Simultaneous surgical interventions in spinal surgery: a review of the literature and a clinical case for spondylolisthesis of the lumbar spine
- Authors: Byvaltsev V.A.1,2,3,4, Kalinin A.A.1,5, Shepelev V.V.1, Badaguyev D.I.1
-
Affiliations:
- Federal State Educational Institution of Higher Education Irkutsk State Medical University of the Russian Federation Ministry of Health
- Non-state health facility «Road Clinical Hospital, Irkutsk-Passenger station of JSC» Russian Railways»
- Federal State Scientific Institution «The Irkutsk Scientific Center of Surgery and Traumatology»
- Government budget educational institution of additional vocational training 'Irkutsk State Medical Academy of Postgraduate Education' of Ministry of Health of the Russian Federation
- Non-state health facility 'Road Clinical Hospital, Irkutsk-Passenger station of JSC» Russian Railways'
- Issue: Vol 26, No 1 (2019)
- Pages: 49-57
- Section: From Practical Experience
- Submitted: 19.10.2020
- Published: 15.03.2019
- URL: https://journals.eco-vector.com/0869-8678/article/view/47213
- DOI: https://doi.org/10.17116/vto201901149
- ID: 47213
Cite item
Full Text
Abstract
The article presents the first clinical case of surgical treatment of a patient with spondylolysis spondylolisthesis using a combination of minimally invasive surgical techniques and simultaneous operation. This intervention has significantly reduced the level of vertebral pain syndrome, improve the functional status in the postoperative period, effectively eliminate pathological mobility, provide early activation, to carry out a full rehabilitation in the shortest possible time and can be an operation of choice in patients with lumbar spondylolysis spondylolisthesis.
Full Text
Дегенеративные заболевания поясничного отдела позвоночника составляют доминирующую причину вертеброгенного болевого синдрома у более чем 85% пациентов трудоспособного возраста [1]. При этом наличие симптоматичного дегенеративного стеноза позвоночного канала, сегментарной нестабильности и спондилолистеза является показанием к проведению декомпрессивно-стабилизирующего вмешательства [1, 2].
У взрослого населения частой причиной боли в спине как с синдромом каудогенной перемежающейся хромоты, так и без него является спондилолистез [2, 3]. Истмический характер спондилолистеза среди вертеброгенной патологии составляет 5-6% случаев [4]. Односторонний или двусторонний спондилолиз локализуется преимущественно в позвонке LV, реже — в LIV или позвонке LIII, что обусловлено биомеханическими особенностями пояснично- крестцового перехода [5, 6]. Как правило, лизис дужки и смещение тела позвонка кпереди не сопровождаются стенозом позвоночного канала, а болевая симптоматика эффективно купируется физиотерапевтическими процедурами и нестероидными противовоспалительными лекарственными препаратами [7, 8]. При неэффективности консервативного лечения, наличии клинической корешковой симптоматики, а также при выраженной патологической подвижности ставится вопрос о фиксации нестабильных сегментов [2, 9]. При этом «золотым стандартом» дорсальной стабилизации позвоночных сегментов является методика заднего (PLIF) или трансфораминального (TLIF) межтелового спондилодеза с классической открытой транспедикулярной фиксацией [10, 11]. Значимое повреждение паравертебральных мышц, сопровождающееся интенсивной болью в области вмешательства и снижением качества жизни, значимая интраоперационная кровопотеря и увеличение продолжительности сроков стационарного лечения являются существенными недостатками традиционных декомпрессивно-стабилизирующих вмешательств [12, 13]. Для уменьшения вышеуказанных последствий в настоящее время широко используются минимально инвазивные хирургические (MIS) методики с использованием тубулярных ранорасширителей и микроинструментария, позволяющие выполнять чрескожную декомпрессию с установкой стабилизирующих конструкций при меньшей ятрогенной агрессии [14, 15]. Отрицательными моментами применения MIS- технологий являются необходимость длительного освоения методики медицинским персоналом и наличие специализированного оборудования [16, 17].
Увеличивается продолжительность операции и интраоперационной флюороскопии [18-21], а также риски неправильной установки погружных систем [22, 23].
Исследование возможности устранения существующих недостатков MIS-методик направлено на разработку симультанных подходов при выполнении декомпрессивно-стабилизирующих вмешательств.
В нейрохирургической практике симультанные операции не имеют широкого освещения в литературе. Данные представлены сериями или отдельными клиническими случаями оперативного лечения различных заболеваний позвоночника: дегенеративных заболеваний межпозвонковых дисков [24, 25], дегенеративных тандем-стенозов позвоночного канала [26, 27], спинальных деформаций [28], последствий травматических повреждений позвоночника [29, 30], специфических [31] и неспецифических спондилитов [32, 33].
В настоящее время актуальным является изучение возможности оптимизации хирургической техники при проведении MIS- вертебрологических вмешательств. В специализированной литературе информация о симультанной технологии при оперативном вмешательстве у пациентов со спондилолизным спондилолистезом отсутствует.
Приводим клинический случай оперативного лечения пациента со спондилолизным спондилолистезом позвонка LIV с применением фасетэктомии, двусторонней декомпрессии из унилатерального доступа, TLIF кейджем Capstone («Medtronic», США), симультанной комбинированной транспедикулярной фиксацией системой U-centum («Ulrich», Germany).
