Restoration of the integrity of the proximal femur in osteolysis of the neck with separation of the head from the femur and dislocation of the trochanteric region
- Authors: Belokrylov N.M.1,2
-
Affiliations:
- Perm State Medical Academy
- Medical unit No. 9 named after M.A. Tverye
- Issue: Vol 10, No 4 (2003)
- Pages: 38-40
- Section: Original study articles
- Submitted: 20.10.2020
- Published: 15.12.2003
- URL: https://journals.eco-vector.com/0869-8678/article/view/48153
- DOI: https://doi.org/10.17816/vto200310438-40
- ID: 48153
Cite item
Full Text
Abstract
New surgical reconstructive method of proximal femur in separation of head resulted in neck osteolysis and dislocation of trochanteric region was described. In significant femur dislocation first stage is its descending with external fixation device. Then open reconstruction is performed and unloading is continued using the same device. In 4 children that method was used successfully.
Keywords
Full Text
Мы наблюдали редкие варианты патологии тазобедренного сустава с разобщением головки бедра с материнской костью вследствие остеолиза шейки, обусловленного перенесенным деструктивным процессом. Эти варианты не укладываются в известные нам классификации: едва ли можно считать псевдоартрозом шейки бедра ее полный остеолиз, при котором головка остается в вертлужной впадине, а вертельная область бедра значительно смещается. Известно, что ревитализация разобщенной с бедренной костью головки у взрослых невозможна. Такая же точка зрения, впрочем, вполне анатомически обоснованная, существует и в отношении подобной патологии у детей. Эпиметафизарные деформации с деструкцией шейки бедренной кости чаще развиваются после перенесенного остеомиелита внутри- и околосуставной локализации, сопутствующего дистрофического процесса. Грубые смещения и разобщение головки с бедренной костью возможны также при ложном суставе шейки бедра, юношеском эпифизеолизе головки.
Восстановление опороспособности в таких случаях достигается с большим трудом, при этом использовать разобщенную с материнской костью головку бедра практически не удается. Обычно при оперативном вмешательстве головку бедра удаляют и создают дополнительный упор на уровне вертлужной впадины или в близлежащей зоне либо выполняют артродез тазобедренного сустава [1]. Но это скорее паллиативные методики. Они существенно изменяют биомеханику на уровне тазобедренного сустава, артикуляция последнего полностью нарушается. Одним из вариантов хирургического лечения в подобной ситуации является раннее эндопротезирование [2]. Однако применение его при последствиях остеомиелита ограничено, этот способ лечения навсегда привязывает больного к имплантату с перспективой неоднократного ревизионного эндопротезирования, возникают трудности дальнейшего уравнивания длины конечностей, существует угроза получить неопорное нестабильное бедро при вынужденном удалении эндопротеза и т.д.
Другое хирургическое решение проблемы — выполнение межвертельной остеотомии бедра и подведение его дистального фрагмента под головку, которую сохраняют на месте ее анатомического расположения [3]. Но при полном остеолизе шейки бедра с диастазом более 1 см, при значительном разобщении головки с бедром эта методика неэффективна — ревитализации головки, восстановления ее костной структуры не происходит. Кроме того, репозиция головки при ее развернутом положении в вертлужной впадине затруднена и точность подведения дистального фрагмента под головку сомнительна.
Таким образом, наиболее актуальной и трудной остается задача утилизовать даже частично сохранившуюся головку бедренной кости для воссоздания опороспособного тазобедренного сустава. Описания способов восстановления разобщенной с бедром головки при остеолизе шейки мы в научной медицинской и патентной литературе не обнаружили.
Нами разработан способ реконструкции разобщенной и отделившейся от вертельной области головки при остеолизе шейки бедренной кости (приоритетная справка № 2001130366 от 9.11.01), при применении которого у 4 больных детского возраста отмечено восстановление целости проксимального отдела бедра. Способ позволяет восстановить жизнеспособность и функцию головки даже в случаях ее полного разобщения с ложем при грубой дислокации бедра. При этом воссоздается целость проксимального отдела бедренной кости, сохраняются анатомически правильные взаимоотношения в тазобедренном суставе, восстанавливается опороспособность нижней конечности в условиях правильной артикуляции, достигается стабильность тазобедренного сустава с функционально выгодной амплитудой движений в нем во всех плоскостях.
