Experience in the use of composite biocompatible implants in the clinic of pediatric and adolescent orthopedics
- Authors: Malakhov O.A.1, Krasnoyarov G.A.1, Belykh S.I.1, Kozhevnikov O.V.1, Ivanov A.V.1, Tatarenkov V.I.1
-
Affiliations:
- Central Institute of Traumatology and Orthopedics. N.N. Priorova
- Issue: Vol 10, No 1 (2003)
- Pages: 78-83
- Section: Original study articles
- Submitted: 20.10.2020
- Published: 15.03.2003
- URL: https://journals.eco-vector.com/0869-8678/article/view/48264
- DOI: https://doi.org/10.17816/vto200310178-83
- ID: 48264
Cite item
Full Text
Abstract
Specialists from Children Orthopedic Clinic (CITO) and Institute of Medical Technology elaborated therapeutically active implants on the base of N-vinilpirrolidone and methylmethacrylate with different additives. Those implants were successfully applied in clinical practice. Experimental study on rabbits showed the possibility of implants to stimulate osteogenesis. Various types and shapes of implants were elaborated using different combinations of additives. Minimum invasive surgical intervention and indications to implants’ application were worked out. From 1987 to 2001 one hundred thirteen patients with various pathology (obstetrical paresis, clubfoot, juvenile femur head ephiphysiolysis, congenital hip dislocation, funnel-shaped deformity of thorax, dystrophic varus deformity of femur head, osteochondropathy of lower limbs) were treated surgically using new implants. At 3—5 years follow up good and excellent anatomic and functional results were noted in 89% of cases.
Keywords
Full Text
Как известно, частота сложной врожденной и приобретенной патологии опорно-двигательного аппарата имеет тенденцию к увеличению. Так, в 1999 г. число детей с болезнями костно-мышечной системы возросло по сравнению с 1998 г. на 57 тыс. [5]. Наблюдается также неуклонный рост числа пациентов с явлениями недостаточности репаративных процессов, и в частности репарации костной ткани. Нередко приходится сталкиваться со значительным увеличением сроков консолидации костных фрагментов, довольно высокой остается частота несращений переломов костей с образованием ложного сустава. Это определяет актуальность разработки способов эффективной стимуляции остеогенеза. Самой распространенной на сегодняшний день методикой является использование костных трансплантатов. Наиболее широко применяется костная аллопластика. Однако процесс замещения чужеродной кости собственной протекает медленно, а антигенные свойства аллоткани небезразличны для организма реципиента [7]. Возможны отторжение, неполное замещение имплантата, поздние нагноения и переломы в области бывшего дефекта [4]. Что касается аутопластики, то ее возможности, особенно в детской практике, ограничены. Кроме того, при использовании этого метода нередки осложнения: по данным М.В. Волкова [2], их частота колеблется от 17 до 27%.
Для предотвращения иммунных конфликтов и исключения других недостатков аллопластики стали применять специально обработанные костные имплантаты, такие как костный материал с удаленной органической частью «биокерамическая матрица», деминерализованный костный матрикс [9, 11, 12] и др. Однако это не обеспечивает достаточно быстрого течения процессов регенерации, а наличие массивных имплантатов в зоне построения новой кости тормозит ее правильное формирование. Поэтому некоторые авторы прибегают к перфорированию трубчатой деминерализованной костной матрицы [6] или используют другие методы физического либо химического воздействия на аллокость.
Недостаточная эффективность аллопластики, проблемы биосовместимости, известные сложности заготовки и стерилизации костных трансплантатов заставляют искать новые пути стимуляции остеогенеза. Перспективным направлением этого поиска, на наш взгляд, является использование биосовместимых искусственных материалов, которые могли бы адекватно и полноценно заменять костные трансплантаты, с течением времени подвергаться биодеструкции, стимулировать процессы регенерации, создавать местную антибактериальную среду.
