Angular Stability Plate System (LCP) - the new AO standard for plate osteosynthesis
- 作者: Neubauer T.1, Wagner M.1, Hammerbauer C.1
-
隶属关系:
- Department of Traumatology, Wilhelmenspital Clinic
- 期: 卷 10, 编号 3 (2003)
- 页面: 27-35
- 栏目: Original study articles
- ##submission.dateSubmitted##: 20.10.2020
- ##submission.datePublished##: 15.09.2003
- URL: https://journals.eco-vector.com/0869-8678/article/view/48138
- DOI: https://doi.org/10.17816/vto200310327-35
- ID: 48138
如何引用文章
全文:
详细
Locking Compression Plate (LCP) represents the latest development of AO plates, combining the features of conventional plates and internal fixators. This is achieved by a so-called combi-hole merging the Dynamic Compression Unit (DCU) of the DCP and the threaded hole of locked plates. Therefore all kinds of conventional screws as well as threaded locking head screws (LHS) can be inserted through the plate depending on the specific local requirements. However, LCP represents not a new plate per se, but rather a plate/screw system to enrich the well known АО-plate designs with the option of interlocking. As the mechanical characteristics have not changed by adding a combi-hole the complete set of small (3,5 mm) and broad (4,5/5,0 mm) АО-plates is available. Additionally LCP-systems adapted to certain anatomic regions, like the proximal humerus and distal radius as well as Tomofix2 plates for osteotomies have been developed. We report about our first experience in clinical use of LCP. Prom April 2000 till December 2002,310 LCP systems have been implanted in 274 patients. 303 plates (97,7%) were implanted for fixation of 285 fractures with different localization in 267 patients, including 17 pediatric fractures (5,9%),9 periprosthetic fractures (3,2%),5 delayed-unions (1,8%) and 4 pathologic fractures (1,4%). Seven plates (2,3%) were implanted to fix osteotomies. Of all plates 111 (35,8%)) implants were fixed with locking head screws,194 (62,6%) with both types of screws and only in 5 plates (l,6%o) conventional screws were used. 73 (23,5%o) of all plates were inserted using a minimal-invasive approach and 237 (76,5%) via an open procedure. Postoperative complications occurred in 14/267 patients (5,2%) exclusively treated for fractures, representing a complication rate of 5,2%o in 15/285 fractures. Loosening of implants were seen in 1,4%), deep wound infection in 1,05%), osteomyelitis, refracture and postoperative hematoma in 0,7%o, respectively. Secondary malalignment and problems with implant removal occurred in 1 patient (0,35%), respectively. No delayed or non-unions were observed. In LCP all options of plate osteosynthesis are included, so fixation can be adapted more accurately to the local situation and operative procedure is facilitated.
全文:
Разработка имплантатов
В 1988 г. Perren и соавт. [22] доказали, что часто определяемая рентгенологически потеря костной массы под пластиной in situ не связана с «шунтированием» нагрузки, а является результатом на рушения кровоснабжения кости и ее ремоделирования вследствие давления пластины на периостальный слой. Поэтому исследователи начали поиск решений, которые позволили бы уменьшить площадь контакта пластины с подлежащей костью, а также ее давление на поверхность кости. Это привело к созданию в 1990 г. динамической компрессирующей пластины LC-DCP из титана [23], нижняя поверхность которой имеет выемки, что уменьшает площадь контакта с костью, способствуя сохранению локального кровоснабжения.
Совершенно иная биомеханическая концепция лежит в основе внутреннего фиксатора, обеспечивающего относительную стабильность посредством простого «перемыкания» зоны перелома. У фиксатора с точечным контактом PC-Fix площадь контакта нижней поверхности пластины с костью и силы, передающиеся на кость, сведены к минимуму [24], а винты блокируются в отверстиях пластины. Блокирующиеся винты обеспечивают возможность монокортикальной фиксации, уменьшая тем самым объем повреждения эндостального кровоснабжения по сравнению с таковым при бикортикальной фиксации. Абсолютно новое поколение винтов было создано для системы PC-Fix II. Это винты, блокирующиеся в отверстиях пластины за счет резьбы на их конической головке (LHS), благодаря чему обеспечивается не только угловая, но и аксиальная стабильность.
