Features of the course of an active aneurysmal bone cyst in childhood (case report)
- Authors: Snetkov A.I.1, Natsvlishvili Z.G.1, Morozov A.K.1, Berchenko T.N.1, Frantov A.R.1, Khokhrikov G.I.1
-
Affiliations:
- Central Institute of Traumatology and Orthopedics. N.N. Priorova
- Issue: Vol 10, No 2 (2003)
- Pages: 86-89
- Section: Short communications
- Submitted: 20.10.2020
- Published: 15.06.2003
- URL: https://journals.eco-vector.com/0869-8678/article/view/48223
- DOI: https://doi.org/10.17816/vto200310286-89
- ID: 48223
Cite item
Full Text
Abstract
Aneurysmal bone cyst refers to tumor-like lesions with an etiology not fully elucidated [10, 13, 14]. Until recently, bone cysts in children were classified as tumor processes [4]. A.P. Berezhny [1], based on a clinical and radiological study and analysis of a large number of observations, came to the conclusion that primary cysts in children, including aneurysmal ones, are a dystrophic process, usually affecting one bone without damaging the growth zone and adjacent bones. The same opinion is shared by some foreign authors [6]. However, at present, the point of view is more widespread, according to which an aneurysmal bone cyst is a reactive process that develops in response to bone damage [3, 5, 9, 10, 14].
Keywords
Full Text
Аневризмальная киста кости относится к опухолеподобным поражениям с не выясненной до конца этиологией [10, 13, 14]. До недавнего времени кисты костей у детей причисляли к опухолевым процессам [4]. А.П. Бережный [1] на основе клинико-рентгенологического изучения и анализа большого количества наблюдений пришел к заключению, что первичные кисты у детей, в том числе аневризмальные, являются дистрофическим процессом, как правило, поражают одну кость, не повреждая ростковую зону и соседние кости. Такого же мнения придерживаются и некоторые зарубежные авторы [6]. Однако в настоящее время более распространена точка зрения, согласно которой аневризмальная киста кости является реактивным процессом, развивающимся в ответ на повреждение кости [3, 5, 9, 10, 14].
В литературе имеется ряд сообщений о необычной рентгенологической картине при некоторых аневризмальных кистах (активно растущая, или агрессивная, аневризмальная киста кости, «солидный» вариант аневризмальной кисты кости), характеризующейся обширной остеолитической деструкцией одной или нескольких рядом расположенных костей, наличием мягкотканного компонента [7, 11, 12].
В отличие от многих других доброкачественных процессов, аневризмальная киста кости может распространяться из первичного очага на соседние кости [3, 10, 15]. По данным патологоанатомического отделения ЦИТО, при анализе биопсийного материала от 73 пациентов детского и подросткового возраста с диагнозом аневризмальной кисты кости позвоночника в 12,3% случаев выявлено, что патологический процесс захватывал несколько рядом расположенных позвонков [2].
Значительные сложности возникают при клинико-рентгенологической дифференциальной диагностике активно растущей аневризмальной кисты кости и гигантоклеточной опухоли, телеангиэктатического варианта остеосаркомы. Только морфологическое исследование позволяет дифференцировать эти нозологические формы. В отличие от телеангиэктатического варианта остеосаркомы, при аневризмальной кисте кости не выявляются выраженный ядерный полиморфизм, атипичный остеогенез и митозы [3, 8, 10, 14].
Нам представляется целесообразным привести описание наблюдавшегося нами случая аневризмальной кисты кости, отличающегося сложностью диагностики и потребовавшего оригинальной тактики лечения.
Больной Н.,15 лет, поступил в отделение детской костной патологии и подростковой ортопедии ЦИТО с направительным диагнозом «злокачественная опухоль лонной кости». За год до этого появилась припухлость в правой лонной области, которая постепенно увеличивалась. В одном из НИИТО при рентгенологическом обследовании выявлен очаг деструкции правой лонной кости. Произведена пункционная биопсия, по данным которой диагноз поставлен не был. Больной направлен на обследование и лечение в ЦИТО.
