: Методические рекомендации. Самара: СамГМУ; 2005. [Izmalkov S.N., Semenkin O.M. Operation treatment unstable fractures of distal radius. Methodical recommendation. Samara: SamGmu; 2005. (In Russ.)].
- Сергеев C.B., Загородний H.B., Абдулхабиров M.A., Гришанин О.Б., Карпович Н.И., Папоян В.С. Современные методы остеосинтеза костей при острой травме опорнодвигательного аппарата. Учеб. пособие. М.: РУДН; 2008. [Sergeev S.V., Zagorodnij N.V., Abdulhabirov М.А., Grishanin О.В., Karpovich N.I., Papoyan V.S. Actual methods of fractures management in Orthopedic trauma syrgery. Training manual. Moscow: RUDN; 2008. (In Russ.)].
- Fernandez D.L., Jupiter J.B. Fractures of the distal radius: a practical approach to management. 2nd ed. Springer; 2002.
- Slutsky D.J., Osterman A.L. Fractures and injuries of the distal radius and carpus: the cutting edge. 1st ed. Elsevier; 2009.
- Джонсон Д.Г., Амендола А.А., Барбер Ф.А. и др. Оперативная артроскопия в 2 томах. Пер. с англ. под ред. С.В. Иванникова. М.: Издательство Панфилова; 2015. [Jonson D.G., Amendola A.A., Barber F.A. et al. Operative arthroscoly. Part II. translate by S.V. Ivannikova. Moscow: Published Panfilova; 2015. (In Russ.)].
- Скороглядов A.B., Коробушкин Г.В., Алъкатф Х.М. Лечение переломов дистального метаэпифиза лучевой кости ладонной пластиной с угловой стабильностью. Вестник РГМУ. 2009;6:32-4. [Skoroglyadov A.V.,Korobushkin G.V., Alqatf Н.М. The treatment of fractures of distal radius by palmar plate with angular stability» N.I. Pirogov Journal of Medical Research. 2009;6:32-4. (In Russ.)].
- Сергеев C.B., Загородный H.B., Абдулхабиров M.A., Гришанин О.Б., Карпович Н.И., Папоян В.С. Современные методы остеосинтеза костей при острой травме опорнодвигательного аппарата. Учеб. пособие. М.: РУДН; 2008. [Sergeev S.V., Zagorodnij N.V., Abdulhabirov М.А., Grishanin О.В., Karpovich N.I., Papoyan V.S. «Actual methods of fractures management in Orthopedic trauma syrgery»: Training manual. Moscow: RUDN; 2008. (In Russ.)].
- Arora R., Lutz M., Hennerbichler A., Krappinger D., Espen D., Gabi M. Complications following internal fixation of unstable distal radius fracture with a palmar lockingplate. J Orthop Trauma. 2007;21(5):316-22.
- Rampoldi M., Marsico S. Complications of volar plating of distal radius fractures. Acta Orthop Belg. 2007;73(6):714-9.
- Soong M., van Leerdam R., Guitton T.G., Got C., Katarincic J., Ring D. Fracture of the distal radius Risk factors for complications after locked volar plate fixation. J Hand Surg Am. 2011;36(l):3-9.
- Rozental T.D., Blazar P.E. Functional outcome and complications after volar plating for dorsally displaced, unstable fractures of the distal radius. J Hand Surg Am. 2006;31(3):359-65.
- Thielke S.H., Spors-Schrödter L., Wasgner T. et al. Winkelstabile Plattenosteosynthese am distalen Radius. Lösung einer Problemfraktur Akt Traumatol. 2002;32:245-50.
- Sahu A., Batra S., Charalambos C., Ravenscroft M. Reoperation for metalwork complications following the use of volar locking plates for distal radius fractures; experience of a general trauma unit in UK. Orthopaedic Proceedings; 2018.
- Windolf J., Hakimi M., Schädel-Höpfner M. Ergebnisse der palmaren winkelstabilen Plattenosteosynthese am distalen Radius. Trauma Berufskrankh. 2008; 10(2):236-40.
- Lattmann T., Dietrich M., Meier C., Kilgus M., Platz A. Comparison of 2 surgical approaches for volar locking plate osteosynthesis of the distal radius. J Hand Surg (A). 2008;33(7):1135-43.
- Drobetz H., Kutscha-Lissberg E. Osteosynthesis of distal radius fractures with a volar locking screw plate system. Int Orthop. 2003;27:1-6.
- Prommersberger K.-J., Moossavi S., Lanz U. Ergebnisse der Korrekturosteotomie fehlverheilter Extensions frakturen der Speiche an typischer Stelle. Handchir Mikrochir Plast Chir. 1999;4:234-40.