Стабильность традиционного остеосинтеза пластинами основывается на трении между пластиной и костью, возникающем при затягивании винтов. При этом действующие силы переносятся от одного фрагмента кости к другому, что требует одинакового качества кости. В случае использования пластин LCP стабильность не зависит от качества кости, поскольку действующие силы на одном фрагменте переносятся через винты на пластину, а на другом фрагменте — от пластины на винты, не нагружая кость (рис. 1).
Рис. 1. При традиционном остеосинтезе пластинами (а) стабильность основывается на трении между пластиной и костью, достигаемом при компрессии, поэтому требуется однородное качество кости. При использовании внутреннего фиксатора с жестким контактом между винтом и пластиной (б) стабильность не зависит от качества кости, так как последняя не нагружается.
Так как стабильность конструкции не зависит от трения, не требуется и точного моделирования пластины, что позволяет избежать первичной потери репозиции при затягивании винтов. Стандартные винты не обеспечивают аксиальной стабильности, поэтому при нагрузке могут возникать маятниковые движения.
Это в свою очередь может привести к расшатыванию винтов в отверстиях пластины и впоследствии - к смещению костных фрагментов и «оседанию» перелома. Необходимость в монокортикальной фиксации винтами породила создание самосверлящих/самонарезающих винтов с меньшим шагом резьбы и наличием сверлящего и нарезающего края. В ходе экспериментальных исследований [31] была подтверждена клиническая адекватность концепции внутреннего фиксатора. Haas и соавт. [10] опубликовали данные клинического исследования, проведенного в нескольких центрах и включающего 387 случаев диафизарных переломов костей предплечья (из них открытые переломы — 21%, инфекция при закрытых переломах — 0,6%, при открытых — 1,2%). Замедленное сращение и несращение переломов отмечено в 3,9%, расшатывание имплантатов — в 1,8% случаев.
Концепция внутреннего фиксатора получила дальнейшее развитие с созданием системы для малоинвазивной стабилизации переломов LISS [7] - анатомически смоделированного фиксатора для дистального отдела бедренной кости (LISS-DF) и проксимального отдела большеберцовой кости (LISS-PT). Нововведением стало то, что винты в метафизарной области фиксируются в положении расхождения для лучшего захвата кости при остеопорозе. Конструкция этих имплантатов предполагает применение минимально инвазивной хирургической техники и дает возможность вводить винты через проколы в мягких тканях с использованием направляющего устройства, интегрированного в рукоятку для введения фиксатора. Были опубликованы данные об отличных результатах фиксации [1, 29] в указанных анатомических областях за счет повышенной стабильности [17].
