Tendon-muscle plastic surgery in the treatment of contractures of the shoulder joint in children with natal and postnatal injuries of the brachial plexus
- Authors: Merkulov V.Y.1, Yeltsin A.G.1
-
Affiliations:
- Central Research Institute of Traumatology and Orthopedics. N.N. Priorova
- Issue: Vol 10, No 4 (2003)
- Pages: 44-47
- Section: Original study articles
- Submitted: 20.10.2020
- Published: 15.12.2003
- URL: https://journals.eco-vector.com/0869-8678/article/view/48159
- DOI: https://doi.org/10.17816/vto200310444-47
- ID: 48159
Cite item
Full Text
Abstract
During the period 1980 through 2003,55 patients aged 3—17 years, with adductive internal rotation shoulder contractures resulted from natal and neonatal brachiplex injury were operated on. Sixty six surgical procedures including Chizhik-Poleiko, Episcopo, Meyer operations, derotation humerus osteotomy, shoulder lavsanodesis were performed. Good results were achieved in 39 patients (70.9%), satisfactory results — in 15patients (27.3%o) and unsatisfactory result — in 1 patient (1.8%). It is shown that the most effective procedures are various types of tendon- muscular plasty directed to the restoration of shoulder function. The best results have been achieved in children under 10 years. Indications and contraindications to derotation humerus osteotomy are detected.
Keywords
Full Text
Вопросам диагностики и лечения натальных и постнатальных повреждений плечевого сплетения посвящены работы многих отечественных и зарубежных специалистов. Однако, несмотря на знание причин, приводящих к травме плечевого сплетения, на повышение уровня квалифицированной медицинской помощи роженицам и новорожденным, частота натальных повреждений не уменьшается, составляя в настоящее время от 0,05 до 0,38% от общего числа новорожденных [1, 2, 5, 6]. В связи с ростом детского травматизма, особенно дорожно-транспортного, для которого характерны тяжелые сочетанные травмы [3], растет и число постнатальных повреждений плечевого сплетения. Патогенез и механогенез формирующихся при этих травмах нейрогенных деформаций, а также клиническая картина данных повреждений в резидуальном периоде аналогичны таковым при натальных повреждениях.
Своевременное и адекватное консервативное лечение больных с повреждениями плечевого сплетения в остром периоде приводит к значительному клиническому улучшению, к регрессу паралича, а порой и к выздоровлению. Однако у 27,5% больных формируются посттравматические нейрогенные деформации различной степени тяжести, в большинстве случаев требующие оперативного вмешательства [1, 2, 6].
Клиническая картина при рассматриваемых нейрогенных деформациях отличается разнообразием изменений во всех структурах денервированного сегмента конечности. При верхнем, тотальном и, в меньшей степени, при смешанном типе повреждений плечевого сплетения одним из основных симптомов является приводящая внутреннеротационная контрактура плечевого сустава, которая влечет за собой резкое ограничение функции верхней конечности, нарушение ее развития, затрудняет самообслуживание, отрицательно влияет на социальную реабилитацию больного, выбор профессии, нередко служит причиной инвалидности с детства.
Материал и методы
В отделении детской травматологии ЦИТО за период с 1980 по 2003 г. оперировано 55 больных (27 мальчиков и 28 девочек) с последствиями натальных и постнатальных повреждений плечевого сплетения, у которых одним из ведущих симптомов являлась приводящая внутреннеротационная контрактура плечевого сустава. В возрасте до 5 лет было 5 (9,1%) больных, от 5 до 10 лет — 26 (47,3%), от 10 до 17 лет — 24 (43,6%). Последствия верхнего типа повреждения плечевого сплетения имели место у 27 (49,1%) детей, тотального повреждения — у 7 (12,7%), повреждения смешанного типа — у 21 (38,2%) пациента. У 25 (45,5%) детей наблюдалось левостороннее, у 30 (54,5%) — правостороннее повреждение.
