Features of the treatment of lower limb deformities in children with systemic diseases of the musculoskeletal system
- Authors: Lapkin Y.A.1, Konyukhov M.P.1
-
Affiliations:
- Research Children's Orthopedic Institute. G.I. Turner
- Issue: Vol 10, No 4 (2003)
- Pages: 88-93
- Section: Lectures
- Submitted: 20.10.2020
- Published: 15.12.2003
- URL: https://journals.eco-vector.com/0869-8678/article/view/48231
- DOI: https://doi.org/10.17816/vto200310488-89
- ID: 48231
Cite item
Full Text
Abstract
The analysis of conservative and surgical treatment results of more than 200 children with systemic diseases of loco-motor system showed that complications and deformity recurrence were mainly caused by the inadequate treatment tactics as well as the use of traditional orthopaedic techniques with no account of the systemic nature of the pathology. The most common mistakes in conservative treatment included the prolonged use of plaster cast, attempts to petform one-step reposition ofjoint dislocations and underestimation of osteoporosis severity. In surgical treatment the typical mistakes were the attempts to restore the joint function to the detriment of the joint stability and weight bearing function of the extremity, use of tenoligamentocapsulotomy in cases when either correction of bone deformities or the application of Ilizarov device were indicated. The rate of complications was significantly lower when the deformity correction was followed by additional joint stabilization using transposition of muscles and plasty of ligamentous system.
Keywords
Full Text
В последние десятилетия число детей с системными заболеваниями опорно-двигательного аппарата неуклонно растет, что связывают с ухудшением экологической обстановки, употреблением наркотиков, алкоголизацией населения [2, 22]. Нередко этим больным приходится выполнять от 5—6 до 30-40 операций [24, 25], т.е. каждый такой пациент в плане затрат на лечение эквивалентен десяткам обычных ортопедических больных. Для повышения эффективности лечения разрабатывались новые методики, предпринимались попытки его стандартизации и унификации с учетом возраста детей [7-9]. В то же время отмечалось, что динамика развития нарушений опорно-двигательного аппарата зависит не только от возраста ребенка, но и от конкретной формы системного заболевания, его особенностей, требующих индивидуального подхода к лечению [14]. Кроме того, стало очевидным, что сами методы и подходы классической ортопедии часто неприемлемы для лечения детей с наследственной патологией [18]. Возникла необходимость выработать общие принципы лечения данной тяжелой категории больных и определить, чем же конкретно они отличаются от таковых при банальной ортопедической патологии. Особенно актуально это применительно к лечению деформаций нижних конечностей, играющих ведущую роль в инвалидизации пациентов.
Мы попытались выделить особенности лечения детей с системными заболеваниями опорно-двигательного аппарата и выявить ошибки, допущенные на разных его этапах, — от некорректной постановки цели и задач до чисто технических погрешностей. Учет их в ходе последовательного построения программы лечения может, на наш взгляд, существенно повысить его эффективность.
Под нашим наблюдением находилось более 200 детей с остеохондродисплазиями, артрогрипозом и артрогрипозоподобными заболеваниями, птеригиум- синдромами, синдромами Ларсен, Эллерса— Данлоса и иными системными заболеваниями, которым было выполнено более 700 различных ортопедических операций по поводу деформаций в области нижних конечностей. Срок наблюдения составил в среднем 8,2 года.
Выбор цели и задач лечения
Врач-ортопед традиционно нацелен на восстановление нормальных осей конечностей, правильных анатомических соотношений в суставах и их функции. Однако это — задачи лечения, а не цель, которая состоит в уменьшении функциональной недостаточности больного, улучшении его способности к самообслуживанию. При системных заболеваниях опорно-двигательного аппарата неправильный выбор цели может привести к серьезным последствиям. Примером является следующее наблюдение. У больной К. 11 лет, страдающей диастрофической дисплазией, были хирургически устранены нерезко выраженные сгибательные контрактуры в коленных суставах. Сгибание в суставах при этом несколько уменьшилось, а функциональная длина конечностей незначительно увеличилась. У больной улучшилась эстетика ходьбы (качественного улучшения в связи с тяжелыми деформациями стоп, тазобедренных суставов не получено). Но девочке стало не хватать нескольких сантиметров, чтобы достать руками до стоп, и она больше не могла самостоятельно надеть носки, обувь. Способность больной к самообслуживанию ограничилась.
