Supporting neoarthrosis as an alternative to re-endoprosthetics and arthrodesis in case of purulent processes in the hip joint area
- Authors: Malovichko V.V.1, Urazgildeev Z.I.1, Tsykunov M.B.1
-
Affiliations:
- Central Institute of Traumatology and Orthopedics. N.N. Priorova
- Issue: Vol 10, No 2 (2003)
- Pages: 48-55
- Section: Original study articles
- Submitted: 20.10.2020
- Published: 15.06.2003
- URL: https://journals.eco-vector.com/0869-8678/article/view/48171
- DOI: https://doi.org/10.17816/vto200310248-55
- ID: 48171
Cite item
Full Text
Abstract
The experience in treatment and rehabilitation of 100 patients with suppuration following total hip replacement and 60 patients with chronic osteomyelitis of proximal femur and acetabulum is presented. Patients’ age ranged from 10 to 84 years. Removal of unstable metallic constructions (implant or fixator) and radical resection fistulosequestrnecrectomia by Girdlestone were performed in all patients. In postoperative period the complex program for the elimination of purulent process and rehabilitation measures were carried out. That program foresaw active and expedient control for compensation of the affected joint function. In all patients purulent inflammatory process was eliminated, weight-bearing hip joint neoarthosis with satisfactory function was formed. According to authors’ opinion the formation of weight-bearing neoarthrosis is an adequate alternative to both revision joint replacement and arthrodesis in purulent process in proximal femur and acetabulum.
Full Text
Увеличение в последние десятилетия числа больных, перенесших эндопротезирование и реэндопротезирование тазобедренного сустава, а также реконструктивные операции на тазобедренном суставе при его открытых повреждениях (включая огнестрельные ранения), расширение показаний к хирургическому лечению, нарушения его технологии, не всегда адекватный выбор металлических конструкций и инструментария, недостаточная техническая подготовленность медицинского персонала и ряд других факторов привели к существенному росту числа гнойных осложнений, и в частности остеомиелита проксимального отдела бедра и вертлужной впадины. Не уменьшается и группа больных с гематогенным остеомиелитом костей, составляющих тазобедренный сустав. Остеомиелит данной локализации характеризуется тяжелым течением, требует длительного, сложного лечения, которое не всегда приводит к благоприятному исходу, особенно в функциональном отношении. Совершенствование существующих и разработка новых схем диагностики и лечения гнойных процессов в области тазобедренного сустава с учетом их этиологии, патогенеза, характера предшествовавшей травмы или оперативного вмешательства, направленных как на устранение очага нагноения, так и на компенсацию опорной и двигательной функции пораженной конечности, остается актуальной задачей травматологии и ортопедии.
Следует отметить, что более полувека специалисты в области реабилитации не обращались к этой проблеме. Те методики, которые применялись в период второй мировой войны, в связи со значительным изменением хирургической тактики устарели. Данные о восстановлении функции при нагноениях в области тазобедренного сустава после металлоостеосинтеза и эндопротезирования практически отсутствуют. Единичные публикации весьма противоречивы. Так, одни авторы рекомендуют после удаления нагноившегося эндопротеза или металлофиксатора и санации гнойного очага выполнять одноэтапное реэндопротезирование либо первичное эндопротезирование. Другие предлагают заполнять санированную послеоперационную полость цепочкой септопала или костным цементом с добавлением антибиотика (спейсер) и через определенное время после купирования гнойного процесса проводить реэндопротезирование, третьи выступают за артродезирование тазобедренного сустава [3, 5, 13, 14, 16-18, 20, 22, 24, 26].
В последние годы появились публикации, авторы которых пришли к заключению, что при реэндопротезировании тазобедренного сустава после удаления нестабильного нагноившегося эндопротеза функциональный результат не лучше, чем при отказе от него [4, 6, 7—10, 12, 21, 23, 25]. Во многих работах указывается на значительное число неудовлетворительных исходов хирургического лечения рассматриваемой категории больных — неопорность пораженной конечности из-за формирования так называемого «болтающегося бедра» [1, 2, 11, 12, 15, 19, 25].
Нам представляется, что адекватной альтернативой реэндопротезированию и артродезированию тазобедренного сустава при гнойных процессах в этой области является формирование опорного неоартроза.