При поступлении жалобы на боли в правой лонной области. Клинически в этой области определяется неподвижное опухолевидное образование костной плотности. Температура над образованием повышена, кожный венозный рисунок расширен. Имеется сгибательно-приводящая контрактура в правом тазобедренном суставе, попытки движений в суставе резко болезненны. Клиническая картина была характерная для телеангиэктатического варианта остеогенной саркомы.
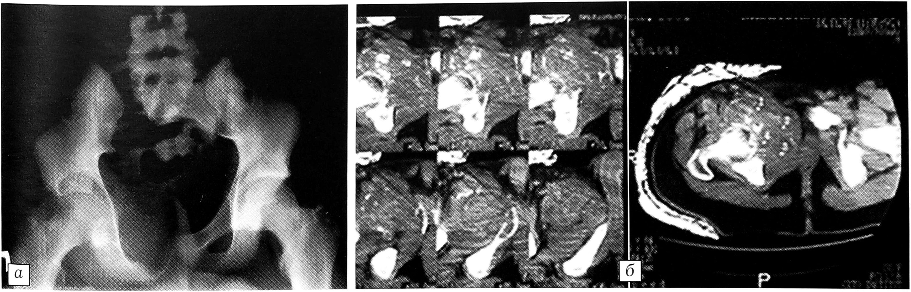
При лучевом обследовании (стандартная рентгенография, компьютерная томография) выявлен остеолитический очаг деструкции в верхней ветви лонной и в седалищной кости с разрушением коркового слоя и наличием мягкотканного компонента (рис. 1). Рентгенологическое заключение: аневризмальная киста или телеангиэктатический вариант остеосаркомы. С целью уточнения диагноза выполнена открытая биопсия правой лонной кости. Перед биопсией проведено измерение внутрикистного давления, которое составило 800 мм вод. ст. По данным гистологического заключения поставлен диагноз: активно растущая аневризмальная киста кости. Учитывая высокую активность кисты, выполнены три лечебные пункции очага (интервалы 7 дней) с промыванием полости кисты 5% аминокапроновой кислотой и введением 20 000 ЕД контрикала. Правый тазобедренный сустав иммобилизован тазобедренной гипсовой повязкой.
Рис. 1. Рентгенограмма таза (а) и компьютерная томограмма (б) при поступлении больного: остеолитический очаг деструкции с поражением лонной и седалищной костей справа.
Через 1 мес у пациента появились жалобы на болезненное мочеиспускание. Клинически определялось увеличение образования в правой лонной области, увеличение паховых лимфатических узлов, которые были подвижны и безболезненны. Рентгенологически отмечено прогрессирование процесса: увеличение остеолитического очага деструкции и мягкотканного компонента с вовлечением тела подвздошной кости. Суставная поверхность вертлужной впадины местами была разрушена. Мочевой пузырь смещен кнутри, инфильтративного роста в нем не выявлено (рис. 2). Произведена рентгенография легких — данных, указывающих на метастазы, не обнаружено. Показатели общего анализа крови оставались в норме. Пересмотрены гистологические препараты — признаков злокачественного процесса не выявлено.
Рис. 2. Рентгенограмма таза (а) и компьютерная томограмма (б) через 1 мес: отмечается прогрессирование патологического процесса.
Принимая во внимание резкую отрицательную клинико-рентгенологическую динамику заболевания, а также его доброкачественную природу, было решено произвести хирургическое вмешательство. С учетом ожидаемой массивной кровопотери перед операцией выполнена ангиография для выявления питающего очаг сосуда и его последующей временной окклюзии с целью уменьшения кровотечения во время операции. Обнаружено, что питание очага осуществляется из бассейна внутренней подвздошной артерии, очаг состоит из четырех узлов, обильно кровоснабжаемых патологической сетью сосудов (рис. 3).
Рис. 3. Предоперационная ангиограмма: кровоснабжение очага из бассейна внутренней подвздошной артерии.
Перед выполнением окклюзии сосуда измерено внутрикистное давление — 1000 мм вод. ст. (рис. 4, а).
Рис. 4. Внутрикистное давление до (а) и после (б) окклюзии внутренней подвздошной артерии.
Произведена временная окклюзия внутренней подвздошной артерии баллонным катетером 6,0 × 30 мм (рис. 5). Повторно измерено внутрикистное давление — 500 мм вод. ст. (рис. 4, б). Для выявления возможного вовлечения в патологический процесс мочевого пузыря предпринято контрастирование очага омнипаком (20 мл): стенки пузыря оказались интактными (рис. 6).
