Experimental and clinical aspects of combined method of replacement osteochondral defects of the knee
- 作者: Zagorodniy N.V.1, Vorotnikov A.A.2, Airapetov G.A.2, Saneeva G.A.2
- 
							隶属关系: 
							- N.N. Priorov National Medical Research Center of Traumatology and Orthopaedics
- Stavropol State Medical University
 
- 期: 卷 26, 编号 2 (2019)
- 页面: 24-31
- 栏目: Original study articles
- ##submission.dateSubmitted##: 19.10.2020
- ##submission.datePublished##: 15.06.2019
- URL: https://journals.eco-vector.com/0869-8678/article/view/47186
- DOI: https://doi.org/10.17116/vto201902124
- ID: 47186
如何引用文章
全文:
详细
Injuries and diseases of large joints occupy a leading place in the list of urgent problems of orthopedics. Various methods of treatment of this pathology are regularly offered in the literature, but most of them do not allow restoring a full-fledged hyaline cartilage.
Background. To improve the results of organ-preserving treatment of patients with osteo-chondral defects of large joints.
Methods. A prospective study was conducted on 30 large animals (60 knee joints) aged 1.5 to 3 years. We divided the animals into 3 groups of 10 individuals (20 joints) in each, based on the method of replacement of the osteo-chondral defect. In all cases, a full-layer defect formed from the hyaline cartilage by a mill with a diameter of 4.5 mm, depth of 7 mm with the capture of the subchondral bone in the medial condyle of the right thigh. Artificial defects restored by one of the following methods. The left joint considered a control joint and the defect formed by the same technique was not filled.
Results. The result was evaluated in 1 month,3 months and 6 months viewing the nature and degree of defect fill. Specific volumes of such tissues as chondrocytes, cartilage matrix and the average depth of the defect from the thickness of the native cartilage are better in group 3, and connective tissue is less in group 3.
Conclusion. In the group without defect replacement, the obtained data are comparable with the studies of other authors, according to which bone and cartilaginous defects practically do not regenerate on their own. Our proposed method with the use of extracellular collagen matrix, autocartilage and plate rich plasma is less aggressive in comparison with autochondroplasty and the result can be more stable compared to microfracturing or tunnelization.
全文:
Максимально полноценное морфологическое, физиологическое и при этом минимально травматичное восстановление гиалинового хряща при повреждениях крупных суставов — одна из актуальных проблем ортопедии. По данным литературы, более 50% обращений к ортопеду, ревматологу, спортивному врачу и другим специалистам амбулаторного звена связаны с патологией суставов дегенеративно-дистрофического характера [1, 2]. У 60% этих пациентов на разных этапах лечебно-диагностического процесса выявляют хондромаляцию различной степени глубины и протяженности [3].
Известен широкий спектр методов диагностики и лечения указанной патологии. Основными задачами терапии являются купирование болевого синдрома, пролонгация сроков и снижение интенсивности прогрессирования заболевания, а также достижение полноценной медицинской, социальной и трудовой реабилитации [4—6]. В последние годы весьма активно совершенствуются известные и разрабатываются новые технологии хирургического лечения остеоартрита, не исключая базового консервативного лечения [7-10].
В 60-х годах прошлого столетия была предложена субхондральная или транскортикальная туннелизация — одна из первых малоинвазивных хирургических методик. Ее суть состоит в формировании каналов диаметром от 0,5 до 2 мм в эпиметафизарных зонах трубчатой кости с целью стимуляции репаративных процессов, снижения внутрикостного давления и уменьшения болевого синдрома. Некоторыми специалистами она успешно применяется и в настоящее время [11]. К недостаткам туннелизации можно отнести вероятность возникновения ожога прилегающих тканей при некорректном использовании техники, что нарушает микроциркуляцию в субхондральной кости, препятствуя таким образом формированию полноценной и стабильной хрящеподобной фиброзной ткани [12].