У всех пациентов отмечено той или иной степени нарушение функции дельтовидной, надостной, подостной и малой круглой мышц при сохранении функции подлопаточной мышцы, широчайшей мышцы спины, большой круглой и большой грудной мышц. Вследствие нарушения динамического баланса наружных и внутренних ротаторов плеча и мышц, осуществляющих его отведение, у всех больных в резидуальном периоде, несмотря на проводимое консервативное лечение, сформировалась приводящая внутреннеротационная контрактура плечевого сустава.
С целью увеличения объема движений в плечевом суставе, устранения внутреннеротационной контрактуры и улучшения самообслуживания больные были подвергнуты оперативному лечению. В общей сложности 55 больным выполнено 66 различных оперативных вмешательств.
Важное место в системе комплексного лечения занимала предоперационная подготовка, задачами которой были повышение функциональных возможностей и силы мышц пострадавшей конечности в целом, избирательное укрепление мышц, подлежавших пересадке, и увеличение объема движений в плечевом суставе.
Показания к тому или иному способу оперативного лечения определялись индивидуально с учетом типа перенесенного повреждения плечевого сплетения и тяжести нейрогенной деформации. Сроки выполнения оперативных вмешательств зависели от времени обращения к ортопеду-травматологу и поступления больного в специализированное отделение.
По степени нестабильности плечевого сустава согласно классификации О.В. Дольницкого [1] больные распределялись следующим образом: нестабильность I степени (отведение плеча до 40-60°, выраженное ограничение его наружной ротации) — 28 больных; нестабильность II степени (отведение плеча до 30-50°, отсутствие активной наружной ротации, рентгенологически — подвывих плеча) — 16 больных, нестабильность III степени (полное нарушение функции плечевого сустава) — 11 пациентов.
При удовлетворительном отведении плеча (I- II степень нестабильности плечевого сустава) 19 пациентам была выполнена операция Чижик- Полейко [6], которая заключается в пересадке большой грудной мышцы на переднюю порцию дельтовидной мышцы, рассечении сухожилия подлопаточной мышцы и удлинении сухожилий широчайшей мышцы спины и большой круглой мышцы (рис. 1).
Рис. 1. Схема операции Чижик-Полейко.
В 14 случаях произведена операция Эпископо в различных модификациях. Из них 9 больным с нестабильностью плечевого сустава I степени выполнена операция Эпископо в модификации, предложенной О.В. Дольницким [1]. Доступ осуществляли по дельтовидно-грудной борозде, выделяли и Z-образно рассекали сухожилие большой грудной мышцы. Затем выделяли сухожилия большой круглой и широчайшей мышц спины, отсекали их от плечевой кости, переводили на ее задненаружную поверхность и фиксировали трансоссально; сухожилие большой грудной мышцы сшивали с удлинением (рис. 2). В послеоперационном периоде в течение 5-12 дней проводили манжеточное вытяжение верхней конечности в положении отведения плеча до угла 90° и его наружной ротации до 70°. Затем накладывали гипсовую торакобрахиальную повязку в таком же положении конечности на 3 нед. У 5 больных со II степенью нестабильности плечевого сустава операция Эпископо была дополнена тенотомией подлопаточной мышцы и передней капсулотомией плечевого сустава.
Рис. 2. Схема операции Эпископо.
В 5 случаях в связи с резким ограничением отведения плеча при нестабильности плечевого сустава II степени была выполнена операция Майера в модификации А.К. Печенкина, которая заключается в пересадке трапециевидной мышцы на плечо с использованием лавсановой сетки [4].
У 22 пациентов в возрасте от 4 до 17 лет произведены остеотомия плечевой кости в нижней трети диафиза, деротация дистального фрагмента на 45-90° и фиксация металлической пластиной. В настоящее время мы отказались от этой операции у детей младшей и средней возрастных групп, так как она приводит к различного рода вторичным деформациям локтевого сустава и не устраняет причин контрактуры плечевого сустава.
У 6 пациентов с тотальным повреждением плечевого сплетения первым этапом, перед операцией невролиза плечевого сплетения, с целью профилактики подвывиха и вывиха плеча был выполнен лавсанодез плечевого сустава (рис. 3).
Рис. 3. Схема лавсанодеза плечевого сустава.
