Tactics of surgical treatment of closed fractures of long bones of the extremities in patients with polytrauma in the early period
- Authors: Sokolov V.A.1, Byalik E.I.1
-
Affiliations:
- Research Institute of Emergency Medicine. N.V. Sklifosovsky
- Issue: Vol 10, No 3 (2003)
- Pages: 3-9
- Section: Original study articles
- Submitted: 20.10.2020
- Published: 15.09.2003
- URL: https://journals.eco-vector.com/0869-8678/article/view/48114
- DOI: https://doi.org/10.17816/vto20031033-9
- ID: 48114
Cite item
Full Text
Abstract
Results of the treatment of 218 victims with polytrauma were analyzed during the period from 1998 to 2202. There were 127 patients with one and 91 patients with several closed fractures. Authors consider osteosynthesis for closed long bone fractures to be an urgent operation of third term. Osteosynthesis is absolutely indicated to the patients with psychomotor excitation, in cases of the threat for skin perforation by bone fragments and in patients requiring intensive nursing for their life rescue. The choice of operative method depends on polytrauma severity and fracture type. When osteosynthesis is petformed by urgent indications in patients with polytrauma the requirements to osteosynthesis stiffness are higher than in isolate injuries, as the rotation displacement, migration and fixator deformity frequently take place in unconscious patients who need constant intensive nursing. In patients with concomitant thorax injury urgent intramedullar osteosynthesis by nail is contraindicated due to the possibility of fat embolism syndrome development. In these patients plate osteosynthesis is preferred. If there are no absolute indications to urgent osteosynthesis this operation could be petformed on 3—10 days after trauma using lightly traumatic and invasive methods not waiting for the complete normalization of homeostasis parameters and restoration of soft tissues in the fracture zone. In closed long bone fractures tactics of early osteosynthesis allows to decrease the rate of hypostatic complications and mortality by more than 10% and achieve good functional results.
Keywords
Full Text
Переломы длинных костей конечностей наблюдаются у 55-82% пострадавших с политравмой, существенно отягощая их состояние и затрудняя диагностику и лечение повреждений внутренних органов, переломов костей таза, позвоночника, травм грудной клетки, лица и черепа. Это связано с увеличением внутренней и наружной кровопотери, приводящей к жизнеопасным осложнениям (шок, микро- и макрожировая эмболия малого и реже — большого круга кровообращения), с развитием гипостатических осложнений (пневмония, пролежни, флеботромбоз и др.) вследствие вынужденного положения пациента «лежа на спине» и его обездвиженности. В отдаленном периоде переломы длинных костей конечностей являются главной причиной длительных сроков нетрудоспособности и инвалидности [1, 2, 4].
Такая малоперспективная картина была характерна для 1960-1980 гг., когда основным методом лечения переломов в раннем периоде (до 10-х суток) был консервативный, а остеосинтез производился через 2-3 нед с момента травмы, после полной стабилизации состояния пострадавших. Однако начиная с 80-х годов прошлого столетия, благодаря совершенствованию способов остеосинтеза и реанимационно-анестезиологического обеспечения, методом выбора становится остеосинтез длинных костей конечностей, прежде всего бедра и голени, который стремились выполнять максимально рано [2, 3, 7]. И наконец, наибольший прогресс в лечении переломов длинных костей был достигнут с появлением малоинвазивного закрытого остеосинтеза с блокированием, который за рубежом последние 10 лет считается методом выбора и применяется у подавляющего большинства больных [9- 11]. В России и странах ближнего зарубежья этот метод доступен пока только ведущим клиникам в силу его сложности и высокой стоимости, а также необходимости иметь специальный дорогостоящий инструментарий и рентгеновское оборудование.
Нами проанализированны результаты лечения 218 пострадавших с политравмой, у которых был один (127 больных) или несколько (91) закрытых переломов длинных костей конечностей (в анализ не включались пострадавшие, имевшие открытые переломы). Пациенты находились на лечении в период с 1998 по 2002 г. и в большинстве своем наблюдались или были оперированы авторами данной статьи. Пострадавшие разделены нами на две группы: лечившиеся в 1998-1999 гг. (80 больных — 96 переломов) составили контрольную группу, лечившиеся в 2000-2002 гг. (138 больных — 193 перелома) — основную группу. Как видно из табл. 1, в обеих группах преобладали переломы бедра и голени, причем преимущественно оскольчатые и сложные (тип В и С по классификации АО).