Такое заключение основано на опыте лечения 100 пациентов с нагноениями после эндопротезирования и 60 больных с хроническим остеомиелитом проксимального конца бедренной кости и вертлужной впадины различной этиологии. Среди них лиц женского пола было 84, мужского — 76. Возраст больных составлял от 10 до 84 лет (в среднем 43,4 года). Отметим сразу, что из трех пациентов детского возраста у двух (10 и 15 лет) был хронический гематогенный остеомиелит проксимального отдела бедренной кости и вертлужной впадины, у одного (17 лет) — хронический огнестрельный остеомиелит. Этим больным была произведена резекционная секвестрнекрэктомия костей, образующих тазобедренный сустав, с формированием опорного неоартроза. Пациенты продолжают наблюдаться нами, и по окончании роста скелета будет решаться вопрос о возможном удлинении бедра в аппарате внешней фиксации.
Всем больным при поступлении проводили рентгенографию тазобедренного сустава. При наличии свищей дополняли ее фистулографией с тугим заполнением свищевого хода контрастным веществом, что позволяло выявить нестабильность металлофиксатора или эндопротеза, расположение очагов резорбции вокруг их элементов, распространенность процесса в костной и окружающих мягких тканях, а также нарушение целости имплантата (рис. 1-3).
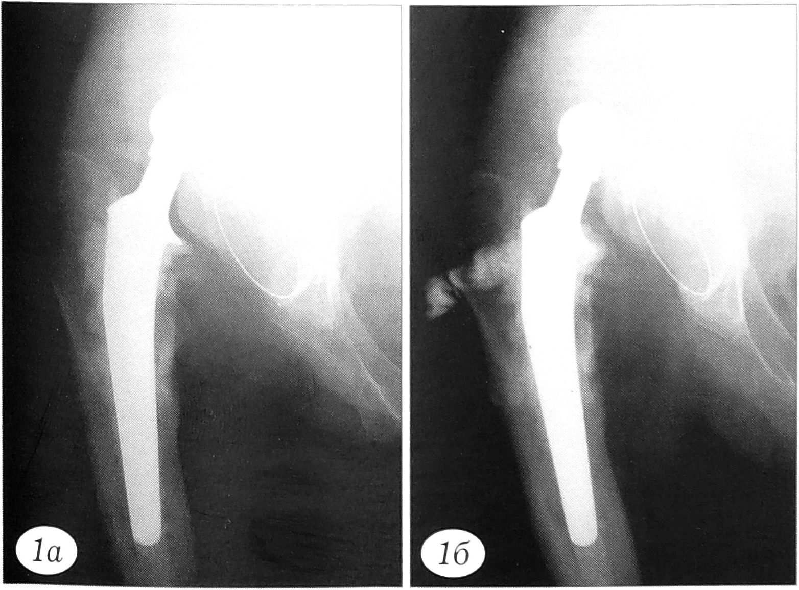
Рис. 1. Рентгенограмма (а) и фистулограмма (б) больного X. 39 лет при поступлении. Ранее по поводу хронического гематогенного остеомиелита головки правой бедренной кости были выполнены резекционная секвестрнекрэктомия проксимального отдела бедра и первичное эндопротезирование тазобедренного сустава протезом «Protek» с использованием костного цемента. Через 1 мес в связи с нестабильностью вертлужного компонента произведена его замена. Через 6 мес в области послеоперационного рубца открылся свищ. Диагностирован хронический остеомиелит проксимального отдела бедренной кости с вывихиванием эндопротеза. Поступил через 1 год после эндопротезирования и 5 мес после развития гнойно-воспалительного процесса.
Рис. 2. Рентгенограмма (а) и фистулограмма (б) больного У. 36 лет при поступлении. Ранее по поводу перелома шейки левой бедренной кости был выполнен остеосинтез трехлопастным гвоздем с пластиной Лена. Через 10 дней после операции развился гнойно-воспалительный процесс. Через 1 мес выявлены нестабильность конструкции, остеомиелит проксимального отдела бедренной кости. Поступил через 3 мес после остеосинтеза.
Рис. 3. Рентгенограмма (а) и фистулограмма (б) больной Б. 64 лет: остеомиелит костей, образующих левый тазобедренный сустав, после огнестрельного ранения с переломом шейки бедра.