В рамках этой задачи ВНИИИМТ совместно с ЦИТО была разработана полимерная композиция на основе сополимера N-винилпирролидона с метилметакрилатом, армированная специальным капроновым волокном, которая обладает всеми перечисленными выше свойствами [1].
Распределение больных по видам патологии
Нозологическая форма | Мальчики | Девочки | Всего |
Акушерский парез | 2 | 2 | 4 |
Врожденная косолапость | 2 | - | 2 |
Юношеский эпифизеолиз головки бедренной кости | 2 | - | 2 |
Врожденный вывих бедра | 5 | И | 16 |
Воронкообразная деформация грудной клетки | 4 | 1 | 5 |
Остеохондропатии нижних конечностей | 16 | 9 | 25 |
Coxa vara | 10 | 14 | 24 |
Болезнь Пертеса | 19 | 16 | 35 |
Итого | 60 | 53 | 113 |
Материал состоит из гидрофильного и гидрофобного компонентов, между которыми помещены лекарственные вещества. Рассасывание материала происходит постепенно. Под действием жидких сред организма сополимер распадается на отдельные фрагменты и подвергается фагоцитозу, высвобождая биологически активные вещества. Армирующие капроновые волокна также распадаются вследствие гидролиза, ферментативного расщепления и захватывания фагоцитами. В качестве лекарственных наполнителей мы выбрали глюконат кальция и оротовую кислоту. Первый служит депо кальция, необходимого для остеогенеза. Оротовая кислота участвует в цикле биосинтеза пиримидиновых нуклеотидов (урацила и цитозина), которые образуются в результате фосфорилирования. Положительное влияние оротовой кислоты на процессы костеобразования показано в работе Ю.И. Филиппова [10]. Имплантаты из разработанного материала разрешены к применению приказом Минздрава СССР № 1217 от 25.10.84 (п. 93).
За период с 1987 по 2001 г. в клинике детской и подростковой ортопедии ГУН ЦИТО имплантаты из полимерных материалов применены при хирургическом лечении врожденной и приобретенной патологии опорно-двигательного аппарата у 113 больных. Возраст пациентов составлял от 4 до 18 лет (средний возраст 11 лет). Девочек было 53, мальчиков — 60.
Как видно из представленной таблицы, диапазон ортопедических заболеваний и, следовательно, операций был достаточно широким. В зависимости от приоритетной цели применения тех или иных форм имплантатов хирургические вмешательства были разделены нами на две группы. В первой группе основными «задачами» имплантатов являлись надежная фиксация при отсутствии необходимости последующего удаления конструкций и профилактика гнойно-воспалительных осложнений (стимулирующий эффект не выражен), во второй группе — стимуляция остеорепарации и антимикробный эффект (механическая прочность низкая).
В качестве фиксаторов биополимерные имплантаты использовались при оперативной коррекции акушерского пареза, юношеского эпифизеолиза головки бедренной кости, врожденного вывиха бедра, воронкообразной деформации грудной клетки, врожденной косолапости (всего у 29 пациентов).
У 4 больных с акушерским парезом для фиксации фрагментов длинных костей — при деротационной остеотомии плеча и предплечья — был выполнен интрамедуллярный остеосинтез биосовместимыми полимерными штифтами. Использованы штифты, произведенные по Российской лицензии фирмой «Diversified» (Бельгия) под торговой маркой BOP-F. Они были изготовлены путем прессовки и содержали 60% капронового волокна и 40% сополимера, прочность их на изгиб составляла 16- 18 МПа. В процессе наблюдения за больными мы отметили замедленную консолидацию костных фрагментов, а у одного больного пришлось удалить полимерный имплантат из-за несращения лучевой кости и выполнить реостеосинтез с фиксацией металлической пластиной. При исследовании удаленного имплантата обнаружено, что штифт был разрушен в зоне наибольшей нагрузки — остеотомии, обнажились армирующие волокна. Как оказалось, эти негативные свойства штифтов типа ВОР фирмы «Diversified» были связаны с тем, что при их изготовлении использовались полиамидные волокна толщиной 900 Тех, в 10 раз превышающей толщину волокон, используемых при производстве российских аналогов — штифтов марки ШП. Это привело к резкому ухудшению качества и глубины кислотной обработки нитей, изменению распределения волокон и связующего компонента, снижению способности имплантатов к биодеструкции и к ухудшению их прочностных характеристик. В дальнейшем мы отказались от применения интрамедуллярных штифтов ВОР и от остеосинтеза с помощью подобных конструкций отломков длинных костей, обладающих рычаговыми свойствами.