Пострадавшие были распределены также по группам сочетанных травм в соответствии с классификацией В.А. Соколова, и в каждой группе определен средний балл тяжести повреждений по ISS (табл. 2). Как в основной, так и в контрольной группе у большинства пострадавших была тяжелая сочетанная травма, чаще всего сочетанная травма опорно-двигательного аппарата и сочетанная травма с двумя и более ведущими повреждениями. Нетяжелая политравма без ведущего повреждения составила в основной группе 23,2%, в контрольной группе — 26,25%.
В первые 6 ч с момента травмы приоритет принадлежит операциям на черепе, брюшной полости, дренированию плевральной полости для купирования пневмо- и гемоторакса, поддержанию основных жизненных функций организма. К экстренным операциям второй очереди (выполняемым в срок до 12 ч с момента травмы) относятся хирургическая обработка и стабилизация открытых переломов аппаратами наружной фиксации (АНФ), реампутации при травматических отрывах конечностей, стабилизация с помощью АНФ нестабильных переломов костей таза.
Операции по поводу закрытых переломов длинных костей конечностей мы относим к срочным операциям третьей очереди и выполняем их в большинстве случаев в течение 72 ч с момента травмы, а у части пациентов — в сроки от 3 до 10 дней (основная группа). Можно выделить две категории пострадавших: первая -— те, кому абсолютно показана срочная оперативная стабилизация переломов; вторая — пациенты, у которых остеосинтез может быть отложен и выполнен с минимальным риском на профильном клиническом этапе лечения. Срочные показания возникали при психомоторном возбуждении пострадавшего, угрозе перфорации кожи костными отломками, а также в тех случаях, когда требовался интенсивный уход за больными для спасения их жизни (сочетанная спинальная травма, пострадавшие в коматозном состоянии, находящиеся на искусственной вентиляции легких, множественные переломы одной или обеих нижних конечностей, пациенты, страдающие ожирением, больные пожилого и старческого возраста). Здесь первостепенное значение мы придавали стабилизации переломов бедра, которых и было больше всего. Если при переломах костей голени или верхней конечности возможна иммобилизация гипсовыми повязками, то добиться правильного положения отломков бедра и удержать их в этом положении с помощью консервативных мер не удается. К тому же лечение переломов скелетным вытяжением не всегда согласуется с методами лечения травм черепа, груди, живота и способствует возникновению отека головного мозга, более продолжительному течению шока, затрудняет обслуживание больных, приводит к развитию гипостатических осложнений.
Табл. 1. Распределение закрытых переломов по локализации и степени тяжести у 218 больных с сочетанной травмой
Локализация перелома | Группа больных | Тип закрытого перелома по АО | Всего | ||||||
А | В | С | абс. | % | |||||
абс. | % | абс. | % | абс. | % | ||||
Бедро | Основная | 32 | 16,6 | 48 | 24,9 | 40 | 20,7 | 120 | 62,2 |
Контрольная | 19 | 19,8 | 18 | 18,7 | 7 | 7,3 | 44 | 45,8 | |
Голень | Основная | 14 | 7,3 | 18 | 9,3 | 8 | 4,1 | 40 | 20,7 |
Контрольная | 11 | 11,5 | 17 | 17,8 | 4 | 4,1 | 32 | 33,4 | |
Плечо | Основная | 4 | 2,0 | 10 | 5,2 | 2 | 1,1 | 16 | 8,3 |
Контрольная | 6 | 6,2 | 2 | 2,1 | 2 | 2,1 | 10 | 10,4 | |
Предплечье | Основная | 14 | 7,2 | 3 | 1,6 | — | — | 17 | 8,8 |
Контрольная | 7 | 7,3 | 3 | 3,1 | - | - | 10 | 10,4 | |
Итого | Основная | 64 | 33,1 | 79 | 41 | 50 | 25,9 | 193 | 100 |
Контрольная | 43 | 44,8 | 40 | 41,7 | 13 | 13,5 | 96 | 100 | |
Табл. 2. Распределение пострадавших по группам сочетанных травм
Группы сочетанных травм | Основная группа | Контрольная группа | Тяжесть повреждений (в баллах) по шкале ISS (n=218) | ||
количестве | больных | ||||
абс. | % | абс. | % | ||
Сочетанная черепно-мозговая | 14 | 10,1 | 8 | 10 | 30,7±3,67 |
Сочетанная груди | 10 | 7,3 | 6 | 7,5 | 24,9±4,3 |
Сочетанная живота | 6 | 4,3 | 4 | 5 | 28,6±4,4 |
Сочетанная опорно-двигательного аппарата | 44 | 31,9 | 21 | 26,25 | 24,7±4,9 |
Сочетанная с двумя и более ведущими повреждениями | 32 | 23,2 | 20 | 25 | 40,5±6,69 |
Политравма без ведущего повреждения | 32 | 23,2 | 21 | 26,25 | 13,0±3,0 |
Всего | 138 | 100 | 80 | 100 |
|
В контрольной группе больных операции по поводу переломов в большинстве случаев проводились в планово-отсроченном порядке. В целом по срочным показаниям выполнено 96 операций остеосинтеза у 85 больных, в том числе в контрольной группе — 16, в основной — 80.
