Особенности лечения повреждений таранной кости
- Авторы: Корышков Н.А.1, Зайцев О.В.1
-
Учреждения:
- Ярославская государственная медицинская академия
- Выпуск: Том 10, № 1 (2003)
- Страницы: 46-50
- Раздел: Оригинальные исследования
- Статья получена: 20.10.2020
- Статья опубликована: 15.03.2003
- URL: https://journals.eco-vector.com/0869-8678/article/view/48256
- DOI: https://doi.org/10.17816/vto200310146-50
- ID: 48256
Цитировать
Полный текст
Аннотация
Представлен опыт диагностики и лечения повреждений таранной кости у 50 больных (52 повреждения). Включение в комплекс обследования компьютерной томографии позволило повыситъ точность диагностики, особенно при переломах тела и блока таранной кости в сагиттальной плоскости. Консервативное лечение проведено 8 (16%) больным, оперативное — 42 (84%). При хирургическом лечении пересечение внутренней лодыжки обеспечивает анатомичный (сохранение дельтовидной артерии) и обширный доступ для ревизии зоны перелома таранной кости. Выполненная в ранние сроки точная репозиция и прочная фиксация отломков таранной кости погружными металлоконструкциями является средством компенсации сосудистых расстройств. При сохранении умеренного болевого синдрома, формировании небольших зон асептического некроза и отсутствии пролапса таранной кости показаны активная сосудистая терапия и выжидательная тактика. При выраженном болевом синдроме, сосудистых расстройствах и асептическом некрозе значительной части таранной кости с ее пролабированием можно рассматривать показания к резекционной астрагалэктомии. Отдаленные результаты лечения прослежены у 43 больных: хороший результат получен у 36 (83,7%) удовлетворительный — у 7 (16,3%)) пациентов.
Ключевые слова
Полный текст
В своей практической деятельности травматологи сталкиваются с повреждениями таранной кости нечасто, однако высокий процент неудовлетворительных исходов при традиционном их лечении заставляет искать новые подходы к решению этой проблемы. Длительная нетрудоспособность, ограничение трудовой деятельности и снижение качества жизни — таков нередко итог незначительного, на первый взгляд, повреждения таранной кости. Ошибки в диагностике, неверная лечебная тактика, недостаточное знание кровоснабжения таранной кости приводят к печальным результатам.
Материал и методы
Под нашим наблюдением с 1996 по 2002 г. находились 50 больных с повреждениями таранной кости, в том числе 2 — с двусторонними. Мужчин среди них было 42, женщин — 8, средний возраст пострадавших составлял соответственно 38,1 и 40,6 года. Закрытые переломы и переломовывихи диагностированы в 32 (61,5%), открытые — в 20 (38,5%) случаях. У 8 (16%) больных были изолированные повреждения таранной кости, у 42 (84%) — множественная и сочетанная травма различной степени тяжести. Переломы без смещения отломков имели место в 8 (15,4%) случаях, со смещением — в 29 (55,8%), вывих стопы в подтаранном суставе — в 15 (28,8%).
Оперативное лечение было проведено 42 (84%) больным, консервативное — 8 (16%).
Результаты и обсуждение
В отдаленном периоде обследованы 43 (86%) пациента, из них хороший результат лечения констатирован у 36 (83,7%), удовлетворительный — у 7 (16,3%). Среди осложнений следует отметить три случая аваскулярного некроза блока таранной кости и один случай нагноения и некроза мягких тканей после открытого вывиха стопы в подтаранном суставе.
Принимая во внимание имеющиеся в литературе сведения о кровоснабжении таранной кости [1, 3, 6, 10], мы расширили показания к оперативному лечению ее повреждений. Традиционно консервативный подход, предполагающий использование фиксационного метода с разгрузкой стопы, дает хорошие результаты при переломе шейки таранной кости без смещения отломков [5, 7]. В остальных случаях высок процент аваскулярного некроза [8], при формировании которого единственным вариантом хирургического лечения остается астрагалэктомия. Своевременная и полная диагностика повреждений, активное хирургическое пособие, базирующееся на знании кровоснабжения таранной кости, применение малотравматичного доступа позволяют добиться хороших результатов лечения.
Проанализировав данные литературы [2, 4, 9, 11] и наблюдения из собственной клинической практики, мы сочли целесообразным включить в обследование больных метод компьютерной томографии. Это позволило получить неоценимую информацию, особенно для диагностики переломов тела и блока таранной кости, локализующихся в сагиттальной плоскости, которые при отсутствии значительных смещений не выявляются с помощью рентгенографии в стандартных укладках. КТ была выполнена у 12 (24%) больных, при этом полученные результаты существенно повлияли на дальнейшую тактику.