Развитие хирургической техники
Одновременно с разработкой новых плас- тин/фиксаторов изменялась и хирургическая техника с той же целью — сохранить кровоснабжение. В отличие от открытой репозиции и внутренней фиксации, при использовании новой техники имеется возможность предотвратить нанесение дополнительных повреждений мягким тканям и кровеносным сосудам и тем самым снизить частоту осложнений, повысить процент сращений и уменьшить потребность в костной пластике [9]. В ранних публикациях об использовании волнообразных [4] и мостообразных пластин [11] при многофрагментарных диафизарных переломах только для «перемыкания» зоны перелома был продемонстрирован впечатляющий эффект данной «бесконтактной» техники фиксации. В результате были разработаны техники минимально инвазивного остеосинтеза пластинами (MIPO) и минимально инвазивного чрескожного остеосинтеза пластинами (MIPPO), которые получили название «биологичного» остеосинтеза [30]. Эти новые концепции предусматривают восстановление правильной длины кости, ее оси и устранение ротационного смещения путем «перемыкания» перелома без осуществления компрессии и без достижения абсолютной стабильности. Так как имплантат фиксируется вне зоны перелома, действующие силы переносятся на пластину и достигается относительная стабильность, то хирурги не стараются избежать формирования костной мозоли, а, наоборот, считают это благоприятным явлением. В ходе экспериментальных исследований было показано, что в случае сохранения кровеносных сосудов [6] при многооскольчатых переломах достигается наиболее надежное сращение [3, 12], отмечаются низкие показатели инфекционных осложнений, несращений и рефрактур [2, 13, 30, 15]. Закрытая репозиция является условием достижения «биологичной» фиксации без обнажения зоны перелома [14, 18, 21, 27]. Для этих целей временно используют наружные фиксаторы, применяют дистракторы или ручную тракцию, а также непосредственно пластину. Как только достигнуто устранение ротации, восстановление длины и оси кости, можно манипулировать малыми фрагментами чрескожно или оставить их in situ. Однако при суставных переломах следует прежде всего выполнить анатомическую репозицию и стабильную фиксацию с использованием межфрагментарной компрессии и уже затем производить «перемыкающую» фиксацию многофрагментарного метафизарного перелома. Разработанное в последнее время поколение внутренних фиксаторов полностью соответствует философии «биологичного» остеосинтеза [26].
Система имплантатов с угловой стабильностью LCP
Разработка системы пластин с угловой стабильностью была начата Wagner и Frigg [34], которые руководствовались желанием скомбинировать в одном имплантате две техники остеосинтеза пластинами, учитывая исключительную эффективность их одновременного применения при определенных типах переломов, например при околосуставных или сегментарных.
Основной отличительной особенностью пластины LCP является так называемое комбинированное отверстие: одна часть его аналогична отверстию динамической компрессирующей пластины, а другая часть представляет собой коническое резьбовое отверстие (рис. 2).
Рис. 2. Комбинированное отверстие — основная особенность пластины LCP. Гладкая часть отверстия предназначена для введения стандартных винтов, резьбовая часть — для введения блокирующихся винтов.
Через часть отверстия для динамической компрессии могут быть введены любые стандартные винты с той же возможностью их инклинации, что и в динамической компрессирующей пластине с ограниченным контактом LC-DCP (рис. 3).
Рис. 3. Благодаря наличию комбинированного отверстия можно использовать как все виды стандартных винтов, так и винты с резьбой.
Поперечное сечение пластины внутри комбинированного отверстия наименьшее в той его части, которая предназначена для динамической компрессии, — таким образом, пропорции 3,5 мм и 4,5 мм АО пластин и их механические характеристики сохраняются, несмотря на добавление резьбовой части отверстия [8].
Имеются два вида блокирующихся винтов: самонарезающие (кодируются зеленым цветом), требующие предварительного рассверливания кости, и одновременно самосверлящие и самонарезающие (кодируются синим цветом). Оба типа винтов снабжены двойной конической резьбой на головках для блокирования в отверстиях пластин. Самонарезающие винты предпочтительнее использовать в тех случаях, когда длина винта имеет критическое значение, например в метафизарной области или при бикортикальной фиксации. Самосверлящие блокирующиеся винты следует применять только при монокортикальной фиксации для предотвращения повреждения мягких тканей на противоположном кортикальном слое (когда это возможно). Направление комбинированных отверстий пластины (ориентация резьбовой части) асимметрично относительно центра пластины. Это необходимо учитывать при введении стягивающих винтов через отверстия пластины.
Хотя контакт пластины с периостальным слоем является точечным, для сохранения щели между костью и пластиной можно временно ввести в отверстия пластины «держатели пространства» с резьбой.
При разработке пластин LCP одним из условий было соответствие новых имплантатов хорошо известным формам и пропорциям АО пластин, поэтому система LCP охватывает все типы пластин 3,5 мм и 4,5/5,0 мм, а также реконструктивных и треть-трубчатых пластин.
