Biological internal osteosynthesis at the present stage
- Authors: Lazarev A.F.1, Solod E.I.1
-
Affiliations:
- Central Research Institute of Traumatology and Orthopedics. N.N. Priorova
- Issue: Vol 10, No 3 (2003)
- Pages: 20-26
- Section: Original study articles
- Submitted: 20.10.2020
- Published: 15.09.2003
- URL: https://journals.eco-vector.com/0869-8678/article/view/48133
- DOI: https://doi.org/10.17816/vto200310320-26
- ID: 48133
Cite item
Full Text
Abstract
Progressive direction in the development of inner osteosynthesis is the preservation of blood circulation in fracture zone, use of minimum operative approach and closed reposition. Authors have summarized the known principles of biological osteosynthesis and gave their opinion on problem. The experience in use of lightly invasive technique of osteosynthesis and AO implants are analyzed basing on 335 patients with fractures of various localization. Possibilities of active postoperative rehabilitation were shown. Original techniques of lightly invasive transcutaneous osteosynthesis with primary and secondary strained pins in periarticular fractures are given. Special attention is paid to the necessity of drug correction of bone quality in the postoperative period.
Keywords
Full Text
В последние десятилетия основными принципами погружного остеосинтеза являлись идеальная анатомическая репозиция и безукоризненная стабильная внутренняя фиксация костных отломков. Главной задачей считалось прочное соединение отломков как биологически обоснованное требование к заживлению кости [1], поскольку девитализированные отломки могут замещаться живой костью только при абсолютно стабильной фиксации.
Накопленный огромный опыт внутренней фиксации и его анализ привели в последнее время многих исследователей к пересмотру существовавших принципов. Перспектива улучшения результатов лечения, по мнению авторов, кроется в сохранении кровоснабжения костных фрагментов и мягких тканей, что является основным условием для репаративной регенерации кости: только живая кость может срастись при наличии микроподвижности, которая, в свою очередь, служит биологической предпосылкой для наступления консолидации [2, 9, 13]. В этой связи возникли новые идеи и появились новые способы, получившие названия «рациональный», «менее инвазивный», «минимально инвазивный», «биологический (биологичный)» остеосинтез, которые обединяет общая цель — сохранение жизнеспособности тканей в зоне перелома. Данная тема была главной на 2-м Европейском сезде травматологов (1996 г., Давос) и на 3-м Сезде травматологов стран Центральной Европы (1998 г., Амстердам). При этом не создавалась принципиально новая стратегия, а пересматривались некоторые давно известные положения.
Термин «биологический остеосинтез», предложенный S. Weller еще в 1974 г., в последнее время стал применяться для обозначения большинства способов погружного остеосинтеза, в которых используются специальные хирургические доступы [2, 9]. Однако многие специалисты считают, что называть остеосинтез биологическим в любом случае, даже при минимальной интраоперационной травматизации мягких тканей, некорректно. Именно поэтому чаще используются термины «минимально инвазивный» или «биологический» (биология+логика) остеосинтез [9].
Все имеющиеся способы погружного остеосинтеза делятся на два основных вида — внутрикостные и накостные. Принципиальные преимущества внутрикостного остеосинтеза с позиций «био-логики» состоят в следующем: благодаря закрытой репозиции и малому хирургическому доступу вдали от перелома не наносится дополнительная травма тканям в зоне перелома и сохраняется периостальное кровоснабжение, которому принадлежит ведущая роль в регенерации длинных костей; гематома в зоне перелома содержит тканевые и гемологические факторы роста, поэтому она является лучшим пластическим материалом для репаративной регенерации. Достигаемая при интрамедуллярном остеосинтезе стабильная фиксация обеспечивает возможность ранней функциональной реабилитации больных. К этой категории относятся способы интрамедуллярного остеосинтеза с использованием нового поколения прочных блокированных стержней из стали и титана для бедренной, большеберцовой и плечевой костей.
При использовании накостных фиксаторов для соответствия принципам малоинвазивного рационального остеосинтеза необходимо соблюдение следующих условий: обязательное тщательное предоперационное планирование и строгое выполнение плана операции; закрытая непрямая репозиция отломков с помощью дистрактора при оскольчатых переломах в целях сохранения кровоснабжения тканей.