Указанных выше недостатков лишены отечественные полимерные гибридные штифты (ШПГ), прочность которых на 30-40% превышает прочность штифтов ВОР, составляя 23-25 МПа. Это обусловлено тем, что в качестве армирующих волокон в них использована смесь капроновых волокон и высокомодульного арамидного волокна — терлона, на долю которого приходится 20-25%.
Кроме ШПГ, мы широко применяли биосовместимые штифты для остеосинтеза с антимикробным покрытием марки ШПА. Они имеют форму цилиндрических стержней, снабженных четырьмя или восемью ребрами жесткости, и выпускаются 10 типоразмеров (диаметром от 5 до 14 мм и разной длины). Полная биодеструкция штифтов запрограммирована на 1,5-3 года, в зависимости от их размера и индивидуальной реакции организма.
Прочные фиксаторы нового поколения мы использовали для остеосинтеза коротких костных сегментов. У 2 детей с врожденной косолапостью при помощи полимерных штифтов успешно осуществлен артродез голеностопного сустава, который состоялся через 3 мес. ШПА были применены также для фиксации головки бедра у 2 детей (мальчики) 12 и 13 лет, страдающих юношеским эпифизеолизом головки бедренной кости І-II степени: под рентгенологическим контролем через просверленный канал в головку и шейку бедра были введены два штифта диаметром 6 мм. Данная методика позволила снизить травматичность вмешательства и обеспечить надежную фиксацию головки без применения костных имплантатов и массивных металлоконструкций. Пациенты активизировались на 3-й день после операции: вставали при помощи костылей, занимались лечебной гимнастикой. Признаки оссификации эпифизарной зоны отмечены у одного больного к 4-му, у другого — к 6-му месяцу после операции, тогда же разрешена нагрузка на ногу. Срок наблюдения составил 4 года. В обоих случаях получен хороший анатомо-функциональный результат.
Одним из наиболее распространенных и тяжелых видов ортопедической патологии у детей является врожденный вывих бедра. Зачастую для его коррекции требуются сложнейшие реконструктивные операции на тазобедренном суставе с использованием металлических фиксаторов, трансплантатов. Для уменьшения операционной травмы, сокращения продолжительности стационарного лечения мы использовали у 9 детей короткие (20- 30 мм) штифты ШПА. Штифты (обычно не более трех) вводили в костный расщеп по периметру вертлужной впадины для удержания навеса при ацетабулопластике в положении коррекции. Ось штифтов совпадала с вектором осевой нагрузки на сустав, поэтому фиксация была очень надежной. Благодаря биосовместимости, стимулирующим и антимикробным свойствам полимерных фиксаторов область имплантации довольно быстро заполнялась костной тканью, гнойно-воспалительные осложнения отсутствовали. К 5 мес после операции пациентам разрешалась полная опора на больную ногу. Необходимости в удалении фиксаторов не было. Сроки наблюдения составили от 2 до 6 лет. Повторных коррекций не потребовалось. У 7 детей (сроки наблюдения 1-3 года) был применен усовершенствованный вариант операции: с целью упрощения техники вмешательства мы расклинивали костные фрагменты пирамидальными полимерными конструкциями того же состава. В целом из 16 больных данной группы хороший результат был получен у 11 (68,75%), удовлетворительный — у 5 (31,25%). Неудовлетворительных исходов не было.