Пациент Ш.,48 лет, поступил в Центр нейрохирургии НУЗ «Дорожная клиническая больница на ст. Иркутск-Пассажирский» ОАО «РЖД- Медицина» с жалобами на выраженные боли в поясничном отделе позвоночника, усиливающиеся при динамических нагрузках, с иррадиацией в обе ягодицы, по боковой поверхности обоих бедер, правой голени до голеностопного сустава. Онемение в зоне болевого синдрома правой нижней конечности. Слабость в правой стопе.
Из анамнеза заболевания известно, что симптомы беспокоят пациента в течение ряда лет, в связи с чем он неоднократно проходил курсы консервативного лечения с незначительным улучшением. Последнее обострение было 6 нед назад после чрезмерной физической нагрузки, при этом медикаментозная терапия в амбулаторных условиях была малоэффективна.
Неврологический статус до операции: положение пациента вынужденное, анталгическое. Черепно-мозговые нервы, верхние конечности — без неврологических изменений. Поясничный лордоз сглажен, движения в поясничном отделе позвоночника резко ограничены и болезненны. Дефанс паравертебральных мышц III степени с двух сторон. Коленные рефлексы, ахилловы рефлексы — симметричные, снижены. Симптом Ласега справа положительный (35°), слева положительный (50°). Патологических рефлексов нет. Мышечный тонус нижних конечностей нормальный. Сила мышц нижних конечностей: слева 5 б; справа (дистальные отделы правой стопы, мышцы разгибатели) снижена до 4 б. Отмечается нарушение чувствительности в виде гипестезии по ходу корешка L5 справа. Тазовых нарушений нет. Степень выраженности болевого синдрома по визуальной аналоговой шкале (ВАШ) составила: в спине — 76 мм, в правой ноге — 87 мм, в левой ноге — 65 мм, функциональный статус по Osvestri disability index (ODI) — 70 баллов.
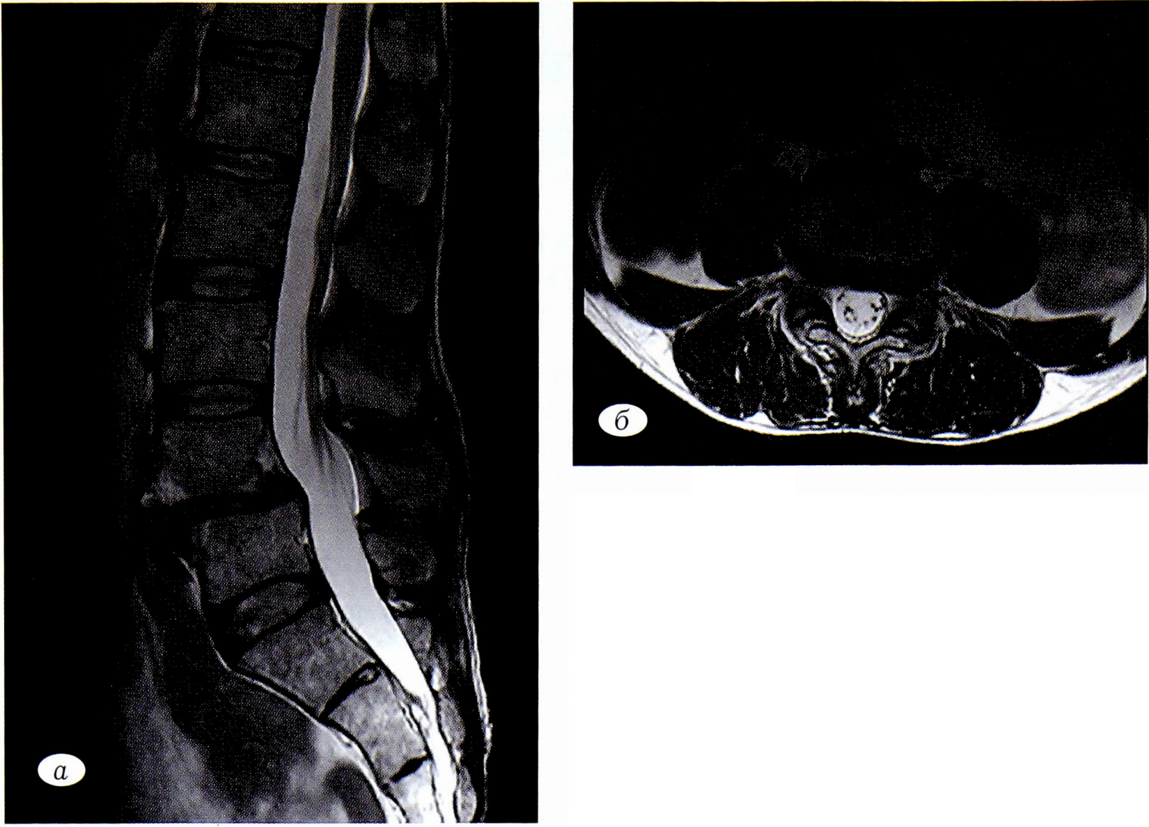
Данные магнитно-резонансной томографии (МРТ) поясничного отдела позвоночника (рис. 1, а, б): антеспондилолистез позвонка LIV II стадии, фораминальный стеноз на уровне LIV-LV с двух сторон.
Рис. 1. Предоперационные снимки МРТ поясничного отдела позвоночника пациента Ш. Определяется патологическое смещение в сегменте LIV-LV с двухсторонним фораминальным стенозированием: а — Т2-ВИ, сагиттальная проекция; б — Т2-ВИ аксиальная проекция на уровне межтелового промежутка LIV-LV.