Сознательный отказ от идеальной анатомической репозиции основан на принципе разумной достаточности: восстановление длины сегмента, восстановление анатомической оси, устранение ротационных и линейных смещений. Необходимость прямой анатомической репозиции сохраняется только при внутрисуставных переломах. Вместе с тем обязательным остается условие стабильной фиксации базовых фрагментов поврежденного сегмента, исключая фиксацию каждого отломка в отдельности. Уменьшение инвазивности достигается использованием атравматичных межмышечных доступов и применением пластин с ограниченным или точечным контактом с костью, что сохраняет надкостницу и является мерой профилактики контактного остеонекроза. К минимально инвазивным имплантатам последнего поколения относятся пластины LCP (locking compression plate), которые благодаря их дизайну, применению спейсоров, возможности блокирования винта в пластине позволяют полностью избежать контактного давления на надкостницу [2, 9, 14, 16].
Философия АО в отношении как внутрикостного, так и накостного остеосинтеза, последние разработки способов репозиции и фиксации хорошо понятны отечественным травматологам-ортопедам, заложенные в них принципы давно известны и в значительной мере реализованы при лечении переломов методом чрескостного внеочагового остеосинтеза.
В настоящее время, на наш взгляд, возможности малоинвазивного перкутанного остеосинтеза погружными конструкциями исчерпаны не полностью. Наиболее сложными для лечения — при всех способах остеосинтеза — остаются околосуставные метафизарные, метадиафизарные и метаэпифизарные переломы. Особенно трудно добиться хороших результатов, когда такие переломы возникают на фоне остеопороза и сопровождаются мягкотканными повреждениями. Мы попытались систематизировать и оценить имеющиеся методы, найти новые малоинвазивные перкутанные способы фиксации отломков с учетом биомеханических особенностей области перелома и использованием механизмов активной мышечной стабилизации.
Материал и методы
Под нашим наблюдением в ЦКБ Медицинского центра Управления делами Президента РФ и в ЦИТО им. Н.Н. Приорова с 1998 по 2002 г. находились 335 больных, которым был выполнен закрытый малоинвазивный перкутанный остеосинтез.
При диафизарных переломах длинных костей производили интрамедуллярный остеосинтез без рассверливания костномозгового канала стержнями для плечевой, большеберцовой и бедренной костей (соответственно UHN, UTN и UFN). Операции выполняли по методикам АО с использованием электронно-оптического преобразователя (ЭОП) для контроля закрытой репозиции и введением стержней и блокирующих винтов из небольших разрезов. Остеосинтез универсальным большеберцовым стержнем (UTN) был выполнен 42 больным, универсальным плечевым стержнем (UHN) — 28, универсальным бедренным стержнем (UFN) — 30 пациентам. При подвертельных переломах 16 больным произведен остеосинтез проксимальным бедренным стрежнем с блокированием (РFN). У 16 больных был выполнен одновременно остеосинтез двух и более сегментов.