Для коррекции и остеосинтеза грудины при оперативном лечении воронкообразной деформации грудной клетки у детей в нашей клинике разработана фиксирующая конструкция на основе полимерных штифтов (получены российский и международный патенты). Фиксатор имеет одинаковый с грудной клеткой модуль упругости, обеспечивает длительную стабилизацию в правильном положении, не препятствуя регенерации грудины, не требует повторной операции для его удаления, неизбежной при применении металлоконструкций. Всего по поводу воронкообразной деформации грудной клетки оперированы 5 больных в возрасте от 5 до 16 лет. Суть методики заключается в следующем. Производят хондротомию ребер, выделяют грудину и выполняют стернотомию на вершине деформации. Затем на ребрах с помощью швов крепят фиксатор, к которому подшивают грудину в положении коррекции. У 4 больных получен хороший функциональный и косметический результат при сроке наблюдения до 9 лет. В одном случае (у девочки 7 лет) результат оказался неудовлетворительным из-за развития нагноительного процесса, потребовавшего удаления фиксатора. Это осложнение мы связываем с отсутствием в материале антимикробных добавок, погрешностями в послеоперационном ведении больной в период отработки методики.
Основной задачей оперативного вмешательства у другой категории больных была стимуляция остеорепарации. Способность полимеров переносить лекарственные вещества в зону введения, выделяя их там, и стимулировать остеогенез послужила основанием для разработки целой группы новых биоактивных имплантатов. Создан полимерный материал марки ППВ для заполнения костных полостей, который представляет собой гибкие стержни («соломку») толщиной 3-4 мм и длиной 100-400 мм, изготавливаемые методом холодной склейки из модифицированного капронового волокна, покрытые смесью сополимера ППМ-1 и глюконата кальция. Проведенные на кроликах экспериментальные исследования убедительно продемонстрировали стимулирующие свойства соломки. Разработано несколько рецептур полимерных композиций, содержащих различные лекарственные вещества: РЕКОС — предназначена для ускорения регенерации костной ткани; АМКОС — обеспечивает местное антимикробное действие; АРЕКОС — комбинированная композиция, способствующая регенерации и оказывающая антимикробное действие; ППВ — композиция, не содержащая лекарственных добавок.
Гибкость соломки и возможность легко резать ее обычными ножницами позволяют быстро заполнять любые костные дефекты. Такая полимерная композиция выполняет роль остеокондуктора, способствующего образованию в зоне деструкции костного регенерата [8]. Сама соломка рассасывается под действием сред организма в течение 9-15 мес.
Биоактивная композиция с успехом использована при лечении различных остеохондропатий нижних конечностей. При неэффективности консервативной терапии производилась чрескожная туннелизация патологической зоны с введением искусственных материалов. Всего по данной методике оперировано 25 детей, из них у 13 применена биоактивная соломка, а у 12 — жидкая полимерная композиция.