Для определенных анатомических областей были разработаны пластины особой формы — например, предварительно смоделированная пластина 3,5 мм для проксимального отдела плеча (LPHP) и пластина PHILOS, обеспечивающие дивергенцию и конвергенцию метафизарных винтов для увеличения устойчивости к вырывающим нагрузкам. Недавно появились пластины 2,4 мм для дистального отдела лучевой кости и пластины для фиксации переломов пилона большеберцовой кости. К наиболее актуальным разработкам относятся имплантаты для фиксации околосуставных переломов совершенно особой формы (метафизарные пластины): на одной стороне пластина имеет более плоский профиль, что соответствует анатомии метафизарной области и позволяет вводить винты 3,5 мм вместо винтов 4,5/5,0 мм, которые используются для остеосинтеза в диафизарной области.
Для фиксации фрагментов при клиновидных плюс-остеотомиях в проксимальной части большеберцовой кости имеются пластины Tomofix®, которые можно фиксировать на медиальной поверхности проксимального отдела кости, не раздражая медиальную коллатеральную связку блокирующимися винтами.
Для фиксации стандартных винтов в пластине LCP могут быть использованы хорошо знакомые хирургам инструменты для систем имплантатов 3,5 мм и 4,5/5,0 мм, однако требуются новый универсальный направитель сверла в виде втулки, новые сверла и отвертки с ограничением скручивающего усилия.
Остеосинтез пластинами с угловой стабильностью LCP наиболее показан при внутри- и околосуставных переломах, особенно в условиях остеопороза, импрессии костной ткани и наличия костных осколков, когда требуется сохранить их в правильном положении после репозиции. Пластины эффективны при остеосинтезе диафизарных переломов у пожилых больных с выраженным остеопорозом.
Особенности хирургической техники
- Поскольку механические характеристики пластины LCP не изменились по сравнению с DCP, для изгибания пластин вполне достаточно стандартных инструментов. Однако для предотвращения деформации резьбовой части комбинированного отверстия рекомендуется вводить два резьбовых «держателя пространства» в отверстия, расположенные непосредственно рядом с местом изгибания пластины. При диафизарных переломах порозной кости может оказаться полезным моделирование прямых пластин последовательно на нескольких уровнях с созданием «волнообразной кривизны». Введенные блокирующиеся винты имеют разную инклинацию и фиксируются в кости с определенным интервалом, что обеспечивает более высокую устойчивость к вырывающим нагрузкам (рис. 4).
Рис. 4. Прямые LCP пластины можно изгибать последовательно на нескольких сегментах для создания волнообразной поверхности, что обеспечивает различную инклинацию винтов и большую устойчивость к вырывающим нагрузкам.
- Чрескожное введение пластины упрощается при использовании одной резьбовой втулки, соединенной с пластиной, которая служит рукояткой для введения пластины под мягкие ткани и обеспечивает легкое манипулирование имплантатом во всех направлениях (рис. 5).
Рис. 5. При чрескожном остеосинтезе (МIРРО) регулируемая втулка сверла LCP может служить в качестве рукоятки для введения и установки пластины.
- Как только имплантат установлен in situ, выполняется предварительная фиксация двумя спицами Киршнера, которые вводят через направители сверла, что помогает проверить репозицию и расположение имплантата по отношению к кости под контролем ЭОП. Как вариант, один конец пластины можно зафиксировать сверлом через направитель сверла.
- Для фиксации заранее анатомически смоделированных пластин, например пластин для проксимальной части плеча LPHP, очень рекомендуется использовать регулируемый блок направителя после того, как пластина расположена in situ (рис. 6). В противном случае ввинчивание резьбовых направителей сверла в отверстия пластины может существенно усложниться из-за различающихся предварительно заданных углов введения винтов.