Аналогичным по сути и достаточно распространенным методом лечения остеохондральных дефектов является микрофрактурирование склерозированной субхондральной кости, предложенное J. Steadman в 1997 г. [по 13]. Несмотря на преимущества, в частности исключение термического ожога, ряд авторов отрицательно оценивают необходимость выполнения микропереломов. Они считают, что образующаяся в результате трансформации гематомы хрящеподобная фиброзная ткань тонкая, неустойчива к физическим нагрузкам, довольно быстро лизируется и не соответствует ожиданиям функционального восстановления [13].
Другие малоинвазивные методики оперативного лечения напоминают указанные и сопоставимы по эффективности [13, 14].
Цель исследования — оптимизация органосохраняющего лечения остеохондральных дефектов коленного сустава.
Материал и методы
Экспериментальное исследование проведено на 60 коленных суставах 30 баранов в возрасте от 1,5 до 3 лет. В качестве экспериментальных были выбраны крупные животные, которые схожи с человеком анатомическим строением и сопоставимы функциональными нагрузками коленного сустава. Кроме того, овцы хорошо переносят анестезию и разрешены к применению в качестве экспериментальных животных на территории Российской Федерации (Закон «О защите животных от жестокого обращения», от 01.12.99, ст. 9, пункт 4).
Животные разделены нами на 3 группы по 10 особей (20 суставов) в каждой, исходя из способа замещения остеохондрального дефекта.
Во всех наблюдениях формировали полнослойный дефект гиалинового хряща фрезой диаметром 4,5 мм, глубиной 7 мм с захватом субхондральной кости в области медиального мыщелка правой бедренной кости (рис. 1). Восстанавливали искусственные дефекты по одному из указанных ниже методу. Левый сустав считали контрольным (контроль) и сформированный дефект не восполняли.
Рис. 1. Полнослойный дефект гиалинового хряща и субхондральной кости внутреннего мышелка бедренной кости.
Fig. 1. Full-layer defect of hyaline cartilage and subchondral bone of the inner condyle of the femur.
В 1-й группе непосредственно после формирования дефекта выполняли микрофрактурирование его дна.
Во 2-й группе поверхность микрофрактурированного дефекта полностью герметично закрывали внеклеточным коллагеновым матриксом (ВКМ). Последний по периферии подшивали рассасывающейся нитью 2/0.
В 3-й группе, после микрофрактурирования дна, подшивания матрикса дефект дополнительно заполняли аутоплазмой, обогащенной тромбоцитами со взвесью измельченного гиалинового аутохряща. Его отдельно получали путем забора скальпелем из ненагружаемой поверхности сустава.
Фрагменты хряща в количестве от 3 до 7 измельчали до размера 0,2×0,2 мм, перемешивали с аутоплазмой и вводили эту взвесь в образованный дефект. Для получения аутоплазмы использовали венозную кровь (3—5 мл) оперируемого животного до введения анестетика, ее центрифугировали в специальных пробирках с системой клеточной фильтрации в течение 5 мин при 2500 об/мин.
Ход операции. Под общей анестезией, после внутривенного введения 2% Sol. Rometari из расчета 0,3 мг на 1 кг веса овцы проводили хирургическое вмешательство.
Положение животного на боку. Задние конечности фиксировали в положении сгибания. Хирургический доступ 3-4 см проводили по передней поверхности коленного сустава кнутри от собственной связки надколенника. После рассечения капсулы сустава обеспечивался доступ к медиальному мыщелку бедренной кости. Фрезой диаметром 4,5 мм формировали дефект глубиной до 7 мм с захватом субхондральной кости, оставляя его зияющим в левом — контрольном коленном суставе.
В зависимости от исследуемой группы дефект в правом коленном суставе замещали в строгом соответствии с указанными выше методиками (рис. 2). Операционную рану послойно ушивали без дренирования полости сустава.
Рис. 2. Вид дефекта после фиксации внеклеточным коллагеновым матриксом (ВК.М). а — ВКМ; б — измельченный аутохрящ.
Fig. 2. View of defect after fixation by extracellular collagen matrix (VCM). a — VCM; b — crushed autochthonous.