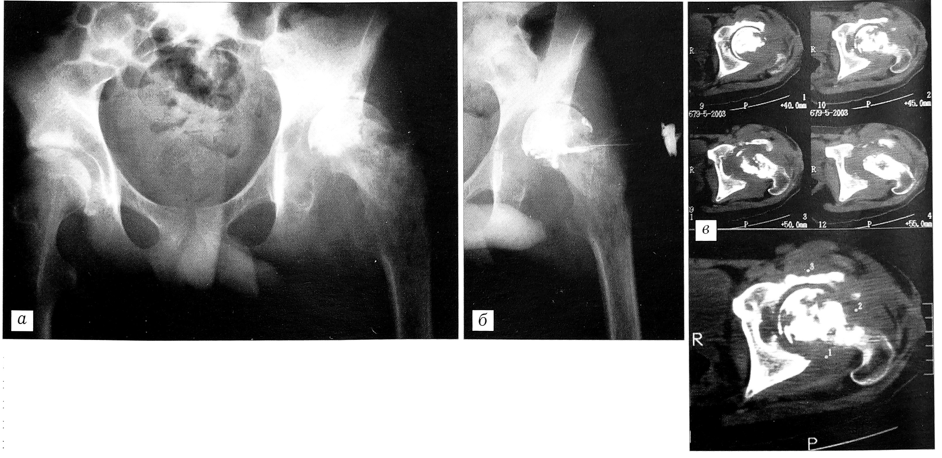
У пациентов с остеомиелитическим поражением проксимального конца бедренной кости и вертлужной впадины без металлоконструкций, кроме рентгенографии, выполняли компьютерную томографию для уточнения объема и распространенности поражения, степени разрушения тазобедренного сустава, что особенно важно при бессвищевых формах острого и хронического гематогенного и посттравматического остеомиелита (рис. 4).
Рис. 4. Рентгенограмма (а), фистулограмма (б) и компьютерная томограмма (в) больного С. 15 лет при поступлении. За 1 год до поступления была вскрыта нагноившаяся гематома на левом предплечье. Послеоперационный период осложнился развитием сепсиса. Через 2 мес диагностирован остеомиелит головки левой бедренной кости, выполнена артротомия, сформировался свищ.
Для купирования гнойного процесса и компенсации функции тазобедренного сустава путем формирования опорного неоартроза нами предложен следующий алгоритм действий:
- санация местного патологического очага — иссечение свищевых ходов на всем протяжении, радикальная секвестрнекрэктомия с удалением нестабильного имплантата (эндопротеза или металлического фиксатора);
- ирригационно-вакуумное дренирование послеоперационной раны с длительным промыванием ее растворами антисептиков;
- адекватная антибактериальная терапия — начинается за 2 ч до операции с использования препаратов широкого спектра действия, в последующем (1-14-й день после операции) препараты подбираются с учетом чувствительности микрофлоры, высеянной из операционного материала как в аэробных, так и в анаэробных условиях;
- коррекция гомеостаза;
- иммунокоррекция;
- комплекс реабилитационных мероприятий;
- профилактика рецидивов нагноения.
При наличии функционирующего свища производили тугое заполнение свищевого хода 2% спиртовым раствором бриллиантового зеленого, после чего делали разрез по наружной боковой поверхности бедра с иссечением послеоперационного рубца и свищевого хода на всем его протяжении. Удаляли все ткани, окрашенные бриллиантовым зеленым и вызывающие сомнение в плане жизнеспособности. Обнажали шейку эндопротеза, головку его вывихивали в рану и эндопротез удаляли. Производили тщательную санацию костномозгового канала и области вертлужной впадины, иссекали все гнойные грануляции.
В случаях нагноения металлоконструкции, сопровождающегося остеомиелитическим разрушением суставных концов, конструкцию удаляли, а затем выполняли резекционную секвестрнекрэктомию проксимального конца бедренной кости и области вертлужной впадины. При гематогенном и посттравматическом остеомиелите производили резекционную секвестрнекрэктомию проксимального отдела бедренной кости и вертлужной впадины в пределах здоровой костной ткани. С помощью рашпиля и электродрели зачищали участок бедренной кости в месте резекции и удаляли все острые костные выступы. Устанавливали на дрель цилиндрическую насадку и, разместив ее на верхушке санированного проксимального конца бедренной кости, выпиливали округлую прорезь в сагиттальном направлении. Это обеспечивало более стабильный контакт бедренной кости и вертлужной впадины. Костномозговой канал бедренной кости, область вертлужной впадины и всю операционную рану обильно промывали растворами перекиси водорода и антисептиков, затем проводили ультразвуковую кавитацию с раствором антисептика и тщательное вакуумирование раны.