Рис. 6. В метафизарной части заранее анатомически смоделированных пластин (в данном случае — LPHP) с различной инклинацией винтов рекомендуется использовать направляющий блок для правильного расположения резьбовых направителей сверла.
- При использовании винтов с резьбой на головке основное значение имеет их оптимальное расположение в отверстии пластины и применение специальной отвертки для предотвращения осевого скручивания во избежание повреждения блокируемых поверхностей и гексагонального (шестигранного) шлица на головке винта.
- В случае использования блокирующихся винтов хирург не должен полагаться на свои ощущения при затягивании винтов. Необходим рентгеноскопический контроль за правильным расположением пластины на поверхности кости, чтобы исключить введение винтов мимо кости (рис. 7).
Рис. 7. Точное расположение пластины является обязательным для предотвращения некорректного введения винтов (стрелка), поскольку при затягивании винтов всегда сложно определить необходимые для этого усилия.
- Иногда при блокируемой фиксации полезно подтянуть сегмент кости к пластине. Это можно сделать с помощью втулки-держателя для винтов, соединенной с отверткой. Головка блокирующегося винта вывинчивается из отверстия пластины и удерживается втулкой-держателем. При повторном введении винта срабатывает механизм стягивания, вследствие чего фрагмент кости притягивается к пластине
Этот маневр следует использовать только при имплантации длинных пластин, в других случаях фиксатор будет подвергаться чрезмерным нагрузкам. Таким же образом можно сформировать щель между костью и пластиной, используя блокирующиеся винты. Головка винта частично вывинчивается из отверстия пластины, и аксиальная нагрузка, передаваемая от отвертки на винт, способствует отдалению фрагмента кости. После достижения репозиции винт блокируется в пластине.
- В качестве альтернативы смещенные фрагменты можно фиксировать к пластине стягивающим винтом, введенным через пластину. В конце остеосинтеза стягивающий винт можно заменить блокирующимся.
- Иногда желательна рефиксация оторванных су- хожилий/мышц, как, например, при переломах проксимального отдела плеча. В пластине для проксимального отдела плеча (LPHP) отверстия по краям имплантата служат для проведения серкляжа. С другими видами пластин можно использовать специальный держатель для серкляжа, который ввинчивается в резьбовую часть комбинированного отверстия.
- Для удаления винтов, застрявших в пластине из-за разрушения гексагонального шлица, разработаны специальные инструменты.
Клинические данные
Применение системы LCP начато нами в четвертом квартале 2000 г., а с 2001 г. данная система стала стандартом для остеосинтеза пластинами. Всего по декабрь 2002 г. имплантировано 310 пластин LCP 274 пациентам: 303 пластины (97,7%) — для стабилизации переломов и 7 (2,3%) — при корригирующих остеотомиях. Среди 274 больных было 168 (61,3%) женщин и 106 (38,7%) мужчин, средний возраст пациентов составлял 59,8 года (от 8 до 94 лет; стандартное отклонение 22,1 года). 24 (7,7%) из 310 имплантатов были удалены после консолидации костных фрагментов. Локализация переломов представлена в табл. 1.
Табл. 1. Локализация переломов (корригирующих остеотомий), фиксированных пластинами LСР
Локализация перелома | Число имплантированных пластин |
Ключица | 7 |
Плечевая кость: |
|
проксимальный отдел | 52 |
диафиз | 2 |
дистальный отдел | 19 |
Кости предплечья: |
|
проксимальный отдел | 11 |
диафиз | 15 |
дистальный отдел | 113 |
Бедренная кость: |
|
проксимальный отдел | 2 |
диафиз | 7 |
дистальный отдел | 3 |
Кости голени: |
|
проксимальный отдел | 25 |
диафиз | 20 |
дистальный отдел | 34 |
Всего | 310 |
Операции выполнялись 14 штатными хирургами и 2 резидентами под наблюдением консультанта. В 76,2% случаев пластины имплантировали после открытой репозиции отломков, в 23,8% — после закрытой репозиции. 73 (23,5%) пластины были имплантированы через минимально инвазивный доступ и 237 (76,5%) — из открытого доступа. Из 310 пластин 111 (35,8%) фиксировали исключительно блокирующимися винтами,194 (62,6%) — одновременно стандартными и блокирующимися и 5 (1,6%) — только стандартными.