Выбор метода остеосинтеза зависел от характера перелома и тяжести состояния пострадавшего. В случаях простых и оскольчатых переломов типа А и В наилучшие результаты получены при открытом остеосинтезе штифтом (29 операций), а также при интрамедуллярном остеосинтезе штифтом с дополнительной стабилизацией места перелома пластиной (9 операций) (рис. 1). Накостный остеосинтез пластинами АО применялся при простых и оскольчатых переломах у больных с сочетанной травмой груди, а также при сочетании диафизарного перелома с внутрисуставным или мета- физарным переломом того же сегмента конечности (24 операции). Выполнение погружного остеосинтеза было возможно при тяжести полученных повреждений по шкале ISS < 25 баллов.
Рис. 1. Рентгенограммы больного А. Оскольчатый перелом бедра типа В. а — до операции; б — после остеосинтеза штифтом и дополнительно пластиной.
В группе пострадавших с тяжестью повреждений 25-41 балл по шкале ISS при любом типе закрытых переломов осуществляли первичную стабилизацию отломков путем наложения АНФ (8 операций). У 11 больных был произведен закрытый остеосинтез с блокированием. Операцию выполняли после стабилизации гемодинамических показателей и после проведения экстренных операций на головном мозге, органах грудной клетки и брюшной полости.
У пострадавших с тяжестью повреждений более 41 балла по шкале ISS первичную иммобилизацию закрытых переломов мы осуществляем путем наложения АНФ (4 операции) или вовсе отказываемся от раннего оперативного лечения ввиду отрицательного прогноза выживания больного. Выполненный у 14 таких пострадавших погружной остеосинтез штифтом при простых диафизарных переломах бедра не улучшил жизненного прогноза — больные умерли в разные сроки после операции остеосинтеза от тяжелых повреждений двух и более полостей (анатомических областей) и их осложнений.
У всех больных с сочетанной травмой (и в основной, и в контрольной группе) отмечалось значительное число местных и общих осложнений — как инфекционных, так и неинфекционных. Частота местных осложнений была существенно выше, чем при изолированных закрытых переломах.
К местным осложнениям мы относили глубокие нагноения операционных ран (в контрольной группе - 18,75%, в основной — 3,75%) и несостоятельность фиксации при технически правильно выполненном остеосинтезе (в контрольной группе — 37,5%, в основной — 10%). Последнюю можно считать специфическим осложнением у пострадавших с психомоторным возбуждением, а также следствием интенсивного ухода (поворачивания) за больными, находящимися в коматозном состоянии, положение которых в постели необходимо менять много раз в сутки. Несостоятельность фиксации выражалась в появлении ротационных смещений, миграции штифтов, укорочении сегмента конечности (бедра при оскольчатых переломах), поломке стержней или винтов АНФ.
У 2 пострадавших возникли ранние нагноения вследствие нарушения правил асептики при выполнении операции. У 6 больных, находившихся в коматозном состоянии и имевших пролежни, нагноения развились в поздние сроки как проявление cептикопиемии (у 4 пациентов — после операции остеосинтеза, у 2 — при консервативном лечении переломов).
Что касается общих осложнений, то, как видно из табл. 3, наиболее значимые различия между основной и контрольной группами выявлены в частоте гипостатических осложнений (гнойный трахеобронхит, пневмония, пролежни, цистит). Тактика раннего оперативного лечения, примененная у пострадавших основной группы, позволила сократить количество этих осложнений более чем на 10%.