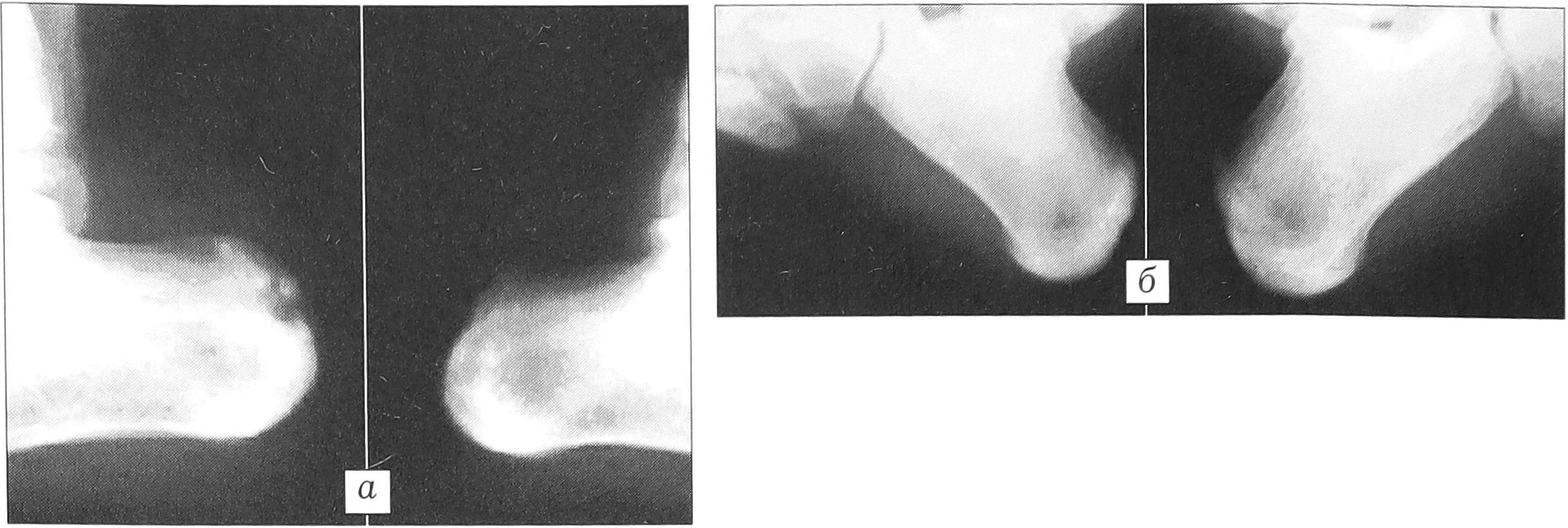
Клинический пример. Больной К., 14 лет. Диагноз: болезнь Хаглунда—Шинца справа. В течение 3 лет беспокоят боли в пяточной области, возникающие при ходьбе и отмечаемые при пальпации. На протяжении года проводились курсы консервативной терапии, не давшие эффекта. Рентгенологически определяется картина остеохондропатии бугра пяточной кости со свободно лежащим костным фрагментом (рис. 1, а). Произведена туннелизация области остеохондропатии и введен биоактивный имплантат с глюконатом кальция и оротовой кислотой. Иммобилизация гипсовой лонгетой продолжалась 14 дней. Болевой синдром купирован в течение 2 нед, рентгенологическая картина нормализовалась через 6 мес (рис. 1, б).
Рис. 1. Больной К. 14 лет. Диагноз: болезнь Хаглунда—Шинца справа. а — рентгенограммы до операции: дефект области бугра правой пяточной кости; б — рентгенограммы через 6 мес после операции: практически полное закрытие дефекта.
Жидкий полимер вводили пункционным способом в очаг поражения, пломбируя его. В последующем полимерная композиция постепенно рассасывалась и замещалась полноценной костной тканью. Данная методика лечения применялась при таких видах патологии, как болезнь Осгуда— Шлаттера, Келера 1 и 2, Хаглунда—Шинца, болезнь Кенига, причем в последнем случае полимер вводился пункционно артроскопически. У всех больных отмечено раннее восстановление функции конечности.
Клинический пример. Больной Л ., 12 лет. Диагноз: болезнь Келера 1 справа (рис. 2, а). Болевой синдром в течение года. По месту жительства на протяжении полугода получал консервативное лечение, не давшее эффекта. В клинике детской ортопедии ЦИТО произведена туннелизация области остеохондропатии с введением жидкой полимерной композиции. Боли прошли в течение 1 мес после операции. Через 12 мес рентгенологически констатировано восстановление формы и структуры кости (рис. 2, б). Результат лечения расценен как отличный.
Рис. 2. Больной Л. 12 лет. Диагноз: болезнь Келера 1 справа. а — рентгенограммы до лечения: деструкция ладьевидной кости с признаками фрагментации; б — рентгенограммы через 12 мес после введения биоактивной композиции ППМ-1: восстановление структуры ладьевидной кости.