Fig. 1. Preoperative MRI of the lumbar spine PAsh the patient is a pathological shift in the segment of LIV-LV with bilateral foraminal stenosis a and T2-Wi, sagittal projection; b — T2-VI axial projection at the level of the interbody interval LIV-LV.
Поясничная спондилография в прямой проекции и с функциональными пробами (рис. 2, а, б): остеохондроз, спондилоартроз, нестабильный антеспондилолистез позвонка II стадии со спондилолизом справа.
Рис. 2. Спондилография поясничного отдела позвоночника пациента Ш. с функциональными пробами: а — боковые проекции, б — прямая проекция.
Fig. 2. Spondylography of the lumbar spine of patient S. with functional samples: a —lateral projections, b — direct projection.
На основании данных клинико-неврологического осмотра и инструментальных методов исследований пациенту Ш. поставлен диагноз: «Дорсопатия. Обострение. Остеохондроз поясничного отдела позвоночника, нестабильный антеспондилолистез позвонка LIV II стадии со спондилолизом справа. Радикулоневрит корешка L5 справа. Синдром люмбоишиалгии с двух сторон, больше справа. Выраженный болевой и мышечно-тонический синдромы».
При внутриклинической консультации рекомендовано проведение оперативного вмешательства в объеме: микрохирургическая реконструкция позвоночного канала из миниинвазивного доступа пo Wiltse справа, фасетэктомия LIV-LV справа, дискэктомии LIV-LV, двусторонняя фораминотомия по ходу L5 корешков с двух сторон, TLIF LIV- LV кейджем Capstone («Medtronic», США), минимально инвазивная симультанная комбинированная 4-винтовая транспедикулярная фиксация LIV-LV системой U-centum («Ulrich», Germany).
Операция выполнена под внутривенной анестезией с использованием искусственной вентиляции легких в положении пациента на животе с подкладыванием разгрузочных валиков под бедра и подмышечные области. После рентгенологической разметки произвели разрез кожи и подкожно-жировой клетчатки в проекции тел позвонков LIV-LV поясничного отдела парамедианно отступя справа на 5 см от средней линии (по Wiltse). Симультанно с двух сторон через ножки позвонков LIV и LV установили спицы-проводники под ЭОП-контролем (рис. 3, а). После дополнительной флюороскопической верификации осуществили установку ранорасширителя ARAS («Zimmer», США). Затем выполнили последовательно фасетэктомию LIV-LV справа, микрохирургическую дискэктомию, двустороннюю фораминотомию по ходу корешков L5, TLIF кейджем Capstone («Medtronic», США) (см. рис. 3, б). Затем под флюороскопическим контролем через корни дуг позвонков LIV и LV симультанно с двух сторон при помощи транскутанного инструментария были установлены канюлированные винты системы U-centum («Ulrich», Germany) (см. рис. 3, в). В головки винтов были уложены стержни, смонтированы транспедикулярные системы с двух сторон. Провели рентгенологический контроль состояния элементов конструкции. Осуществили гемостаз с последующим послойным ушиванием раны и асептической наклейкой на кожу. Время операции — 1 ч 50 мин, объем кровопотери — 50 мл, общее время интраоперационной флюороскопии — 16 с.
Рис. 3. Интраоперационные фотографии: а — одномоментная установка спиц-проводников через специализированные троакары; б — вид операционной раны, этап дискэктомии на уровне LIV-LV; в — одномоментная установка транспедикулярных винтов.
Fig. 3. Intraoperative photograph: а — immediate placement of the spokes-conductors using specialized treacart; b — wound, stage discectomy on levelnot LIV-LV; in c — momentary installation transpediculartion screws.
Пациент был активизирован на следующие сутки после операции. Данные поясничной спондилографии в прямой и боковой проекциях (рис. 4): состояние после межтелового спондилодеза с транспедикулярной фиксацией в сегменте LIV—LV, редукция антеспондилолистеза позвонка LV до I стадии. Положение элементов конструкции правильное, признаков миграции элементов конструкции не выявлено.
Рис. 4. Послеоперационная спондилография поясничного отдела позвоночника пациента Ш.: а — боковая проекция; б — прямая проекция.
Fig. 4. Postoperative spondylography of lumbar spine of the patient sh: a — lateral projection; b — direct projection.
Через 10 сут после операции пациент был выписан в удовлетворительном состоянии с полным регрессом неврологической симптоматики.
Неврологический статус при выписке: положение пациента активное. Черепно-мозговые нервы, верхние конечности — без неврологических изменений. Поясничный лордоз сглажен, движения в поясничном отделе позвоночника в полном объеме и незначительно болезненны. Дефанса паравертебральных мышц не наблюдается. Коленные рефлексы, ахилловы рефлексы симметричные, живые. Симптом Ласега отрицательный с двух сторон (>90°). Патологических рефлексов нет. Мышечный тонус нижних конечностей нормальный. Сила мышц в обеих нижних конечностях составляет 5 баллов. Нарушения чувствительности достоверно не определяется. Тазовых нарушений нет. Степень выраженности болевого синдрома по ВАШ: в спине — 8 мм, в правой ноге — 2 мм, в левой ноге — 0 мм, функциональный статус по ODI — 8 баллов.
Рекомендовано в сроки до 1 мес ограничить физические нагрузки. При осмотре через 4 нед нейрохирургом: полная социальная и физическая реабилитация.
