Biological osteosynthesis in fractures of the trochanteric region of the femur
- Authors: Rublenik I.M.1, Vasyuk V.L.1, Shayko-Shaykovskiy A.G.2
-
Affiliations:
- Bukovina State Medical Academy
- Chernivtsi National University
- Issue: Vol 10, No 1 (2003)
- Pages: 38-41
- Section: Original study articles
- Submitted: 20.10.2020
- Published: 15.03.2003
- URL: https://journals.eco-vector.com/0869-8678/article/view/48254
- DOI: https://doi.org/10.17816/vto200310138-41
- ID: 48254
Cite item
Full Text
Abstract
New interlocking metal-polymeric fixative of the seventh generation for closed osteosynthesis in trochanteric fractures is elaborated and introduced into practice. The strength of the «bonefixative» system is calculated. The suggested fixative and the technique of its use meet the criteria of biologic (low invasive) osteosynthesis, provides the possibility to perform surgery via small skin incisions and thus minimizes the risk of intra- and post-operative complications.
Keywords
Full Text
Лечение переломов вертельной области бедренной кости является не только хирургической, но и общемедицинской, реабилитационной, психологической и социально-экономической проблемой [15]. В 1990 г., по оценке специалистов, в мире было зарегистрировано около 1,7 млн подобных переломов [5]. Согласно прогнозу, в 2050 г. их число на планете достигнет 6,3 млн. Тенденция к росту частоты этих повреждений связана с постарением населения. Установлено, что число переломов вертельной области растет быстрее, чем переломов шейки бедра [7, 8]. После травмы около половины больных утрачивают способность к самообслуживанию и нуждаются в постороннем уходе [8]. В Швеции, например, четырехмесячное лечение вертельного перелома бедра обходится в 12 000 USD [3]. В свете сказанного совершенствование методов хирургического лечения переломов вертельной области бедра и реабилитации пострадавших приобретают первостепенное значение для ортопедов [4].
Жесткая конструкция, состоящая из гвоздя и диафизарной накладки, использовалась для лечения внесуставных переломов шейки бедра с 30-х годов прошлого столетия [13]. Никаких существенных изменений этот метод лечения не претерпевал до 1952 г., когда Е. Pohl изобрел пластину, обеспечивающую возможность динамической нагрузки вдоль оси шейки бедра (dynamic hip screw — DHS) [11]. (Ernst Pohl — инженер, работавший в одном госпитале с Gerhard Kuntscher, пионером интрамедуллярного остеосинтеза.) Для широкого внедрения DHS в практику потребовалось около 20 лет [14]. И хотя сегодня этот способ остеосинтеза наиболее распространен, при его применении наблюдается до 10% «технических» и других осложнений [6]. Одним из последних достижений в данной области стала разработка и внедрение в 1990 г. Medoff sliding plate (MSP), которая обеспечивает возможность динамических нагрузок вдоль осей шейки и диафиза бедренной кости одновременно [10].
Наряду с накостными фиксаторами разработан и ряд интрамедуллярных конструкций для остеосинтеза вертельных переломов. Наиболее удачные из них — гамма-гвоздь (gamma nail — GN), по сути являющийся модификацией гвоздя Zikel [2]. и проксимальный бедренный гвоздь (proximal femur nail — PFN), который некоторые хирурги называют «trouble-shooter», подчеркивая сложную технику его применения [12].
Цель настоящего сообщения — представить первый опыт применения, а также биомеханическое обоснование нового фиксатора для закрытого остеосинтеза вертельных переломов бедренной кости, который соответствует критериям биологического (малоинвазивного) остеосинтеза.
Материал и методы
Нами (И.М. Рубленик, В.Л. Васюк) разработан и внедрен в практику блокирующий металлополимерный фиксатор седьмой модели (БМПФ-7) [1] для остеосинтеза вертельных переломов бедренной кости (регистрационный номер заявки на патент Украины № 99063518).
Фиксатор (рис. 1) состоит из круглого полого стержня переменного диаметра 1, в котором имеются сквозные окна 2 и 3, заполненные полиамидом-12. На проксимальном конце фиксатора находятся лыски 4, отверстие 5, шлиц 6, внутренняя резьба 7.
Рис. 1. Блокирующий металлополимерный фиксатор седьмой модели и схема его применения.