По завершении этого этапа операции меняли операционное белье и хирургические инструменты. Оперируемую конечность отводили до угла 45°, укладывали на дополнительный стерильный стол, стопу фиксировали в функционально правильной нейтральной позиции. В случаях, когда удалялся нагноившийся эндопротез, обязательно выполняли однополюсное дренирование костномозгового канала и области вертлужной впадины. Кроме того, проводили двухполюсную трубку по всей длине послеоперационной раны в продольном направлении под мышцами, после чего их ушивали (рис. 5).
Рис. 5. Схема системы ирригационного дренирования раны после операции с удалением эндопротеза.
Если в ходе операции костномозговой канал не вскрывался, рану дренировали двумя дренажами: в том же направлении над ушитыми мышцами проводили еще один двухполюсный дренаж. После завершения операции ногу фиксировали в деротационной шине с ранее приданной ей установкой отведения и нейтральной ротации.
Такая фиксация в совокупности с активным функциональным лечением в послеоперационном периоде обеспечивает управляемый процесс формирования опорного неоартроза. За счет тяги околосуставных мышц проксимальный конец бедренной кости постепенно приближается к крыше вертлужной впадины. Они начинают контактировать и артикулировать, при этом сформированная во время операции прорезь (выемка) создает условия для большей стабильности. Одновременно формируется рубец, который также принимает участие в стабилизации суставных концов. В более поздние сроки после операции дозированная осевая нагрузка является функциональным раздражителем, который обеспечивает формирование некоего подобия сустава, а тренировка околосуставных мышц не только повышает его стабильность, но и позволяет в большей или меньшей степени восстановить локомоторную функцию. Степень восстановления двигательной функции в значительной мере зависит от объема резекции суставных концов и мест прикрепления околосуставных мышц.
Для активного управления процессом компенсации функции нами разработана комплексная программа реабилитации.
1. Реабилитационные мероприятия в раннем послеоперационном периоде (постельный режим до 30-го дня после операции)
Длительность постельного режима определяется обширностью выполненной резекционной секвестрнекрэктомии проксимального отдела бедренной кости. При резекции головки, шейки или даже части большого вертела постельный режим, как правило, продолжается 30 дней. В случаях, когда резекция захватывает межвертельную зону вплоть до малого вертела, его длительность может увеличиться до 40-45 дней. Если же выполняется резекционная секвестрнекрэктомия проксимального отдела бедренной кости ниже малого вертела на 5 см, проблема создания опорного неоартроза практически не имеет решения. В таких случаях больным после купирования воспалительного процесса изготавливался ортопедический ортез для фиксации оперированной конечности и нижней части туловища с упором на седалищный бугор с шарнирным замком в области резецированного тазобедренного сустава. Анатомическое укорочение конечности компенсировалось в ортезе за счет стремени.
Помимо данных контрольной рентгенографии, важным критерием возможности отмены постельного режима и начала обучения больного ходьбе с помощью костылей является функционально правильное положение стопы, т.е. отсутствие ее ротации после снятия деротационной шины.
Ранний послеоперационный период 1А (до 10-го дня после операции)
В этот период больной соблюдает постельный режим. Оперированная конечность отведена на плоскости постели под углом 40-45°. Стопа и голень фиксированы в деротационной шине в функционально правильном положении (рис. 6).
Рис. 6. Положение больного в постели с отведением оперированной конечности под углом 45° и фиксацией ее деротационной шиной в функционально нейтральной позиции.
Осуществляется ирригационное дренирование послеоперационной полости с использованием растворов антисептиков. Проводится курс антибактериальной терапии, а также мероприятия по стабилизации гомеостаза.