Способ реализуется следующим образом. Выполняют наружный или передненаружный доступ. При доступе к отломкам выкраивают два трансплантата на мышечной ножке. Верхний трансплантат состоит из передней части большого вертела и мышечной ножки из переднего отдела средней ягодичной мышцы, нижний — из костной части или надкостницы вертельной области и мышечной ножки, представленной в основном латеральной порцией четырехглавой мышцы бедра. Резецируют межотломковую фиброзную или фиброзно-хрящевую ткань до обнажения костных поверхностей медиальной части вертела и торцовой латеральной части основания головки бедра. Условно основание головки соответствует первой плоскости остеотомии и костного контакта с вертелом бедра. Трансплантаты перемещают медиально, при этом их основание располагают кпереди, костную часть трансплантатов размещают между вертелом и головкой бедра, а надкостница на ножке перекрывает место контакта сочленяющихся костных поверхностей. Фиксируют отломки компрессирующими шурупами и спицами или другим способом. Выполняют вторую остеотомию нижнего сектора головки в виде краевой резекции или по типу отщепа. С ориентацией на нижнюю поверхность остеотомированной таким образом головки производят косую удлиненную межвертельную остеотомию бедра, мобилизованный при этом дистальный фрагмент смещают медиально, верхним обнаженным костным опилом медиального шипа подводят к костной части нижнего сектора головки на уровне второй остеотомии, перекрывая таким образом место контакта головки и большого вертела. В достигнутом положении фрагменты фиксируют металлоконструкцией, например пластиной типа Блаунта, либо другим способом. Если нижний костно- или надкостнично-мышечный трансплантат не был фиксирован на предыдущем этапе, его подводят к месту контакта большого вертела и торцовой части головки и фиксируют. Рану зашивают. В случаях, когда дислокация головки и бедра была значительной, в послеоперационном периоде осуществляют разгрузку бедра в аппарате наружной фиксации или скелетным вытяжением, чтобы продолжить декомпрессию головки до реализации репаративных процессов.
Приведем клинический пример.
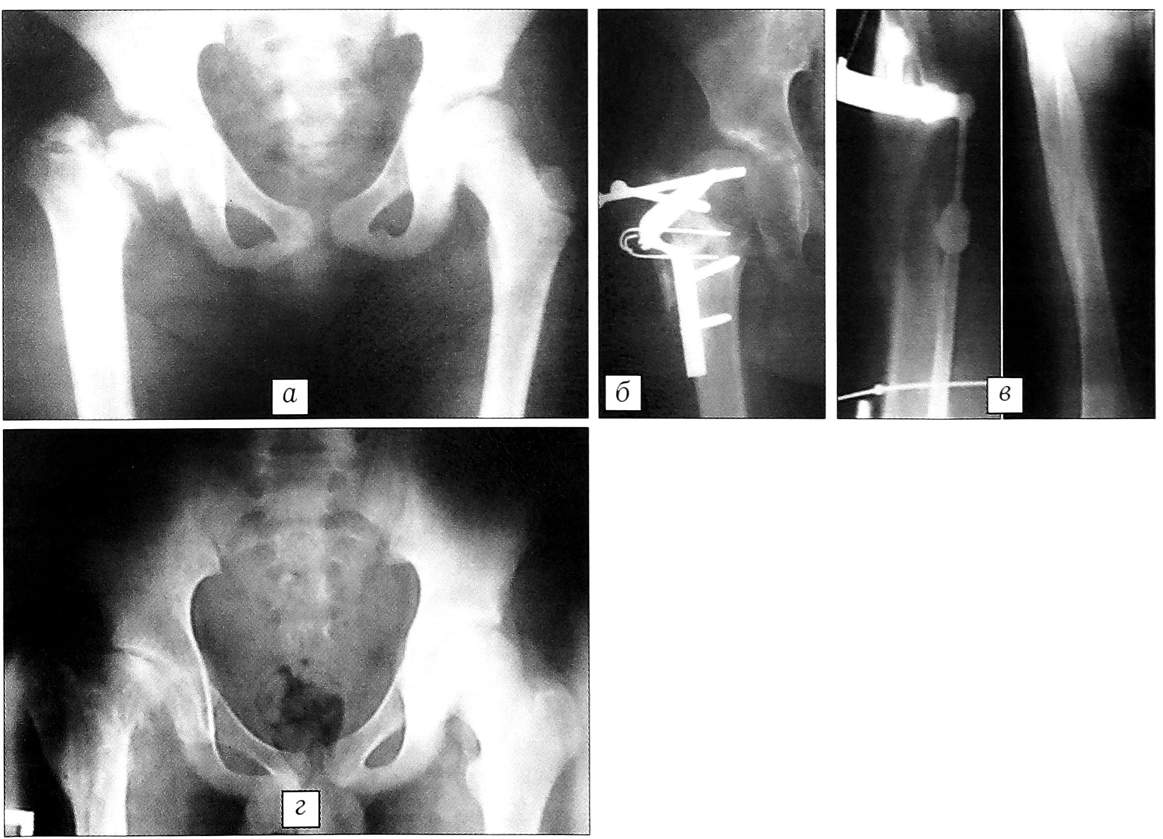
Больной П.,10 лет, диагноз: последствия гематогенного остеомиелита проксимального отдела правого бедра, остеолиз шейки с отделением головки от бедренной кости, варусная эпифизодиафизарная деформация правого бедра. Между головкой бедренной кости и вертельной частью прослеживается костный дефект размером около 2 см, шейка бедра отсутствует вследствие остеолиза (рис. 1, а). В верхней трети бедра имеются множественные рубцы, последние свищи закрылись около 6 лет назад. Хромота, положительный симптом Тренделенбурга, большой вертел правого бедра выстоит, выраженные нарушения функции ходьбы и опоры.