По результатам МРТ поясничного отдела позвоночника, выполненной через 6 мес в плановом порядке (рис. 5): состояние после оперативного вмешательства в сегменте LIѴ-LV, признаков дополнительной компрессии структур позвоночного канала не выявлено.
Рис. 5. Послеоперационные снимки МРТ поясничного отдела позвоночника пациента Ш.: а — Т2-ВИ, сагиттальная проекция; б — Т2-ВИ аксиальная проекция на уровне межтелового пространства LIV-LV.
Fig. 5. Postoperative MRI images of the lumbar spine of the patient Sh.: a — T2-VI, sagittal projection; b —T2-VI axial projection at the level of interbody space LIV-LV.
По данным мультиспиральной компьютерной томографии (МСКТ) поясничного отдела позвоночника с 3D-реконструкцией, произведенной через 6 мес в плановом порядке (рис. 6): состояние после межтелового спондилодеза с транспедикулярной фиксацией в сегменте LIV-LV, формирующийся костный блок II стадии по Bridwell.
Рис. 6. Послеоперационная картина MCKT поясничного отдела позвоночника с 3D-реконструкцией: а — аксиальная проекция на уровне межтелового пространства LIV-LV; б — 3D-реконструкция поясничного отдела позвоночника.
Fig. 6. Postoperative MSCT picture of the lumbar spine with 3D reconstruction: a — axial projection at the level of the interbody space LIV-LV; b — 3D reconstruction of the lumbar spine.
Обсуждение
Спондилолизный спондилолистез является частой причиной боли в поясничном отделе позвоночника и нижних конечностей за счет болевой корешковой симптоматики, вызванной патологической сегментарной нестабильностью [5]. Учитывая длительный характер течения заболевания и приспособление паравертебральных тканей к измененным сегментарным пространственным взаимоотношениям, основная цель хирургического вмешательства заключается в предотвращении прогрессирования патологической подвижности, а также частичной редукции степени спондилолистеза [11, 34]. Для этого широко используются в течение многих десятилетий методики PLIF и TLIF [6, 35]. Большинство традиционных хирургических способов сопряжено с агрессивным доступом, значимым локальным послеоперационным болевым синдромом и длительным периодом реабилитации [12, 13, 15, 36]. С этой целью активно внедряются менее травматичные хирургические методы, направленные на ограничение объема манипуляций в операционной ране и минимизацию степени ятрогенной хирургической травмы мягких тканей на протяжении всей операции за счет уменьшения площади раневой поверхности, ускорения сроков заживления операционной раны, сокращения интраоперационной кровопотери, снижения интенсивности послеоперационного болевого синдрома и ранней активизации пациентов [2, 14, 37]. При этом использование современных принципов MIS-операции позвоночника не всегда имеет преимущества перед традиционными подходами [18, 19, 22]. Так, при использовании MIS-технологий отмечается увеличение продолжительности операции и лучевой интраоперационной нагрузки, создаются риски развития мальпозиции погружных систем при их чрескожной установке [12, 21].
В настоящее время актуальным является выбор менее инвазивной хирургической техники, способной обеспечить те же положительные результаты, характерные для открытых методик, но при этом устраняя имеющиеся недостатки. Одним из таких технологических решений является использование симультанных операций в спинальной хирургии.
Понятие «симультанная операция» было введено в 1971 г. М. Reiffezscheid (цит. по А.М. Зайцеву и соавт. [38]). Такие оперативные вмешательства получили широкое распространение в хирургии желудка и гепатобилиарной зоны, проктологии, эндокринологии, урологии, гинекологии, при ожирении и заболеваниях сердца [38, 39]. Такие операции одномоментно устраняют несколько конкурирующих патологий, снижают необходимость в повторных операциях и дополнительных анестезиологических пособиях и риски развития их осложнений, а также имеют значимые экономические преимущества [39, 40]. С современных позиций симультанная операция, выполненная в традиционном виде, сопровождается увеличением травматичности за счет расширенного доступа, необходимого для выполнения всех этапов вмешательства. Но применение высокотехнологичного инструментария и MIS-методик позволяет одновременно выполнить лечение ряда заболеваний, сохранить малую травматичность доступа, активизировать пациентов в ранние сроки, снизить число осложнений [41-43].
Как уже указывалось ранее, информация о симультанных операциях в хирургии позвоночника немногочисленна и представлена клиническими сериями и отдельными наблюдениями при лечении пациентов с воспалительными, травматическими и дегенеративными заболеваниями. Но ведущее количество результатов использования симультанных операций в специализированной литературе отводится лечению пациентов с дегенеративной патологией позвоночника, что является наиболее близким к анализируемой тематике.
Так, S. Bhagat и соавт. [28] указывают на возможность оптимального восстановления сагиттального баланса при симультанной корпэктомии и протяженной задней стабилизации у пациентов с ригидными деформациями позвоночника. Схожие данные отметили Q. Wang и соавт. [29], наблюдавшие 21 пациента с посттравматическим кифозом грудо-поясничного отдела: были верифицированы хорошие клинические результаты и коррекция деформации при незначимом объеме кровопотери и минимальных рисках повреждения спинного мозга.
На положительную динамику клинической симптоматики после одномоментного выполнения декомпрессии позвоночного канала при тандем-стенозах указывали J. Schaffer и соавт. [27], S. Naderi и соавт. [44] и Y. Chen и соавт. [45]. При сравнительном анализе симультанных и этапных оперативных вмешательств в хирургии тандем-стенозов позвоночника М. Eskander и соавт. [26] и К. Kikuike и соавт. [46] не выявили значимых различий в клинических исходах, однако указали, что возраст пациентов и объем операции являются отягощающими факторами симультанной хирургии.