Остеосинтез при помощи устройства осуществляют закрытым способом, без обнажения места перелома, под контролем электронно-оптического преобразователя. Больного укладывают на тракционный стол с упором в промежность и фиксацией обеих стоп. Вытяжением по длине, небольшим отведением бедра (до угла 15°) при, как правило, нулевой ротации устраняют все виды смещения. Через разрез кожи длиной 4-5 см трепанируют большой вертел, сверлом калибруют костномозговую полость. В подготовленную таким образом кость вводят фиксатор. Через отверстие 10 кондуктора 8 и отверстие 5 фиксатора в головку бедра вводят спицу 9, размещая полимерные участки фиксатора в одной плоскости с шейкой бедра. При помощи кондуктора 8 просверливают в полимерном участке 3, головке и шейке бедренной кости два канала под углом 130° к продольной оси бедра. Еще два канала просверливают в поперечном направлении через бедренную кость и полимерный участок 2. В сформированных каналах нарезают метчиком резьбу и вводят винты 11 и 12. Спицу 9 и кондуктор 8 удаляют, на кожу накладывают швы.
Расчет прочностных характеристик БМПФ-7
Для обеспечения стабильности остеосинтеза при использовании БМПФ-7 проведены биомеханическое исследование прочностных параметров этого типа фиксаторов, расчет необходимого числа винтов, а также их диаметра.
Сила Р (см. рис. 1) действует параллельно продольной оси фиксатора. Это означает, что мы имеем случай сложного сопротивления — внецентренного действия силы на стержень фиксатора. Для этого случая напряжения определяются по формуле:
где: Р=70-90 кг (масса тела пациента); F— площадь сечения фиксатора; Ми - изгибающий момент, действующий на стержень фиксатора; Wно — осевой момент сопротивления сечения стержня фиксатора.
Угол между продольной осью бедренной кости и осью шейки бедра составляет 130°; путем несложного пересчета с использованием тригонометрических функций получим, учитывая средний диаметр кости, что расстояние между осью фиксатора и линией действия силы Р составляет 4,5-5,0 см. Тогда:
Действующие в материале стержня статические напряжения:
Введя коэффициент запаса прочности к = 2,5, получим, что допустимые напряжения составляют:
[σ] = (2160÷3520) кг/см2 для стали 12Х18Н9Т и [σ] = (2360÷3320) кг/см2 для стали 12Х18Н10Т.
Расчетные напряжения σ< [σ], это означает, что прочность стержня фиксатора обеспечена.
Проверим прочность блокирующих винтов, используемых при проведении остеосинтеза с помощью фиксатора БМПФ-7. На винт действует усилие:
Плечо изгибающей силы составляет:
Согласно условию прочности напряжения изгиба, возникающие в материале блокирующих винтов, должны быть меньше допустимых:
где (d — диаметр блокирующего винта); п — число винтов, необходимых для обеспечения прочности. Подставляем эти значения в формулу:
откуда получаем выражение для определения необходимого числа блокирующих винтов:
Для материала винтов, согласно ГОСТ 18143-72, σв = 1080 МПа. Принимая к = 1,5, получаем [σ] = 7200 кг/см2. Определим необходимое число винтов при различных значениях диаметров (d):
d=4 мм
d=5 мм
d=6 мм
Проверим величину напряжений смятия σсм в месте контакта блокирующие винты — полимерная вставка в дистальном конце фиксатора:
где d — диаметр винтов, используемых для фиксации в дистальной части конструкции; h — толщина слоя полимерной вставки (11,5 мм); п - число винтов, необходимых для обеспечения прочности. Подставляя, получим:
откуда имеем выражение для определения необходимого числа винтов:
, отсюда:
- при d = 4 мм
- при d = 5 мм
- при d = 6 мм прочность будет обеспечена с еще большим запасом;
- при d = 3,5 мм
Таким образом, для обеспечения стабильности при статических нагрузках в дистальном конце фиксатора достаточно одного винта.
Проверим прочность кортикального слоя:
где ∆ — толщина кортикального слоя.
Таким образом, получаем:
отсюда:
- при d = 4 мм
- при d = 5 мм
- при d = 3,5 мм
Следовательно, для обеспечения стабильности в условиях статических нагрузок достаточно одного винта. Реальные нагрузки являются динамическими, что необходимо учитывать при оценке прочности рассматриваемых соединений.
Проверим величину напряжений смятия, возникающих в месте контакта винтов в верхней части кости — при фиксации БМПФ-7 в шейке бедра. Поскольку нагрузки, передаваемые соединением «кость—винты—фиксатор», относятся к виду сложного сопротивления — внецентренному сжатию, необходимо учесть влияние на материал полимерной части фиксатора как осевых, так и изгибающих усилий. Условие прочности в общем виде можно представить как:
Здесь
Будем считать, что в соединении используется п винтов. Полагая, что нагрузка равномерно распределяется на все винты, получим:
откуда:
Определим необходимое число винтов при различных значениях d:
- при d = 4 мм n ≥ 2,50 (n = 3);
- при d = 5 мм n ≥ 2,46 (n = 3);
- при d = 6 мм n ≥ 2,44 (n = 3).
