Possibilities of computed tomography in the complex assessment of scoliotic spinal deformity
- 作者: Vetrile S.T.1, Morozov A.K.1, Kisel A.A.1, Kuleshov A.A.1, Kosova I.A.1
-
隶属关系:
- Central Institute of Traumatology and Orthopedics. N.N. Priorova
- 期: 卷 10, 编号 1 (2003)
- 页面: 11-20
- 栏目: Original study articles
- ##submission.dateSubmitted##: 20.10.2020
- ##submission.datePublished##: 15.03.2003
- URL: https://journals.eco-vector.com/0869-8678/article/view/48239
- DOI: https://doi.org/10.17816/vto200310111-20
- ID: 48239
如何引用文章
全文:
详细
Complex evaluation of scoliotic deformity was performed using CT. Fifty patients with displastic scoliosis of III—IV degree were examined before and after surgical intervention — dorsal correction and spine fixation with Cotrel-Dubousset instrumentation. No marked derotation of spine at the deformity apex was noted postoperatively. Changes of thorax in the plane of apical vertebra were studied and quantitatively evaluated: postoperatively thorax became of more correct oval shape in all cases. Density of trabecular bone of apical and neutral vertebrae coincided with the understanding about asymmetry of deformed vertebrae bone density. No marked immediate postoperative changes were noted. Combination of CT and myelography showed the dislocation of dural sac to the side opposite to the deformity convexity; either partial (up to 60—70% in patients with deformity of III and early IV degree) or complete (in patients with severe deformity) disturbance of contrast distribution in subarachnoidal space from concave side and compensatory widening of subarachnoidal space from the opposite side with maximum changes at the apex of scoliotic deformity.
全文:
Деформация позвоночника при диспластичес- ком сколиозе является сложной трехплоскостной, сочетающей в себе нарушения расположения позвоночника во фронтальной, сагиттальной и горизонтальной плоскостях. Сколиотическая деформация описывается не только геометрическими изменениями физиологических дуг в различных проекциях, но и локальной геометрической деформацией тел самих позвонков, называемой клиновидностью, и нарушением анатомических соотношений между передними и задними элементами позвонка, называемым торсией. В клинической практике сколиотическая деформация обычно оценивается измерениями в двух проекциях. Определяются такие общие параметры, как нейтральные, вершинные позвонки, величина угла по Cobb, и локальные параметры — осевая ротация по Perdriolle. Однако эти двухплоскостные измерения не дают истинного представления о трехплоскостной деформации позвоночника, не позволяют достоверно судить о степени ротации, торсионных изменениях, о расположении спинного мозга в деформированном позвоночном канале. Измененная структура костной ткани тел позвонков, являющаяся причиной или проявлением деформации, не может быть изучена по обзорной рентгенограмме. Асимметрия грудной клетки и изменение ее формы после оперативного лечения сколиотической деформации не могут быть объективизированы по данным рентгенографии в переднезадней и боковой проекциях. Более широкие возможности в этом плане обеспечивают методики, основанные на получении изображения в двух плоскостях.
Материал и методы
За период с 1998 по 2002 г. в отделении патологии позвоночника ЦИТО 50 больным сколиозом проведено одноэтапное хирургическое лечение — дорсальная коррекция деформации и фиксация позвоночника системой Cotrel—Dubousset, задний спондилодез. Среди них лиц мужского пола было 5, женского — 45. Возраст больных составлял от 11 до 33 лет (средний возраст 15,7 года).
Пациентов обследовали клинически и рентгенологически до и после оперативного лечения. У 23 (46%) больных диагностирована III степень деформации, у 27 (54%) — IV степень. Средняя величина общего угла основной дуги искривления во фронтальной плоскости в положении стоя составляла 73,6° (от 39 до 128°). У всех пациентов был диспластический сколиоз. В исследуемую группу не вошли больные с исходным неврологическим дефицитом.
Лучевые методы диагностики играли решающую роль в оценке типа и вида деформации, определении степени ее мобильности, планировании оперативного вмешательства (уровня и протяженности фиксации). Исследования проведены в отделении лучевых методов диагностики на компьютерном томографе Xpeed («Toshiba»). Выполнялись аксиальные срезы (шаг 5 мм) на уровне вершинного, верхнего и нижнего нейтральных позвонков.