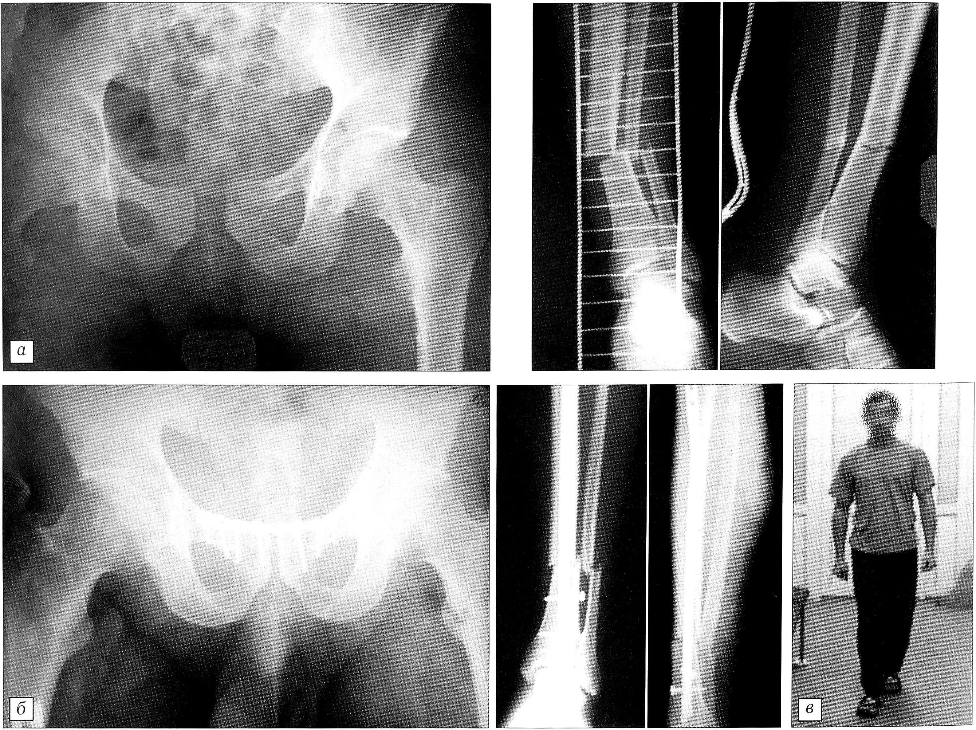
Пример. Больная Б.,30 лет,8.07.01 в результате ДТП получила перелом средней трети правой бедренной кости, средней трети и хирургической шейки правой плечевой кости, перелом локтевого отростка справа (имелся парез лучевого нерва справа), импрессионный перелом наружного мыщелка правой большеберцовой кости (рис. 1, а). Через 5 дней после травмы была госпитализирована в ЦИТО, где 18.07.01 произведен одновременный остеосинтез правой бедренной кости стержнем UFN, правой плечевой кости стержнем UHN, остеосинтез локтевого отростка по Веберу, остеосинтез наружного мыщелка правой большеберцовой кости Т-образной опорной пластиной (рис. 1, б). На 2-е сутки после операции больная активизирована, проводилась терапия прозерином, витаминами группы В. Через 3 нед после операции пациентка выписана на амбулаторное лечение. На момент выписки ходила при помощи костылей с ограниченной нагрузкой на правую ногу. Через 4 мес после операции двигательная активность была полностью восстановлена (рис. 1, в). Через 1 год 8 мес рентгенологически констатировано сращение всех переломов, металлоконструкции удалены (рис. 1, г, д).
Рис. 1. Больная Б. Диагноз: перелом средней трети правой бедренной кости, средней трети и хирургической шейки правой плечевой кости, перелом локтевого отростка справа, импрессионный перелом наружного мыщелка правой большеберцовой кости. а — рентгенограммы при поступлении; б — после выполнения остеосинтеза; в — функциональные возможности через 4 мес после операции; г — рентгенограммы через 1 год 8 мес после операции: сращение переломов; д — после удаления металлофиксаторов.
При метафизарных переломах у 47 больных был произведен туннельный подкожный остеосинтез пластиной с блокирующимися в ней винтами (LCP). Остеосинтез выполняли из доступа в области перелома до 8 см и проколов кожи до 1 см для чрескожного проведения винтов. Данный метод был применен при переломах большеберцовой кости у 24 больных, переломах костей предплечья — у 8, переломах дистального отдела бедренной кости — у 8 и при переломах плечевой кости — у 7 пациентов. Предпочтение накостному остеосинтезу пластиной отдавалось при оскольчатых метадиафизарных переломах.
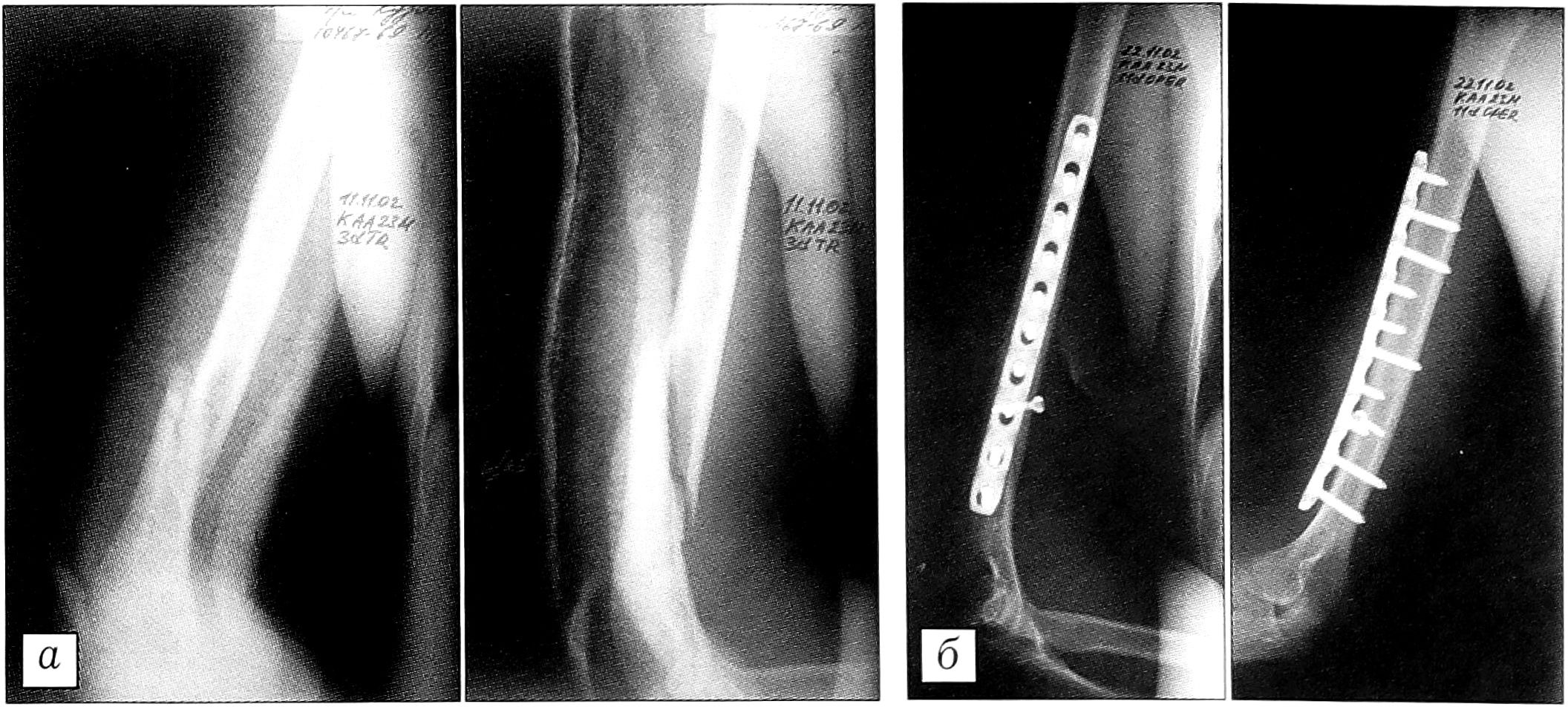