Все животные в периоперационном периоде содержались в условиях, соответствующих требованию законодательства РФ. Полная нагрузка на конечность после операции искусственно не ограничивалась.
Мониторирование результатов эксперимента проводили в сроки 1,3 и 6 мес после оперативного вмешательства.
Падежа животных от разных причин, как и от инфекционно-гнойных осложнений, мы не наблюдали в раннем и позднем послеоперационном периодах вплоть до выведения животных из эксперимента.
Макроскопическую оценку дефектов осуществляли при помощи шкалы Driscoll для оценки послеоперационного состояния крупных суставов в эксперименте на животных [14]. Микроморфометрию полученного регенерата осуществляли с оценкой удельного объема хондроцитов, хрящевого матрикса, соединительной ткани в регенерате и средней глубины дефекта.
Для гистологического исследования материал непосредственно после его забора фиксировали в 10% растворе нейтрального забуференного формалина. Затем костную ткань декальцинировали в растворе 12% азотной кислоты, обезвоживали в спиртах возрастающей концентрации с последующей заливкой в парафиновую среду Histomix в строгом соответствии с существующим протоколом. Полученные парафиновые блоки резали на ротационном микротоме (LEI R 2124 R) и для оценки изменений окрашивали срезы гематоксилином и эозином.
Результаты
В 1-й группе к 6 мес наблюдения макроскопически определяли динамику восполнения дефекта в рамках минус-ткань: дно костно-хрящевого дефекта эрозировано, практически не заполнено рубцовой или хрящеподобной тканью, граница между зоной дефекта и здоровым собственным гиалиновым хрящом прослеживается четко (рис. 3, а). Глубина дефекта итогово составляла в среднем 3—6 мм.
Последовательные изменения в микроскопической картине области костно-хрящевого дефекта в 1-й группе животных отражены на рис. 3, б. Аналогично макроскопической картине определяется эффект «минус-ткань», достигающий 50% исходной глубины фрезевого канала. Края дефекта ровные, гладкие; граница между новообразованной тканью и сохраненным гиалиновым суставным хрящом прослеживается четко, так как новообразованная ткань полнокровна.
Рис. 3. Динамика макроскопической картины дефекта в 1 -й экспериментальной группе. а — через 1 мес; б— через 3 мес; в—через 6 мес.
Fig. 3. Dynamics of a macroscopic pattern defect in the 1st experimental group. a — after 1 month; б — after 3 months; в — after 6 months.
Удельные объемы тканей в среднем составили: хондроциты — 4,18±0,2%, хрящевой матрикс — 33,73±1,3%, соединительная ткань — 62,09±1,3%; средняя глубина дефекта 56,1±2,1% от толщины нативного хряща.
Во 2-й экспериментальной группе пошагово к 6 мес после операции визуально также определяли минус-ткань. Однако глубина остаточного дефекта была меньше и не превышала 2/3 исходной толщины (рис. 4. а).
Микроскопически в группе с замещением дефекта ВКМ в динамике наблюдали формирование более стабильного, чем в 1-й группе и контроле, регенераторного слоя. К 6 мес эксперимента обнаруживали признаки очагового ремоделирования хрящевой ткани, выражающиеся в формировании хондроцитами колонок-столбиков, некоторое оживление поверхностного слоя (увеличение количества клеток), появление изогенных групп хрящевых клеток в матриксе (рис. 4, б).
Рис. 4. Динамика микроскопической (после закрытия ВКМ; ув. 40) картины дефекта во 2-й экспериментальной группе. а — через 1 мес; б — через 3 мес; в — через 6 мес.
Fig. 4. Dynamics of microscopic (after the closure of the VCM; UV. 40) pattern defect patterns in the 2nd experimental group. a —after 1 month; б —after 3 months; в — after 6 months.
Удельный объем клеточных элементов во вновь образованной ткани в этой группе к 6 мес в среднем составил: хондроциты — 5,6±0,3%, хрящевой матрикс — 42±2,1 %, соединительная ткань — 52,3±2,1 %. Средняя глубина дефекта достигала 15,2±2% от толщины нативного хряща.