- Бейдик О.В., Котельников Г.П., Островский Н.В. Остеосинтез спицевыми и стержневыми аппаратами внешней фиксации. Самара: Перспектива; 2002. [Bejdik O.V., Kotel’nikov G.P., Ostrovskij N.V. «External fixation by fracture management». Samara: Perspectiv; 2002. (In Russ.)].
- Marcheix P.S., Dotzis A., Benko P.E. Extension fractures of the distal radius in patients older than 50: a prospective randomized study comparing fixation using mixed pins or a palmar fixed-angle plate. J Hand Surg Eur Vol. 2010;35:646-51.
- Хоминец В.В., Ткаченко М.В., Сырцов В.В., Иванов В.С. Сравнительный анализ способов лечения больных с переломами дистального метаэпифиза лучевой кости. Травматология и ортопедия России. 2015;(2):5-15. [Khominets V.V., Tkachenko M.V., Syrtsov V.V., Ivanov V.S. Comparative analysis of treatment technique in patients with distal radius fractures. Travmatologia I ortopedia Rossii. 2015;2:5-15. (In Russ.)].
- Li-hai Z., Ya-nan W., Zhi M., Li-cheng Z., Hong-da L., Huan Y., Xiao-xie L., Pei-fu T. Volar locking plate versus external fixation for the treatment of unstable distal radial fractures: a meta-analysis of randomized controlled trials. J Surg Res. 2015; 193(1 ):324-33.
- Perren S.M. Evolution and rational of locked internal fixator technology. In-troductory remarks. Injury. 2001;32(2):39.
- Rikli D.A., Regazzoni P. Fractures of the distal end of the radius treated by internal fixation and early function: a preliminary report of 20 cases. J Bone Joint Surg Br. 1996;78:588-92.
- Dwyer C.L., Crosby N.E., Cooney T., Seeds W., Lubahn J.D. Treating Unstable Distal Radius Fractures With a Nonspanning External Fixation Device: Comparison With Volar Locking Plates in Historical Control Group. Am J Orthop. September,2017;46(5):E344-E52.
- Richard M.J., Wartinbee D.A., Riboh J., Miller M., Leversedge F.J., Ruch D.S. Analysis of the complications of palmar plating versus external fixation for fractures of the distal radius. J Hand Surg Am. Oct,2011;36( 10): 1614-20. https://doi.org/10.1016/j.jhsa.2011.06.030.
- Wright T.W., Horodyski M., Smith D.W. Functional outcome of unstable distal radius fractures: ORIF with a volar fixed- angle tine plate versus external fixation. J Hand Surg Am. Mar,2005;30(2):289-99.
- Margaliot Z., Haase S.C., Kotsis S.V., Kim H.M., Chung K.C. «A meta-analysis of outcomes of external fixation versus plate osteosynthesis for unstable distal radius fractures». J Hand Surg Am. Nov,2005;30(6): 1185-99.
- Wei D.H., Raizman N.M., Bottino C.J., Jobin C.M., Strauch R.J., Rosenwasser M.P. Unstable distal radial fractures treated with external fixation, a radial column plate, or a volar plate. A prospective randomized trial. J Bone Joint Surg Am. Jul,2009;91(7):1568-77. https://doi.org/10.2106/JBJS.H.00722.
- Мельников B.C., Коршунов В.Ф. Методы оперативного лечения неправильно сросшихся переломов дистального метаэпифиза лучевой кости. Лечебное дело. 2008;3:78- 84. [Mel’nikov V.S., Korshunov V.F. Methods of surgical treatment malunion of the distal radius. Medical Journal Lechebnoe delo. 2008;3:78-84. (In Russ.)].
- Голубев И.О., Максимов A.A., Ширяева Г.Н., Меркулов М.В., Бушуев О.М., Кутепов И.А. Ошибки и осложнения консервативного лечения переломов дистального метаэпифиза лучевой кости. III Всероссийский съезд кистевых хирургов, II Международный конгресс «Современные технологии диагностики, лечения и реабилитации при повреждениях и заболеваниях верхней конечности». Тезисы докладов. М.; 2010. [Golubev I.O., Maksimov А.А., Shiryaeva G.N., Merkulov M.V., Bushuev O.M., Kutepov LA. «Complications of nonoperative treatment fracture distal radius. III All-Russian Congress of hand surgeons «The actual technology of diagnostics, treatment and rehabilitations in case of damage to the upper limb». Thesis of reports. Moscow; 2010. (In Russ.)].
- Fitzpatrick S.K., Casemyr N.E., Zurakowsky D., Day C.S., Rozental T.D. The Effect of Osteoporosis on Outcomes of Operatively Treated Distal Radius Fractures. J Hand Surg. 2012;37(10):2027-34.
- Dy C.J., Wolfe S.W., Jupiter J.B., Blazar P.E., Ruch D.S., Hanel D.P. Distal Radius Fractures: Strategic Alternatives to Volar Plate Fixation. Instr Course Lect. 2014;63:27-37.
Supplementary files