Пример. Больной К.,23 лет, госпитализирован в ЦИТО 11.11.02 с переломом нижней трети правой плечевой кости через 2 нед после получения травмы. 14.11.02 произведен подкожный остеосинтез правой плечевой кости пластиной LСР с сохранением надкостницы. Через 2 нед после операции пациент выписан на амбулаторное лечение с полным восстановлением обема движений (рис. 2).
Рис. 2. Больной К. Диагноз: винтообразный перелом нижней трети правой плечевой кости. а — рентгенограммы при поступлении; б — после остеосинтеза пластиной LCP.
У 122 больных с околосуставными переломами проксимального отдела бедренной и плечевой кости был произведен остеосинтез первично напряженными конструкциями. Во всех случаях остеосинтез выполнялся закрыто, через проколы кожи до 1 см. Основным моментом являлось сохранение окружающих область перелома мышц и раннее включение мышечного компонента стабилизации сустава. Раннее начало активных занятий лечебной гимнастикой при использовании первично напряженных спиц приводило к созданию межотломковой компрессии, что значительно повышало стабильность фиксации.
При переломах шейки бедра малоинвазивный перкутанный остеосинтез пучками напряженных спиц был применен у 102 пациентов. Средний возраст этих больных равнялся 80 годам, соотношение мужчин и женщин составляло 1:3. Остеосинтез производили при субкапитальных (55%) и трансцервикальных (45%) переломах проксимального отдела бедренной кости. При определении показаний к данному методу учитывали временной фактор и биомеханические особенности перелома. Обычно срочный остеосинтез производили не позже 3 сут с момента травмы. Биомеханические критерии — переломы с углом Пауэлса до 50° и смещением отломков не более I-III по Гардену (в остальных случаях, как правило, выполняли первичное эндопротезирование тазобедренного сустава). Все пациенты имели комплекс сопутствующих заболеваний и были отнесены к 3-4-й группе анестезиологического риска. Остеосинтез выполняли в срочном порядке в течение первых 3 сут с момента травмы, так как промедление в подобных ситуациях влечет за собой прямо пропорциональное увеличение риска развития гипостатических осложнений. В качестве фиксаторов использовали обычные спицы диаметром 2 мм, изогнутые V-образно, что создавало напряжение между их концами до 10 Н.
Напряженный остеосинтез Y-образно изогнутыми спицами при переломах проксимального отдела плечевой кости произведен 20 больным в возрасте от 24 до 78 лет (средний возраст 60 лет). У 15 пациентов были двухфрагментарные переломы хирургической шейки плечевой кости, у остальных — трех- и четырехфрагментарные переломы по классификации Neer. При переломах с отрывом бугорка осуществляли дополнительную фиксацию последнего спицами, изогнутыми в виде крючка или якоря.