D. Drazin и соавт. [24] провели исследование, в которое были включены 20 пациентов с дегенеративными заболеваниями межпозвонковых дисков без значимой деформации позвоночного канала, оперированных из бокового ретроперитонеального доступа с симультанной транспедикулярной стабилизацией в 10 случаях и с переворотом пациента — тоже в 10 случаях. Авторами было установлено, что при отсутствии анатомических изменений ножек позвонков, избыточной массы тела и остеопороза симультанная методика позволяет выполнить декомпрессию и стабилизацию без изменения положения пациента при меньшей продолжительности вмешательства и объеме кровопотери, а также сократить длительность послеоперационного стационарного лечения.
Р. Passias и соавт. [47] проанализировали результаты лечения 11 265 пациентов, оперированных из переднего и заднего доступов, у которых в 71,2% были выполнены симультанные вмешательства. Было выявлено большее количество осложнений при этапных вмешательствах по сравнению с одномоментными — 28,4 и 21,7% соответственно (р<0,0001), однако показатель общей летальности оказался сопоставимым — 0,5 и 0,4%. Данные анализа показали, что этапная хирургия имеет более высокие (на 29%) риски послеоперационных осложнений по сравнению с симультанной.
При проведении систематизированного поиска в медицинских базах данных: Medline, РИНЦ, EMedicine, UMKB не было найдено клинических исследований, посвященных эффективности симультанной транспедикулярной стабилизации при лечении пациентов со спондилолизным спондилолистезом. Таким образом, настоящее клиническое наблюдение является первой демонстрацией результата.
Учитывая отсутствие широкого освещения в литературе симультанных технологий в спинальной хирургии и спорные данные их применения при различных нозологических формах, имеют актуальность накопление опыта и анализ отдаленных результатов лечения пациентов с использованием многокомпонентных оперативных вмешательств.
Необходимы дальнейшие исследования эффективности комбинации миниинвазивных и симультанных технологий при декомпрессивно-стабилизирующих вмешательствах у пациентов вертебрологического профиля, а также сравнительный анализ с традиционными подходами.
Заключение. Сочетание MIS-вмешательств и симультанных методик позволило значительно уменьшить уровень вертеброгенного болевого синдрома, улучшить функциональный статус в послеоперационном периоде, эффективно устранить патологическую подвижность, обеспечить раннюю активизацию, осуществить полноценное восстановление трудоспособности в кратчайшие сроки и может быть операцией выбора у пациентов со спондилолизным спондилолистезом поясничного отдела позвоночника.
About the authors
V. A. Byvaltsev
Federal State Educational Institution of Higher Education Irkutsk State Medical University of the Russian Federation Ministry of Health; Non-state health facility «Road Clinical Hospital, Irkutsk-Passenger station of JSC» Russian Railways»; Federal State Scientific Institution «The Irkutsk Scientific Center of Surgery and Traumatology»; Government budget educational institution of additional vocational training 'Irkutsk State Medical Academy of Postgraduate Education' of Ministry of Health of the Russian Federation
Email: byval75vadim@yandex.ru
Doctor of Medical Sciences, Professor, Head of the Department of Neurosurgery and Innovative Medicine, Chief Neurosurgeon, Head of the Scientific and Clinical Department of Neurosurgery, Professor of the Department of Traumatology, Orthopedics and Neurosurgery
Russian Federation, Irkutsk; Irkutsk; Irkutsk; IrkutskA. A. Kalinin
Federal State Educational Institution of Higher Education Irkutsk State Medical University of the Russian Federation Ministry of Health; Non-state health facility 'Road Clinical Hospital, Irkutsk-Passenger station of JSC» Russian Railways'
Email: andrei_doc_v@mail.ru
PhD, associate Professor of neurosurgery and innovative medicine, neurosurgeon of the neurosurgery center
Russian Federation, Irkutsk; IrkutskV. V. Shepelev
Federal State Educational Institution of Higher Education Irkutsk State Medical University of the Russian Federation Ministry of Health
Email: shepelev.dok@mail.ru
PhD, doctoral candidate of the Department of neurosurgery and innovative medicine
Russian Federation, IrkutskD. I. Badaguyev
Federal State Educational Institution of Higher Education Irkutsk State Medical University of the Russian Federation Ministry of Health
Author for correspondence.
Email: badaguyka206@gmail.com
clinical resident of the Department of neurosurgery and medical innovation
Russian Federation, IrkutskReferences
- Бывальцев В.А., Калинин А.А. Использование минимально инвазивных методик ригидной стабилизации поясничного отдела позвоночника у работников ОАО «РЖД». Медицина труда и промышленная экология. 2018;1:39-43. [Byvaltsev V.A., Kalinin А.А. The use of minimally invasive methods of rigid stabilization of the lumbar spine among the employees of Russian Railways. Medicina truda i promyshlennaja jekologija. 2018;1:39-43. (In Russ.)].