Сроки наблюдения за больными с остеохондропатиями составили от 6 мес до 3 лет. Каких-либо осложнений не зафиксировано. Отмечено раннее купирование болевого синдрома, быстрое восстановление кости. Во всех случаях результаты расценены как хорошие и отличные.
При хирургической коррекции варусной деформации шейки бедра (coxa vara) мы применяли терапевтически активную соломку АРЕКОС с целью создания благоприятных условий для развития микроциркуляторной сети, стимуляции костной регенерации. Как указывалось выше, в состав этого материала входят оротовая кислота и глюконат кальция. Выделяясь в окружающие ткани путем диффузии, они способствуют нормализации белкового обмена в диспластических тканях шейки бедра и создают антимикробную среду. Оперированы 24 ребенка с coxa vara (33 сустава) в возрасте от 3 до 16 лет. Выполнялась корригирующая межвертельная остеотомия с устранением всех компонентов деформации. Фиксация осуществлялась Г-образной металлической пластиной, при этом проводилась трехканальная туннелизация шейки бедра через патологический очаг до ростковой зоны с введением активной соломки. Гнойно-воспалительных осложнений не наблюдалось. На 23 оперированных бедрах уже к 4-му месяцу после операции отмечены консолидация костных фрагментов и закрытие зоны псевдоартроза, в остальных 10 случаях это произошло в обычные сроки (6—7 мес). У 19 детей результат расценен как хороший, у 5 (7 суставов) как удовлетворительный, плохих исходов не было.
Клинический пример. Больная Л., 5 лет. Диагноз: варусная деформация шейки левого бедра (рис. 3, а, б). Поступила с жалобами на хромоту. До обращения в ЦИТО получала консервативное лечение — без эффекта. 17.10.89 выполнены корригирующая межвертельная остеотомия левого бедра с фиксацией пластиной, туннелизация шейки и введение биосоломки АРЕКОС (рис. 3, в). В дальнейшем проводилось функциональное лечение без гипсовой иммобилизации. Через 3 нед пациентка выписана на амбулаторное лечение. К 4 мес наступила консолидация костных фрагментов в положении коррекции, сократилась зона патологической перестройки, достигнут полный объем движений в тазобедренном суставе (рис. 3, г). Пластина удалена через 6 мес после операции. При осмотре через 1 год: девочка не хромает, объем движений в тазобедренных суставах полный, на рентгенограмме зона патологической перестройки не определяется (рис. 3, д, е) .
Рис. 3. Больная Л. 5 лет. Диагноз: «дистрофическая» варусная деформация шейки левого бедра. а — внешний вид больной, б — рентгенограмма до операции; в — рентгенограмма после корригирующей остеотомии левого бедра с фиксацией пластиной «ДОН» и туннелизацией шейки биосоломкой АРЕКОС; г — рентгенограмма через 4 мес после операции; д — рентгенограмма, е — клинический результат через 1 год после оперативного лечения.
При лечении пациентов с болезнью Пертеса учитывали значительное повышение внутрикостного давления в проксимальном отделе бедра, обеднение артериальной сети. Накладывая систему динамической разгрузки тазобедренного сустава, обязательно выполняли туннелизацию шейки бедра с введением активной полимерной соломки диаметром 2 мм. Это на длительное время снижало внутрикостное давление, способствовало развитию микроциркуляторной сети, восстановлению регенераторных способностей тканей в области имплантации. По данной методике оперировано 35 детей (42 сустава) в возрасте от 4 до 8 лет. Средний срок лечения составил 11-12 мес, тогда как при применении общепринятой методики он равняется 2-4 годам. Наблюдение за пациентами проводилось в течение 3_ 5 лет после операции. Через 1,5-2 года имплантаты не определялись современными методами исследования. Нагноений не отмечалось. Хороший анатомо-функциональный результат получен у 26 больных, удовлетворительный — у 9 (рис. 4). Неудовлетворительных исходов не было.