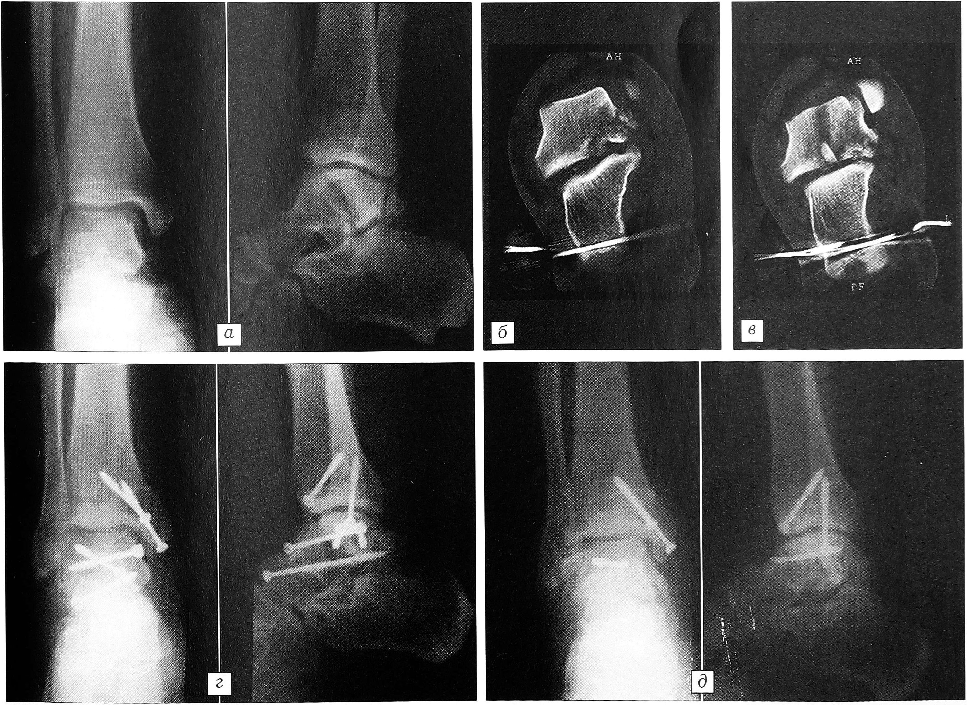
Пример 1. Больной А., 31 года, получил травму на производстве: оступившись, упал с высоты 1,5 м. Госпитализирован с диагнозом: закрытый перелом блока таранной кости правой стопы (рис. 1, а). Наложена система демпферированного скелетного вытяжения за пяточную кость. Для определения степени и вида разрушения таранной кости, кроме рентгенографии в типичных укладках, произведена компьютерная томография. Диагноз уточнен: закрытый оскольчатый перелом блока и тела таранной кости во фронтальной и сагиттальной плоскостях (рис. 1, б, в). Примечательно, что продольный перелом (в сагиттальной плоскости) на типичных рентгенограммах не выявляется. Больной оперирован на 3-и сутки. Медиальный доступ с отсечением внутренней лодыжки. Выполнен остеосинтез отломков блока таранной кости четырьмя винтами. Внутренняя лодыжка фиксирована двумя винтами (рис. 1, г). Послеоперационное течение без осложнений. Контрольный осмотр через 3 мес после операции: пациент ходит с помощью трости, болей, отеков нет. На контрольных рентгенограммах признаков асептического некроза таранной кости не выявлено. Приступил к труду без ограничений через 4 мес. Винты из таранной кости удалены через 11 мес, один винт при удалении сломался (рис. 1, д).
Рис. 1. Рентгенограммы и компьютерная томограмма больного А. а — рентгенограммы при поступлении; б, в — КТ во фронтальной проекции при поступлении: б — многооскольчатый перелом внутреннего края тела таранной кости, в — хорошо виден перелом тела таранной кости, проходящий в сагиттальной плоскости, с интерпозицией мелких костных осколков; г — рентгенограммы после открытой репозиции и фиксации таранной кости четырьмя винтами; д — рентгенограммы при удалении металлоконструкций: в блоке таранной кости виден сломавшийся винт, внутренняя лодыжка фиксирована вновь.