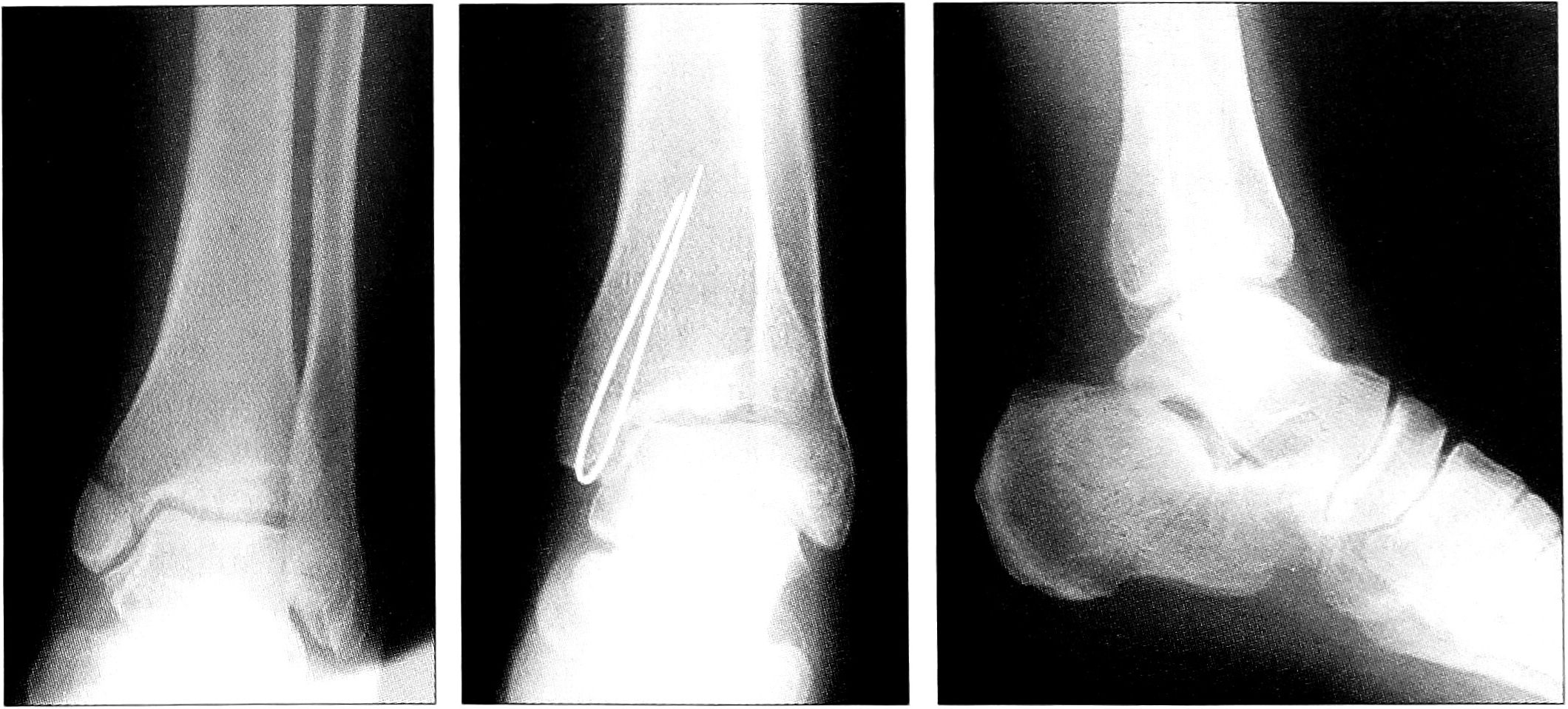
У 10 больных с переломами внутренней лодыжки после закрытой репозиции был произведен перкутанный остеосинтез V-образной спицей. Примером может служить больная Е.,20 лет, которой через 2 дня после травмы (апикальный перелом внутренней лодыжки) под контролем ЭОП выполнен перкутанный остеосинтез V-образной спицей; на 2-е сутки после операции начаты активные занятия лечебной гимнастикой без внешней иммобилизации (рис. 3).
Рис. 3. Перкутанный остеосинтез V-образной спицей при переломе внутренней лодыжки.
У 36 больных с множественной и сочетанной травмой произведен симультанный малоинвазивный остеосинтез переломов костей разных сегментов. У всех этих пациентов имелись переломы костей таза, и одновременная стабилизация всех переломов была возможна благодаря использованию малоинвазивных и бескровных способов биологичного остеосинтеза.