Эти значения совпадают с соответствующими значениями числа винтов, полученными из условия прочности при работе на изгиб.
Клинический пример применения БМПФ-7
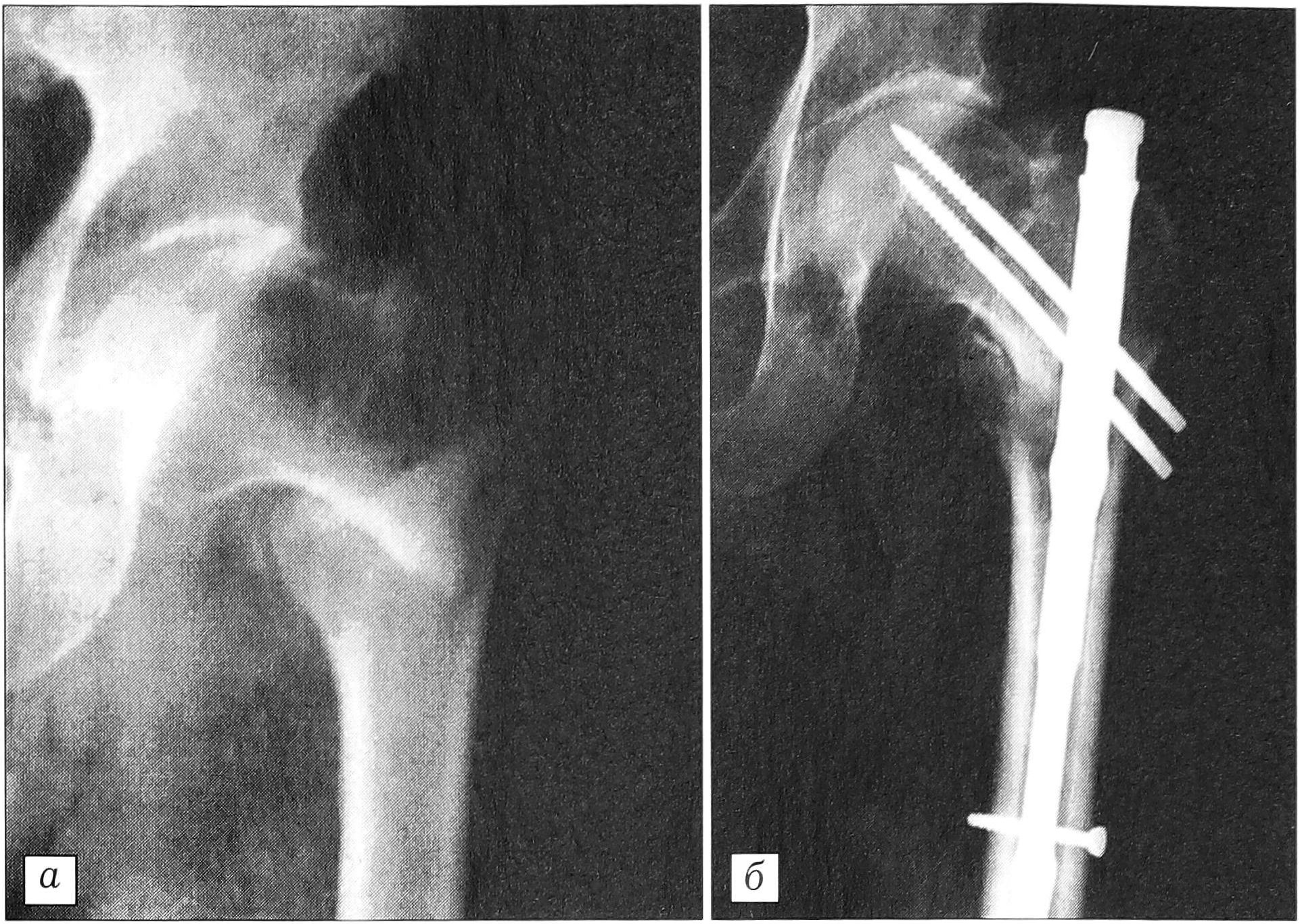
Больной Н ., 1920 года рождения, поступил в травматологическое отделение 22.05.99 с диагнозом: закрытый чрезвертельный перелом левой бедренной кости со смещением отломков — 3.1.А1/2 по классификации АО (рис. 2, а). Травму получил в результате падения на улице. 24.05.99 произведена операция — закрытый остеосинтез левой бедренной кости при помощи БМПФ-7 по разработанной методике. Послеоперационный период протекал без осложнений. Через 7 дней после операции пациент выписан на амбулаторное лечение. Частичная нагрузка оперированной конечности начата через 1 мес после операции, полная — через 2,5 мес. Осмотрен через 3,5 мес: двигательная и опорная функция конечности полностью восстановлены, рентгенологически — перелом сросся с полным восстановлением анатомии проксимального конца бедренной кости (рис. 2, б).