Рис. 4. Больной Г. Диагноз: болезнь Пертеса III стадии слева. а — рентгенограммы до лечения: уплощение головки бедренной кости и ее фрагментация, кисты в шейке; б — рентгенограммы через 1,5 года после начала лечения (туннелизации шейки и введения биоактивной соломки).
Таким образом, применение малотравматичных хирургических вмешательств с использованием разработанных и усовершенствованных биосовместимых композиционных имплантатов разных видов и форм позволило в 1,5-2 раза сократить сроки лечения за счет стимуляции репаративного остеогенеза и добиться хороших и отличных анатомо-функциональных результатов в 89% случаев. Невысокая стоимость изготовления разработанных материалов, отсутствие риска занесения вирусных и бактериальных агентов (не исключенного при аллотрансплантации) выгодно отличают синтетические биоимплантаты и позволяют шире использовать их в клинической практике.
About the authors
O. A. Malakhov
Central Institute of Traumatology and Orthopedics. N.N. Priorova
Email: info@eco-vector.com
Russian Federation, Moscow
G. A. Krasnoyarov
Central Institute of Traumatology and Orthopedics. N.N. Priorova
Email: info@eco-vector.com
Russian Federation, Moscow
S. I. Belykh
Central Institute of Traumatology and Orthopedics. N.N. Priorova
Email: info@eco-vector.com
Russian Federation, Moscow
O. V. Kozhevnikov
Central Institute of Traumatology and Orthopedics. N.N. Priorova
Email: info@eco-vector.com
Russian Federation, Moscow
A. V. Ivanov
Central Institute of Traumatology and Orthopedics. N.N. Priorova
Email: info@eco-vector.com
Russian Federation, Moscow
V. I. Tatarenkov
Central Institute of Traumatology and Orthopedics. N.N. Priorova
Author for correspondence.
Email: info@eco-vector.com
Russian Federation, Moscow
References
- Белых С.И., Мощенский А.Д., Фирсова Е.В. //Материалы 3-го науч. симпозиума по полимерам медицинского назначения. — Белгород-Днестровский, 1977. — С. 5-10.
- Волков М.В., Бизер В.А. Гомотрансплантация костной ткани у детей. — М., 1969.
- Кройтор Г.М. Использование фиксаторов из композиционных материалов для остеосинтеза при переломах длинных трубчатых костей: Дис.... канд. мед. наук. — М., 1990.
- Лаврищева Г.И. Репаративная регенерация кости в различных условиях: Автореф. дис.... д-ра мед. наук. — М., 1969.
- Малахов О.А., Стужина В.Т., Куцевол А.Г. //Науч.- практ. конф. детских травматологов-ортопедов Москвы, 23-я: Материалы. — М., 2000. — С. 3-6.
- Омельяненко Н.П., Карпов И.Н., Матвейчук И.В., Дорохин А.И. //Вестн. травматол. ортопед. — 2001. — N 1— С. 53-56.
- Поляков В.А., Чемянов Г.Г. Искусственная синтетическая костная ткань. — М., 1996.
- Пронцкявичус С.В., Петрулис А.Ю. //Сб. трудов ВНИИИМТ. — М., 1987. — N 4. — С. 73-79.
- Савельев В.И., Сивков С.Н. //Ортопед. травматол. — 1986. — N 8. — С. 22-25.
- Филиппов Ю.И. Клинико-рентгенологические, гематологические и некоторые биохимические показатели при интрамедуллярном остеосинтезе полимерными штифтами трубчатых костей: Автореф. дис.... канд. мед. наук. — М., 1982.
- Gendler Е. //J. Biomed. Mat. Res. — 1986. — Vol. 20, N 6. — P. 687-696.
- Urist M.R. et al. //Clin. Orthop. -— 1970. — N 68. — P. 279-283.
Supplementary files