Традиционные задачи лечения в случае системных заболеваний опорно-двигательного аппарата могут быть принципиально неразрешимы, а попытки их решить — неоправданны и вредны. Наиболее типичными ошибками при постановке задач являются, по нашим данным, попытки восстановить (улучшить) функцию сустава (движения в суставе), тогда как необходимо стремиться к улучшению его стабильности и опорности конечности. Это относится к попыткам хирургически устранить разгибательную контрактуру коленного сустава и восстановить его функцию у больных артрогрипозом, при резкой гипотрофии четырехглавой мышцы бедра, что влечет за собой нарушение стабильности сустава и необходимость постоянно пользоваться замковым шинно-кожаным аппаратом. Даже при относительно сохранной четырехглавой мышце попытка добиться у этих больных сгибания в суставе более чем на 30-40° не оправданна, так как в 90% случаев приводит к дефициту активного разгибания и формированию вторичной сгибательной контрактуры. Опасны попытки полностью восстановить сгибание в коленном суставе после устранения его вывиха при гипермобильных синдромах (Ларсен, Эллерса— Данлоса), особенно при наличии скошенности суставных поверхностей, поскольку это способствует рецидиву вывиха.
Ошибочным мы считаем вправление бедренных костей при двустороннем вывихе бедра у больных с тяжелыми формами артрогрипоза. В последние годы появились сообщения об эффективности данной операции в сочетании с укорочением бедренной кости в целях декомпрессии сустава и применении наиболее щадящей хирургической техники [20, 32]. Однако даже при относительно нетяжелых формах частота асептического некроза головки бедренной кости достигает 20%, а срок наблюдения недостаточен для окончательных выводов. По нашим данным, результаты открытого вправления определяются в первую очередь исходной тяжестью поражения нервно-мышечного аппарата. При резкой атрофии и перерождении мышц они неудовлетворительны — функцию тазобедренного сустава восстановить не удается, быстро формируются контрактуры и появляется болевой синдром. Изредка встречалась ситуация, когда врач ставил задачу исправить деформацию, очень мало влияющую на функциональную недостаточность больного в целом. Например, мы не видим необходимости в хирургическом исправлении нерезких эквинусных и приводящих деформаций стоп, не мешающих больному пользоваться обычной обувью, и полностью солидарны с Zimmerman и соавт. [31] в том, что в первую очередь исправлению подлежат наиболее функционально значимые деформации.
Выбор методики лечения
Консервативное лечение
Почти у 40% наблюдавшихся детей консервативное лечение не проводилось или было абсолютно недостаточным. Оно ограничивалось назначением массажа, рекомендациями родителям самим заниматься с ребенком лечебной гимнастикой и не предусматривало использования этапных гипсовых повязок, курсов физиотерапии, применения хондропротекторов и препаратов, улучшающих микроциркуляцию и течение обменных процессов. У 22% больных лечение этапными гипсовыми повязками проводилось, наоборот, чрезмерно долго — на протяжении 6-10 мес. Между тем, по нашим наблюдениям, при тяжелых деформациях максимальный эффект от такого лечения достигается в первые 2-3 мес. Далее прогрессируют остеопороз, атрофия мягких тканей, а контрактуры существенно не уменьшаются. При длительном лечении разгибательных контрактур коленного сустава этапными гипсовыми повязками мы отмечали у 85% больных вторичные деформации эпифизов и ретрокурвацию большеберцовой кости. До начала подобного лечения, а также в случаях, когда оно вообще не проводилось, частота таких деформаций составляла лишь 16%. У детей с гипермобильным синдромом резко возрастал риск развития вторичных деформаций, в частности стопы-качалки при лечении косолапости. Поэтому мы считаем, что через 2-3 мес такого лечения необходимо переходить к использованию съемных гипсовых лонгет, и особенно туторов, обеспечивающих более надежную фиксацию, а также ставить вопрос об оперативном вмешательстве. Попытки отложить его могут привести к тяжелым последствиям — подвывихи в коленном суставе переходят в вывихи со смещением костей голени проксимально на 8-10 см, в результате не устраненного подвывиха надколенника может сформироваться наружноротационный подвывих костей голени (рис.1).