На раннем этапе лечения умерли 46 пострадавших с сочетанной травмой (табл. 4). Летальность составила 21,1%, при этом в основной группе она равнялась 17,34%, в контрольной — 27,5%. Летальность соответствовала тяжести сочетанной травмы. Так, в группе больных с тяжестью повреждений менее 25 баллов по шкале ISS она составляла 8,5%, в группе с тяжестью повреждений от 26 до 40 баллов — 20,6%, при тяжести травмы более 40 баллов — 73,5%. Основными причинами смертельных исходов в раннем периоде были шок и кровопотеря, отек и дислокация головного мозга, жировая эмболия; в поздние сроки после травмы - пневмония, сепсис и тромбоэмболия легочной артерии.
Особое внимание необходимо обратить на случаи смерти от жировой эмболии. Из 6 пострадавших, умерших в результате развития жировой эмболии,3 были оперированы в первые 72 ч по поводу диафизарных переломов бедра. Всем им производился остеосинтез штифтом с рассверливанием костномозгового канала и у всех была травма груди. Наши данные согласуются с мнением некоторых авторов [5, 8] о том, что интрамедуллярный остеосинтез штифтом рискован у пострадавших с травмой груди из-за опасности развития легочных осложнений (жировая эмболия). Это связано с тем, что повышение давления в костномозговом канале при его рассверливании и введении штифта способствует интравазации липидов и ведет к вторичному повреждению легочных капилляров. Поэтому у больных с травмой груди и закрытыми переломами бедра предпочтительнее выполнять накостный остеосинтез пластиной АО [6].
У 68 пострадавших основной группы остеосинтез был выполнен на 3_10-е сутки после травмы в планово-отсроченном порядке, когда можно было тщательно спланировать операцию, обеспечить наилучшие условия для первичного заживления и высокую стабильность остеосинтеза. Это были пациенты с политравмой без ведущего повреждения, с сочетанной травмой опорно-двигательного аппарата (множественные переломы) и сочетанием переломов конечностей с закрытой травмой груди и переломами таза. Травма головного мозга у них была представлена ушибами легкой и средней степени тяжести.
Табл. 3. Общие осложнения у больных с политравмой
Вид осложнения | Основная группа (n=138) | Контрольная группа (n=80) | Обе группы (n=218) | |||
абс. | % | абс. | % | абс. | % | |
Тромбоз сосудов нижних конечностей | 12 | 8,7 | 10 | 12,5 | 22 | 10,1 |
Тромбоэмболия легочной артерии | 2 | 1,4 | 2 | 2,5 | 4 | 1,8 |
Жировая эмболия | 4 | 2,9 | 4 | 5 | 8 | 3,6 |
Острая почечно-печеночная недостаточность | 2 | 1,4 | 2 | 2,5 | 4 | 1,8 |
Делирий | 4 | 2,9 | 4 | 5 | 8 | 3,6 |
Гнойный трахеобронхит | 23 | 16,7 | 22 | 27,5 | 45 | 20,6 |
Пневмония | 20 | 14,5 | 20 | 25 | 40 | 18,3 |
Эмпиема плевры | 2 | 1,4 | 1 | 1,25 | 3 | 1,4 |
Цистит | 18 | 13,1 | 32 | 40 | 50 | 22,9 |
Пролежни | 6 | 4,3 | 12 | 15 | 18 | 8,2 |
Сепсис | 3 | 2,2 | 2 | 2,5 | 5 | 2,3 |
Табл. 4. Летальность у пострадавших с сочетанной травмой
Причина летального исхода | Основная группа (n=138) | Контрольная группа (n=80) | Обе группы (n=218) | |||
абс. | % | абс. | % | абс. | % | |
Отек и дислокация головного мозга | 8 | 5,8 | 2 | 2,5 | 10 | 4,6 |
Шок и кровопотеря | 2 | 1,4 | 9 | 11,25 | 11 | 5,1 |
Жировая эмболия | 2 | 1,4 | 4 | 5 | 6 | 2,7 |
Тромбоэмболия легочной артерии | 2 | 1,4 | 1 | 1,25 | 3 | 1,4 |
Пневмония, сепсис | 10 | 7,3 | 6 | 7,5 | 16 | 7,3 |
Итого | 24 | 17,4 | 22 | 27,5 | 46 | 21,1 |
Вследствие высокоэнергетической травмы у 25,9% пострадавших переломы имели сложный характер (тип С по классификации АО), у 41% — оскольчатый (тип В), у 38 больных переломы конечностей сочетались с переломами таза. Повреждение кожных покровов в зоне перелома в виде гематом, кровоподтеков, ссадин отмечено у 28 больных. Практически все пациенты были переведены из реанимационного отделения с теми или иными осложнениями. Все это определяло значительно более высокий риск выполнения остеосинтеза по «классическим канонам» в сравнении с существующим при изолированных переломах и требовало перенесения операций на более отдаленные сроки.