Пример. Больной Р.,26 лет, в результате ДТП получил разрыв симфиза и перелом костей левой голени в нижней трети (рис. 4, а). Через 5 дней после травмы произведены одновременно остеосинтез переднего полукольца таза реконструктивной пластиной АО и интрамедуллярный остеосинтез левой большеберцовой кости стержнем UTN без рассверливания костномозгового канала (рис. 4, б). Уже через неделю после операции больной мог самостоятельно ходить даже без дополнительных средств опоры (рис. 4, в).
Рис. 4. Больной Р. Диагноз: разрыв симфиза, перелом костей левой голени в нижней трети. а — рентгенограммы при поступлении; б — после остеосинтеза; в — функциональные возможности через 1 нед после операции.
Во всех перечисленных случаях остеосинтеза дополнительная внешняя иммобилизация не применялась. Активные занятия лечебной гимнастикой, направленные на разработку движений в суставах, и активизацию пациентов начинали на 2-е сутки после операции.
Результаты
Средний срок пребывания больных в стационаре составлял 14-18 дней. Все больные были выписаны на амбулаторное лечение без внешней иммобилизации, с возможностью самообслуживания. Контрольное обследование пациентов проводилось через каждые 2 мес. Все больные с переломами опорных сегментов к моменту выписки могли ходить при помощи костылей. У 60% пациентов, которым был выполнен остеосинтез стержнями UFN и UTN, через 2-3 мес после операции производилась динамизация стержня.
Универсальный бедренный стержень (UFN) у 12 больных был удален после сращения перелома спустя 1,2-1,5 года с момента операции. У остальных 18 больных (срок после операции до 1 года) при обследовании через каждые 2 мес отмечается прогрессирование консолидации. Универсальный большеберцовый стержень (UTN) удален у 18 пациентов в среднем через 1,2 года после остеосинтеза, универсальный плечевой стержень (UTN) — у 14 больных при сращении перелома и полном восстановлении функции конечности. У остальных пациентов процесс консолидации продолжается. У всех больных, которым был выполнен интрамедуллярный остеосинтез стержнями без рассверливания костномозгового канала, уже через 2 мес отмечалось полное восстановление функции конечности независимо от характера перелома. При этом двигательная активность пациентов и их образ жизни не зависели от скорости и степени консолидации отломков, что является преимуществом такого остеосинтеза.
При остеосинтезе пластинами LCP результаты прослежены в течение 6 мес. Уже к 2 мес полностью восстанавливалась двигательная и опорная функция конечности и определялась начальная консолидация. Миграции фиксатора не наблюдалось.
Отдаленные результаты лечения переломов шейки бедра изучены у 78% больных. У всех пациентов с биомеханически благоприятными переломами (Пауэлc I_II, Гарден I-III) после остеосинтеза V-образными спицами наступило сращение. При переломах с выраженным смещением отломков (биомеханически нестабильных — типа Пауэлс III, Гарден IV) у 40% больных как после остеосинтеза V-образными спицами, так и после остеосинтеза винтами отмечались миграция фиксаторов и несращение переломов. Выполнение остеосинтеза в биомеханически неблагоприятных условиях было обусловлено тяжелым состоянием пациентов и невозможностью первичного эндопротезирования тазобедренного сустава из-за крайне высокого операционного риска. Срочный остеосинтез позволил активизировать больных в ранние сроки, предотвратив тем самым развитие у них гипостатических осложнений, что спасало им жизнь. В случаях миграции фиксаторов вторым этапом производили эндопротезирование тазобедренного сустава в плановом порядке.
После остеосинтеза проксимального отдела плечевой кости Y-образными спицами отдаленные результаты прослежены у 10 больных. У всех пациентов констатировано сращение переломов с полным восстановлением функции плечевого сустава. Результаты остеосинтеза внутренней лодыжки через 3 мес после операции оценены у 5 больных: во всех случаях достигнуто сращение перелома, функция голеностопного сустава полностью восстановлена.
У 88 пациентов с переломами проксимального отдела бедренной кости в послеоперационном периоде проводилась двухэнергетическая рентгеновская абсорбциометрия (DEXA) на денситометрах Hologic и Lunar. У 85% больных было выявлено отклонение минеральной плотности кости по Т-критерию более -2,5 SD, что при наличии перелома согласно классификации ВОЗ свидетельствовало о выраженном остеопорозе; у 15% обследованных отмечена остеопения. В послеоперационном периоде 48 пациентов принимали миакальцик-спрей ежедневно по 200 ME в течение 3 мес и препараты кальция (карбонат кальция, кальций сандоз-форте, глицерофосфат кальция) в суточной дозе 1,5 г. Другие 40 пациентов с подобными переломами и аналогичного возраста получали в течение 3 мес только препараты кальция в суточной дозе 1,5 г. При контрольном денситометрическом обследовании через 3 мес у больных, принимавших миакальцик, отмечено увеличение минеральной плотности кости в области шейки бедра в среднем на 1,5% и в области поясничного отдела позвоночника на 3%. В группе больных, получавших только препараты кальция, динамики минеральной плотности кости не выявлено ни в одном случае.