- Бывальцев B.A., Калинин A.A., Белых Е.Г. Оптимизация результатов лечения пациентов с сегментарной нестабильностью поясничного отдела позвоночника при использовании малоинвазивной методики спондилодеза. Вопросы нейрохирургии им. Н.Н. Бурденко. 2015;3:45-54. [Byvaltsev V.A., Kalinin А.А., Belykh E.G. Optimization of the results of treatment of patients with lumbar spinal segment instability using the minimally invasive method of spinal fusion.Voprosy nejrohirurgii im. N.N. Burdenko. 2015;3:45-54. (In Russ.)]. https: //doi.org/10.17116/neiro201579345-54.
- Butt M.F., Dhar S.A., Hakeem I., Farooq M., Halwai M.A., Mir M.R., et al. In situ instrumented posterolateral fusion without decompression in symptomatic low-grade isthmic spondylolisthesis in adults. Int Orthop (SICOT). 2008;32:663-9. https://doi.org/10.1007/s00264-007-0367-0.
- Farah K., Grailion T., Rakotozanany P., Pesenti S., Blondel B., Fuentes S. Circumferential minimally invasive approach for low-grade isthmic spondylolisthesis: A clinical and radiological study of 43 patients. Orthop Traumatol Surg Res. 2018; pii: S1877-0568( 18)30056-2. https://doi.org/10.1016/j. otsr.2018.02.004.
- Labelle H., Mac-Thiong J.M., Roussouly P. Spino-pelvic sagittal balance of spondylolisthesis: a review and classification. Eur Spine J. 2011;20(Suppl 5):641. https://doi. org/10.1007/s00586-011-1932-1.
- Tamburrelli F.C., Meluzio M.C., Burrofato A., Perna A., Proietti L. Minimally invasive surgery procedure in isthmic spondylolisthesis. Eur Spine J. 2018. https://doi. org/10.1007/s00586-018-5627-8.
- Kalichman L., Kim D.H., Li L., Guermazi A., Berkin V., Hunter D.J. Spondylolysis and spondylolisthesis: prevalence and association with low back pain in the adult community-based population. Spine. 2009;34(2): 199-205. https: //doi.org/10.109 7/BRS.0b013е31818edcfd.
- O’Brien M.F. Low-grade isthmic lytic spondylolisthesis in adults. Instr Course Lect. 2003;52:511-4.
- Hashem S., Abdelbar A., Ibrahim H., Alaa-Eldin Habib M., Abdel-Monem A., Hamdy H. Review of device and operator related complications of transpedicular screw fixation for the thoracic and lumbar regions. Egypt J Neurol Psychiat Neurosurg. 2012;49:393-8.
- Barone G., Scaramuzzo L., Zagra A., Giudici F., Perna A., Proietti L. Adult spinal deformity: effectiveness of interbody lordotic cages to restore disc angle and spino-pelvic parameters through completely mini-invasive trans-psoas and hybrid approach. Eur Spine J. 2017;26(Suppl 4):457-3. https://doi.org/10.1007/s00586-017-5136-l.
- Mobbs R.J., Phan K., Malham G., Seex K., Rao P.J. Lumbar interbody fusion: techniques, indications and comparison of interbody fusion options including PLIF, TLIF, MI-TLIF, OLIF/ATP, LLIF and ALIF. J Spine Surg. 2015;1(1):2-18. https://doi.org/10.3978/j.issn.2414-469X.2015.10.05.
- Бывальцев В.А., Калинин А.А., Оконешникова А.К., Керимбаев Т.Т., Белых Е.Г. Фасеточная фиксация в комбинации с межтеловым спондилодезом: сравнительный анализ и клинический опыт нового способа хирургического лечения пациентов с дегенеративными заболеваниями поясничного отдела позвоночника. Вестник Российской академии медицинских наук. 2016;71(5):375-
- [Byvaltsev V.A., Kalinin А.А., Okoneshnikova А.К., Kerimbaev Т.Т., Belykh E.G. Facet fixation in combination with interbody spinal fusion: a comparative analysis and clinical experience of a new method of surgical treatment of patients with degenerative diseases of the lumbar spine. Vestnik Rossijskoj akademii medicinskih nauk. 2016;7l(5):375-3. (In Russ.)]. https://doi.org/10.15690/ vramn738.
- Kalanithi P.S., Patil C.G., Boakye M. National complication rates and disposition after posterior lumbar fusion for acquired spondylolisthesis. Spine. 2009;34( 18): 1963-9. https://doi.org/10.1097/BRS.0b013e3181ae2243.
- Adogwa O., Parker S.L., Bydon A., Cheng J., McGirt M.J. Comparative effectiveness of minimally invasive versus open transforaminal lumbar interbody fusion: 2-year assessment of narcotic use, return to work, disability, and quality of life. J Spinal Disord Tech. 2011;24(8):479-84. https://doi.org/10.1097/BSD.0b013e3182055cac.
- Rodriguez-Vela J., Lobo-Escolar A., Joven E., Munoz- Marin J., Herrera A., Velilla J. Clinical outcomes of minimally invasive versus open approach for one-level transforaminal lumbar interbody fusion at the 3- to 4-year follow-up. Eur Spine J. 2013;22(12):2857-63. https://doi. org/10.1007/s00586-013-2853-y.
- Lee K.H., Yeo W., Soeharno H., Yue W.M. Learning curve of a complex surgical technique: Minimally invasive transforaminal interbody fusion. Eur Spine J.2012;21(7):S284-S5. https://doi.org/10.1097/BSD.0000000000000089.
- Schizas C., Tzinieris N., Tsiridis E., Kosmopoulos V. Minimally invasive versus open transforaminal lumbar interbody fusion: Evaluating initial experience. Int Orthop. 2009;33(6): 1683-8. https://doi.org/10.1007/s00264-008- 0687-8.