Подготавливая больного к операции открытого погружного остеосинтеза штифтами с рассверливанием костномозгового канала (18 операций) или пластинами (28), мы не добивались полного восстановления всех показателей гомеостаза, а оперировали при «допустимых» показателях, применяя средства, уменьшающие интраоперационную кровопотерю (различные варианты реинфузии крови, использование пневматических турникетов). Допустимые показатели: общее состояние пациента удовлетворительное; температура тела нормальная или субфебрильная; на ЭКГ — умеренные изменения миокарда, тахикардия не более 90 ударов в минуту; при рентгенографии грудной клетки легочные поля прозрачные, без очаговых воспалительных изменений, допускались незначительная подкожная эмфизема и малый гидроторакс (жидкость в пределах синуса). Гемоглобин крови должен быть не менее 80 г/л, лейкоцитоз — не выше 9 · 109/л, СОЭ — не более 40 мм/ч, общий белок — не менее 65 г/л, альбумины — не менее 35 г/л, калий — в пределах 3-4,5 ммоль/л, натрий — 130-145 ммоль/л, pH — в пределах 7,3-7,45; ВЕ +0,5; РО2 — 35-45 мм рт. ст., РСО2 — не выше 40 мм рт. ст.
Возможности оперативного лечения переломов значительно расширялись при использовании закрытого остеосинтеза с блокированием (42 операции), который можно считать методом выбора у пострадавших с политравмой, поскольку он не сопровождается кровопотерей, обеспечивает прочную фиксацию отломков и позволяет в максимально ранние сроки после операции активизировать больного. При выполнении закрытого остеосинтеза с блокированием мы допускали наличие в зоне перелома кровоподтеков, ссадин, фликтен.
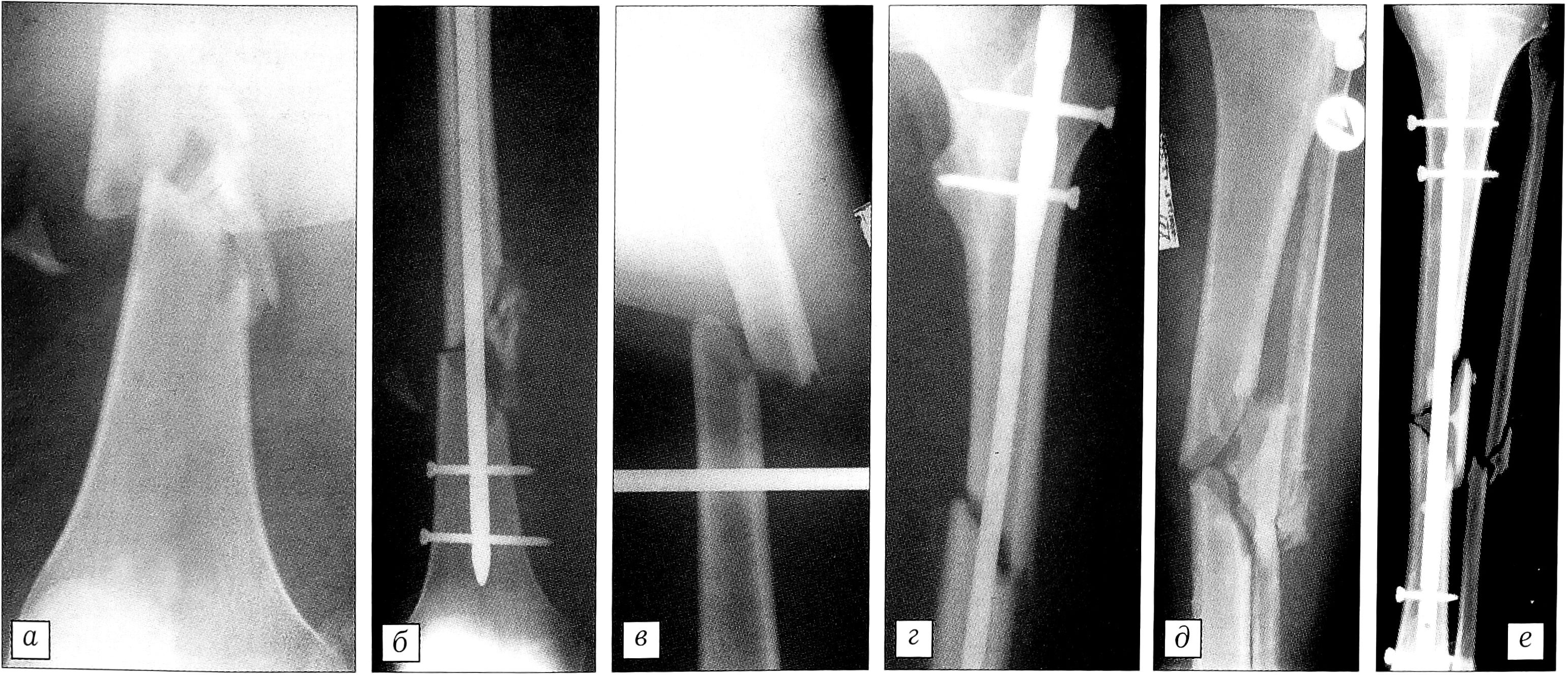
Клинический пример. Больной Л.,23 лет, поступил в реанимационное отделение НИИ СП им. Н.В. Склифосовского через 1,5 ч с момента получения травмы (попал в автоаварию, находясь за рулем мотоцикла). В результате обследования поставлен диагноз: сочетанная травма, сотрясение головного мозга, перелом VI—VII ребер справа с повреждением ткани легкого, правосторонний пневмоторакс, закрытый оскольчатый перелом правого бедра (тип В по классификации АО), закрытый перелом левого бедра (тип А), закрытый оскольчатый перелом