В ходе оперативных вмешательств серьезных осложнений не наблюдалось. В послеоперационном периоде осложнения возникли у 14 из 267 пациентов с переломами — всего 15 (5,2%) осложнений, которые потребовали выполнения 22 повторных вмешательств (табл. 2).
Табл. 2. Послеоперационные осложнения при фиксации 285 переломов пластинами LСР
Осложнение | Количество осложнений | |
абс. | % | |
Расшатывание имплантата | 4 | 1,4 |
Глубокая раневая инфекция | 3 | 1,05 |
Остеомиелит | 2 | 0,7 |
Рефрактура | 2 | 0,7 |
Гематома | 2 | 0,7 |
Вторичное варусное смещение | 1 | 0,35 |
Проблемы при удалении имплантата | 1 | 0,35 |
Всего | 15 | 5,2 |
У 4 больных отмечено расшатывание имплантата, в том числе у одного — хронический остеомиелит. Из двух повторных переломов один произошел непосредственно в зоне бывшего перелома в результате травмы сросшейся кости через 1 год после операции, другой — проксимальнее зоны перелома из-за преждевременного удаления имплантата. Остеомиелит в одном из двух случаев развился после фиксации перелома дистального отдела плеча у MRSA-положительного пациента и привел к расшатыванию имплантата и неправильному сращению. Послеоперационные гематомы, потребовавшие эвакуации (2 случая), имели место у больных, которым проводилась антикоагуляционная терапия. У одного пациента, «не сотрудничавшего» с врачом, произошло варусное искривление более 10°, в связи с чем пришлось выполнить корригирующую остеотомию. Еще у одного больного возникла проблема при удалении имплантата (головка блокируемого винта застряла в пластине).
Заключение
Пластины с угловой стабильностью LCP особенно подходят для лечения переломов в эпифизарной и метафизарной области с коротким суставным фрагментом, переломов, требующих минимально инвазивного остеосинтеза пластинами, и переломов на фоне остеопороза. В последнем случае блокирующиеся винты обеспечивают высокую устойчивость к действию сгибающих и скручивающих сил, к вырывающим нагрузкам, а контролируемые усилия при затягивании винтов дополняют стабильность остеосинтеза.
Пластины LCP могут быть использованы со стандартными винтами для традиционного остеосинтеза с компрессией как при суставных, так и при простых диафизарных переломах, в случаях замедленного сращения/несращения и при клиновидных минус-остеотомиях (рис. 8). Однако в порозной кости рекомендуется непосредственно рядом с компрессирующим или стягивающим винтом вводить блокирующиеся винты для усиления стабильности конструкции.
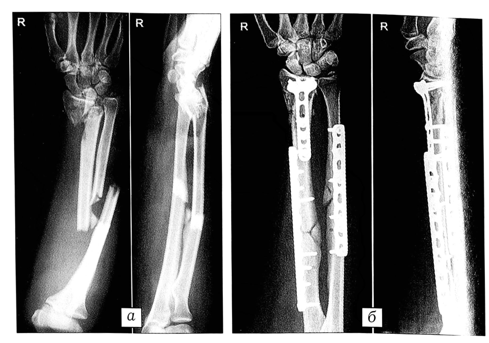
Рис. 8. Больной W. 22 лет. Политравма, полученная в результате ДТП. а — при поступлении: открытый перелом типа 22-В2 обеих костей правого предплечья и перелом типа 23-С2 дистального отдела правой лучевой кости; б — для фиксации диафизарных переломов лучевой и локтевой костей использованы 3,5 мм LCP пластины по традиционной технике компрессионного остеосинтеза, блокирующиеся винты были введены через пластины только для дополнительной фиксации. В дистальном отделе лучевой кости для «перемыкания» раздробленной метафизарной зоны использована только 3,5 мм LCP Т-образная пластина после анатомического восстановления суставных поверхностей.