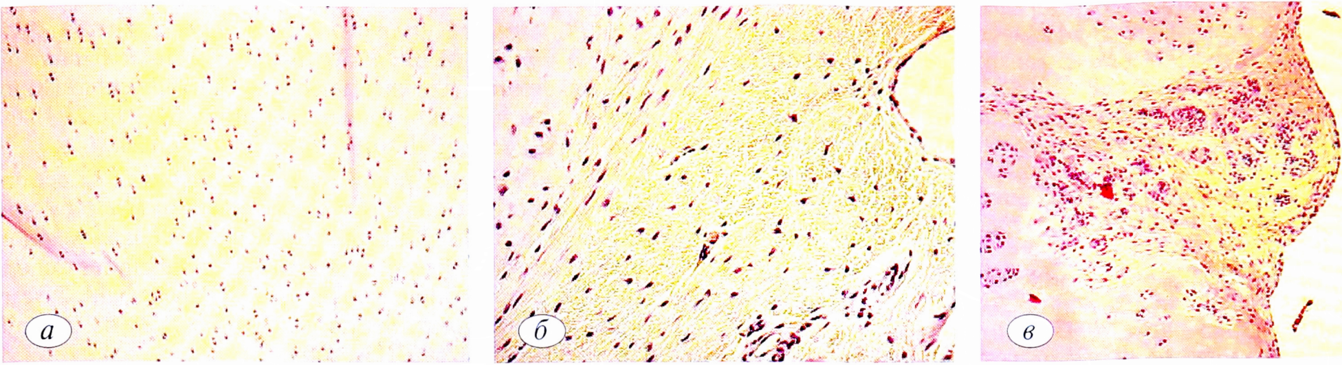
Наиболее выраженную картину восстановления дефекта отметили к 6 мес после операции в 3-й экспериментальной группе. Дефект при макроскопическом исследовании практически полностью восстановлен с ровными гладкими краями и плавным переходом границы между новообразованной тканью и сохраненным гиалиновым суставным хрящом. Разделительная линия между ними прослеживается с трудом (рис. 5, а).
На гистологических срезах в этой группе отчетливо видно, что на месте бывшего повреждения образовался неоднородный слой гиалиноподобного хряща, сопоставимый по морфологическим и качественным показателям с нативным.
Микроскопически область костно-хрящевого дефекта по краям выполнена гиалиновоподобной хрящевой тканью, которая местами разделялась на слои (поверхностный, промежуточный, глубокий). Субхондральная костная пластинка восстановлена на всем протяжении; волокна ее утолщены, оформлены. В большинстве своем элементы костной ткани ориентированы пространственно перпендикулярно кортикальной пластинки, основное вещество в умеренном количестве, гомогенное (рис. 5, б).
Рис. 5. Динамика макроскопической (я) и микроскопической (б; ув. 40) картины в 3-й экспериментальной группе. а — через 1 мес; б — через 3 мес; в — через 6 мес.
Fig. 5. Dynamics of macroscopic (a) and microscopic (b); magnification 40) pattern in the 3rd experimental group. a — after 1 month; b —after 3 months; c —after 6 months.
Удельный объем хондроцитов в среднем составил 8,8±0,3%, хрящевого матрикса 58,6±0,8%, объем соединительной ткани 32,7±1 % соответственно. Восстановление средней глубины дефекта достигло 1,9±1,3% от нормальной толщины гиалинового хряща.
Полученные в ходе исследования данные о качественном клеточном составе регенерата статистически обработаны. Критический уровень значимости при проверке статистических гипотез в данном исследовании принимался равным 0,05. В таблице представлены средние значения изучаемых показателей клеточного состава в зоне дефекта и анатомофункционального состояния оперированного сустава.
Для попарного множественного сравнения степени анатомо-функционального восстановления оперированного сустава по шкале Driscoll в разных группах использовали непараметрический критерий Ньюмена- Кейлса, а для сравнения с контролем — критерий Данна.