Исследовали ротацию вершинного и нейтральных позвонков, выбранные параметры грудной клетки для оценки ее формы и размеров на уровне вершинного позвонка в горизонтальной плоскости, костную плотность тел вершинного и нейтральных позвонков, положение спинного мозга, его отношение к стенкам позвоночного канала, состояние субарахноидального пространства (при сочетании с миелографией); все данные получали в процессе одного исследования.
Ротацию вершинного позвонка измеряли по методике Ааго и Dahlborn относительно сагиттальной плоскости. Измерение можно проводить и относительно передней срединной линии, но получаемые при этом данные не отражают реальную ротацию. Использование для расчетов сагиттальной плоскости минимизирует ошибки, возможные в случаях выраженной деформации позвоночника и грудной клетки и обусловленные положением пациента в момент исследования [7]. На рис. 1 представлена схема измерения ротации позвонка двумя упомянутыми способами при тяжелой деформации позвоночника и грудной клетки. Различия в результатах измерения обусловлены грубой анатомической деформацией и ротацией туловища относительно тазового пояса.
Рис. 1. Схема измерения ротации позвонка по методике Ааго и Dahlborn относительно передней срединной линии (а) и относительно сагиттальной плоскости (б).
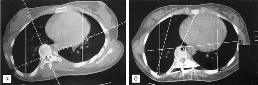
Для объективизации результатов исследования и оценки степени изменений формы и размеров грудной клетки мы ввели и изучили 4 основных параметра (измерения проводили на уровне вершины деформации) (рис. 2): расстояние от внутренней поверхности грудины до передней поверхности тела позвонка (1); расстояние между наиболее удаленными точками боковых поверхностей грудной клетки в плоскости, максимально приближенной к фронтальной (2); расстояния от наиболее дорсальной точки грудной клетки справа и слева (вершина гиббуса) до наиболее вентральной точки с соответствующей стороны (3 и 4). При тяжелых деформациях мы дополнительно измеряли расстояния от боковой поверхности тела позвонка справа и слева до боковой поверхности грудной клетки с соответствующей стороны в сагиттальной плоскости (5).
Рис. 2. Основные параметры, используемые для определения размеров и формы грудной клетки у больных сколиозом (пояснения в тексте).
Очевидно, что улучшение формы грудной клетки, т.е. стремление к симметричной правильной овальной форме, будет сопровождаться следующими изменениями значений исследуемых параметров: уменьшением расстояния от внутренней поверхности грудины до передней поверхности тела позвонка (1); некоторым уменьшением расстояния между наиболее удаленными точками боковых поверхностей грудной клетки (2); увеличением на вогнутой стороне деформации и уменьшением на выпуклой стороне (стремление к уравниванию) расстояния от наиболее дорсальной до наиболее вентральной точки грудной клетки (параметры 3 и 4).
Измерение костной плотности проводили на уровне вершинного, верхнего и нижнего нейтральных позвонков, на каждом уровне в трех точках: в центре тела, у правого края и у левого края тела позвонка в пределах губчатой кости.
Для оценки состояния субарахноидального пространства и положения спинного мозга компьютерную томографию сочетали с миелографией.
Результаты
Ротация
Ротацию вершинного позвонка можно оценивать либо как абсолютную величину (отклонение от передней срединной линии или сагиттальной плоскости) [9], либо как относительную — измеренную относительно нейтральных позвонков [7]. Мы использовали для оценки ротации оба варианта анализа. Ротацию вправо помечали знаком «—», ротацию влево принимали за положительную величину. Исследование выполнено у 29 пациентов.
Среднее абсолютное значение ротации, измеренной в горизонтальной плоскости, до оперативного лечения составило 24,5° (в группе больных с углом менее 80° оно равнялось 22,36°, с углом более 79° составляло 30,75°). Максимальное значение ротации, равное 45°, выявлено у больного А. с левосторонним грудным сколиозом с максимальной в исследуемой группе величиной общего угла основной дуги — 128° (рис. 3). После оперативного лечения среднее абсолютное значение ротации, измеренной в горизонтальной плоскости, составило 21,5° (19,5° у больных с углом деформации менее 80° и 30,0°— с углом более 79°), т.е. разница с предоперационным значением находится в пределах ошибки метода. Максимальная деротация, равная 17° (70,8%), получена у пациентки К. с диспластическим правосторонним грудным сколиозом. Существенная величина деротации позволяет считать ее истинной (рис. 4).