Реабилитационная программа направлена на профилактику послеоперационных осложнений, последствий гипокинезии, стабилизацию оперированного бедра в правильном, функционально выгодном положении (нейтрализация возможных ротационных моментов), создание условий для функционирования дренажа, профилактику контрактур и гипотрофии мышц, коррекцию психического статуса больного.
Занятия лечебной гимнастикой проводятся в положении пациента лежа на спине и сидя с отведенной ногой. Основными на этом этапе являются дыхательные упражнения в сочетании с элементами массажа грудной клетки. Они чередуются с упражнениями, направленными на укрепление мышц верхних конечностей, спины и здоровой нижней конечности, что обеспечивает подготовку больного к ходьбе при помощи костылей. Кроме того, назначаются изометрические упражнения для мышц оперированной конечности и щадящие пассивно-активные сгибания в коленном суставе (рис. 7 и 8, а). Начиная со 2-3-го дня после операции больному рекомендуется присаживаться в постели, используя балканскую раму и трапецию.
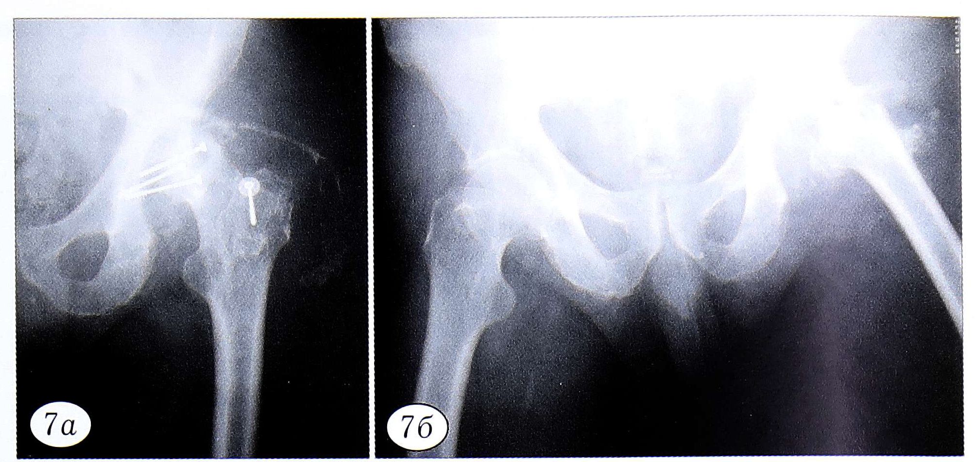
Рис. 7. Больной М. 52 лет. Остеомиелит проксимального отдела бедра и вертлужной впадины, развившийся после остеосинтеза винтами по поводу перелома заднего края вертлужной впадины. а — фистулограмма при поступлении; б — рентгенограмма через 30 дней после резекционной секвестрнекрэктомии костей, образующих тазобедренный сустав: на опиле проксимального отдела бедра видна выемка, выполненная для более плотного контакта с крышей вертлужной впадины.
Ранний послеоперационный период 1Б (с 10-го по 20-й день после операции)
При необходимости продолжаются лечебные мероприятия, направленные на стабилизацию гомеостаза. Антибактериальная терапия, как правило, отменяется. Швы с операционной раны снимают, но ирригационное дренирование продолжается, так как полость в области резецированного тазобедренного сустава в эти сроки еще остается.
К 10-му дню после операции больной должен свободно сидеть в постели и по возможности опускать здоровую ногу с кровати на стул. В реабилитационный комплекс, помимо общетонизирующих упражнений, включаются динамические упражнения с отягощением для мышц верхних конечностей, спины и здоровой ноги с использованием эластичной тяги, балканской рамы и спинки кровати как упора для здоровой ноги. Продолжаются активно-пассивные сгибания в коленном суставе оперированной конечности. Увеличивается число повторений и темп движений (рис. 8, б).