Таблица. Средние значения изучаемых показателей
Table. Average values of the studied indicators
| Группа | Оценка по шкале Driscoll, баллы | Удельный объем, % | Средняя глубина дефекта, % от толщины здорового хряща | ||
| хондроциты | хрящевой матрикс | соединительная ткань | |||
| Контроль | 3,9±0,548 | 3,52±0,089 | 25,89±2,755 | 70,59±2,732 | 65,1±2,295 | 
| 1-я | 5,9±0,568 | 4,18±0,215 | 33,73±1,288 | 62,09±1,314 | 56,1±2,132 | 
| 2-я | 7,4±0,516 | 5,63±0,32 | 42,08±2,143 | 52,29±2,124 | 15,2±1,989 | 
| 3-я | 8,9±0,738 | 8,83±0,302 | 58,6±0,75 | 32,72±1,053 | 1,9±1,287 | 
Оценки по шкале Driscoll во всех группах были статистически значимо выше показателей в контроле. Кроме того, оценки по шкале Driscoll в 3-й группе статистически значимо выше, чем в 1-й и 2-й группах, а во 2-й группе — выше, чем в 1-й группе. Согласно результатам статистического анализа удельный объем хрящевого матрикса и хондроцитов во всех группах статистически значимо выше, чем в контроле. Объем хрящевого матрикса и хондроцитов в 3-й группе статистически значимо больше, чем в 1 -й и 2-й группах.
Для попарного множественного сравнения удельного объема соединительной ткани в разных группах использовали параметрический критерий Стьюдента с поправкой Бонферрони.
Удельный объем соединительной ткани во всех группах оказался статистически значимо ниже, чем в контроле. Аналогичный показатель в 3-й группе также существенно ниже, чем в 1-й и 2-й группах, а во 2-й группе — статистически значимо ниже, чем в 1-й группе.
Таким образом, статистически обработанные результаты исследования с критическим уровнем значимости 0,05 позволяют достоверно оценить клеточный состав регенерата, степень замещения дефекта и анатомофункциональные результаты в оперированном суставе.
Обсуждение
Большинство специалистов считают, что остеохондральные дефекты обусловливают необходимость хирургического лечения [14]. Основным методом диагностики таких повреждений считается магнитно-резонансная томография, на основании результатов которой имеется возможность полноценно спланировать операцию. Одним из наиболее широко применяемых малоинвазивных способов лечения является микрофрактурирование. Это наиболее простая и доступная методика, которая может выполняться артроскопически. Микрофрактурирование позволяет получить хорошие результаты в большинстве клинических случаев [15, 16]. Однако полученный в результате регенерат не позволяет полноценно заместить зону дефекта и быстро лизируется [17, 18]. Это нашло подтверждение в проведенных нами исследованиях в 1-й экспериментальной группе. В доступной медицинской литературе описывается высокая результативность применения мозаичной аутохондропластики. Несмотря на положительные результаты ее применения, она отличается большей травматичностью, вероятностью развития болевого синдрома в донорской зоне сустава, как и прогрессированием дегенеративно-дистрофических процессов [19].
В настоящее время активно развиваются методики культивирования хондроцитов и имплантации их в зону дефекта на матрице либо под материал, отграничивающий зону дефекта от полости сустава. Один из таких методов — трансплантация аутологичных хондроцитов (Autologous Chondrocyte Implantation — АСІ) и индуцированный матрицей аутогенный хондрогенез (Autologous Matrix Induced Chondrogenesis — AMIC). Обе методики дают хорошие результаты. Однако применение АСІ требует выполнения двух оперативных вмешательств, а АМІС отличается высокой стоимостью, что снижает их востребованность [19, 20].
Несомненно, актуально развитие направления, связанного с использованием мезенхимальных стволовых клеток. Однако специалисты отмечают наряду с очевидными преимуществами ряд серьезных недостатков [21, 22].
В предлагаемом решении проблемы восполнения остеохондральных дефектов мы попытались объединить преимущества таких монотерапевтических средств, как ВКМ, плазма, обогащенная тромбоцитами, и аутопластики хрящевой ткани, минимизировав их негативные свойства. Предложенный метод выполняется в один этап в отличие от методики АСІ, а сама техника является менее агрессивной, чем мозаичная аутохондропластика, и не оставляет больших дефектов в донорской зоне (рис. 6).