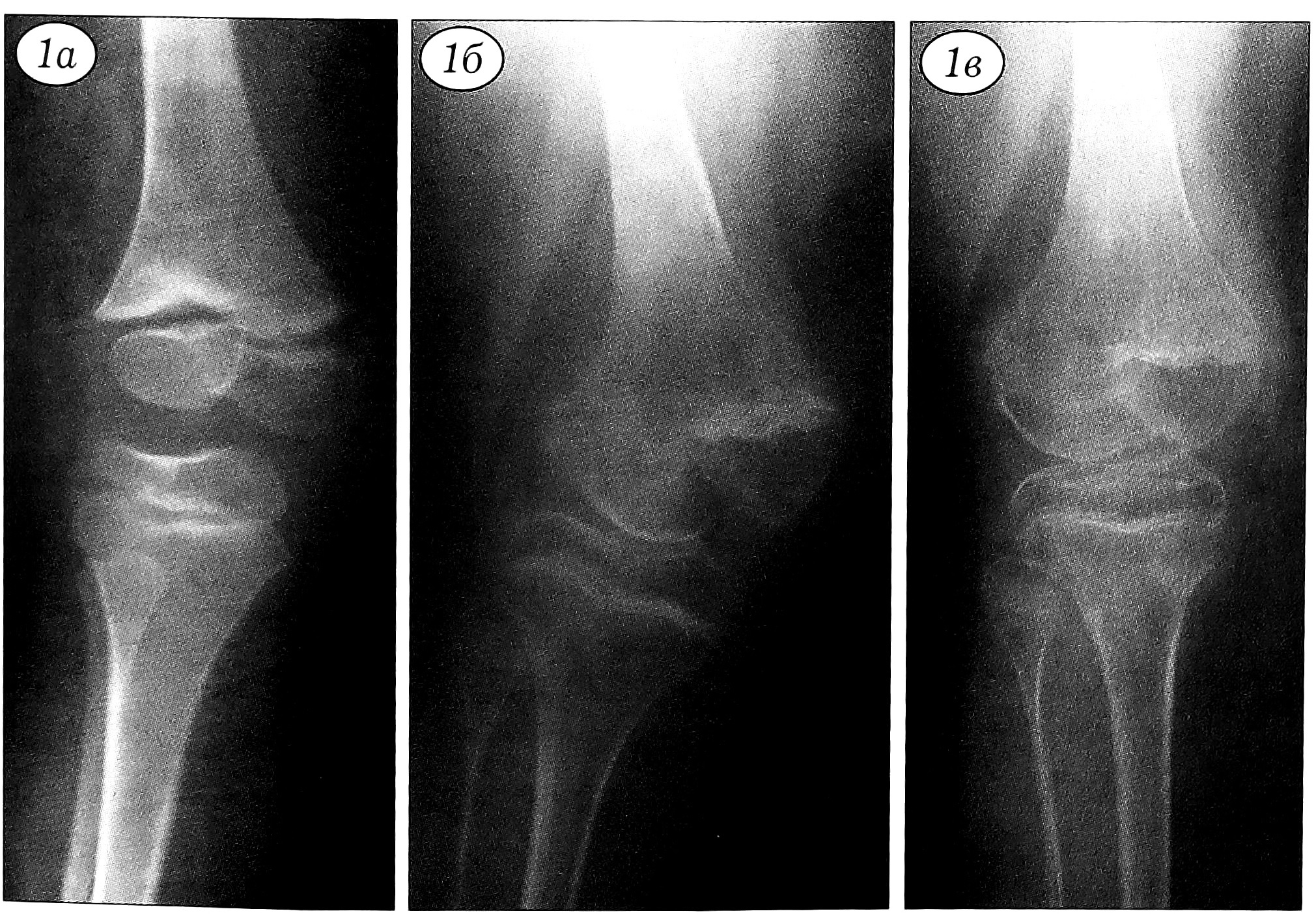
Рис. 1. Рентгенограммы коленного сустава больной Ч. Диагноз: диастрофическая дисплазия. а — в возрасте 3 лет; б — в возрасте 9 лет (сформировался наружноротационный подвывих в коленном суставе на фоне не устраненного вывиха надколенника); в — в возрасте 10 лет (после вправления вывиха надколенника и коленного сустава).