Обсуждение
В настоящее время общепризнано, что необходимым условием сращения перелома является сохранение васкуляризации костных фрагментов. Так как нарушение кровоснабжения мягких тканей и кости при переломах имеется всегда, чрезвычайно важно создание биологических предпосылок для заживления и регенерации кости и мягких тканей. Степень нарушения кровоснабжения кости при хирургическом лечении зависит от травматичности операции и площади контакта имплантата с костью [10, 11, 15]. Поэтому перспективными направлениями развития внутреннего остеосинтеза являются минимизация хирургического доступа с использованием закрытых технологий остеосинтеза и соответствующая модификация используемых имплантатов.
Многими авторами указывалось на необходимость стабильной фиксации отломков, которая имеет не только механическое, но и важное биологическое значение, обеспечивая реализацию потенций репаративного процесса по оптимальному пути и с наибольшей эффективностью, приближая сроки заживления костной раны к биологическим параметрам роста костной ткани [5, 7, 12]. На наш взгляд, этим требованиям отвечают интрамедуллярный остеосинтез стержнями без рассверливания костномозгового канала и подкожный остеосинтез пластинами, выполняемые из небольших разрезов под контролем ЭОП. Такой остеосинтез отличается малой инвазивностью и сохранением кровоснабжения фрагментов в области перелома. Это определяет очевидное преимущество закрытого малоинвазивного остеосинтеза перед открытой репозицией и прямым анатомическим сопоставлением отломков длинных костей.
Вместе с тем некоторые как отечественные, так и зарубежные авторы считают, что для успешного сращения перелома необходима небольшая взаимоподвижность отломков [4, 6, 8, 13, 14, 16]. А.П. Барабаш [3] философски обединяет эти две точки зрения на оптимальную степень фиксации отломков, полагая, что они не являются взаимоисключающими, а лишь подтверждают известные законы диалектики — отрицания отрицания и борьбы противоположностей. Это подтверждается и многочисленными практическими наблюдениями, когда при абсолютной стабильности и безукоризненной анатомической репозиции мы видим несращение перелома и в то же время отмечаем хорошее сращение при неполной репозиции и наличии микроподвижности фрагментов. Поэтому особенно важно понять, какие условия должны быть созданы для сращения перелома и, что особенно значимо, как при этом не помешать ему.
По нашему мнению, для достижения хорошего результата требуется сохранение костной ткани и окружающих место перелома мышц. Необходимо также применение фиксаторов, которые не мешали бы самокомпрессии отломков после остеосинтеза. Остеосинтез должен быть не просто моментом фиксации, а механизмом, способствующим заживлению костной раны. Важной функцией его является купирование болевого синдрома и обеспечение возможности последующего раннего восстановления мышечной активности. Необходимо сохранение обратной связи очага повреждения и центральной нервной системы, чего не бывает при абсолютно стабильном остеосинтезе.
В свете сказанного перспективным направлением представляется перкутанный остеосинтез первично напряженными спицами. При его использовании не происходит дополнительного разрушения костной ткани, так как спицы прокалывают кость без создания ее дефекта, а небольшой диаметр спиц сводит к минимуму механическое разрушение кости. Однако спицы при их обычном проведении часто мигрируют в проксимальном и дистальном направлении и не способны стабильно фиксировать отломки, поэтому при всех их положительных качествах они не пользуются популярностью.
Принцип напряженного остеосинтеза был использован отечественными исследователями, которые проводили интрамедуллярно спицу, изгибающуюся в костномозговом канале, при этом ее основание фиксировалось в кольце аппарата Илизарова. Используя упругую деформацию и форму спицы, можно избежать ее миграции. Изгибание спиц создает первичное напряжение между их концами, равное 10 Н. При остеосинтезе опорных сегментов V-образно изогнутые спицы являются «рельсами», по которым идет самокомпрессия отломков при ходьбе и включении мышечного компонента стабилизации сустава. В этих случаях очень важно правильное предоперационное планирование. При плоскости излома до 50° к горизонтали, когда срезающие нагрузки минимальны, задача остеосинтеза — устранение только ротационной и боковой нестабильности. Таким образом мы используем законы биологии и не мешаем им. Чем больше двигается пациент, тем лучше происходит компактизация и тем стабильней остеосинтез.