Оперирован 8.10.99. Фигурным доступом обнажен проксимальный отдела правого бедра. Выкроены два костных трансплантата: из большого вертела на проксимальной ножке из передней порции средней ягодичной мышцы и из метафиза бедра на дистальной ножке из латеральной порции четырехглавой мышцы. Иссечена межотломковая фиброзно-хрящевая ткань до обнажения костной медиальной поверхности большого вертела и торцовой части головки бедра. В образовавшийся дефект внедрены костно-мышечные трансплантаты, которые фиксированы двумя компрессирующими шурупами, двумя спицами и дополнительно швами за надкостницу. Резецирован по типу отщепа нижний полюс головки бедра, выполнена косая межвертельная остеотомия (снаружи—снизу кверху проксимально) с ориентацией на нижнюю часть головки, куда подведен и фиксирован дистальный фрагмент бедра с перекрытием зоны контакта большого вертела и головки (рис. 1, б).
Наступила консолидация головки бедра. Через 2 года после операции в связи с укорочением произведено удлинение этого же бедра на 8 см (рис. 1, в).
Больной осмотрен через 3 года после реконструкции проксимального отдела бедра. Ходит с полной нагрузкой на оперированную конечность. Отведение правого бедра до 50°, наружная ротация 30°, внутренняя — 20°. Симптом Тренделенбурга отрицательный. Болей нет. Длина конечностей одинакова. Коленный сустав полностью разработан. На рентгенограмме: структура головки бедра восстановлена, полное костное сращение, хорошая центрация головки в вертлужной впадине (рис. 1, г).
Рис. 1. Рентгенограммы больного П. 10 лет. а — исход хронического рецидивирующего остеомиелита: полный остеолиз шейки и частично головки бедра, головка лежит отдельно от смещенной кверху вертельной области; б — после реконструктивной операции по предложенному способу. Фиксация головки бедра и костно-мышечных трансплантатов винтами, спицами, пластиной типа Блаунта; в — в процессе и после удлинения бедра; г — через 3 года после реконструктивной операции: консолидация и восстановление структуры головки бедра, хорошая центрация в вертлужной впадине.
Более сложной оказывается ситуация, когда происходит значительное смещение бедра кверху относительно оставшейся во впадине головки. Фактически возникает высокий деструктивный вывих бедра с опорой большого вертела в крыло подвздошной кости. В этом случае предложенный способ также может быть эффективен.
Больной И.,15 лет, поступил в отделение детской ортопедии и травматологии с диагнозом: последствия хронического остеомиелита, деструкция и остеолиз шейки правой бедренной кости с отделением головки, дислокацией и вследствие этого укорочением бедра на 7 см. При осмотре отмечается резкое снижение опороспособности конечности, бедро неопорно. Движения в суставе болезненны, отведение бедра резко ограничено, ротация отсутствует. Выступает вертельная область бедра. Видны множественные грубые рубцы на месте ранее функционировавших свищей по наружной поверхности верхней трети правого бедра и в вертельной зоне. На рентгенограмме: головка с дистрофическими изменениями, находится в вертлужной впадине, развернута, лежит отдельно от бедренной кости, которая смещена кверху, шейка бедра отсутствует полностью. Расстояние от места предполагаемой проекции головки на вертельную область бедра до усеченной торцовой части головки достигает 7 см. Величина диастаза при различных укладках варьирует, однако даже в положении максимального приведения пораженной конечности минимальный диастаз между бедром и головкой превышает 2,5 см по кратчайшему расстоянию (рис. 2, а).