Особенно важным является вопрос о допустимости при системных заболеваниях опорно-двигательного аппарата попыток исправить деформации путем редрессаций, одномоментно вправить вывихи, в том числе и с использованием общей анестезии. Еще в 1949 г. Т.С. Зацепин [12] предупреждал, что при этом надо быть крайне осторожным, так как вместо исправления деформации легко получить перелом. Имеются сообщения о подобных осложнениях при лечении контрактур коленного сустава [31]. Отмечается, что этапные гипсовые повязки и редрессации при остеохондродисплазиях приводят к усугублению контрактур и развитию тугоподвижности в суставах [10]. В то же время ряд авторов [4—6] рекомендуют при неэффективности лечения вывихов в коленном суставе на специальной шине у больных с синдромом Ларсен производить одномоментное закрытое вправление под общей анестезией. Наши собственные данные, а также анализ осложнений, полученных при выполнении редрессаций и закрытых вправлений в других учреждениях, свидетельствуют о крайней опасности использования этих методик. На фоне резкого остеопороза переломы, эпифизеолизы и остеоэпифизеолизы возникают у больных с системными заболеваниями даже при незначительных усилиях, и получить эти осложнения гораздо более вероятно, чем исправить деформацию. Даже в ходе оперативных вмешательств при недостаточном артролизе коленного сустава попытка устранить вывих в нем приводит к сминанию эпифизов. Соответственно, вправление приходится прекращать и производить дополнительное рассечение напряженных сухожильно-фасциальных образований. Практически у всех больных, которым до поступления в институт выполнялись редрессации суставов и предпринимались попытки закрытого вправления вывихов, имелись вторичные деформации эпифизов, в трех случаях отмечалось повреждение зон роста с последующим их асимметричным закрытием, а у одного ребенка — асептический некроз эпифизов костей, образующих коленные суставы (рис. 2).
Рис. 2. Рентгенограмма нижней конечности больного Ш. 2,5 лет. Диагноз: синдром Ларсен. Осложнение после закрытого вправления вывиха коленного сустава (асептический некроз передненаружного отдела эпифиза большеберцовой кости, повреждение проксимальной зоны роста большеберцовой кости, деформация большеберцовой кости после закрытого ее перелома, повреждение дистальной зоны роста большеберцовой кости, парез мышц голени, укорочение костей голени).
Оперативное лечение
Наиболее типичной ошибкой при оперативном лечении было использование методики, не адекватной тяжести деформации. В первую очередь это относится к операции Штурма—Зацепина при коррекции тяжелых форм косолапости. Хорошо известно, что при артрогрипозе частота рецидивов после этого вмешательства составляет 60—77% [23, 27]. По нашим данным, при наиболее тяжелых формах системных заболеваний скелета ранние рецидивы наблюдаются у 100% больных. Из-за дефицита мягких тканей исправить деформацию на операционном столе не удается, и приходится длительно применять этапные гипсовые повязки в послеоперационном периоде. Устают и врач, и родители, и больной, а окончание лечения фактически совпадает с началом формирования рецидива. По нашему мнению, в подобной ситуации можно или отложить операцию до достижения ребенком 2,5-3 лет и сочетать вмешательство на мягких тканях с наложением компрессионно-дистракционного аппарата, или выполнить больному раннюю астрагалэктомию. Последняя технически проще, требует в несколько раз менее длительного стационарного лечения и послеоперационной иммобилизации стопы, больной начинает нагружать стопу в правильном положении на 2-3 года раньше, а рецидив наступает в более поздние сроки. Поэтому в последние годы мы предпочитаем данную операцию.
Второй по частоте методической ошибкой был неоправданный отказ от использования компрессионно-дистракционного аппарата. Резкая ретракция всех мягких тканей, атипичное расположение сосудисто-нервного пучка (особенно при птеригиум-синдромах) нередко не позволяют исправить даже умеренно выраженную деформацию на операционном столе, и компрессионно-дистракционный аппарат в этой ситуации просто незаменим.
Третья группа методических ошибок связана с неполной коррекцией всех компонентов деформации, в частности с выполнением операций только на мягких тканях при наличии выраженных костных деформаций. Последние появляются при системных заболеваниях гораздо раньше, чем при банальной ортопедической патологии. Наши наблюдения совпадают с данными литературы о том, что ранние корригирующие остеотомии и резекции при системной патологии менее эффективны, чем у обычных больных [29]. Однако если их не выполнять, то результат лечения оказывается еще хуже. Наиболее ярким примером необходимости коррекции костных деформаций является лечение вывихов коленного сустава. При наличии скошенности суставных поверхностей эпифизов устранение вывиха, даже с использованием пластики связок, недостаточно стабильно — мы наблюдали рецидивы у 75% больных. В случаях коррекции костной деформации путем клиновидной субхондральной резекции эпифиза большеберцовой кости по ранее описанной нами методике [13] рецидивов не отмечалось.