левой голени (тип В) (рис. 2, а, в, д). При поступлении больному проводились противошоковые мероприятия, в том числе анестезия мест переломов, дренирование правой плевральной полости; для иммобилизации переломов бедер и голени было наложено скелетное вытяжение. На 5-е сутки дренаж из плевральной полости удален. На 10-е сутки под спинномозговой анестезией произведен одномоментно закрытый блокирующий остеосинтез обоих бедер и левой большеберцовой кости гвоздями без рассверливания костномозгового канала (рис. 2, б, г, е). Перед операцией НЬ 87 г/л, Нt 29%. Во время операции переливались свежезамороженная плазма (725 мл) и эритроцитная масса (200 мл). После операции НЬ 92 г/л, Ht 30%. Ранний послеоперационный период протекал без осложнений. Движения в смежных суставах начаты на 3-й день после операции. Швы сняты на 12-е сутки. Заживление послеоперационных ран первичным натяжением. Через 13 дней после операции у больного выявлен окклюзионный тромбоз общей бедренной вены слева. Проводилась консервативная терапия. Через 48 дней после операции больной активизирован — начал вставать и учиться ходить с дополнительной опорой на костыли. На 63-й день после получения травмы пациент выписан на амбулаторное лечение в удовлетворительном состоянии, с полным восстановлением движений в суставах конечностей.
Рис. 2. Рентгенограммы больного Л. Оскольчатый перелом правого бедра (а — при поступлении, б— после закрытого остеосинтеза с блокированием); перелом левого бедра (в — при поступлении, г — после закрытого остеосинтеза с блокированием); оскольчатый перелом костей левой голени (д — при поступлении, е — после закрытого остеосинтеза с блокированием).
У 8 больных наложенные на реанимационном этапе АНФ служили средством хирургической иммобилизации переломов и требовали замены на блокируемый гвоздь или пластину. Замена аппарата блокируемым гвоздем производилась на 5_ 10-е сутки, пластиной — на 3-4-й неделе после травмы.
Средняя продолжительность стационарного лечения у больных основной группы составила 41,17+18,28 дня, в том числе в реанимационном отделении — 4,07±3,65 дня, в контрольной группе — соответственно 58,53+18,81 и 4,75+3,87 дня.