Применение пластин с угловой стабильностью в качестве внутреннего фиксатора эффективно при многооскольчатых переломах в диафизарной и метафизарной областях (рис. 9). Более того, при переломах костей с наличием имплантата в интрамедуллярном канале («околопротезные» переломы, рефрактуры после интрамедуллярного остеосинтеза) фиксация монокортикальными винтами наиболее показана. Благодаря биомеханическим преимуществам системы LCP стабилизация посредством внутреннего фиксатора идеально подходит для минимально инвазивных вмешательств. Однако биомеханическое поведение конструкции в данном случае отличается от поведения традиционных пластин, и это обстоятельство следует учитывать при выполнении репозиции и фиксации [30].
Рис. 9. Больной X. 19 лет. Травма получена при занятиях верховой ездой. а — при поступлении: перелом типа 41-С2.2 проксимального отдела большеберцовой кости; б — после анатомического восстановления суставной поверхности с использованием стягивающих винтов 4,5/5,0 мм применена LCP Т-образная пластина для «перемыкания» зоны многооскольчатого перелома в метафизарной области с фиксацией только блокирующимися винтами; в — через 1 год после операции имплантат удален (боль отсутствует, обем движений в суставе полный).
Комбинация обоих методов может оказаться необходимой при «околопротезных» переломах с распространением зоны повреждения на диафиз. В таких случаях анатомическую репозицию и межфрагментарную компрессию можно обеспечить, используя традиционные винты до «перемыкания» диафиза с восстановленным суставным фрагментом [16]. При сегментарных переломах различного типа простой перелом может быть фиксирован с помощью традиционной техники, а зона многооскольчатого перелома — мостообразной пластиной.
Наш опыт позволяет заключить, что наиболее существенные преимущества пластин системы LCP состоят в угловой стабильности и блокировании винтов, и это особенно важно при порозной кости. Что касается ежедневной клинической практики, то хирургическая техника не претерпела больших изменений, так как система совместима с существующими инструментами и винтами. Благодаря использованию монокортикальных винтов и отсутствию необходимости выполнять точное моделирование пластины определенные этапы вмешательства опускаются.
Система LCP соединяет в себе преимущества различных разработок последних лет в области остеосинтеза пластинами [20, 26]. Эта система, позволяющая добавить к возможностям существующих конструкций пластин создание угловой стабильности, открывает перспективы разработки новых имплантатов благодаря своей многофункциональности [35].
作者简介
Th. Neubauer
Department of Traumatology, Wilhelmenspital Clinic
Email: info@eco-vector.com
奥地利, Vienna
M. Wagner
Department of Traumatology, Wilhelmenspital Clinic
Email: info@eco-vector.com
奥地利, Vienna
Ch. Hammerbauer
Department of Traumatology, Wilhelmenspital Clinic
编辑信件的主要联系方式.
Email: info@eco-vector.com
奥地利, Vienna
参考
- Babst R., Hehli М., Regazzoni Р. //Unfallchirurg. — 2001. — Bd 104. — S. 530-535.
- Baumgaertel F., Gotzen L. //Ibid. — 1994. — Bd 97. — S. 78-84.
- Baumgaertel F., Buhl M., Rahn B.A. //Injury. — 1998. — Vol. 29, Suppl. 3. — P. 3-6.
- Brunner C.F., Weber B.G. Special techniques in osteosynthesis. — Berlin—Heidelberg; New York,1981.
- Danis R. Theorie et practique de l’osteosynthese. — Paris,1949.
- Farouk О., Krettek C., Miclau T. et al. //Arch. Orthop. Traum. Surg. — 1998. — Vol. 117. — P. 438-441.