К четвертой группе методических ошибок мы отнесли использование методик лечения, не предусматривающих профилактику рецидивов. Пересадки мышц — классическая методика улучшения мышечного баланса и профилактики рецидива при ортопедических деформациях. По нашим данным, при системных заболеваниях, в частности при артрогрипозе, пересадка сгибателей голени на надколенник, выполняемая вторым этапом после устранения сгибательной контрактуры коленного сустава, позволяет практически полностью исключить рецидив. При этом лечебная гимнастика, направленная на восстановление сгибания в суставе, часто не показана, поскольку цель лечения — восстановить не функцию (движения в суставе), а опорность конечности. Следующим методом профилактики рецидива является декомпрессия суставов — операция Фосса, а также сочетание корригирующей остеотомии с укорочением сегмента [8, 28, 33]. Наши наблюдения показывают, что укорочение сегмента увеличивает на 15-20° амплитуду движений не только в ближайшем, но и в смежных суставах (за счет расслабления двусуставных мышц), предупреждает развитие в них постиммобилизационной тугоподвижности и рецидивов деформаций, а также позволяет избежать неврологических осложнений. Еще один метод профилактики рецидивов — тено- и лавсанодез суставов, используемые при системных заболеваниях в различных модификациях [1, 11, 15]. Сама возможность выполнения раннего, с 3 лет, лавсанодеза (что является отступлением от классических канонов ортопедии) обусловлена, во-первых, резко замедленным ростом костей и тяжелым остеопорозом (лавсановые связки постепенно прорезываются через кость, не вызывая вторичных деформаций) и, во вторых, тем, что у данной категории больных отсутствие рецидива и стабильность сустава важнее, чем попытка сохранить полную амплитуду движений. Однако, к сожалению, все эти методики применяются у больных с системными заболеваниями крайне редко. Следует помнить, что ранний лавсанодез противопоказан при наличии гипермобильного синдрома.
Технические особенности оперативных вмешательств
Наиболее очевидные технические ошибки состояли в чрезмерной одномоментной коррекции деформаций на операционном столе. При ряде системных заболеваний опорно-двигательного аппарата описаны предрасположенность к инфарктам кости, некрозу мягких тканей, плохое заживление ран, повышенная хрупкость сосудов [26]. Мы наблюдали подобные осложнения, не адекватные тяжести оперативного вмешательства, при синдроме Ларсен, грубых аномалиях пояснично-крестцового отдела позвоночника с нейротрофическими нарушениями, при диастрофической дисплазии. У этих больных при коррекции деформаций необходимо соблюдать особую осторожность, в идеале используя компрессионно-дистракционный аппарат, а в случае его отсутствия — исправляя деформацию в послеоперационном периоде этапными гипсовыми повязками.