Рис. 3. Рентгенограмма позвоночника и КТ больного А. с левосторонним грудным сколиозом: величина общего угла основной дуги искривления 128°, ротация позвонка 45°.
Рис. 4. КТ больной К. с правосторонним грудным сколиозом до (а) и после (б) оперативного лечения. Деротация вершинного позвонка 17° (70,8%).
Нотация вершинного позвонка, измеренная относительно верхнего нейтрального, до операции равнялась в среднем 24,85°, т.е. была сравнима с абсолютной. После оперативного лечения она составила 18° — разница 6,85° (27,56%), что несколько больше соответствующего абсолютного показателя. В целом полученная коррекция ротации у каждого пациента несколько больше, поскольку верхний нейтральный позвонок, относительно которого проводятся измерения, также меняет свое положение в пространстве. В одном случае абсолютная деротация вершинного позвонка составила 5° (19%), а относительная — 11° (48,8%), что было связано с увеличением ротации вершинного позвонка на 6° (рис. 5).
Рис. 5. КТ больного В. с правосторонним грудным сколиозом до (а—в) и после (г—е) оперативного лечения. б, д — верхний нейтральный, в, е — вершинный позвонок.
Таким образом, проведенные исследования показали, что после оперативного лечения в большинстве случаев происходит деротация вершинного позвонка, но ее величина (3° — 12,2%) не является существенной и значимой. У 28% больных отмечено увеличение ротации после операции, однако во всех случаях (кроме одного, когда ротация возросла на 6°) оно было менее 5°, т.е. находилось в пределах ошибки метода исследования. Значимая деротация вершинного позвонка получена у 3 пациентов (14° — 33% от исходной ротации; 10° — 47,6%; 17° — 70,8%). Деротация вершинного позвонка, превышающая предел ошибки метода измерения (5°), констатирована у 31,8% пациентов.
Корреляционная связь между ротацией вершинного позвонка, измеренной по переднезадней рентгенограмме в положении больного лежа по методике Perdriolle, и абсолютной величиной ротации, измеренной с помощью КТ, до оперативного лечения была сильной прямой (коэффициент корреляции 0,83), после оперативного лечения — средней прямой (коэффициент корреляции 0,64). Меньшая корреляция после операции связана, повидимому, с большей погрешностью измерений по методике Perdriolle в послеоперационном периоде, когда элементы металлоконструкции наслаиваются на контуры тел позвонков.
Размеры и форма грудной клетки
Расстояние от внутренней поверхности грудины до передней поверхности тела позвонка до операции равнялось в среднем 97,36±17,16 мм, после операции оно составило 87,45±13,74 мм, т.е. уменьшилось на 9,91 мм (10,17%) — изменение по величине незначительное, но закономерное. Уменьшение данного параметра, отмеченное после оперативного лечения у 97% больных, является следствием приближения тела позвонка к передней срединной линии. Максимальное его значение составило 25 мм, или 18,25% от исходного показателя (рис. 6).
Рис. 6. Расстояние от внутренней поверхности грудины до передней поверхности тела позвонка до (а) и после (б) оперативного лечения (максимальное в исследуемой группе уменьшение данного параметра).
Расстояние между наиболее удаленными точками боковых поверхностей грудной клетки в плоскости, максимально приближенной к фронтальной, до операции равнялось в среднем 234,8±14,9 мм, после операции — 231,45±15,49 мм, т.е. уменьшилось на 3,35 мм (1,4% от исходного показателя), что укладывается в пределы ошибки метода. Максимальное уменьшение составило 12 мм, или 5,5% (рис. 7). Данный параметр уменьшился в послеоперационном периоде у 93% больных. Это изменение является следствием увеличения переднезаднего размера грудной клетки и отражает ее приближение к правильной овальной форме.
Рис. 7. Расстояние между наиболее удаленными точками боковых поверхностей грудной клетки до (а) и после (б) оперативного лечения (максимальное в исследуемой группе уменьшение данного параметра).
Расстояние от наиболее дорсальной точки грудной клетки до наиболее вентральной точки слева в послеоперационном периоде уменьшилось у 97% пациентов. До операции оно равнялось в среднем 121,6±8,22 мм, после оперативного лечения — 117,7±9,23 мм, т.е. разница составила около 4 мм (3,2% от исходного показателя). Однако есть примеры и достоверного изменения этого параметра — уменьшение на 11 мм, или 9,4%. Уменьшение расстояния от наиболее дорсальной точки грудной клетки слева до наиболее вентральной точки отражает стремление грудной клетки к симметрии.