Ранний послеоперационный период 1В (с 20-го по 30-й день после операции)
На данном этапе лечения состояние больного, как правило, удовлетворительное. Антибактериальная терапия закончена, швы сняты, нарушенный оперативным вмешательством гомеостаз восстановлен. В эти сроки должны быть удалены дренажные трубки. Удаление последнего дренажа — ответственная процедура: если в области резецированного проксимального отдела бедра и санированной вертлужной впадины останется мягкотканная полость, то после удаления дренажа может произойти ее вторичное инфицирование с формированием свища и даже развитие рецидива остеомиелитического процесса. Помимо фистулографии, судить об отсутствии (наличии) мягкотканной полости помогает проба, состоящая в промывании двухполюсного дренажа с перекрытым свободным от шприца концом. Если при введении в дренажную трубку раствора антисептика он тут же вытекает наружу рядом с концами дренажа, выступающими из мягких тканей бедра, можно говорить об отсутствии полости и о возможности удаления дренажа. Перед выполнением этой клинической пробы необходимо убедиться, что дренаж проходим для антисептического раствора.
На данном этапе реабилитации продолжается тренировка околосуставных мышц в изометрическом режиме и постепенно вводятся динамические упражнения для мышц оперированной конечности (активное сгибание в коленном суставе с попытками активно «оторвать» разогнутую ногу от постели). Эти упражнения чередуют с активными динамическими упражнениями с отягощением для тренировки мышц верхней конечности, спины и здоровой ноги с использованием эластичной тяги, эспандера, балканской рамы, спинки кровати, гантелей (рис. 8, в). На время занятий лечебной гимнастикой деротационная шина на данном этапе может сниматься.
Больного обучают свободно активно сидеть на постели со спущенной здоровой ногой, в конце раннего послеоперационного периода — с обеими спущенными ногами. Строго следят за тем, чтобы сохранялось установленное отведение оперированной конечности при нейтральной ее ротации.
2. Поздний послеоперационный период (с 30-го дня до выписки из стационара)
Целью реабилитационных мероприятий в позднем послеоперационном периоде является тренировка локомоций с дозированной осевой нагрузкой на оперированную ногу, укрепление антигравитационных мышц опорной (здоровой) ноги (ягодичная, четырехглавая, трехглавая голени) и верхних конечностей.
Назначаются упражнения, направленные на укрепление мышц верхних конечностей и здоровой ноги. Больного обучают вставать и стоять у кровати при помощи костылей с опорой на отведенную под углом 30-35° оперированную конечность при обязательной компенсации ее анатомического и функционального укорочения набойкой на подошву обуви. Затем обучают ходьбе с опорой на костыли с осевой нагрузкой на оперированную ногу до 10- 15% от веса тела (рис. 8, г).
При проведении всех реабилитационных мероприятий следует помнить, что основной их задачей является формирование неоартроза на месте резецированного тазобедренного сустава. При выполнении упражнений, направленных на укрепление мышц оперированного бедра, нагрузки должны быть сопоставимы с собственным весом конечности. Акцент делается на мышечные группы абдукторов, экстензоров и внутренних ротаторов бедра. Изометрические упражнения для околосуставных мышц чередуются с динамическими упражнениями с отягощением эластичным бинтом, эспандером.
Больного обучают сидеть, спустив обе ноги с постели, при этом строго следят за сохранением угла отведения оперированной конечности. Разрешают самостоятельно стоять у кровати при помощи костылей, слегка опираясь на отведенную до 30-35° оперированную ногу. Ходить по палате можно в течение 10-15 мин.
С 40-го дня приступают к обучению ходьбе по больничному коридору с помощью костылей или поручней. Эти занятия продолжаются 15-30 мин и повторяются до трех раз в день. Допустимая осевая нагрузка на оперированную ногу — не более 10-15% от полной (см. рис. 8, г.).
Рис. 8. Тот же больной М. Этапы проведения реабилитационного комплекса для формирования опорного неоартроза в тазобедренном суставе. а—в — ранний послеоперационный период (а — период 1 А, б — период 1Б, в — период 1В); г — поздний послеоперационный период.