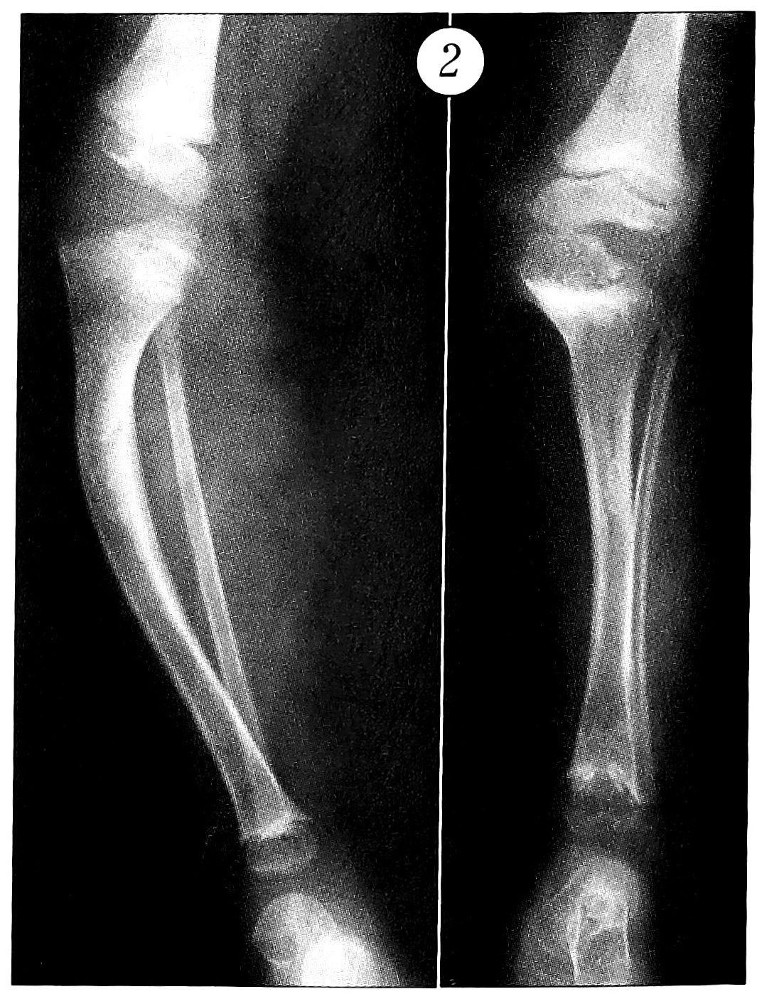
Вторая группа ошибок была связана с недооценкой тяжести остеопороза. У двух наблюдавшихся нами пациентов произошел перелом большеберцовой кости по типу «зеленой ветки» при обработке операционного поля, просто при изменении положения конечности, а у одного больного — при проверке амплитуды движений в суставе под общей анестезией. При использовании компрессионно-дистракционного аппарата отмечалась повышенная частота прорезывания спиц, переломов длинных костей на уровне проведения спиц, спицы с напайками прорезывались через кость на 2-5-й неделе после операции. У одного больного в результате прорезывания спицы через пяточную кость произошел апофизеолиз пяточного бугра. У 50% больных с исходной контрактурой коленного сустава под острым углом, у которых при наложении компрессионно-дистракционного аппарата удлинялись двуглавая, полусухожильная и полуперепончатая мышцы бедра, но не осуществлялась мобилизация точек прикрепления икроножной мышцы к мыщелкам бедра, не выполнялась задняя капсулотомия коленного сустава и не проводилась спица через дистальный эпифиз бедренной кости, наступил эпифизеолиз дистального эпифиза бедренной кости с последующим асимметричным нарушением функции зоны роста, которая приобретала косое расположение. Еще одним осложнением было появление в области метадиафиза большеберцовой кости лоозеровской зоны, на уровне которой происходило удлинение кости и формирование ее деформация (рис. 3). Эффективным методом уменьшения давления спиц на кость и профилактики этих осложнений является широкая артротомия, рассечение и удлинение напряженных сухожильно-фасциальных образований [3]. Все вышеизложенное не позволяет нам согласиться с авторами, рекомендующими производить коррекцию контрактур при системных заболеваниях только за счет использования спицевых и спицестержневых аппаратов или советующими сочетать наложение компрессионно-дистракционного аппарата с вмешательством на мягких тканях только при максимальной выраженности контрактур и у детей старше 5 лет [11, 16, 17]. Более того, мы считаем, что изолированное применение компрессионно-дистракционного аппарата является одной из причин потери коррекции, о которой сообщают некоторые авторы [21], а недостаточно широкая тенолигаментокапсулотомия у больных с гипермобильными синдромами приводит к тому, что растягиваются в первую очередь не деформированные суставы, а смежные, менее измененные.
Рис. 3. Рентгенограмма коленного сустава больного Л. 6 лет. Диагноз: артрогрипоз, состояние после коррекции сгибательной контрактуры коленного сустава аппаратом Илизарова. 1 — повреждение дистальной зоны роста бедренной кости, косое ее расположение; 2 — участок удлинения метадиафиза большеберцовой кости за счет лоозеровской зоны.