Расстояние от наиболее дорсальной точки грудной клетки до наиболее вентральной точки справа до операции равнялось в среднем 120,9±12,1 мм. Минимальное расстояние составляло 99 мм; у этой же пациентки после оперативного лечения отмечено максимальное его увеличение — на 42 мм, или 42% от исходного показателя (рис. 8). После операции величина рассматриваемого параметра возросла в среднем до 127,3±7,19 мм, т.е. на 6,4 мм (5,3% от исходной). Увеличение расстояния от наиболее дорсальной точки грудной клетки справа (вогнутая сторона сколиотической деформации) до наиболее вентральной точки, отмеченное после оперативного лечения у 75,8% больных, отражает принятие грудной клеткой более правильной симметричной формы, а клинически проявляется уменьшением реберного горба.
Рис. 8. Расстояние от наиболее дорсальной до наиболее вентральной точки грудной клетки справа до (а) и после (б) оперативного лечения (максимальное в исследуемой группе увеличение данного параметра).
Таким образом, хотя выявленные изменения незначительны по величине, они имеют общую принципиальную направленность — приближение к правильной симметричной овальной форме грудной клетки в послеоперационном периоде. Максимально симметричной является грудная клетка с равными расстояниями от ее наиболее дорсальной до наиболее вентральной точки справа и слева (рис. 9).
Рис. 9. Восстановление симметричности грудной клетки после оперативного лечения (а — до, б — после операции).
Интересно отметить, что хотя компьютерно-томографические сканы после оперативного лечения выполнялись на том же уровне, что и до операции (середина тела вершинного позвонка первичной дуги), взаиморасположение внутренних органов на КТ менялось. Это было обусловлено изменениями формы и положения позвоночника (рис. 10).
Рис. 10. Изменение после оперативного лечения взаиморасположения внутренних органов, обусловленное изменениями формы и положения позвоночника (а — до, б — после оперативного лечения).
Костная плотность
Результаты исследования костной плотности позвонков представлены в таблице.
На уровне вершинного позвонка первичной дуги сколиотической деформации значимых различий в костной плотности, измеренной до и непосредственно после оперативного лечения, не обнаружено. Вместе с тем выявлена следующая закономерность: средняя величина костной плотности на вогнутой стороне деформации значимо больше, чем на выпуклой, как до, так и после оперативного лечения. Более высокая плотность костной ткани на вогнутой стороне деформации определяется и визуально при КТ (рис. 11).
Рис. 11. Вершинный позвонок первичной дуги деформации: плотность костной ткани на вогнутой стороне выше, чем на выпуклой.
Достоверных различий при сравнении показателей костной плотности в разных точках верхнего и нижнего нейтральных позвонков до и непосредственно после оперативного лечения не найдено. По вогнутой стороне деформации костная плотность нейтральных позвонков несколько ниже, чем по выпуклой, причем это различие наиболее выражено на уровне верхнего нейтрального позвонка после оперативного лечения (что, вероятнее всего, связано с изменением его положения в пространстве). В центре тела у верхнего нейтрального позвонка костная плотность значительно выше, чем у нижнего, как до, так и после оперативного лечения (практически на одинаковую величину).
Средние значения плотности кости (в единицах Хаунсфилда) в разных точках вершинного и нейтральных позвонков первичной дуги сколиотической деформации до и непосредственно после оперативного лечения
Период исследования | Позвонок | Центр тела позвонка | Выпуклая сторона | Вогнутая сторона |
До оперативного лечения | Верхний нейтральный | 348,45 | 306,55 | 291,18 |
Вершинный | 284,23 | 221,45 | 363,18 | |
Нижний нейтральный | 249,75 | 296,25 | 260,8 | |
После оперативного лечения | Верхний нейтральный | 326,3 | 358,3 | 263 |
Вершинный | 283,07 | 237,81 | 365,36 | |
Нижний нейтральный | 237,88 | 295,38 | 280,9 |
Состояние субарахноидального пространства и положение спинного мозга
Исследование проводилось с использованием компьютерной томографии в сочетании с миелографией.