Использование широкого и малотравматичного доступа с отсечением внутренней лодыжки открыло новые возможности оперативного лечения рассматриваемой патологии. Точность и анатомичность репозиции создают хорошие условия для регенерации костной раны и компенсации нарушений кровообращения поврежденной кости. Прочная межфрагментарная фиксация и компрессия, достигаемая применением погружных металлоконструкций (9 винтов), является мощной мерой профилактики асептического некроза.
Пример 2. Больной В., 31 года, упал во время работы с высоты более 2 м. Диагноз: перелом шейки таранной кости правой стопы (рис. 2, а). Оперирован через 10 ч после травмы. Оперативный доступ с остеотомией внутренней лодыжки. При ревизии выявлен Ѵ-образный трехфрагментарный перелом тела и шейки таранной кости. Примечательно, что перелом тела обнаружен только при ревизии на операционном столе. Произведены открытая репозиция и фиксация винтами АО тела и шейки таранной кости (рис. 2, б). Послеоперационное течение без осложнений, заживление первичным натяжением. Нагрузка в функциональном туторе разрешена через 2 мес. Пациент приступил к труду без ограничений через 5 мес.
Рис. 2. Рентгенограммы больного В. а — при поступлении; б — после открытой репозиции и фиксации тела и шейки таранной кости винтами АО.
Обследование пациентов через 1-1,5 мес с обязательным рентгенологическим контролем и применением функциональных методов оценки состояния кровообращения поврежденной конечности (ультразвуковая допплерография) позволяет своевременно выявить асептический некроз — в ранней и обратимой, на наш взгляд, стадии. Проведение комплекса сосудистой терапии (реополиглюкин, трентал, фраксипарин, детралекс) создает предпосылки для торможения и регресса претерпеваемых костью изменений.
Пример 3. Больной Г., 34 лет, госпитализирован с диагнозом: автодорожная политравма — закрытая черепно-мозговая травма, ушиб головного мозга; перелом диафиза левого плеча со смещением отломков; открытый оскольчатый перелом шейки и блока левой таранной кости со смещением отломков, открытый перелом внутренней лодыжки слева (рис. 3, а). Операции в день госпитализации: интрамедуллярный остеосинтез левого плеча, первичная хирургическая обработка раны стопы, остеосинтез таранной кости и внутренней лодыжки винтами. Послеоперационная иммобилизация голеностопного сустава и стопы аппаратом АО (3 нед) и функциональным тутором с супинатором. Дозированно возрастающая нагрузка в туторе через 2 мес после операции. При контрольном осмотре через 3 мес выявлен пролапс и начинающийся асептический некроз части блока таранной кости (рис. 3, б). Проведен курс лечения антикоагулянтами, дезагрегантами, препаратами, улучшающими реологические свойства крови. Физические нагрузки снижены, рекомендованы плавание, занятия на тренажере, массаж. При контрольном осмотре через 1 мес отмечены уменьшение зоны некроза, сохраняющаяся контрактура голеностопного сустава (рис. 3, в). Металлоконструкции удалены через 6 мес, пациент приступил к работе по специальности.
Рис. 3. Рентгенограммы больного Г. а — при поступлении; б — при контрольном осмотре через 3 мес: определяется пролапс и начинающийся асептический некроз части блока таранной кости; в — после курса интенсивной сосудистой терапии.
В данном случае наблюдение за пациентом в динамике позволило своевременно выявить осложнение травмы (асептический некроз); консервативное лечение, направленное на компенсацию нарушений кровообращения, и снижение нагрузки привели к регрессу сосудистого осложнения.
Если избежать прогрессирования патологических изменений не удается, следует придерживаться органосохраняющей тактики. При незначительных участках асептического некроза без пролабирования костной ткани и отсутствии или умеренной выраженности болевого синдрома оправданны активная сосудистая терапия и выжидательная тактика. В случае возникновения асептического некроза на больших участках и пролабирования блока (тела) таранной кости при выполнении oперативного пособия целесообразно резецировать лишь ту зону таранной кости, которая, по рентгенологическим данным, подверглась некрозу.