Отдаленные результаты лечения в сроки от 1 года до 5 лет прослежены у 138 больных (у 88 пациентов основной и у 50 — контрольной группы). Замедленная консолидация переломов наблюдалась у 48 (54,5%) больных основной группы (в 17 случаях произведена динамизация блокируемого остеосинтеза) и у 33 (66%) больных контрольной группы. У 8 (9,1%) пациентов основной и у 9 (18%) — контрольной группы из-за длительного несрастания переломов и формирования ложных суставов произошли деформации или переломы фиксаторов, потребовавшие повторных операций остеосинтеза. Выраженные контрактуры суставов отмечены у 11 (12,5%) больных основной и у 14 (28%) — контрольной группы, у 9 пациентов они потребовали оперативного лечения — артролиза коленного сустава, миолиза мышц бедра, Z-образного удлинения сухожилия четырехглавой мышцы бедра. Хронический остеомиелит развился у 1 (1,1%) больного основной и у 2 (4%) больных контрольной группы. Хорошие и удовлетворительные функциональные результаты в основной группе достигнуты у 75 (85,2%) больных, в контрольной — у 36 (72%).
Выводы
- У пострадавших с политравмой остеосинтез закрытых переломов длинных костей конечностей, и прежде всего переломов бедра, относится к срочным операциям третьей очереди и абсолютно показан при психомоторном возбуждении больных, угрозе перфорации кожи костными отломками, а также в случаях, когда требуется интенсивный уход за пострадавшими для спасения их жизни. Выбор метода операции зависит от тяжести политравмы и характера перелома.
- Требования к прочности остеосинтеза, выполняемого по срочным показаниям, при политравме более высокие, чем при изолированных повреждениях, так как у больных, находящихся без сознания и нуждающихся в постоянном интенсивном уходе, чаще возникают ротационные смещения, миграция и деформация фиксаторов.
- Больным с сочетанной травмой груди противопоказан срочный интрамедуллярный остеосинтез штифтом в связи с большой опасностью развития жировой эмболии. У этих пострадавших предпочтение должно отдаваться накостному остеосинтезу.
- При отсутствии абсолютных показаний к срочному выполнению остеосинтеза его можно произвести на 3_10-е сутки после травмы в планово-отсроченном порядке с использованием малотравматичных, малоинвазивных способов, не дожидаясь полного восстановления показателей гомеостаза и устранения ссадин и кровоподтеков в зоне перелома.
- Тактика раннего выполнения остеосинтеза при закрытых переломах длинных костей конечностей у пострадавших с политравмой позволила сократить на 10% и более частоту гипостатических осложнений и связанную с ними летальность и получить хорошие функциональные результаты.
About the authors
V. A. Sokolov
Research Institute of Emergency Medicine. N.V. Sklifosovsky
Email: info@eco-vector.com
Russian Federation, Moscow
E. I. Byalik
Research Institute of Emergency Medicine. N.V. Sklifosovsky
Author for correspondence.
Email: info@eco-vector.com
Russian Federation, Moscow
References
- Журавлев С.М. Травматизм и ортопедическая заболеваемость — приоритетная медицинская и демографическая проблема: Актовая речь. — М., ЦИТО,1997.
- Кашанский Ю.Б., Романов В.А. //Шокогенная травма и угрожающие жизни состояния в практике скорой помощи. — СПб,1995. — С. 89-96.
- Фаддеев Д.И., Чукин Е.Г., Быстряков А.В. и др. //Материалы междунар. мед. форума «Человек и травма». — Н. Новгород,2001. — С. 102-103.
- Bardenheuer М., Obertacke U., Waydhas С., Nast- Коlb D. //Unfallchirurg. — 2000. — Bd 103, N 5. — S. 355-363.
- Behn C., Hopker W.W., Puschel K. //Versicherungsmedizin. — 1997. — Bd 49, N 3 — S. 89-93.
- Hausmann B., Hudabiunigg K. //Unfallchirurgie. — 1994. — Bd 20, N 3. — S. 162-168.
- Nast-Kolb D., Ruchholtz S. //Unfallchirurg. — 1999. — Bd 102, N 5. — S. 338-346.
- Neudeck F., Obertacke U., Wozasek G. et al. //Akt. Traumatol. — 1994. — Vol. 24, N 4. — P. 114-120.
- O’Brien P.J. //Can. J. Surg. — 2003. — Vol. 46, N 2. — P. 124-128.
- Pape H.C., Giannoudis P., Krettek C. //Am. J. Surg. — 2002. — Vol. 183, N 6. — P. 622-629.
- Pape H.C., Hildebrand F., Pertschy S. et al. //J. Trauma. — 2002. — Vol. 53, N 3. — P. 452-461; discussion P. 461-462.
Supplementary files