На вершине искривления отмечалась дислокация дурального мешка в сторону, противоположную выпуклости деформации. Спинной мозг и окружающие его оболочки располагались в деформированном позвоночном канале, стремясь занять минимальное по длине расстояние, и смещались в вогнутую сторону позвоночного канала. Вследствие этого происходило сужение или полное перекрытие субарахноидального пространства с вогнутой стороны и его компенсаторное расширение с противоположной стороны на соответствующую величину (рис. 12). При миелографии у всех пациентов по вогнутой стороне определялось частичное (на 60-70% при III—начальной IV степени сколиоза) или полное (при тяжелых деформациях) нарушение распространения контрастного вещества в субарахноидальном пространстве, а по выпуклой стороне — свободное его прохождение. Полного ликворного блока у пациентов исследуемой группы не обнаружено.
Мы не выявили жесткой корреляции между степенью сужения и деформации дурального мешка на уровне вершинного позвонка и величиной общего угла первичной дуги искривления, хотя определенная зависимость отмечена (рис. 13).
Рис. 12. Схема расположения спинного мозга в позвоночном канале на уровне вершинного позвонка первичной дуги сколиотической деформации (1 — позвоночный канал; 2 — спинной мозг).
Рис. 13. Прохождение контрастного вещества на уровне вершинного позвонка при разной выраженности сколиотической деформации. а — больной с левосторонним грудным сколиозом, общий угол основной дуги деформации 128°, ротация вершинного позвонка 45°: по вогнутой стороне контрастное вещество практически не проходит; б — больная с правосторонним грудным сколиозом, общий угол основной дуги деформации 75°, ротация вершинного позвонка -19°: по вогнутой стороне контрастное вещество проходит в виде полосы, на выпуклой стороне субарахноидальное пространство значительно расширено.
На уровне нейтральных позвонков контрастное вещество проходило симметрично, однако если имелась некоторая ротация позвонка, то наблюдалась и асимметрия распространения контрастного вещества (рис. 14).
Рис. 14. Прохождение контрастного вещества на уровне нейтральных позвонков (ВН — верхний нейтральный, НН — нижний нейтральный, В — вершинный позвонок). Пояснения в тексте.
Таким образом, прослеживается следующая закономерность: чем выраженнее сколиотическая деформация, ротация вершинного позвонка и деформация позвоночного канала, тем значительнее асимметрия контрастируемого субарахноидального пространства, степень его сужения по вогнутой и расширения по выпуклой стороне деформации.
Обсуждение
Использование метода компьютерной томографии на этапе предоперационного обследования пациентов дает уникальную информацию, характеризующую сколиотический позвоночник в целом и каждый отдельный позвонок (ротацию, торсию, костную плотность тел вершинного и нейтральных позвонков), соотношение с деформированным позвоночным каналом спинного мозга (положение, отношение к стенкам канала) и субарахноидального пространства (расширение, сужение, деформация); позволяет рассчитать и проанализировать установленные параметры грудной клетки на уровне вершинного позвонка в горизонтальной плоскости для оценки ее формы, размеров и возможностей коррекции.
Исследование ротации вершинного позвонка методом КТ, безусловно, более достоверно и точно, чем методами Perdriolle и Nash, Мое, основанными на измерениях по обзорным рентгенограммам (и высоко коррелирует с этими методами — коэффициент корреляции 0,8). По данным литературы, «золотым стандартом» для расчета ротации вершинного позвонка является методика Ааго и Dahlborn [6]. Авторы рекомендуют рассчитывать угол между прямой линией, проведенной через центральную точку задней стенки позвоночного канала и середину тела позвонка, и сагиттальной плоскостью. Krismer и Sterzinger [10] в исследованиях на трупном материале (259 компьютерных томограмм, выполненных на 11 позвоночниках) подтвердили наивысшую точность измерения аксиальной ротации методом компьютерной томографии. Главным требованием при его применении является проведение строго перпендикулярных сканов через тело позвонка [10], что достижимо только на уровне вершины деформации.
При расчете ротации вершинного позвонка указанными выше способами не принимается во внимание положение грудной клетки относительно горизонтальной плоскости пространства, когда в положении пациента лежа ее фронтальная плоскость не совпадает с горизонтальной плоскостью пространства, образуя острый угол. После оперативного лечения форма грудной клетки, ротация туловища относительно тазового пояса изменяются, положение пациента относительно горизонтальной плоскости пространства при повторном обследовании также несколько меняется. Эти изменения у больных с III—начальной IV степенью сколиоза при измерении дают величины в пределах 5°, что укладывается в границы ошибки метода. Вместе с тем выраженная деформация грудной клетки, значительная ротация туловища относительно тазового пояса и обусловленное этим нестандартное положение пациента относительно горизонтальной плоскости пространства могут приводить к ошибкам измерения истинной ротации позвоночника и должны учитываться при проведении исследования.