Рис. 5. Окклюзия внутренней подвздошной артерии баллонным катетером.
Рис. 6. Контрастирование очага: мочевой пузырь интактен.
Операция выполнялась под эндотрахеальным наркозом. Доступом по гребню подвздошной кости до лонного сочленения выделен сосудисто-нервный пучок, обнажено патологическое образование синюшного цвета, которое пульсировало в области вертлужной впадины и верхней ветви лонной кости. Произведена экскохлеация оболочек кисты в области вертлужной впадины и лонной кости. Ацетабулярная хрящевая пластинка местами была перфорирована. Смоделирован каркас верхней ветви лонной кости и дна вертлужной впадины с помощью массивных поверхностно-деминерализованных перфорированных трансплантатов «перфоост». По окончании оперативного вмешательства баллонный катетер спущен, кровотечения в ране не отмечалось. Через ангиографический катетер произведен контроль правой подвздошной артерии (рис. 7).
Рис. 7. Баллонный катетер спущен, кровоток по внутренней подвздошной артерии сохранен.
Несмотря на окклюзию питающего сосуда, кровопотеря составила 3 л (восполнена во время операции кровезаменителями).
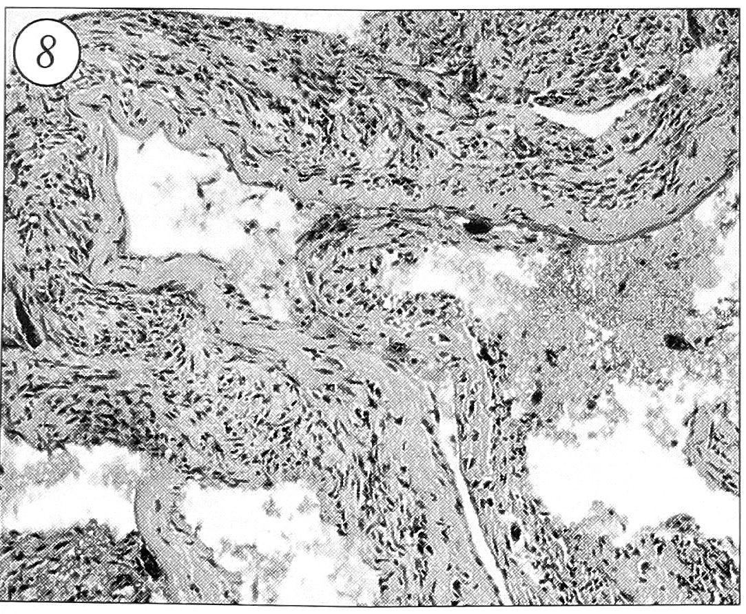
Удаленная при операции патологическая ткань макроскопически была представлена мягко-эластическими оболочками красновишневого цвета с мелкими костными включениями. При гистологическом исследовании выявлена картина аневризмальной кисты кости (рис. 8): ограниченные соединительнотканными перегородками и заполненные кровью кавернозные пространства различного размера, костные балки разной степени зрелости, остеокластоподобные клетки, полиморфные одноядерные клеточные элементы, митотически делящиеся фибробласты и остеобласты, зерна гемосидерина.
Рис. 8. Гистологическая картина: активно растущая аневризмальная киста кости. Полости с элементами крови, разграниченные соединительнотканными перегородками, в которых видны полиморфные фибробласты, гистиоциты, отдельные остеокластоподобные клетки, остеоидные трабекулы. Окраска гематоксилином и эозином, ув. 100.
Послеоперационный период протекал без осложнений, рана зажила первичным натяжением. Больной выписан на амбулаторное лечение в тазобедренной гипсовой повязке. Иммобилизация продолжалась 3 мес.
При контрольном обследовании через 6 мес после операции пациент жалоб не предъявляет, движения в правом тазобедренном суставе: разгибание 180°, сгибание 120°, отведение и приведение по 20° (рис 9, а). На рентгенограмме и компьютерной томограмме признаков рецидива нет, отмечается органотипическая перестройка трансплантатов (рис 9, б, в). При контрольной ангиографии патологической сосудистой сети в области операции не выявлено (рис. 9, г).