3. Период реабилитации больного в амбулаторных условиях
К 40-50-му дню после операции больных, как правило, переводили на амбулаторное лечение. При выписке из стационара давались следующие рекомендации:
- до 3 мес после выписки продолжать курс ЛФК с ограничением физической нагрузки по времени (не более 2-3 ч в день). Ходить с помощью костылей, опираясь на отведенную под углом 30-35° оперированную ногу в обуви с набойкой для компенсации укорочения. В течение каждого месяца после выписки нагрузку на оперированную конечность следует постепенно увеличивать на 10-15%, а продолжительность ходьбы — на 30 мин. Через 3 мес после выписки пациент должен свободно ходить с помощью костылей, опираясь на отведенную ногу с нагрузкой до 50%, по 1,5—2 ч в день;
- с 4-го по 6-й месяц после выписки больной должен активно поднимать выпрямленную оперированную ногу от плоскости постели. В этом случае угол отведения конечности уменьшается до 15- 20 . Для разгрузки при ходьбе используется трость, толщина набойки на обувь уменьшается до удобной величины;
- в период с 6-го по 8-й месяц после выписки конечность приводится в нейтральное положение, набойка на обувь уменьшается до высоты, необходимой для компенсации истинного послеоперационного укорочения конечности. Больной ходит с помощью трости, продолжается курс ЛФК и массажа. Показано оздоровительное плавание в бассейне.
По данным клинико-рентгенологического обследования, к 8-12-му месяцу после операции у больных формировался стабильный неоартроз в области резецированного проксимального отдела бедренной кости с практически полным объемом движений в нем. В эти сроки пациенты начинали ходить без средств дополнительной опоры или с тростью, используя набойку на обувь, высота которой соответствовала истинному анатомическому укорочению конечности.
Приводим клинический пример.
Больной М.,32 лет, в возрасте 30 лет в результате ДТП получил сочетанную травму — сотрясение головного мозга, тупую травму живота с разрывом мочевого пузыря, перелом дна вертлужной впадины справа. Лечился в одной из московских больниц, сначала в реанимационном отделении, затем в хирургическом стационаре. По поводу скелетной травмы лечения не проводилось. Развился центральный вывих бедра с остеомиелитом головки. Через 5 мес произведена резекционная секвестрнекрэктомия проксимального отдела бедренной кости. В послеоперационном периоде развилось нагноение раны, сформировались свищи. Выписан на амбулаторное лечение с остеомиелитом проксимального отдела бедра и неопорной нижней конечностью. Еще через 6 мес произведена резекционная секвестрнекрэктомия проксимального отдела бедра с эндопротезированием тазобедренного сустава протезом «Protek». Послеоперационный период осложнился нагноением раны с развитием ранней нестабильности конструкции.
Через 6 мес после эндопротезирования поступил в нашу клинику. Произведено удаление нестабильного эндопротеза с резекционной фистулосеквестрнекрэктомией проксимального отдела бедра и вертлужной впадины. Проведен реабилитационный комплекс, включающий мероприятия, направленные на формирование опорного неоартроза (рис. 9, а—в).
Пациент наблюдается нами в течение 5 лет (рентгенологическая картина и функциональный результат представлены на рис. 9, г). 3 мес назад больному произведена компактотомия правого бедра с остеосинтезом стержневым аппаратом МКЦ. Укорочение правой нижней конечности в 6 см компенсировано (рис. 9, д).
Рис. 9. Больной М. 32 лет. а — фистулограмма при поступлении (через 6 мес после выполнения повторной резекционной фистулосеквестрэктомии проксимального отдела бедра с первичным эндопротезированием тазобедренного сустава протезом «Protek»: определяется затекание контрастного вещества по шейке эндопротеза в нестабильный вертлужный компонент; б — рентгенограмма, выполненная на следующий день после удаления нестабильного эндопротеза и резекционной фистулосеквестрнекрэктомии костей, образующих тазобедренный сустав; в — рентгенограмма через 2 года после операции: сформировавшийся неоартроз; г — рентгенограмма и функциональные возможности сформировавшегося неоартроза через 5 лет после операции; д — на этапе удлинения бедра в стержневом аппарате мкц.
В результате лечения по описанной методике у всех 160 больных был купирован гнойно-воспалительный процесс и достигнуто формирование опорного неоартроза с удовлетворительной функцией. Это позволяет нам заключить, что при гнойных процессах в области тазобедренного сустава радикальная резекционная фистулосеквестрнекрэктомия по типу Girdlestone с последующим комплексным лечением, направленным на купирование гнойного процесса и активное целенаправленное формирование опорного неоартроза, является адекватной альтернативой как реэндопротезированию, так и артродезированию тазобедренного сустава.