Полученные нами данные (деротация вершинного позвонка после оперативного лечения 3°, или 12,2% от исходной ротации) контрастируют с имеющимися сообщениями о значительной деротации апикального позвонка [8, 9]. По сведениям других авторов [11], средняя деротация составляет 5° (16%) при измерении относительно передней срединной линии тела и 2° (13%) при измерении относительно сагиттальной плоскости, при этом исходная ротация равнялась соответственно 31 и 16°. Эти данные в целом согласуются с нашими.
Возможно, объяснение состоит в следующем. Рассмотрим позвонок на три сегмента ниже апикального. Крючок, расположенный сзади оси производимой ротации, не контролирует тело позвонка в такой степени, чтобы обеспечить его деротацию, хотя и обеспечивает коррекцию сагиттального профиля. Позвонок в целом смещается кзади и к срединной линии тела, при этом происходит некоторая деротация, а при движении крючка относительно дуги возможно даже усиление ротации (рис. 15).
Рис. 15. Схема «деротационного маневра».
При анализе данных, полученных методом КТ, важно выявить их корреляцию с соответствующими параметрами нерентгенологических методик, в частности оптической компьютерной топографии. По данным литературы [цит. 5], с ротацией позвоночника высоко коррелирует поворот «позвоночной области» в горизонтальной плоскости относительно фронтальной. Среднее значение угла поворота на уровне вершины деформации в нашей группе составило 20,34° до оперативного лечения и 16,35° после него, т.е. деротация незначительна — 3,99° (19,6%), что согласуется с результатами КТ .
Итак, основываясь на собственном опыте и данных литературы, мы полагаем, что при дорсальной коррекции сколиотической деформации системой Cotrel—Dubousset и фиксации металлоконструкции к задним элементам позвонков существенная деротация позвоночника не имеет места.
В литературе мы не встретили работ, сходных с нашим исследованием в отношении параметров грудной клетки. Malcolm и Wind [12] выполнили мультипланарную компьютерную томографию у 10 пациентов с идиопатическим грудным лордоско- лиозом, в том числе у 5 — повторно после оперативного лечения. Целью исследования было изучить положение и объем легких до и после оперативного лечения и выявить корреляцию между их функцией и деформацией позвоночника. После оперативного лечения у всех пациентов отмечено увеличение объема легких, что авторы связывают с изменением положения позвоночника и формы грудной клетки; количественные измерения размеров грудной клетки не проводились.
Практически во всех работах, касающихся оперативного лечения идиопатического сколиоза с использованием системы Cotrel—Dubousset, подчеркивается, что, несмотря на различную величину первичной дуги искривления, степень коррекции, изменение ротации, наличие или отсутствие декомпенсации, во всех случаях достигается улучшение формы допсальной поверхности грудной клетки.
При сколиотической деформации позвоночника представляет интерес локальная биоминераль- ная костная плотность определенных участков тел позвонков, включенных в дугу. DEXA с указанной точностью затруднена или невыполнима в условиях торсионных и ротационных изменений позвонков, а данные о костной плотности периферических отделов скелета не могут быть использованы как индикатор состояния губчатой кости позвоночника [13]. В нашем исследовании методом КТ были проведены оценка и сравнение костной плотности трабекулярной части тел вершинного и нейтральных позвонков в центре тела, по вогнутой и выпуклой сторонам у каждого пациента, в группе пациентов, до оперативного лечения и в послеоперационном периоде. Полученные результаты — более высокая плотность кости на вогнутой стороне деформации по сравнению с выпуклой стороной на уровне вершинного позвонка как до, так и после оперативного лечения, обратная закономерность на уровне нейтральных позвонков, отсутствие значимых различий в костной плотности вершинного позвонка до и непосредственно после оперативного лечения — в целом согласуются с представлениями об асимметрии костной плотности тел деформированных позвонков. Однако они не дают ответа на вопрос, является ли данная закономерность отражением существующей (либо формирующейся) деформации или причиной ее развития.