С учетом этих обстоятельств оперативное вмешательство проведено в два этапа. 17.08.00 наложен аппарат Илизарова с базой на подвздошной кости и в нижней трети бедра. Начаты дистракция и дозированное низведение бедра (рис. 2, б). 10.10.00 без снятия аппарата выполнен второй этап операции (рис. 2, в). Наружным доступом из межотломкового пространства удалена фиброзная ткань. Отмечен выраженный остеопороз большого вертела и головки бедренной кости. Головка развернута во впадине, репонирована до костного торцового контакта с медиальной частью вертела. К месту контакта подведен костный трансплантат из апофиза большого вертела на мышечной ножке, подготовлен трансплантат из надкостницы на дистальной мышечной ножке. Произведен остеосинтез головки компрессирующим винтом и спицами вместе с трансплантатом. Частично резецирован нижний сегмент головки. Выполнена удлиненная косая межвертельная остеотомия бедра, медиальный костный шип подведен и внедрен под нижний сегмент головки. При этом место костного контакта с торцовой частью головки снизу оказалось перекрыто остеотомированной частью дистального фрагмента бедра, который в данной ситуации предположительно должен был играть роль дополнительного кровоснабжаемого костного мостика. Фрагменты фиксированы пластиной типа Блаунта, трансплантат на нижней мышечной ножке подведен к месту костного контакта. Рана зашита наглухо, введен трубчатый дренаж для вакуум-аспирации. Аппарат Илизарова не демонтировали с целью разгрузки и декомпрессии на уровне головки бедра в ближайшем послеоперационном периоде.
Через 1 год после операции пластина была удалена (рис. 2, г). Через 2 года на рентгенограмме: костная структура головки восстановлена, форма головки сферическая, определяется полное костное сращение ее с бедром. Имеется деформация вертлужной впадины, латерализация головки (рис. 2, д). Больной результатом лечения доволен, от коррекции тазового компонента отказался. Отведение бедра 70°, наружная и внутренняя ротация соответственно 15 и 10°. Ходит с полной опорой на оперированную ногу, продолжает реабилитацию.
Рис. 2. Рентгенограммы больного И. 15 лет. а — исход хронического рецидивирующего остеомиелита: шейка бедра полностью отсутствует, головка с нарушенной структурой и формой лежит отдельно в вертлужной впадине, бедро дислоцировано кверху; б — на первом этапе лечения: низведение бедра в аппарате Илизарова; в — после выполнения второго этапа реконструктивной операции; г — через 1 год после оперативного лечения: консолидация головки, восстановление целости проксимального отдела бедра; д — через 2 года после оперативного лечения: полное сращение головки с бедром, восстановление костной структуры.
Всего по предложенному методу выполнено 4 операции. Во всех случаях при полном разобщении головки с материнской частью бедра вследствие лизиса шейки достигнуто костное сращение, восстановлена костная структура головки и опороспособность конечности.
Наш небольшой пока клинический опыт свидетельствует об эффективности предложенного метода. Он позволяет получить сращение даже в случаях значительной дислокации костных фрагментов — при условии предварительного низведения бедра и приближения его к отделившейся головке. При применении этого метода не возникает грубых нарушений биомеханики тазобедренного сустава, в процессе репарации устраняются дистрофические изменения в головке бедра, достигается восстановление жизнеспособности головки и, следовательно, самого тазобедренного сустава. Метод применим при полном разобщении головки бедра с материнской костью, при полностью лизированной шейке.
About the authors
N. M. Belokrylov
Perm State Medical Academy; Medical unit No. 9 named after M.A. Tverye
Author for correspondence.
Email: info@eco-vector.com
Russian Federation, Perm; Perm
References
- Мовшович И.А. Оперативная ортопедия. — 1983. — С. 194-202.
- Хрыпов С.В., Краснов А.И., Артемьев Э.В. //Актуальные вопросы детской травматологии и ортопедии: Материалы науч.-практ. конф. детских ортопедов- травматологов России. — Старая Русса; СПб. —2000. — С. 188-189.
- Шевцов В.И., Макушин В.Д., Куфтырев Л.М. Дефекты костей нижней конечности. — Курган,1996. — С. 105-108.
Supplementary files