- Hey H.W., Hee H.T. Open and minimally invasive transforaminal lumbar interbody fusion: Comparison of intermediate results and complications. Asian Spine J. 2015;9(2): 185-93. https://doi.org/10.4184/asj.2015.9.2.185.
- Parker S.L., Mendenhall S.K., Shau D.N., Zuckerman S.L., Godil S.S., Cheng J.S., et al. Minimally invasive versus open transforaminal lumbar interbody fusion for degenerative spondylolisthesis: comparative effectiveness and cost-utility analysis. World Neurosurg. 2014;82(l-2):230-8. https: //doi.org/10.1016/j.wneu.2013.01.041.
- Kim C.W., Lee Y.P., Taylor W., Oygar A., Kim W.K. Use of navigation-assisted fluoroscopy to decrease radiation exposure during minimally invasive spine surgery. Spine J. 2008;8(4): 584-90. https://doi.org/10.1016/j. spinee.2006.12.012.
- Tian N.F., Wu Y-S., Zhang X.L., Xu H.Z., Chi Y.L., Mao F.M. Minimally invasive versus open transforaminal lumbar interbody fusion: A meta-analysis based on the current evidence. Eur Spine J. 2013;22(8):1741-9. https://doi. org/10.1007/s00586-013-2747-z.
- Goldstein C.L., Macwan K., Sundararajan K., Rampersaud Y.R. Perioperative outcomes and adverse events of minimally invasive versus open posterior lumbar fusion: Metaanalysis and systematic review. J Neurosurg Spine. 2016;24(3):416-27. https://doi. org/10.3171/2015.2.SPINE14973.
- Sclafani J.A., Kim C.W. Complications associated with the initial learning curve of minimally invasive spine surgery: A systematic review. Clin Orthop Relat Res. 2014;472(6):1711-7. https://doi.org/10.1007/sll999-014- 3495-z.
- Drazin D., Kim T.T., Johnson J.P. Simultaneous lateral interbody fusion and posterior percutaneous instrumentation: early experience and technical considerations. Biomed Res Int. 2015;2015:458284. https://doi. org/10.1155/2015/458284.
- Hikata T., Kamata M., Furukawa M. Risk factors for adjacent segment disease after posterior lumbar interbody fusion and efficacy of simultaneous decompression surgery for symptomatic adjacent segment disease. J Spinal Disord Tech. 2014;27(2):70-5. https://doi.org/10.1097/ BSD.0b013e31824e5292.
- Eskander M.S., Aubin M.E., Drew J.M., Eskander J.P., Balsis S.M., Eck J., et al. Is there a difference between simultaneous or staged decompressions for combined cervical and lumbar stenosis? J Spinal Disord Tech. 2011;24(6):409-13. https://doi.org/10.1097/BSD.0b013e318201bf94.
- Schaffer J.C., Raudenbush B.L., Molinari C., Molinari R.W. Symptomatic Triple-Region Spinal Stenosis Treated with Simultaneous Surgery: Case Report and Review of the Literature. Global Spine J. 2015;5(6):513-21. https://doi. org/10.1055/s-0035-1566226.
- Bhagat S., Durst A.Z., Rai A.S. Simultaneous anterior vertebral column resection-distraction and posterior rod contouring for restoration of sagittal balance: report of a technique. J Spine Surg. 2016;2(3):210-5. https://doi. org/10.21037/jss.2016.08.07.
- Wang Q., Xiu P., Zhong D., Wang G., Wang S. Simultaneous posterior and anterior approaches with posterior vertebral wall preserved for rigid post-traumatic kyphosis in thoracolumbar spine. Spine. 2012;37(17):E1085-E91. https:// doi.org/10.1097/BRS.0b013e318255e353.
- Xia Q., Xu B.S., Zhang J.D., Miao J., Li J.G., Zhang X.L., et al. Simultaneous combined anterior and posterior surgery for severe thoracolumbar fracture dislocations. Orthop Surg. 2009; 1 (1): 28-33. https://doi.org/lO.llll/j.1757- 7861.2008.00006.x.
- Erturer E., Tezer M., Aydogan M., Mirzanli C., Ozturk I. The results of simultaneous posterior-anterior-posterior surgery in multilevel tuberculosis spondylitis associated with severe kyphosis. Eur Spine J. 2010; 19(12):2209-15. https://doi.org/10.1007/s00586-010-1481-z.
- Lo H.K., Chiang T.I., Chang O.H., Chang I.C. Posterior instrumentation and simultaneous intertransverse approach using transforaminal cage fusion for thoracic pseudoarthrosis in ankylosing spondylitis: a case report. J Neurol Surg A Cent Eur Neurosurg. 2013;74(Suppl l):e207-el0. https://doi.org/10.1055/s-0033-1345094.
- Wu M.H., Dubey N.K., Lee C.Y., Li Y.Y., Cheng C.C., Shi C.S. et al. Application of Intraoperative CT-Guided Navigation in Simultaneous Minimally Invasive Anterior and Posterior Surgery for Infectious Spondylitis. Biomed Res Int. 2017;2017:2302395. https://doi.org/10.1155/2017/2302395.
- Poussa M., Remes V., Lamberg T., Tervahartiala P., Schlenzka D., Yrjönen T., et al. Treatment of severe spondylolisthesis in adolescence with reduction or fusion in situ: long-term clinical, radiologic, and functional outcome. Spine. 2006;31(5):583-92. https://doi.org/10.1097/01. brs.0000201401.17944.f7.