Сколиотическая деформация позвоночника есть одно из фенотипических проявлений генетически детерминированного сложного и многогранного диспластического развития организма; состояние и положение спинного мозга и окружающих его оболочек в измененных анатомических условиях деформированного позвоночного канала представляет значительный интерес.
В литературе описано исследование, выполненное в Королевском колледже хирургов Эдинбурга и Англии, в котором измерялось соотношение длины позвоночного канала и передней поверхности тел позвонков, на 36 препаратах позвоночника, в том числе на 15 с возможным идиопатическим сколиозом [14]. По мнению автора, полученные результаты свидетельствуют в пользу теории дисбаланса нейрокостного роста. У пациентов с идиопатическим сколиозом возможен замедленный рост спинного мозга, что, в свою очередь, вызывает замедление роста задних элементов вследствие их тесной взаимосвязи (длина задних элементов близка к длине канала), а поскольку тела продолжают расти, они лордозируются, затем ротируются. Таким образом, спинной мозг может выступать в роли силы, деформирующей позвоночник. Позвоночный канал стремится к правильному положению по отношению к сагиттальной плоскости, он не следует за ротацией тела, а во фронтальной плоскости смещается в сторону вогнутости.
Высокая степень удовлетворения больных результатом лечения, отмечаемая авторами исследований, служит косвенным подтверждением этого изменения, проявляющегося в улучшении внешнего вида пациента, что является для него одной из основных целей при обращении за медицинской помощью. Метод оптической компьютерной топографии позволяет исследовать и оценить в динамике рельеф дорсальной поверхности грудной клетки [1, 5]. Однако грудная клетка, как и сколиотический позвоночник, деформирована в трех плоскостях, и изменение рельефа ее дорсальной поверхности — только одна сторона происходящих изменений. Конкордантные изменения передней и боковых стенок грудной клетки, взаиморасположение органов грудной полости не могут быть объективизированы методом компьютерной топографии. Предложенная нами методика позволяет количественно оценить и проанализировать размеры грудной клетки в горизонтальной плоскости, изучить взаиморасположение органов грудной полости и исследовать произошедшие изменения в раннем и отдаленном послеоперационном периоде. Выявленные практически у всех пациентов однонаправленные изменения параметров, отражающие принятие грудной клеткой более овальной симметричной формы, позволяют говорить о закономерности этих изменений, а количественная оценка дает возможность провести математический анализ и объективизировать полученные результаты.
Об асимметричном росте позвонков при сколиотической деформации упоминалось уже около 100 лет назад (Nicoladoni, 1909). В отечественной литературе этот вопрос наиболее подробно освещен И.А. Мовшовичем [3]. Известный признак прогрессирования сколиоза (признак Мовшовича) выведен при обследовании более 200 пациентов с идиопатическим сколиозом в период наиболее интенсивного роста скелета. Однако автор подчеркивает сложность и субъективизм визуальной оценки, при которой нельзя получить числовые данные, сопоставимые в динамике и у разных пациентов. Развитие методов хирургического лечения сколиотической деформации невозможно без получения фундаментальных знаний о метаболизме костной ткани; для оценки повторяемости и обеспечения сопоставимости результатов, проведения математического анализа, количественного динамического контроля, изучения корреляционных связей необходима регистрация точных числовых данных по установленным критериям, что дополнит наши представления об этиологии и патогенезе сколиоза, принципах и возможностях его лечения.
Хотя укорочение позвоночного канала скорее является следствием, а не причиной сколиоза, а связь спинного мозга с задними элементами позвонков не столь прямая, мы полагаем, что изменения, происходящие со спинным мозгом и окружающими его пространствами и оболочками, требуют изучения с использованием всех современных технологий. Это важно как для понимания этиологии и патогенеза заболевания, так и для практического планирования тактики хирургического лечения.
В литературе этим вопросам уделяется относительно мало внимания [2, 4], поскольку сколиоз рассматривается как ортопедическое заболевание, а нейрохирургические аспекты высвечиваются только при развитии осложнений. Такой подход не является комплексным и не позволяет оказывать пациентам качественную медицинскую помощь на современном уровне. Учитывая сказанное, мы исследовали состояние субарахноидального пространства и положение спинного мозга с помощью компьютерной томографии в сочетании с миелографией. Полученные результаты дают представление о положении спинного мозга, форме субарахноидального пространства на уровне вершины деформации и нейтральных позвонков, однако для формулирования заключений и практических рекомендаций необходимы дальнейшие исследования в этом направлении.