Результаты и обсуждение
Отдаленные результаты лечения проанализированы в сроки от 6 мес до 14 лет. Во всех 55 случаях проведено клиническое обследование пациентов, дополненное в 30 случаях электронейромиографическим, ультразвуковым и термографическим исследованиями, а также, при показаниях, контрольной рентгенографией.
Из 19 пациентов с нестабильностью плечевого сустава I—II степени, которым была выполнена операция Чижик-Полейко, у 12 отмечено значительное увеличение отведения плеча (до 80—150°) и менее существенное увеличение его активной наружной ротации (на 30-60° по сравнению с предоперационным периодом). У остальных 7 больных отведение плеча увеличилось до 60-110°, активная наружная ротация — на 10-40°. У 9 пациентов, также с нестабильностью плечевого сустава I-II степени, которым была произведена операция Эпископо в модификации О.В. Дольницкого, отведение плеча увеличилось до 90-160°, активная наружная ротация — на 30-90° (рис. 4). У 5 больных со II степенью нестабильности, у которых операция Эпископо была дополнена тенотомией подлопаточной мышцы и передней капсулотомией плечевого сустава, констатировано увеличение отведения плеча на 25-80° (с 10-30 до 60-110°) и активной наружной ротации на 10—70°.
Рис. 4. Больная Щ. 9 лет. Диагноз: последствия натального повреждения левого плечевого сплетения, приводящая внутреннеротационная контрактура левого плечевого сустава. а — состояние до оперативного лечения; б — после операции Эпископо.
После остеотомии плечевой кости в нижней трети диафиза, деротации ее дистального фрагмента на 45-90° и фиксации металлической пластиной у всех 22 больных в отдаленном периоде объем активных движений в плечевом суставе практически не изменился. Было лишь устранено внутреннеротационное положение дистального отдела плеча и предплечья, сама же приводящая внутреннеротационная контрактура плечевого сустава осталась без изменений. Нельзя отрицать значительного косметического эффекта данной операции. После нее парализованная верхняя конечность находится в среднем положении между внутренней и наружной ротацией, отсутствует так называемый симптом «горниста», расширяются возможности самообслуживания. Однако по существу деротационная остеотомия плечевой кости является паллиативной операцией, так как она не устраняет причин контрактуры плечевого сустава. Как показал анализ наших наблюдений, выполнение ее пациентам с незаконченным формированием и развитием локтевого сустава приводит к разного рода вторичным деформациям последнего: варусной деформации дистального метаэпифиза плечевой кости, подвывиху и вывиху костей предплечья.
При контрольном обследовании больных наряду с амплитудой движений в суставах оперированной конечности определяли силу ее мышц. Для оценки отдаленных результатов лечения использовали следующую рабочую классификацию: хороший результат — увеличение силы мышц оперированного сегмента конечности на 2 балла и более, увеличение объема активных движений в суставах конечности более чем на 40%; удовлетворительный результат — увеличение силы мышц менее чем на 2 балла, увеличение объема активных движений на 10-40%; неудовлетворительный результат — отсутствие изменений силы мышц или увеличение ее менее чем на 1 балл, увеличение объема движений менее чем на 10%. Хороший результат констатирован у 39 (70,9%) больных, удовлетворительный — у 15 (27,3%).