Рис. 6. Микроскопическая картина после закрытия дефекта ВКМ в динамике, где: а — 1 мес; б — 3 мес; в — 6 мес. Увеличение ×40.
Fig. 6. The Microscopic picture after closure of the defect VCR in dynamics, where: a — 1 month; b — 3 months; c — in 6 months. Magnification ×40.
Результаты, полученные в 1-й группе, отражают неполноценность сформированного сгустка и его ранний лизис после микрофрактурирования. Во 2-й группе эксперимента показатели регенерации имели положительные отличия от таковых в 1-й группе, что связано с применением ВКМ. Наиболее оптимистичные результаты наблюдали в 3-й группе, в которой остеохондральный дефект максимально заполнен регенератом гиалиновоподобной хрящевой ткани с морфологически прослеженной архитектоникой (рис. 7,8). По мнению нашей исследовательской группы, это может свидетельствовать о хороших результатах сочетания микрофрактурирования и коллагенового матрикса со взвесью аутохондроцитов в плазме, обогащенной тромбоцитами, что позволяет рекомендовать методику к клиническому применению.
Рис. 7. Динамика макроскопической картины в третьей экспериментальной группе. Внешний вид дефекта: а — через 1 мес; б— через 3 мес; в — через 6 мес.
Fig. 7. Dynamics of the macroscopic picture in the third experimental group. Appearance of the defect: a — after 1 month; b — after 3 months; c — in after 6 months.
Рис. 8. Микроскопическая картина дефекта в динамике, где: а — 1 мес; б — 3 мес; в — 6 мес. Увеличение ×40.
Fig. 8. Microscopic picture of the defect in dynamics, where: a —1 month; b —3 months; c — in 6 months. Magnification ×40.
Заключение. Комбинированное сочетание малоинвазивных, доступных и простых в исполнении, недорогостоящих методик в отдаленные сроки экспериментального наблюдения показали высокую эффективность. Данная методика в условиях неограниченной нагрузки на оперированную конечность животного позволила добиться практически полного замещения дефекта и воссоздания локального регенерата с архитектоникой, свойственной нормальному гиалиновому хрящу. Экспериментальное обоснование оригинальной методики оперативного лечения не исключает его применения в клинической практике ортопедических отделений лечебно-профилактических учреждений.
作者简介
N. Zagorodniy
N.N. Priorov National Medical Research Center of Traumatology and Orthopaedics
														Email: AirapetovGA@yandex.ru
				                					                																			                								
d.m.s
俄罗斯联邦, MoscowA. Vorotnikov
Stavropol State Medical University
														Email: Vorotnikovaa@mail.ru
				                					                																			                								
.m.s., head of the department of traumatology and orthopedics, professor
俄罗斯联邦, StavropolG. Airapetov
Stavropol State Medical University
														Email: AirapetovGA@yandex.ru
				                	ORCID iD: 0000-0001-7507-7772
				                																			                								
PhD., docent of the department of traumatology and orthopedics
俄罗斯联邦, StavropolG. Saneeva
Stavropol State Medical University
							编辑信件的主要联系方式.
							Email: AirapetovGA@yandex.ru
				                					                																			                								
PhD, docent of the department of endocrinology
俄罗斯联邦, Stavropol参考
- Божокин М.С., Божкова С.А., Нетылько Г.И. Возможности современных клеточных технологий для восстановления поврежденного суставного хряща (аналитический обзор литературы). Травматология и ортопедия России. 2016;3:122-134. [Bozhokin M.S., Bozhkova S.A., Netyl’ko G.l. The possibilities of modem cellular technologies for the restoration of damaged articular cartilage (analytical review of the literature). Travmatologiya i ortopediya Rossii. 2016;3:122-134. (In Russ.)].