Рис. 9. Через 6 мес после операции. а — функция правого тазобедренного сустава; б — рентгенограмма таза, в — компьютерная томограмма: рецидива нет, органотипическая перестройка трансплантатов; г — ангиограмма: патологической сосудистой сети нет.
Таким образом, у детей при агрессивных аневризмальных кистах (внутрикистное давление 1000 мм вод. ст.) остеолитический очаг деструкции может распространяться на соседние кости. При обширном остеолитическом деструктивном очаге с поражением нескольких костей пункционный метод лечения малоэффективен. Оправданным является хирургический метод — краевая резекция или экскохлеация. У больных с агрессивными кистами во время операции следует проводить временную окклюзию питающего патологический очаг сосуда с целью уменьшения интраоперационной кровопотери.
About the authors
A. I. Snetkov
Central Institute of Traumatology and Orthopedics. N.N. Priorova
Email: info@eco-vector.com
Russian Federation, Moscow
Z. G. Natsvlishvili
Central Institute of Traumatology and Orthopedics. N.N. Priorova
Email: info@eco-vector.com
Russian Federation, Moscow
A. K. Morozov
Central Institute of Traumatology and Orthopedics. N.N. Priorova
Email: info@eco-vector.com
Russian Federation, Moscow
T. N. Berchenko
Central Institute of Traumatology and Orthopedics. N.N. Priorova
Email: info@eco-vector.com
Russian Federation, Moscow
A. R. Frantov
Central Institute of Traumatology and Orthopedics. N.N. Priorova
Email: info@eco-vector.com
Russian Federation, Moscow
G. I. Khokhrikov
Central Institute of Traumatology and Orthopedics. N.N. Priorova
Author for correspondence.
Email: info@eco-vector.com
Russian Federation, Moscow
References
- Бережный А.П. Кисты костей у детей и подростков: Автореф. дис. ... д-ра мед наук. — М., 1985.
- Берченко Г.Н., Морозов А.К., Нечволодова О.Л., Семенова Л.А., Франтов А.Р. //Съезд травматологов-ортопедов России, 7-й: Тезисы докладов. — Новосибирск, 2002. — Т. 1. — С. 234-235.
- Берченко Г.Н. //Патология: Руководство /Под ред. М.А. Пальцева, В.С. Паукова, Э.Г. Улумбекова. — М., 2002. — С. 565-597.
- Волков М.В. Костная патология детского возраста. — М., 1968. — С. 112-157.
- Семенова Л.А. Морфологические особенности аневризмальных кист костей: Автореф. дис. ... канд. мед . наук. — М., 2002.
- Тенилин Н.А. Лечение костных кист у детей и подростков: Автореф. дис.... канд. мед. наук. — Н. Новгород, 1996.
- Франтов А.Р. «Солидный» вариант аневризмальной кисты кости: Автореф. дис. ... канд. мед. наук. — М., 1999.
- Berchenko G.N. //Vircows Arch. — 1999. — Vol. 435, N 3. — P. 340.
- Dabezies E., D’Ambrosia R.D., Chuinard G. //J. Bone Jt Surg. — 1982. — Vol. 64A. — P. 617-621.
- Dorfman H.D., Czerniak B. Bone tumors. — Baltimore etc., 1998. — P. 855-867.
- Randall R.L., Nork S.E., James J. //Clin. Orthop. — 2000. — N 370. — P. 212-218.
- Sanerkin N. et al. //Cancer. — 1983. — Vol. 51, N 15. — P. 2278-2286.
- Schaiowicz F. Tumors and tumorlike lesions of bone. Pathology, radiology and treatment. — 2nd ed. — Berlin; Heidelberg, 1994. — P. 505-514. 14.
- Unni K.K. //Dahlin’s bone tumors. General aspects and data on 11,087 cases. — 5th ed. — Philadelphia, 1996. — P. 403-404.
- Vergel A.M., Bond J.R., Shives T.C. et al. //Cancer. — 1992. — Vol. 69. — P. 2921-2931.
Supplementary files