При остеосинтезе таких неопорных сегментов, как проксимальный конец плеча, мы не имеем самокомпрессии отломков при опоре, поэтому важным моментом является использование мышечного компонента стабилизации плечевого сустава. Для предотвращения миграции спицы в дистальном и проксимальном направлении применяется спица с ушком, фиксация которой в перфорационном отверстии кортикального слоя осуществляется по типу фиксации елочной игрушки. Все сказанное выше позволяет отнести тензофасцикулярный способ остеосинтеза к биологичному.
Другое направление развития биологического аспекта остеосинтеза мы видим в медикаментозном воздействии на нарушенное ремоделирование костной ткани. Полученные нами данные об увеличении минеральной плотности кости в шейке бедра в среднем на 1,5% и в поясничном отделе позвоночника на 3% уже через 3 мес после начала лечения миакальциком и препаратами кальция открывают перспективу опосредованного улучшения результатов оперативного лечения за счет замедления остеорезорбции в системе «имплантат— кость» и улучшения механических характеристик костной ткани.
Выводы
- Основными принципами в развитии погружного остеосинтеза на современном этапе являются максимальное сохранение кровообращения в области перелома и малая инвазивность хирургического доступа, т.е. биологичность.
- При переломах диафиза длинных костей и переломах вертельной области перспективным методом лечения является малоинвазивный закрытый остеосинтез универсальными стержнями без рассверливания костномозгового канала. Необходимое условие такого остеосинтеза — устранение смещения по длине, ротационных и угловых смещений без обязательной анатомической репозиции отломков.
- При внутрисуставных метаэпифизарных и метадиафизарных переломах необходимость полной анатомической репозиции остается. Для сохранения кровоснабжения в области перелома и предотвращения контактного остеонекроза в таких случаях предпочтителен туннельный подкожный остеосинтез пластинами LCP.
- Предложенный способ остеосинтеза околосуставных переломов напряженными спицами основан на использовании собственных ресурсов организма, биомеханических особенностей перелома и не сопряжен с дополнительной хирургической агрессией. Поэтому такой остеосинтез является абсолютно биологичным.
- Важной составляющей биологичного остеосинтеза является учет качества костной ткани и медикаментозная коррекция при нарушении ее ремоделирования.
About the authors
A. F. Lazarev
Central Research Institute of Traumatology and Orthopedics. N.N. Priorova
Email: info@eco-vector.com
Russian Federation, Moscow
E. I. Solod
Central Research Institute of Traumatology and Orthopedics. N.N. Priorova
Author for correspondence.
Email: info@eco-vector.com
Russian Federation, Moscow
References
- Анкин Л.Н. Стабильно-функциональный остеосинтез в травматологии: Дис.... д-ра мед. наук. — Киев,1986.
- Анкин Л.Н. //Margo Anterior. — 1998. — N 6. — С. 1-3.
- Барабаш А.П., Соломин Л.Н. Комбинированный напряженный остеосинтез. — Благовещенск,1992.
- Виноградова Т.П., Лаврищева Г.И. Регенерация и пересадка костей. — М.,1984.
- Девятов А.А. Чрескостный остеосинтез. — Кишинев,1990.
- Корж А.А. //Вестн. хир. — 1984. — N 8. — С. 66-68.
- Илизаров Г.А. //Клинико-теоретические аспекты и экспериментальное обоснование чрескостного остеосинтеза при дистракции костных и мягких тканей. — Курган,1986. — С. 7-12.
- Охотский В.П. и др. //Всерос. сезд травматологов-ортопедов,5-й: Тезисы. - Ярославль,1990. — С. 275-277.
- Фокин В.А., Волна А.А. //Margo Anterior. — 1999. — N 1. —С. 1-2.
- Arm El. //Int. Orthop. — 2001. — Vol. 25, N 4. — P. 214- 218.
- Grudnes O., Rickeras O. //Acta Orthop. Scand. — 1993. — Vol. 64. — P. 340-342.
- Marsh D.R., Li G. //Br. Med. Bull. — 1999. — Vol. 55. — P. 856-869.
- Marsh D.R. //Clin. Orthop. — 1998. — N 355, Suppl. — P. 22-30.
- McKibbin B. //J. Bone Jt Surg. — 1978. — Vol. 60B. — P. 150-161.
- Miclau T., Remiger A., Tepic S. //J. Orthop. Trauma. — N 9. — P. 7-22.
- Rowley D. //Europ. Instruct. Course Lectures (London). — 2001. — Vol. 5. — P. 24.
Supplementary files