- Cecchinato R., Berjano P., Bassani R., Sinigaglia A., Lamartina C. How do interbody devices affect sagittal plane alignment. J Neurosurg Sci. 2014;58:87-90.
- Бывальцев B.A., Калинин A.A., Белых Е.Г., Голобородько В.Ю., Борисов В.Э. Анализ эффективности локального применения бупивакаина с эпинефрином при выполнении многоуровневых декомпрессивно-стабилизирующих вмешательств на пояснично-крестцовом отделе позвоночника. Анестезиология и реаниматология. 2018;63(1):21-6. [Byvaltsev V.A., Kalinin A.A., Belyh E.G., Goloborodko V.Ju., Borisov V.Je. Analysis of the effectiveness of local application of bupivacaine with epinephrine when performing multilevel decompressive-stabilizing interventions on the lumbosacral spine. Anesteziologija i reanimatologija. 2018;63( 1 ):21-6. (In Russ.)].
- Oppenheimer J.H., DeCastro L, McDonnell D.E. Minimally invasive spine technology and minimally invasive spine surgery: a historical review. Neurosurg Focus. 2009;27(3):E9. https://doi.org/10.3171/2009.7.FOCUS09121.
- Зайцев A.M., Алексеев Б.Я., Куржупов М.И., Самарин А.Е., Кирсанова О.Н., Калпинский А.С., и др. Симультанные операции у больных раком почки с одновременным опухолевым поражением головного мозга. Вопросы нейрохирургии. 2014;3:44-8. [Zajcev А.М., Alekseev B.Ja., Kurzhupov M.I., Samarin A.E., Kirsanova O.N., Kalpinskij A.S. i dr. Simultaneous surgery in patients with kidney cancer with simultaneous tumor lesion of the brain. Voprosy nejrohirurgii. 2014;3:44-8. (In Russ.)].
- Дронова В.Л., Дронов А.И., Крючина E.A., Теслюк Р.С., Луценко Е.В., Насташенко М.И. Симультанные операции при сочетанных хирургических и гинекологических заболеваниях. Украинский журнал хирургии. 2013;21 (2): 143- 51. [Dronova V.L., Dronov A.I., Krjuchina Е.А., Tesljuk R.S., Lucenko E.V., Nastashenko M.I. Simultaneous operations for combined surgical and gynecological diseases. Ukrainskij zhurnal hirurgii. 2013;21 (2): 143-51. (In Russ.)].
- Ганцев Ш.Х., Саткеева А.Ж. Симультанные оперативные вмешательства при сочетанных заболеваниях органов брюшной полости и малого таза. Молодой ученый. 2016;21:81-4. [Gancev Sh.H., Satkeeva A.Zh. Simultaneous surgery for combined diseases of the abdominal cavity and small pelvis. Molodoj uchenyj. 2016;21:81-4. (In Russ.)].
- Борота А.В., Кухто А.П., Борота A.A., Базиян-Кухmo H.K. Симультанные оперативные вмешательства у пациентов по поводу заболеваний толстой кишки. Клиническая хирургия. 2015;1:61-4. [Borota A.V., Kuhto А.Р., Borota А.А., Bazijan-Kuhto N.K. Simultaneous surgical intervention in patients for diseases of the colon. Klinicheskaja hirurgija. 2015;1:61-4. (In Russ.)].
- Гербали О.Ю., Костырной А.В., Петров А.В. Прогностическое значение изменений клеточного иммунитета у пациентов с сахарным диабетом и метаболическим синдромом при проведении симультанных операций. Казанский медицинский журнал. 2014;95(5):650-4. [Ger- bali О.Ju., Kostyrnoj A.V., Petrov A.V. The prognostic value of changes in cellular immunity in patients with diabetes mellitus and metabolic syndrome during simultaneous operations. Kazanskij medicinskij zhurnal. 2014;95(5):650-(In Russ.)].
- Othman I., Abdel-Maguid A.F. Combined transurethral prostatectomy and inguinal hernioplasty. Hernia. 2010; 14(2): 149- 53. https://doi.org/10.1007/sl0029-009-0575-l.
- Naderi S., Mertol T. Simultaneous cervical and lumbar surgery for combined symptomatic cervical and lumbar spinal stenoses. J Spinal Disord Tech. 2002;15(3):229-31.
- Chen Y., Chen DY., Wang X.W., Lu X.H., Yang H.S., Miao J.H. Single-stage combined decompression for patients with tandem ossification in the cervical and thoracic spine. Arch Orthop Trauma Surg. 2012;132(9): 1219-26. https://doi.org/10.1007/s00402-012-1540-5.
- Kikuike K., Miyamoto K., Hosoe H., Shimizu K. One-staged combined cervical and lumbar decompression for patients with tandem spinal stenosis on cervical and lumbar spine: analyses of clinical outcomes with minimum 3 years followup. J Spinal Disord Tech. 2009;22(8):593-601. https://doi. org/10.1097/BSD.0b013e3181929cbd
- Passias P.G., Ma Y., Chiu Y.L., Mazumdar M., Girardi F.P., Memtsoudis S.G. Comparative safety of simultaneous and staged anterior and posterior spinal surgery. Spine. 2012;37(3):247-55. https://doi.org/10.1097/ BRS.0b013e31821350d0
Supplementary files