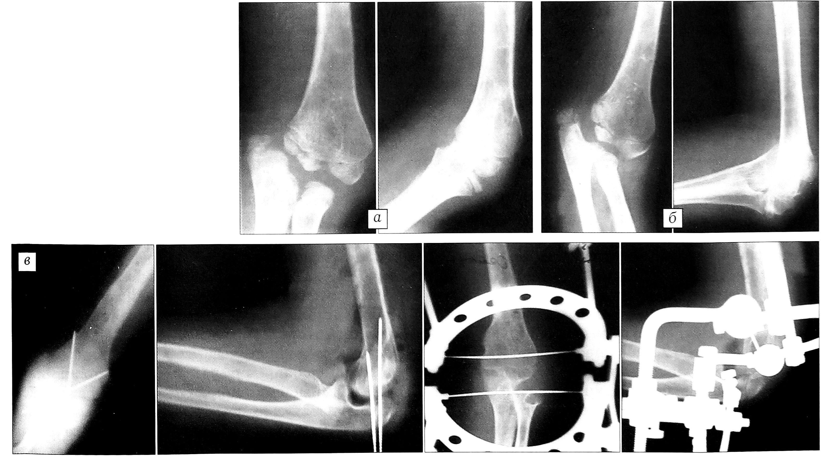
Неудовлетворительный результат отмечен нами в одном случае (1,8%). Больному О. с приводящей внутреннеротационной контрактурой плечевого сустава вследствие родового повреждения плечевого сплетения в возрасте 6 лет были выполнены деротационная остеотомия плечевой кости в нижней трети и остеосинтез металлической пластиной. Через 4 года после операции сформировалась варусная деформация локтевого сустава, наступил подвывих (рис. 5, а), а через 6 лет — медиальный вывих костей предплечья (рис. 5, б). Для коррекции данной деформации потребовалось этапное оперативное лечение — открытое устранение вывиха костей предплечья, моделирующая артропластика, разработка движений в аппарате Волкова—Оганесяна и длительное реабилитационное лечение (рис. 5, в).
Рис. 5. Больной О. Диагноз: последствия натального повреждения левого плечевого сплетения, приводящая внутреннеротационная контрактура левого плечевого сустава. а — рентгенограммы через 4 года, б — через 6 лет после деротационной остеотомии плечевой кости, выполненной в возрасте 6 лет: подвывих и вывих костей левого предплечья; в — на этапах оперативной коррекции в возрасте 12 лет.
Сравнительный анализ отдаленных результатов сухожильно-мышечной пластики у больных разных возрастных групп показал, что наилучший клинический эффект получен в группах детей, оперированных в возрасте до 5 лет и от 5 до 10 лет.
При сопоставлении данных электронейромиографического, рентгенологического, ультрасонографического и термографического исследований пораженной конечности выявлено значительное и достоверное улучшение электрофизиологических показателей, состояния кровообращения, и, в конечном счете, улучшение клинических показателей.
Выводы
- Различные виды сухожильно-мышечной пластики (операции Чижик-Полейко, Майера, Эпископо и их модификации), направленные на восстановление функции плечевого сустава, являются наиболее эффективными при лечении нейрогенных приводящих внутреннеротационных контрактур верхней конечности у детей с последствиями повреждения плечевого сплетения.
- Применение деротационной остеотомии плечевой кости в нижней трети у детей младшей и средней возрастных групп с приводящей внутреннеротационной контрактурой плечевого сустава нецелесообразно. Данная операция не устраняет причины контрактуры плечевого сустава, ведет к развитию вторичных деформаций локтевого сустава, осложняет выполнение очередных этапов оперативного лечения и дальнейшую реабилитацию больного. Применение этого метода показано у больных старше 15 лет.
About the authors
V. Y. Merkulov
Central Research Institute of Traumatology and Orthopedics. N.N. Priorova
Email: info@eco-vector.com
Russian Federation, Moscow
A. G. Yeltsin
Central Research Institute of Traumatology and Orthopedics. N.N. Priorova
Author for correspondence.
Email: info@eco-vector.com
Russian Federation, Moscow
References
- Дольницкий О.В. Лечение родового паралича верхней конечности. — Киев,1985.
- Комаревцев В.Д. Диагностика и лечение родового паралича верхней конечности у детей: Дис.... д-ра мед. наук. — Ярославль,2000.
- Малахов О.А., Андреева Т.М. //Материалы совещания главных детских ортопедов-травматологов России. — СПб,2002. — С. 3-4.
- Печенкин А.К. Оперативное лечение детей и подростков с параличом дельтовидной мышцы после перенесенного полиомиелита: Дис.... канд. мед. наук. — М.,1968.
- Фищенко В.А. Родовые повреждения плечевого сплетения и их последствия у детей и подростков: Дис.... д-ра мед. наук. — Киев,1993.
- Чижик-Полейко А.Н., Дедова В.Д. Родовые повреждения плечевого сплетения. — Воронеж,1984.
Supplementary files