Мы также рекомендуем применять спицы большого диаметра (2 мм), проводить все спицы на разных уровнях, проводить дополнительные спицы и использовать опорные площадки из кортикальных аллотрансплантатов при проведении спиц с напайками. Что же касается проведения спицы через эпифиз бедренной кости при исправлении контрактур коленного сустава, то это желательно, но надо иметь в виду, что наличие в эпифизе потенциально инфицированного спицевого канала исключает возможность лавсанопластики связок (которая может оказаться необходимой) при снятии компрессионно-дистракционного аппарата. Важное значение при выполнении корригирующих остеотомий у больных с системными заболеваниями имеет выбор метода фиксации. Большинство исследователей рекомендуют использовать винты, металлические пластинки, так как это позволяет сократить срок иммобилизации, начать раннюю разработку движений в суставах и избежать образования тяжелых постиммобилизационных контрактур [8, 19]. Мы полностью с этим солидарны, хотим лишь отметить, что при наличии резко выраженного остеопороза такая фиксация ненадежна и не имеет преимуществ перед фиксацией спицами Киршнера и гипсовой повязкой.
Особенности ведения послеоперационного периода
Как уже отмечалось ранее, при лечении деформаций нижних конечностей у ряда больных с системными заболеваниями опорно-двигательного аппарата необходимо идти на заведомую тугоподвижность в суставе в функционально выгодном положении, а у других пациентов — максимально рано начинать восстановление движений в суставе. Отсутствие такого дифференцированного подхода явилось наиболее типичной ошибкой в ведении послеоперационного периода. Второй ошибкой было то, что занятия лечебной гимнастикой доверялись родителям без достаточного врачебного контроля. На фоне инконгруэнтности суставных поверхностей, ротационных и торсионных деформаций, боковой нестабильности суставов родители иногда проводили разработку движений в суставах в «патологической» плоскости. Во избежание этого мы рекомендуем в подобных случаях осуществлять разработку в облегченных шарнирных аппаратах. Практически все больные с системными заболеваниями скелета нуждаются после оперативного лечения в длительном, до завершения роста, снабжении ортопедической обувью, шинно-кожаными аппаратами и туторами. Необоснованный отказ от назначения ортопедической обуви имел место у 5% детей, а шинно- кожаных аппаратов — у 50%. Физиотерапевтическое, медикаментозное лечение, ЛФК, массаж показаны этим пациентам пожизненно. Оптимальным является ежегодное проведение такого лечения в условиях специализированных санаториев. Отсутствие подобной практики -— скорее не медицинская, а социальная проблема нашего времени.
Заключение. Лечение больных с системными заболеваниями опорно-двигательного аппарата имеет существенные особенности, касающиеся постановки цели и задач лечения, выбора оптимальных консервативных и хирургических методик, техники выполнения оперативных вмешательств и ведения послеоперационного периода.
К наиболее важным особенностям лечения относятся отказ от редрессаций и чрезмерного увлечения этапными гипсовыми повязками, отказ от восстановления функции (движений) суставов и нормальных анатомических соотношений в них, если это нарушает опорность конечности и усугубляет функциональную недостаточность пациента, ранняя и радикальная коррекция костных деформаций, широкое и раннее применение компрессионно-дистракционных аппаратов, мио- и лавсанопластики для профилактики рецидивов.
About the authors
Y. A. Lapkin
Research Children's Orthopedic Institute. G.I. Turner
Email: info@eco-vector.com
Russian Federation, St. Petersburg
M. P. Konyukhov
Research Children's Orthopedic Institute. G.I. Turner
Author for correspondence.
Email: info@eco-vector.com
Russian Federation, St. Petersburg
References
- Абушаева Л.П. //Актуальные вопросы детской травматологии и ортопедии: Материалы науч.-практ. конф. детских ортопедов-травматологов России. — СПб,2000. — С. 372-373.
- Афонина Е.Д., Нечаева Е.Я. //Северо-Западная науч.- практ. конф. педиатров и детских хирургов,1-я. — СПб,1997. — С. 27.
- Баталов О.А. //Хирургическая коррекция и восстановительное лечение повреждений и заболеваний опорно-двигательного аппарата у детей. — СПб; Казань,1996. — Ч. 1. — С. 88-90.
- Баталов О.А., Богосьян А.Б., Мусихина И.В. //Лечение и реабилитация детей-инвалидов с ортопедической и ортопедо-неврологической патологией на этапах медицинской помощи. — СПб,1997. — С. 161-162.
- Баталов О.А., Богосьян А.Б., Тенелин Н.А. //Патология крупных суставов и другие актуальные вопросы детской травматологии и ортопедии. — СПб,1998. — С. 221-222.