- Белоусова Т.Е., Карпова Ж.Ю., Ковалева М.В. Влияние низкочастотной магнитосветотерапии на динамику электро- миографических показателей в процессе медицинской реабилитации пациентов с сочетанной патологией позвоночника и крупных суставов. Современные технологии в медицине. 2011;2:77-80. [Belousova Т.Е., Karpova Zh.Yu., Kovaleva M.V. Sovremennye teklinologii v meditsine. 2011;2:77-80. (In Russ.)].
- Ежов M.Ю., Ежов И.Ю., Кашко A.K., Каюмов А.Ю. Нерешенные вопросы регенерации хрящевой и костной ткани (обзорно-аналитическая статья). Успехи современного естествознания. 2015;5:126-131. [Ejov M.Yu., Ejov I.Yu., Kashko A.K., Kaumov A.Yu. Unresolved issues of regeneration of cartilage and bone tissue (review and analytical article). Uspekhi sovremennogo estestvoznaniya. 2015;5:126-131. (In Russ.)].
- Чичасова Н.В. Клиническое обоснование применения различных форм препарата терафлекс при остеоартрозе. Современная ревматология. 2010;4:59-64. [Chichasova N.V. Clinical rationale for the use of various forms of teraflex in osteoarthritis. Sovremennaya revmatologiya. 2010;4:59-64. (In Russ.)].
- Andia I., Abate M. Knee osteoarthritis: hyaluronic acid, plateletrich plasma or both in association? Expert Opin Biol Ther. 2014;14(5):635-649. https://doi.org/10.5312/wjo.v5.i3.351.
- Chang K.V., Hung C.Y., Aliwarga F., Wang T.G., Han D.S., Chen W.S. Comparative effectiveness of platelet-rich plasma injections for treating knee joint cartilage degenerative pathology: a systematic review and meta-analysis. Arch Phys Med Rehabil. 2014;95(3):562-575. https://doi.org/10.1016/j.apmr.2013.ll.006.
- Aad Dholl Ander, Kris Moen S, Jaap Van der Maas, Peter Verdon K., Karl Fredrik Almqvist, Jan Victor. Treatment of Patellofemoral Cartilage Defects in the Knee by Autologous Matrix-Induced Chondrogenesis (AMIC). Acta Orthop Belg. 2014;80:251-259.
- Тепляшин A.C., Шарифуллина C.3., Чупикова Н.И., Cenu- ашвили Р.И. Перспективы использования мультипотентных мезенхимных стромальных клеток костного мозга и жировой ткани в регуляции регенерации опорных тканей. Аллергология и иммунология. 2015; 16( 1): 138-148. [ Tepliashin A.S., Sharifullina S.Z., Chupikova N.I., Sepiashvili R.I. Prospects for the use of multipotent mesenchymal stromal cells of bone marrow and adipose tissue in the regulation of regeneration of supporting tissues. Allergologiya i immunologiya. 2015;16( 1): 138-148. (In Russ.)].
- Козадаев M.H. Применение матриц на основе поликапролактона для стимуляции регенерации суставного хряща в условиях эксперимента. Теоретические и прикладные аспекты современной науки. 2014;3-2:128-130. [ Kozadaev M.N. The use of polycaprolactone-based matrices to stimulate the regeneration of articular cartilage under experimental conditions. Teoreticheskie i prikladnye aspekty sovremennoi nauki. 2014;3(2): 128-130. (In Russ.)].
- Svend Ulstein, Asbjorn Aroen, Jan Harald Rotterud. Microfracture technique versus osteochondral autologous transplantation mosaicplasty in patients with articular chondral lesions of the knee: a prospective randomized trial with long-term follow-up. Knee Surg Sports Traumatol Arthrosc. 2014;22(6): 1207-1215. https://doi.org/10.1007/s00167-014-2843-6.
- Pridie K. A method of resurfacing osteoarthritic knee joints. J Bone Joint Surg Am. 1959;41:618-619.
- Ewers B.J., Dvoracek-Driksna D., Orth M.W., Haut R.C. The extent of matrix damage and chondrocyte death in mechanically traumatized articular cartilage explants depends on rate of loading. J Orthop Res. 2001;19:779-784. https://doi.org/10.1016/s0736- 0266(01)00006-7.