Рис. 2. Рентгенограммы больного Н. при поступлении (а) и через 3,5 мес после операции (б).
Обсуждение
Среди ортопедов-травматологов все еще бытует мнение, что переломы вертельной области бедренной кости прекрасно срастаются при лечении методом скелетного вытяжения на протяжении 2 мес и дальнейшей реабилитации в течение 2- 2,5 мес. При этом не существует риска интра- и послеоперационных осложнений, которые встречаются при оперативном методе лечения.
Однако лица пожилого возраста, которые составляют основной контингент травмированных, очень тяжело переносят вынужденное положение и длительный постельный режим. Вследствие обездвиживания у них обостряются хронические заболевания, возникают пролежни, пневмонии, что может приводить к фатальным последствиям.
Поэтому основным направлением в лечении данной группы больных является снижение риска оперативных вмешательств. Этой цели соответствует биологический остеосинтез, основные принципы которого были сформулированы в начале 90-х годов прошлого столетия. Биологический остеосинтез предполагает закрытую репозицию фрагментов под контролем рентгенотелевизионной аппаратуры, выполнение операции через проколы кожи. Для него характерно минимальное повреждение мягких тканей в зоне перелома, сохранение кровоснабжения фрагментов при обеспечении достаточно стабильной фиксации отломков и безиммобилизационного активного функционального режима [1].
Предложенный нами БМПФ-7 полностью отвечает указанным требованиям. Его металлическая основа обеспечивает достаточную жесткость, а наличие полимерных окон дает возможность быстро и атравматично проводить блокирующие и фиксирующие винты, которые позволяют системе «кость—фиксатор» противостоять дислоцирующим нагрузкам. На основе расчетов, проведенных с использованием аппарата сопротивления материалов, обоснованно определены минимально необходимое число блокирующих и фиксирующих винтов, а также их диаметр. Расчетным путем оценена прочность всех элементов биотехнической системы «кость—винты—фиксатор».
Разработанный фиксатор и методика его применения соответствуют критериям биологического остеосинтеза, что сводит к минимуму риск интра- и послеоперационных осложнений, оптимизирует реабилитацию пациентов.
About the authors
I. M. Rublenik
Bukovina State Medical Academy
Email: info@eco-vector.com
Ukraine, Chernivtsi
V. L. Vasyuk
Bukovina State Medical Academy
Email: info@eco-vector.com
Ukraine, Chernivtsi
A. G. Shayko-Shaykovskiy
Chernivtsi National University
Author for correspondence.
Email: info@eco-vector.com
Ukraine, Chernivtsi
References
- Рубленик І.М., Васюк В.Л., Шайко-Шайковсъкий О.Г. //Буковинський мед. вісн. — 1999.— Т.3, N 1. — С. 100-106.
- Albareda J., Laderiga A., Palanca D. et al. //Int. Orthop. - 1996. — Vol. 20. — P. 47-50.
- Borgquist L., L.indelow G., Tborngren K-G. //Acta Orthop. Scand. — 1991. — Vol. 62. — P. 39-48.
- Ceder L., Lunsjo K., Ollson O. et al. //Orthop. Trans. — 1996.— Vol. 20.— P. 162-163.
- Cooper C., Campion G., Melton L. J. //Osteoporosis Int. - 1992. — Vol. 2. — P. 285-289.
- Gundle R., Garqan M.F., Simpson A. //Injury. — 1995. — Vol. 26. — P. 611-614.
- Kannus P., Parkkari J., Sievanen H. et al. //Bone. — 1996. — Vol. 18. — P. 576-635.
- Keene G.S., Parker M.J., Pryor G.A. //Brit. Med. J. — 1993. — Vol. 307. — P. 1248-1250.
- Kykla C., Heins T., Berger G. et al. //Acta Chir. Austriaca. - 1997. — Bd 5. — S. 290-293.
- Medoff R.J., Maes K. //J. Bone Jt Surg. — 1991. — Vol. 73A. — P. 1192-1199.
- Schumpelick W., Jantzen P.M. //J. Bone Jt Surg. — 1955. — Vol. 37A. — P. 693-698.
- Seibert F.G., Schippinger G., Szyszkowitz R. //Acta Chir. Austriaca. — 1997. — Bd 5. — S. 294-295.
- Thornton L. //Piedmont Hosp. Bull. — 1937. — Vol. 10.— P. 21-27.
- Treharne R.W. //Orthop. Rev. — 1982. — Vol. 11. — P. 45-52.
- Zuckerman J.D. //New Engl. J. Med. — 1996. — Vol. 334. — P. 1519-1525.