About the authors
V. V. Malovichko
Central Institute of Traumatology and Orthopedics. N.N. Priorova
Email: info@eco-vector.com
Russian Federation, Moscow
Z. I. Urazgildeev
Central Institute of Traumatology and Orthopedics. N.N. Priorova
Email: info@eco-vector.com
Russian Federation, Moscow
M. B. Tsykunov
Central Institute of Traumatology and Orthopedics. N.N. Priorova
Author for correspondence.
Email: info@eco-vector.com
Russian Federation, Moscow
References
- Агаджанян В.В. //Эндопротезирование в травматологии и ортопедии: Сб. науч. трудов. — Саратов, 1987. — С. 23-26.
- Агаджанян В.В., Пак В.П., Абисалов Р.Н. //Актуальные вопросы травматологии и ортопедии. — Вильнюс, 1982. — С. 144-146.
- Афаунов А.П., Коржик А.Ф., Афаунов А.А., Блаженко А.Н. //Съезд травматологов-ортопедов Росси, 6-й. — Н. Новгород, 1997. — С. 525.
- Зоря В.И., Ярыгин Н.В., Шаповал А.П. и др. //Съезд травматологов-ортопедов России, 7-й: Тезисы докладов. — Новосибирск, 2002. — Т. 1. — С. 326.
- Ключевский В.В., Пшениснов К.П., Даниляк В.В. и др. //Там же. — С. 328-329.
- Корж А.А., Блинов Б.В., Кулиш Н.П. //Артропластика крупных суставов: Материалы Всесоюз. симпозиума. — М., 1974. — С. 44-49.
- Маловичко В.В., Уразгильдеев З.И., Поляничко Ю.В. //Материалы конф. SICOT. — СПб, 2002. — С. 90-91.
- Малявский С. //Артропластика крупных суставов: Материалы Всесоюз. симпозиума. — М., 1974. — С. 93-99.
- Уразгильдеев З.И., Маловичко В.В. //Вестн. травматол. ортопед. — 1999. — N 1. — С. 11-16.
- Уразгильдеев З.И., Маловичко В.В. //Заболевания и повреждения тазобедренного сустава: Материалы науч.-практ. конф. — Рязань, 2000. — С. 75-78.
- Berry D.J., Chandler Н.Р., Reilly D.T. //J. Bone Jt Surg. — 1991. — Vol. 73A. — P. 1460-1468.
- Bourne R.B., Hunter G.A., Rorabeck C.H., Macnab J.J. //Ibid. — 1984. — Vol. 66B. — P. 340-343.
- Cameron H. //Clin. Orthop. — 1994. — N 298. — P. 47-53.
- Colyer R.A., Capello W.N. //Ibid. — 1994. — N 298. — P. 75-79.
- Grauer D., Harlan C., Amstutz P. et al. //J. Bone Jt Surg. — 1989. — Vol. 71A. — P. 669-678.
- Huhle P.R. Infektionen des Bewegungsapparates. — New York, S. a. — P. 97-101.
- Leunig M., Chosa E., Speck M., Ganz R. //Int. Orthop. —1998— Vol. 22, N 4. — P. 209-214.
- McDonald D.J., Fitzgerald R.H. //J. Bone Jt Surg. — 1989. — Vol. 71A. — P. 828-834.
- Murray R.P., Bourne M.H., Fitzgerald R.H. //Ibid. — 1991. — Vol. 73A. — P. 1469-1474.
- Nestar V.J., Hanssen A.D., Ferrer-Gonzales R., Fitzgerald R.H. //Ibid. — 1994. — Vol. 76A. — P. 349-359.
- Olcay E., Aksoy B. et al. //Acta Orthop. Traum. Turc. —1999— Vol. 33. — P. 62-67.
- Raut V.V., Siney P.D., Wroblewski B.M. //Clin. Orthop. — 1994. — N 301. — P. 205-212.
- Schroder J., Saris D., Besselaar P.P., Marti R.K. //Int. Orthop. — 1998. — Vol. 22, N 4. — P. 215-218.
- Walenkamp G.H.I.M. Infektionen des Bewegungsapparates. — New York. — P. 102-104.
- William H. et al. //Clin. Orthop. — 1991. — N 272. — P. 181-191.
- Younger A.S., Duncan C.P. Masri B.A. //J. Bone Jt Surg. — 1998. — Vol. 80A, N 1. — P. 60-69.
Supplementary files