- Шевцов В.И., Макушин В.Д., Ступина ТА., Степанов М.А. Экспериментальные аспекты изучения репаративной регенерации суставного хряща в условиях туннелирования субхондральной зоны с введением аутологичного костного мозга. Гений ортопедии. 2010;2:5-10. [Shevcov V.I., Makushin V.D., Stupina T.A., Stepanov M.A. Experimental aspects of the study of reparative regeneration of articular cartilage in tunneling of the subchondral zone with the introduction of autologous bone marrow. Genii ortopedii. 2010;2:5-10. (In Russ.)].
- Советников H.H., Кальсин В.А., Коноплянников M.A., Муханов В.В. Клеточные технологии и тканевая инженерия в лечении дефектов суставной поверхности. Клиническая практика. 2013;1:52-66. [Sovetnikov N.N., Kalsin V.A., Konopliannikov M.A., Muhanov V.V. Cellular technologies and tissue engineering in the treatment of joint surface defects. Klinicheskaya praktika. 2013;1:52-66. (In Russ.)].
- Steadman J.R., Briggs K.K., Rodrigo J.J., Kocher M.S., Gill T.J., Rodkey W.G. Outcomes of microfracture for traumatic chondral defects of the knee: average 11-year follow-up. Arthroscopy. 2003;19:477-484. https://doi.org/10.1053/jars.2003.50112.
- Kreuz P.C., Erggelet C., Steinwachs M.R., Krause S.J., Lahm A., Niemeyer P., Ghanem N., Uhl M., Sudkamp N. Is microfracture of chondral defects in the knee associated with different results in patients aged 40 years or younger? Arthroscopy. 2006; 22:1180- 1186. https://doi.org/10.1016/j.arthro.2006.06.020.
- Jan Harald Rotterud, Einar Sivertsen, Magnus L. Effect on Patient-Reported Outcome of Debridement or Microfracture of Concomitant Full Thickness Cartilage Lesions in Anterior Cruciate Ligament-Reconstructed Knees: A Nationwide Cohort Study from Norway and Sweden of 357 Patients with 2-Year Follow-up. Orthopaed J Sports Med. 2015;3(7):38-42. https:// doi.org/10.1177/2325967115s00094.
- Knutsen G., Engebretsen L., Ludvigsen T.C., Drogset J.O., Grontvedt T., Solheim E., Strand T., Roberts S., Isaksen V., Johansen O. Autologous chondrocyte implantation compared with microfracture in the knee: a randomized trial. J Bone Joint Surg Am. 2004;86:455-464. https://doi.org/10.2106/00004623- 200403000-00001.
- Jacobi M., Villa V., Magnussen R.A., Neyret P. MACI — a new era? Sports Med Arthrosc Rehabil Ther Technol. 2011;3(1): 10. https://doi.org/10.1186/1758-2555-3-10.
- Khan W.S., Johnson D.S., Hardingham D.S. The Potential Use of Stem Cells for Knee Articular Cartilage Repair Knee. 2010;17(6):369-374.
- Mafi P., Hindocha S., Mafi R., Griffin M., Khan W.S. Sources of Adult Mesenchymal Stem Cells Applicable for Musculoskeletal Applications- A Systematic Review of the Literature. Open Orthop J. 2011;5:238-244. https://doi.org/10.2174/1874325001105 010242.
- Zhai L.J., Zhao K.Q., Wang Z.Q., Feng Y., Xing S.C. Mesenchymal stem cells display different gene expression profiles compared to hyaline and elastic chondrocytes. Int J ClinExp Med. 2015;1:81-90.
补充文件
 
				
			 
						 
						 
					
 
  
  
  电邮这篇文章
			电邮这篇文章 









 СМИ зарегистрировано Федеральной службой по надзору в сфере связи, информационных технологий и массовых коммуникаций (Роскомнадзор).
 СМИ зарегистрировано Федеральной службой по надзору в сфере связи, информационных технологий и массовых коммуникаций (Роскомнадзор).