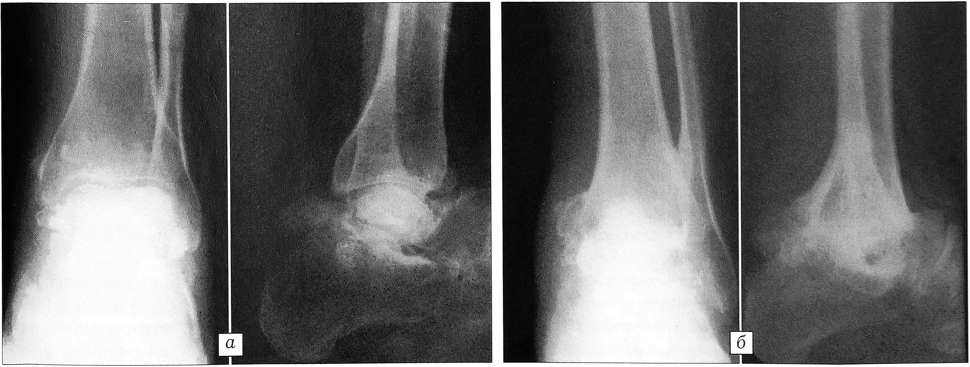
Пример 4. Больной С., 38 лет, был сбит автобусом. Госпитализирован в районную больницу с диагнозом: автодорожная политравма — открытая черепно-мозговая травма, ушиб головного мозга; закрытый подтаранный вывих левой стопы. Выписан на амбулаторное лечение через неделю (нарушение режима). Устранения вывиха стопы не производилось. Обратился в клинику через 1,5 года после травмы для определения степени инвалидности и уточнения показаний к ампутации левой стопы. Диагноз при госпитализации: асептический некроз блока таранной кости, деформирующий артроз левого подтаранного сустава, застарелый подтаранный вывих стопы, болевой синдром, лимфостаз левой стопы и голени (рис. 4, а). Произведены резекция блока таранной кости, компрессионный артродез (аппарат Илизарова). Разрешена нагрузка на ногу. Через 2 мес аппарат снят, наложен гипсовый сапожок с каблуком. Контрольный осмотр через 6 мес после операции: артродез состоялся, болей и отеков нет (рис. 4, б). В настоящее время работает сторожем, инвалид III группы.
Рис. 4. Рентгенограммы больного С. а — при поступлении (через 1,5 года после травмы); б — через 6 мес после операции.
Техника резекционной астрагалэктомии с оставлением кровоснабжаемой части таранной кости позволяет сохранить один из важных элементов рессорности стопы (таранно-ладьевидный сустав) в условиях анкилозирования зон над- и подтаранных суставов. Мы считаем целесообразным применение органосохраняющей тактики и прибегаем к полной астрагалэктомии исключительно редко.
Об авторах
Н. А. Корышков
Ярославская государственная медицинская академия
Email: info@eco-vector.com
Россия, Ярославль
О. В. Зайцев
Ярославская государственная медицинская академия
Автор, ответственный за переписку.
Email: info@eco-vector.com
Россия, Ярославль
Список литературы
- Абушенко В.С. //Ортопед. травматол. — 1971. — N 10. — С. 88.
- Вейсман Ю.А., Лацис А.К. Артрография подтаранного сустава: Метод. рекомендации. — Рига, 1982.
- Гудушаури Я.Г. Лечение вывихов и переломовывихов костей стопы с учетом регионарной гемодинамики: Автореф. дис.... канд. мед. наук. — М., 2000.
- Майкова-Строганова В.С., Рохлин Д.Г. Кости и суставы в рентгеновском изображении. — Л., 1957.
- Миразимов Б.Б., Миразимова Т.М., Иногамджанов Т.И. //Актуальные вопросы травматологии и ортопедии. — Ташкент, 1991. — С. 59-62.
- Фишкин В.И., Львов С.Е., Удальцов В.П. Регионарная гемодинамика при переломах костей. — М., 1981.
- Черкес-Заде Д.И., Каменев Ю.Ф. Лечение открытых переломов стопы: Метод. рекомендации. — М., 1990.
- Черкес-Заде Д.И., Каменев Ю.Ф. Хирургия стопы. — М., 1995.
- Якимов Л.А. Повреждения в области таранно-пяточного сустава: Автореф. дис. ... канд. мед. наук. — М., 1990.
- Hellal В., Rowley D.I., Cracchiolo A. III., Myerson M.S. Surgery of disorders of the foot and ankle. — London, 1996.
- Johnson K.A. The foot and ankle. — Lippincott, 1998.
- Moore K.L., Dalley A.F. Clinically oriented anatomy. — Lippincott Williams & Wilkins, 1999.
- Wulker N., Stephenson M., Cracchiolo A. III. An atlas of foot and ankle surgery. — London, 1998.
Дополнительные файлы