Выводы
- Исследование ротации вершинного позвонка методом КТ обеспечивает более достоверные и точные результаты, чем предложенные ранее методики. Существенной деротации позвоночника у пациентов со сколиозом при дорсальной коррекции деформации системой Cotrel—Dubousset и фиксации металлоконструкции к задним элементам позвонков не выявлено.
- Предложенная нами методика позволяет количественно оценить и проанализировать размеры грудной клетки у больных сколиозом, изучить взаиморасположение органов грудной полости и проследить их изменения в раннем и отдаленном послеоперационном периоде. Выявленные практически у всех пациентов после оперативного лечения однонаправленные изменения параметров, отражающие принятие грудной клеткой более овальной симметричной формы, позволяют говорить о закономерности этих изменений.
- Данные, полученные при оценке костной плотности трабекулярной части тел вершинного и нейтральных позвонков у больных сколиозом, в целом согласуются с представлениями об асимметрии костной плотности тел деформированных позвонков, однако не отвечают на вопрос, является ли она отражением существующей (формирующейся) деформации или причиной ее развития.
- При сочетании КТ с миелографией установлены дислокация дурального мешка в сторону, противоположную выпуклости деформации, сужение или полное перекрытие субарахноидального пространства с вогнутой стороны и его компенсаторное расширение с противоположной стороны на соответствующую величину. Изменения максимально выражены на вершине сколиотической деформации и коррелируют с ее тяжестью.
作者简介
S. Vetrile
Central Institute of Traumatology and Orthopedics. N.N. Priorova
Email: info@eco-vector.com
俄罗斯联邦, Moscow
A. Morozov
Central Institute of Traumatology and Orthopedics. N.N. Priorova
Email: info@eco-vector.com
俄罗斯联邦, Moscow
A. Kisel
Central Institute of Traumatology and Orthopedics. N.N. Priorova
Email: info@eco-vector.com
俄罗斯联邦, Moscow
A. Kuleshov
Central Institute of Traumatology and Orthopedics. N.N. Priorova
Email: info@eco-vector.com
俄罗斯联邦, Moscow
I. Kosova
Central Institute of Traumatology and Orthopedics. N.N. Priorova
编辑信件的主要联系方式.
Email: info@eco-vector.com
俄罗斯联邦, Moscow
参考
- Васюра А.С., Новиков В.В., Михайловский М.В., Сар- надский В.Н. //Конф, молодых ученых «Новое в решении Актуальных проблем травматологии и ортопедии»: Тезисы докладов. — М., 2000. — С. 120.
- Копылов В.С., Потапов В.Э. //Съезд травматологов- ортопедов России, 7-й: Тезисы докладов. — Новосибирск, 2002. — С. 143.
- Мовшович И.А., Риц И.А. Рентгенодиагностика и принципы лечения сколиоза. — М., 1969.
- Потапов В.Э., Копылов В.С., Сороковиков В.А. и др. //Съезд травматологов-ортопедов России, 7-й: Тезисы докладов. — Новосибирск, 2002. — С. 163.
- Сарнадский В.Н., Фомичев Н.Г., Вилъбергер С.Я. //Там же. — С. 166.
- Aaro S., Dahlborn М. //Spine. — 1981. — Vol. 6. — Р. 567-572.
- Aaro S., Dahlborn M. //Ibid. —1981. — Vol. 6. — P. 460- 467.
- Dubousset J., Graf H., Miladi L., Cotrel Y. //Orthop. Trans. — 1986. — Vol. 10. — P. 36.
- Erker M.L., Betz R.R. //Spine. — 1988. — Vol. 13. — P. 1141-1144.
- Krismer M., Sterzinger W. //Ibid. — 1996. — Vol. 21. — P. 576-581.
- Lenke L.G., Bridwell K.H., Baldus С. // І. Bone Jt Surg. — 1992. — Vol. 74A. — P. 1056-1067.
- Malcolm J., Wind G. //Spine. — 1990. — Vol. 15. — P. 871-873.
- Mazess R.B. // Calcif. Tiss. Int. — 1984. — Vol. 36. — P. 8-13.
- Porter R.W. //Spine. — 2000. — Vol. 25. — P. 1360- 1366.
补充文件

