- Frigg R., Appenzeller A., Chistensen R. et al. //Injury. — 2001. — Vol. 32, Suppl. 3. — P. 24-31.
- Frigg R. //Ibid. — 2001. — Vol. 32, Suppl. 2. — P. 63-66.
- Gaultier E., Ganz R. //Zbl. Chir. — 1994. — Bd 119. — S. 564—572.
- Haas N., Hauke Ch., Schutz M. et al. //Injury. — 2001. — Vol. 32, Suppl. 2. — P. 51-62.
- Heitemeyer U., Hierholzer G., Terhorst J. //Unfallchirurg.— 1986. — Bd 89. — S. 533-539.
- Heitemeyer U., Claes L., Hierholzer G. //Ibid. — 1990. — Bd 93. — S. 49-55.
- Helfet D.L., Shonnard P.Y., Levine D., Borrelli J. //Injury. — 1997. — Vol. 28, Suppl. 1. — P. 42-47.
- Johnson E.E. //Clin. Orthop. — 1988. — N 231. — P. 154-162.
- Kinast C., Bolnhofer B.R., Mast J.W., Ganz R. //Ibid. — 1989. — N 238. — P. 122-130.
- Krettek C., Gerich T., Miclau Th. //Injury. — 2001. — Vol. 32, Suppl. 1. — P. 4- 13.
- Marti A., Frankhauser C., Frenk A. et al. //J. Orthop. Trauma. — 2001. — Vol. 15. — P. 482-487.
- Mast J., Jakob R., Ganz R. Planing and reduction technique in fracture surgey. — Berlin—Heidelberg; New York,1989.
- Mc Ferran M.A., Smith S.W., Boulas H.J., Schwartz H. //J. Orthop. Trauma. — 1992. — Vol. 6. — P. 195-200.
- Miclau Th., Martin R.E. //Injury. — 1997. — Vol. 28, Suppl. 1. — P. 3-6.
- Ostrum R.F., Geel C. //J. Orthop. Trauma. — 1995. — Vol. 9. — P. 278-284.
- Perren S.M., Cordey J., Rahn B.A. et al. //Clin. Orthop. - 1988. — N 232. — P. 139-151.
- Perren S.M., Klaue K, Pohler O. et al. //Arch. Orthop. Traum. Surg. — 1990. — Vol. 109. — P. 304-310.
- Perren S.M. //Injury. — 1995. — Vol. 26, Suppl. 1. — P. 1-10.
- Perren S.M. //Ibid. — 2001. — Vol. 32, Suppl. 2. — P. 1-10.
- Perren S.M. //J. Bone Jt Surg. — 2002. — Vol. 84B. — P. 1093-1110.
- Russell G.V., Smith D.G. //J. Trauma. — 1999. — Vol. 47. — P. 799-801.
- Schenk R., Willenegger H. //Experientia. — 1963. — Vol. 19. — P. 593-595.
- Schutz M., Muller M., Krettek C. et al. //Injury. — 2001. — Vol. 32, Suppl. 3. — P. 48-54.
- Sturmer K.M. //Unfallchirurg. — 1996. — Bd 99. — S. 816-829.
- Tepic S., Reminger A., Morikawa K. et al. //J. Orthop. Trauma. — 1997. — Vol. 11. — P. 14-23.
- Tscherne H., Trentz O. //Unfallheilkunde. — 1977. — Bd 80. — S. 221-230.
- Wagner M., Frigg R. //OP-J. — 2000. — Vol. 16. — P. 238-243.
- Wagner M. (edit.). Locking Compression Plate, AO Teaching Series, interactive CD-ROM. — 2002, AO International.
- Wagner M. //Injury. — 2003 (accepted).
- Young M.J., Barrack R.L. //Orthop. Rev. — 1994. — Vol. 23. — P. 149-154.
补充文件