- Баталов О.А., Богосьян А.Б., Мусихина И.В., Тенелин Н.А. //Вестн. травматол. ортопед. — 1999. — N 2. — С. 69-70.
- Бережный А.П., Котов В.Л. //Наследственные заболевания скелета: Всерос. науч.-практ. конф. — М.,1998. — С. 69-71.
- Бережный А.П., Котов В. Л. //Новые имплантаты и технологии в травматологии и ортопедии: Конгресс травматологов-ортопедов России с междунар. участием. — Ярославль,1999. — С. 507-508.
- Бережный А.П., Цыкунов М.Б., Косов И.С., Еремушкин М.А. //Наследственные заболевания скелета: Всерос. науч.-практ. конф. — М.,1998. — С. 116-117.
- Волков М.В. Болезни костей у детей. — М.,1985.
- Джураев А.М. //Компрессионно-дистракционный метод в детской ортопедии. — Ташкент,1996. — С. 100— 123.
- Зацепин Т.С. Ортопедия детского и подросткового возраста. — М.,1949.
- Конюхов М.П., Лапкин Ю.А. Хирургическое лечение косолапости у больных с системными заболеваниями опорно-двигательного аппарата: Метод. рекомендации. — СПб,1998.
- Косова И.А., Михайлова Л.К., Нечволодова О.Л. //Актуальные вопросы детской травматологии и ортопедии: Материалы науч.-практ. конф. детских ортопедов-травматологов России. — М.,2001. — С. 186-187.
- Лапкин Ю.А., Конюхов М.П. //Травматол. ортопед. России. — 2002. — N 3. — С. 85-91.
- Миразимов Б.М., Джураев А.М. //Ортопед. травматол. — 1987. — N 5. — С. 44-46.
- Миразимов Б.М., Джураев А.М. //Там же. — 1989. — N 8. — С. 12-15.
- Михайлова Л.К., Цыкунов М.Б., Косов И.С., Еремушкин М.А. //Вестн. травматол. ортопед. — 1999. — N 1. — С. 55-58.
- Тарасов В.М., Водилов В.В., Цуканов В.Е., Коростылева И.С. //Актуальные вопросы детской травматологии и ортопедии: Материалы науч.-практ. конф. детских ортопедов-травматологов России. — М.,2001. — С. 211-212.
- Akazawa Н., Oda К., Mitani S., Yoshitaka Т., Asaumi К., Inoue Н. //J. Bone Jt Surg. — 1998. — Vol. 80B, N 4. — P. 636-640.
- Brunner R., Hefti F., Tgetgel J.D. //J. Pediatr. Orthop.- 1997. — Vol. 6, N 3. P. 192-197.
- Cadle R.G., Dawson T., Hall B.D. //J. Ky Med. Ass. — 1996. — Vol. 94, N 6. — P. 237-244.
- Chang C.H., Huang S.C. //Formos Med. Ass. — 1997. — Vol. 96, N 1. — P. 30-35.
- Habermann L., Sterling A., Dennis R. //J. Bone Jt Surg.- 1976. — Vol. 58A, N 4. — P. 558-562.
- Hunter A.G., //Clin. Genet. — 1999. — Vol. 56, N 6. — P. 434-440.
- Lutter L.D. //J. Pediatr. Orthop. — 1990. — Vol. 10, N 2. — P. 270-274.
- Niki H., Staheli L.T., Mosca V.S. //Ibid. — 1997. — Vol. 17, N 6. — P. 803-807.
- Saleh M., Gibson M.F., Sharrard W.J. //Ibid. — 1989. — Vol. 9, N 5. — P. 609-611.
- Schaefer D., Hefti F. //J. Bone Jt Surg. — 2000. — Vol. 82B, N 6. — P. 881-884.
- Simonian P.T., Staheli L.T. //J. Pediatr. Opthop. — 1995. — Vol. 15, N 3. —P. 288-291.
- Sodergard J., Hakamies-Blomqvist L., Sainio K., Ryoppy S., Vuorinen R. //Orthopedics. — 1997. — Vol. 6, N 3. — P. 167-171.
- Szoke G., Staheli L.T., Jaffe K., Hall J.G. //J. Pediatr. Orthop. — 1996. — Vol. 16, N 1. — P. 127-130.
- Zimmerman M.H., Smith C.F., Oppenheim W.C. //Clin. Orthop. — 1982. — N 171. — P. 87-93.
Supplementary files





